Diagnostik und Therapie der subaxialen Halswirbelsäulenverletzungen
Autor:
OA Dr. Thomas Schöffmann
Allgemeine Unfallversicherungsanstalt
Unfallkrankenhaus Klagenfurt am Wörthersee
E-Mail: thomas.schoeffmann@auva.at
Sie sind bereits registriert?
Loggen Sie sich mit Ihrem Universimed-Benutzerkonto ein:
Sie sind noch nicht registriert?
Registrieren Sie sich jetzt kostenlos auf universimed.com und erhalten Sie Zugang zu allen Artikeln, bewerten Sie Inhalte und speichern Sie interessante Beiträge in Ihrem persönlichen Bereich
zum späteren Lesen. Ihre Registrierung ist für alle Unversimed-Portale gültig. (inkl. allgemeineplus.at & med-Diplom.at)
Verletzungen der subaxialen Halswirbelsäule (C3–C7) sind schwerwiegende und ernst zu nehmende Verletzungen. Sie können sowohl als Folge eines Hoch- als auch Niedrigenergie-traumas, auf Basis von Erkrankungen wie z.B. dem Morbus Bechterew, durch ein banales Sturzereignis oder aber auf Basis von degenerativen Veränderungen entstehen.
Keypoints
-
Bei Verdacht auf eine HWS-Verletzung soll die CT-Indikation großzügig gestellt werden.
-
Die Canadian-C-Spine-Rule und die NEXUS-Kriterien können dabei helfen, unnötige Röntgenaufnahmen zu vermeiden.
-
Das AO-Klassifikationssystem ermöglicht die Einteilung der subaxialen Wirbelsäulenverletzungen nach leicht anwendbaren Kriterien.
Diagnostik
Neben der Erhebung des Unfallmechanismus und der klinischen Untersuchung kommt als erste Bildgebung meist ein HWS-Röntgen (ap und seitlich) mit Dens-Zielaufnahme zum Einsatz. Hierbei ist penibel auf die Abbildung der Deckplatte von C7 zu achten, denn laut Literatur werden bis zu 70% der unteren HWS-Verletzungen im Röntgen übersehen.1 Aus diesem Grund sollte bei entsprechendem Verdacht auf eine HWS-Verletzung die Indikation für eine CT-Untersuchung, sofern der Unfallhergang oder die klinische Symptomatik dies verlangt, großzügig gestellt werden. Erwähnenswert sind in diesem Zusammenhang darüberhinaus die Kriterien der Canadian-C-Spine-Rule sowie die NEXUS-Kriterien, welche unnötige Röntgenaufnahmen vermeiden sollen.
Bei Ersterer handelt es sich um einen Algorithmus, der aus folgenden 3 Säulen besteht: Hochrisikopatienten bzw. gefährlicher Unfallmechanismus, Niedrigrisikofaktoren sowie die Funktionsprüfung. Liegt ein Hochrisikofaktor wie z.B. ein Sturz aus über 1m Höhe, ein axiales Stauchungstrauma oder ein Verkehrsunfall vor, ist dies eine Indikation zur Bildgebung. Liegen keine Hochrisikofaktoren vor, aber Niedrigrisikofaktoren, z.B. ein einfacher Autounfall, verzögerter Symptombeginn bzw. Patient:innen, die gehfähig sind, soll eine Funktionsprüfung durchgeführt werden. Ist diese schmerzhaft (Nackenschmerz; aktive Kopfdrehung um 45 Grad nach rechts oder links unmöglich) soll eine Bildgebung erfolgen. Keine Bildgebung ist laut den NEXUS-Kriterien erforderlich, wenn kein Nackenschmerz und keine Druckschmerzhaftigkeit, kein neurologisches Defizit, keine Intoxikation, keine schmerzhafte, ablenkende Verletzung bzw. eine normale Aufmerksamkeitsaktivierung vorliegen. Abhängig vom Ergebnis des Algorithmus wird daraufhin entweder keine Bildgebung durchgeführt oder eben schon. In jedem Fall ist dem CT jedoch der Vorzug gegenüber einem Röntgen zu geben. Je nach CT-Befund und klinischer Symptomatik wird in weiterer Folge eine MRT-Untersuchung angeschlossen. Bei Menschen mit einer akuten Querschnittlähmung und Wirbelsäulenverletzung sollte eine MRT in der Akutversorgung vor operativer Versorgung durchgeführt werden. Die Durchführung der MRT sollte nicht zu einer Patientengefährdung durch eine relevante Zeitverzögerung führen und damit die Empfehlung einer operativen Versorgung innerhalb von 24 Stunden nach Trauma nicht gefährden.2
Klassifikation
Die AO-Spine-Klassifikation wird hier angeführt, da sie oft verwendet wird und einfach anwendbar ist.3 Zu unterscheiden sind folgende 4 Typen:
-
Typ A (0–4): Kompressionsverletzungen
-
Typ B (1–3): Distraktions-/Zuggurtungsverletzungen
-
Typ C: Translationsverletzungen
-
Typ F (1–4): Facettengelenkverletzung
Ablauf
Entsprechend der AO Spine Klassifikation und des in Abbildung 1 dargestellten Algorithmus, sieht man sich zunächst an, ob eine Translation (Verschiebung) vorliegt oder nicht. Wenn es eine Translation gibt, dann handelt es sich ganz einfach um eine Typ-C-Verletzung. Wenn es keine Translation gibt, dann kann es sich nur mehr um eine Zuggurtungsverletzung Typ B oder eine Distraktions/Kompressionsverletzung im Sinne einer Typ-A-Verletzung handeln. Handelt es sich um eine Zuggurtungsverletzung, ist die Frage zu klären, ob es sich um eine Verletzung der anterioren oder posterioren Zuggurtung handelt, um damit zur entsprechenden Klassifikation von B1 bis B3 zu kommen. Wenn es sich um eine reine Wirbelkörperfraktur ohne Translation oder Zuggurtungsverletzung handelt, gilt es zu klären, ob ein Hinterwandfragment vorliegt und welche Endplatten beteiligt sind. Hier erhält man dann die Klassifikationen A0 bis A4. Um auch den neurologischen Status in der Klassifikation zu berücksichtigen, wird der Buchstabe N mit dazugehöriger Ziffer hinzugefügt. Hierbei steht N0 für „neurologisch intakt“, N1 für „kurzzeitiges neurologisches Defizit“, N2 für eine Radikulopathie, N3 für einen inkompletten Querschnitt, N4 für einen kompletten Querschnitt und NX für nicht beurteilbar. Abschließend seien noch die in der AO-Klassifikation verfügbaren Modifier zu erwähnen. Hierbei bezeichnet M1 eine posteriore Ligamentverletzung ohne komplette Ruptur, M2 eine kritische Bandscheibenherniation, M3 eine „steife Wirbelsäule“ und M4 Zeichen einer Arteria-vertebralis-Verletzung.
Therapie
Therapieoptionen konservativ und operativ
Konservative Therapie
Funktionelle Verletzungen (HWS-Zerrung/„Schleudertrauma“), A0-Verletzungen und F1-Verletzungen können konservativ behandelt werden, im Idealfall bei fehlender Instabilität auch A1- und A2-Verletzungen sowie F2-Verletzungen. Zur Verfügung stehen neben der medikamentösen AnalgesieRuhigstellungen mit Halskrausen (Stiffneck, Philadelphia Collar, weiche Schanzkrawatte etc.) und eine begleitende Physiotherapie, wobei anfangs Entspannungstechniken zu bevorzugen sind. Sobald die Schmerzen rückläufig sind, sollte erst mit isometrischen Übungen begonnen werden. Die Dauer der Ruhigstellung sollte so kurz wie möglich gehalten werden, wobei 6 Wochen nicht überschritten werden sollen. Bei Beschwerdepersistenz trotz ausreichender Analgesie über 7–10 Tage ist von einer entsprechenden Instabilität auszugehen und, wenn noch nicht vorhanden, eine weiterführende Diagnostik mittels MRT durchzuführen. Grundsätzlich ist der anhaltende Schmerz als guter Indikator für eine Instabilität und damit erforderliche operative Stabilisierung zu sehen.
Operative Therapie
Eine operative Versorgung bei traumatischer Querschnittlähmung sollte von einem qualifizierten Wirbelsäulenteam möglichst zeitnah und laut Leitlinien spätestens 24 Stunden nach Unfall erfolgen, sobald die Vitalparameter stabilisiert wurden, um das bestmögliche neurologische Outcome zu erreichen. Eine ultrafrühe Dekompression innerhalb der ersten 8 Stunden scheint den AIS zu verbessern, die Datenlage ist jedoch noch nicht ausreichend.2 Bei einem Polytrauma ohne neurologische Verletzungen sollte eine operative Stabilisierung innerhalb von 72 Stunden durchgeführt werden.4 Grundsätzlich bestehen in diesem Zusammenhang zwei Möglichkeiten einer operativen Versorgung. Zum einen von ventral und zum anderen von dorsal oder eine kombinierte Versorgungstechnik. Die ventralen Optionen sind die ACDF („Anterior Cervical Discectomy & Fusion“) und die ACCF („Anterior Cervical Corpectomy & Fusion“). Die dorsalen Optionen sind die „Massa-lateralis-Schrauben“ und die „Pedikelschrauben-Osteosynthese“.
Typ-A-Verletzungen
Entsprechend den bereits erwähnten Klassifikationen können Typ-A-Verletzungen sehr gut von ventral mittels ACDF versorgt werden.
Typ-B-Verletzungen
Typ-B1-Verletzungen, d.h. rein knöcherne Verletzungen der hinteren Zuggurtung, werden rein von dorsal versorgt. Typ-B2-Verletzungen, d.h. osteoligamentäre hintere Zuggurtungsverletzungen, werden von ventral mittels ACDF versorgt. Typ-B3-Verletzungen, d.h. vordere Zuggurtungsverletzungen (Hyperextension), werden ebenso von ventral mittels ACDF versorgt. Als Sonderfall sei der Modifier M3 erwähnt, ankylosierende Grunderkrankung, hier ist eine langstreckige dorsale Stabilisierung empfohlen.
Typ-C-Verletzungen
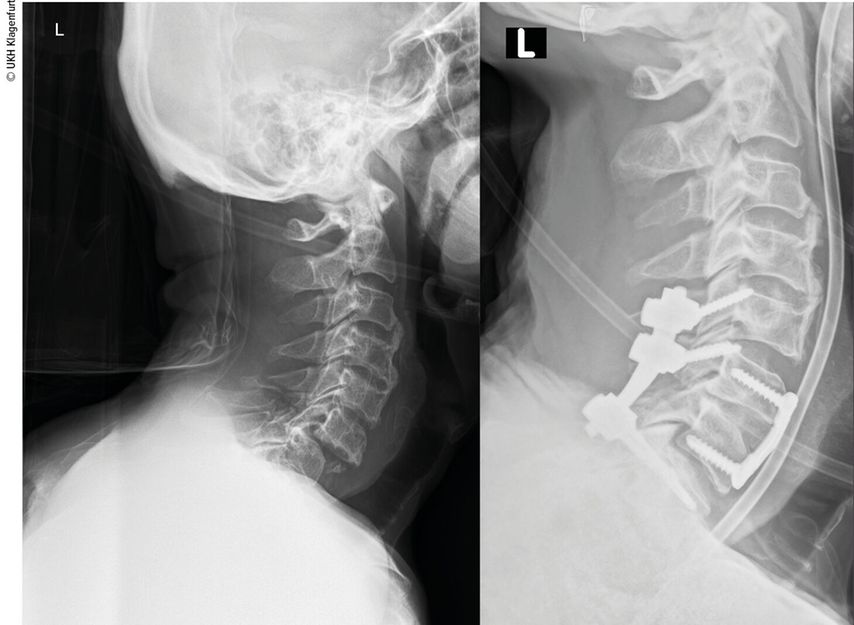
Typ-C-Verletzungen werden meist kombiniert ventral und dorsal versorgt, da diese Versorgung biomechanisch die stabilste ist, vor allem am zervikothorakalen Übergang sollte eine 360-Grad-Versorgung angestrebt werden, um eine ausreichende Stabilität für die Fusion zu gewährleisten (Abb. 2).3
Typ-F-Verletzungen
Nicht dislozierte Frakturen der Klasse F1 werden konservativ behandelt. Dislozierte Frakturen oder Frakturen mit einer Fragementgröße von über einem Zentimeter (F2)werden entweder konservativ (Stiffneck und engmaschige Röntgenkontrolle) oder operativ mittels ACDF und bei Bedarf mittels dorsaler foramineller Dekompression versorgt. Frakturen der Klasse F3, sogenannte „floating lateral mass“, werden operativ mittels einer bisegmentalen ACDF versorgt. F4-Frakturen, das heißt uni- oder bilateral reitende/verhakte Facettengelenksverletzungen, werden operativ versorgt – hier kommen u.U. kombinierte kurzstreckige Verfahren zum Einsatz. Zu den verhakten Facettengelenksfrakturen sei gesagt, dass die Reposition einer Verhakung im Facettengelenk in der Regel geschlossen erfolgen kann. Wenn dies nicht möglich ist, kann indirekt über den vorderen Zugang in den meisten Fällen eine Reposition erzielt werden, indem man die Distraktorpins konvergierend einbringt und durch das Spreizen eine Kyphosierung erreicht wird und die Verhakung gelöst werden kann.5
Zusammenfassung
Verletzungen der subaxialen HWS sind bei Hoch- und Niedrigenergietraumata möglich. Diagnostische Algorithmen erleichtern hierbei die gezielte Indikationsstellung für die entsprechende Bildgebung (CT-Untersuchung ist unumgänglich, MRT-Untersuchung zur Identifizierung von diskoligamentären Verletzungen). Die Klassifikation erfolgt anhand der AO Spine und daraus ableitend die entsprechende Therapie (konservativ vs. operativ). Konservativ stehen Halskrausen und Physiotherapie zur Verfügung. Operativ kann von ventral (ACDF) oder von dorsal (Schrauben-Stab-System) oder kombiniert (360 Grad) stabilisiert werden.
Literatur:
1 Schleicher P et al.: Leitliniengerechte Diagnostik bei Verletzungen der subaxialen Halswirbelsäule. Der Unfallchirurg 2020; 123(8): 641-52 2 S3-Leitlinie: Diagnostik und Therapie der akuten Querschnittlähmung. Leitlinien für Diagnostik und Therapie in der Neurologie © DGN 2024 3 AO Surgery Reference Online, https://surgeryreference.aofoundation.org/spine/trauma/subaxial-cervical 4 Polytrauma/Schwerverletzten-Behandlung. S3-Leitlinie 2022, DGU 5 Schleicher P et al.: Leitliniengerechte Therapie von Verletzungen der subaxialen Halswirbelsäule. Der Unfallchirurg 2021; 124(11): 931-44
Das könnte Sie auch interessieren:
Mehr kardiovaskuläre Ereignisse und Malignome?
Mit Tofacitinib, einem Strukturanalogon von ATP, wurde 2013 erstmals ein Januskinase-Inhibitor (JAKi) in der Schweiz zugelassen. Die Vertreter dieser Medikamentenklasse haben sich gut ...
Seltene Kleingefässvaskulitiden im Fokus
Bei Vaskulitiden der kleinen Gefässe liegt eine nekrotisierende Entzündung der Gefässwand von kleinen intraparenchymatösen Arterien, Arteriolen, Kapillaren und Venolen vor. Was gilt es ...
Elektive Hüft-TEP bei Adipositas Grad III
Übergewichtige Patient:innen leiden früher als normalgewichtige Personen an einer Hüft- oder Kniearthrose. Allerdings sieht die aktuelle S3-Leitlinie zur Behandlung der Coxarthrose in ...