
Pathogenese der akuten Myokarditis und der inflammatorischen Kardiomyopathie
Die Literatur beschreibt weltweit weniger als 1000 Fälle des Erythema elevatum diutinum. Charakterisiert durch chronisch-entzündliche, symmetrisch verteilte Knoten und Plaques, stellt ...
Die Aids Hilfe Wien ist insbesondere in der HIV- und STI-Prävention und -Testung eine der etabliertesten Einrichtungen in Österreich. Trotz der Erfolge in Beratung, Testangeboten und ...
Im Juli 2025 wurde die globale HIV/Aids-Statistik für das Vorjahr veröffentlicht. Die Daten zeigen den großen Handlungsbedarf auf und veranschaulichen Versäumnisse, die in Anbetracht ...
Seit dem Beginn der HIV-Epidemie gab es enorme medizinische Entwicklungen. Moderne antiretrovirale Therapien (ART) ermöglichen eine hohe Lebenserwartung bei guter Gesundheit. Dieser ...
Die Fallzahlen von Gonorrhö und Syphilis nehmen europaweit zu. Auch wenn in den letzten Jahren weniger Chlamydieninfektionen verzeichnet wurden, bleiben sie doch die am häufigsten ...
In Zeiten zunehmender Antibiotikaresistenzen werden innovative Strategien gegen bakterielle Erreger dringend benötigt. Als eine der potenziellen Lösungen bieten sich therapeutische ...
Das Thema viraler Schwangerschaftsinfektionen präsentiert sich wie ein Eisberg, so Assoc. Prof. Priv.-Doz. Dr. Lukas Weseslindtner, Zentrum für Virologie der Medizinischen Universität ...
Im Zuge der Covid-19-Pandemie hatten die ersten mRNA-Impfstoffe Premiere. Die erzielten Erfolge haben dazu beigetragen, dass derzeit mRNA-Vakzine für eine Vielzahl von Indikationen ...
Patienten mit Human-Immunodeficiency-Virus(HIV)-Infektion haben ein erhöhtes Risiko für Atherosklerose-bedingte kardiovaskuläre Krankheiten. Zusätzlich können die antiretrovirale ...
Bei Patient:innen mit einer chronisch-entzündlichen Darmerkrankung (CED) besteht ein höheres Risiko für eine Herpes-zoster-Infektion – insbesondere unter JAK-Inhibitor-Therapie. In ...
Abgesehen von der langen Therapiedauer sieht man sich in der Behandlung der Tuberkulose mit drei großen Herausforderungen konfrontiert: den für dieses Bakterium typischen Eigenschaften, ...
Pilzinfektionen stellen eine zunehmende Herausforderung in der Behandlung von Menschen mit Mukoviszidose (zystische Fibrose) dar. Spezifische diagnostische Schritte und therapeutische ...
Ungefähr 10% der Allgemeinbevölkerung berichten von unerwünschten Arzneimittelreaktionen, welche sich allerdings nur in weniger als 10% der Fälle diagnostisch verifizieren lassen. ...
Akute Halsschmerzen gehören zu den häufigsten Beratungsanlässen in der allgemeinärztlichen und HNO-ärztlichen Praxis. Die aktuelle S3-Leitlinie „Therapie der akuten Tonsillo-Pharyngitis ...
Direkt wirkende antivirale Medikamente (DAA) haben die Behandlung des Hepatitis-C-Virus (HCV) revolutioniert und eine Eliminierung des HCV bei HIV-koinfizierten Menschen in Westeuropa ...
Leider müssen Menschen, die mit HIV leben, auch im Jahr 2025 noch mit Schlechterbehandlung und Ablehnung leben – überwiegend in Hinblick auf Leistungen im Gesundheitsbereich. Die ...
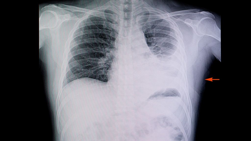
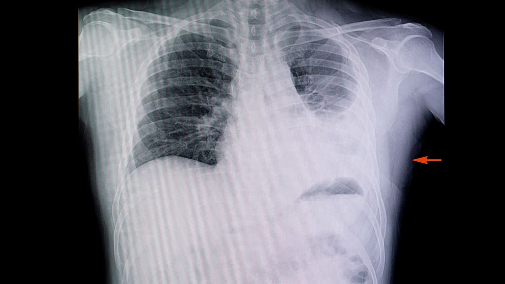
Jede Bakteriämie mit Staphylococcus aureus ist eine ernsthafte Erkrankung mit hoher Mortalität und erfordert eine genaue Abklärung. Die Therapie orientiert sich primär an der Resistenz ...
Streptococcus pyogenes kann zu Infektionen mit sehr unterschiedlicher klinischer Ausprägung und Prognose führen. Das Spektrum reicht von der relativ harmlosen Pharyngitis bis zu akut ...
Dr. Johannes Eimer, Oberarzt an der Klinischen Abteilung für Infektiologie und Tropenmedizin am Kepler Universitätsklinikum in Linz, hat kürzlich den 1. Preis beim angesehenen ...
Mit der Covid-19-Pandemie und der darauf folgenden Welle an Long-Covid-Erkrankungen wurde den postviralen Syndromen neue und bislang nicht dagewesene Aufmerksamkeit zuteil. Dies äußert ...