Multiligamentäre Knieverletzungen – ein Behandlungsalgorithmus
Autoren:
Dr. Peter A. Hausbrandt
AUVA-Unfallkrankenhaus Steiermark
Standort Graz
Priv.-Doz. DDr. Antonio Klasan
AUVA-Unfallkrankenhaus Steiermark
Standort Graz & Kalwang
Korrespondenz:
E-Mail: peter.hausbrandt@auva.at
Sie sind bereits registriert?
Loggen Sie sich mit Ihrem Universimed-Benutzerkonto ein:
Sie sind noch nicht registriert?
Registrieren Sie sich jetzt kostenlos auf universimed.com und erhalten Sie Zugang zu allen Artikeln, bewerten Sie Inhalte und speichern Sie interessante Beiträge in Ihrem persönlichen Bereich
zum späteren Lesen. Ihre Registrierung ist für alle Unversimed-Portale gültig. (inkl. allgemeineplus.at & med-Diplom.at)
Multiligamentäre Knieverletzungen (MLKI) stellen in der orthopädischen und unfallchirurgischen Praxis eine seltene, aber potenziell lebens- und Extremitäten-bedrohliche Herausforderung dar. Sie werden definiert als Verletzungen, bei denen mindestens zwei der vier Hauptbandstrukturen – das vordere (ACL) und hintere Kreuzband (PCL), das mediale Kollateralband (MCL) bzw. die posteromediale Ecke (PMC) sowie das laterale Kollateralband (LCL) bzw. die posterolaterale Ecke (PLC) – betroffen sind. Aufgrund der komplexen Verletzungsmuster mit häufig assoziierten neurovaskulären Komplikationen und Begleitverletzungen (Meniskus, Knorpel, Knochen) ist eine strukturierte, interdisziplinäre Behandlungsstrategie notwendig.
Keypoints
-
Multiligamentäre Knieverletzungen können eine spontane reponierte Knieluxation oder Subluxation darstellen.
-
Im Zweifel Gefäßabklärung mittels CT-Angiografie
-
Kontaktaufnahme und Behandlung im Zentrum, um bestmögliches Outcome zu erzielen
-
Intensive physiotherapeutische Betreuung mit engmaschigen klinischen Kontrollen notwendig
Multiligamentäre Knieverletzungen (MLKI) entstehen häufig im Rahmen von Kniegelenkluxationen, wobei bis zu 50% der Luxationen spontan reduziert auftreten können.1 Trotz der Spontanreduktion bleiben schwerwiegende ligamentäre Schäden bestehen, die zu chronischer Instabilität, Funktionsverlust und langfristig zur Entwicklung einer posttraumatischen Arthrose führen können.7,8 Darüber hinaus können in bis zu 40% der Fälle neurovaskuläre Verletzungen (z.B. der Peroneusnerv und die Arteria poplitea) auftreten, die eine schnelle Diagnose und Behandlung erfordern.7 Aufgrund der Heterogenität der Verletzungsmuster und der oft begleitenden Weichteil- sowie Knochenverletzungen besteht ein hoher Bedarf an einem standardisierten, evidenzbasierten Behandlungskonzept.
Präoperative Diagnostik
Die präoperative Diagnostik ist der Grundstein einer erfolgreichen Behandlung. Eine ausführliche klinische Untersuchung mit Stabilitätstests wie Lachman-, Pivot-Shift- sowie varus-/valgusstressbasierten Tests sind initial oft schmerzbedingt nicht suffizient durchführbar. Daher spielt die bildgebende Diagnostik eine zentrale Rolle in der primären Abklärung.
Bildgebende Verfahren
-
Magnetresonanztomografie (MRT): Das MRT ist das wichtigste Instrument zur Beurteilung des Ausmaßes der ligamentären Schädigungen, zur Identifikation begleitender Meniskus- und Knorpelläsionen sowie zur Erkennung ossärer Verletzungen. Porrino et al. (2019) betonen in ihrem Review die Bedeutung der präoperativen MRT, um für den Chirurgen relevante Informationen über Verletzungsmuster zu liefern.1
-
CT-Angiografie: Zum Ausschluss von Gefäßverletzungen, insbesondere bei Kniegelenkluxationen, ist eine schnelle CT-Angiografie unerlässlich, um die Durchblutung (z.B. der Arteria poplitea) zu überprüfen.7
-
Röntgen und Stressaufnahmen: Röntgenaufnahmen (a.p., seitlich, patellofemorale Ansicht) helfen, knöcherne Ausrisse und Frakturen zu identifizieren. Stressradiografien können zusätzlich zur objektiven Messung der Gelenkinstabilität herangezogen werden,7 sollten jedoch in erster Linie präoperativ in Narkose erfolgen.
Therapieoptionen: operativ vs. konservativ
Zahlreiche Studien belegen die Überlegenheit operativer Ansätze bei MLKI gegenüber konservativen Verfahren. Während konservative Therapien – etwa mit Immobilisation – in speziellen Fällen (z.B. bei Polytrauma, geringer funktioneller Belastung oder schweren Begleitverletzungen) Anwendung finden können, zeigen Metaanalysen signifikant bessere funktionelle Ergebnisse (höhere Lysholm- und IKDC-Scores, größere Bewegungsumfänge) bei operativ behandelten Patienten.2,3
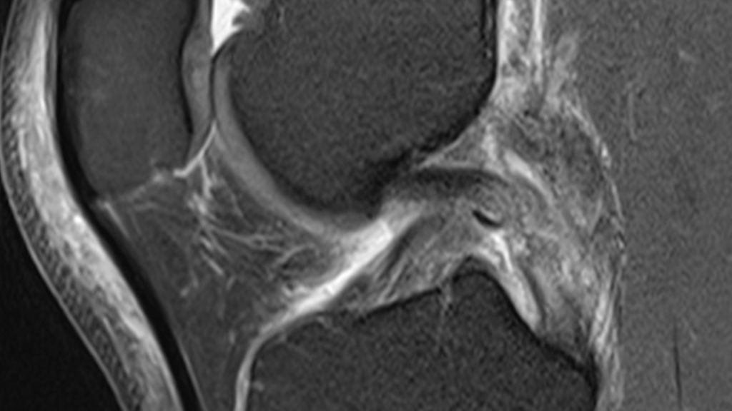
Abb. 1–5: Fallbeispiel: Patient 40 J., männlich, Verletzung beim Fußball, Op 3 Wochen nach Verletzung. Hier gezeigt: 3 x MRT präoperativ sowie Röntgen postoperativ, a.p. und seitlich. Mediale Rekonstruktion nach LaPrade mit Tightropes, VKB-Plastik und HKB-Plastik „all-inside“
Operative Behandlung
Im operativen Management stehen zwei Hauptansätze zur Verfügung:
-
Primäre Reparatur (Naht): Eine direkte Naht der verletzten Bänder ist im akuten Stadium (innerhalb von 2–3 Wochen) möglich, bevor sich Narbengewebe bildet. Diese Option ist insbesondere bei isolierten Verletzungen der Seitenbänder (MCL/PLC) im Rahmen einer multiligamentären Situation sinnvoll,4 eignet sich aber nicht für jede Risskonfiguration der Seitenbänder. Vor allem lateral erscheint eine Naht sehr sinnvoll. Die Naht des vorderen und hinteren Kreuzbandes ist ebenso möglich, kommt aber in unserem Gebrauch nicht vor.4
-
Rekonstruktion mittels Transplantaten: Bei komplexen Verletzungen oder bei chronischem Zustand ist die Rekonstruktion mittels Autografts oder Allografts vorzuziehen. Moderne, anatomisch basierte Rekonstruktionsverfahren ermöglichen es, die Biomechanik möglichst genau wiederherzustellen. Die Wahl der Rekonstruktionstechnik obliegt dem Operateur, wobei aus unserer Sicht die anatomischen Rekonstruktionen nach LaPrade für medial und lateral, die mediale Rekonstruktion nach Fink oder die laterale Rekonstruktion nach Arciero die sinnvollsten darstellen.4,6
Konservative Behandlung
Konservative Verfahren sollten im Rahmen von multiligamentären Knieverletzungen nur in Ausnahmefällen zum Einsatz kommen, wenn beispielsweise Patienten aufgrund von Komorbiditäten oder Polytrauma nicht operationstauglich sind. Dedmond und Almekinders (2001) zeigten in ihrer Metaanalyse, dass konservative Behandlungen zu deutlich schlechteren funktionellen Ergebnissen führen.7 Daher werden konservative Strategien heute nur mehr als Reserveoption betrachtet.
Operations-Timing: früh vs. verzögert
Der optimale Zeitpunkt der operativen Versorgung von MLKI ist weiterhin kontrovers diskutiert. Frühzeitige Eingriffe (innerhalb von 2–3 Wochen) ermöglichen eine rasche Stabilisierung, verhindern sekundäre Meniskus- und Knorpelschäden und können die Langzeitprognose verbessern.6 Andererseits kann ein verzögertes Vorgehen – insbesondere bei ausgedehnten Weichteilschäden oder Polytrauma – Vorteile bieten, indem es die Schwellung reduziert und eine präzisere Planung ermöglicht. Makaram et al. (2023) sowie andere Reviews weisen darauf hin, dass beide Ansätze zu vergleichbaren Ergebnissen führen können, sofern ein konsequentes postoperatives Mobilisationsprotokoll umgesetzt wird.2 Allerdings zeigte eine Metaanalyse von Sheth et al. (2019), dass früh operierte Patienten tendenziell höhere Lysholm-Scores erzielen, wenngleich das Risiko für eine Arthrofibrose bei frühen Eingriffen erhöht sein kann, wenn nicht frühzeitig mobilisiert wird.6
Behandlungsalgorithmus
Auf Basis der aktuellen Evidenz und internationaler Expertenkonsensberichte (z.B. Murray et al. 2024) lässt sich folgender strukturierter Behandlungsalgorithmus ableiten:
Schritt 1: Notfallmanagement
-
Sofortige klinische Untersuchung: Erfassung des neurovaskulären Status (Puls, Knöchel-Arm-Index) und Durchführung von Stabilitätstests.
-
Notfallreposition: Bei Kniegelenkluxation erfolgt eine sofortige Reposition, um den Druck auf neurovaskuläre Strukturen zu reduzieren.
-
Erste Bildgebung: Anfertigung von Röntgenaufnahmen (a.p. und seitlich). Bei Verdacht auf Gefäßverletzungen oder definitiver Knieluxation erfolgt umgehend eine CT-Angiografie.
Schritt 2: initiale Stabilisierung und Indikationsstellung
-
Interdisziplinäre Fallbesprechung: Zusammenarbeit von Traumatologen, Radiologen und Gefäßchirurgen zur Festlegung des Therapieplans.
-
Vorübergehende konservative Maßnahmen: Immobilisation in 15–20° Knieflexion und frühe passive Mobilisation, um zumindest den Bewegungsumfang zu erhalten.
-
Indikationsstellung zur Operation: Die meisten MLKI erfordern eine operative Stabilisierung, insbesondere wenn Instabilität und das Risiko für sekundäre Schäden bestehen.2,3
Schritt 3: operative Phase
Operationszeitpunkt
Idealerweise innerhalb von 2–3 Wochen, wenn der Patient stabil ist und das Weichteilmilieu günstig ist.
-
Einzeitige Rekonstruktion: Bei günstigen Bedingungen erfolgt eine komplette Rekonstruktion in einer Operation, beginnend mit den zentralen Pfeilern und anschließender Rekonstruktion der Peripherie.
-
Zweizeitiges Vorgehen: Bei komplexen Verletzungsmustern oder ausgeprägten Weichteilschäden erfolgt zunächst eine Stabilisierung (z.B. externe Fixation) gefolgt von einer sekundären Rekonstruktion.
Operative Techniken
-
Zuerst Kreuzbandrekonstruktion: Anatomische Rekonstruktion von ACL und PCL mittels autogener oder allogener Transplantate,4,6 wobei bei Verletzung beider Zentralpfeiler primär das PCL unter Bildwandler gespannt gehört und danach das ACL fixiert wird.
-
Anschließend Seitenbandmanagement: primäre Reparatur (im akuten Stadium und meist nur medial sinnvoll möglich) oder Rekonstruktion bei chronischen Verletzungen des medialen Seitenbandapparates oder der lateralen Strukturen (LCL/PLC) bzw. bei Nichtrekonstruierbarkeit.
-
Intraoperative Kontrolle: Bildwandlerdokumentation der Stabilität in allen Ebenen, idealerweise im Seitenvergleich, ist obligat.
Schritt 4: postoperative Rehabilitation
-
Frühzeitige Mobilisation: Beginn der Rehabilitation bereits am ersten postoperativen Tag, um das Risiko für Arthrofibrose zu minimieren.6 Orthesenbehandlung abgestimmt auf zu adressierende Strukturen. ACL-Orthese, PCL-Orthese,…
-
Individuelle Reha-Protokolle: Anpassung des Rehabilitationsprogramms an den operativen Eingriff, mit schrittweiser Steigerung der Belastung und kontinuierlicher physiotherapeutischer Betreuung.
-
Regelmäßige Kontrollen: klinische und radiologische Nachuntersuchungen zur Überwachung von Komplikationen, wie erneuter Instabilität, Arthrofibrose oder posttraumatischer Arthrose.
Schritt 5: Langzeitmanagement
-
Funktionelle Überwachung: langfristige Beobachtung hinsichtlich des Funktionsniveaus, der Gelenkstabilität und der Entwicklung von Arthrose. Kontrollen sollten in regelmäßigen Abständen für zumindest 9–12 Monate erfolgen.
-
Anpassung der Reha: gezielte Rehabilitationsmaßnahmen zur Optimierung der Rückkehr zu Arbeit und Sport, ggf. unter erneuter chirurgischer Intervention bei Persistenz von Instabilität oder Funktionsverlust.
Diskussion
Multiligamentäre Bandverletzungen im Knie sind eine große Herausforderung sowohl für den Patienten als auch das Behandlungsteam. Die Grenze zwischen MLKI und Knieluxationen ist nicht immer ganz eindeutig zu ziehen, daher ist eine Verletzung beider Zentralpfeiler und zumindest eines Seitenbandes einer Knieluxation/Subluxation mit sofortiger Reposition gleichzusetzen.
Die Behandlung von MLKI erfordert ein individuell angepasstes, interdisziplinäres Management. Die präoperative Bildgebung (insbesondere MRT und CT-Angiografie) ermöglicht die genaue Identifikation der Verletzungsmuster und ist essenziell für die Operationsplanung.1,2 Die Evidenzlage spricht überwiegend für eine operative Versorgung, da konservative Verfahren in der Regel zu schlechteren funktionellen Ergebnissen führen.2,3 Moderne, anatomisch basierte Rekonstruktionstechniken haben die Möglichkeit eröffnet, die ursprüngliche Bandfunktion möglichst exakt wiederherzustellen, wenngleich Komplikationen wie Infektionen, Arthrofibrose oder eine erneute Instabilität weiterhin auftreten können.4,8
Der optimale Operationszeitpunkt bleibt kontrovers diskutiert. Während frühzeitige Eingriffe das Risiko für sekundäre Schäden reduzieren können, steigt ohne konsequente postoperative Mobilisation auch das Risiko für Arthrofibrose.6 Die aktuelle Literatur zeigt, dass bei individuell angepassten Rehabilitationsprotokollen sowohl früh als auch verzögert operierte Patienten vergleichbare Ergebnisse erzielen können.2,6 Ein weiterer wichtiger Aspekt ist die interdisziplinäre Zusammenarbeit, insbesondere bei komplexen Verletzungsmustern oder in Polytraumasituationen, um alle relevanten Begleitverletzungen (z.B. neurovaskuläre Schädigungen) zeitnah zu erkennen und zu behandeln.7
Nicht zuletzt weisen Studien auf verschiedene Risikofaktoren hin, die die Ergebnisse nach MLKI-Rekonstruktionen negativ beeinflussen können. So wurden Rauchen, ein hoher Body-Mass-Index, „bicruciate“ Verletzungen sowie begleitende Meniskus- und Knorpelschäden mit schlechteren funktionellen Ergebnissen und höheren Komplikationsraten assoziiert.3,8 Daher ist es wichtig, präoperative Modifikationen (z.B. Rauchstopp, Optimierung des Allgemeinzustands) in die Therapieplanung einzubeziehen.
Schlussfolgerung
Multiligamentäre Knieverletzungen sind komplexe Traumata, die ein umfassendes und interdisziplinäres Management erfordern. Die Evidenz spricht dafür, dass bei fast allen MLKI eine operative Versorgung – vorzugsweise innerhalb der ersten 2–3 Wochen – indiziert ist, um Instabilität zu beheben und sekundäre Schäden zu verringern. Ein strukturierter Behandlungsalgorithmus, der die Notfallmaßnahmen, die präoperative Diagnostik, die operative Phase sowie die postoperative Rehabilitation integriert, bietet den besten Ansatz zur Optimierung der funktionellen Ergebnisse. Aufgrund der Komplexität dieser Fälle sollte nach Abschluss der initialen Abklärung und Sicherung der Durchblutungssituation der Extremität die weitere Behandlung in Zentren erfolgen, um ein Maximum an Therapieerfolg zu gewährleisten.
Literatur:
1 Porrino J et al.: Preoperative MRI for the multiligament knee injury: What the surgeon needs to know. Current Problems in Diagnostic Radiology 2020; 49(3): 188-98 2 Makaram NS et al.: Diagnosis and treatment strategies of the multiligament injured knee: a scoping review. Br J Sports Med 2023; 57(9): 543-50 3 Patel NK et al.: Risk factors associated with complications after operative treatment of multiligament knee injury. Orthop J Sports Med 2021; 9(3): 2325967121994203. doi:10.1177/ 2325967121994203 4 Braaten JA et al.: Modern treatment principles for multiligament knee injuries. Arch Bone Joint Surg 2022; 10(11): 937-50 5 Murray IR et al.: Multiligament knee injury (MLKI): an expert consensus statement on nomenclature, diagnosis, treatment and rehabilitation. Br J Sports Med 2024; 58(23): 1385-400 6 Levy BA, Freychet B: Knee multiligament injury. Clin Sports Med 2019; doi:10.1016/j.csm.2019.01.001 7 Samuel LT et al.: Management of the multi-ligamentous injured knee: an evidence-based review. Ann Joint 2019; 21. doi:10.21037/aoj.2019.02.06 8 Alentorn Geli E et al.: Factors predictive of poorer outcomes in the surgical repair of multiligament knee injuries. Knee Surg Sports Traumatol Arthrosc 2019; 27(2): 445-59
Das könnte Sie auch interessieren:
Frühe Unterwassertherapie nach totaler Hüft- und Knieendoprothese
Eine frühzeitige Durchführung der Unterwassertherapie mit wasserdichtem Folienverband ab dem vierten postoperativen Tag ist im Allgemeinen sicher, wirksam und ohne Nebenwirkungen.
Aktuelles zur anteromedialen Knieinstabilität
Kombinierte Verletzungen des medialen Kollateral- (MCL) und des vorderen Kreuzbandes (VKB) zählen zu den häufigsten multiligamentären Knieverletzungen. Bei vermeintlich isolierten VKB- ...
Arthroskopische Behandlung von Glenoidrandfrakturen
In der Literatur werden die Begriffe knöcherne Bankart-Läsion und Glenoidrandfraktur häufig synonym verwendet, obwohl sie sich hinsichtlich Pathomechanismus und Therapie deutlich ...