Cushing-Syndrom: ein seltener Auslöser des Diabetes
Klinische Abteilung für Endokrinologie und Stoffwechsel Klinik für Innere Medizin III Medizinische Universität Wien E-Mail: marie.schernthaner-reiter@meduniwien.ac.at
Klinische Abteilung für Endokrinologie und Stoffwechsel Klinik für Innere Medizin III Medizinische Universität Wien E-Mail: greisa.vila@meduniwien.ac.at
Sie sind bereits registriert?
Loggen Sie sich mit Ihrem Universimed-Benutzerkonto ein:
Sie sind noch nicht registriert?
Registrieren Sie sich jetzt kostenlos auf universimed.com und erhalten Sie Zugang zu allen Artikeln, bewerten Sie Inhalte und speichern Sie interessante Beiträge in Ihrem persönlichen Bereich
zum späteren Lesen. Ihre Registrierung ist für alle Unversimed-Portale gültig. (inkl. allgemeineplus.at & med-Diplom.at)
Diabetes kann im Rahmen des Cushing-Syndroms auftreten, einer seltenen endokrinen Erkrankung, die durch eine Überproduktion von Cortisol verursacht wird. Das Cushing-Syndrom führt auch zu stammbetonter Adipositas, Hypertonie, erhöhtem Thromboserisiko, Osteoporose, Muskelatrophie, Depression sowie zu vielen akuten und lebensgefährlichen Komplikationen und ist mit einer erhöhten Mortalität assoziiert. Eine rechtzeitige Diagnose ist lebenswichtig.
Keypoints
-
Bei klinischem Verdacht sollte CS möglichst frühzeitig diagnostiziert und behandelt werden, um langfristige Begleiterkrankungen und Mortalität zu reduzieren.
-
Therapie der Wahl ist die chirurgische Tumorentfernung.
-
Postoperativ ist zumindest überbrückend (und manchmal jahrelang) eine Glukokortikoid-Substitutionstherapie notwendig.
-
Die Mortalität verbessert sich nach Heilung, manche Komorbiditäten können jedoch persistieren.
Das Cushing-Syndrom (CS) ist eine seltene endokrine Erkrankung, die durch die Überproduktion von Cortisol über einen längeren Zeitraum verursacht wird. Ätiologisch wird das CS in 2 Gruppen klassifiziert: ACTH-unabhängiges CS (exzessive Glukokortikoid-Überproduktion aus der Nebenniere) und ACTH-abhängiges CS (ACTH-sezernierende Tumoren im Bereich der Hypophyse oder in anderen Organen).1
Bei CS wird oft eine lange diagnostische Verzögerung beobachtet (durchschnittlich 2–3 Jahre vom Zeitpunkt des Auftretens der ersten Symptome bis zur endgültigen Diagnosestellung). Andererseits ist das CS mit schweren Komorbiditäten (Diabetes, Osteoporose, Depression), Komplikationen (z.B. Infekte, Pulmonalembolien, Hypokaliämie, Herzrhythmusstörungen) und einer erhöhten Mortalität assoziiert (Tab. 1).2–4 Sowohl die Komorbiditäten als auch die kardiovaskuläre Mortalität bleiben bei Patienten mit Cushing-Syndrom auch nach Heilung langfristig erhöht.3, 4 Aus diesen Gründen ist bei dem Verdacht auf Hypercortisolismus rasch eine biochemische
Diagnostik einzuleiten.
Cushing-Diagnostik
Bei klinischem Verdacht auf ein CS ist die Durchführung eines 1-mg-Dexamethason-Hemmtests als erster Screening-Test empfohlen. Eine Bestimmung des Cortisols um 23 Uhr bestätigt die Störung der Tagesrhythmik; die Erhöhung des freien Cortisols im 24-h-Harn bestätigt in der Regel die Diagnose.
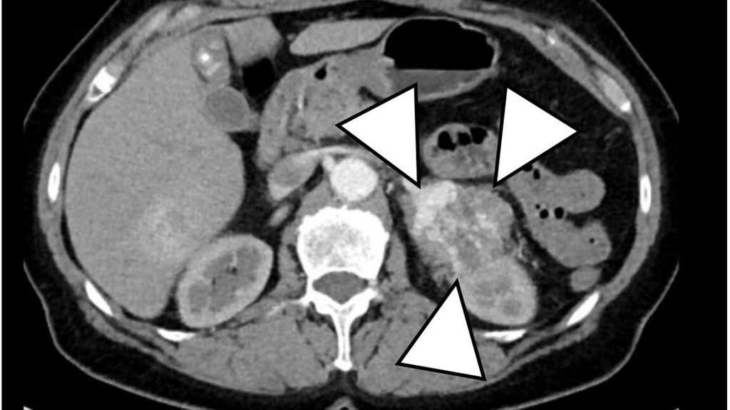
Nach Bestätigung der CS-Diagnose erfolgen weitere Tests zur Lokalisationsdiagnostik. Bei massiver Hypercortisolämie wird umgehend eine Computertomografie von Thorax und Abdomen empfohlen (Abb. 1). Plasma-ACTH-Konzentrationen helfen zur biochemischen Differenzialdiagnose zwischen ACTH-abhängigem und -unabhängigem CS. Für die Lokalisationsdiagnostik des ACTH-abhängigen CS werden ein CRH-Test, ein Langzeit-Dexamethason-Hemmtest sowie eine Hypophysen-MRT benötigt (Abb. 2). Ein Hypophysenadenom ist als Zufallsbefund bei bis zu 10% der Bevölkerung zu erwarten, andererseits lässt sich nur bei 60% der Patienten mit hypophysärem CS ein Hypophysenadenom lokalisieren. In unklaren Fällen wird eine Sinus-petrosus-inferior-Katheterisierung für die Lokalisationsdiagnostik benötigt.5
Abb. 1:CT Abdomen mit Nebennierenkarzinom (>5 cm) links
Abb. 2:MR Schädel mit ACTH-produzierendem Hypophysenadenom rechts
Cushing-Therapie
Die Therapie der Wahl des Cushing-Syndroms ist die chirurgische Entfernung des ACTH-produzierenden Tumors bzw. des Cortisol-produzierenden Nebennierenadenoms. Sollte eine chirurgische Sanierung nicht möglich sein, können überbrückende oder dauerhafte medikamentöse Therapien (z.B. Inhibitoren der adrenalen Steroid-Biosynthese oder der hypophysären ACTH-Produktion) oder Radiotherapie zum Einsatz kommen.1Eine bilaterale Adrenalektomie wird selten durchgeführt, kann aber in manchen Notfallsituationen lebensrettend sein; diese Patienten benötigen eine lebenslange Substitutionstherapie.
Diabetestherapie bei CS
Diabetes oder Prädiabetes befinden sich unter den häufigsten Komorbiditäten des Cushing-Syndroms.Es wird eine Prävalenz von ungefähr 40% angegeben, diese könnte jedoch falsch niedrig sein, da nicht bei allen Patienten ein oraler Glukosetoleranztest durchgeführt wird.1, 3 Die Ursache für CS-induzierten Diabetes sind eine durch die Hypercortisolämie gestörte Insulinsensitivität sowie eine erhöhte Glukoneogenese, Lipolyse und Proteolyse.5 Die Behandlung des Diabetes im Rahmen eines Cushing-Syndroms unterscheidet sich nicht wesentlich von der Behandlung eines Diabetes mellitusTyp2. Jedoch ist zu berücksichtigen, dass starke Schwankungen des Cortisolspiegels (z.B. nach erfolgreicher chirurgischer oder medikamentöser Behandlung des CS) einen relativ kurzfristigen Einfluss auf die glykämische Kontrolle nehmen können.
Metformin ist das Medikament der ersten Wahl bei CS-induziertem Diabetes.5 Aufgrund der im Rahmen des CS häufig auftretenden Adipositas sowie des erhöhten kardiovaskulären Risikos sind GLP-1-Agonisten eine attraktive Therapiemöglichkeit; diese bewirken eine Steigerung der Insulinproduktion und -sezernierung, eine Hemmung der Glukagonsekretion, eine Verzögerung der Magenentleerung sowie eine Appetithemmung. Die SGLT2-Hemmer führen zu einer Verbesserung der Glykämie durch Glukosurie ohne Hypoglykämierisiko. Bei der Verwendung von SGLT2-Hemmern sollte jedoch auf das Risiko von genitalen Infektionen sowie Harnwegsinfekten Rücksicht genommen werden, insbesondere da Patienten mit CS ein hohes Risiko für Infektionen und Sepsis aufweisen. Bei Patienten mit ausgeprägtem CS sowie unkontrolliertem Diabetes kann eine Insulintherapie notwendig sein; ein Basis-Bolus-Schema erlaubt Patienten eine gute Flexibilität vor dem Hintergrund wechselnder Cortisolwerte.
Während die meisten medikamentösen Therapien des CS durch die Senkung der Cortisolspiegel zu einer Verbesserung des Diabetes führen, wurde für Pasireotid (ein Somatostatin-Analogon, welches zur Hemmung der ACTH-Ausschüttung führt) eine hyperglykämische Wirkung beobachtet, welche sich aber im Laufe der Behandlung oft verbessert.5
Langzeitprognose
Die 5-Jahres-Überlebensrate bei unbehandeltem CS ist nur 50%. Bei den meisten Patienten führt die erfolgreiche Behandlung des CS auch zu einer Verbesserung der Komorbiditäten, allerdings bleibt die Hypertonie bei ca. 70% und Diabetes bei ca. 60% der betroffenen Patienten weiterbestehen.3 Lebenslange Kontrollen sind sowohl zur Beurteilung der Hypothalamus-Hypophysen-Nebennierenachsenaktivität (Nebenniereninsuffizienz, Krankheitspersistenz oder -rezidiv) als auch zur Behandlung der Komorbiditäten und zur Optimierung des erhöhten kardiovaskulären Risikos notwendig.
Literatur:
1 Nieman LK et al (Endocrine Society). Treatment of Cushing’s Syndrome: An Endocrine Society Clinical Practice Guideline. J Clin Endocrinol Metab 2015; 100: 2807-31 2 Rubinstein G et al.: Time to diagnosis in Cushing’s syndrome: a meta-analysis based on 5367 patients. J Clin Endocrinol Metab 2020; 105: dgz136 3 Schernthaner-Reiter MH et al.: Factors predicting comorbidities in cured patients with Cushing’s syndrome. Endocrine 2019; 64: 157-68 4 Clayton RN et al.: Mortality in patients with Cushing’s disease more than 10 years after remission: a multicentre, multinational, retrospective cohort study. Lancet Diabetes Endocrinol 2016; 4: 569-76 5 Barbot M et al.: Diabetes mellitus secondary to Cushing’s disease. Front Endocrinol (Lausanne) 2018; 9: 284
Das könnte Sie auch interessieren:
Diabetes erhöht das Sturzrisiko deutlich
Eine dänische Studie kommt zu dem Ergebnis, dass sowohl Patienten mit Typ-1- als auch Patienten mit Typ-2-Diabetes öfter stürzen und häufiger Frakturen erleiden als Menschen aus einer ...
Notfall Diabetische Ketoazidose: Leitliniengerechtes Handeln kann Leben retten
Akute Stoffwechselentgleisungen können lebensbedrohlich sein und erfordern eine rasche und leitliniengerechte Diagnostik und Therapie. Pathogenese, Klinik, typische Befunde und die ...
Wie oft wird Diabetes nicht oder spät erkannt?
Im Allgemeinen wird von einer hohen Dunkelziffer an Personen mit undiagnostiziertem Typ-2-Diabetes ausgegangen. Ein Teil davon sind von Ärzten „übersehene“ Fälle. Eine von der University ...