Kindliche Fußkorrekturen mit kommerziellem Allograft
Autorinnen:
Dr. Konstanze Katharina Hütter
Prof. Dr. Tanja Kraus
Univ.-Klinik für Orthopädie und Traumatologie
Medizinische Universität Graz
Korrespondenz:
E-Mail: konstanze.huetter@medunigraz.at
Sie sind bereits registriert?
Loggen Sie sich mit Ihrem Universimed-Benutzerkonto ein:
Sie sind noch nicht registriert?
Registrieren Sie sich jetzt kostenlos auf universimed.com und erhalten Sie Zugang zu allen Artikeln, bewerten Sie Inhalte und speichern Sie interessante Beiträge in Ihrem persönlichen Bereich
zum späteren Lesen. Ihre Registrierung ist für alle Unversimed-Portale gültig. (inkl. allgemeineplus.at & med-Diplom.at)
In der Korrektur kindlicher Fußdeformitäten kommen häufig trikortikale Knochenblöcke zum Einsatz. Das Beckenkamm-Autograft gilt hierbei als Goldstandard, erfordert jedoch einen zusätzlichen Eingriff mit potenziellen Komplikationen. Allografts aus Knochenbanken oder kommerzieller Aufbereitung bieten im Gegensatz dazu eine sofort verfügbare Alternative.
Keypoints
-
Allografts bieten eine zuverlässige Alternative zur autologen Knochentransplantation in der kinderorthopädischen Fußchirurgie.
-
Der Verzicht auf eine autologe Entnahme reduziert die OP-Zeit und potenzielle Komplikationen.
-
Kommerzielle Allografts gewährleisten standardisierte Qualität und sind sofort verfügbar.
-
Trotz möglicherweise langsamerer biologischer Integration erreichen Allografts langfristig eine vergleichbare mechanische Stabilität.
Trikortikale Knochenblöcke werden häufig zur operativen Korrektur kindlicher Fußdeformitäten im Wachstumsalter eingesetzt, insbesondere zur Stabilisierung bei der Wiederherstellung des Fußgewölbes. Als Goldstandard gilt dabei ein strukturelles autologes Transplantat aus dem Beckenkamm. Die osteogene Potenz von autologem Knochen in Bezug auf Osteoinduktion und Remodellierung ist gut belegt. Der Beckenkamm als Entnahmestelle birgt allerdings Risiken und Komplikationen: Die postoperative Morbidität ist vor allem von Schmerzen geprägt, die oftmals stärker als die Schmerzen des eigentlichen Operationsgebietes sind. An der Entnahmestelle werden auch mögliche Gefäßverletzungen mit Hämatom- oder Serombildung sowie Nervenverletzungen mit längerfristigen Dysästhesien und Parästhesien beschrieben.1 Die Verwendung von Allografts bietet hier eine Alternative, da die Entnahmemorbidität wegfällt und es somit zu reduzierten postoperativen Komplikationen kommt.2 Moderne Aufbereitungsverfahren ermöglichen eine sichere Verwendung von Allografts, weil sie das Risiko der Krankheitsübertragung durch strenge Spenderselektion und Prozessierung minimieren.3 Die Aufbereitung der Allografts erfolgt durch eine Kombination aus mechanischer Reinigung, chemischer Dekontamination, Sterilisation und Konservierung. Knochenbanken und kommerzielle Anbieter nutzen die Kryokonservierung (–80°C bis –196°C), um die strukturelle Integrität zu wahren, und die Gefriertrocknung zur längeren Haltbarkeit bei Raumtemperatur. Diese Verfahren tragen dazu bei, Immunreaktionen zu minimieren und die Entkeimung zu optimieren, indem Zellreste und überschüssiges Wasser entfernt werden. Durch die Aufbereitung können Allografts jedoch eine reduzierte Osteokonduktion aufweisen, was zu einer Beeinträchtigung der Einheilungsrate führen kann. In einer retrospektiven Studie wurde jedoch gezeigt, dass es, in gut durchbluteten Regionen wie beispielweise dem Kalkaneus, zu keinen signifikanten Unterschieden in der Einheilung zwischen Allo- und Autografts kommt.4 Obwohl ihre Integration etwas langsamer verläuft als bei den Autografts, erreichen Allografts langfristig eine vergleichbare biomechanische Belastbarkeit.5 Die Verfügbarkeit von Allografts ist in der Kinderorthopädie als besonders wertvoll anzusehen, da die Entnahme eines autologen trikortikalen Beckenkammspans am noch unreifen Skelett nicht nur mit einer erhöhten Morbidität verbunden ist,6 sondern auch das Risiko eines verfrühten Apophysenschlusses mit sich bringen kann.7
Anwendungsgebiete von Allografts bei Fußkorrekturen
In der operativen Fußkorrektur werden Allografts unterschiedlich eingesetzt, wobei im Folgenden ein orientierender Überblick über die Einsatzmöglichkeiten gegeben wird. Am Vorfuß dient die sogenannte Cotton-Osteotomie dazu, das Längsgewölbe wiederherzustellen und die mediale Säule des Fußes zu korrigieren. Hierzu wird das Os cuneiforme mediale osteotomiert und ein Keil eingesetzt: Das Keilbein wird dadurch verlängert und ggf. auch die Transversalachse korrigiert. Die Implantation eines Allograft-Knochenspans stabilisiert die Korrektur und ermöglicht eine erfolgreiche knöcherne Integration.
In einer retrospektiven Studie mit 36 Patient:innen im mittleren Alter von 12 Jahren, die gemeinsam 56 Cotton-Osteotomien mit Allograft erhielten, zeigte Brancheau, dass 89% der Fälle nach 8 Wochen vollständig konsolidierten, ohne dass die Korrektur verloren ging.8
Allografts finden auch in der Korrektur des kindlichen Pes planovalgus ihren Einsatz. Dieser kommt gehäuft bei Kindern mit neurogener Grunderkrankung vor und erfordert eine operative Verlängerung der lateralen Fußsäule. In einer Studie von Nowicki an 18 Kindern mit neurogenen Grunderkrankungen zeigten 31 trikortikale Ilium-Allografts nach durchschnittlich 9 Monaten eine 90%ige klinisch-nativradiologische knöcherne Integration – ohne dokumentierte Pseudarthrosen oder Frakturen.
Templin et al. konnten in einer Studie positive Resultate für die Allograft-Verwendung im Rahmen der Kalkaneus-Verlängerungsosteotomie (Evans- bzw. Mosca-Osteotomien) verzeichnen. Die verwendeten gefrorenen, trikortikalen Allografts aus dem femoralen oder iliakalen Knochen zeigten eine 97%ige knöcherne Integration und waren somit mit Autografts vergleichbar. In ihrer retrospektiven Analyse von 35 Eingriffen traten außerdem keine schweren Komplikationen oder Graft-Versagen auf, was für die gute biologische Integration und mechanische Stabilität der Allografts spricht.9
Allografts in Österreich
Es gibt keine einheitliche Übersicht über jene Krankenanstalten in Österreich, die Gewebe (wie Knochen) entnehmen, konservieren und implantieren. Anhand des Bundesamts für Sicherheit im Gesundheitswesen (BASG) finden sich Lizenznummern von Gewebebanken und -entnahmeeinrichtungen von orthopädischen Abteilungen vorrangig in Wien, Oberösterreich, der Steiermark und Kärnten.10
Zu den im deutschsprachigen Raum zugelassenen Sterilisationsverfahren gehören Peressigsäure-Ethanol-Sterilisation, Gamma-Bestrahlung und superkritische CO2-Sterilisation. Die Sicherheit von Allografts wird durch strenge Spenderselektion, moderne Sterilisationsverfahren und standardisierte Gewebeprozessierung gewährleistet.
Seit der Einführung verbesserter Verarbeitungsmethoden gibt es keine dokumentierten Fälle pathogener Übertragungen mehr. Alle genutzten Verfahren eliminieren immunogene Zellen – eine Immunreaktion kann somit quasi nicht ausgelöst werden. Die Wahrscheinlichkeit einer mikrobiellen Kontamination liegt bei unter 1:1000000. So sind beispielsweise in Großbritannien keine dokumentierten Krankheitsübertragungen durch Allografts bekannt und die geschätzte Übertragungswahrscheinlichkeit für Hepatitis B/C liegt unter 1:2,3 Millionen.3
Diese Sicherheitsaspekte können in das Aufklärungsgespräch einfließen. Eltern sind oft besorgt wegen möglicher Risiken wie Krankheitsübertragungen durch Knochenspender, auch wenn die Wahrscheinlichkeit hierfür äußerst gering ist.
Durch die zugelassenen Sterilisationsverfahren wird die strukturelle Integrität des Knochens nicht beeinträchtigt und die mechanische Stabilität bleibt erhalten.11
Diskussion
Der bedeutendste Vorteil bei der Verwendung von Knochen-Allograft im Vergleich zum Autograft ist der Wegfall der Entnahmemorbidität. Ein geringfügiger Unterschied besteht jedoch in der biologischen Integration. Die Remodellierung erfolgt etwas langsamer als bei autologen Transplantaten, da die osteoinduktiven Eigenschaften durch die Aufbereitung reduziert sein können. Die Einheilung von Allografts basiert auf Creeping Substitution, wobei sie schrittweise durch neuen Wirtsknochen ersetzt werden, was eine längere Integration erfordert.12 Dadurch wird initial eine reduzierte Zellmigration und Revaskularisierung beobachtet. Hieraus könnte als klinische Konsequenz die Notwendigkeit einer längeren Retention, etwa durch längere Draht-Verweildauer oder Gipsruhigstellung, abgeleitet werden. Klinische Studien zeigen aber, dass die Unterschiede zwischen Allografts und Autografts in gut perfundierten Arealen, wie beispielsweise im Kalkaneus, so gering sind, dass sie eine vergleichbare Osteointegration und knöcherne Konsolidierung wie autologe Transplantate aufweisen.9,13
In Österreich unterliegen Knochenbank-Allografts dem Gewebesicherheitsgesetz (GSG) und stammen aus postmortalen Spenden, die nach strenger Spenderselektion und behördlichen Vorgaben verarbeitet werden. Sie werden vor allem in akademischen Zentren genutzt und ermöglichen eine patientennahe Versorgung, sind jedoch in ihrer Verfügbarkeit begrenzt. Kommerzielle Allografts werden industriell prozessiert, wodurch eine standardisierte Qualität, längere Haltbarkeit und eine von Spenden unabhängige Nutzung gewährleistet werden. Kritiker bemängeln, dass stärkere Sterilisations- und Dekontaminationsverfahren möglicherweise osteoinduktive Eigenschaften reduzieren, während Befürworter auf die konstante Verfügbarkeit und optimierte Sicherheitsstandards verweisen.
Grazer Erfahrungen mit kommerziellen Allografts
Experimentelle und klinische Daten bestätigen die Stabilität und biologische Sicherheit von Allografts. Diese Eigenschaften werden auch in unserer klinischen Erfahrung deutlich, die im Folgenden anhand von Fallbeispielen dargestellt wird.
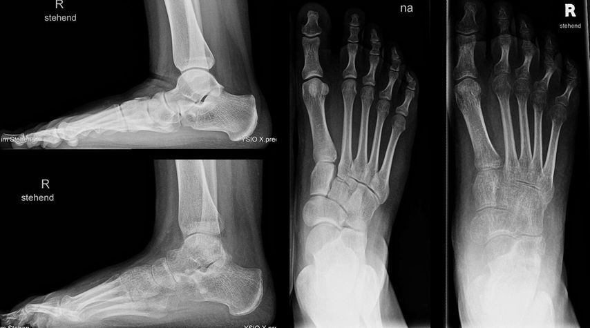
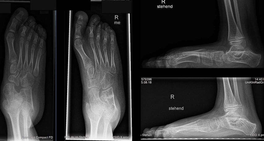
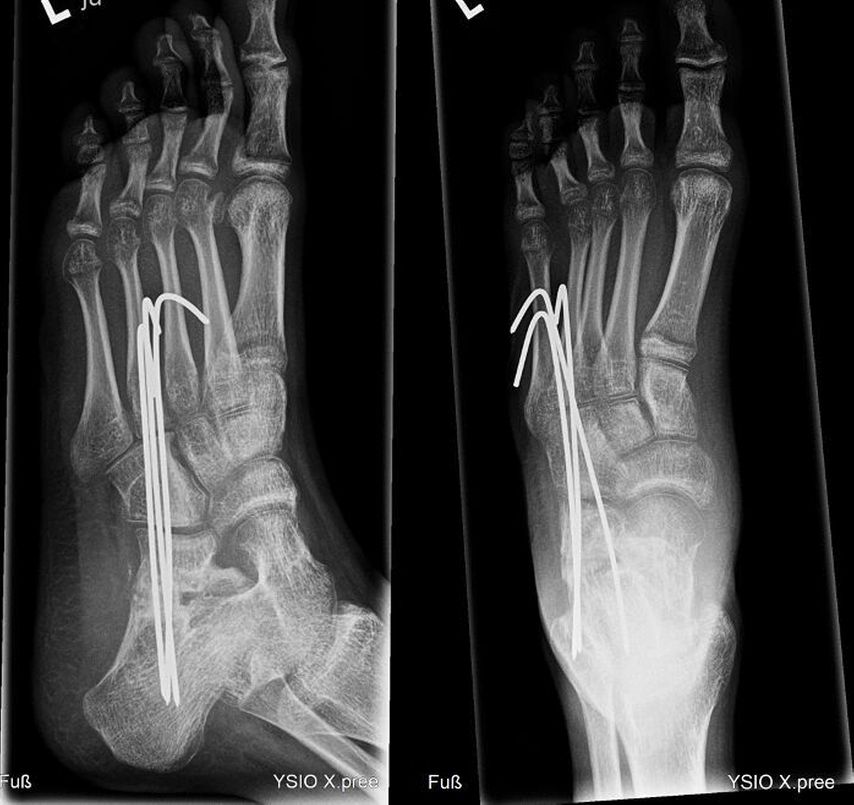
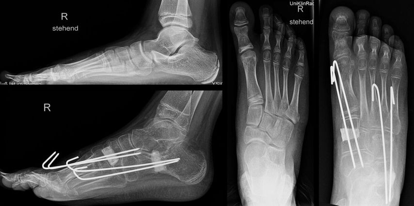
Bei einem 9-jährigen Mädchen mit angeborenem Knick-Senk-Fuß beidseits wurde ein kommerziell verfügbarer Allograft-Knochenblock zur Evans-Osteotomie erfolgreich angewendet. Im Rahmen einer ersten Operation wurde der rechte Fuß adressiert (Abb. 1) und im Verlauf ein Jahr später das gleiche Verfahren auf der Gegenseite problemlos eingesetzt. In der Verlaufskontrolle 1 Jahr postoperativ zeigen sich eine gute knöcherne Einheilung, eine adäquate Fußaufrichtung und eine Verlängerung der lateralen Säule. Das Allograft ist nativradiologisch noch abgrenzbar. Ein weiterer Fall einer komplikationslosen Evans-Osteotomie mit kommerziellem Allograft-Knochenblock ist der eines 14-jährigen Jungen mit Knick-Senk-Fuß links. Abgebildet ist die Verlaufskontrolle 6 Wochen postoperativ, wobei im Rahmen der ambulanten Kontrolle die Kirschnerdrähte nach 6 Wochen entfernt wurden. Ein Folgeröntgen ist noch ausständig (Abb. 2). Bei einer 15-jährigen Patientin mit schmerzhaftem Knick-Senk-Fuß beidseits zeigt sich ebenso eine adäquate Fußkorrektur in der Jahreskontrolle nach Evans-Osteotomie mit Allograft-Knochenblock rechts. Eine Versorgung der Gegenseite ist geplant (Abb. 3). Auch im Fall eines 11-Jährigen mit Serpentinenfüßen kamen bereits Allograft-Knochenblöcke erfolgreich zum Einsatz: Präoperativ zeigte sich hier ein Rückfußvalgus mit Vorfuß adductus und damit verkürzter lateraler Fußsäule. Als operative Sanierung wurde eine Fußkorrektur durchgeführt, die Aspekte einer modifizierten Cotton-, Evans- und Cuboid-Osteotomie enthält. In der postoperativen Röntgenaufnahme 8 Wochen später zeigte sich eine gute knöcherne Einheilung bei stabiler Korrektur, sodass die Drähte gezogen werden konnten (Abb. 4).
Abb. 1: 9-jähriges Mädchen mit Knick-Senk-Fuß, prä- und postoperative Röntgenaufnahmen des rechten Fußes, vor und nach Evans-Osteotomie. Postoperativ zeigt sich eine adäquate Fußaufrichtung und Verlängerung der lateralen Säule
Abb. 2: 14-jähriger Junge mit Knick-Senk-Fuß, prä- und postoperative Röntgenaufnahmen 6 Wochen nach Evans-Korrektur links mit Allograft-Knochenblock und Kirschnerdrähten noch in situ
Abb. 3: 15-jähriges Mädchen mit Knick-Senk-Fuß, prä- und postoperative Röntgenaufnahmen 1 Jahr nach Evans-Korrektur des rechten Fußes ap und seitlich
Abb. 4: 11-jähriger Junge mit Serpentinenfüßen, prä- und postoperative Röntgenaufnahmen, 8 Wochen nach komplexer Fußkorrektur mit Allograft-Knochenblöcken im Os cuneiforme mediale und Kalkaneus mit Drahtstabilisierung in situ
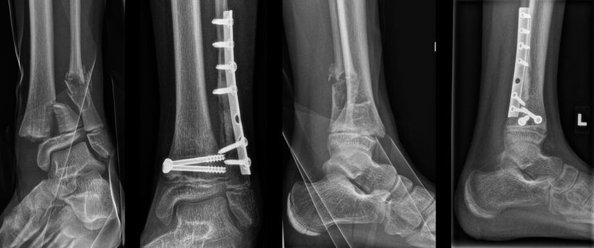
Abb. 5: 11-jähriges Mädchen mit pathologischer Fraktur der distalen Fibula bei einem nichtossifizierenden Fibrom (NOF), prä- und postoperative Röntgenaufnahme des linken Sprunggelenkes. Eine Allograft-Knochenschraube wurde als Platz- und Abstandhalter und zur biologischen Integration eingesetzt und mit Drittelrohrplatte gesichert
Ein nicht alltäglicher Einsatz einer Allograft-Knochenschraube (Shark Screw®, Surgebright GmbH) erfolgte bei einer distalen Unterschenkelfraktur einer 11-jährigen Patientin mit pathologischer Fraktur der distalen Fibula bei einem nichtossifizierenden Fibrom (NOF). Die Fraktur ereignete sich im Rahmen eines Turnunfalls. Die operative Versorgung umfasste eine offene Reposition der distalen Tibia mit Schraubenosteosynthese, danach Kürettage des fibulären NOF mit Plattenosteosynthese. Hierbei wurde die Allograft-Knochenschraube als Platz- und Abstandhalter und zur biologischen Integration eingesetzt (Abb. 5). Wird die Allograft-Knochenschraube in lebendes Knochengewebe eingesetzt, integriert sie sich in die lokale Blutversorgung, wodurch Wirtszellen in die Havers-Kanäle des Transplantats einwandern können.14 Allogene Knochenschrauben zeigen bei unterschiedlichen Indikationen vielversprechende Ergebnisse mit höheren Heilungsraten und schnellerer Konsolidierung im Vergleich zu Metallimplantaten. Dies könnte ihren Einsatz bei kindlichen Osteotomien erweitern und langfristig die Notwendigkeit von Metallentfernungen reduzieren.15
Trotz vielversprechender kurzzeitiger Ergebnisse ist die Fallzahl in unserer Beobachtung begrenzt, und das Follow-up beschränkt sich teilweise auf einen kurzen Zeitraum unter einem Jahr. Daher ist eine langfristige Bewertung erforderlich, um die Nachhaltigkeit und eventuelle spätere Komplikationen der Allograft-Anwendung in der Kinderorthopädie zu beurteilen.
Fazit
Allografts haben sich in der kinderorthopädischen Fußchirurgie als vielseitige und stabile Rekonstruktionsmöglichkeit etabliert. Sie ermöglichen Korrekturen ohne Morbidität an der Entnahmestelle und sind unabhängig von einer autologen Knochenspende sofort verfügbar. Durch ihre mechanische Belastbarkeit und biologische Integration erweitern sie die Behandlungsoptionen bei komplexen Fußdeformitäten. Durch die Verfügbarkeit von kommerziellen Allografts kann das Angebot an stabilen und sofort verfügbaren Knochentransplantaten unabhängig von Gewebespenden oder langen Wartezeiten bei Knochenbanken erheblich verbessert werden, was die Flexibilität und Effizienz in der kinderorthopädischen Chirurgie steigert.
Literatur:
1 Hoard MA et al.: Reduction in morbidity after iliac crest bone harvesting: the concept of preemptive analgesia. J Craniofac Surg 1998; 9(5): 448-51 2 Nowicki PD et al.: Structural bone allograft in pediatric foot surgery. Am J Orthop 2010; 39(5): 238 3 Lomas R et al.: Bone allograft in the UK: perceptions and realities. Hip Int 2013; 23(5): 427-33 4 Wee J, Thevendran G: The role of orthobiologics in foot and ankle surgery: Allogenic bone grafts and bone graft substitutes. EFORT Open Rev 2017; 2(6): 272-80 5 Baldwin P et al.: Autograft, allograft, and bone graft substitutes: clinical evidence and indications for use in the setting of orthopaedic trauma surgery. J Orthop Trauma 2019; 33(4): 203-13 6 Docquier P et al.: The use of allografts in paediatric orthopaedic surgery. Acta Orthopædica Belgica 2007; 73(5): 551 7 Kwak YH et al.: Use of allograft in skeletally immature patients for calcaneal neck lengthening osteotomy. Yonsei Med J 2008; 49(1): 79-83 8 Brancheau S: Medial Cuneiform Osteotomy with Allograft Implant without Internal Fixation in Pediatric Patients: A Retrospective Study. Clin Surg 2017; 2: 1440 9 Templin D et al.: The incorporation of allogeneic and autogenous bone graft in healing of lateral column lengthening of the calcaneus. J Foot Ankle Surg 2008; 47(4): 283-7 10 Bundesamt für Sicherheit im Gesundheitswesen [5.1.2025]. Abrufbar unter: https://www.basg.gv.at/ 11 Scheffler S et al.: Verwendung von Allografts. Arthroskopie 2019; 32(6): 392-401 12 Khan SN et al.: The biology of bone grafting. J Am Acad Orthop Surg 2005; 13(1): 77-86 13 Vining NC et al.: Comparison of structural bone autografts and allografts in pediatric foot surgery. J Pediatr Orthop 2012; 32(7): 714-8 14 Brcic I et al.: Incorporation of an allogenic cortical bone graft following arthrodesis of the first metatarsophalangeal joint in a patient with hallux rigidus. Life 2021; 11(6): 473 15 Labmayr V et al.: Non-Union Treatment in the Foot, Ankle, and Lower Leg: A Multicenter Retrospective Study Comparing Conventional Treatment with the Human Allogeneic Cortical Bone Screw (Shark Screw®). J Pers Med 2024; 14(4): 352
Das könnte Sie auch interessieren:
Frühe Unterwassertherapie nach totaler Hüft- und Knieendoprothese
Eine frühzeitige Durchführung der Unterwassertherapie mit wasserdichtem Folienverband ab dem vierten postoperativen Tag ist im Allgemeinen sicher, wirksam und ohne Nebenwirkungen.
Aktuelles zur anteromedialen Knieinstabilität
Kombinierte Verletzungen des medialen Kollateral- (MCL) und des vorderen Kreuzbandes (VKB) zählen zu den häufigsten multiligamentären Knieverletzungen. Bei vermeintlich isolierten VKB- ...
Arthroskopische Behandlung von Glenoidrandfrakturen
In der Literatur werden die Begriffe knöcherne Bankart-Läsion und Glenoidrandfraktur häufig synonym verwendet, obwohl sie sich hinsichtlich Pathomechanismus und Therapie deutlich ...