
Zervixmessung und Prävention der Frühgeburt
Autorin:
Prof.em. Dr. med. Irene Hösli
Ehemalige Chefärztin Geburtshilfe
Universitätsspital Basel, Schweiz
E-Mail: irene.hoesli@usb.ch
Frühgeburt, definiert als eine Geburt vor der vollendeten 37. Schwangerschaftswoche (SSW), ist weltweit eine der häufigsten Ursachen für neonatale Morbidität und Mortalität. Der 17. November ist der von der WHO unterstützte Welt-Frühgeburtentag, um auf das Problem der hohen Frühgeburtenrate aufmerksam zu machen und für mehr Prävention der Frühgeburten zu kämpfen.1 Zwischen 13 und 15 Mio. Kinder kommen jährlich zu früh auf die Welt, mehr als die Hälfte in Südasien und der Subsahara.2 Circa eine Million Frühgeborene sterben jährlich, wovon 75% der Fälle vermeidbar wären.3 Die Präventionsstrategien zielen darauf ab, das Risiko einer Frühgeburt zu senken und die intrauterine Reifung zu verlängern, um neonatale Komplikationen zu reduzieren.
Pathogenese und Risikofaktoren
Die Pathogenese der spontanen Frühgeburt ist nach wie vor kaum geklärt, und es gibt immer mehr Hinweise, dass es sich um ein komplexes Syndrom handelt. Mehrere Ursachen wie genetische, immunologische, inflammatorische, hormonelle und mechanische Störungen, die zu vorzeitigen Kontraktionen, einer Verkürzung des Zervikalkanals und Öffnung des Muttermundes führen können, sind dafür verantwortlich.4 Bei den Risikofaktoren kann man zwischen präkonzeptionell modifizierbaren (z.B. Rauchen, Drogen, Anämie, Parodontitis) und nichtmodifizierbaren Faktoren unterscheiden. Die wichtigsten Risikofaktoren sind in Tabelle 1 aufgelistet.
Zervixmessung: wie und wann
Die vom Maternal Fetal Medicine Network zwischen 1993 und 1996 durchgeführte Preterm Prediction Study untersuchte eine Vielzahl von Risikofaktoren für Frühgeburten bei mehr als 3000 Frauen in zehn Zentren.6 Die wichtigsten Faktoren, die mit einer spontanen Frühgeburt vor der 32. Woche in Verbindung standen, waren u.a. ein positiver zervikovaginaler Fibronektin-Test (OR: 32,7) und eine Zervixlänge unter der 10. Perzentile (OR: 5,8). Je kürzer die Zervixlänge, sonografisch gemessen zwischen 20.–22. SSW, desto grösser war das Risiko für eine Frühgeburt. Verschiedene internationale Gesellschaften haben Guidelines zur korrekten Zervixmessung erstellt. Hier zusammengefasst die wichtigsten Punkte:7
-
Der transvaginale Ultraschall (US) ist der Goldstandard. Der Zeitpunkt liegt zwischen der 18. und 22. SSW.
-
Die Harnblase sollte geleert sein.
-
Die transvaginale Sonde darf keinen Druck auf die Zervix ausüben.
-
Darstellung des Zervikalkanals mit äusserem und innerem Muttermund über die ganze Länge
-
Vordere und hintere Muttermundslippe gleich gross
-
Vergrösserung des Bildausschnittes, bis ca. 75% des Bildes ausgefüllt sind
-
Distanz vom äusseren zum inneren Muttermund dreimal messen: the «shortest is the best»
-
Beobachtung über drei bis fünf Minuten, ob eine Verkürzung der Zervixlänge auftritt, evtl. leichten fundalen Druck ausüben
Normkurven zur Zervixlänge, basierend auf einem Low-Risk-Kollektiv, liegen für die 20.–34. SSW vor.8 Die Zervixlänge ist der beste Prädiktor, eine evtl. Trichtermessung oder die Dicke der endozervikalen Mukosa haben nur geringe Aussagen.9 Der Nachweis von Sludge, d.h. echodichtem, evtl. flottierendem Material, ist ein signifikanter Risikofaktor für eine Frühgeburt und deutet auf einen inflammatorischen Prozess hin.10 Nebenbefundlich sollte auf eine Plazenta praevia, eine Plazentationsstörung oder Vasa praevia geachtet werden.
Risikokollektive und Prävention
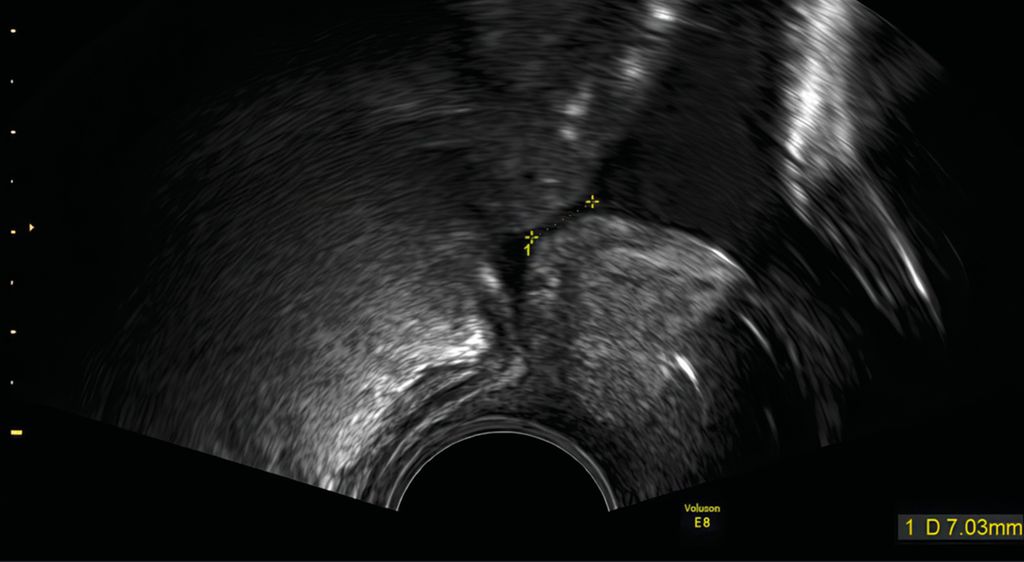
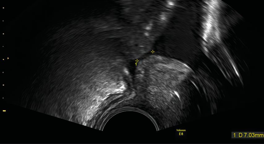
Im Folgenden werden jeweils für die drei wichtigsten asymptomatischen Risikokollektive (Schwangere mit kurzer Zervix (Abb. 1), Status nach Frühgeburt, Zwillingsschwangerschaften) die am häufigsten angewendeten präventiven Massnahmen vorgestellt. Zu den am meisten untersuchten Massnahmen gehören die
-
Progesteronsupplementierung,
-
Einlage eines Zervixpessars,
-
Anlage einer Cerclage.
Progesteronsupplementierung
Progesteronmangel und inflammatorische Prozesse können Kontraktionen und eine Zervixreifung auslösen. Die Wirkweise von Progesteron verläuft auf verschiedenen Ebenen. Progesteron bereitet das Endometrium auf die Implantation des Embryos vor und erleichtert die endometriale Entwicklung. Es reduziert die myometriale Aktivität durch Suppression von Oxytozinrezeptoren (tokolytische Wirkung) und durch die verminderte Bildung von «gap junctions» in der glatten Muskulatur. Zudem hat es einen antiinflammatorischen Effekt, indem es die T-Zell- und Killer-Zell-gesteuerte Gewebsabstossung sowie die Prostaglandinsynthese in Amnion, Chorion und Dezidua hemmt.11,12 Die folgenden Arbeiten beziehen sich auf die vaginale Applikation von 200mg Progesteron bzw. 90mg Gel bzw. 400mg Progesteron bei Zwillingsschwangerschaften.13
Kurze Zervix
Die Ergebnisse von Metaanalysen mit individuell erhobenen Patientendaten haben eine signifikante Reduktion der Frühgeburt von 18 auf 11% vor 33 (Schwangerschaftswochen, SSW) bei Schwangerschaften mit einer Zervixlänge unter 25mm (relatives Risiko, RR: 0,65; 95% CI: 0,45–0,94) und eine signifikante Verbesserung des neonatalen Outcomes (respiratorisches Distress-Syndrom, Gewicht unter 1500g, Verlegung auf die neonatologische Intensivstation) gezeigt.14
Status nach Frühgeburt
Die Gabe von Progesteron bei Status nach Frühgeburt und einer Zervixlänge ≤25mm zeigte in einer Metaanalyse mit Einschluss individueller Patientendaten eine signifikante Reduktion der Frühgeburt vor 35. SSW von 46 auf 32% (RR: 0,68; 0,50–0,93) und einen Benefit auf das neonatale Outcome (RR: 0,29; 0,11–0,81).15 Bei Zervixlängen >25mm zeigte sich kein Einfluss auf die Frühgeburtenrate und das neonatale Outcome.16
Zwillinge
Vaginal appliziertes Progesteron ohne Berücksichtigung der Zervixlänge hat keinen Einfluss auf die Frühgeburtenrate vor der 34. SSW. Bei Zwillingsschwangerschaften mit einer verkürzten Zervix ≤25mm zeigte sich eine signifikante Reduktion der Frühgeburten von 56 auf 40% vor 33. SSW (RR: 0,61; 0,38–0,98).17 Ebenso war das neotnatale Outcome signifikant verbessert (RR: 0,55; 0,32–0,97).18 Die Autoren empfehlen jedoch aufgrund der limitierten Fallzahlen, die Ergebnisse weiterer Studien abzuwarten.
Zervixpessar
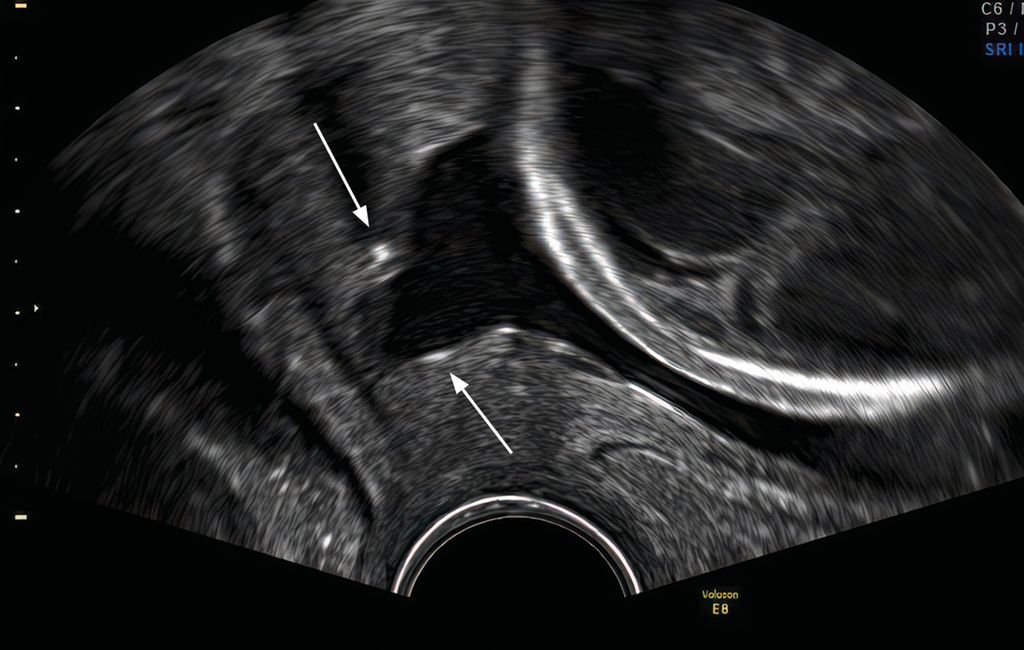
Eine Zervixinsuffizienz kann zu einem mechanischen Versagen des Gebärmutterhalses führen. Es gibt mehrere Hypothesen darüber, wie das Arabinpessar zur Vorbeugung von Frühgeburten beitragen könnte. Das Arabinpessar umschliesst den Gebärmutterhals, und verändert den Neigungswinkel des Zervikalkanals im Verhältnis zum Corpus uteri und reduziert den direkten Druck auf die Eihäute auf Höhe des inneren Muttermundes und auf den Muttermund (Abb. 2 und 3). Eine weitere Hypothese lautet, dass das Pessar den Zervixschleimpfropf schützt. Dies könnte dadurch erreicht werden, dass das Pessar die Anhaftung des verbleibenden Zervixgewebes unterstützt.19
Kurze Zervix
Die Studie von Goya et al. 2012 zeigte eine signifikante Reduktion der Frühgeburtenrate von 27% auf 6% beim Einsatz eines Arabinpessars bei verkürzter Zervix.20 Diese Ergebnisse konnten in den folgenden Jahren (2016–2024) durch mehrere RCT («randomized controlled trials») nicht reproduziert werden.21 In einem Direktvergleich zwischen Einsatz von Progesteron und Zervixpessar war das Zervixpessar bei der Prävention von Frühgeburten <37. SSW dem vaginalen Progesteron nicht überlegen. Vaginales Progesteron war mit einer nicht signifikant niedrigeren Frühgeburtenrate <34. SSW bzw. <28. SSW und einer niedrigeren perinatalen Sterblichkeitsrate verbunden. Das Pessar erhöhte die Rate des vaginalen Ausflusses.22
Status nach Frühgeburt
Es gibt keine RCT zur Prävention mit Pessar bei Status nach Frühgeburt bei normaler Zervixlänge. Es existieren Vergleichsstudien wie z.B. die PC-inferiority-open randomisierte Studie, bei der der Einsatz des Pessars mit Cerclage bei Schwangeren mit Status nach Frühgeburt und asymptomatisch kurzer Zervix <25mm verglichen wurde. Nach der dritten Zwischenanalyse mit der Hälfte der geplanten Teilnehmerinnen wurde die Rekrutierung aufgrund von Sicherheitsbedenken und der offensichtlichen Schwierigkeit, die Nichtunterlegenheit der Pessarbehandlung nachzuweisen, eingestellt. Eine Frühgeburt <32 Wochen trat häufiger nach Pessar als nach Cerclage auf (33,8% vs. 24,0%, aRR: 1,4; 0,95–2,1). Die Kombination aus unerwünschten perinatalen Ergebnissen trat in 42 Fällen nach Pessaranwendung auf, verglichen mit 29 Fällen nach Cerclage (32,2% vs. 23,2%; RR: 1,4; 0,93–2,1), und bestand hauptsächlich aus perinatalen Todesfällen (22,3% vs. 14,4%, RR: 1,5; 0,9–2,6).23
Zwillinge
Eine Zusammenstellung von RCT mit Pessar zeigte unabhängig von der Zervixlänge keinen eindeutigen Vorteil hinsichtlich Frühgeburten vor der 34. SSW oder ein verbessertes perinatales Outcome.24
Cerclage
Eine mechanische Entlastung kann das Risiko für Frühgeburt reduzieren, indem Druck und Zugkräfte auf die Zervix verringert werden. Die Cerclage ist im Vergleich zum Zervixpessar ein operatives Verfahren, dasdurch eine Bandeinnaht zu einer mechanischen Verstärkung des Zervixgewebes führt und damit zur Verhinderung einer Öffnung und Verkürzung des Gebärmutterhalses führen kann (Abb. 4). Es wird nur auf die Cerclageindikationen bei asymptomatischen Schwangeren eingegangen, nicht auf die Notfallcerclage bei prolabierender Fruchtblase. Die Arbeiten beziehen sich auf die Cerclage nach Shirodkar oder McDonald.
Kurze Zervix (ultraschallindizierte Cerclage)
Die Anlage einer Cerclage bei einer Zervixlänge <25mm zeigte keine signifikante Reduktion der Frühgeburten.25
Status nach Frühgeburt (anamnestisch indizierte Cerclage)
Eine präventiv angelegte Cerclage bei Schwangeren mit Status nach Frühgeburt und einer kurzen Zervix (<25mm) ergab eine Risikoreduktion für eine Frühgeburt vor 35. SSW von 30% (RR: 0,70; 0,55–0,89) und eine Verbesserung der neonatalen Morbidität von 36% (RR: 0,64; 0,45–0,91). Somit ergab die Einbeziehung der Zervixlänge im Vergleich zum historisch indizierten Kollektiv eine Reduktion der Cerclagen von 100 auf 42% bei gleicher neonataler Morbidität und Frühgeburtenrate.26 Die operative Anlage einer Cerclage wurde in einem indirekten Vergleich von Metaanalysen mit der Progesteronsupplementierung bei Frauen mit Status nach Frühgeburt und Zervix ≤25mm verglichen und zeigte gleichwertig wirksame Ergebnisse auf die Reduktion der Frühgeburten und ein verbessertes neonatales Outcome. Die Rate an Frühgeburten vor 35. SSW reduzierte sich von 41 auf 28% (RR: 0,70; 0,55–0,89).15
Mehrlinge
Randomisierte Studien haben keinen Einfluss auf die Reduktion der Frühgeburten bei Zwillingen mit Cerclage gezeigt.27 In Beobachtungsständen ergab sich ein Benefit (RR: 0,73; 0,61–0,86).27 Bei Zwillingsschwangerschaften mit einer verkürzten Zervix ≤15mm ergab sich bei den RCT ein signifikanter Benefit mit einer Reduktion an Frühgeburten vor 34. bzw. 32. SSW von 37% (RR: 0,63; 0,12–0,81).28
Eine Vergleichsstudie zwischen den drei verschiedenen Behandlungsoptionen bei Frauen mit einer Zervix <25mm und einer belasteten Anamnese (Status nach Frühgeburt oder Spätabort, Konisation) ergab eine gleich wirksame Reduktion an Frühgeburten vor 37. SSW. Aufgrund der geringen Fallzahl bei vorzeitiger Beendigung der Studie wegen der Covid-Pandemie konnten keine Angaben zum perinatalen Outcome gemacht werden.29
QUiPP App30
2015 wurdeQUiPP App, ein Entscheidungshilfetool auf der Grundlage der kombinierten Verwendung von Zervixlänge und quantitativem Fibronektin, evaluiert, das ein individuelles Frühgeburtsrisiko innerhalb eines vorgegebenen Zeitrahmens für symptomatische und asymptomatische Frauen berechnete. Inzwischen erfolgte eine erweiterte Validierung bei asymptomatischen Risikoschwangeren (Status nach Frühgeburt oder Spätabort, Mehrlinge, Status nach Konisation) mit repetitiven Zervixmessungen alle 2–4 Wochen. Die Risikoberechnung kann auch ohne Fibronektin, das nicht mehr auf dem Markt angeboten wird, erfolgen.31 Abschliessend gibt Tabelle 2 eine Übersicht über die aktuellen internationalen Empfehlungen zur Prävention der spontanen Frühgeburt mit Progesteron, Pessar und Cerclage.
Literatur:
1 https://www.gfcni.org/campaigns/world-prematurity-day 2 Ohuma EO et al.: National, regional, and global estimates of preterm birth in 2020, with trends from 2010: a systematic analysis. Lancet 2023; 402(10409): 1261-71 3 WHO, Born too soon. https://www.who.int/publications/i/item/9789240073890 2023; 4 Romero R et al.: Preterm labor: one syndrome, many causes. Science 2014; 345(6198): 760-5 5 DGGG, S., OEGGG: Prävention und Therapie der Frühgeburt. Leitlinie Sk2. 2022 6 Iams JD et al.: The length of the cervix and the risk of spontaneous premature delivery. National Institute of Child Health and Human Development Maternal Fetal Medicine Unit Network. N Engl J Med 1996; 334(9): 567-72 7 Coutinho CM et al.: ISUOG Practice Guidelines: role of ultrasound in the prediction of spontaneous preterm birth. Ultrasound Obstet Gynecol 2022; 60(3): 435-56 8 Hoesli IM et al.: Charts for cervical length in singleton pregnancy. Int J Gynaecol Obstet 2003; 82(2): 161-5 9 To MS et al.: Cervical length and funneling at 23 weeks of gestation in the prediction of spontaneous early preterm delivery. Ultrasound Obstet Gynecol 2001; 18(3): 200-3 10 Pannain GD et al.: Amniotic sludge and prematurity: systematic review and meta-analysis. Rev Bras Ginecol Obstet 2023; 45(8): e489-e98 11 Jones EO et al.: The short cervix: a critical analysis of diagnosis and treatment. Obstet Gynecol Clin North Am 2020; 47(4): 545-67 12 SAPP, Progesteron. https://sappinfo.ch/wirkstoffe-hilfstoffe/wirkstoff-monographien/ 2020; 13 Jain V et al.: Guideline No. 398: Progesterone for prevention of spontaneous preterm birth. J Obstet Gynaecol Can 2020; 42(6): 806-12 14 Conde-Agudelo A et al.: Vaginal progesterone decreases the risk of preterm birth and adverse perinatal outcomes in singleton gestations with a midtrimester sonographic short cervix (≤25 mm) and without a history of spontaneous preterm birth. Am J Obstet Gynecol 2025; doi: 10.1016/j.ajog.2025.07.003 15 Conde-Agudelo A et al.: Vaginal progesterone is as effective as cervical cerclage to prevent preterm birth in women with a singleton gestation, previous spontaneous preterm birth, and a short cervix: updated indirect comparison meta-analysis. Am J Obstet Gynecol 2018; 219(1): 10-25 16 Romero R et al.: Vaginal progesterone for preventing preterm birth and adverse perinatal outcomes in singleton gestations with a short cervix: a meta-analysis of individual patient data. Am J Obstet Gynecol 2018; 218(2): 161-80 17 Romero R et al.: Vaginal progesterone for the prevention of preterm birth and adverse perinatal outcomes in twin gestations with a short cervix: an updated individual patient data meta-analysis. Ultrasound Obstet Gynecol 2022; 59(2): 263-6 18 Romero R et al.: Vaginal progesterone for the prevention of preterm birth and adverse perinatal outcomes in women with a twin gestation and a short cervix (≤ 25 mm): an updated individual patient data meta-analysis. Ultrasound Obstet Gynecol 2025; 66(1): 104-7 19 Arabin B, Alfirevic Z et al.: Cervical pessaries for prevention of spontaneous preterm birth: past, present and future. Ultrasound Obstet Gynecol, 2013. 42(4): p. 390-9 20 Goya M et al.: Cervical pessary in pregnant women with a short cervix (PECEP): an open-label randomised controlled trial. Lancet 2012; 379(9828): 1800-6 21 Conde-Agudelo A et al.: Cervical pessary to prevent preterm birth in asymptomatic high-risk women: a systematic review and meta-analysis. Am J Obstet Gynecol 2020; 223(1): 42-65.e2 22 Chau MN et al.: Cervical pessary is not superior to vaginal progesterone in individuals with a singleton pregnancy and a short cervix: a randomized controlled trial. Am J Obstet Gynecol 2025; 232(5): 476.e1-476.e8 23 van Gils AL et al.: Pessary or cerclage (PC study) to prevent recurrent preterm birth: a non-inferiority, randomised controlled trial. EClinicalMedicine 2024; 78: 102945 24 Nicolaides KH et al.: Cervical pessary placement for prevention of preterm birth in unselected twin pregnancies: a randomized controlled trial. Am J Obstet Gynecol 2016; 214(1): 3.e1-9 25 Berghella V et al.: Cerclage for sonographic short cervix in singleton gestations without prior spontaneous preterm birth: systematic review and meta-analysis of randomized controlled trials using individual patient-level data. Ultrasound Obstet Gynecol 2017; 50(5): 569-77 26 Berghella, V, Mackeen AD: Cervical length screening with ultrasound-indicated cerclage compared with history-indicated cerclage for prevention of preterm birth: a meta-analysis. Obstet Gynecol 2011; 118(1): 148-55 27 D’Antonio F et al.: Cervical cerclage for prevention of preterm birth and adverse perinatal outcome in twin pregnancies with short cervical length or cervical dilatation: A systematic review and meta-analysis. PLoS Med 2023; 20(8): e1004266 28 van Gils L et al.: The effectiveness of ultrasound-indicated cerclage for the reduction of extreme preterm birth in twin pregnancies with a short cervix: a systematic review and meta-analysis. Am J Obstet Gynecol MFM 2025; 7(1): p. 101555 29 Hezelgrave NLet al.: Comparing cervical cerclage, pessary and vaginal progesterone for prevention of preterm birth in women with a short cervix (SuPPoRT): A multicentre randomised controlled trial. PLoS Med 2024; 21(7): e1004427 30 Shennan AH: https://quipp.org/ 2025; 31 Watson HA et al.: Development and validation of predictive models for QUiPP App v.2: tool for predicting preterm birth in asymptomatic high-risk women. Ultrasound Obstet Gynecol 2020; 55(3): 348-56 32 McIntosh J et al.: The role of routine cervical length screening in selected high- and low-risk women for preterm birth prevention. Am J Obstet Gynecol 2016; 215(3): B2-7 33 Lim KI et al.: Guideline No. 401: Sonographic cervical length in singleton pregnancies: techniques and clinical applications. J Obstet Gynaecol Can 2020; 42(11): 1394-1413.e1 34 NICE, Preterm labour and birth. www.nice.org.uk/guidance/ng25. 2022 35 Prediction and prevention of spontaneous preterm birth: ACOG Practice Bulletin, Number 234. Obstet Gynecol 2021; 138(2): e65-e90
Das könnte Sie auch interessieren:
Phytoöstrogene in der Peri- und Postmenopause
Phytotherapie in der Mitte des Lebens: Wie können pflanzliche Arzneimittel die hormonelle Veränderung wirksam begleiten? Was will die Patientin? Was ist wissenschaftlich erwiesen und was ...
Mental health in the peri- and postmenopause
Menopause is a natural event, which is defined by the final menstrual period and is preceded by many years of “menopausal transition” associated with marked hormonal changes. Although ...
Das Bulboklitoralorgan in der gynäkologischen Praxis
Wohl kein anderes menschliches Organsystem kann auf eine ebenso spannende wie auch verstörende Geschichte zurückblicken wie die Vulva mit ihrer Hauptakteurin, dem Bulboklitoralorgan, das ...