
Femoroacetabuläres Impingement-Syndrom bei Jugendlichen
Autor*innen:
Ao. Univ.-Prof. Dr. Catharina Chiari, MSc1
Marie-Christine Lutschounig1
Doz. Dr. Iris Nöbauer-Huhmann2
Univ.-Prof. Dr. Reinhard Windhager1
1 Universitätsklinik für Orthopädie und Unfallchirurgie, Medizinische Universität Wien
2 Universitätsklinik für Radiologie und Nuklearmedizin, Medizinische Universität Wien
Korrespondierende Autorin
Ao. Univ.-Prof. Dr. Catharina Chiari, MSc
Vielen Dank für Ihr Interesse!
Einige Inhalte sind aufgrund rechtlicher Bestimmungen nur für registrierte Nutzer bzw. medizinisches Fachpersonal zugänglich.
Sie sind bereits registriert?
Loggen Sie sich mit Ihrem Universimed-Benutzerkonto ein:
Sie sind noch nicht registriert?
Registrieren Sie sich jetzt kostenlos auf universimed.com und erhalten Sie Zugang zu allen Artikeln, bewerten Sie Inhalte und speichern Sie interessante Beiträge in Ihrem persönlichen Bereich
zum späteren Lesen. Ihre Registrierung ist für alle Unversimed-Portale gültig. (inkl. allgemeineplus.at & med-Diplom.at)
Das femoroacetabuläre Impingement-Syndrom (FAIS) ist eine wichtige Differenzialdiagnose des Leistenschmerzes bei jugendlichen sportlichen Patient*innen.Es ist am häufigsten durch eine Cam-Morphologie verursacht. Diese entsteht kurz vor Verschluss der proximalen Wachstumsfuge am Femur. Sportliche Belastungen sind auslösend für die Entstehung einer sogenannten epiphysären Extension, welche die Offset-Veränderung am Kopf-Schenkelhals-Übergang verursacht.
Entstehung des FAIS
Das femoroacetabuläre Impingementsyndrom (FAIS) entsteht bereits vor Wachstumsabschluss. Insbesondere die Cam-Morphologie kann bereits im Jugendalter symptomatisch werden, wenn auch die Beschwerden meist bei Männern zwischen 20 und 30 Jahren auftreten. Die Pincer-Formen machen typischerweise erst zu einem späteren Zeitpunkt Beschwerden, hier sind vor allem Frauen zwischen 30 und 40 Jahren betroffen. Weitaus am häufigsten kommen gemischte Formen vor.
Die Prävalenz des FAIS in der Altersgruppe von jugendlichen Patienten wurde in zwei Studien untersucht, wobei CT-Bilder von asymptomatischen Probanden vermessen wurden. Dabei zeigte sich ein ähnliches Verteilungsmuster wie bei Erwachsenen. Kayamakoglu et al. stellten 26,5% Cam-, 17,6% Pincer- und 4,9% gemischte Morphologien fest, während Li et al. 16,8% Cam-, 32,4% Pincer- und 6,1% gemischte Formen fanden.10,11 Es ist unklar, welche Cam-Morphologien symptomatisch werden. Es ist weiterhin nicht geklärt, welche Patienten mit Cam-Morphologie Hüftschmerzen entwickeln.
Im Gegensatz zur Pincer-Morphologie ist die Entstehung der primären Cam-Morphologie deutlich besser untersucht. Es ist bekannt, dass diese kurz vor Verschluss der proximalen Femurwachstumsfuge entsteht. Es handelt sich vermutlich um eine physiologische Reaktion auf Scherkräfte, wie sie bei regelmäßiger und starker sportlicher Belastung auftreten können. Welche zusätzlichen Risikofaktoren eine Rolle spielen, ist noch ungeklärt. Es kommt zu einer epiphysären Extension, welche die Ursache der Cam-Morphologie darstellt. Man geht davon aus, dass es sich um einen Stabilisierungsversuch der Epiphyse handelt, da zum selben Zeitpunkt der Verlust des epiphysären Tuberkels zu einem Stabilitätsverlust im Bereich der Physe führt. Man spricht auch vom sogenannten „Cupping-Phänomen“.7
Die typische Lokalisation der Cam-Läsion ist anterosuperior am Schenkelhals, häufig beidseits. Während der Entstehung, die schon mit 10 Jahren stattfinden kann, kann sie zunächst knorpelig angelegt sein. Nach Verschluss der Wachstumsfuge kommt es zu keiner weiteren Veränderung mehr.1,14,18,19
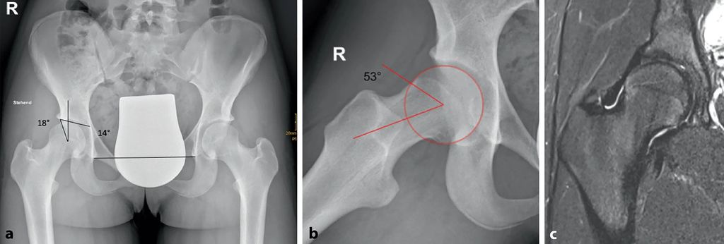
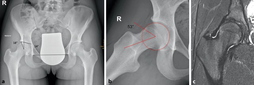
Sportarten, die besonders für das Auftreten einer Cam-Morphologie prädisponieren, sind Ballsportarten wie Fußball, Basketball, Volleyball, aber auch Tanzen, Gymnastik und Leichtathletik. Auch wenn das männliche Geschlecht insgesamt häufiger betroffen ist, tritt das FAIS bei Athletinnen, die die genannten Sportarten ausführen, ebenfalls gehäuft auf (Abb.1).6,10,22
Abb. 1: 14-jährige aktive Balletttänzerin mit Schmerzen bei starker Abduktion und Außenrotation. Im Projektionsröntgen ap (a) zeigt sich eine Grenzdysplasie (LCE-Winkel 18°, Tragflächenwinkel 14°), in der Dunn-View (b) ein verminderter femoraler Offset mit einem Alpha-Winkel von 53,4°. Die MRT (c) zeigt ein geringgradiges Knochenmarködem am Kopf-Schenkelhals-Übergang als Zeichen des FAI (aus Chiari et al. 2022)5
Differenzialdiagnose
Die wichtigste Diffenzialdiagnose zum primären Cam-Impingement stellt die Epiphysiolysis capitis femoris (ECF) dar. Die Morphologie ist hier eine andere. Die epiphysäre Extension fehlt, die knöcherne Prominenz am Kopf-Schenkelhals-Übergang entsteht durch das Abkippen des Hüftkopfes. Die Unterscheidung ist auch aufgrund der unterschiedlichen therapeutischen Konsequenz entscheidend. Eine ECF muss akut einer chirurgischen Therapie mit Stabilisierung der Wachstumsfuge zugeführt werden, wohingegen ein primäres Cam-FAIS elektiv abgeklärt werden kann und zunächst konservativ behandelt wird. Patienten mit ECF sind meist adipös, während der typische Cam-FAIS-Patient sportlich ist. In Abbildung 2 ist der Vergleich der beiden Entitäten dargestellt.
Abb. 2: a–d: Idiopathische Cam-Morphologie bei einem 14-jährigen Leistungssport-Fußballer mit trainingsassoziiertem Leistenschmerz rechts. Vorderer Impingement-Test positiv. Die Wachstumsfuge ist noch nicht verschlossen. Im anteroposterioren Projektionsröntgen (a) epiphysäre Extension (gestrichelte Linie, Pfeil). In der Dunn-View (b) zeigt sich eine Offset-Verminderung durch die inzipiente Cam-Morphologie mit einem Alpha-Winkel von 52°. Die MRT (c) zeigt eine geringe Formalteration des acetabulären Erkers sowie zumindest eine Labrumdegeneration in der chondrolabralen Transitionszone (Pfeil). Im axialen MRT (d) zeigt sich die Cam-Morphologie analog zum Röntgen. e–h: 12-jähriger Patient mit Schmerzen im Bereich des rechten Hüftgelenkes seit ca. 2 Monaten. Positives Drehmann-Zeichen mit aufgehobener Innenrotation in 90° Beugung. Im anteroposterioren Projektionsröntgen (e) findet sich eine deutlich erweiterte Physenfuge rechts. In der Lauenstein-Aufnahme (f) findet sich mit einem Southwick-Winkel von 33° eine moderat abgeglittene Epiphyse, die zu einer sekundären Cam-Morphologie führt; in der MRT (g, h) ist das Ausmaß dreidimensional bestimmbar; zudem zeigt sich ein Knochenmarködem (aus Chiari et al. 2022)5
Andere Ursachen für sekundäre Hüftkopfdeformitäten im Jugendalter, die mit einer Impingementsymptomatik einhergehen können, sind Folgezustände nach Morbus Perthes, postentzündliche Veränderungen oder posttraumatische Zustände. Eine extraartikuläre Ursache für eine klinische Impingementsymptomatik kann das subspinale Impingement sein, wie es nach Avulsionsfrakturen der Spina iliaca anterior inferior beim jungen Sportler vorkommen kann. Auch Torsionsfehler können ein FAIS verursachen. Eine erhöhte Antetorsion des Schenkelhalses begünstigt ein dorsales Impingement zwischen Trochanter minor und Sitzbein, während eine vermehrte Retrotorsion des Schenkelhalses ein ventrales Impingement hervorrufen kann. Vice versa spielt auch die Pfannenversion eine Rolle.
Diagnostik
Klinische Untersuchung
Dazu gehören die Beurteilung des Gangbildes (Hinken, Einwärtsgang, Auswärtsgang), die Untersuchung des Bewegungsumfanges in Rücken- und Bauchlage sowie die Impingementtests in Flexion-Adduktion und Innenrotation (FADIR), sowie in Flexion-Abduktion und Außenrotation (FABER). Das Drehmann-Zeichen (spontane Außenrotation bei zunehmender Beugung im Hüftgelenk) sollte beim Jugendlichen besonders beachtet werden, da es typisch für das Vorliegen einer ECF ist. Ein eventuell vorhandenes Psoasschnappen wird durch einen Funktionstest mit Heben und Absenken des gestreckten Beines und kreisende Bewegungen des gestreckten Beines festgestellt. Schmerzdruckpunkte in der Leiste und am Trochanter sollten palpiert werden.20
Radiologische Abklärung
Die Beckenübersichtsaufnahme im Liegen oder Stehen und die axiale Aufnahme des Hüftgelenks stellen die radiologische Basisdiagnostik dar. Die Cam-Morphologie wird am besten in der Dunn-Aufnahme dargestellt. Die Quantifizierung der Cam-Morphologie erfolgt durch Messung des Alpha-Winkels nach Nötzli auf Röntgenbildern (Abb.2b,d).16 Der Abrutschwinkel einer ECF wird in der axialen Lauenstein-Aufnahme gemessen.
Die Magnetresonanztomografie zählt mittlerweile ebenfalls zum Goldstandard. Das Ausmaß und die Lokalisation einer Cam-Morphologie werden durch radiäre Rekonstruktion nach der Ziffernblattmethode beurteilt. Knochenmarksödeme im Bereich der Kontaktzonen können indirekte Zeichen eines FAIS sein. Weiters werden Labrum und Knorpel beurteilt. Die MR-Arthrografie (optional mit Traktion) ist die beste Möglichkeit, die Knorpeloberfläche und Labrumläsionen zu beurteilen, ist jedoch aufgrund der Invasivität bei Kindern und Jugendlichen zurückhaltender einzusetzen. In diversen Studien wurde nachgewiesen, dass sowohl bei primären Cam-Morphologien als auch bei Zustand nach ECF Knorpel- und Labrumschäden auftreten. Das Ausmaß der Schäden ist umso größer, je höher der Alpha-Winkel ist.12,17,21 Die Beurteilung von Sekundärschäden an Knorpel und Labrum ist für die Operationsindikation und -planung von Bedeutung, damit rechtzeitig interveniert werden kann.2 Ergänzend wird eine Analyse der Torsionsverhältnisse, optimalerweise mit MRT, empfohlen.
Therapie
Der primäre Therapieansatz beim Jugendlichen ist im Gegensatz zum Erwachsenen konservativ. In einer rezenten prospektiven Studie berichten Zogby et al. über 5-Jahres-Resultate der nichtoperativen Therapie von FAI bei Adoleszenten.22 Es wurde eine Sportpause von 6 Wochen für Sportarten, die Laufen, Springen oder hochgradige Hüftbeugung beinhalten, mit begleitender Physiotherapie verordnet. Wenn es zu keiner Besserung kam, erhielten die Patienten eine intraartikuläre Injektion mit 40mg Glukokortikoid (Triamcinolon) mit Lokalanästhetikum (10% der Patienten), bei Anhalten der Schmerzen wurde eine Arthroskopie durchgeführt (17% der Patienten). Bei therapieresistenten Beschwerden wurde ein MRT durchgeführt. Die Verbesserung der „patient-reported outcomes“ war innerhalb der ersten beiden Jahre signifikant, danach blieben die Ergebnisse stabil. 71% kehrten zu ihrer sportlichen Aktivität zurück. Die Studie konnte zeigen, dass die nichtoperative Therapie in der adoleszenten FAIS-Population einen wichtigen Stellenwert hat und zu einer stabilen Verbesserung der klinischen Symptomatik über 5 Jahre bei der Mehrheit der untersuchten Patienten führte.22
Eine andere Studie, die sich mit konservativer Therapie von Labrumrissen beschäftigt, wurde von Cianci et al. publiziert.6 Die Patientenpopulation war vornehmlich weiblich (62 von 76 Patienten). 76,3% der Patienten wurden nach einem Therapieversuch mit Physiotherapie und intraartikulärer Injektion operiert. 51,3% der operierten Patienten hatten ein simultanes FAIS. In dieser Patientenkohorte war die konservative Therapie nur über einen kurzen Zeitraum erfolgreich.6 Es muss berücksichtigt werden, dass die Patienten in dieser Studie eine sehr spezielle Population darstellen. Der Anteil von Hüftdysplasiepatienten wird nicht beschrieben, weshalb die Ergebnisse kritisch interpretiert werden müssen. In keiner der beiden Studien wurden exakte Angaben zu Dauer und Art der Physiotherapie gemacht. Aus Sicht der Autoren ist ein konservativer Therapieversuch über 6 Monate sinnvoll. Kräftigungsübungen insbesondere der Hüftabduktoren sowie die Optimierung der Rumpfstabilität stehen dabei im Vordergrund, gleichzeitig sind Dehnungsübungen zur Verbesserung der Beweglichkeit sinnvoll. Schmerzauslösende endlagige Bewegungen sollten vermieden werden.
Die operative Therapie des FAIS beim Jugendlichen ist besser untersucht. In den USA nahm die Anzahl an Hüftarthroskopien bei jugendlichen Patienten in einem Zeitraum von 10 Jahren (2008 bis 2018) um das 3,9-Fache zu.8 In einer Metaanalyse zur operativen Therapie des FAIS bei Jugendlichen durch Hüftarthroskopie wurden die Daten von 406 Adoleszenten (53% weiblich) mit einem durchschnittlichen Alter von 15,9 Jahren und einem Follow-up von 30,4 Monaten untersucht. Es zeigten sich sehr positive Resultate. Es kam zu einer signifikanten Verbesserung der subjektiven Scores, 94% erreichten ihre ursprüngliche sportliche Aktivität.13
Ähnlich positive Ergebnisse konnten auch in einer Metaanalyse von 618 Adoleszenten mit Durchschnittsalter von 15,8 Jahren und 57% Frauenanteil gezeigt werden. Auch hier führte arthroskopische Operation bei FAIS zu einer hohen Patientenzufriedenheit mit verbesserter Funktion und Rückkehr zum Sport bei niedriger Komplikations- und Reoperationsrate.4
Bei offener Wachstumsfuge besteht das potenzielle Risiko eines Cam-Rezidivs. In einer Vergleichsstudie von Patienten mit skelettaler Unreife und Erwachsenen wurde bei 4 von 27 Hüften eine neuerliche Cam-Morphologie festgestellt, die eine neuerliche Arthroskopie erforderte.3 Nach arthroskopischen Eingriffen zur Behebung des FAIS ist eine Verbesserung der Beweglichkeit vor allem bei Innenrotation im Hüftgelenk zu erwarten.
Zusammenfassung
Beim jugendlichen sportlichen Patienten mit Leistenschmerz stellt das FAIS eine wichtige Differenzialdiagnose dar. Die vorherrschende Ursache ist eine primäre Cam-Morphologie, die durch eine epiphysäre Extension charakterisiert ist. Davon muss die ECF abgegrenzt werden. Eine systematische klinische und radiologische Abklärung ist obligat. Höhere Alpha-Winkel nach Nötzli sind mit Knorpel- und Labrumschäden vergesellschaftet. Bei Fehlschlagen eines konservativen Therapieversuches ist die operative Sanierung mit Hüftarthroskopie Mittel der Wahl. In der Literatur sind hohe Erfolgsquoten hinsichtlich Beschwerdebesserung und Rückkehr zum Sport beschrieben.
Literatur:
1 Agricola R et al.: A cam deformity is gradually acquired during skeletal maturation in adolescent and young male soccer players: a prospective study with minimum 2-year follow-up. Am J Sports Med 2014; 42(4): 798-806 2 Albers CE et al.: Imaging of femoroacetabular impingement - current concepts. J Hip Preserv Surg 2016; 3(4): 245-61 3 Arashi T et al.: Higher risk of cam regrowth in adolescents undergoing arthroscopic femoroacetabular impingement correction: a retrospective comparison of 33 adolescent and 74 adults. Acta Orthop 2019; 90(6): 547-53 4 Chen SL et al.: Outcomes of hip arthroscopic surgery in adolescents with a subanalysis on return to sport: a systematic review. Am J Sports Med 2020; 48(6): 1526-34 5 Chiari C et al.: [Femoroacetabular impingement syndrome in adolescents. How to advise? How to treat?]. Orthopäde 2022; 51(3): 211-8 6 Cianci A et al.: Nonoperative management of labral tears of the hip in adolescent athletes: description of sports participation, interventions, comorbidity, and outcomes. Clin J Sport Med 2019; 29(1): 24-8 7 Dijkstra HP et al.: Primary cam morphology; bump, burden or bog-standard? A concept analysis. Br J Sports Med 2021; 55(21): 1212-21 8 Hassan MM et al.: Trends in adolescent hip arthroscopy from the PHIS database 2008-2018. J Pediatr Orthop 2021; 41(1): e26-9 9 Kapron AL et al.: The prevalence of radiographic findings of structural hip deformities in female collegiate athletes. Am J Sports Med 2015; 43(6): 1324-30 10 Kaymakoglu M et al.: Characteristics of femoroacetabular impingement morphology and relation with skeletal maturity among asymptomatic adolescents. Acta Orthop Belg 2021; 87(1): 47-54 11 Li Y et al.: Prevalence of femoroacetabular impingement morphology in asymptomatic adolescents. J Pediatr Orthop 2017; 37(2): 121-6 12 Lieberman EG et al.: Patients with symptomatic sequelae of slipped capital femoral epiphysis have advanced cartilage wear at the time of surgical intervention. J Pediatr Orthop 2021; 41(6): e398-403 13 Migliorini F, Maffulli N: Arthroscopic management of femoroacetabular impingement in adolescents: a systematic review. Am J Sports Med 2021; 49(13): 3708-15 14 Morris WZ et al.: Origin of cam morphology in femoroacetabular impingement. Am J Sports Med 2018; 46(2): 478-86 15 Nepple JJ et al.: What is the association between sports participation and the development of proximal femoral cam deformity? A systematic review and meta-analysis. Am J Sports Med 2015; 43(11): 2833-40 16 Notzli HP et al.: The contour of the femoral head-neck junction as a predictor for the risk of anterior impingement. J Bone Joint Surg Br 2002; 84(4): 556-60 17 Örtegren J et al.: Persisting cam deformity is associated with early cartilage degeneration after slipped capital femoral epiphysis: 11-year follow-up including dGEMRIC. Osteoarthritis and Cartilage 2018; 26(4): 557-63 18 Palmer A et al.: Physical activity during adolescence and the development of cam morphology: a cross-sectional cohort study of 210 individuals. Br J Sports Med 2018; 52(9): 601-10 19 Siebenrock KA et al.: Prevalence of cam-type deformity and hip pain in elite ice hockey players before and after the end of growth. Am J Sports Med 2013; 41(10): 2308-13 20 Ward D, Parvizi J: Management of hip pain in young adults. Orthop Clin North Am 2016; 47(3): 485-96 21 Youngman TR et al.: The association of α angle on disease severity in adolescent femoroacetabular impingement. J Pediatr Orthop 2021; 41(2): 88-92 22 Zogby AM et al.: Nonoperative management of femoroacetabular impingement in adolescents: clinical outcomes at a mean of 5 years: a prospective study. Am J Sports Med 2021; 49(11): 2960-7
Das könnte Sie auch interessieren:
Angeborene Fehlstellungen des Unterschenkels
Kongenitale Deformitäten des Unterschenkels gehören zu den seltenen, aber medizinisch bedeutenden und operativ herausfordernden Diagnosen der Kinderorthopädie. Eine differenzierte ...
Einzeitiger und mehrzeitiger septischer Endoprothesenwechsel
Die periprothetische Infektion (PPI) stellt eine der gefürchtetsten Komplikationen im Bereich der Orthopädie und Traumatologie dar. Sie ist verbunden mit hohen Morbiditäts- und ...
Hochgradige ACG-Luxationen – wann konservativ behandeln, wann nicht?
Verletzungen des Akromioklavikulargelenks (ACG) gehören zu den häufigsten Schulterverletzungen bei jungen und aktiven Menschen, insbesondere auch aufgrund der zunehmenden Beliebtheit von ...