© Getty Images/iStockphoto

Kampfsport aus sportmedizinischer Sicht

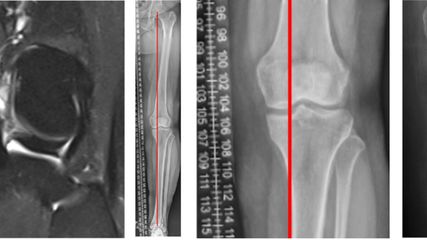
<p class="article-intro">Ziel dieses Artikels ist es, die positiven Effekte asiatischer Kampfsportarten aufzuzeigen, auf potenzielle negative Folgen, die bei übermäßigem Ausüben auftreten können, hinzuweisen und den betreuenden Sportärzten wichtige Informationen zu übermitteln.</p> <p class="article-content"><div id="keypoints"> <h2>Keypoints</h2> <ul> <li>Asiatischer Kampfsport bietet aus sportmedizinischer Sicht eine hervorragende M&ouml;glichkeit, alle k&ouml;rperlichen Hauptbelastungsformen zu trainieren &ndash; bei geringem Verletzungsrisiko und geringem Risiko f&uuml;r chronische Sch&auml;den am St&uuml;tz- und Bewegungs&shy;apparat.</li> <li>Seine Aus&uuml;bung f&uuml;hrt zur Verbesserung von k&ouml;rperlicher Fitness, Balance, Psyche und Allgemeinbefinden.</li> <li>Selbst &auml;ltere Neueinsteiger &ndash; ob gesund oder mit Vorerkrankungen &ndash; profitieren vom Training.</li> <li>Mit einem erh&ouml;hten Risiko f&uuml;r akute Verletzungen und &Uuml;berlastungserscheinungen muss nur dann gerechnet werden, wenn der Kampfsport wettkampfm&auml;&szlig;ig betrieben wird.</li> </ul> </div> <p>&bdquo;Kampf&ldquo; kann in Form von &bdquo;Kunst&ldquo; oder &bdquo;Sport&ldquo; ausge&uuml;bt werden. Grunds&auml;tzlich bezeichnet man als Kampfkunst jeden Stil, der Fertigkeiten und Techniken der ernsthaften k&ouml;rperlichen Auseinandersetzung mit einem Gegner beschreibt, ohne Regeln festzulegen. Dabei stehen die Selbstverteidigung und das Verhalten in echten Gefahren- oder Konfliktsituationen im Vordergrund, mit dem Bestreben, den Gegner mit allen Mitteln und m&ouml;glichst schnell zu besiegen. Aus der Kampfkunst entwickelt sich Kampfsport, wenn sie nach einem genau festgelegten Regelwerk ausge&uuml;bt wird, wodurch ein sportlicher Vergleich in Form eines Wettkampfs erm&ouml;glicht wird. Dieser wird haupts&auml;chlich in einem Zweikampf ausgetragen. Er kann aber auch in einer anderen Bewerbsform, wie zum Beispiel dem Bruchtest oder dem Formenlauf, der alleine oder im Team absolviert werden kann, erfolgen (Abb. 1).</p> <p><img src="/custom/img/files/files_datafiles_data_Zeitungen_2017_Jatros_Ortho_1701_Weblinks_s60.jpg" alt="" width="2150" height="641" /></p> <p>Allen asiatischen Kampfsportarten gemeinsam ist, dass sie nicht nur physische Kampftechnik, sondern auch Philosophie und Lebensweise lehren. Diese sogenannte &bdquo;innere Kampftechnik&ldquo; beschreibt eine besondere, in der jeweiligen Kultur und Tradition begr&uuml;ndete geistige Haltung, die durch den Kampf gelebt und praktiziert wird. Das Training basiert auf einer Kombination aus physischen konditionellen und koordinativen F&auml;higkeiten (Ausdauer, Kraft, Schnelligkeit, Beweglichkeit, Gewandtheit und Koordination) unter strikter Vermeidung einseitiger Belastung, gepaart mit der Vermittlung kultureller Grundwerte (Respekt, Gerechtigkeit, Ehrgef&uuml;hl, Disziplin, Geduld, Stetigkeit, Bescheidenheit und H&ouml;flichkeit). Es f&ouml;rdert die Einheit von K&ouml;rper und Geist und st&auml;rkt Selbstbewusstsein und Selbstvertrauen. &bdquo;Wer Kampfsport trainiert, der lernt, aufrecht zu gehen. Man hat eine gewisse Art aufzutreten, ist nicht mehr Opfer. Man lernt, in Stresssituationen zu beobachten und dosiert zu reagieren. Man ist nicht gezwungen, aus Angst gleich zuzuschlagen&ldquo; (Prim. Univ.-Prof. DDr. Josef Niebauer, MBA, Vorstand des Instituts f&uuml;r Sportmedizin des Landes Salzburg; Medizin popul&auml;r 4/2012). Ultimatives Ziel jedes Trainierenden sollte das Erleben des Alltags in v&ouml;lliger Harmonie von K&ouml;rper und Geist sein.</p> <p>Die popul&auml;rsten Kampfsportarten sind Aikido, Judo, Jiu-Jitsu, Karate und Kendo aus Japan, Kung-Fu und Wing Tsun aus China und Taekwondo aus Korea. Auf Letzterem liegt &ndash; bedingt durch meinen sportlichen Hintergrund &ndash; das Hauptaugenmerk dieses Artikels. Taekwondo, frei &uuml;bersetzt &bdquo;die Kunst des Fu&szlig;- und Handkampfes&ldquo;, ist eine fast 2.000 Jahre alte, waffenlos ausge&uuml;bte, schnelle und dynamische Kampfkunst, bei der sowohl H&auml;nde als auch F&uuml;&szlig;e zur Verteidigung eingesetzt werden d&uuml;rfen, wobei aber im Gegensatz zu anderen Kampfsportarten die Fu&szlig;techniken &uuml;berwiegen (fast 80 % ). Seit 2000 ist Taekwondo olympische Disziplin.</p> <h2>Einstieg f&uuml;r Kinder und Erwachsene</h2> <p>Judo eignet sich bereits f&uuml;r Kleinkinder, die im Training spielerisch raufen und richtig fallen lernen, wobei ihre Kraft und Ausdauer gleicherma&szlig;en geschult werden. Da die meisten Knaben und M&auml;dchen erst im Alter von 8 bis 10 Jahren ein ausreichend differenziertes Gewaltverst&auml;ndnis entwickeln, sollen im Normalfall Taekwondo und Karate erst ab diesem Alter praktiziert werden. In beiden Sportarten deckt das ganzheitliche Training das komplette Bewegungsausma&szlig; s&auml;mtlicher K&ouml;rperabschnitte in allen Raumebenen ab und beugt daher chronischen Sch&auml;den am Bewegungsapparat vor. Die Durchf&uuml;hrung des Kampfschreis soll sch&uuml;chterne Kinder dazu motivieren, aus sich herauszugehen. Positive Erfahrungen im Vergleich mit Gleichaltrigen steigern das Selbstvertrauen sowie die Bereitschaft, vor die Gruppe zu treten und erlernte Techniken zu pr&auml;sentieren. Aufgeweckte Kinder bauen ihre Aggressionen durch das Aus&uuml;ben formalisierter Bewegungen ab. Sie werden ruhiger, dr&auml;ngen sich weniger in den Vordergrund, akzeptieren Regeln und lernen, sich in die Gruppe zu integrieren. <br />Neueinsteiger im Erwachsenenalter sollten sich auf jeden Fall einem sportmedizinischen Test unterziehen. Es sollte jene Kampfsportart gew&auml;hlt werden, deren Anforderungsprofil aufgrund der k&ouml;rperlichen Voraussetzungen erf&uuml;llt werden kann, wobei generell die Intensit&auml;t des Trainings dem jeweiligen Gesundheitszustand angepasst werden muss.</p> <h2>Wissenschaftlich nachgewiesene positive Aspekte</h2> <p>Taekwondo-Training f&uuml;hrt bei pr&auml;pubert&auml;ren Knaben zu einer verbesserten posturalen und neuromuskul&auml;ren Leistung.<sup>1</sup> 11- bis 14-j&auml;hrige Taekwondo-Sch&uuml;ler und -sch&uuml;lerinnen weisen im Vergleich zu Gleichaltrigen ohne Kampfsporttraining ein verbessertes Aufmerksamkeitsverhalten, eine erh&ouml;hte Genauigkeit bei Funktionstests sowie eine (durch ihre Eltern eingesch&auml;tzte) verbesserte Verhaltenskontrolle auf.<sup>2</sup> Pons van Dijk et al untersuchten den Effekt des altersadaptierten Taekwondo-Trainings bei &uuml;ber 40-j&auml;hrigen Neueinsteigern. Eine Stunde Taekwondo-Training pro Woche im Zeitraum eines Jahres verbesserte sowohl Balance als auch kognitive F&auml;higkeiten der Studienteilnehmer.<sup>3</sup> Dieser positive Effekt wird auch durch ein nicht ersch&ouml;pfendes Training erzielt &ndash; eine wichtige Tatsache f&uuml;r alle Kampfsportler, die sich aufgrund von kardiovaskul&auml;ren und respiratorischen Vorerkrankungen nicht ausbelasten k&ouml;nnen und sollen. Kim et al konnten nachweisen, dass Taekwondo-Training die &bdquo;K&ouml;rperintelligenz&ldquo; und zerebrale Konnektivit&auml;t vom Kleinhirn zum parietalen und frontalen Kortex verbessert.<sup>4</sup> Kampfsport kann aber nicht nur bei gesunden Menschen, sondern auch als Erg&auml;nzung in der Rehabilitation zur Haltungskorrektur eingesetzt werden. Byun et al zeigten an Volksschulkindern mit Fehlhaltungen, dass Taekwondo-Basisbewegungen, die dreimal pro Woche f&uuml;r insgesamt acht Wochen ausgef&uuml;hrt wurden, eine signifikante Verbesserung der Nacken-, Schulter- und Beckeninklination bewirkten.<sup>5</sup></p> <h2>Wettkampfsport</h2> <p>Bei den Olympischen Spielen 2020 in Tokio werden die Kampfsportarten Boxen, Ringen, Judo, Taekwondo und zum ersten Mal auch Karate vertreten sein. In einem Zweikampf, besonders wenn er taktisch gef&uuml;hrt wird, liegt der Gro&szlig;teil der Belastung im rein aeroben Bereich, wobei w&auml;hrend explosiver Angriffsfolgen Laktatkonzentrationen von 15 bis 20mmol/l im Blut erzielt werden k&ouml;nnen.<sup>6</sup> Um im Wettkampf erfolgreich zu sein, sind daher ein ausreichendes Training der Grundlagenausdauer, das leider von vielen Sportlern als monoton und langweilig erachtet wird, und ein spezifisches anaerobes laktazides Training zur Verbesserung der Laktattoleranz unabdingbar. Weitere Grundpfeiler des Erfolges sind Technik, Kraft, Beweglichkeit und Reaktionsschnelligkeit, f&uuml;r deren Verbesserung ausreichend Zeit in der Trainingsplanung veranschlagt werden muss.</p> <h2>Akute Verletzungen</h2> <p>W&auml;hrend sich Freizeit-Kampfsportler im Allgemeinen nur relativ selten verletzen, steigen Anzahl und Schwere akuter Verletzungen bei Leistungssportlern deutlich an. Als h&auml;ufigste Ursachen werden ein ungen&uuml;gendes Warm-up (22,4 % ), ein Schlag des Trainingspartners (19,4 % ), ein ungen&uuml;gender physischer Trainingszustand (8,9 % ) und eine ungen&uuml;gende Schutzausr&uuml;stung (8,9 % ) genannt. <br />Asiatische Kampfsportarten weisen generell eine sehr hohe lineare Beschleunigung bei Fu&szlig;tritten auf, die bis zu f&uuml;nffach h&ouml;her als jene bei Faustschl&auml;gen im Boxsport sein kann.<sup>7</sup> Die kumulative Verletzungsh&auml;ufigkeit bei allen asiatischen Kampfsportarten betr&auml;gt 41,8 % f&uuml;r die unteren Extremit&auml;ten, 28,0 % f&uuml;r die oberen Extremit&auml;ten, 15,0 % f&uuml;r Rumpf/Thorax/Wirbels&auml;ule, 10,0 % f&uuml;r Kopf/Hals und 4,7 % f&uuml;r die restlichen K&ouml;rperteile (Sammelstelle f&uuml;r die Statistik der Unfallversicherung UVG). Zetaruk et al analysierten die Verletzungen bei der Aus&uuml;bung von f&uuml;nf verschiedenen Stilen (Taekwondo, Aikido, Kung-Fu, Karate und Tai-Chi) in einem Zeitraum von einem Jahr. Bei Taekwondo fanden sie ein dreifach erh&ouml;htes Verletzungsrisiko und ein dreimal so hohes Mehrfachverletzungsrisiko im Vergleich zu Karate.<sup>8</sup> Den Kampfsportlern aller f&uuml;nf Stile war ein vierfach erh&ouml;htes Risiko bei einem Alter &uuml;ber 18 Jahre, ein 2,5-fach erh&ouml;htes Risiko bei einer Trainingserfahrung &uuml;ber drei Jahre und ein zweifach erh&ouml;htes Risiko bei einem Trainingspensum von &uuml;ber drei Stunden pro Woche gemeinsam. Laut Altarriba-Bartes et al, die 48 Elite-Taekwondo-Athleten &uuml;ber zwei Olympiazyklen hinweg begleiteten, muss ein Hochleistungswettk&auml;mpfer mit vier bis f&uuml;nf Verletzungen pro Jahr rechnen, wobei haupts&auml;chlich die unteren Extremit&auml;ten &ndash; Knie (21,3 % ), Fu&szlig; (17,0 %), Sprunggelenk (12,2 % ), Oberschenkel (11,4 % ) und Unterschenkel (8,8 % ) &ndash; betroffen sind.<sup>9</sup> Niedrige Gewichtsklasse und Wettkampfphase konnten als Risikofaktoren f&uuml;r das Erleiden von Verletzungen identifiziert werden.</p> <p>&Uuml;bliche Empfehlungen der sportartspezifischen Verletzungsprophylaxe sind im Kampfsport nur bedingt zielf&uuml;hrend, weil das Training propriozeptiver und koordinativer F&auml;higkeiten ohnehin den Grundstock der sportlichen Ausbildung darstellt. Da das Training variabel gestaltet wird und Dehn&uuml;bungen ein integraler Bestandteil sind, treten muskul&auml;re Verk&uuml;rzungen, Dysbalancen und Verkettungssyndrome im Vergleich zu anderen Sportarten eher selten auf. Im Wettkampf sollten nur ausreichend qualifizierte Kampfrichter eingesetzt werden, die bei Ungleichheit der Kontrahenten rechtzeitig erkennen, wann sie sch&uuml;tzend einschreiten und den Kampf abbrechen m&uuml;ssen.</p> <h2>Chronische &Uuml;berlastungserscheinungen</h2> <p>&Uuml;berlastungssyndrome, die definitiv zu den Schattenseiten eines exzessiven Kampfsporttrainings z&auml;hlen, sind bei fast allen langj&auml;hrigen Leistungssportlern zu finden (Abb. 2). Bei ihnen werden wegen ihrer normalerweise ausgezeichnet geschulten propriozeptiven F&auml;higkeiten chronische Band&shy;instabilit&auml;ten, die haupts&auml;chlich nach multiplen Distorsionen vor allem am Knie und am Sprunggelenk entstehen, meistens erst in h&ouml;hergradigen Stadien klinisch symptomatisch und erfordern oftmals eine operative Behandlung. <br />Bedingt durch die regelm&auml;&szlig;ig durchgef&uuml;hrten hohen, mit maximaler Flexion und Abduktion im H&uuml;ftgelenk ausgef&uuml;hrten Tritte leiden Leistungssportler h&auml;ufig auch an einem H&uuml;ftimpingement. Da die klinische Untersuchung oft nicht ausreichend aussagekr&auml;ftig ist, erfolgt die Diagnosesicherung vorzugsweise mittels Magnetresonanzarthrografie. Bei m&auml;&szlig;iger Manifestation sollte prim&auml;r ein konservativer Therapieansatz versucht werden. <br />Weil Fu&szlig;tritte zu einer endgradigen Hyperextension und Au&szlig;enrotation im Knie f&uuml;hren, treten bei Kampfsportlern Meniskusl&auml;sionen vor allem im Bereich des Au&szlig;enmeniskusvorderhorns auf. Die Diagnosesicherung mittels MRT ist nicht immer konklusiv und darf nur zusammen mit der Klinik interpretiert werden. <br />Im Bereich des Vorfu&szlig;es findet man h&auml;ufig einen Hallux rigidus, der zumindest teilweise durch erlittene Kapseldistorsionen bedingt ist. Auch hier sollte prim&auml;r ein konservativer manualmedizinischer Therapieversuch (eventuell in Kombination mit einer Infiltration) durchgef&uuml;hrt werden.</p> <p><img src="/custom/img/files/files_datafiles_data_Zeitungen_2017_Jatros_Ortho_1701_Weblinks_s62.jpg" alt="" width="1456" height="933" /></p> <h2>Aufgabe des betreuenden Arztes</h2> <p>Generell sollte die medizinische Betreuung von Leistungssportlern Leistungstests und Ern&auml;hrungsberatung beinhalten. Letztere spielt besonders vor Wettk&auml;mpfen eine wichtige Rolle, da der Erhalt einer Gewichtsklasse oft nur durch kurzfristiges und intensives Abnehmen erreicht werden kann. Liegen &Uuml;berlastungsverletzungen vor, ist in der Vorbereitungsphase eine geeignete Trainingsumstellung im Sinne einer Sekund&auml;rprophylaxe anzustreben. Um Verletzungen vor Turnieren m&ouml;glichst zu verhindern, sollte das Vollkontakttraining nicht oder nur sehr gut gesch&uuml;tzt durchgef&uuml;hrt werden. Vor dem Wettkampf muss das medizinische Team grippale Infekte und gastrointestinale Probleme effizient und ohne Verletzung der Dopingrichtlinien behandeln. W&auml;hrend des Wettkampfes muss es im Falle einer offenen Wunde eine rasche und suffiziente Blutstillung gew&auml;hrleisten, die Voraussetzung f&uuml;r die Fortsetzung eines Kampfes ist. Es obliegt einzig und allein dem Sportarzt, den Grad und die drohenden Folgesch&auml;den einer akuten Verletzung zu beurteilen, im Falle eines ernsthaften Traumas konsequent den Abbruch des Kampfes zu veranlassen und noch vor Ort eine ad&auml;quate Erstversorgung zu gew&auml;hrleisten, auch wenn der Sportler wegen seines hochgefahrenen Adrenalinspiegels die Notwendigkeit einer Kampfaufgabe nicht unbedingt verstehen kann.</p> <h2>Besorgniserregender Trend</h2> <p>Der Begriff &bdquo;Mixed Martial Arts&ldquo; (MMA) bezeichnet einen relativ modernen, aus Brasilien und den USA stammenden Vollkontaktsport, der Techniken aus verschiedenen Kampfsportarten beinhaltet und meistens in Form von K&auml;figk&auml;mpfen ausge&uuml;bt wird, wobei Schlag- und Tritttechniken sowie Bodenkampf- und Ringertechniken erlaubt sind. Auch weil &ndash; im Gegensatz zu asiatischen Kampfsportarten &ndash; im Bodenkampf weiter geschlagen und getreten werden darf, erinnern K&auml;figk&auml;mpfe an Gladiatorenk&auml;mpfe im alten Rom. Laut Bledsoe et al liegt bei professionellen MMA-K&auml;mpfen ein mit anderen Kampfsportarten (inklusive Boxen) vergleichbares Verletzungsrisiko vor, wobei das Risiko, an Dementia pugilis&shy;tica zu erkranken, im Vergleich zum Boxen sogar geringer sein soll.<sup>10</sup> Meiner Meinung nach muss dieses Ergebnis hinterfragt werden, da noch keine Langzeitergebnisse pr&auml;sentiert werden k&ouml;nnen. Wegen der ausgesprochenen Brutalit&auml;t und des minimalistischen Regelwerks kann ich das MMA-Konzept nicht bef&uuml;rworten, da es trotz seiner sehr jungen Geschichte bereits zu 13 mit MMA-K&auml;mpfen assoziierten und dokumentierten Todesf&auml;llen gef&uuml;hrt hat.</p> <p>Der Inhalt dieses Artikels war Thema eines Vortrags bei der Sport&auml;rztewoche, 4.&ndash;9. Dezember 2016, Kaprun</p></p> <p class="article-footer"> <a class="literatur" data-toggle="collapse" href="#collapseLiteratur" aria-expanded="false" aria-controls="collapseLiteratur" >Literatur</a> <div class="collapse" id="collapseLiteratur"> <p><strong>1</strong> Jlid MC et al: Pre-pubertal males practising Taekwondo exhibit favourable postural and neuromuscular performance. BMC Sports Sci Med Rehabil 2016; 8: 16 <strong>2</strong> Lakes KD et al: The Healthy for life taekwondo pilot study: a preliminary evaluation of effects on executive function and bmi, feasibility, and acceptability. Ment Health Phys Act 2013; 6(3): 181-8 <strong>3</strong> Pons van Dijk G et al: Taekwondo training improves balance in volunteers over 40. Front Aging Neurosci 2013; 5: 10 <strong>4</strong> Kim JK et al: The effects of taekwondo training on brain connectivity and body intelligence. Psychiatry Investig 2015; 12(3): 335-40 <strong>5</strong> Byun S et al: The effects of an exercise program consisting of taekwondo basic movements on posture correction. J Phys Ther Sci 2014; 26(10): 1585-8 <strong>6</strong> Beneke R et al: Energetics of karate kumite. Eur J Appl Physiol 2004; 92(4-5): 518-23 <strong>7</strong> Fife GP et al: Biomechanics of head injury in olympic taekwondo and boxing. Biol Sport 2013; 30(4): 263-8 <strong>8</strong> Zetaruk MN et al: Injuries in martial arts: a comparison of five styles. Br J Sports Me 2005; 39(1): 29-33 <strong>9</strong> Altarriba-Bartes A et al: Epidemiology of injuries in elite taekwondo athletes: two Olympic periods cross-sectional retrospective study. BMJ Open 2014; 4(2): e004605 <strong>10</strong> Bledsoe GH et al: Incidence of injury in professional mixed martial arts competitions. J Sports Sci Med 2006; 5(CSSI): 136-42</p> </div> </p>
Back to top