Das Seltene im Häufigen finden
Autor:
Univ.-Prof. PD OA Dr. Andishe Attarbaschi
Ärztlicher Co-Direktor
St. Anna Kinderspital
Abteilung für Pädiatrische Hämatologie und Onkologie
Universitätsklinik für Kinder- und Jugendheilkunde
MedUni Wien/AKH Wien
E-Mail: andishe.attarbaschi@stanna.at
Bericht:
Dr. Corina Ringsell
Bei Kindern machen Krebserkrankungen nur etwa 1% aller Krankheiten aus. Die Symptome sind oft wenig spezifisch und treten auch bei banalen Krankheiten auf, wie der folgende Fallbericht aus dem St.Anna Kinderspital zeigt. Daher ist es wichtig, auf Warnsignale und die Kombination von Symptomen zu achten, um eine maligne Krankheit frühzeitig zu erkennen und zu behandeln.
Keypoints
-
Anamnesen können sehr hilfreich sein.
-
Die Kombination der Symptome gibt zumeist den entscheidenden Hinweis.
-
Bei (a)typischen Symptomkonstellationen, persistierenden Symptomen und/oder unzureichendem Ansprechen von Symptomen auf die Therapie sollte eine Abklärung auf Krebs erfolgen.
-
Bei Verdacht auf akute Leukämie rasch ein komplettes Blutbild plus mikroskopische Beurteilung veranlassen.
-
Bei Bestätigung einer ALL aus dem Blutbild Thorax-Röntgen.
Der Patient
Ein bis dahin gesunder vierjähriger Bub.
Anamnese und klinische Untersuchung
Das Kind wurde zunächst in einem externen Spital vorgestellt, da es seit einer Woche über Schmerzen im linken Bein klagte und hinkte. Ein Trauma konnte anamnestisch ausgeschlossen werden. Zudem litt der Junge an zunehmender Müdigkeit und undulierendem Fieber, das seit etwa zehn Tagen bestand. Der Impfstatus war komplett, Allergien hatte er keine. Die Familien- und Sozialanamnese waren unauffällig.
Bei der klinischen Untersuchung fanden sich eine Hepatosplenomegalie, vergrößerte Lymphknoten am Hals sowie Petechien an den Wangen und am Brustkorb. Abgesehen davon war die Haut blass. Auch die Bindehäute der Augen und die Mundschleimhaut waren blass, ansonsten war kein pathologischer klinischer Befund zu erheben. Der Vierjährige hatte Fieber (38,7°C) und war dabei tachykard.
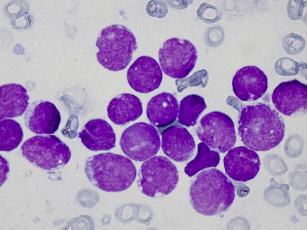
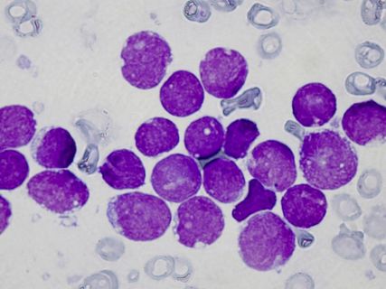
Abb. 1:Bei Verdacht auf eine ALL muss der Blutausstrich mikroskopisch beurteilt werden; er zeigt im positiven Fall leukämische Blasten
Die Blutuntersuchung ergab erhöhte LDH- und Harnsäure-Werte. Sonstige Laborparameter waren unauffällig. Das Blutbild zeigte eine Anämie, eine Thrombopenie und normale Leukozytenzahlen.
Bildgebend wurde eine Sonografie vorgenommen, die die Hepatosplenomegalie und die vergrößerten Halslymphknoten (1,5–2cm) bestätigte.
Aufgrund der erhobenen Befunde bestand der Verdacht auf eine akute lymphoblastische Leukämie (ALL). Der entscheidende diagnostische Schritt bei dieser Verdachtsdiagnose ist ein komplettes Blutbild, wobei der Blutausstrich mikroskopisch beurteilt werden muss (Abb.1).
Therapie und weiterer Verlauf
Das Kind wurde umgehend mit einer Standard-Chemotherapie behandelt, wobei es aufgrund eines sehr guten initialen Ansprechens eine Behandlung erhielt, die kaum mit Spätfolgen behaftet ist. Vier Jahre nach der Diagnose gilt der Patient nunmehr als geheilt.
Hintergrund: Leukämien und Lymphome im Kindesalter
Akute Leukämien sind mit 30% die häufigsten Krebserkrankungen im Kindes- und Jugendalter, davon sind 80–85% ALL, 15–20% akute myeloische Leukämien (AML). Die ALL tritt vor allem bei Kindern zwischen zwei und fünf Jahren auf; das männliche Geschlecht ist häufiger betroffen. Die AML kommt häufiger bei Säuglingen und Kleinkindern (0–2J.) vor, mit einem zweiten Gipfel ab 13 Jahren; beide Geschlechter sind gleich häufig betroffen. Die Kinder zeigen bei ALL und AML zumeist keine klinisch sichtbaren Vorerkrankungen. Bis die Diagnose feststeht, vergehen in der Regel wenige Tage bis zu vier Wochen.
Bei Lymphomen machen Non-Hodgkin-Lymphome (NHL) und Morbus Hodgkin (MH) je 50% der Fälle aus. Das NHL tritt vor allem bei Kindern zwischen fünf und sieben Jahren auf, während der MH zumeist in der Adoleszenz diagnostiziert wird. Bei beiden Krankheiten ist das männliche Geschlecht häufiger betroffen. Es liegen meist keine Vorerkrankungen vor, falls doch, dann eine Immundefizienz. Bis zu einer gesicherten Diagnose vergehen wenige Tage bis zu mehrere Monate.
Symptome maligner Krankheiten imKindesalter
Eine rezente Studie aus Deutschland bestätigte, dass die Symptome maligner Krankheiten bei Kindern häufig unspezifisch sind: So treten beispielsweise Fieber, Schwäche, Blässe, Müdigkeit, Erbrechen, Lymphknotenvergrößerungen oder Bauchschmerzen auch bei den üblichen Kinderkrankheiten auf.1 Wichtig sind daher die Kombination von Symptomen und bestimmte initiale Warnsignale. Hier sind zu nennen:
Initiale Warnsignale von Leukämien
-
Symptomatik (Anämie, Thrombozytopenie, Neutropenie: bei fieberhafter Infektion Notfall) bedingt durch Knochenmarkinfiltration und Versagen der normalen Blutbildung
-
häufig Hepatosplenomegalie (bei ALL Leber: 75%, Milz: 55%)
-
Lymphadenopathie (bei T-ALL nur ca. 30%)
-
Kompressionssymptomatik durch Mediastinaltumor (Notfall) bei ALL ca. 50%
-
Knochen-, Hoden-, Speicheldrüsen-, Gingiva- und Hautbeteiligung
-
Priapismus (Notfall)
-
ZNS-Beteiligung
Initiale Warnsignale von Lymphomen
-
Symptomatik (Anämie, Thrombozytopenie, Neutropenie: bei fieberhafter Infektion: Notfall) durch Knochenmarkinfiltration (selten)
-
Hepatosplenomegalie (selten)
-
Lymphadenopathie (sehr häufig)
-
einseitige Vergrößerung der Tonsillen
-
Kompressionssymptomatik durch Mediastinaltumor (Notfall)
-
häufiger Knochen-, Weichteil- und Hautbeteiligung
-
häufiger abdominelle Symptomatik: Schmerzen, Erbrechen, akutes Abdomen (Invagination: Notfall)
-
ZNS-Beteiligung (epiduraler Tumor, Hirntumor: Notfall)
Praxistipp
-
Bei normozytärer/normochromer Anämie (ohne Hämolyse) ± Thrombopenie auf akute Leukämie abklären.
-
Bei Kopfschmerzen und Nüchternerbrechen ± Krampfgeschehen/neurologische Defizite auf Gehirntumor abklären.
-
Bei Invagination außerhalb des Säuglingsalters auf intestinales Burkitt-Lymphom abklären!
-
Bei Knochenschmerzen (fokal, diffus) >4 Wochen Dauer Malignom ausschließen.
-
Bei unklaren, an Größe zunehmenden Schwellungen Malignom ausschließen.
-
Bei unklarer Symptomatik/B-Symptomatik >4–6 Wochen Dauer Malignom ausschließen.
Quelle:
„Initiale Notfälle und Herausforderungen bei akuten Leukämien und hochmalignen Lymphomen“ im Rahmen des CCC Vienna Cancer Update „Tumoren im Kindesalter“, 21.Jänner 2025
Literatur:
1 Lewitan L, Burdach S: Warnsignale für Krebserkrankungen im Kindesalter. Monatsschr Kinderheilkd 2021; 169: 13-9
Das könnte Sie auch interessieren:
Highlights zu Lymphomen
Assoc.Prof. Dr. Thomas Melchardt, PhD zu diesjährigen Highlights des ASCO und EHA im Bereich der Lymphome, darunter die Ergebnisse der Studien SHINE und ECHELON-1
ASH 2020 – Highlights zu den aggressiven Lymphomen
Highlight-Themen der virtuellen ASH-Jahrestagung im Dezember 2020 waren an erster Stelle die Immunonkologika in all ihren Variationen, aber auch Beispiele für innovative Sequenztherapien ...
Aktualisierte Ergebnisse für Blinatumomab bei neu diagnostizierten Patienten
Die Ergebnisse der D-ALBA-Studie bestätigen die Chemotherapie-freie Induktions- und Konsolidierungsstrategie bei erwachsenen Patienten mit Ph+ ALL. Mit einer 3-jährigen ...