
Angeborene Fehlstellungen des Unterschenkels
Autor:innen:
Dr. Alexandra Stauffer
Priv.-Doz. Dr. Christof Radler
Orthopädisches Spital Speising
Wien
E-Mail: alexandra.stauffer@oss.at
Vielen Dank für Ihr Interesse!
Einige Inhalte sind aufgrund rechtlicher Bestimmungen nur für registrierte Nutzer bzw. medizinisches Fachpersonal zugänglich.
Sie sind bereits registriert?
Loggen Sie sich mit Ihrem Universimed-Benutzerkonto ein:
Sie sind noch nicht registriert?
Registrieren Sie sich jetzt kostenlos auf universimed.com und erhalten Sie Zugang zu allen Artikeln, bewerten Sie Inhalte und speichern Sie interessante Beiträge in Ihrem persönlichen Bereich
zum späteren Lesen. Ihre Registrierung ist für alle Unversimed-Portale gültig. (inkl. allgemeineplus.at & med-Diplom.at)
Kongenitale Deformitäten des Unterschenkels gehören zu den seltenen, aber medizinisch bedeutenden und operativ herausfordernden Diagnosen der Kinderorthopädie. Eine differenzierte Diagnostik und individuelle Therapieplanung sind essenziell für ein funktionell gutes Langzeitergebnis.
Von Geburt an bestehende Fehlstellungen des Unterschenkels, genauer der Tibia und der Fibula, können isoliert oder im Rahmen von Syndromen auftreten. Weiters können sie in der Schwere der Ausprägung variieren – von spontan rückbildenden Achsabweichungen bis hin zu komplexen longitudinalen Deformitäten mit Gelenkinstabilitäten und Beinlängendifferenzen. Die Biegung der Tibia, nach anteromedial, anterolateral oder posteromedial, liefert darüber hinaus entscheidendene Hinweise auf mögliche Differenzialdiagnosen.
Anteromediales Bowing
Die Biegung der Tibia richtet sich in diesem Fall nach vorne und zur Körpermitte. Diese Fehlstellung tritt vor allem bei Fibulahemimelie in unterschiedlicher Ausprägung auf. Die fibuläre Hemimelie tritt bei 1:50000 bis 1:135000 Geburten auf. Der Phänotyp der Fibulahemimelie reicht von leichter Verkürzung bis zu einem Fehlen der Fibula und führt dadurch zu einem typischen anterioren oder anteromedialen Bowing des Unterschenkels. Instabilitäten des Knie- und Sprunggelenkes können mit der Fibulahemimelie einhergehen.1,2 Fußfehlbildungen gekennzeichnet durch das Fehlen der lateralen Strahlen, Koalitionen, Equinovalgus- oder Klumpfußstellung können auftreten. Anschaulich illustriert wird dieses Zustandsbild durch den klinischen Fall eines 6-jährigen Patienten mit unilateraler FH und 4-strahligem Fuß rechts sowie einer ausgeprägten Beinlängendifferenz vor chirurgischer Rekonstruktion. (Abb.1a–c).3 Die sporadische Form ist meistens unilateral und kann mit einem kongenitalen Femurdefekt einhergehen.1,4 Bilaterale Formen sind selten und treten häufiger im Rahmen von Syndromen auf. Eine Disruption in der frühen Embryogenese wird als wahrscheinlichste Ursache einer Fibulahemimelie angesehen, die Ätiologie ist jedoch unklar.1 Die am häufigsten verwendete Klassifikation nach Achterman-Kalamchi unterteilt die Fibulahemimelie in lediglich zwei Typen mit einer Subgruppe:5
-
Typ IA: proximale Hypoplasie der Fibula mit intakter Sprunggelenksgabel
-
Typ IB wie IA, jedoch mit Fehlstellung der Sprunggelenksgabel
-
Typ II: komplette Aplasie der Fibula
Abb. 1: 6-Jähriger mit unilateraler FH und 4-strahligem Fuß rechts sowie ausgeprägter Beinlängendifferenz vor chirurgischer Rekonstruktion (a–c). Laufende Valguskorrektur und Beinlängenausgleich mittels externen hexapoden Fixateurs mit Fußeinschluss
Die neuere Unterteilung nach Paley bezieht die Sprunggelenkspathologien in die Klassifikation mit ein (vier Typen mit Untergruppen) und gibt auch hier Empfehlung zu operativen Verfahren ab.1 Ziele der chirurgischen Rekonstruktion umfassen die Fußkorrektur mit plantigrader Position, den Ausgleich der Beinlängendifferenz bei Wachstumsabschluss sowie eine neutrale Beinachse. Neben konservativen Maßnahmen wie Schuhzurichtungen und Orthosenversorgung, erfolgt die Korrektur schließlich über chirurgische Verfahren wie Stabilisierungstechniken des Knie- und Sprunggelenkes, Wachstumslenkung sowie beinverlängernde Maßnahmen. Im Fall des 6-jährigen Patienten erfolgten eine Valguskorrektur und ein Beinlängenausgleich mittels externen hexapoden Fixateurs und Fußeinschluss (Abb.1d,e).6 In besonders schweren Fällen mit ausgeprägter Fehlbildung und Hypoplasie des Fußes kann eine Amputation mit anschließender Orthoprothesenversorgung in Betracht gezogen werden.7
Anterolaterales Bowing
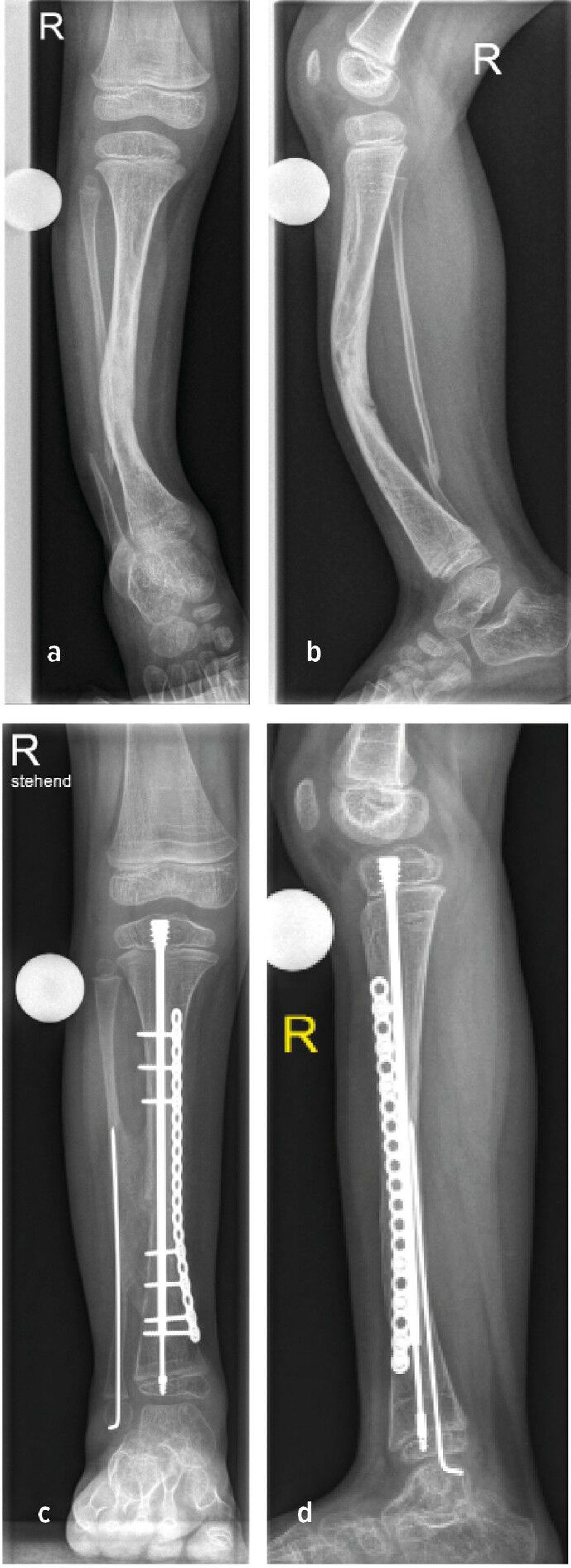
Im Falle eines anterolateralen Bowings richtet sich die Tibia nach vorne und außen. Differenzialdiagnostisch ist dabei im Schaftbereich an eine kongenitale Tibiapseudoarthrose (CPT) zu denken. Die Geburtenprävalenz der kongenitalen Tibiapseudoarthrose wird auf 1:140000 bis 1:250000 geschätzt. Neben dem kennzeichnenden Merkmal des anterolateralen Bowings können Frakturen der Tibia und/oder Fibula auftreten. Häufige Assoziationen vor allem mit Neurofibromatose Typ I sind beschrieben, jedoch ist das Auftreten einer CPT auch im Rahmen von osteofibrösen Dysplasien möglich.8 Die Abbildung 2a zeigt in diesem Sinne das Zustandsbild eines 5-Jährigen mit CPT rechts und genetisch bestätigter NF1, anterolaterales Bowing der Tibia sowie Pseudoarthrose der Fibula (Abb.2a,b). Die Pathogenese der CPT ist nicht vollständig geklärt. Ein pathologisch verdicktes, relativ avaskuläres und stark adhärentes Periost spielt eine tragende Rolle in der Entstehung einer kongenitalen Pseudoarthrose. Diese Veränderungen des Periosts führen vermutlich zu einem Knochenschwund mit erhöhtem Frakturrisiko. Histologische Untersuchungen an den chirurgischen Resektionsstellen zeigen ein fibröses Hamartom mit erhöhter Osteoklastenaktivität, fibröser Hyperplasie und verminderter Blutzufuhr zum Knochen. Daraus resultierende Umbauprozesse, insbesondere Sklerosierung und Osteolysen, führen zu typischen Veränderungen an der Tibia und Fibula.9
Eine Einteilung der CPT erfolgt deskriptiv nach Crawford:10
-
Typ I: Antekurvation und Kortikalisverdickung der Tibia
-
Typ II: Antekurvation, Varusfehlstellung und Sklerosierung der Tibia
-
Typ III: zystische Strukturveränderung wie bei fibröser Dysplasie, Frakturen
-
Typ IV: dysplastisch, Knochen ausgedünnt, sklerosiert
Abb. 2: Präoperative (a+b) sowie postoperative Bildgebung (c+d) eines 5-jährigen Patienten mit CPT
Rezente Klassifikation berücksichtigt die Integrität der Tibia und Fibula, die Stellung der distalen Fibula in der Gelenksgabel sowie das Vorhandensein knöcherner Defekte.11 Sowohl konservative Therapie zur Frakturvermeidung als auch operative Verfahren zur Korrektur der Fehlstellung stehen zur Verfügung: Orthesen, Anlage eines externen Fixateurs, intramedulläre Marknagelung, Transfer einer vaskularisierten Fibula oder Durchführung einer sogenannten Cross-Union (X-Union). Abbildung 2b zeigt hierzu den Fall einer Cross-Union-Operation mit Resektion der Pseudoarthrose, guter Knochenbrücke zwischen Tibia und Fibula (Cross-Union), Stabilisierung der Tibia mit intramedullärem Teleskopnagel und Platte, Stabilisierung der Fibula mit Bohrdraht (Abb.2c,d).11,12
Weitere Differenzialdiagnosen, die sich klinisch ebenfalls mit einem anterolateralen Bowing präsentieren können, sind unter anderem Tibia duplex, die im Gegensatz zur CPT eine Duplikatur des ersten Strahls aufweist, oder einige Skelettdysplasien wie zum Beispiel die fibröse Dysplasie oder Osteogenesis imperfecta.13,14
Posteromediales Bowing
Die genaue Epidemiologie und Pathogenese des posteromedialen Bowings, auch bekannt als Crus valgum recurvatum, sind unbekannt. Einzelne dokumentierte Fälle in der Literatur lassen jedoch darauf schließen, dass es sich hierbei um eine sehr seltene Fehlstellung des Unterschenkels handelt, die vor allem die linke Extremität betrifft.15,16 Die Biegung der Tibia nach hinten und zur Körpermitte beträgt zwischen 25 und 70° und tritt typischerweise am Übergang vom mittleren zum distalen Drittel auf. In ausgeprägten Fällen kann die Fehlstellung bis zu 90° betragen. Der Fuß des Neugeborenen kann in schweren Fällen auf der Schienbeinkante zu liegen kommen. Bildlich repräsentiert dies der Fall eines 6 Wochen alten Mädchens mit posteromedialem Bowing der linken unteren Extremität mit typischer Biegung am Übergang vom mittleren zum distalen Drittel. Hier kommt der Fußrücken an der Unterschenkelkante zu liegen (Abb.3a,b). Differenzialdiagnostisch ist dabei an eine Calcaneo-valgus-Fehlstellung des Fußes zu denken.16 Eine spontane Rückbildung der Fehlstellung wird im Laufe des Wachstums bis zum 4.–5. Lebensjahr beobachtet.15 Konservative Maßnahmen beschränken sich initial auf sanfte Fußmassagen des Neugeborenen. In schweren Fällen kann eine graduelle Gipsredression eingesetzt werden.14
Abb. 3: 6 Wochen altes Mädchen mit posteromedialem Bowing der linken unteren Extremität (a+b) sowie postoperative Bildgebung
Verbleibende Fehlstellungen, insbesondere Rekurvation der Tibia, Beinlängendifferenz, Torsionsfehler oder Valgusfehlstellung der Tibia oder des Sprunggelenkes, bedürfen einer chirurgischen Intervention. Die dysplastische keilförmige Wachstumsfuge an der distalen Tibia begünstigt in einigen Fällen die Valgusfehlstellung im Sprunggelenk. Im Rahmen der Bildgebung präsentiert sich in dieser Abbildung ein 6 Jahre altes Mädchen mit einer selten auftretenden verbleibenden Valgusfehlstellung im Sprunggelenk bedingt durch eine dysplastische keilförmige Wachstumsfuge bei Z.n. Korrektur und Verlängerung mittels Fixateur externe und Stabilisierung mit intramedullärem Nagel (Abb.3c,d). Als chirurgische Therapien stehen hierfür die Wachstumslenkung an der distalen Tibia oder akute (supramalleoläre Korrekturosteotomien (Abb.3e,f) bzw. graduelle (externer Fixateur) Korrekturen zur Verfügung. Verbleibende Beinlängendifferenzen können durch eine Wachstumsbremsung der kontralateralen Seite bei geringer Beinlängendifferenz oder mittels gradueller Distraktionsosteogenese (externer Fixateur) therapiert werden.14,16,17
Tibiale Hemimelie
Die tibiale Hemimelie stellt mit einer Inzidenz von 1:1000000 Lebendgeburten eine der seltensten angeborenen Fehlbildungen des Unterschenkels dar. Die Tibia kann verkürzt sein, teilweise oder ganz fehlen, wohingegen die Fibula in unterschiedlicher Ausprägung immer vorhanden ist.18 Die Tibiahemimelie tritt in 30% der Fälle bilateral auf und ist vor allem mit Anomalien des Fußes und des Kniegelenkes vergesellschaftet, wobei die Art der Dysplasie und das Ausmaß variieren können. Sie präsentiert sich oft mit einer Varusstellung des Fußes, Spitzfußstellung im Rückfuß, einem kurzen ersten Strahl sowie Polydaktylien. Zusätzlich sind Flexionskontrakturen des Kniegelenkes fast immer vorhanden. In leichter ausgeprägten Fällen kann eine doppelt angelegte Großzehe hinweisend sein. Die tibiale Hemimelie kann isoliert sporadisch, autosomal-dominant oder rezessiv vererbt werden oder im Rahmen von Syndromen auftreten. Die Ätiologie ist unbekannt, allerdings wird ein mesodermaler Ursprung vermutet.19 Während die Klassifikation nach Weber nicht nur Rückschlüsse auf die knöchernen, sondern auch knorpeligen Gegebenheiten der Tibiahemimelie gibt,20 berücksichtigt die Klassifikation nach Paley Prognose und Behandlungsoptionen je nach Typ und unterteilt diese in insgesamt fünf Typen mit Untergruppen.18,19 Individuelle Therapieoptionen für ein funktionell gutes Langzeitergebnis ergeben sich aus dem Schweregrad der Ausprägung und beinhalten u.a. die frühe Prothesenversorgung, rekonstruktive Eingriffe inkl. Korrekturosteotomien und Beinverlängerungen mit externen Fixateuren, Zentralisation der Fibula, Arthrodesen oder Amputationen.19
Fazit
Angeborene Fehlstellungen von Tibia und Fibula variieren stark in Hinblick auf Phänotyp, Pathogenese und Prognose. Der klinische Umgang erfordert Erfahrung, interdisziplinäre Zusammenarbeit und eine Kombination aus konservativen und chirurgischen Verfahren. Eine klinische Beurteilung der Ausrichtung der Fehlstellung am Unterschenkel kann wichtige Hinweise auf die Differenzialdiagnosen liefern. Die frühzeitige, differenzierte Diagnose und die Einbindung der Eltern in die langfristige Therapieplanung spielen eine zentrale Rolle. Fortschritte in der Wachstumslenkung, rekonstruktiven Chirurgie und Prothetik haben die funktionellen Langzeitergebnisse in den letzten Jahrzehnten deutlich verbessert.
Literatur:
1 Paley D et al.: Surgical reconstruction for fibular hemimelia. J Child Orthop 2016; 10(6): 557-83 2 Manner HM et al.: Knee deformity in congenital longitudinal deficiencies of the lower extremity. Clin Orthop 2006; 448: 185-92 3 Rodriguez-Ramirez A et al.: Limb length discrepancy and congenital limb anomalies in fibular hemimelia. J Pediatr Orthop B 2010; 19(5): 436-40 4 Achterman C, Kalamchi A: Congenital deficiency of the fibula. J Bone Joint Surg Br 1979; 61(2): 133-7 5 Stevens PM, Arms D: Postaxial hypoplasia of the lower extremity. J Pediatr Orthop 2000; 20(2): 166-72 6 Fuller CB et al.: Lengthening reconstruction surgery for fibular hemimelia: a review. Children 2021; 8(6): 467 7 Calder P et al.: A comparison of functional outcome between amputation and extension prosthesis in the treatment of congenital absence of the fibula with severe limb deformity. J Child Orthop 2017; 11(4): 318-25 8 Hefti F et al.: Congenital pseudarthrosis of the tibia: history, etiology, classification, and epidemiologic data. J Pediatr Orthop B 2000; 9(1): 11-5 9 Siebert MJ, Makarewich CA: Anterolateral tibial bowing and congenital pseudoarthrosis of the tibia: current concept review and future directions. Curr Rev Musculoskelet Med 2022; 15(6): 438-46 10 Crawford AH, Bagamery N: Osseous manifestations of neurofibromatosis in childhood. J Pediatr Orthop 1986; 6(1): 72-88 11 Shannon CE et al.: Cross-Union surgery for congenital pseudarthrosis of the tibia. Children 2021; 8(7): 547 12 Eisenberg KA, Vuillermin CB: Management of congenital pseudoarthrosis of the tibia and fibula. Curr Rev Musculoskelet Med 2019; 12(3): 356-68 13 Manner HM et al.: Pathomorphology and treatment of congenital anterolateral bowing of the tibia associated with duplication of the hallux. J Bone Joint Surg Br 2005; 87(2): 226-30 14 Jamie Ferguson et al.: Tibial bowing in children, orthopaedics and trauma. Volume 27, Issue 1, 2013, Pages 30-41 15 Wright J et al.: Posteromedial bowing of the tibia: a benign condition or a case for limb reconstruction? J Child Orthop 2018; 12(2): 187-96 16 Shah HH et al.: Congenital posteromedial bowing of the tibia: a retrospective analysis of growth abnormalities in the leg. J Pediatr Orthop B 2009; 18(3): 120-8 17 Kaufman SD, Fagg JA et al.: Limb lengthening in congenital posteromedial bow of the tibia. Strategies Trauma Limb Reconstr 2012; 7(3): 147-53 18 Kaplan-List K et al.: Systematic radiographic evaluation of tibial hemimelia with orthopedic implications. Pediatr Radiol 2017; 47(4): 473-83 19 Chong DY, Paley D: Deformity reconstruction surgery for tibial hemimelia. Children 2021; 8(6): 461 20 Weber M: New classification and score for tibial hemimelia. J Child Orthop 2008; 2(3): 169-75
Das könnte Sie auch interessieren:
Behandlungspfade für Beckenring- und Wirbelkörperfrakturen im Alter
Beckenring- und Wirbelkörperfrakturen zählen zu den häufigsten osteoporosebedingten Verletzungen im höheren Lebensalter. Eine frühzeitige Diagnose und ein individuell abgestimmter ...
Korrektur assoziierter Gelenkspathologien beim kongenitalen Femurdefekt
Der kongenitale Femurdefekt ist eine der spannendsten und komplexesten angeborenen Fehlbildungen in der Kinderorthopädie und in der klinischen Präsentation sehr vielgestaltig. Während ...
Hochgradige ACG-Luxationen – wann konservativ behandeln, wann nicht?
Verletzungen des Akromioklavikulargelenks (ACG) gehören zu den häufigsten Schulterverletzungen bei jungen und aktiven Menschen, insbesondere auch aufgrund der zunehmenden Beliebtheit von ...