In der Indikation metabolisch bedingte Lebersteatose bzw. Steatohepatitis scheiterten über viele Jahre zahlreiche Therapieversuche. Seit Kurzem stehen erstmals wirksame Therapien zur ...
Patientinnen und Patienten mit portaler Hypertonie haben ein hohes Risiko, an Komplikationen wie gastroösophagealen Varizen und Blutungen, Aszites oder hepatischer Enzephalopathie zu ...
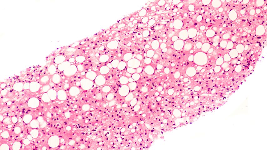
Mittels eines bariatrischen Eingriffes lassen sich adipositasbedingte Komplikationen reduzieren oder gar verhindern. Das gilt auch für die steatotische Lebererkrankung. Am Jahresmeeting ...
Obwohl Frauen rund 50% unserer Gesellschaft und über die Hälfte der Medizinstudent:innen ausmachen, sind sie in Studien, Richtlinien und in Führungspositionen in der Medizin häufig ...
Am Jahreskongress der Schweizerischen Gesellschaft für Gastroenterologie (SSG) und der Swiss Association for the Study of the Liver (SASL) vom 11. bis 12. September 2025 in Interlaken ...
Die MASLD («metabolic dysfunction-associated steatotic liver disease») ist eine Stoffwechselerkrankung, die mit einer Einlagerung von Fett in der Leber einhergeht.1 Die epidemiologischen ...
Kürzlich wurden Arbeiten zu den Risiken nach TIPS-Implantation veröffentlicht und eine neue S3-Leitlinie zu autoimmunen Lebererkrankungen steht nun zur Verfügung. Aktuelles gibt es aber ...
Fokale Leberläsionen sind nicht nur in der Gastroenterologie und Hepatologie, sondern auch in der internistischen und hausärztlichen Praxis ein häufiger Befund bei CT-, MRT- oder ...
Durch aktuelle Migrationsdynamiken befindet sich auch in Österreich die Prävalenz der Infektion mit dem Hepatitis-B-Virus (HBV) im Steigen. Besonders bei Patient:innen unter ...
Viele Menschen mit Adipositas oder Typ-2-Diabetes entwickeln im Verlauf eine mit metabolischer Dysfunktion assoziierte Fettlebererkrankung (MASLD). Die MASLD wird immer noch zu selten ...
Hepatische Rekompensation beschreibt ein neues Konzept, wonach eine erfolgreiche Therapie der zugrunde liegenden Ätiologie es Patient:innen mit dekompensierter Lebererkrankung ermöglicht ...
Zwischen 2016 und 2022 kam es in den USA zu einer unerwarteten Häufung von Hepatitis-A-Ausbrüchen. Besonders betroffen waren sozioökonomisch benachteiligte Bevölkerungsgruppen mit ...
Ganz im Sinne des Titels der Veranstaltung wurden auch beim diesjährigen Update Gastroenterologie-Stoffwechsel vom 14. bis 16. November 2024 in Innsbruck aktuelle Themen der ...
Die gemeinsame Leitlinie für das Management der mit metabolischer Dysfunktion assoziierten steatotischen Lebererkrankung (MASLD) der European Association for the Study of the Liver (EASL ...
Die Digitalisierung der Medizin und zunehmende Anwendungsmöglichkeiten AI(«artificial intelligence»)-assistierter Medizinprodukte in Diagnostik und Therapie gastrointestinaler ...
Patient:innen mit Leberzirrhose haben ein erhöhtes Risiko für Komplikationen und eine erhöhte Mortalität – daher muss eine detaillierte präoperative Evaluierung erfolgen. Es stehen ...
Vom 13. bis 14. September trafen sich die Schweizer Gastroenterolog:innen und Hepatolog:innen in Interlaken zu ihrem Jahreskongress 2024. Im Folgenden stellen wir Ihnen einige der in ...
Die Sarkopenie ist eine progressive Muskelerkrankung, die mit einem Verlust von Muskelmasse und -funktion einhergeht. Obwohl sie bei etwa einem Drittel aller Patient:innen mit ...
Die neue europäische Leitlinie zum Management der mit metabolischer Dysfunktion assoziierten steatotischen Lebererkrankung (MASLD) gibt detaillierte Empfehlungen zu Diagnose, Behandlung ...
Das Screening auf das hepatozelluläre Karzinom (HCC) ermöglicht eine Früherkennung bei Patient:innen mit Zirrhose oder bekannten Risikofaktoren im Zusammenhang mit einer chronischen ...
Vom 5. bis 8. Juni 2024 fand der jährliche Kongress der EASL in Mailand mit rund 7000 Teilnehmern statt. Dabei wurden zahlreiche Studiendaten zu innovativen Wirkstoffen präsentiert, die ...
Mit zunehmender Krankheitsschwere kommt es bei Patient:innen mit Leberzirrhose zu einer Dysregulation der Hypophysen-Nebennierenachse. Niedriges Serumcortisol ist ein unabhängiger ...
Die Risikofaktoren für eine Pfortaderthrombose (PVT) sind vielfältig, häufig entwickelt sie sich als Folge einer Leberzirrhose. Das Vorliegen einer akuten Dekompensation verdoppelt das ...
Der Begriff zystische Pankreasneoplasie fasst eine heterogene Gruppe von Pankreasveränderungen zusammen. Sie zeigen jeweils variable biologische Verhaltensweisen mit unterschiedlichem ...
Fortbildungen & Events
Finden Sie hier auf einen Blick unsere spannenden Veranstaltungsformate für unterschiedliche Fachrichtungen.
Kongress-News
In unseren Newsrooms berichten wir tagesaktuell von den Highlights der wichtigsten Kongresse.