NSCLC im Stadium III: Rolle der Strahlentherapie im Zeitalter der Immuntherapie
Autor:
PD Dr. med. Tobias Finazzi
Kaderarzt Radioonkologie
Leiter Zentrum für Lungentumore
Universitätsspital Basel
E-Mail: tobias.finazzi@usb.ch
Vielen Dank für Ihr Interesse!
Einige Inhalte sind aufgrund rechtlicher Bestimmungen nur für registrierte Nutzer bzw. medizinisches Fachpersonal zugänglich.
Sie sind bereits registriert?
Loggen Sie sich mit Ihrem Universimed-Benutzerkonto ein:
Sie sind noch nicht registriert?
Registrieren Sie sich jetzt kostenlos auf universimed.com und erhalten Sie Zugang zu allen Artikeln, bewerten Sie Inhalte und speichern Sie interessante Beiträge in Ihrem persönlichen Bereich
zum späteren Lesen. Ihre Registrierung ist für alle Unversimed-Portale gültig. (inkl. allgemeineplus.at & med-Diplom.at)
Die Strahlentherapie ist ein Eckpfeiler der Behandlung des nicht-kleinzelligen Lungenkarzinoms (NSCLC) im Stadium III. Neue Entwicklungen sind massgeblich durch die Einführung der Immuntherapie als Teil der multimodalen Therapie geprägt.
Keypoints
-
Radiochemotherapie gefolgt von Durvalumab-Erhaltungstherapie ist der aktuelle Standard beim nichtresektablen NSCLC im Stadium III.
-
Neuartige Ansätze mit Kombination von Strahlen- und Immuntherapie werden derzeit in klinischen Studien überprüft.
-
Die Strahlentherapie erfolgt beim NSCLC im Stadium III in Zukunft noch personalisierter, wobei das interdisziplinäre Management entscheidend bleibt.
Das Stadium III des nichtkleinzelligen Lungenkarzinoms (engl. «non-small cell lung cancer», NSCLC) umfasst eine heterogene Gruppe von Patient:innen, deren optimale Behandlung fortlaufend Gegenstand der klinischen Forschung ist. Nachdem sich das therapeutische Management über viele Jahre kaum verändert hatte, konnte besonders die Einführung der Immun-Checkpoint-Inhibitoren (ICI) lang ersehnte Fortschritte in der Behandlung erzielen. Im Kontext dieser Entwicklungen wurde auch die Diskussion um die Rolle der Strahlentherapie beim Stadium III des NSCLC neu lanciert.
Knapp 15 Jahre sind vergangen, seitdem die Resultate der nordamerikanischen Intergroup-0139- sowie der europäischen EORTC-08941-Studie publiziert wurden. Im Verlauf ergänzt durch die deutsch-niederländische ESPATUE-Studie, demonstrierten diese Phase-III-Studien in der Zusammenfassung, dass eine kombinierte Radiochemotherapie im Hinblick auf das Überleben gegenüber einem Konzept mit Resektion nach (Radio-)Chemotherapie als gleichwertig anzusehen ist.1–3 Die SAKK-16/00-Studie zeigte zusätzlich, dass eine neoadjuvante Radiochemotherapie gegenüber einer alleinigen Chemotherapie vor Resektion die Behandlungsergebnisse nicht verbessert, sodass eine geplante trimodale Therapie heute nur in Ausnahmefällen (z.B. bei Pancoast-Tumoren) empfohlen wird.4
Aktuell wird daher primär zwischen Konzepten mit neoadjuvanter (ggf. perioperativer) Systemtherapie vor Resektion und der definitiven kombinierten Radiochemotherapie unterschieden. Die therapeutische Strategie wird individuell und interdisziplinär definiert, wobei sich die lokale Praxis und Expertise zwischen verschiedenen Zentren durchaus unterscheiden können.5,6
Mit der PACIFIC-Studie hielt die Behandlung mit ICI erstmals Einzug in den therapeutischen Standard beim NSCLC im Stadium III.7 In der Studie wurden Patient:innen mit nicht resektablem NSCLC im Stadium III, die nach definitiver kombinierter Radiochemotherapie keinen Krankheitsprogress erlitten, zwischen einer zwölfmonatigen Behandlung mit dem PD-L1-Antikörper Durvalumab oder Placebo randomisiert. Der signifikante Vorteil im Gesamt- und im progressionsfreien Überleben (PFS) führte zur breiten Akzeptanz der konsolidierenden Immuntherapie in diesem Setting. Bemerkenswert ist, dass die PACIFIC-Studie mit einem 5-Jahres-Überleben von 43% im experimentellen Arm ein bisher unerreichtes Ergebnis für Patient:innen mit nicht resektablem NSCLC im Stadium III erzielen konnte (Abb. 1).
Abb. 1: 5-Jahres-Überlebensrate in der PACIFIC-Studie nach kombinierter Radiochemotherapie und konsolidierender Immuntherapie (rote Kurve) beim nicht resektablen NSCLC im Stadium III
Zu beachten ist jedoch, dass Patient:innen erst nach Abschluss der Radiochemotherapie bei fehlendem Progress eingeschlossen wurden, was eine gewisse Patientenselektion mit sich bringt.
Entsprechend schwierig bleiben numerische Vergleiche zwischen klinischen Studien, deren Patientencharakteristika sich oft deutlich unterscheiden. Dies gilt auch für Phase-III-Studien mit neoadjuvanter resp. perioperativer Chemoimmuntherapie, die in einem breiteren Kollektiv mitauch früheren Tumorstadien zuletzt exzellente Ergebnisse erzielen konnten.8–10
Entscheidend bleibt hier die interdisziplinäre Zusammenarbeit in den Tumorboards, wobei vor allem die Voraussetzung einer primären (nicht potenziellen) Resektabilität für die genannten Studien beachtet werden muss.
Studien zu alternativen Konzepten mit Immuntherapie
Mit Einführung der Immuntherapie haben sich auch Wege zu neuen therapeutischen Ansätzen in Kombination mit der Strahlentherapie eröffnet. Dies ist relevant, da trotz Empfehlung einer simultanen Radiochemotherapie ein relevanter Anteil der Patient:innen mit nicht resektablem NSCLC im Stadium III eine hiervon abweichende Behandlung erhält.11 Aktuell werden daher alternative Konzepte mit Immuntherapie in diversen klinischen Studien überprüft.
In der japanischen DOLPHIN-Studie erhielten 35 Patient:innen mit PD-L1-Expression ≥1% eine Behandlung mit Strahlentherapie und Durvalumab (ohne Chemotherapie). Mit einer 1-Jahres-PFS-Rate von 72% konnte die Studie ein sehr vielversprechendes Resultat erzielen.12 Für ältere und/oder weniger fitte Patient:innen wird ein ähnlicher Ansatz aktuell in der deutschen TRADE-hypo-Studie untersucht, wobei neben der konventionellen auch eine hypofraktionierte Strahlentherapie geprüft wird, um so das Zusammenspiel mit der Immuntherapie womöglich noch zu verbessern.13
Auch eine konsolidierende Immuntherapie nach alleiniger Strahlentherapie kann für Patient:innen, die nicht für eine (Radio-)Chemotherapie infrage kommen, als Option erwogen werden.14,15
Es ist zu erwarten, dass die Behandlung künftig noch personalisierter erfolgen wird. So hat beispielsweise die SPRINT-Studie 25 Patient:innen mit nicht resektablem NSCLC und PD-L1-Expression ≥50% mit einer sequenziellen, personalisierten Radioimmuntherapie behandelt: Patient:innen erhielten drei Zyklen Induktion mit Pembrolizumab, gefolgt von risikoadaptierter Strahlentherapie (orientiert am PET-CT) sowie Weiterbehandlung mit Pembrolizumab für insgesamt ein Jahr. Auch hier konnte mit einer 1-Jahres-PFS-Rate von 76% und geringer Toxizität ein sehr vielversprechendes Ergebnis erzielt werden.16 Weitere Beispiele umfassen Ansätze mit stereotaktischer Strahlentherapie sowie Kombinationen mit neuen Substanzen.17,18
Offene Fragen sind Gegenstand aktueller Forschung
Die optimale Integration von Strahlentherapie und Immuntherapie ist weiterhin Gegenstand der Diskussion, sowohl im Hinblick auf Dosis und Fraktionierung wie auch auf Zielvolumen und Zeitpunkt der Strahlentherapie. Offen bleibt vor allem die Frage, ob eine Immuntherapie simultan zur definitiven Radiochemotherapie beim NSCLC im Stadium III erfolgen soll. Hierzu laufen aktuell mehrere Phase-III-Studien, wobei die Hinzugabe von Durvalumab in der PACIFIC-2-Studie das PFS gegenüber der Standardtherapie gemäss Pressemitteilung nicht verlängern konnte.19 Es bleiben die weiteren Ergebnisse abzuwarten.
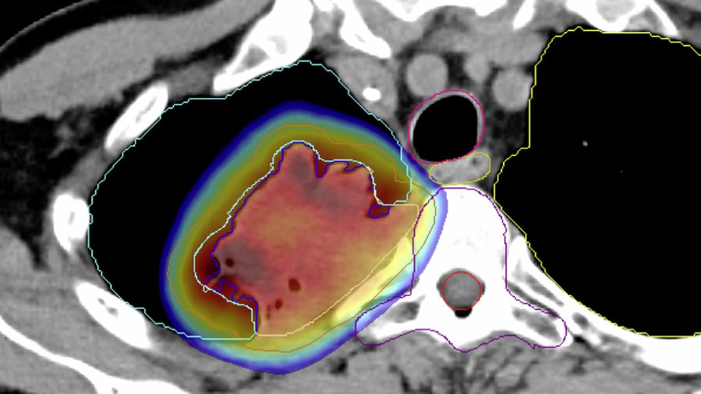
Auch die Rolle der Strahlentherapie im perioperativen Setting ist im Zeitalter der Immuntherapie erneut Gegenstand der Forschung. Aktuell untersucht die Schweizer Studie SAKK 16/18, ob eine Bestrahlung des Primärtumors das PFS nach neoadjuvanter Chemoimmuntherapie bei resektablem NSCLC im Stadium IIIA(N2) im Vergleich zur Vorgängerstudie SAKK 16/14 weiter verbessern kann.20 Die Strahlentherapie erfolgt parallel zur neoadjuvanten Immuntherapie unter Aussparung des Mediastinums, um Toxizität und immunsuppressive Effekte zu vermeiden (Abb. 2). Speziell ist zudem, dass drei unterschiedliche Strahlentherapiekonzepte randomisiert untersucht werden, um mögliche Unterschiede im Synergismus mit der Immuntherapie zu untersuchen. Interimdaten bestätigen die Sicherheit dieses Ansatzes, für den eine kleinere Studie aus China in ähnlicher Form kürzlich eine sehr hohe Rate an pathologischer Remission (MPR) von 76% präsentieren konnte.21,22
Abb. 2: Immunmodulatorische Strahlentherapie in der SAKK 16/18-Studie: Die Studie untersucht, ob eine Bestrahlung die Wirkung der Immuntherapie mit Durvalumab im neoadjuvanten Setting verbessern kann. Die Strahlentherapie erfolgt fokussiert auf den Primärtumor, wobei Normalgewebe sowie Lymphknoten im Mediastinum geschont werden. Darstellung: PET-CT (links); Strahlentherapie-Plan (rechts), Farbverlauf mit Dosis ≥20Gy im Arm B (5x5Gy). Quelle: Universitätsspital Basel (mit freundlicher Genehmigung des Patienten)
Zusammengefasst bleibt es spannend beim NSCLC im Stadium III: Fortschritte bei chirurgischen wie nichtchirurgischen Ansätzen bringen lang ersehnte Verbesserungen für Patient:innen, und die Behandlungen werden sich in den nächsten Jahren weiter verfeinern. Auch im Zeitalter der Immuntherapie bleibt die Strahlentherapie ein Eckpfeiler der multimodalen Therapie, wobei die Behandlung zunehmend individuell und personalisiert erfolgen wird.
Literatur:
1 Albain KS et al.: Radiotherapy plus chemotherapy with or without surgical resection for stage III non-small-cell lung cancer: a phase III randomised controlled trial. Lancet 2009; 374(9687): 379-86 2 van Meerbeeck JP et al.: Randomized controlled trial of resection versus radiotherapy after induction chemotherapy in stage IIIA-N2 non-small-cell lung cancer. J Natl Cancer Inst 2007; 99(6): 442-50 3 Eberhardt WEE et al.: Phase III study of surgery versus definitive concurrent chemoradiotherapy boost in patients with resectable stage IIIA(N2) and selected IIIB non-small-cell lung cancer after induction chemotherapy and concurrent chemoradiotherapy (ESPATUE). J Clin Oncol 2015; 33(35): 4194-201 4 Pless M et al.: Induction chemoradiation in stage IIIA/N2 non-small-cell lung cancer: Aphase 3 randomised trial. Lancet 2015; 386(9998): 1049-56 5 Cotarla I et al.: Treatment decision drivers in stage III non–small-cell lung cancer: outcomes of a web-based survey of oncologists in the United States. JCO Oncol Pract 2020; 16(10): e1232-42 6 Evison M et al.: Stage III non-small cell lung cancer: a UK national survey of practice. Clin Oncol 2020; 32(8): 527-36 7 Spigel DR et al.: Five-year survival outcomes from the PACIFIC trial: durvalumab after chemoradiotherapy in stage III non–small-cell lung cancer. J Clin Oncol 2022; 40(12): 1301-11 8 Forde PM et al.: Neoadjuvant nivolumab plus chemotherapy in resectable lung cancer. N Engl J Med 2022; 386(21): 1973-85 9 Wakelee H et al.: Perioperative pembrolizumab for early-stage non–small-cell lung cancer. N Engl J Med 2023; 389(6): 491-503 10 Heymach JV et al.: Perioperative durvalumab for resectable non–small-cell lung cancer. N Engl J Med 2023; 389: 1672-84 11 Adizie JB et al.: Stage III non-small cell lung cancer management in England. Clin Oncol 2019; 31(10): 688-96 12 Tachihara M et al.: Durvalumab plus concurrent radiotherapy for treatment of locally advanced non–small cell lung cancer: the DOLPHIN phase 2 nonrandomized controlled trial. JAMA Oncol 2023; 9(11): 1505-13 13 Bozorgmehr F et al.: Thoracic radiotherapy plus Durvalumab in elderly and/or frail NSCLC stage III patients unfit for chemotherapy – employing optimized (hypofractionated) radiotherapy to foster durvalumab efficacy: study protocol of the TRADE-hypo trial. BMC Cancer 2020; 20(1): 806 14 Yamada T et al.: Aphase 2 trial of durvalumab treatment following radiation monotherapy in patients with non-small cell lung cancer ineligible for stage III chemoradiotherapy: the SPIRAL-RT study. Eur J Cancer 2023; 195: 113373 15 Filippi ARR et al.: LBA62 Durvalumab after radiotherapy (RT) in patients with unresectable stage III NSCLC ineligible for chemotherapy (CT): primary results from the DUART study. Ann Oncol 2021; 17(34): 4657-63 16 Ohri N et al.: Selective personalized radioimmunotherapy for locally advanced non– small-cell lung cancer trial. J Clin Oncol 2023; 1-9 17 Arcidiacono F et al.: Stereotactic ablative radiotherapy in newly diagnosed and recurrent locally advanced non-small cell lung cancer patients unfit for concurrent radio-chemotherapy: early analysis of the START-NEW-ERA non-randomised phase II trial. Int J Radiat Oncol 2023; 115(4): 886-96 18 Herbst RS et al.: COAST: an open-label, phase II, multidrug platform study of durvalumab alone or in combination with oleclumab or monalizumab in patients with unresectable, stage III non-small-cell lung cancer. JClin Oncol 2022; 40(29): 3383-93 19 AstraZeneca. https://www.astrazeneca.com/media-centre/press-releases/2023/update-on-pacific-2-phase-iii-trial-for-imfinzi.html 20 Rothschild SI et al.: SAKK 16/14: Durvalumab in addition to neoadjuvant chemotherapy in patients with stage IIIA(N2) non–small-cell lung cancer—a multicenter single-arm phase II trial. J Clin Oncol 2021; 39(26): 2872-80 21 Mauti LA et al.: SAKK 16/18: Immune-modulatory radiotherapy to enhance the effects of neoadjuvant PD-L1 blockade after neoadjuvant chemotherapy in patients with resectable stage III (N2) non-small cell lung cancer (NSCLC)—A multicenter phase II trial. J Clin Oncol 2023; 41: 8547 22 Zhao ZR et al.: LBA60 Stereotactic body radiation therapy with sequential immunochemotherapy as neoadjuvant therapy in resectable non-small cell lung cancer. Ann Oncol 2023; 34: S1301
Das könnte Sie auch interessieren:
Erhaltungstherapie mit Atezolizumab nach adjuvanter Chemotherapie
Die zusätzliche adjuvante Gabe von Atezolizumab nach kompletter Resektion und adjuvanter Chemotherapie führte in der IMpower010-Studie zu einem signifikant verlängerten krankheitsfreien ...
Highlights zu Lymphomen
Assoc.Prof. Dr. Thomas Melchardt, PhD zu diesjährigen Highlights des ASCO und EHA im Bereich der Lymphome, darunter die Ergebnisse der Studien SHINE und ECHELON-1
Aktualisierte Ergebnisse für Blinatumomab bei neu diagnostizierten Patienten
Die Ergebnisse der D-ALBA-Studie bestätigen die Chemotherapie-freie Induktions- und Konsolidierungsstrategie bei erwachsenen Patienten mit Ph+ ALL. Mit einer 3-jährigen ...