Gleich mehrere Leitlinien zum Thema Malaria wurden im vergangenen Jahr aktualisiert. Dies betrifft die WHO-Guidelines, die deutsche S1-Leitlinie und die Malaria Treatment Recommendations ...
Mit dem Akronym EHEC (enterohämorrhagische Escherichia coli) werden Shigatoxin (Stx) produzierende, humanpathogene E.-coli-Stämme (STEC) bezeichnet. Neben zytotoxischen, mit einem ...
Seit 2021 ruft die WHO unter dem Hashtag #AWorld4AllAges zum Kampf gegen Ageismus weltweit auf und fordert mehr Forschung und Aufklärung zu diesem Thema.1 Gerade ältere Frauen*, die mit ...
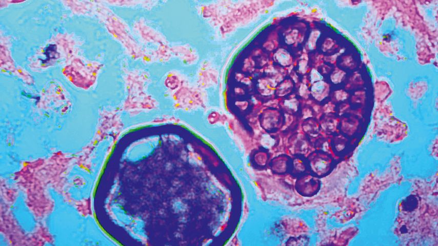
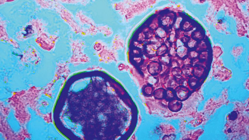
Eine erhöhte Zahl von eosinophilen Granulozyten im Blut kann unter anderem ein Hinweis auf eine Infektion mit Parasiten sein. Vor allem bei entsprechender Reise- oder Migrationsanamnese ...
Mikrobiologisches Screening auf eine Reihe relevanter Erreger zählt zu den Aufgaben der Krankenhaushygiene und verfolgt das Ziel, die Übertragung bestimmter Erreger auf der Station zu ...
Infektionen mit multiresistenten Erregern (MRE) verlaufen häufig schwer bis lebensbedrohlich. Eine neue Leitlinie unterstützt bei der raschen, mikrobiologisch fundierten ...
Das Torque-Teno-Virus (TTV) wurde erstmals 1997 bei einem Patienten nachgewiesen und nach seinen Initialen als TT-Virus bezeichnet. Die TTV-Last bleibt bei gesunden Personen stabil, ...
2025 brachte viele neue Therapiemöglichkeiten. Innovative Wirkstoffe für alle Fachgebiete eröffnen neue Behandlungsoptionen oft auch dort, wo es bisher kaum welche oder keine gab – die ...
Endemische systemische Mykosen werden überwiegend durch Schimmelpilze verursacht, die im menschlichen Organismus charakteristische Hefeformen annehmen. Klima- und Landnutzungswandel ...
Rund 10% aller Harnsteine sind sogenannte Infektsteine. Die therapeutische Herausforderung besteht im schnellen Steinwachstum, in der Rezidivneigung und einer Obstruktion der Harnwege. ...
Infektionen zählen weltweit zu den häufigsten Ursachen für Morbidität und Mortalität – auch in hochentwickelten Gesundheitssystemen. Neben der konservativen antibiotischen Therapie ...
Im Oktober 2025 präsentierte die European AIDS Clinical Society (EACS) eine aktuelle Version ihrer europäischen Behandlungsleitlinien zum Thema HIV/Aids. Seit zwei Jahrzehnten stellen ...
Infektionen mit nichttuberkulösen Mykobakterien nehmen global signifikant zu. Die Unterscheidung von Kolonisation, transienter Infektion und NTM-Erkrankung kann klinisch sehr schwierig ...
Tuberkulose (TB) bleibt weiterhin eine gravierende Herausforderung weltweit. Trotz Fortschritten ist der Bedarf an effektiveren, kürzeren und besser verträglichen Therapieschemata groß. ...
Akute Myokarditiden und inflammatorische Kardiomyopathien sind immunvermittelte Erkrankungen mit komplexer Pathogenese. Fulminante Verläufe erfordern eine sofortige Diagnostik inklusive ...
Die mikrobiologische Diagnostik von Wundinfektionen kann – richtig eingesetzt – ein essenzieller Bestandteil der klinischen Entscheidungsfindung im Rahmen der Behandlung von ...
Welche Infektionen führen häufig zu Hospitalisierungen und wie viel kostet die stationäre Behandlung von Infektionskrankheiten? Eine deutsche Expert:innengruppe versuchte, diese Fragen ...
Die Literatur beschreibt weltweit weniger als 1000 Fälle des Erythema elevatum diutinum. Charakterisiert durch chronisch-entzündliche, symmetrisch verteilte Knoten und Plaques, stellt ...
In Zeiten zunehmender Antibiotikaresistenzen werden innovative Strategien gegen bakterielle Erreger dringend benötigt. Als eine der potenziellen Lösungen bieten sich therapeutische ...
Im Zuge der Covid-19-Pandemie hatten die ersten mRNA-Impfstoffe Premiere. Die erzielten Erfolge haben dazu beigetragen, dass derzeit mRNA-Vakzine für eine Vielzahl von Indikationen ...
Die Fallzahlen von Gonorrhö und Syphilis nehmen europaweit zu. Auch wenn in den letzten Jahren weniger Chlamydieninfektionen verzeichnet wurden, bleiben sie doch die am häufigsten ...
Patienten mit Human-Immunodeficiency-Virus(HIV)-Infektion haben ein erhöhtes Risiko für Atherosklerose-bedingte kardiovaskuläre Krankheiten. Zusätzlich können die antiretrovirale ...
Abgesehen von der langen Therapiedauer sieht man sich in der Behandlung der Tuberkulose mit drei großen Herausforderungen konfrontiert: den für dieses Bakterium typischen Eigenschaften, ...
Pilzinfektionen stellen eine zunehmende Herausforderung in der Behandlung von Menschen mit Mukoviszidose (zystische Fibrose) dar. Spezifische diagnostische Schritte und therapeutische ...
Kongress-News
In unseren Newsrooms berichten wir tagesaktuell von den Highlights der wichtigsten Kongresse.