Hämorrhagische Läsionen nach Infekt: viele mögliche Differenzialdiagnosen
Autor:
Prof. Dr. med. Dr. sc. nat. Alexander Navarini
Chefarzt Dermatologie und AllergologieLeiter Zentrum für Hauttumore
Universitätsspital Basel
E-Mail: Alexander.Navarini@usb.ch
Sie sind bereits registriert?
Loggen Sie sich mit Ihrem Universimed-Benutzerkonto ein:
Sie sind noch nicht registriert?
Registrieren Sie sich jetzt kostenlos auf universimed.com und erhalten Sie Zugang zu allen Artikeln, bewerten Sie Inhalte und speichern Sie interessante Beiträge in Ihrem persönlichen Bereich
zum späteren Lesen. Ihre Registrierung ist für alle Unversimed-Portale gültig. (inkl. allgemeineplus.at & med-Diplom.at)
Eine 70-jährige Patientin stellt sich mit anhaltender Abgeschlagenheit, Rhinitis, Halsschmerzen und wiederkehrendem Schüttelfrost vor. Neu hinzugekommen sind schmerzhafte Hautveränderungen an den Unterschenkeln, die sich durch schwarze Krusten und Rötungen auszeichnen. Die differenzialdiagnostische Bandbreite umfasst infektiöse und vaskulitische Prozesse.
Die Patientin im Alter von 70 Jahren gibt bei der Erstvorstellung einen verschleppten Infekt an, der seit rund vier Wochen besteht und zunächst mit Abgeschlagenheit, Rhinitis, Halsschmerzen und intermittierendem Schüttelfrost einhergeht. Dann treten plötzlich Wunden auf, die mit schwarzen Krusten belegt sind. Diese hämorrhagischen Läsionen mit Nekroseplatte sind bei der Inspektion auf beiden Unterschenkeln festzustellen (Abb.1).
Zu den differenzialdiagnostischen Optionen zählen in diesem Fall eine leukozytoklastische Vaskulitis, eine Panarteriitis nodosa, Ecthyma simplex, eine Calciphylaxie oder ein Ulcus hypertonicum Martorell. Folgende Überlegungen sind diesbezüglich miteinzubeziehen:
-
Bei einer Panarteriitis nodosa entstehen Nekrosen typischerweise rasch und in Blitzfigur-Morphologie, zudem ist die kutane Form der Panarteriitis nodosa oft segmental und einseitig.
-
Typisch für Ecthyma simplex wären eher ausgestanzt wirkende Ulzera, teils mit honiggelben Krusten.
-
Eine Calciphylaxie ist zumeist durch ein abruptes Auftreten gekennzeichnet, zudem wären in einem solchen Fall Begleitsymptome einer Niereninsuffizienz oder extrem starke Schmerzen typisch.
-
Eine bekannte Hypertonie liegt nicht vor, die Diagnose eines Ulcus hypertonicum Martorell ist daher eher unwahrscheinlich.
Eine weitere mögliche Differenzialdiagnose, die Purpura Schönlein-Henoch (aktuelle Nomenklatur: IgA-Vaskulitis), wurde bei der nachfolgenden Immunfluoreszenz gesucht, es fanden sich keine IgA-Ablagerungen, was dafür typisch wäre.
Zur Bestätigung der nun vorliegenden Verdachtsdiagnose der leukozytoklastischen Vaskulitis ist die Klinik nicht ausreichend, hierzu ist die histologische Untersuchung einer Hautbiopsie erforderlich. Diese bringt auch im vorliegenden Fall letztlich die Gewissheit.
Mögliche Systembeteiligung in Erwägung ziehen
Cave: Die leukozytoklastische Vaskulitis ist zwar eine Vaskulitis der dermalen Kapillaren und Venolen. Dennoch ist nicht zwingend gegeben, dass sich die Krankheit grundsätzlich nur mit wenigen kleinen, tastbaren Petechien bemerkbar macht: Bei Beteiligung grösserer Venolen sind auch ausgedehntere Nekrosen möglich, was – wie im vorliegenden Fall – die Unterscheidung von der Panarteriitis nodosa erschweren kann (die Panarteriitis nodosa betrifft üblicherweise mittelgrosse Gefässe).
Wichtig ist auch die Berücksichtigung der Lokalisation der Petechien: Während diese typischerweise an den unteren Extremitäten auftreten, gilt als Faustregel, dass bei Läsionen oberhalb der Gürtellinie eine Systemmanifestation in Erwägung gezogen werden muss. Diese systemische Beteiligung kann sich als Glomerulonephritis äussern, bei der Patientin wird daher auch ein Urinstatus mit Sedimentbeurteilung durchgeführt.
Leukozytoklastische Vaskulitis: verwirrende Nomenklatur, herausfordernde Histopathologie
Der Name der kutanen leukozytoklastischen Vaskulitis (LCV) verweist zwar am häufigsten auf eine Vaskulitis der kleinen Gefässe der Haut. Darüber hinaus werden die Begriffe «kutane LCV», «kutane Vaskulitis der kleinen Gefässe» und «kutane leukozytoklastische Angiitis» aber in vielen Fällen synonym verwendet.1
Aufgrund dieser Variabilität der Definition liegen auch beträchtliche Schwankungen der Inzidenz der LCV vor, die von 15 bis 38 Fälle pro Million/Jahr reicht.1 Eine bevölkerungsweite US-amerikanische Studie schätzte die Inzidenz für bioptisch nachgewiesene LCV auf 4,5 Fälle pro 100000 Personenjahre.2 Die kutane LCV scheint beide Geschlechter gleichermassen zu betreffen, ebenso jede Altersgruppe; es gibt jedoch auch Hinweise auf eine leichte Häufung bei Männern und Älteren. Bei Erwachsenen ist die LCV öfter mit einer zugrunde liegenden systemischen Vaskulitis, einer Bindegewebserkrankung oder einer Krebserkrankung assoziiert.1
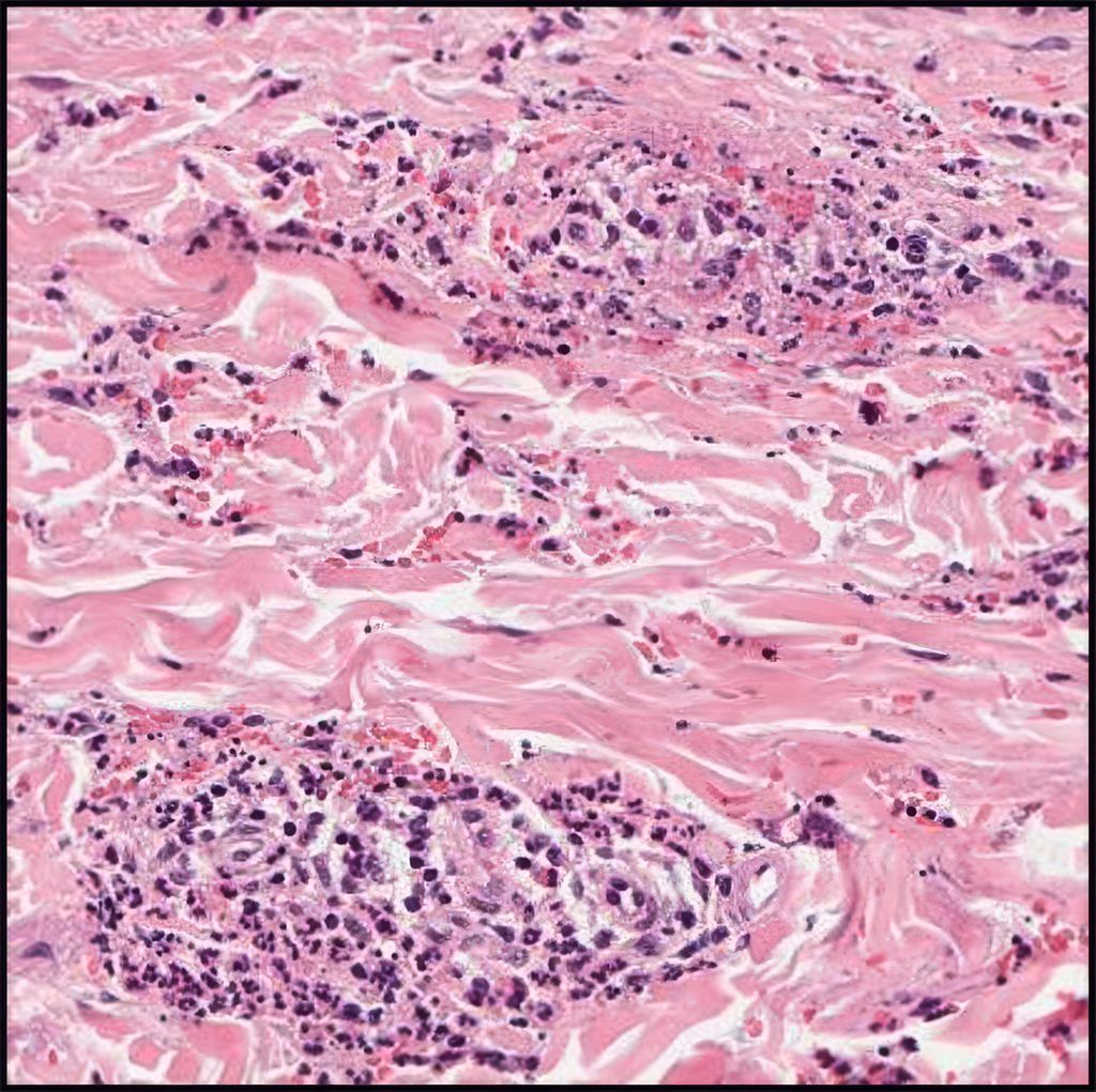
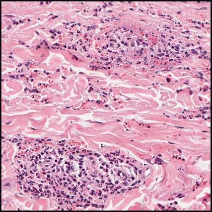
Auch die histopathologische Diagnose ist nicht immer eindeutig: Klassischerweise finden sich von Neutrophilen umringte Gefässe, fibrinoidverquollene Gefässwände mit teilweise auftretenden Gefässokklusionen, Erythrozytenextravasate sowie eine ausgeprägte Leukozytoklasie mit den typischen «Kernstaub»-Fragmenten aufgrund des Zerfalls von Neutrophilenkernen (Abb. 2). Diese Merkmale sind zwar in der Regel pathognomonisch, doch die Diagnosestellung wird dadurch erschwert, dass sich die Abnormitäten erst im Laufe der Zeit manifestieren können (vor der Entwicklung der voll ausgeprägten LCV-Veränderungen sind etwa nur fokale Schäden an Kapillargefässen zu sehen).1
Grosse Bandbreite an Auslösern
Als nächster Schritt sollte die Suche nach den Triggerfaktoren erfolgen. Im vorliegenden Fall gibt die Patientin eine infektiöse Atemwegsinfektion an. Infektionen im Zusammenhang mit leukozytoklastischer Vaskulitis werden häufig durch Streptokokken verursacht, aber auch von Mykobakterien, Chlamydien, Staphylococcus aureus sowie Viruserkrankungen wie Hepatitis B (HBV), Hepatitis C (HCV), HIV oder Syphilis ausgelöst. Zu den medikamentösen Auslösern zählen unter anderem Betalaktamantibiotika, Erythromycin, Clindamycin, Vancomycin, Sulfonamide, Furosemid, Allopurinol, Amiodaron und TNFα-Hemmer. Zu den weiteren möglichen Ursachen zählen Neoplasien (insbesondere Lymphome, Leukämien und Lungenkarzinome) sowie systemische Autoimmunerkrankungen: Kollagenosen, entzündliche Darmerkrankungen, Morbus Behçet, rheumatoide Arthritis, Kryoglobulinämie oder Purpura Schönlein-Henoch. In 50% der Fälle ist die leukozytoklastische Vaskulitis jedoch idiopathisch.
Weiteres Vorgehen
Eine umfassende Abklärung aller potenziellen Auslöser ist in der Praxis natürlich nicht immer möglich. Ein sinnvoller diagnostischer Schritt bei Angabe einer Atemwegsinfektion wie im vorliegenden Fall ist die Inspektion der Tonsillen: Bei unauffälligem Befund kann auch post festum eine Streptokokkenreaktivität durch den Antistreptolysin-O-Titer (ASLO) nachgewiesen werden. Im vorliegenden Fall ist der ASLO-Titer stark erhöht (1300IU/ml), während Tests auf HBV, HCV, HIV und Syphilis negativ ausfallen. Die Patientin zeigt also eine Immunreaktion auf Streptokokken – allerdings bleibt unklar, wie lange genau diese zurückliegt, da der ASLO-Titer auch über längere Zeit erhöht bleiben kann. Zusätzlich sind bei der Patientin die Kryoglobuline quantitativ erhöht, qualitativ zeigte sich ein Typ-II- («gemischtes») Muster, das mit Autoimmunerkrankungen, Infektionen und malignen Tumoren assoziiert sein kann.
Therapie mit Kortikosteroiden
Obwohl die Erkrankung in 90% der Fälle innerhalb von Wochen bis Monaten selbstlimitierend verläuft, ist zumindest bei Vorliegen systemischer Manifestationen eine Therapie mit systemischen Kortikosteroiden erforderlich. An der Klinik für Dermatologie des Universitätsspitals Basel werden alle Patient:innen – auch diejenigen mit ausschliesslich kutaner Manifestation – mit Prednison behandelt, wie die hier vorgestellte Patientin.
Übrigens: Sofern keine klinischen Hinweise auf eine aktive Streptokokkeninfektion bestehen und der Streptokokkenschnelltest negativ ausfällt (wie in diesem Fall), ist keine Therapie mit Penicillin erforderlich. Der alleinige Nachweis eines erhöhten ASLO-Titers ist kein ausreichender Grund für eine antibiotische Therapie.
Nehmen Sie teil!
Diagnostizieren Sie mit uns generalisierte Exantheme, behandeln Sie hartnäckige Nägel und staunen Sie im Schwarzlicht. Oder haben Sie selbst einen Patientenfall vor Augen, bei dem Sie sich über einen frischen Blick freuen würden?
Wir laden Sie herzlichst zu unserer nächsten «Abendvisite» ein:
https://www.universimed.com/ch/abendvisite
am 13. Mai 2025
von 18.15 bis 19.15 Uhr
Wir freuen uns auf Ihre Teilnahme!
Quelle:
«Abendvisite – Dermatologie: Patientenfälle im Dialog», Webinar vom 25. November 2024
Literatur:
1 Fraticelli P et al.: Intern Emerg Med 2021; 16: 831-41 2 Arora A et al.: Mayo Clin Proc 2014; 89(11): 1515-24
Das könnte Sie auch interessieren:
Tägliche Tablette gegen Psoriasis
Die US-Arzneimittelbehörde FDA hat mit Icotrokinra ein orales Medikament gegen Schuppenflechte zugelassen, welches die Rezeptoren für Interleukin-23 (IL-23) hemmt. Eine EU-Zulassung ...
Juveniles Polymyositis/Sklerodermie-Overlap-Syndrom
Die Komplexität von Kollagenosen und Autoimmunerkrankungen stellt oft eine diagnostische und therapeutische Herausforderung dar, da viele Patient:innen nicht nur einer einzigen Entität ...
Funktionalisierung bakterieller Nanocellulose
Chronische Wunden unterschiedlicher Ätiologie, etwa bei arterieller und venöser Insuffizienz oder Diabetes mellitus, prägen die tägliche Wundversorgung.Neben chronischen Wunden verlangen ...