Von der Pankreasläsion zur systemischen Histiozytose
Bericht:
Mag. pharm. Irene Senn, PhD
geprüft durch die Referenten:
Prim. Priv.-Doz. Dr. Jochen Zwerina
1. Medizinische Abteilung Hanusch-Krankenhaus, Wien
OA Dr. Michael Panny
3. Medizinische Abteilung
Hanusch-Krankenhaus, Wien
Sie sind bereits registriert?
Loggen Sie sich mit Ihrem Universimed-Benutzerkonto ein:
Sie sind noch nicht registriert?
Registrieren Sie sich jetzt kostenlos auf universimed.com und erhalten Sie Zugang zu allen Artikeln, bewerten Sie Inhalte und speichern Sie interessante Beiträge in Ihrem persönlichen Bereich
zum späteren Lesen. Ihre Registrierung ist für alle Unversimed-Portale gültig. (inkl. allgemeineplus.at & med-Diplom.at)
Die Erdheim-Chester-Erkrankung (ECD) ist eine seltene Form der Nicht-Langerhans-Zell-Histiozytose, die durch eine pathologische Infiltration von Zellen des mononukleären Phagozytensystems charakterisiert ist. Die Erkrankung wird heute als klonale myeloische Neoplasie verstanden. Die Diagnosestellung wird durch unspezifische Symptome und vielfältige Organmanifestationen erschwert, wodurch die ECD rheumatologische Systemerkrankungen imitieren kann.
Klinische Charakteristika
Die ECD tritt überwiegend bei Erwachsenen im Alter von 55–60 Jahren auf, wobei Männer etwa dreimal häufiger betroffen sind als Frauen. Bemerkenswert ist die hohe Koinzidenz mit anderen hämatologischen Erkrankungen: 20% der Patienten weisen zusätzlich Langerhans-Zell-Histiozytose(LCH)-Läsionen auf, etwa 10% entwickeln andere myeloide Neoplasien, insbesondere eine chronische myelomonozytäre Leukämie (CMML).1
Die Erkrankung manifestiert sich in mehr als 95% der Fälle im Knochen, oft mit symmetrischen sklerotischen Läsionen in den langen Röhrenknochen. Weitere betroffene Organe sind das kardiovaskuläre System, die Niere, das Zentralnervensystem (ZNS) und das Retroperitoneum. Histologisch zeichnet sich die ECD durch CD1a-negative und CD68-positive Histiozyten aus.2 Die Entdeckung von somatischen Mutationen wie BRAF V600E hat die Behandlungsoptionen um zielgerichtete Therapien erweitert. Mit dem BRAF-Inhibitor Vemurafenib konnte bei der ECD erstmals eine Remission erreicht werden.3 Daneben werden auch andere Therapien wie Interferon alpha, Anakinra und Glukokortikoide (GC) eingesetzt, die beiden Letztgenannten mit mäßigem Erfolg. Interferon alpha ist hingegen als effektive Behandlungsoption mit einer höheren Überlebensrate etabliert.4 Die Wahl der Therapie hängt von der Schwere der Erkrankung und den betroffenen Organen ab.
Fallbericht: 68-jährige Patientin mit suspekter Pankreasläsion
Eine 68-jährige Patientin stellte sich im Juli 2023 zur endosonografischen Evaluation einer suspekten Pankreasläsion vor. Anamnestisch berichtete sie über seit zwei Jahren bestehende rezidivierende epigastrische Beschwerden mit spontaner Remission.
Vorgeschichte und initiale Diagnostik
Eine auswärtige stationäre Abklärung im Juni 2023 zeigte ausgeprägte retroperitoneale Veränderungen um die großen Arterien beider Nieren und des Pankreas mit hochgradigen Abgangsstenosen von Truncus coeliacus, Arteria mesenterica superior und beiden Nierenarterien. Eine Pankreaskopfbiopsie ergab keine Malignität. Aufgrund des Verteilungsmusters wurde eine IgG4-assoziierte Erkrankung (IgG4-RD) vermutet und eine Therapie mit GC und Tocilizumab eingeleitet.
Bildgebende Diagnostik
Die systematische radiologische Aufarbeitung ergab folgende charakteristische Befunde:
-
Große Gefäße: Weichteilsaum um die abdominelle und thorakale Aorta, Verschluss der linken A. subclavia (Erstdiagnose bereits 2018)
-
Nieren/Retroperitoneum: typische „hairy kidneys“ im CT (perirenal infiltrierende Weichgewebsvermehrung)
-
Pankreas: diffus vergrößertes Organ (MRT), hypodenses Areal im Pankreasschwanz (CT), 3cm große inhomogene Raumforderung (EUS)
-
Herz: Perikarderguss, „late enhancement“ im Myokard, hypermetabole Läsion im rechten Vorhof
-
Knochen: symmetrische hypermetabole sklerotische Läsionen der proximalen Tibia beidseits
Differenzialdiagnostische Überlegungen
Differenzialdiagnostisch wurden neben der ECD auch eine IgG4-assoziierte Erkrankung und eine Riesenzellarteriitis erwogen (Tab. 1). Die sklerotischen Läsionen im Knie, die bei >95% der ECD-Patienten auftreten, sowie die „hairy kidneys“ lenkten die Diagnose in Richtung ECD.
Diagnosesicherung
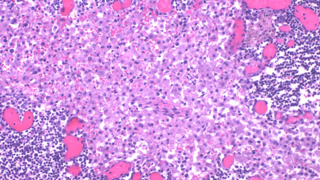
Die definitive Diagnosestellung erfolgte mittels Knochenbiopsie der proximalen Tibia. Eine diagnostische Herausforderung dabei ist, dass die meisten Zellen in den Läsionen oft nicht charakteristische ECD-Zellen, sondern reaktive Entzündungszellen sind. Die histologische Untersuchung zeigte eine Proliferation histiozytärer Zellen mit charakteristischem immunhistochemischem Profil: CD1a-negativ, CD68-positiv. Die molekularpathologische Analyse wies eine BRAFV600E-Mutation mit niedriger Allelfrequenz von 1,91% nach. Diese BRAFV600E-Mutation ist pathognomonisch und findet sich bei etwa der Hälfte aller ECD-Patienten.
Therapie und Verlauf
Nach Sicherung der ECD-Diagnose wurde initial eine Therapie mit Vemurafenib begonnen. Aufgrund ausgeprägter systemischer und kutaner Nebenwirkungen musste diese jedoch auf Interferon alpha umgestellt werden. Die Therapieumstellung erwies sich als sehr erfolgreich: Im Verlaufs-PET/CT zeigte sich ein signifikanter Rückgang aller hypermetabolen Läsionen. Auch der klinische Zustand der Patientin ist sehr gut.
Zusammenfassung
Der Fall demonstriert die diagnostischen Herausforderungen der ECD. Die initiale Fehldiagnose (IgG4-RD) und der ungewöhnliche Erstmanifestationsort (Pankreas) verdeutlichen die Notwendigkeit einer umfassenden bildgebenden Diagnostik. Die charakteristischen radiologischen Befunde („hairy kidneys“, symmetrische sklerotische Knochenläsionen) sind wichtige diagnostische Hinweise. Der Nachweis der BRAFV600E-Mutation ermöglichte eine zielgerichtete Therapie mit Vemurafenib, die jedoch durch Nebenwirkungen limitiert war. Interferon alpha ist als alternative Behandlungsoption mit einer höheren Überlebensrate etabliert und führte bei der Patientin zu einem guten Ansprechen.
Quelle:
Jahrestagung der Österreichischen Gesellschaft für Rheumatologie & Rehabilitation (ÖGR), 28.–30. November 2024, Wien
Literatur:
1 Papo M et al.: High prevalence of myeloid neoplasms in adults with non-Langerhans cell histiocytosis. Blood 2017; 130(8): 1007-13 2 Martineau P et al.: The imaging findings of Erdheim-Chester disease: A multimodality approach to diagnosis and staging. World J Nucl Med 2017; 16(1): 71-4 3 Haroche J et al.: Dramatic efficacy of vemurafenib in both multisystemic and refractory Erdheim-Chester disease and Langerhans cell histiocytosis harboring the BRAF V600E mutation. Blood 2013; 121(9): 1495-500 4 Arnaud L et al.: CNS involvement and treatment with interferon-α are independent prognostic factors in Erdheim-Chester disease: a multicenter survival analysis of 53 patients. Blood 2011; 117(10): 2778-8
Das könnte Sie auch interessieren:
Biologikatherapien in der Schwangerschaft
„Biologika sind in der Schwangerschaft in Ordnung“ – mit dieser klaren Aussage fasste Prof.Dr. Ian Giles, University College London, im Rahmen der RheumaPreg-2025- Konferenz in Wien die ...
Riesenzellarteriitis: Ultraschall ist erste Wahl in der Diagnostik
Bei der Riesenzellarteriitis ist, insbesondere wenn sie die Arteria temporalis betrifft, rasches Handeln erforderlich. Die Diagnose kann mittels Sonografie und Labor schnell gestellt ...
ANCA-assoziierte Vaskulitiden
Als ANCA-assoziierte Vaskulitiden wird eine Gruppe von nekrotisierenden Entzündungen der kleinen Gefäße bezeichnet, die ein hohes Risiko von Organversagen mit sich bringen können. In der ...