Übergewichtige Patient:innen leiden früher als normalgewichtige Personen an einer Hüft- oder Kniearthrose. Allerdings sieht die aktuelle S3-Leitlinie zur Behandlung der Coxarthrose in ...
Vaskuläre Pathologien der Halswirbelsäule, insbesondere Dissektionen der A. carotis oder der A. vertebralis, sind potenziell lebensbedrohliche Zustände. Sie treten häufig infolge von ...
Die lumbopelvine Stabilisierung bietet als etabliertes Verfahren eine hohe biomechanische Stabilität. In diesem Artikel werden anhand der aktuellen Literatur und Empfehlungen die ...
Verletzungen der subaxialen Halswirbelsäule (C3–C7) sind schwerwiegende und ernst zu nehmende Verletzungen. Sie können sowohl als Folge eines Hoch- als auch Niedrigenergie-traumas, auf ...
Orthopädie & Traumatologie
ÖGIM Innere Medizin Compact
6. Termin Fortbildungsreihe interaktiv: KNOCHEN & GELENKE
Die Herstellung eines symmetrischen Gangbilds sowie die Verbesserung der kinetischen und kinematischen Gangparameter im Gangzyklus stellen das Hauptaugenmerk in der Behandlung von ...
Die endoskopische Wirbelsäulenchirurgie hat sich von einer rein perkutanen Technik zu einer hochpräzisen, technisch ausgereiften Methode entwickelt, die ein weites Spektrum degenerativer ...
Die obere Halswirbelsäule (C0–C2) ist besonders verletzungsanfällig und bei Hochrasanztraumata häufig betroffen. Das Spektrum reicht von stabilen Frakturen bis zu hochinstabilen ...
Operationen an der Lendenwirbelsäule können den Verlauf degenerativer Veränderungen sowohl im Indexsegment als auch in angrenzenden Segmenten beeinflussen. Klassische Vorstellungen von ...
Die spinale Navigation findet zunehmende Verbreitung und ermöglicht teilweise neue Trends und Errungenschaften in der Wirbelsäulen-chirurgie. Dieser Artikel soll daher einen kompakten ...
Kongenitale Deformitäten des Unterschenkels gehören zu den seltenen, aber medizinisch bedeutenden und operativ herausfordernden Diagnosen der Kinderorthopädie. Eine differenzierte ...
Bei Vaskulitiden der kleinen Gefässe liegt eine nekrotisierende Entzündung der Gefässwand von kleinen intraparenchymatösen Arterien, Arteriolen, Kapillaren und Venolen vor. Was gilt es ...
Mit Tofacitinib, einem Strukturanalogon von ATP, wurde 2013 erstmals ein Januskinase-Inhibitor (JAKi) in der Schweiz zugelassen. Die Vertreter dieser Medikamentenklasse haben sich gut ...
Die periprothetische Infektion (PPI) stellt eine der gefürchtetsten Komplikationen im Bereich der Orthopädie und Traumatologie dar. Sie ist verbunden mit hohen Morbiditäts- und ...
Verletzungen des Akromioklavikulargelenks (ACG) gehören zu den häufigsten Schulterverletzungen bei jungen und aktiven Menschen, insbesondere auch aufgrund der zunehmenden Beliebtheit von ...
Der kongenitale Femurdefekt ist eine der spannendsten und komplexesten angeborenen Fehlbildungen in der Kinderorthopädie und in der klinischen Präsentation sehr vielgestaltig. Während ...
Beckenring- und Wirbelkörperfrakturen zählen zu den häufigsten osteoporosebedingten Verletzungen im höheren Lebensalter. Eine frühzeitige Diagnose und ein individuell abgestimmter ...
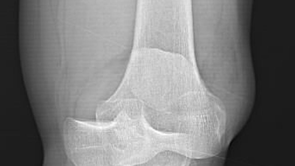
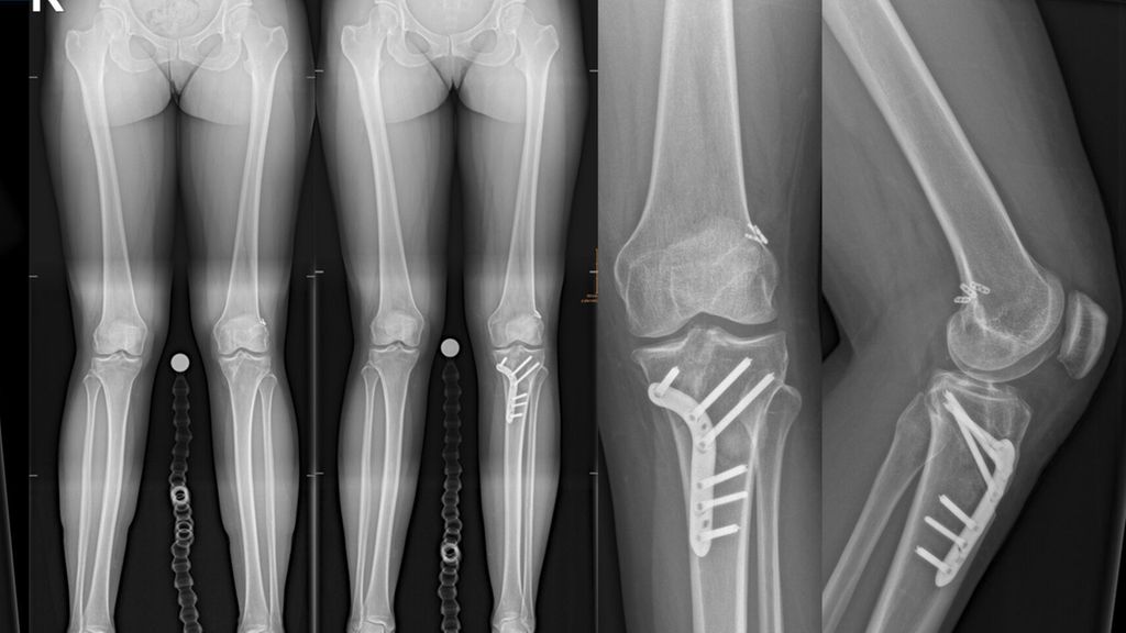
Die Patellafraktur ist eine seltene (1%), aber komplikationsbehaftete Fraktur.1 Bei fast einem Drittel der Patienten kommt es postoperativ zu belastungsabhängigen Schmerzen, chronischen ...
Mit zunehmendem Alter steigt die Rate an dislozierten medialen Schenkelhalsfrakturen. Meistens wird ein zementfreier oder zementierter Langschaft verwendet, seit Längerem werden auch ...
Bestimmte Risikofaktoren und Begleitkrankheiten können den Verlauf nach einer Meniskusverletzung massgeblich beeinflussen. Welche das sind, worauf man dabei achten sollte, warum das vor ...
Knorpeldefekte im Knie können die Lebensqualität einschränken und langfristig zu Arthrose und der Notwendigkeit eines Gelenkersatzes führen. Es gibt diverse Behandlungstechniken, aber ...
Luxationen des Kniegelenks sind sehr seltene, aber schwerwiegende Verletzungen, die häufig mit Komplikationen einhergehen und unbehandelt zu schweren Instabilitäten im Knie führen können ...
Im Interview gibt BVdO-Präsident Priv.-Doz. Dr. Florian Sevelda eine erste Vorschau auf das Programm der diesjährigen Jahrestagung im Dezember 2025 in Wien.
Intramedulläre motorisierte Teleskopnägel haben die Verlängerung des Oberarms revolutioniert. Sie ermöglichen eine kontrollierte Elongation mit weniger Komplikationen und höherem ...
Als distale Radiusmalunion bezeichnet man eine in Fehlstellung konsolidierte distale Radiusfraktur. Je nach Ausprägung und funktionellem Patient:innenanspruch/-alter können diese von ...
Fortbildungen & Events
Finden Sie hier auf einen Blick unsere spannenden Veranstaltungsformate für unterschiedliche Fachrichtungen.
Kongress-News
In unseren Newsrooms berichten wir tagesaktuell von den Highlights der wichtigsten Kongresse.