
Behandlung der chronischen medialen Knieinstabilität
Autoren:
DDr. Elisabeth Abermann
Gelenkpunkt Innsbruck, Research Unit für Sportmedizin des Bewegungsapparates und Verletzungsprävention, UMIT, Hall
E-Mail: e.abermann@gelenkpunkt.com
a.o. Univ.-Prof. Dr. Christian Fink
Gelenkpunkt Innsbruck, Research Unit für Sportmedizin des Bewegungsapparates und Verletzungsprävention, UMIT, Hall
E-Mail: c.fink@gelenkpunkt.com
Prof. Dr. Mirco Herbort
OCM Klinik München, Research Unit für Sportmedizin des Bewegungsapparates und Verletzungsprävention, UMIT, Hall
Dr. Robert Smigielski PhD
LIFE Institute Warschau
Nachdem bei medialen Seitenbandverletzungen der konservativen Therapie lange Zeit nahezu absolutes Heilungspotenzial zugesprochen wurde, ist in letzter Zeit die Aufmerksamkeit für chronische Instabilitäten und daraus folgende Probleme gestiegen. Insbesondere persistierende Rotationsinstabilitäten in Kombination mit Kreuzbandverletzungen können problematisch sein und werden zunehmend auch mit Rezidivinstabilitäten nach Kreuzbandersatz in Verbindung gebracht.
Keypoints
-
Zur Untersuchung des medialen Seitenbandkomplexes gehören die Prüfung der medialen Aufklappbarkeit in voller Streckung – seitengleich ggf. auch Überstreckung – und in 20°-Beugestellung sowie die Überprüfung der Rotationsstabilität in Innen- und Außenrotation in 90°-Flexion ( Video 2 ).
-
Im Falle einer chronischen medialen Instabilität ist eine Straffung des ortsständigen Gewebes nicht ausreichend. Es hat sich als wesentlich effektiver erwiesen, eine Rekonstruktion mittels Transplantat durchzuführen.
-
Konventionelle Rekonstruktionstechniken benützen tubuläre Sehnentransplantate zur Rekonstruktion des medialen Seitenbandkomplexes. Flach präparierte Sehnentransplantate entsprechen jedoch dem natürlichen Faserverlauf besser und haben sich biomechanisch und klinisch als effektiv erwiesen, vor allem kombinierte mediale Instabilitäten zu therapieren.
Verletzungen des medialen Bandapparates gehören mit zu den häufigsten Knieverletzungen. Während eine Vielzahl dieser Verletzungen mit einer entsprechenden konservativen Therapie (z.B. Knieschiene und physikalische Therapie) ausheilt, profitieren ausgedehnte oder spezielle Verletzungen (z.B. distale Avulsionen des oberflächlichen medialen Seitenbandes) von einem operativen Eingriff.
Wird die Art der Verletzung initial nicht richtig eingeschätzt oder das Verletzungsausmaß insgesamt unterschätzt, kann daraus eine chronische Instabilitätsproblematik resultieren. Vor allem auch Kombinationen mit Verletzungen des vorderen (VKB), aber auch des hinteren Kreuzbandes (HKB) sind nicht selten und benötigen spezielle Aufmerksamkeit, da persistierende mediale Instabilitäten ein erhöhtes Risiko für Rerupturen oder Transplantatversagen darstellen.
Zwei Voraussetzungen sind für eine korrekte Einschätzung von Verletzungsart und -ausmaß notwendig:
-
die Kenntnis der Anatomie und Biomechanik der medialen Seite (Abb. 1,2; Video 1 )
-
eine umfassende Diagnostik der Verletzung, die neben einer bildgebenden Diagnostik mittels MR (Abb. 3) vor allem auch aus einer eingehenden klinischen Untersuchung ( Video 2 ) bestehen muss.
Abb. 1: Anatomie des medialen Bandkomplexes. A: gestrecktes Kniegelenk, B: gebeugtes Kniegelenk; schwarz: sMCL, gelb: AML/dMCL, rot: POL
Abb. 2: dMCL. A: Verlauf des dMCL in der gesamten Ausdehnung mit seinem femoralen (Pfeile) und weit gefächerten tibialen Ansatz (Sterne). Der schräg nach vorne verlaufende Anteil ist besonders für die Limitierung der Außenrotation verantwortlich (AML). B: Nach Durchtrennung des dMCL unterhalb des medialen Meniskus (Sterne) wird die Insertion knapp unterhalb der Gelenkslinie (Pfeile) sichtbar
Abb. 3: MRT-Untersuchung einer chronischen medialen Instabilität. A–D: 4 aufeinanderfolgende Schichten einer koronaren STIR-Sequenz zeigen das ausgedünnte bzw. vernarbte sMCL am femoralen Ansatz (Pfeile) und den Defekt im meniskofemoralen Anteil des dMCL (roter Stern)
Anatomie und Biomechanik
An der medialen Seite des Kniegelenks sind vor allem drei flächige Strukturen stabilitätsbildend: das oberflächliche mediale Seitenband (sMCL), das tiefe mediale Seitenband (dMCL) oder anteromediales Ligament (AML) und das hintere Schrägband (POL) (Abb. 1). Das komplexe Zusammenspiel dieser unterschiedlichen Anteile gewährleistet die Stabilität gegen Valgusstress sowie gegen Stress in Innen- und Außenrotation in allen Kniebeugewinkeln.
Anteile des sMCL sind über den gesamten Bewegungsbereich angespannt ( Video 1 ) und stellen somit den wichtigsten Stabilisator der medialen Seite gegen Valgusstress dar.
Das POL ist nur in maximaler Extension gespannt und verliert bereits bei leichter Beugung schnell seine stabilisierende Wirkung gegen Valgusstress. Es limitiert aber auch in tiefer Beugung noch die Innenrotation der Tibia nach posteromedial.
Das dMCL ist nicht primär für eine Resistenz gegen Valgusstress verantwortlich, sondern erst, wenn das sMCL bereits verletzt ist. Es stellt aber den Hauptstabilisator gegen die Außenrotation dar (Abb. 2).
Der Verletzungsmechanismus kann, sofern er bekannt ist, deshalb bereits wertvolle Hinweise betreffend das zu erwartende Verletzungsbild geben:
-
isolierter Valgusmechanismus: sMCL > dMCL
-
Valgus-Außenrotationsmechanismus: dMCL > sMCL > (VKB)
-
Hyperextension-Valgus: POL > sMCL > (HKB)
Während die überwiegende Zahl der Innenbandverletzungen zu einer Läsion im proximalen Anteil des sMCL führt, sind gerade die seltenen distalen Verletzungen umso mehr zu beachten. Sie können mit einer ausgeprägten medialen Instabilität bereits bei leichter Kniebeugung verbunden sein. Neben einer schlechteren Heilung bei konservativer Therapie – cave: Dislokation des distalen Stumpfes über die Sehnen des Pes anserinus („Stener lesion“) – ist vor allem die initial geringere Schmerzsymptomatik fehlleitend. Unserer Erfahrung nach ist die insuffiziente Behandlung dieses Verletzungstyps ein sehr häufiger Grund für eine chronische mediale Instabilität (Abb.9B).
In der Analyse des Versagens von VKB-Rekonstruktionen wurden in den letzten Jahren persistierende mediale Instabilitäten (vor allem auch Insuffizienz des AML/dMCL, verbunden mit erhöhter Außenrotation) als wesentlicher Risikofaktor identifiziert (Abb. 3, Abb. 9A).
Das im Rahmen von Knieluxationen oftmals durchgeführte zweizeitige Vorgehen, mit primärer Naht/Refixation der peripheren Strukturen und sekundärer Stabilisierung des VKB/HKB, führt, vor allem wenn der Zeitraum zwischen den Eingriffen mehrere Monate beträgt, häufig zum Auslockern der peripheren Strukturen – in unserem Patientenkollektiv ebenfalls ein Grund für chronische mediale Instabilität.
Häufigste Gründe für eine chronische mediale Instabilität
-
übersehene/unzureichende Behandlung einer distalen Avulsion des MCL
-
unzureichende Therapie der medialen Seitenbandläsion in Kombination mit VKB-Verletzung
-
späte Stabilisierung des zentralen Pfeilers nach Knieluxation (z.B. Schenk III medial) – mediales Auslockern
Klinische Untersuchung (Video 2)
Bei der Therapie der chronischen medialen Instabilität muss primär untersucht werden, um welche Art der Instabilität es sich handelt. Möglich sind eine rein vermehrte Valgusinstabilität ohne Rotationsinstabilität oder eine anteromediale oder posteromediale Rotationsinstabilität.
Bei der reinen Valgusinstabilität ist das POL intakt und das Kniegelenk damit in Überstreckung stabil. Wichtig dabei ist, dass sich das Bein bei der Untersuchung in maximaler Überstreckung (daher immer im Seitenvergleich beurteilen) befindet, sonst wird nicht das POL geprüft. In minimaler Beugung ist das sMCL für die Stabilität gegen Valgusstress verantwortlich. Ist es instabil, kommt es bei leichter Beugung zu einer vermehrten medialen Aufklappbarkeit. Das dMCL trägt zwar auch zur Stabilität gegen Valgusstress bei, ist jedoch bei intaktem sMCL unter Valgusstress nicht gespannt und lässt ein Aufklappen bis circa 5mm zu. Geprüft werden sollte aber seine Stabilisation gegen Außenrotationsstress bzw. die Translation in Außenrotation (vordere Schublade, Lachman-Test), da es analog zum ALL auf der Außenseite eine Subluxation des medialen Tibiakopfes nach vorne verhindert. Im Gegensatz dazu führt eine Verletzung des POL zu einer vermehrten Innenrotation bzw. einer hinteren Schublade in Innenrotation sowie einer Aufklappbarkeit bei Valgusstress auch in Überstreckung.
Operationstechnik
Im Falle einer chronischen medialen Instabilität führt eine alleinige Refixation oder „Straffung“ des bestehenden Gewebes nicht zu zufriedenstellenden Ergebnissen, daher ist eine Rekonstruktion unter Verwendung von Transplantaten zu empfehlen.
Gängige Techniken zur Rekonstruktion der medialen Seite verwenden als Transplantat hautsächlich im Querschnitt runde Semitendinosus- oder Gracilissehnen als Auto- oder Allograft (Abb. 3A). Da vor allem der M. semitendinosus einen wichtigen dynamischen Stabilisator gegen Valgusstress darstellt und der einzige Innenrotator der Tibia ist, sollte auf die Verwendung der ipsilateralen Sehne zur Rekonstruktion der chronischen medialen Instabilität verzichtet werden. Als geeignete Alternativen stehen die Sehnen der kontralateralen Seite, ein Peroneus-„Splitgraft“ oder Allografts zur Verfügung.
Transplantatpräparation (Abb. 5)
Der „runde“ Querschnitt der meisten Sehnen entspricht aber in keiner Weise den flächigen Strukturen der medialen Seite (Abb. 4). Deshalb haben wir in den letzten Jahren eine Operationstechnik entwickelt, die durch Modifikation (=flächige Präparation) dieser Sehnen eine bessere Näherung an die ursprüngliche Anatomie gewährleistet. Die Sehne wird hierfür in ihrem runden Anteil bis zur Hälfte mit dem Skalpell eingekerbt (Abb. 5A) und anschließend mit einem Raspatorium ausgestrichen (Abb. 5B). Ihre mechanischen Eigenschaften werden dadurch nicht verändert.
Abb. 4: Abpräparierter medialer Seitenbandkomplex, bestehend aus sMCL und POL. A: sMCL oben und POL nach schräg unten verlaufend mit tubulärem Transplantat, wie es zum Ersatz positioniert würde, und B: mit flachem Transplantat, welches den Faserverlauf wesentlich besser reproduzieren kann
Abb. 5: Präparation eines flachen Transplantates. A: Das Semitendinosus-Transplantat wird in seinem tubulären Anteil bis zur Hälfte inzidiert und anschließend B: mit einem Raspatorium flach ausgestrichen. C: Das Transplantat wird 1/3 zu 2/3 in einem Winkel von 45° gefaltet. D: mit Krackow-Nähten armiertes fertiges Transplantat
Anschließend wird das Transplantat entweder in einem Winkel von ca. 45° 1/3 zu 2/3 oder mittig zusammengelegt (Abb. 5C), proximal mit Krackow-Nähten fixiert (Abb. 5D) und in einen Flipbutton so eingeknüpft, dass die Fadenschlaufe anpassbar bleibt. Wichtig ist, bereits bei diesem Schritt zu berücksichtigen, welche Strukturen genau rekonstruiert werden sollen:
-
AML/sMCL – der kürzere Schenkel sollte vorne unten liegen und der lange hinten oben.
-
sMCL/POL – der kürzere Schenkel sollte hinten unten liegen und der lange vorne oben.
-
sMCL – das Transplantat kann mittig zusammengelegt werden.
Die distalen Enden werden nicht armiert, da diese später mit Fadenankern am Knochen fixiert werden.
Femorale Fixation
Abb. 6: Seitliches Röntgenbild zum Auffinden der femoralen Insertion des sMCL mit 2 Hilfslinien: einer Tangente an der hinteren Femurkortikalis und einer 2.Linie im rechten Winkel darauf am Schnittpunkt der 1. Linie mit der Blumensaatlinie. Der Mittelpunkt der Insertionbefindet sich im Kreuzungspunkt oder leicht posterosuperior davon
Um der breiten femoralen Insertion des medialen Seitenbandkomplexes näher zu kommen, wird mithilfe eines Dilatators ein schlitzförmiger Kanal parallel zur Gelenkslinie in voller Streckung angelegt (Abb. 7D). Hierfür wird primär ein Bankart-Stift im Zentrum des Insertionsareals eingebracht (Abb. 7A), der mit einem 4,5-mm-Bohrer überbohrt wird. Sind in einer chronischen Instabilitätssituation keine Bandreste im Insertionsbereich mehr darstellbar, kann ein streng seitliches Röntgenbild mit zwei Hilfslinien das Auffinden des idealen Eintrittspunktes erleichtern (Abb. 6).
Anschließend wird die Kortikalis mit einem Luer parallel zur Gelenkslinie entfernt (Abb.7B) und der Dilatator (Medacta International) der entsprechenden Größe eingebracht (Abb. 7C).
Alternativ kann bei komplexen Rekonstruktionen, um Zeitmangel zu kompensieren oder Tunnelkonflikte zu vermeiden, auch ein runder Kanal angelegt werden. Hierfür wird der Draht mit einem kanülierten Bohrer der entsprechenden Größe, aber zumindest 8mm, überbohrt und anschließend wird eine Interferenzschraube proximal des Transplantates zur Fixation benützt.
Abb. 7: Operationsschritte zur Rekonstruktion von sMCL und AML bzw. sMCL und POL. A: Platzieren eines Führungsstiftes zentral im femoralen Ansatzbereich des sMCL. B: Entfernen der Kortikalis mit einem Luer parallel zur Gelenkslinie in voller Streckung ventral und dorsal des Führungsstiftes. C: Einbringen des flachen Dilatators über den Führungsstift. D: Ovaler femoraler Kanal parallel zur Gelenkslinie. E: Einziehen des Transplantates für eine sMCL/AML-Rekonstruktion mit dem tiefen, nach vorne verlaufenden Schenkel unten und dem oberflächlichen Anteil hinten. F: Einbringen eines Fadenankers circa 8 mm unterhalb der Gelenkslinie ventral des sMCL im Insertionsbereich des AML. G: Einbringen eines Fadenankers unmittelbar proximal des Semimembranosusansatzes (mit Pinzette angehoben) zur Rekonstruktion eines POL. H: Einbringen von 2 Fadenankern im distalen Insertionsbereich des sMCL unterhalb des Pes anserinus (mit Langenbeck-Haken nach oben gehalten)
sMCL- und dMCL/AML-Rekonstruktion (Abb. 8A)
Das entsprechend ausgerichtete Transplantat wird mithilfe des Bankart-Stiftes in den Eingang des femoralen Kanals eingezogen (Abb. 7E) und der Button an der lateralen Kortikalis geflippt. Der ventrale Arm des Transplantates wird nun mit zwei Fadenankern mit 1cm Abstand ungefähr 8mm distal der Gelenkslinie ventral des sMCL spannungsfrei fixiert (Abb. 7F). Anschließend werden die Fäden des Fixationsbuttons bei Neutralrotation streckungsnahe angezogen, bis sich das dMCL spannt und verknüpft.
Abb. 8: Intraoperativer Situs bei Rekonstruktion des medialen Seitenbandkomplexes. A: sMCL- und AML-Rekonstruktion; B: sMCL- und POL-Rekonstruktion. Semimembranosusinsertion (Stern)
Alternativ dazu wird bei einem runden Kanal das Transplantat über eine Interferenzschraube gespannt. Knapp unterhalb des femoralen Kanals wird dieses noch mit den Weichteilresten des dMCL vernäht. In 20°-Flexion wird nun noch der dorsale Arm des Transplantates im distalen Insertionsbereich des sMCL mit zwei Fadenankern unter Spannung fixiert (Abb. 7H). Am Ende sollten die freie Beweglichkeit des Kniegelenks (zumindest zwischen 0° und 120°) und die mediale Stabilität unter arthroskopischer Sicht (Abb. 9) überprüft werden.
Abb. 9: Arthroskopisches Bild einer medialen Instabilität. A: proximale Instabilität mit meniskofemoraler Dehiszenz (Pfeil) und C: postoperatives Bild nach Rekonstruktion. B: distale Instabilität mit meniskotibialer Dehiszenz (Pfeil) und D: postoperatives Bild nach Rekonstruktion
sMCL- und POL-Rekonstruktion (Abb. 8B)
Das ausgerichtete Transplantat wird auch hier mithilfe des Bankart-Stiftes in den Eingang des femoralen Kanals eingezogen und der Button an der lateralen Kortikalis geflippt. Nun wird primär der dorsale Transplantatarm mit einem Fadenanker unmittelbar proximal des Semimembranosusansatzes und einem weiteren 1cm posterolateral davon fixiert (Abb. 7G); das Transplantat wird in voller Streckung und Neutralrotation angespannt und die Fäden des Fixationsbuttons werden verknüpft bzw. eine Interferenzschraube wird in den proximalen Kanal eingebracht. Etwaige Reste des POL werden mit dem Transplantat vernäht. Anschließend wird der jetzt ventrale längere Arm des Transplantates in 20°-Flexion im distalen Insertionsbereich des sMCL mit zwei Fadenankern unter Spannung fixiert (Abb. 7H). Am Ende sollten wieder die freie Beweglichkeit des Kniegelenks und die mediale Stabilität unter arthroskopischer Sicht (Abb. 9) überprüft werden.
Isoliertes sMCL
Da das Transplantat hier einfach mittig zusammengelegt wurde, ist ein Ausrichten des Transplantates nicht notwendig. Hier kann es mit bereits geknüpfter Schlaufe am Fixationsbutton eingezogen und angespannt oder mittels Schraube fixiert werden. Das Transplantat wird dann doppelt in 20°-Flexion nach unten zum Insertionsbereich distal des Pes anserinus gespannt und mit zwei Fadenankern fixiert (Abb. 7H). Auch hier sollten die freie Beweglichkeit und die mediale Stabilität unter arthroskopischer Sicht (Abb. 9) geprüft werden.
Nachbehandlung
Vorausgesetzt, es sind keine zusätzlichen Verletzungen vorhanden, wird das Kniegelenk für 6 Wochen postoperativ in einer Knieorthese mit Einschränkung der Beweglichkeit (0°/90°) ruhiggestellt. Für die ersten beiden Wochen wird eine teilbelastende Mobilisation (15–20kg) empfohlen. Anschließend kann zur Vollbelastung übergegangen werden. Aktive Bewegungsübungen können unmittelbar postoperativ begonnen werden. Besonderes Augenmerk sollte hierbei auf das Erlangen einer freien Streckung bis zur 2. postoperativen Woche gelegt werden.
Diskussion
Verletzungen der medialen Seite des Kniegelenks haben in den letzten Jahren vermehrte Aufmerksamkeit erlangt. Neue anatomische und biomechanische Studien haben das komplexe Zusammenwirken der unterschiedlichen Anteile (sMCL, dMCL/AML und POL) gezeigt. Um nach Verletzungen ein optimales Behandlungsergebnis zu erreichen, sind deshalb eine exakte Diagnose und die richtige Einschätzung des Verletzungsmechanismus wichtig.
Die konsequente Behandlung kann das Risiko für eine chronische Instabilitätsproblematik minimieren. Im Falle einer chronischen Instabilität ist ebenso die eingehende klinische Evaluierung die Basis der Planung der geeigneten Rekonstruktion ( Video 2 ). Während Instabilitäten des POL häufig in Kombination mit hinteren Instabilitäten vorkommen, sind Instabilitäten des dMCL/AML häufig in Kombination mit vorderen Instabilitäten zu finden.
Rekonstruktionstechniken unter Verwendung flacher Sehnenkonstrukte können die Faserstruktur des medialen Seitenbandkomplexes anatomiegetreuer ersetzen und haben sich biomechanisch, vor allem aber auch klinisch als sehr effektiv erwiesen, diese komplexen Instabilitäten suffizient zu behandeln.
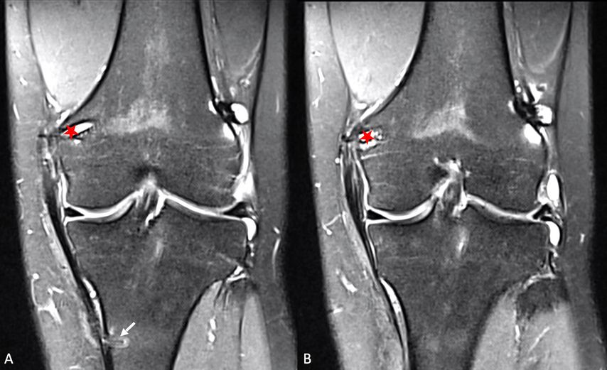
Abb. 10: MRT-Kontrolle 6 Monate postoperativ. A, B: 2 aufeinanderfolgende Schichten einer koronaren STIR-Sequenz einer eingeheilten sMCL-Rekonstruktion mit femoraler Schraubenfixation (roter Stern) und Fadenanker distal (Pfeil)
Literatur:
bei den Verfassern
Das könnte Sie auch interessieren:
Angeborene Fehlstellungen des Unterschenkels
Kongenitale Deformitäten des Unterschenkels gehören zu den seltenen, aber medizinisch bedeutenden und operativ herausfordernden Diagnosen der Kinderorthopädie. Eine differenzierte ...
Einzeitiger und mehrzeitiger septischer Endoprothesenwechsel
Die periprothetische Infektion (PPI) stellt eine der gefürchtetsten Komplikationen im Bereich der Orthopädie und Traumatologie dar. Sie ist verbunden mit hohen Morbiditäts- und ...
Hochgradige ACG-Luxationen – wann konservativ behandeln, wann nicht?
Verletzungen des Akromioklavikulargelenks (ACG) gehören zu den häufigsten Schulterverletzungen bei jungen und aktiven Menschen, insbesondere auch aufgrund der zunehmenden Beliebtheit von ...