
Thorakale Komplikationen nach Polytrauma
Autor:
DDr. Gabriel Halát
Universitätsklinik für Orthopädie und Unfallchirurgie, Klinische Abteilung für Unfallchirurgie, Medizinische Universität Wien
E-Mail: gabriel.halat@meduniwien.ac.at
Vielen Dank für Ihr Interesse!
Einige Inhalte sind aufgrund rechtlicher Bestimmungen nur für registrierte Nutzer bzw. medizinisches Fachpersonal zugänglich.
Sie sind bereits registriert?
Loggen Sie sich mit Ihrem Universimed-Benutzerkonto ein:
Sie sind noch nicht registriert?
Registrieren Sie sich jetzt kostenlos auf universimed.com und erhalten Sie Zugang zu allen Artikeln, bewerten Sie Inhalte und speichern Sie interessante Beiträge in Ihrem persönlichen Bereich
zum späteren Lesen. Ihre Registrierung ist für alle Unversimed-Portale gültig. (inkl. allgemeineplus.at & med-Diplom.at)
Thorakale Komplikationen bei Polytraumapatient:innen können durch diverse pathophysiologische Vorgänge, aber auch durch iatrogene Einflüsse ausgelöst oder ihre Ausprägung gefördert werden. Aufgrund des bereits kompromittierten Kompensationspotenzials des verletzten Organismus steigt erwartungsgemäß die Letalitätsrate. Die Kenntnis über mögliche Komplikationen begleitender Thoraxverletzungen, deren Auswirkung auf Polytraumapatient:innen und über potenzielle Therapieansätze ist für die Schwerstverletztenversorgung imperativ. Eine weitsichtige, prioritätenorientierte Therapieplanung und die Erstellung etwaiger interdisziplinärer Behandlungskonzepte können Komplikationsraten niedrig halten und somit den Heilungsverlauf begünstigen.
Keypoints
-
Bedingt durch die systemische Inflammationsantwort besteht für Polytraumapatient:innen eine höhere Gefahr für Komplikationen nach einer Thoraxverletzung.
-
Komplikationen kann durch einen verdachtsorientierten diagnostischen Zugang und angepasste therapeutische Maßnahmen frühzeitig entgegengesteuert werden.
-
Im Rahmen systematischer Reevaluierungen sollen anberaumte Therapien bewertet und gegebenenfalls nach Durchführung komplementärer diagnostischer Maßnahmen adaptiert werden.
-
Bei der Diagnostik von Polytraumapatient:innen mit Thoraxtrauma sind die folgenden „verborgenen 6“ stets auszuschließen: thorakale Aortenruptur, tracheobronchiale Ruptur, Herzkontusion, Zwerchfellruptur, Ösophagusruptur und Lungenkontusion.
Stumpfe bzw. penetrierende Verletzungen des Thorax treten als Begleitverletzung bei etwa 40–60% aller Polytraumapatient:innen auf. Stumpfe Verletzungen sind hier mit einer deutlich höheren Inzidenz (80–90%) als penetrierende Verletzungen (10–20%) zu verzeichnen.
Verletzungen des Thorax können die Brustwand (Rippen- und Sternumfrakturen) sowie die Brustorgane (Lungenverletzungen, Trachealverletzungen, Pneumo- und Hämatothorax, Verletzungen großer Gefäße, Herzverletzungen) betreffen. Gaillard et al. geben die Inzidenzen assoziierter Thoraxverletzungen bei Polytraumapatient:innen folgendermaßen an: Rippenfrakturen 28%, Pneumothorax 41%, Hämatothorax 30%, instabiler Thorax 12,5%, Lungenkontusion 12%.1 Aufgrund der Beeinträchtigung des polytraumatisierten Organismus durch singuläre Thoraxverletzungen oder deren Kombination und der daraus resultierenden potenziellen Komplikationen ergeben sich signifikant erhöhte Letalitätsraten (Pneumothorax 38,1%, Hämatothorax 42,3%, Lungenkontusionen 56%, instabiler Thorax 68,6%) im Vergleich zur allgemeinen Letalitätsrate von 27,1%.1
Die Entstehung von Komplikationen wird an erster Stelle durch die Physiologie der Patientin/des Patienten geprägt. Weitere relevante Faktoren sind der inflammatorische Stimulus, bedingt durch die Verletzungsschwere,2 die prähospitalen Therapiebedingungen und -entscheidungen, potenziell unerkannte Verletzungen während der primären Diagnostik und die oftmals notwendige Priorisierung in der Therapie von lebensbedrohlichen Zuständen mit Postposition der definitiven Versorgung von Begleitverletzungen. Die resultierende Konstellation dieser Faktoren hat einen variablen Einfluss auf die primäre Letalität sowie auf die Entwicklung verletzungsassoziierter Komplikationen und dadurch einen potenziell negativen Effekt auf die sekundäre Letalität. Im Sinne der Komplikationsprävention und der konsequenten Reduktion der Letalität sind die präzise Diagnostik einzelner Thoraxverletzungen und deren vorausschauende Behandlung notwendig. In der folgenden Aufarbeitung werden die häufigsten Thoraxverletzungen, die Inzidenz und Manifestation potenzieller Komplikationen sowie mögliche Behandlungs- und Präventionsmaßnahmen exemplarisch aufgezeigt.
Rippenfrakturen und instabilerThorax
Obwohl einfache Rippenfrakturen konservativ behandelt werden, können Komplikationen nach Rippenfrakturen einen substanziellen Einfluss auf die Morbidität und Letalität haben.1,3 Das Komplikationspotenzial kann durch eine ausreichende Analgesie und entsprechende Atemtherapie deutlich gesenkt werden.
Die Komplexität der Verletzung steigt mit der Anzahl und der Frakturform der verletzten Rippen. Eine segmentale Fraktur von 3 oder mehr benachbarten Rippen ist die am weitesten verbreitete Definition eines instabilen Thorax („flail chest“). In den vorliegenden Studien variiert die Inzidenz bei Polytraumapatient:innen zwischen 1% und 16%; die Letalitätsrate wird mit bis zu 25% angegeben,4–6 wobei nur beidseitige Thoraxinstabilitäten signifikant mit einer erhöhten Letalität assoziiert waren.7 Die Instabilität der Thoraxwand kann mit und ohne paradoxes Atemmuster zu respiratorischer Insuffizienz führen und bedarf einer pneumatischen Stabilisierung im Sinne einer unmittelbaren Intubation und maschineller Beatmung. Die aus dieser Therapiemodalität entstehende Komplikation einer Pneumonie trägt zu erhöhten Letalitätsraten bei Patient:innen mit instabilem Thorax bei.8 Eine zeitnahe Distanzierung von der maschinellen Beatmung ist, solange es die Begleitverletzungen zulassen, anzustreben. Sollte sich nach der Extubation der Patientin/des Patienten eine persistierende respiratorische Insuffizienz bzw. „Erschöpfung“ manifestieren, ist zu diesem Zeitpunkt eine chirurgische Intervention zur Stabilisierung der Thoraxwand zu erwägen. Die Verplattung von zumindest 3 segmental frakturierten Rippen pro betroffener Thoraxhälfte führt durch die Optimierung der Atemmechanik zu einer verbesserten Ventilation von betroffenen Lungenabschnitten und hierdurch zu einer signifikanten Reduktion potenzieller Komplikationen.
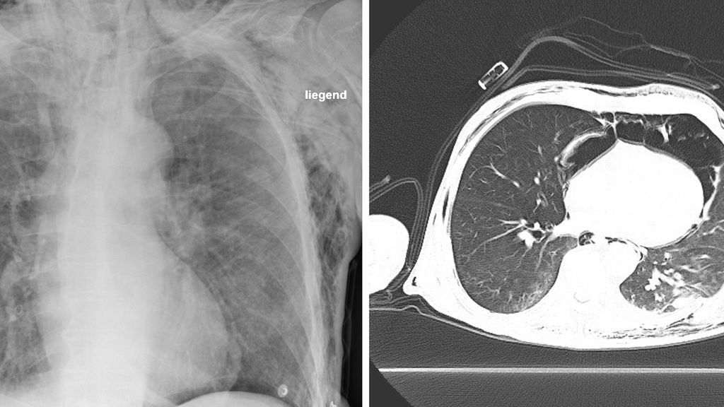
Abb. 1: Eine 25 Jahre alte Patientin nach seitlichem Aufprall mit linksseitiger Zwerchfellruptur und Migration der Oberbauchorgane in den Thorax. Koronare Schichten zeigen die Magenblase im linken Hemithorax (A). Axial ist das Ausmaß der Organmigration dargestellt (B). Lungenröntgen 4 Tage nach der unmittelbar posttraumatisch durchgeführten Rekonstruktion des Zwerchfells (C)
Serienrippenfrakturen sowie ein „flail chest“ werden häufig (46%–54%) von Lungenkontusionen begleitet.4,5 Die alleinige Kombination dieser traumaassoziierten Pathologien führt zu einer bis zu 40%igen Letalitätsrate, die im Rahmen einer systemischen Inflammationsantwort entsprechend steigt.4,9 Hier ist der pneumatischen Stabilisierung in der primären Versorgung der Vorzug zu geben, jedoch profitieren Polytraumapatient:innen mit einer Lungenkontusion auch nach Abklingen der Akutphase von einer chirurgischen Thoraxwandstabilisierung, da die Wahrscheinlichkeit der Entwicklung eines ARDS reduziert werden kann.
Sternumfraktur
Die Brustbeinfraktur muss als Indikator für das Ausmaß der einwirkenden Kraft wahrgenommen werden und soll den Verdacht auf weitere intrathorakale sowie auf Wirbelsäulenverletzungen wecken.10,11 Herzverletzungen im Sinne einer Commotio cordis oder einer Contusio cordis sollen im Rahmen der primären Diagnostik wahrgenommen und die Behandlung entsprechend angepasst werden. Diagnostische Mittel zum Ausschluss einer Herzverletzung sind das EKG, die Bestimmung kardialer Biomarker (CK, CK-MB) und der Herzultraschall. Die Therapie ist symptomorientiert und wird im intensivmedizinischen Umfeld je nach Ausprägung der Herzinsuffizienz und etwaiger Herzrhythmusstörungen bestimmt. Die Inzidenz der myokardialen Kontusion bei einer Sternumfraktur wird je nach Studie zwischen 1,3% und 21,4% angegeben. Die Letalitätsrate von Herzverletzungen liegt bei Patient:innen mit stumpfem Thoraxtrauma zwischen 1,4% und 36,4%.12,13
Tracheobronchiale Verletzungen sind selten, bei Verdacht muss jedoch eine rasche und gründliche Abklärung erfolgen. Abhängig von Ausmaß und Lokalisation kann eine konservative oder chirurgische Therapie durchgeführt werden.14,15
Prinzipiell resultieren aus isolierten Brustbeinfrakturen keine relevanten Komplikationen. Pseudoarthrosen oder Beschwerden durch Überlappungsdeformitäten sind selten.
Zwerchfellverletzung
Die Verletzung des Zwerchfells weist auf eine hohe Krafteinwirkung auf den polytraumatisierten Organismus hin. Penetrierende Traumata des Thorax (mit direkter, meist kleiner und unilateraler Verletzung des Zwerchfells) machen zwei Drittel und stumpfe Traumata ein Drittel aller Zwerchfellverletzungen aus. Die aus stumpfen Traumata resultierenden, meist großen Rupturen sind wiederum zu einem Drittel bilateral.
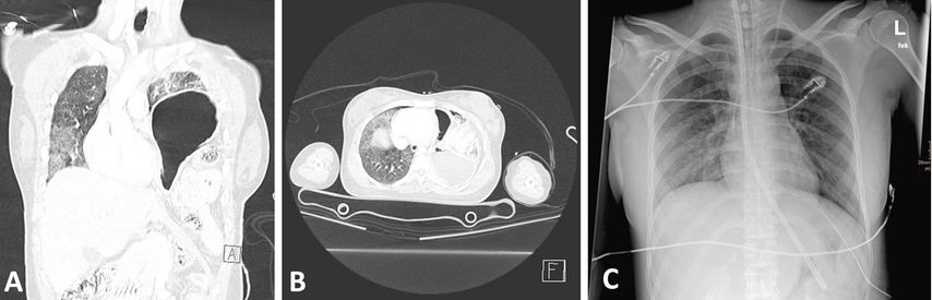
Abb. 2: Lungenröntgen eines 89-jährigen Patienten nach einem Sturz von der Leiter mit begleitendem Schädel-Hirn-Trauma und mehreren Extremitätenverletzungen. Es zeigt sich ein ausgedehntes Weichteilemphysem, Rippenfrakturen sind erkennbar, ein Pneumothorax kann nicht ausgeschlossen werden (A). Das CT zeigt das Bild eines Pneumomediastinums bei Trachealruptur sowie eine dislozierte Rippenfraktur mit lokaler Lungenparenchymeinblutung nach stumpfem Thoraxtrauma (B)
Ungeachtet der klaren Radiomorphologie großer Rupturen des Zwerchfells können okkulte Verletzungen im Rahmen der initialen Diagnostik, vor allem rechtsseitig, unentdeckt bleiben und bedürfen eines verdachtsgeprägten Zugangs. Die sekundäre Migration von intraabdominellen Hohl- und parenchymatösen Organen in die Thoraxkavität mit assoziierter Inkarzeration oder der Verdrängung intrathorakaler Organe kann zu relevanten Komplikationen führen.
Bei frischer Zwerchfellruptur ist der Verschluss des Zwerchfelldefektes, ggf. mit einer Netzaugmentation, die Therapie der Wahl. Bei verzögerten Diagnosen kommen aufgrund nicht antizipierbarer intraoperativer Befunde offene Verfahren zum Einsatz, sodass im Rahmen etwaiger Laparotomien nekrotische Darmanteile reseziert, Colostomata angelegt, Gefäßstiele der Milz unter Sicht reponiert, Leberlazerationen inspiziert, Drainagen eingelegt und das Zwerchfell rekonstruiert werden können.16–19
Lungenkontusion
Polytraumapatient:innen mit einer parenchymalen Lungenverletzung entwickeln mit einer höheren Wahrscheinlichkeit ein ARDS als jene mit nur einer Lungenkontusion (78% vs. 17%).20 Aus diesem Grund ist eine frühzeitige Einschätzung der parenchymalen Lungenverletzung bei diesen Patient:innen von Bedeutung, um möglichen Komplikationen entgegenzuwirken. Da die Lungenkontusion patho- und radiomorphologisch einer langsamen Entwicklung unterliegt, ist ihr tatsächliches Ausmaß erst 24–48 Stunden nach Trauma im CT darstellbar, wobei das klinische Bild entsprechend dem Schweregrad und anderen begleitenden Verletzungen variieren kann. Im Extremfall ist der alveoläre Gasaustausch gestört, resultierend in einer Hypoxämie und damit Tachypnoe und Dyspnoe. Ungeachtet dieser Tatsache kann das Risiko für die Entwicklung eines ARDS bereits im Rahmen der primären bildgebenden Diagnostik nach Trauma mittels CT eingeschätzt werden, sodass intensivmedizinische Maßnahmen zur ARDS-Prävention bzw. zur Ausprägungsminderung unmittelbar danach ergriffen werden können.21
Das ARDS, eine akute, diffuse, entzündliche Schädigung des Lungengewebes, führt zu einer erhöhten Permeabilität der Lungengefäße, einer Zunahme des Lungengewichts und zu einem Verlust an ventiliertem Lungengewebe mit Hypoxämie und beidseitiger Röntgenverschattung.22 Ein ARDS kann entweder durch eine direkte Verletzung der Lunge (z.B. stumpfes Thoraxtrauma und Aspiration) oder durch eine indirekte extrapulmonale Schädigung (z.B. Sepsis, hypovolämischer Schock und Pankreatitis) verursacht werden.23,24 Laut Seitz et al. löst die Kombination aus Poly- und Thoraxtrauma (unabhängig vom Schweregrad) einen ausreichenden Entzündungsreiz aus, der die Wahrscheinlichkeit der Entstehung eines ARDS erhöht.2 Als weitere unabhängige Risikofaktoren für die Entwicklung eines ARDS nach stumpfem Thoraxtrauma wurden eine bestehende Lungenkontusion, ein Transfusionsbedarf von mehr als 10 EK-Einheiten innerhalb von 24 Stunden, Hypotonie bei Aufnahme, ein Alter von über 65 Jahren und die Dauer der mechanischen Beatmung identifiziert.21
Bei Polytraumapatient:innen ist das Thoraxtrauma laut Haider et al. unabhängig von der Gesamtschwere der Verletzung ein Hauptrisikofaktor für die Entwicklung eines ARDS während des Krankenhausaufenthaltes. Ein ARDS wird in der Regel vor einer Pneumonie diagnostiziert, wobei die Ausbildung eines ARDS die Wahrscheinlichkeit für eine Pneumonie um das Zehnfache erhöht. Des Weiteren stellten die Autor:innen fest, dass ein schweres ARDS bei Patient:innen mit Thoraxtrauma früher auftritt und dass die Letalitätsrate bei Polytraumapatient:innen, die ein ARDS entwickelten, mit und ohne begleitendes Thoraxtrauma vergleichbar ist.25
Easton und Balogh zufolge stellt eine Operation nach dem Trauma einen signifikanten „second hit“ dar, der sich in erhöhten systemischen proinflammatorischen Zytokinspiegeln äußert, die auch die endogene Entzündungsreaktion verstärken und somit zu einer erhöhten Wahrscheinlichkeit für die Entwicklung eines ARDS führen können.26
Der Behandlung des ARDS liegt die Minimierung oder das Vermeiden von auslösenden Faktoren zugrunde. Zusätzliche therapeutische Maßnahmen, wie Sauerstoffgabe, Überdruckbeatmung, Optimierung des Flüssigkeitshaushaltes und der Gerinnung, antibiotische Therapie, Lagerung der Patientin/des Patienten bis hin zur ECMO, kommen je nach Ausprägung zum Einsatz.
Pneumothorax/Hämatothorax
Ein Pneumothorax tritt bei bis zu 50% der Polytraumapatient:innen mit stumpfem Thoraxtrauma auf und entsteht in den meisten Fällen auf der Basis einer Verletzung des Lungenparenchyms.27–31 In Anbetracht des daraus resultierenden Komplikationspotenzials sind hohe Morbiditäts- und Letalitätsraten bei diesen Patient:innen keine Seltenheit.27,29
Für die Behandlung eines signifikanten Pneumothorax/Hämatothorax ist in den meisten Fällen das Legen einer Thoraxdrainage ausreichend, die in der Regel innerhalb kurzer Zeit ohne weiteren Eingriff entfernt werden kann.
Die Diagnostik sowie auch die Behandlung schwerer Luftfisteln des Lungenparenchyms sind jedoch wesentlich anspruchsvoller, da in erster Linie Tracheobronchialverletzungen ausgeschlossen werden müssen und eine chirurgische Intervention mit Übernähung oder Resektion des betroffenen Lungenparenchyms, Hämatomevakuation sowie einer etwaigen Reposition und Stabilisierung der oft verschobenen Rippenfrakturen erforderlich sein kann.32,33
Eine prolongierte Luftfistelung stellt eine weitere Komplikation des traumatischen Pneumothorax bei Polytraumapatient:innen dar. Sie ist definiert als eine über 5 Tage andauernde Förderung von Luft aus dem Lungenparenchym. Dieser Umstand führt häufig zu weiteren Komplikationen und zu einem deutlich verlängerten Krankenhausaufenthalt.34 Um hier vorbeugend einzuwirken, plädieren wir bei schwerer Luftfistelung für einen großzügigen Einsatz eines CTs frühzeitig nach dem Trauma, um mögliche Lungenverletzungen zu erkennen und die Planung eines zeitnahen chirurgischen Eingriffs zu erleichtern. Bei geringer, auch wenn prolongierter Luftfistelung kann prinzipiell ein abwartendes Behandlungsregime an der engmaschig monitierten Thoraxdrainage eingeschlagen werden, da hier von einer Selbstlimitierung nach bis zu 9 Tagen ausgegangen werden kann.31
Im Rahmen penetrierender Thoraxverletzungen mit Eröffnung der Pleurahöhle ist die Inzidenz eines Pneumothorax, mit oder ohne begleitenden Hämatothorax, naturgemäß sehr hoch. Nach einem penetrierenden Trauma können mit dem alleinigen Einbringen einer Thoraxdrainage 85% der Pneumothoraces erfolgreich behandelt werden.35 Ebenso können Blutungen in die Pleurahöhle monitiert und bei geringer Ausprägung ohne weitere Intervention mitversorgt werden. Die verbleibenden 15% benötigen weitere therapeutische Maßnahmen wie eine Übernähung oder die Resektion des verletzten Lungenparenchyms, gegebenenfalls auch eine Hämatomevakuation.36,37
Bei penetrierenden Verletzungen des Thorax besteht zusätzlich zu den Komplikationen nach Pneumo-/Hämatothorax, die bei stumpfen Thoraxverletzungen auftreten, eine höhere Gefahr einer aus der Verletzung resultierenden Kontamination der Pleurahöhle.38 Das Vorliegen eines Pleurahämatoms, das für eine Breite an bakteriellen Erregern einen ausgezeichneten Nährboden bildet, lässt das Risiko für ein Pleuraempyem und in Folge die Letalitätsrate bei Polytraumapatient:innen deutlich ansteigen.39 Eren et al. untersuchten 2261 Patient:innen mit Thoraxtrauma, bei denen eine Thoraxdrainage erforderlich war. Sie kamen zu dem Schluss, dass die Dauer der Thoraxdrainage, das Vorliegen einer Lungenkontusion, die Dauer des Aufenthalts auf der Intensivstation, ein persistierender Hämatothorax und die explorative Laparotomie unabhängige Vorhersagefaktoren für ein posttraumatisches Empyem waren.40
Maßnahmen zur Reduktion der kontaminationsassoziierten Komplikationsrate bei penetrierenden Thoraxtraumata sind eine gründliche chirurgische Wundversorgung, das Setzen einer Thoraxdrainage unter sterilen Bedingungen mit ausreichendem räumlichen Abstand zur Verletzung, eine antibiotische Prophylaxe mit einem Breitbandantibiotikum und die Beobachtung der Resorptionstendenz eines potenziellen Pleurahämatoms sowie gegebenenfalls eine Hämatomevakuation bei Ausbleiben einer spontanen Resorption.41–43 Die Verabreichung einer antibiotischen Prophylaxe zur Empyemprävention nach stumpfem Thoraxtrauma und nach chirurgischer Einlage einer Thoraxdrainage unter sterilen Bedingungen scheint keinen Vorteil zu bieten.44 Auf die Prüfung des Tetanus-Impfstatus ist in der Hitze des Diagnose- und Behandlungsablaufs nicht zu vergessen.
Literatur:
1 Gaillard M et al.: J Trauma 1990; 30(1): 93-6 2 Seitz DH et al.: J Trauma 2011; 70(1): 189-96 3 Ziegler DW, Agarwald NN: J Trauma 1994; 37(6): 975-9 4 Dehghan N et al.: J Trauma Acute Care Surg 2014; 76(2): 462-8 5Schulz-Drost S et al.: Unfallchirurg 2016; 119(12): 1023-30 6 Sirmali M et al.: Eur J Cardiothorac Surg 2003; 24(1): 133-8 7 Huber S et al.: Scand J Trauma Resusc Emerg Med 2014; 22: 52 8Velmahos GC et al.: Int Surg 2002; 87(4): 240-4 9 Collins J: J Thorac Imaging 2000; 15(2): 112-9 10 Oyentunji TA et al.: Am Surg 2013; 79(7): 702-5 11Ramgopal S et al.: J Pediatr Surg 2019; 54(8): 1628-31 12Mirvis SE: Semin Ultrasound CT MR 2004; 25(2): 156-7913Kyriazidis IP et al.: World J Emerg Surg 2023; 18(1): 36 14 Cassada DC et al.: Ann Thorac Surg 2000; 69(5): 1563-7 15 Hwang JJ et al.: Korean J Thorac Cardiovasc Surg 2013; 46(3): 197-201 16Weaver AA et al.: Traffic Inj Prev 2018; 19(sup1): S195-8 17 Kumar A et al.: BMJ Case Rep 2017; bcr2017221220 18Corbellini C et al.: Ulus Travma Acil Cerrahi Derg 2017; 23(5): 421-6 19 Smoliński S et al.: Kardiochir Torakochirurgia Pol 2017; 14(2): 143-5 20 Rendeki S, Molnár TF: J Thorac Dis 2019; 11(Suppl 2): S141-51 21 Negrin LL et al.: JCrit Care 2017; 37: 211-8 22 Ranieri VM et al.: JAMA 2012; 307(23): 2526-33 23 Pelosi P et al.: Semin Respir Crit Care Med 2001; 22(3): 259-68 24 Rocco PRM, Zin WA: Curr Opin Crit Care 2005; 11(1): 10-7 25 Haider T et al.: Minerva Anestesiol 2017; 83(10): 1026-33 26 Easton R, Balogh ZJ: Injury 2014; 45(6): 934-41 27 Lomoschitz FM et al.: Eur J Radiol 2003; 48(1): 61-70 28 Mayberry JC: J Thorac Imaging 2000; 15(2): 76-86 29 Miller LA: Radiol Clin North Am 2006; 44(2): 213-24, viii 30 Peters S et al.: Clin Radiol 2010; 65(4): 333-8 31 Halat G et al.: Injury 2017; 48(9): 1895-9 32 Coughlin SM et al.: Can J Surg 2012; 55(4): 264-70 33 Rotondo MF, Bard MR: Injury 2004; 35(7): 649-54 34 Marshall MB et al.: Chest 2002; 121(3): 831-5 35Mattox KL, Allen MK: Injury 1986; 17(5): 313-7 36 Casós SR, Richardson JD: Curr Opin Crit Care 2006; 12(6): 584-9 37Mowery NT et al.: J Trauma 2011; 70(2): 510-8 38 Burton PR et al.: Emerg Med Australas 2009; 21(2): 153-9 39Ashbaugh DG: Chest 1991; 99(5): 1162-5 40 Eren S et al.: Injury 2008; 39(1): 44-9 41 Grover FL et al.: J Thorac Cardiovasc Surg 1977; 74(4): 528-36 42 Mandal AK et al.: J Trauma 1985; 25(7): 639-43 43 O’Connor JV et al.: Injury 2013; 44(9): 1153-8 44 Heydari MB et al.: J Inj Violence Res 2014; 6(2): 91-2
Das könnte Sie auch interessieren:
Angeborene Fehlstellungen des Unterschenkels
Kongenitale Deformitäten des Unterschenkels gehören zu den seltenen, aber medizinisch bedeutenden und operativ herausfordernden Diagnosen der Kinderorthopädie. Eine differenzierte ...
Korrektur assoziierter Gelenkspathologien beim kongenitalen Femurdefekt
Der kongenitale Femurdefekt ist eine der spannendsten und komplexesten angeborenen Fehlbildungen in der Kinderorthopädie und in der klinischen Präsentation sehr vielgestaltig. Während ...
Hochgradige ACG-Luxationen – wann konservativ behandeln, wann nicht?
Verletzungen des Akromioklavikulargelenks (ACG) gehören zu den häufigsten Schulterverletzungen bei jungen und aktiven Menschen, insbesondere auch aufgrund der zunehmenden Beliebtheit von ...