Pigmentierte villonoduläre Synovialitis: Ist eine präoperative Biopsie indiziert?
Autoren:
Priv.-Doz. Dr. Dietmar Dammerer, MSc, PhD
Dr. Johannes Neugebauer
Universitätsklinik für Orthopädie und Traumatologie, Innsbruck
Korrespondierender Autor:
Priv.-Doz. Dr. Dietmar Dammerer, MSc, PhD
Die pigmentierte villonoduläre Synovialitis ist eine gutartige, aber lokal aggressive und synovial proliferative Erkrankung. Aus bislang nicht bekannter Ursache kommt es zu einer entzündlich imponierenden Schwellung der Synovia mit histologisch nachweisbaren Hämosiderinablagerungen und multinukleären Riesenzellen. Die WHO bezeichnet die PVNS auch als intraartikulären tenosynovialen Riesenzelltumor – eine Namensgebung, welche auf dem histologischen Erscheinungsbild dieser Tumorentität beruht.
Keypoints
-
Morphologisch wird zwischen der vergleichsweise aggressiveren diffusen Form und der langsam progredienten nodulären Variante unterschieden.
-
Vorrangig ist das Kniegelenk betroffen, gefolgt vom Hüftgelenk.
-
Die Magnetresonanztomografie ist gemeinsam mit dem klinischen Erscheinungsbild der diagnostische Goldstandard.
-
Therapeutisch ist neben der chirurgischen Resektion sowohl eine adjuvante Radiosynoviorthese als auch eine Antikörpertherapie möglich.
-
Rezidive sind bei der aggressiveren diffusen Variante der PVNS häufig.
Prävalenz und Klinik
Die pigmentierte villonoduläre Synovialitis (PVNS) gilt als eine seltene Erkrankung. Die Prävalenz wird in der Literatur mit etwa 1,8 bis 2 Fällen pro Million Einwohner pro Jahr angegeben. Allerdings ist von einer hohen Anzahl nicht registrierter Fälle auszugehen, weshalb die Prävalenz wahrscheinlich höher ist. Morphologisch wird zwischen der vergleichsweise aggressiveren diffusen Form und der langsam progredienten nodulären Variante unterschieden.
Überwiegend erkranken Patienten im Alter zwischen 30 bis 40 Jahren, wobei Männer und Frauen etwa gleich häufig betroffen sind. Diffuse Gelenkschmerzen und schmerzlose Gelenkschwellungen werden bei der Erstmanifestation zumeist über Monate hinweg geschildert. Bei der nodulären Form können jedoch auch Einklemm- bzw. Blockierungssymptome eine Meniskusläsion vortäuschen. Rezidivierende Gelenkergüsse sind zudem möglich (Abb. 1). Der klinische Verlauf sowie die Schmerzsymptomatik der PVNS ähneln sehr der rheumatoiden Arthritis, wodurch oftmals eine Abklärung hinsichtlich einer Erkrankung aus dem rheumatoiden Formenkreis durchgeführt wird.
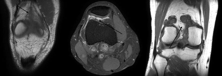
Abb. 1: Klinisch präsentieren sich die Patienten häufig mit wiederkehrenden Schwellungen und Kniegelenksergüssen. Im vorliegenden Fall wurden >80 ml bernsteinfarbenes Punktat abgezogen. Das Punktat wird zur weiteren Befundung an die Bakteriologie, Pathologie und zur Zellzahlzählung delegiert. In den MRT-Bildern ist eine dorsal gelegene PVNS erkennbar (Pfeilmarkierung)
Die Diagnosestellung erfolgt oft mit großer zeitlicher Verzögerung, bis zu Jahren. Je nach Form ist das Erscheinungsbild auf ein oder mehrere Gelenke ausgedehnt. Vor allem die großen Gelenke, und hier allem voran das Kniegelenk, gefolgt von Hüfte und Sprunggelenk, sind betroffen, wobei auch Sehnenscheiden und Bursen befallen sein können. In der Literatur wird in drei Vierteln aller Fälle ein Befall des Kniegelenks beschrieben. Oftmals wird eine PVNS als Zufallsbefund im Rahmen einer Arthroskopie festgestellt. Dabei ist eine histologische Untersuchung unabdingbar.
Bildgebende Diagnostik
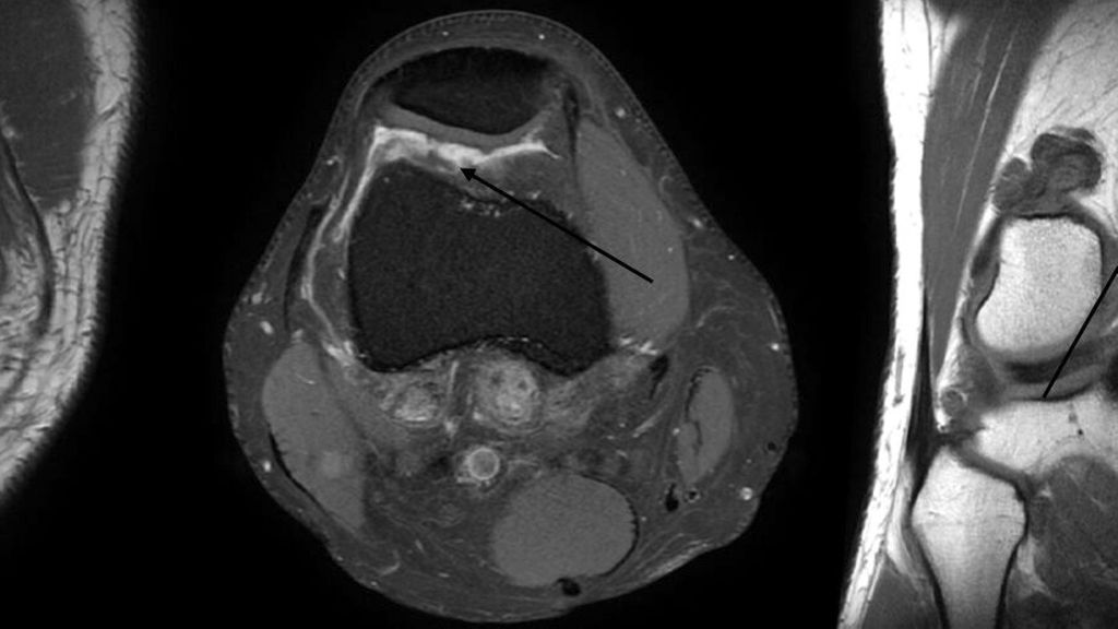
Um eine mögliche Destruktion des Knochens beurteilen zu können, ist die Durchführung eines konventionellen Röntgenbilds zu empfehlen. Die Magnetresonanztomografie (MRT) ist neben dem klinischen Erscheinungsbild der diagnostische Goldstandard. Neben der Ausdehnung zeigt die MRT auch bei methodenspezifischen Sequenzen Hämosiderinablagerungen, welche in der Literatur teilweise als pathognomonisch für das Vorliegen einer PVNS beschrieben werden (Abb. 2).
Abb. 2: MRT-Bilder eines 41-jährigen Patienten mit rezidivierenden Ergüssen, Schmerzen und Kniegelenksschwellungen. Es zeigt sich eine diffuse PVNS sowohl ventral als auch dorsal des Kniegelenks. Therapeutisch wurde der Patient einer radikalen offenen Synovektomie mit adjuvanter RSO unterzogen
Ist eine präoperative Biopsie indiziert?
In einer retrospektiven Datenanalyse haben wir 137 Patienten recherchiert, die zwischen 1991 und 2019 an unserer Abteilung einer radikalen Synovektomie aufgrund einer PVNS unterzogen worden sind. Insgesamt erfüllten 69 Patienten unsere Einschlusskriterien: positiver MRT-Befund mit Nachweis von Hämosiderin und anschließende Synovektomie. Unsere Studiengruppe setzte sich aus 29 männlichen (41%) und 40 weiblichen Patienten (59%) zusammen. Das Durchschnittsalter bei Diagnosestellung war 38 Jahre (Range: 9–73). Insgesamt waren in über 90% der Fälle der MRT-Befund und das histologische Ergebnis kongruent, was jedoch im Umkehrschluss bedeutet, dass nach der radikalen Synovektomie histologisch in ca. 10% keine PVNS nachgewiesen werden konnte. In Hinblick auf die Invasivität des Eingriffs einer radikalen Synovektomie ist die präoperative Biopsie eine weitere Option, um die Diagnose zu sichern. Die aktuelle Studienlage ist sich diesbezüglich jedoch uneins.
Noduläre vs. diffuse Form der PVNS
Unterteilt wird die PVNS in ihre nodulär-lokale und ihre diffuse Form. Erstere wird MR-tomografisch gut begrenzt, lobuliert und ohne Involvierung des umliegenden Gewebes beschrieben. Histologisch wird ein gut differenziertes, meist makroskopisch als weiß-grau, gelb bis bräunlich moduliertes Areal mit einer Ausdehnung von 0,5 bis 4 cm beschrieben (Abb. 3). Obwohl die beiden Formen histopathologisch und genetisch identisch sind, unterscheiden sie sich in ihren Verläufen. Dabei wird die diffuse Form als aggressiver und invasiver bezeichnet.
Abb. 3: Abbildung einer diffusen sowie einer lokal nodulären Form der PVNS. Die Therapie war in beiden Fällen die radikale Synovektomie
Therapie
Um schwere Krankheitsverläufe zu verhindern und Rezidivraten senken zu können, sind eine frühe Diagnose, eine operative Therapie und gegebenenfalls adjuvante Verfahren essenziell. Eine therapeutische Option ist neben den chirurgischen Interventionen (offene vs. arthroskopische Synovektomie) die adjuvante Radiosynoviorthese (RSO) mit Yttrium-90. Bleiben operative Eingriffe unvollständig, sind hohe Rezidivraten von 30 bis 40% zu verzeichnen. Bei diffusen Formen ist die radikale, komplette Synovektomie der betroffenen Region notwendig. Generell zeigt die arthroskopische Therapie ein etwas höheres Rezidivrisiko im Vergleich zum offenen Therapieverfahren, wenngleich auch bei bestimmten Regionen, wie zum Beispiel der Meniskusbasis, ein arthroskopisches Verfahren geeigneter erscheint, weshalb die Kombination aus offenen und arthroskopischen Verfahren als vorteilhaft zu erachten ist. Sollte die PVNS als Zufallsbefund im Rahmen einer anderen Operation am entsprechenden Gelenk entdeckt und in weiterer Folge histologisch bestätigt werden, ist zu klären, ob eine vollständige Synovektomie nachgeholt werden sollte, sofern diese nicht während des eigentlichen Eingriffs bereits erfolgt ist.
Adjuvante Therapieverfahren
Anhand der vorliegenden Literatur zeigte sich die RSO mit Yttrium-90 als vielversprechende und erfolgreiche Therapieoption bei der diffusen Form der PVNS. Im Regelfall wird circa sechs Wochen nach marginaler Entfernung der Synovia die Injektion von Yttrium-90 (β-Strahler) an der nuklearmedizinischen Abteilung durchgeführt. Voraussetzung hierfür sind ein umschlossenes Gebiet (z.B. innerhalb einer Gelenkkapsel, nicht entlang von Sehnen) und die vollständige makroskopische Entfernung der Läsion, denn aufgrund der begrenzten Reichweite von β-Strahlen können größere Tumormassen nicht durchdrungen werden. Die RSO ist prinzipiell wiederholbar. Eine weitere Option ist die externe perkutane Radiatio, wobei langfristige nachteilige Folgen nicht ausgeschlossen werden können; daher sollte dieses Therapieverfahren Einzelfällen vorbehalten bleiben.
Antikörpertherapie
In mehreren Studien konnte gezeigt werden, dass Imatinib, ein Tyrosinkinase-Inhibitor, erfolgreich bei der Behandlung einer PVNS einsetzbar ist. Bei der PVNS kommt es in manchen Zellen zur Überexpression des „colony stimulating factor-1“ (CSF1), dessen Rezeptoren durch Imatinib blockiert werden können. Die Antikörpertherapie bei der Behandlung einer PVNS, z.B. mit Bevacizumab etc., ist momentan Gegenstand vieler Forschungsprojekte.
Verlauf und Prognose
Zusammengefasst lässt sich festhalten, dass eine isolierte noduläre PVNS eine sehr gute Prognose und selten Rezidive zeigt. Bei der wesentlich aggressiveren und häufigeren diffusen Form der PVNS sind in Abhängigkeit von mehreren Faktoren (z.B. Radikalität/Vollständigkeit der Synovektomie, Tumorgröße etc.) Rezidivraten von bis zu 50% in der Literatur beschrieben. Der Einsatz von adjuvanten Therapieformen kann jedoch die Rezidivrate senken. Der Einsatz von Antikörpern in der PVNS-Therapie ist momentan Gegenstand mehrerer Studienprojekte, deren Ergebnisse abzuwarten sind.
Wir empfehlen die Tumornachsorge engmaschig durchzuführen. Dazu empfiehlt sich ein 3-monatliches Intervall im ersten postoperativen Jahr, dann 6-monatlich und ab dem 3. bis 5. Jahr jährlich mittels lokaler MRT-Untersuchung.
Literatur:
● Brahmi M et al.: Current systematic treatment options for tenosynovial giant cell tumor/pigmented villonodular synovitis: targeting the CSF1/CSF1R Axis. Curr Treat Options Oncol 2016; 17(2): 10 ● Cappellen CF et al.: Lowering the recurrence rate in pigmented villonodular synovitis: a series of 120 resections. Rheumatology (Oxford) 2018; 57(8): 1448-52 ● Cassier PA et al.: Efficacy of imatinib mesylate for the treatment of locally advanced and/or metastatic tenosynovial giant cell tumor/pigmented villonodular synovitis. Cancer 2012; 118(6): 1649-55 ● Dürr HR et al.: The effects of radiosynoviorthesis in pigmented villonodular synovitis of the knee. Arch Orthop Trauma Surg 2019; 139(5): 623-7 ● Fang Y, Zhang Q: Recurrence of pigmented villonodular synovitis of the knee: a case report with review of literature on the risk factors causing recurrence. Medicine (Baltimore) 2020; 99(16): e19856 ● Mastboom MJL et al.: Surgical treatment of localized-type tenosynovial giant cell tumors of large joints: a study based on a multicenter-pooled database of 31 international sarcoma centers. J Bone Joint Surg Am 2019; 101(14): 1309-18 ● Mastboom MJL et al.: Surgical outcomes of patients with diffuse-type tenosynovial giant-cell tumours: an international, retrospective, cohort study. Lancet Oncol 2019; 20(6): 877-86 ● Mastboom MJL et al.: Limb amputation after multiple treatments of tenosynovial giant cell tumour: series of 4 dutch cases. Case Rep Orthop 2017; 2017: 7402570 ● Nissen MJ et al.: Efficacy of intra-articular bevacizumab for relapsing diffuse-type giant cell tumour. Ann Rheum Dis 2014; 73(5): 947-8
Das könnte Sie auch interessieren:
Mehr kardiovaskuläre Ereignisse und Malignome?
Mit Tofacitinib, einem Strukturanalogon von ATP, wurde 2013 erstmals ein Januskinase-Inhibitor (JAKi) in der Schweiz zugelassen. Die Vertreter dieser Medikamentenklasse haben sich gut ...
Seltene Kleingefässvaskulitiden im Fokus
Bei Vaskulitiden der kleinen Gefässe liegt eine nekrotisierende Entzündung der Gefässwand von kleinen intraparenchymatösen Arterien, Arteriolen, Kapillaren und Venolen vor. Was gilt es ...
Elektive Hüft-TEP bei Adipositas Grad III
Übergewichtige Patient:innen leiden früher als normalgewichtige Personen an einer Hüft- oder Kniearthrose. Allerdings sieht die aktuelle S3-Leitlinie zur Behandlung der Coxarthrose in ...