Minimalinvasive Vorfußchirurgie: Was ist das?
Sie sind bereits registriert?
Loggen Sie sich mit Ihrem Universimed-Benutzerkonto ein:
Sie sind noch nicht registriert?
Registrieren Sie sich jetzt kostenlos auf universimed.com und erhalten Sie Zugang zu allen Artikeln, bewerten Sie Inhalte und speichern Sie interessante Beiträge in Ihrem persönlichen Bereich
zum späteren Lesen. Ihre Registrierung ist für alle Unversimed-Portale gültig. (inkl. allgemeineplus.at & med-Diplom.at)
In der Fußchirurgie wird das kosmetische Ergebnis der Narben von den Patienten als fast genauso wichtig betrachtet wie das funktionelle Ergebnis. Aus diesem Grund geht die Tendenz auch in der Fußchirurgie vermehrt zu minimalinvasiven Operationstechniken. Aus Sicht des Orthopäden und Unfallchirurgen liegt der Vorteil in der Reduktion von Wundheilungsstörungen und Infektionen.
Keypoints
-
Die minimalinvasive Fußchirurgie benötigt spezielle technische Voraussetzungen.
-
Vor der Anwendung im klinischen Alltag sollten entsprechende Kurse absolviert werden, um die Lernkurve flach zu halten.
-
Bei richtiger Indikation sind mit der minimalinvasiven Chirurgie hohe Werte in der Patientenzufriedenheit zu erzielen.
Historisch wurden die ersten Schritte in der minimalinvasiven Fußchirurgie in den 1950er-Jahren von Morton Polakoff gesetzt. Mit der Entwicklung spezieller Instrumente versuchte er, die Größe der Hautschnitte zu reduzieren. Parallel dazu wurden in Anlehnung an Maschinen aus der Zahnmedizin sterile Fräsen entwickelt. Erste Kurse wurden in den 1970er-Jahren am Pennsylvania College of Podiatric Medicine durchgeführt. Hier wurden vor allem die Chirurgie der Zehen und die Isham-Technik (minimalinvasive Modifikation der seit 1881 bekannten Reverdin-Osteotomie) gelehrt. Dr. Theodore New, einer der amerikanischen Pioniere der minimalinvasiven Fußchirurgie, stellte dies gemeinsam mit OA Gunther Steinböck 1983 erstmals in Österreich vor. Von dieser „Akin-New“-Technik (Abschleifung der Exostose und varisierende Osteotomie der Grundphalanx) inspiriert, entwickelte Prof. Peter Bösch in den 1990er-Jahren die Bösch-Osteotomie (minimalinvasive Modifikation der Kramer-Osteotomie).1 Joel Vernois und David Redfern präsentierten 2013 die minimalinvasive Variante der Chevron-Osteotomie.2 In der Folge wurden auch weitere Indikationen für die minimalinvasive Vorfußchirurgie entwickelt.
Moderne minimalinvasive Vorfußchirurgie inkludiert die Korrektur von Hallux-valgus und -rigidus-Fehlstellungen, Metatarsus-V-Varus, Metatarsalgien und Kleinzehenfehlstellungen.
Technische Ausrüstung
Für die minimalinvasive Vorfußchirurgie benötigt man eine spezielle technische Ausrüstung: eine Fräse mit einem Motor mit hohem Drehmoment (80 N/cm) und hoher Drehzahl (3000 RPM), passend dazu Shannon-Fräsen mit unterschiedlichen Längen und Durchmessern, gerade und konisch, weiters ein Röntgengerät sowie Instrumente wie Skalpell, Raspatorium und Moskitoklemme.
Minimalinvasive Hallux-valgus-Korrektur
Die minimalinvasive Hallux-valgus-Korrektur hat historisch mit der minimalinvasiven reinen Abschleifung der „Pseudoexostose“ (New-Technik) begonnen.3 Diese hat natürlich nur das Symptom, aber nicht die Ursache behandelt. Man unterscheidet 1., 2. und 3. Generation der minimalinvasiven Hallux-valgus-Korrektur.
Unter der Generation 1 versteht man die New- und die Isham-Technik (Reverdin-Modifikation).4 Hier wird der Intermetatarsalwinkel nicht korrigiert und es wird auch kein Implantat verwendet.
Die Generation 2 besteht vor allem aus der Bösch-Technik1 und ihren Modifikationen, wie zum Beispiel die SERI-Technik nach Giannini.5 Hier werden perkutane Kirschner-Drähte zur Fixation verwendet.
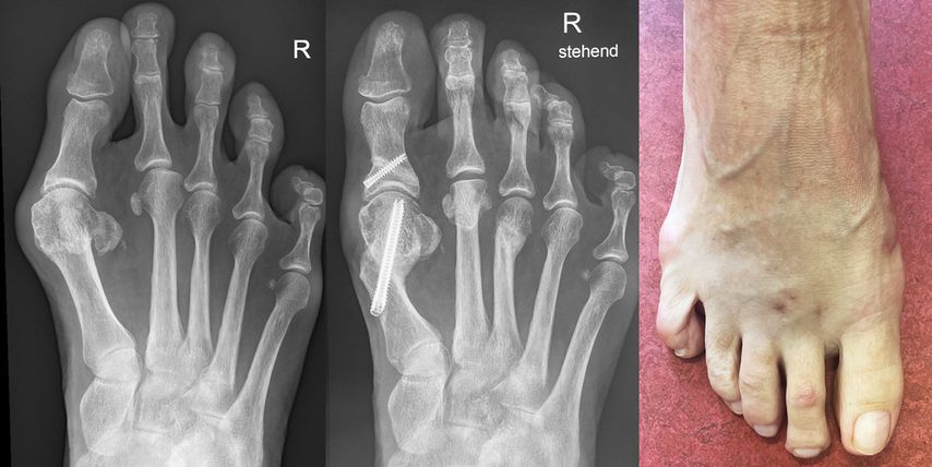
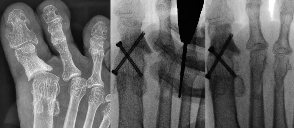
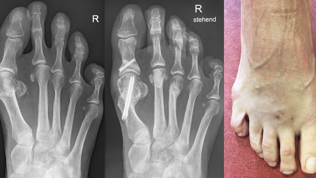
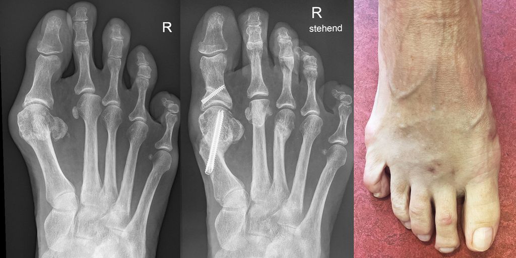
Unter der Generation 3 werden Modifikationen der Chevron-Osteotomie zusammengefasst, die per Stichinzision mittels Fräse durchgeführt werden. Fixiert wird mit kopflosen Schrauben. Redfern und Vernois bevorzugen hier sehr lange 3,5 mm- bzw. 4,0 mm-Schrauben, die von proximal medial am Metatarsale 1 in das Köpfchen eingebracht werden.2 Gerhard Kaufmann führt ebenfalls eine Osteotomie mit Fräse durch, fixiert aber weiter distal ähnlich wie bei der klassischen Chevron-Osteotomie (Abb. 1).
Vernois und Redfern präsentierten 100 Füße mit einem von 95% der Patienten als sehr gut und gut beurteilten Outcome.2 Gerhard Kaufmann publizierte 2020 seine Ergebnisse der minimalinvasiven Chevron-Osteotomie im Vergleich zur offenen Chevron-Osteotomie,6 mit Kontrollen nach 6 und 12 Wochen sowie 9Monaten und 5Jahren. Es gab keine Korrekturverluste zwischen den kurzfristigen und langfristigen Kontrollen, der Vergleich der Gruppen ergab keine Unterschiede. Jowett und Bedi analysierten 2017 die Lernkurve der minimalinvasiven Chevron-Osteotomie.7 Sie stellten eine steile Lernkurve fest. Palmanovich beschrieb 27 Patienten als notwendig, um die Lernkurve zu verlassen.8 Wenn die Technik beherrscht wird, so sind auch schwere Hallux-valgus-Fehlstellungen korrigierbar und vor allem Wundkomplikationen sind selten.
Auch die Akin-Osteotomie kann sehr einfach minimalinvasiv durchgeführt werden. Sie wird entweder mit einer Schraube oder aber einfach mit Tapes für 4 Wochen stabilisiert (Abb. 2).
Minimalinvasive Cheilektomie
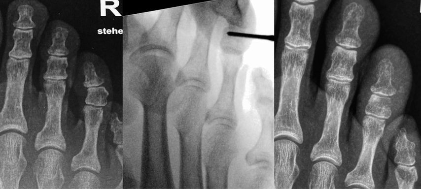
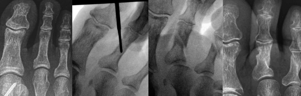
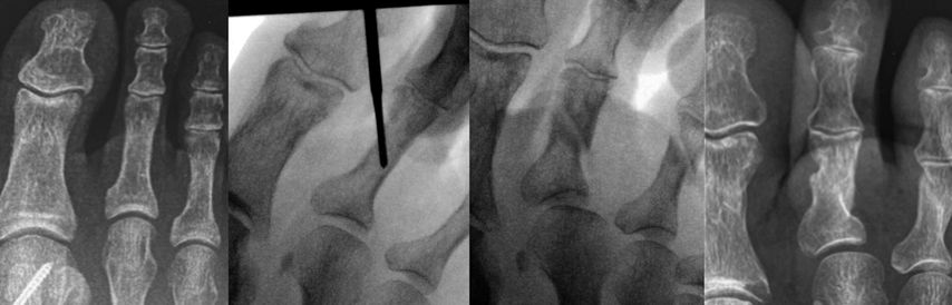
Unter entsprechender Lagerung mit Bildwandler erfolgt ein 1cm langer Hautschnitt dorsomedial ca. 3 cm proximal des Gelenkspaltes. Eventuell ist noch ein zweiter dorsolateraler Hautschnitt notwendig. Mit einem Raspatorium wird die Gelenkkapsel vom Knochen abgehoben. Der Osteophyt wird mit der Shannon-Fräse abgetragen. Knochenfragmente werden mit der Klemme entfernt und das Knochendebris wird ausgespült (Abb. 3).
Teoh et al.präsentierten 89 Patienten mit 98 behandelten Füßen.9 Die Schwellung hielt im Schnitt für 5,3 Wochen an. Der VAS wurde im Schnitt von 8,0 auf 3,0 verbessert. 12 Patienten wurden revidiert und bei 7 davon wurde auf eine Arthrodese gewechselt. Es gab 2 Wundinfekte und 2 Wundheilungsstörungen. Sidon10 und Glenn11 zeigten ähnlich positive Ergebnisse.
Stevensverglich die offene Cheilektomie mit der minimalinvasiven Cheilektomie.12 Die Analyse zeigte eine höhere Inzidenz von Reoperationen bzw. Komplikationen bei minimalinvasiver Cheilektomie. Die Patientenzufriedenheit und auch die postoperative Beweglichkeit sind nach minimalinvasiver Cheilektomie höher.
Minimalinvasive distale Metatarsalosteotomie (DMMO)
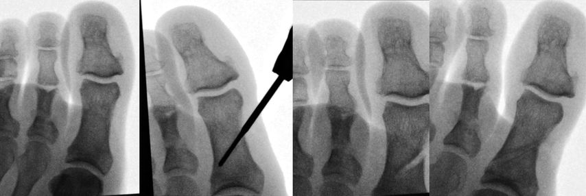
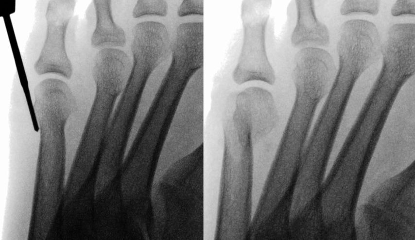
Aufgrund von Problemen mit der Helal- und der Weil-Osteotomie wurden minimalinvasive Techniken entwickelt. Schon 1991 beschrieb Whitedie minimalinvasive distale Metatarsalosteotomie („Distal Metaphyseal Metatarsal Osteotomy“, DMMO).13 Die Endposition des Metatarsalköpfchens wird durch den Zug der intakten Weichteile und die postoperative Vollbelastung diktiert. Vor allem de Prado, Redfern und Vernois haben diese Technik propagiert. Hier wird unter Zuhilfenahme einer minimalinvasiven Fräse mit hohem Drehmoment eine extraartikuläre Osteotomie des Metatarsales von proximal plantar nach distal dorsal durchgeführt. Das plantare Fragment wird unter Druck von distal nach proximal verschoben. Postoperative Zügelverbände gemeinsam mit dem intakten Weichteilmantel sollen die Osteotomie in der gewünschten Stellung stabilisieren (Abb. 4).
Johansen et al.14 präsentierten eine randomisierte Studie mit jeweils 30 Patienten. Die Komplikationsrate war bis auf das vermehrte Auftreten von hypertrophen Narben (0 vs. 9%) in der offenen Weil-Gruppe gleich. Die postoperative Bewegungseinschränkung, die „floating toe“ und eine Plantarflexions- bzw. Hyperextensionsfehlstellung traten bei der offenen Weil-Osteotomie häufiger auf. Die Operationszeit war bei der DMMO-Gruppe signifikant kürzer, dafür war die Röntgenbestrahlungszeit signifikant länger.
Krenn15 und Palmanovich8 zeigten in der Analyse ihrer ersten Patienten die Lernkurve dieser Technik auf und wiesen auf die Notwendigkeit von speziellen Operationskursen hin.
Die minimalinvasive Korrektur des Schneiderballens ist auch ohne Fixation mit der offenen Technik vergleichbar. Auch ohne Fixation werden gute Ergebnisse erzielt.
Minimalinvasive Korrektur des Schneiderballens (Metatarsus-V-Varus)
Der Schneiderballen oder Digitus-V-Varus wird in 3 Subtypen unterteilt. TypI ist ein breites Metatarsalköpfchen, TypII eine bogenförmige Verformung des Metatarsales 5 nach lateral und TypIII eine Deviation des Metatarsales 5 nach lateral mit Vergrößerung des Intermetatarsalwinkels 4/5.
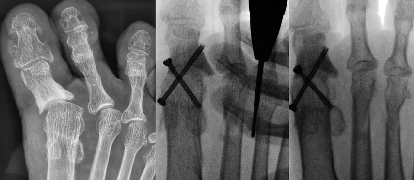
Zur Korrektur des Digitus-V-Varus stehen mehrere minimalinvasive Techniken zur Verfügung. Die Bösch-Osteotomie und deren Modifikationen, die minimalinvasive Chevron-Osteotomie, die DMMO (Abb. 5) und eine proximale minimalinvasive „Closing wedge“-Osteotomie.
Die Bösch-Osteotomie wurde 2007 erstmals von Legenstein beschrieben.1 Bei 77 Füßen konnten gute Resultate erzielt werden. Bei 4 Patienten kam es zu einer Infektion entlang des perkutanen Drahtes.
Minimalinvasive Osteotomien ohne Fixation wurden von Laffenetre16, Kurashige17 und Michels18 beschrieben. Ihre Ergebnisse sind ähnlich wie jene mit Drahtfixation, aber ohne die beschriebene Morbidität der Drahtfixation.5,19
Minimalinvasive Kleinzehenchirurgie
Bei der Korrektur der Kleinzehendeformitäten unterscheidet man zwischen Eingriffen an den Weichteilen und knöchernen Eingriffen.20 Eingriffe an den Weichteilen sind entweder Tenolysen oder Arthrolysen. Die infrage kommenden Sehnen sind die EDL(Extensor digitorum longus)-Sehne, die FDL(Flexor digitorum longus)- und die FDB(Flexor digitorum brevis)-Sehne. Kapsulotomien werden am Metatarsophalangealgelenk (MTP) dorsal, am proximalen Interphalangealgelenk (PIP) plantar und am distalen Interphalangealgelenk (DIP) durchgeführt.
Die Tenotomie der FDL- und der FDB-Sehne erfolgt jeweils medial oder lateral plantar über dem PIP- bzw. dem DIP-Gelenk. Die Zehe wird in Flexion gehalten und die Messerklinge parallel zur Unterfläche an die Basis der Mittelphalanx bzw. Endphalanx herangeführt. Die Klinge wird um 90° rotiert. Dadurch wird die Beugesehne durchtrennt. Zusätzlich muss meistens noch die Gelenkkapsel plantar perforiert werden, bis die Zehe im entsprechenden Gelenk gut gestreckt werden kann.
Die Tenotomie der EDL-Sehne erfolgt an der Streckseite. Auch hier wird die Messerklinge neben der Strecksehne parallel zum Fußrücken eingebracht und unter Drehung der Klinge die Sehne durchtrennt.
Die Kapsel des MTP-Gelenkes wird durch Perforation mit der Messerklinge von dorsal eröffnet.
Eine Hammerzehe oder auch mediale bzw. laterale Deviation kann mit perkutan durchgeführten Osteotomien mit der minimalinvasiven Fräse korrigiert werden. Bei einer Hammerzehenfehlstellung erfolgt nach Stichinzision unter der Basis der Grundphalanx bzw. dorsal an der Mittelphalanx, nach Abschieben der Weichteile mittels Elevatorium, mit der Fräse eine Kortikotomie unter Erhaltung der gegenüberliegenden Kortikalis. Dann kann durch Druck die Osteotomie geschlossen und damit die Korrektur erzielt werden. Falls über dem PIP-Gelenk noch eine Prominenz tastbar ist, wird diese über die dorsale Inzision mit der Fräse abgeschliffen.21,22
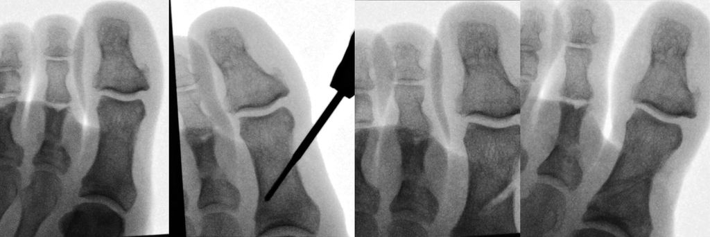
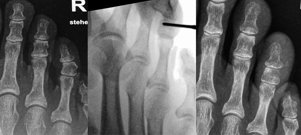
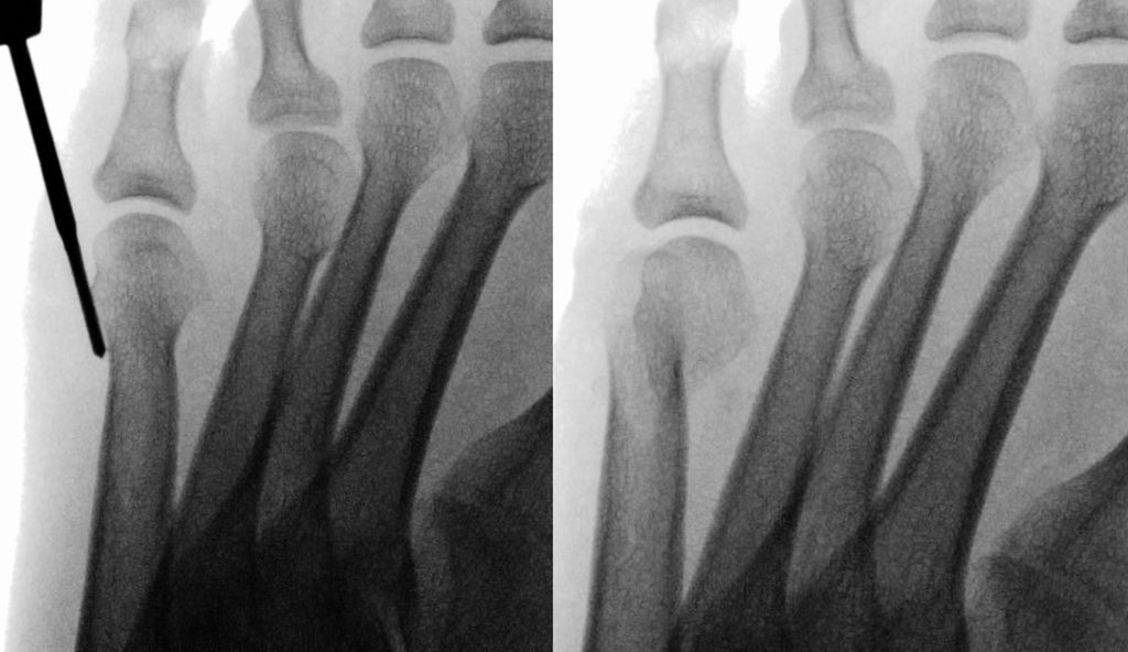
Isolierte Überlängen von Zehen können mit minimalinvasiven Osteotomien an der Grundphalanx sehr gut korrigiert werden (Abb. 6). Bei Fehlstellungen in der Transversalebene wird ebenfalls über eine Stichinzision in Höhe der Fehlstellung eine Kortikotomie durchgeführt und die Fehlstellung durch Schließen der Osteotomie korrigiert (Abb. 7).
Die Nachbehandlung erfolgt mit Tape-Zügeln im postoperativen Schuh.
Literatur:
1 Bösch P et al.: Hallux valgus correction by the method of Bösch: a new technique with a seven-to-ten-year follow-up. Foot Ankle Clin 2000; 5(3): 485-4vi 2 Vernois J, Redfern D: Percutaneous Chevron; the union of classic stable fixed approach and percutaneous technique. Fuß & Sprunggelenk 2013; 11(2): 70-5 3 Steinböck G, Leder K: [The Akin-New method for surgery of hallux valgus. 1-year results of a covered surgical method]. Z Orthop Ihre Grenzgeb 1988; 126(4): 420-4 4 Isham SA: The Reverdin-Isham procedure for the correction of hallux abducto valgus. A distal metatarsal osteotomy procedure. Clin Podiatr Med Surg 1991; 8(1): 81-94 5 Giannini S et al.: The minimally invasive osteotomy „S.E.R.I.“ (simple, effective, rapid, inexpensive) for correction of bunionette deformity. Foot Ankle Int 2008; 29(3): 282-6 6 Kaufmann G et al.: Five-year follow-up of minimally invasive distal metatarsal Chevron osteotomy in comparison with the open technique: a randomized controlled trial. J Bone Joint Surg Am 2020; 102(10): 873-9 7 Jowett CRJ, Bedi HS: Preliminary results and learning curve of the minimally invasive Chevron Akin operation for hallux valgus. J Foot Ankle Surg 2017; 56(3): 445-52 8 Palmanovich E et al.: MICA: a learning curve. J Foot Ankle Surg 2020; 59(4): 781-3 9 Teoh KH, Hariharan K: Minimally invasive distal metatarsal metaphyseal osteotomy (DMMO) of the fifth metatarsal for bunionette correction. Foot Ankle Int 2018; 39(4): 450-7 10 Sidon E et al.: Long-term follow-up of cheilectomy for treatment of hallux rigidus. Foot Ankle Int 2019; 40(10): 1114-21 11 Glenn RL et al.: Minimally invasive dorsal cheilectomy and hallux metatarsal phalangeal joint arthroscopy for the treatment of hallux rigidus. Foot Ankle Orthop 2021; 6(1): 2473011421993103 12 Stevens J et al.: Long-term effects of cheilectomy, Keller’s arthroplasty, and arthrodesis for symptomatic hallux rigidus on patient-reported and radiologic outcome. Foot Ankle Int 2020; 41(7): 775-83 13 White DL: Minimal incision approach to osteotomies of the lesser metatarsals. For treatment of intractable keratosis, metatarsalgia, and tailor’s bunion. Clin Pod Med Surg 1991; 8: 14 14 Johansen JK et al.: Clinical and radiological outcomes after Weil osteotomy compared to distal metatarsal metaphyseal osteotomy in the treatment of metatarsalgia-a prospective study. Foot Ankle Surg 2019; 25(4): 488-94 15 Krenn S et al.: Minimally invasive distal metatarsal metaphyseal osteotomy of the lesser toes: learning curve. Foot Ankle Spec 2018; 11(3): 263-8 16 Laffenetre O et al.: Percutaneous bunionette correction: results of a 49-case retrospective study at a mean 34 months’ follow-up. Orthop Traumatol Surg Res 2015; 101(2): 179-84 17 Kurashige T: Percutaneous bunionette correction without fixation: clinical results and radiographic evaluations including rotation of metatarsal head and sagittal angle change of fifth metatarsal. J Foot Ankle Surg 2021; 60(5): 1079-87 18 Michels F, Guillo S: Bunionette: is there a minimally invasive solution? Foot Ankle Clin 2020; 25(3): 425-39 19 Magnan B et al.: Percutaneous distal osteotomy of the fifth metatarsal for correction of bunionette. J Bone Joint Surg Am 2011; 93(22): 2116-22 20 Cordier G, Nunes GA: Minimally invasive advances: lesser toe deformities. Foot Ankle Clin 2020; 25(3): 461-78 21 Thomas M, Jordan M: [Minimally invasive correction of lesser toe deformities and treatment of metatarsalgia]. Oper Orthop Traumatol 2018; 30(3): 171-83 22 Mayer M, Suger G: Minimal-invasive percutane Korrekturen an Metatarsalia und Kleinzehen. Fuß & Sprunggelenk 2013; 11(2): 76-82
Das könnte Sie auch interessieren:
Frühe Unterwassertherapie nach totaler Hüft- und Knieendoprothese
Eine frühzeitige Durchführung der Unterwassertherapie mit wasserdichtem Folienverband ab dem vierten postoperativen Tag ist im Allgemeinen sicher, wirksam und ohne Nebenwirkungen.
Aktuelles zur anteromedialen Knieinstabilität
Kombinierte Verletzungen des medialen Kollateral- (MCL) und des vorderen Kreuzbandes (VKB) zählen zu den häufigsten multiligamentären Knieverletzungen. Bei vermeintlich isolierten VKB- ...
Arthroskopische Behandlung von Glenoidrandfrakturen
In der Literatur werden die Begriffe knöcherne Bankart-Läsion und Glenoidrandfraktur häufig synonym verwendet, obwohl sie sich hinsichtlich Pathomechanismus und Therapie deutlich ...