HIV und Aids: eine Nebenbaustelle?
Autor:
Prof. Dr. med. Mark Oette
Klinik für Allgemeine Innere Medizin, Gastroenterologie und Infektiologie
Cellitinnen-Severinsklösterchen
Krankenhaus der Augustinerinnen
Köln
E-Mail: m.oette@t-online.de
Sie sind bereits registriert?
Loggen Sie sich mit Ihrem Universimed-Benutzerkonto ein:
Sie sind noch nicht registriert?
Registrieren Sie sich jetzt kostenlos auf universimed.com und erhalten Sie Zugang zu allen Artikeln, bewerten Sie Inhalte und speichern Sie interessante Beiträge in Ihrem persönlichen Bereich
zum späteren Lesen. Ihre Registrierung ist für alle Unversimed-Portale gültig. (inkl. allgemeineplus.at & med-Diplom.at)
Die antiviralen Behandlungsmöglichkeiten der HIV-Infektion verbessern sich kontinuierlich. Auf der anderen Seite rücken Probleme der Komorbiditäten zunehmend in den Vordergrund, da diese in einer alternden HIV-positiven Population immer bedeutsamer werden und den Behandlungsalltag dominieren. Ist HIV damit zu einer Nebenbaustelle geworden?
Keypoints
-
Die Verbesserung der Lebenserwartung HIV-Infizierter kommt nicht allen Patientengruppen in gleicher Weise zugute. Weitere Anstrengungen sind zu unternehmen, um diese Differenzen auszugleichen.
-
Viele Komorbiditäten dominieren zunehmend die Versorgungsrealität. Hier wirkt nebender Infektiologie eine steigendeAnzahl von Fachdisziplinen mit. Der Infektiologie kommt hierbei die zentrale Steuerung zu.
-
Die HIV-Infektion muss vor dem Hintergrund der genannten Aspekte nicht als Nebenbaustelle, sondern als zentrales verbindendes Element des Versorgungsnetzes gesehen werden.
Die Lebenserwartung HIV-Infizierter nähert sich kontinuierlich derjenigen der übrigen Bevölkerung an. In der Schweizer Kohorte, die sich durch eine exzellente Dokumentation auszeichnet, ist eine dramatische Zunahme der Lebenserwartung in den letzten Jahrzehnten zu verzeichnen.1 Dennoch sind die Kurven im Vergleich zur HIV-negativen Bevölkerung nicht deckungsgleich. Bei Betrachtung der Entwicklung unter Berücksichtigung der sozialen Schicht fällt zudem auf, dass der grösste Abstand zur Allgemeinbevölkerung in den Gruppen der unteren sozialen Schichten zu finden ist. Eine weitere Studie gibt einen Hinweis darauf, wie der Eindruck einer normalen Lebenserwartung zustande kommt.2 Hier nähert sich die Überlebenskurve nur in den Gruppen der Männer, die Sex mit Männern haben (MSM), der Heterosexuellen und bei Vorhandensein günstiger Immunparameter der Normalbevölkerung an, während dieser Erfolg nicht für die übrigen Strata gilt.
Es zeigt sich erneut, dass nur jene Menschen den grössten Nutzen von der Behandlung haben, die einer höheren sozialen Schicht angehören, früh im Krankheitsverlauf diagnostiziert wurden und dauerhaft effektiv behandelt werden. Umgekehrt ist zu formulieren, dass weiteres Engagement notwendig ist, um abgehängte Gruppen zu erreichen, in ein stabiles Behandlungsverhältnis zu bringen und langfristig zu binden. Nur so wird sich der grosse klinische Erfolg der antiretroviralen Therapie auch in der Breite auswirken. Hinzu kommt, dass die Therapie mittlerweile in der Anwendung so einfach ist, dass das notwendige Spezialwissen für eine Versorgung von HIV-Infizierten geringer wird. Folgerichtig sind auch Nicht-Schwerpunktmediziner zunehmend in die Betreuung dieser Patient:innengruppe involviert.
Daten zu Komorbiditäten
In den letzten Jahren ist die Sterblichkeit aufgrund von Aids in den entwickelten Ländern deutlich rückläufig, während sich kardiovaskuläre Erkrankungen und nicht Aids-definierende Malignome neben weiteren Störungen zu den führenden Ursachen für ein vorzeitiges Ableben entwickelt haben.3 Dies gilt insbesondere für den älteren Teil der HIV-Infizierten. Durch eine grosse Zahl von Studien sind die Grundlagen dieser Entwicklung aufgearbeitet worden. Insbesondere die chronische Immunaktivierung sowie die beschleunigte Immunoseneszenz wurden als pathophysiologische Korrelate dieser Entwicklung herausgearbeitet.4
Das Krankheitsspektrum, das neben der HIV-Infektion selbst zu versorgen ist, wird immer breiter und tangiert weitere Fachgruppen in der Medizin. Dies lässt sich auch an den Leitlinien der European AIDS Clinical Society (EACS) ablesen, in denen diese Krankheiten einen immer grösseren Raum einnehmen.5 So sehen die Patient:innen mit HIV nicht mehr nur ihre Spezialisten der Infektiologie, der Gynäkologie oder Augenheilkunde, sondern werden zur Kardiologie, Gastroenterologie, Hämato-Onkologie, Nephrologie, Osteologie, Psychiatrie, Diabetologie usw. vermittelt, um eine vollständige Versorgung zu erreichen.
Während in diesen Disziplinen viele Probleme zu lösen sind, schauen die Patient:innen bei ihren Infektiolog:innen oft nur kurz vorbei, um ihr Rezept zu erneuern. Dies mag den Eindruck verstärken, dass HIV zur Nebenbaustelle wird. Nachfolgend sollen zwei Beispiele diese Beobachtung weiter differenzieren.
Beispiel Kardiologie
Aufgrund der erheblichen Zunahme von Gefässerkrankungen ist die Kardiologie ganz erheblich in die Versorgung von Menschen mit HIV eingebunden. Hierbei hat insbesondere die Europäische Gesellschaft für Kardiologie (ESC) einen fortschrittlichen Beitrag zur Entwicklung der Standards geleistet. Die ESC-Guidelines strichen bereits vor 2019 die grosse Bedeutung der lipidsenkenden Therapie bei HIV-Positiven hervor,6 während die EACS nur allgemeine Aussagen publizierte.5Auch aktuell und nach neuen Daten7gehen die Empfehlungen der ESC deutlich weiter als die der EACS.8
Dies zeigt auf, welche Dynamik der wissenschaftliche Fortschritt bei HIV in der jüngeren Vergangenheit auch in anderen Fachgesellschaften erreicht hat. HIV-Spezialist:innen tun gut daran, ihre Therapiestrategien nicht nur an den Leitlinien der eigenen Gesellschaft zu orientieren, sondern in den Dialog mit anderen Fachgruppen einzutreten. Nur so ist gewährleistet, dass ein hochwertiges Management von Risiken und Komorbiditäten auch von der Infektiologie abgedeckt wird.
Beispiel Onkologie
Auch das Thema Krebs ist im genannten Zusammenhang wichtig. Die deutliche Zunahme einer grossen Zahl von malignen Erkrankungen hat zu einer verstärkten Auseinandersetzung der Hämatoonkologie mit diesem Feld geführt. Die Manifestationen treten nicht nur früher und teils häufiger als in der HIV-negativen Bevölkerung auf, sie bestimmen mittlerweile einen relevanten Teil des Versorgungsgeschehens der HIV-positiven Patient:innen.9 Dies beinhaltet auch Vorsorgeuntersuchungen, Krankenhausaufenthalte, Nachsorge etc. Durch die günstige Kombinierbarkeit gängiger antiretroviraler Therapiekonzepte mit weiteren Medikamenten, den oft erhaltenen Immunstatus der Betroffenen sowie die Komplexität gegenwärtiger chemo- und immuntherapeutischer Konzepte tritt das Thema HIV oft in den Hintergrund.
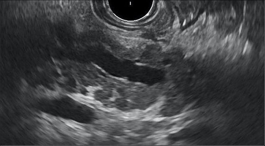
Abb. 1: Endosonografisches Bild einer chronischen Pankreatitis. Eigene Daten zeigen, dass die chronische Bauchspeicheldrüsenentzündung bei HIV-Infizierten häufiger als in der HIV-negativen Population vorliegt. Sie findet sich bei 21% der Untersuchten, während die Prävalenz bei Nichtinfizierten nach Literaturangaben bei max. 1‰ liegt (Göbbert A. 2023)10. Dieser klinisch relevante Befund untermauert die These, dass das Krankheitsspektrum oft weit über den Status der HIV-Positivität hinausgeht. Die Komorbiditäten, die zusätzlich zur Grunderkrankung vorliegen, erfordern Zuwendung, diagnostische Bemühungen und konsequentes Management. Dies kann nur gelingen, wenn die Versorgung aktiv koordiniert bzw. gelenkt wird. Hier fungieren Infektiolog:innen als zentrales Stellglied
In diesem Zusammenhang ist wichtig, dass die Infektiologie ein Schema der Begleitung, der supportiven Behandlung, der kontinuierlichen Beratung sowie der Nachsorge vorhält, um eine umfassende Betreuung zu gewährleisten. Als Beispiele sind zu nennen, dass Nebenwirkungsprofile, Medikamenteninteraktionen, Chemoprophylaxen, Impfschemata, Ernährungskonzepte oder anderes bei HIV-Infizierten mit Malignomen besondere Herausforderungen bieten, die nur im Zusammenspiel mit den Schwerpunktärzten gelöst werden können.
Wichtige Rolle der Infektiologie
Die Bereiche Lipiderkrankungen und bösartige Erkrankungen sollen als Beispiele dafür dienen, dass eine zunehmende Anzahl von Patient:innen ihre HIV-Infektion nicht mehr als ihr dominantes Problem wahrnehmen, da die multiplen weiteren Krankheiten die Aufmerksamkeit binden. Hier hat die Infektiologie die Aufgabe, mit Aufklärung und Beratung dafür zu sorgen, dass die HIV-Infektion ihre zentrale Bedeutung im Krankheitsgeschehen behält. Nur so kann der Grunderkrankung mit ihren vielschichtigen Ausprägungen und Interdependenzen ausreichend Rechnung getragen werden. Dies stellt die Schwerpunktärzt:innen vor die Aufgabe, gerade im Zusammenhang mit der HIV-Infektion die Breite der inneren Medizin zu beherrschen und anzuwenden und nach aussen zu repräsentieren.
Zusammenfassung
Obwohl die grosse Mehrheit der HIV-Infizierten effektiv behandelt wird, ist ein «Ausruhen» auf diesem Erfolg nicht angebracht, da noch nicht alle Gruppen hiervon profitieren. Auch die Hinwendung von Nichtinfektiologen und vielen «neuen» Fachgesellschaften zum Thema HIV und Aids muss Anlass geben, die Steuerfunktion der Infektiologie in der Versorgung aktiv zu erhalten. Die Infektion vor diesem Hintergrund als Nebenbaustelle im Versorgungsnetz zu betrachten, wird ihrer Bedeutung als komplexes und herausforderndes Krankheitsbild nicht gerecht und dient nicht dem Ziel, die Infektiologie in ihrer Führungsrolle in der Versorgung von HIV-Positiven zu erhalten.
Literatur:
1 Gueler A et al.: AIDS 2017; 31: 427-36 2 Trickey A et al. Lancet HIV 2023;10:e295-307 3 Trickey A et al.: Lancet HIV 2024; 11: e176-185 4 Thirugnanam S et al.: Curr Issues Mol Biol 2024; 46: 4768-86 5 EACS Guidelines: https://www.eacsociety.org/guidelines/eacs-guidelines/ ; zuletzt aufgerufen am 19.11.2025 6 Grundy SM et al.: Circulation 2019; 139: e1082-143 7 Grinspoon SK et al.: New Engl J Med 2023; 389: 687-99 8 Mach F al.: Eur Heart J 2025; 46: 4359-78 9 Vaccari LC et al.: HIV Med 2025; 26: 1258-66 10 Göbbert A.: urn:nbn:de:hbz:061-20240514-160929-2; zuletzt aufgerufen am 8.1. 2025
Das könnte Sie auch interessieren:
„Infektiologie ist das Fach der Zukunft!“
Auf dem heurigen Infektionskongress in Saalfelden werden sich zum ersten Mal junge, engagierte infektiologisch Interessierte treffen, um das Projekt „Junge OEGIT“ voranzubringen. Was ...
Gürtelrosevakzine auch bei Autoimmunkrankheiten gut verträglich
Patient:innen mit Autoimmunkrankheiten fürchten oft, dass Impfungen ihre Symptome verschlimmern könnten, vor allem wenn sie für Nebenwirkungen bekannt sind, wie der Herpes-Zoster- ...
Eosinophilie und Reiseanamnese: an Parasiten denken
Eine erhöhte Zahl von eosinophilen Granulozyten im Blut kann unter anderem ein Hinweis auf eine Infektion mit Parasiten sein. Vor allem bei entsprechender Reise- oder Migrationsanamnese ...