Moderne gelenkerhaltende Eingriffe zur Therapie des Hallux rigidus
Autoren:
Priv.-Doz. Dr. Madeleine Willegger, FEBOT1,2
Dr. Alastair Younger, MSc, ChM, FRCSC2
Dr. Andrea Veljkovic, MPH, BComm, FRCSC2
1 Klinische Abteilung für Orthopädie, Universitätsklinik für Orthopädie und Unfallchirurgie, Medizinische Universität Wien
2 Department of Orthopaedics, St. Paul’s Hospital, University of British Columbia, Vancouver, Canada
Korrespondierende Autorin:
Priv.-Doz. Dr. Madeleine Willegger, FEBOT
Sie sind bereits registriert?
Loggen Sie sich mit Ihrem Universimed-Benutzerkonto ein:
Sie sind noch nicht registriert?
Registrieren Sie sich jetzt kostenlos auf universimed.com und erhalten Sie Zugang zu allen Artikeln, bewerten Sie Inhalte und speichern Sie interessante Beiträge in Ihrem persönlichen Bereich
zum späteren Lesen. Ihre Registrierung ist für alle Unversimed-Portale gültig. (inkl. allgemeineplus.at & med-Diplom.at)
Eine fokussierte Anamnese, die klinische Untersuchung und die Analyse der belasteten Röntgenbilder gehen der Indikationsstellung zu einem gelenkerhaltenden Eingriff bei Hallux rigidus (HR) voraus. Sind schmerzhafte dorsale Osteophyten vorhanden, kann eine minimalinvasive Cheilektomie mit arthroskopischem Debridement des Großzehengrundgelenks (GZGG) durchgeführt werden. Der symptomatische HR mit Elevation des 1. Metatarsale (MT1) gibt die Indikation zur Umstellungsosteotomie am MT1 und/oder der proximalen Phalanx. Die generellen Ziele der gelenkerhaltenden Eingriffe sind primär die Schmerzlinderung, der Erhalt der Beweglichkeit im GZGG sowie die Etablierung einer verbesserten Biomechanik des Gelenkes. Perkutane und arthroskopisch assistierte Eingriffe und biomechanisch stabile Osteosynthesen ermöglichen postoperativ eine rasche Rehabilitation.
Keypoints
-
In der Abklärung des klinisch symptomatischen HR sind eine fokussierte klinische Untersuchung sowie belastete Röntgenaufnahmen des Fußes in 2 Ebenen (a/p und seitlich) notwendig.
-
Wenn Schmerzen in maximaler Dorsalextension des GZGG und im Mittelbereich des Gesamtbewegungsumfanges vorhanden sind, ist eine dekomprimierende Osteotomie am 1. Strahl indiziert.
-
Liegt eine Elevation des 1.Strahls vor, so sollte die Deformität mit entsprechenden Osteotomien korrigiert werden, um das ursprüngliche anatomische Alignment und die Biomechanik wiederherzustellen.
-
Bei fortgeschrittener symptomatischer GZGG-Arthrose, einem steifen GZGG oder plantaren Schmerzen im Bereich der Metatarso-Sesamoidalgelenke ist ein gelenkserhaltender Eingriff kontraindiziert.
-
Bei gelenkserhaltenden Eingriffen zur HR-Behandlung ist es essenziell, die Patienten darüber aufzuklären, dass langfristig eventuell ein erneuter chirurgischer Eingriff zur Versteifung des GZGG indiziert ist.
Hallux rigidus „in a nutshell“
Hallux rigidus (HR) ist eine Pathologie des Großzehengrundgelenks (GZGG) mit limitierter Beweglichkeit und Schmerzen, besonders bei Dorsalextension des GZGG.1,2 Typischerweise sind Patienten älter als 40 Jahre betroffen und es liegt eine weibliche Prädominanz von 2:1 in epidemiologischen Studien vor.3 Die Ätiologie ist umstritten.4,5 Als mögliche Auslöser gelten prädisponierende genetische Faktoren, traumatische Ereignisse inkl. Frakturen und osteochondraler Läsionen, Hallux valgus interphalangeus, eine Verkürzung des Gastrocnemius-Achillessehnenkomplexes, anatomische Variationen der Gelenkfläche des 1. Metatarsale (MT1), eine relative Überlänge des MT1, die Elevation des MT1 und die Instabilität des 1. Tarsometatarsalgelenks (TMT1) sowie Erkrankungen aus dem rheumatischen Formenkreis, z.B. Gichtarthritis, rheumatoide Arthritis und seronegative Arthritiden.6,7
Symptome wie Schmerzen, die bei Belastung aggravieren, und Gelenkssteife sind häufig assoziiert mit der Entstehung eines dorsalen Osteophyten am MT1, welcher zu einem knöchernen Impingement führt (struktureller Hallux rigidus). Bevor eine gelenkerhaltende operative Behandlung des HR indiziert wird, sollten eine fokussierte klinische Untersuchung und die Analyse des lateralen belasteten Röntgenbildes erfolgen.
Der Bewegungsumfang des GZGG sollte im nicht belasteten und im belasteten Zustand erfasst werden. Ein funktioneller Hallux rigidus ist eine separate Pathologie, welche gleichzeitig vorliegen kann. Dabei kommt es zur limitierten Dorsalextension des GZGG unter Belastung. Ursachen dafür sind entweder eine Elevation des MT1 und/oder eine zu hohe Spannung durch eine straffe Plantarfaszie und den Gastrocnemius-Soleus-Komplex.6,8 Schmerzen im Mittelbereich des Gesamtbewegungsumfanges und bei Kompression („Grind-Test“) deuten auf eine eventuell bereits fortgeschrittene Arthrose des GZGG hin.9 Durch die limitierte Dorsalextension des GZGG kommt es zu einem veränderten Abrollverhalten während des Gangzyklus mit vermehrter Außenrotation und Pronation des Fußes.
Die radiologische Abklärung beinhaltet belastete Röntgenaufnahmen des Fußes in a/p und seitlichem Strahlengang. CT und MRT haben keinen Stellenwert bei der Standardabklärung.
Nach Versagen der klassischen konservativen Maßnahmen mit Einlagenversorgung und Schuhen mit einer steifen Sohle, um die Dorsalextension des GZGG zu limitieren, richtet sich die operative Therapie nach der Symptomatik, nach den Erwartungen des Patienten, nach der radiologischen Evaluierung des 1.Strahls sowie nach dem Schweregrad der Arthrose.
Gelenkerhaltende oder auch bewegungserhaltende Eingriffe beinhalten Osteotomien rund um den 1.Strahl (MT1 und proximale Phalanx [PP]) sowie die Cheilektomie und die Arthrodese des TMT1. Der partielle Gelenksersatz mit einem synthetischen Knorpelimplantat (Cartiva®, Fa. Stryker) zeigte initial gute klinische Ergebnisse, Langzeitstudien fehlen jedoch.
Im Endstadium des HR mit fortgeschrittener Arthrose des GZGG ist die Versteifung des GZGG die Goldstandard-Therapie.
Die Patientenselektion ist ein Schlüsselfaktor bei jeglicher chirurgischen Behandlung des HR. Dieser Artikel konzentriert sich auf den Gelenkserhalt mittels minimal invasiver Cheilektomie sowie Osteotomien am 1. Strahl.
Perkutane arthroskopisch assistierte Cheilektomie
Die Cheilektomie (von griechisch „cheilos“ = Lippe) wurde erstmals 1959 von DuVries beschrieben und beinhaltet eine knöcherne Resektion des dorsalen Drittels der Gelenksfläche des MT1-Kopfes inklusive des dorsalen Osteophyten. Ebenso werden dorsale Osteophyten an der Basis der proximalen Phalanx entfernt.10 Ziel dieses Eingriffes ist die Schmerzlinderung durch Behebung des knöchernen dorsalen Impingements. Dementsprechend ist es wichtig, Patienten keine falschen Hoffnungen auf eine verbesserte Beweglichkeit zu machen.
Der „ideale“ Patient hat primär Symptome in Relation zu den dorsalen Osteophyten (auch „dorsal bunion“ genannt) und minimale bis milde radiologische Arthrosezeichen. Ein Nachtschmerz oder ein Schmerz in Ruhe sind negative prädiktive Faktoren für einen gelenkserhaltenden Eingriff. Schmerzen plantar im Bereich der Sesambeine deuten ebenfalls auf eine bereits bestehende Arthrose der Metatarso-Sesamoidalgelenke hin und werden sich nicht durch eine Cheilektomie verbessern.11
Die klassische Technik beinhaltet einen offenen dorsalen Zugang zum GZGG und eine Resektion des Knochens mit Meißel oder Säge. Die Raten an Patientenzufriedenheit sind hoch, die Arthrodeseraten im Langzeitverlauf niedrig.12
Die Anwendung von Knochenfräsen mit hohem Drehmoment und niedriger Geschwindigkeit sind gewebsschonend und ermöglichen perkutane Eingriffe am Fuß. Dementsprechend haben minimalinvasive Cheilektomie-Techniken in den letzten Jahren an Popularität zugenommen. Die Vorteile gegenüber der offenen Technik sind kleine Inzisionen, welche die operative Morbidität verringern, ein verbessertes kosmetisches Ergebnis und eine potenziell schnellere Remobilisierung. Die minimalinvasive Cheilektomie kann perkutan, arthroskopisch oder in Kombination mit der Fräse und der Gelenksspiegelung durchgeführt werden.13 Studien zeigen verbesserte „patient-reported outcomes“ (PROMS) mit vergleichbaren bis leicht erhöhten Komplikationsraten im Vergleich zur offenen Technik. Revisionsraten rangieren zwischen 8% und 12%.14–16 Dies wird vorranging durch die Lernkurve und Erfahrung des Chirurgen erklärt. Man muss auf eine ausreichende und komplette Resektion des Knochens achten. Weiters sind sensible Nerven (vor allem des dorsalen medialen Astes des N. peroneus superficialis) bei der Platzierung von arthroskopischen Portalen und perkutanen Zugängen in Gefahr.17
Die gleichzeitige Arthroskopie des GZGG während der perkutanen Cheilektomie bietet den Vorteil, dass Debris aus dem Gelenk suffizient und kontrolliert entfernt werden kann, die Resektion des Knochens kann besser beurteilt werden und der Knorpelstatus des Gelenks kann ebenfalls beurteilt werden.
Technik perkutane Cheilektomie
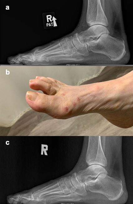
Abb. 1: 72-jährige Patientin mit Hallux rigidus und prominentem dorsalem Osteophyten mit guter Beweglichkeit im MTP-Gelenk: a) präoperatives Röntgenbild lateral belastend, b) 12 Wochen postoperativ nach perkutaner Cheilektomie; keine Schwellung, minimale Narben, c) Röntgenbild 12 Wochen postoperativ
Mit einer Beaver-Blade wird dorsal proximal zum palpablen Osteophyten und zentral über dem MT1 eine Inzision gesetzt. Dabei wird der Verlauf des sensiblen dorsomedialen Nervenastes beachtet. Mit dem Freer werden Weichteilgewebe abgeschoben und die Gelenkskapsel wird nach medial und lateral mobilisiert. Ein 2x20mm-Fräsenaufsatz wird eingebracht und die dorsale Cheilektomie durchgeführt. Ebenso wird der Osteophyt an der PP entfernt. Unter Röntgenkontrolle wird die Position der Fräse verifiziert. Nach Resektion des Knochens werden ein dorsomediales und dorsolaterales Portal zur GZGG-Arthroskopie gesetzt. Mit einer weichgewebeschonenden Technik wird eine 2.9-Optik eingeführt und mit einem 3.5-Shaver der Debris entfernt. Sind noch knöcherne Unebenheiten zu sehen, können diese unter direkter Visualisierung mit der Fräse entfernt werden (Abb. 1).
Osteotomien am 1. Strahl
Das Ziel der gelenkerhaltenden Osteotomien rund um das GZGG ist einerseits die Schmerlinderung, andererseits auch die Verbesserung der Beweglichkeit. Bei Patienten mit einer Gastrocnemius-Verkürzung in der klinischen Untersuchung kann eine Gastrocnemius-Rezession zusätzlich zu einer Umstellungsosteotomie durchgeführt werden.6
Prinzipiell können Osteotomien zur Behandlung des HR anhand der Lokalisation unterschieden werden: am MT1 distal und proximal, oder an der PP.
Die bekannteste und wahrscheinlich am meisten angewandte Osteotomie ist die Moberg-Osteotomie, die erstmals 1952 von Bonney und Macnab beschrieben wurde.18,19 Es handelt sich um eine dorsal zuklappende („closing wedge“) Osteotomie an der Basis der PP, welche den Bewegungsumfang des GZGG zugunsten der Dorsalextension verändert. Biomechanisch wird ebenso der Gelenksdruck nach plantar verschoben, ohne die Kontaktfläche der Gelenksfläche oder Spitzendrücke zu verändern.20 Da bei der Mehrzahl der HR-Patienten die Knorpelabnützung dorsal ist, entlastet die Moberg-Osteotomie den beschädigten Knorpel im GZGG.
Die Moberg-Osteotomie wird meist in Kombination mit einer Cheilektomie angewandt. Sie kann ebenfalls perkutan mit einer Knochenfräse durchgeführt und mit einer perkutanen Schraube fixiert werden. Klinische Studien der offenen Technik zeigten ausgezeichnete Ergebnisse mit 85% Patientenzufriedenheit.21
Beim Vorliegen eines HR zusammen mit einem Hallux valgus oder interphalangeus ist eine biplanare Osteotomie im Sinne einer Moberg-Akin-Osteotomie indiziert. Diese entlastet den dorsalen und lateralen Aspekt des GZGG und liefert verbesserte radiologische und klinische Ergebnisse.22,23
Die Grundsätze der Osteotomien am MT1 sind eine Plantarisierung des MT1-Kopfes, um die Elevation des 1.Strahls zu korrigieren, die Neuausrichtung und Reorientierung der Gelenksfläche sowie eine Verkürzung des MT1, um eine Dekompression des GZGG zu erzielen. Eine Vielzahl an Osteotomien, die in Lokalisation sowie Schnittführung variieren, wurde beschrieben. Die distalen Techniken kombinieren teilweise eine reorientierende dorsale „Closing wedge“-Osteotomie in der sagittalen Ebene mit einer Verkürzung (Waterman, Waterman-Green) mit oder ohne plantare Translation des distalen Fragments. Die Youngswick-Osteotomie ist der Chevron-Osteotomie ähnlich in der Schnittführung, es wird jedoch zusätzlich ein dorsales Scheibchen Knochen reseziert, was wiederum eine Plantarisierung und Verkürzung ermöglicht. Proximale Osteotomien sind plantar zuklappend („closing wedge“) und primär indiziert, wenn eine Elevation des MT1 ohne Zeichen von Arthrose vorliegt.6 Eine plantare „Closing wedge“-Osteotomie kann auch mit einer distalen dorsalen „Closing wedge“-Osteotomie kombiniert werden (Drago).
Wir bevorzugen eine plantare „Closing wedge“-Osteotomie, die mit einer Cheilektomie oder auch einer zusätzlichen Moberg-Osteotomie kombiniert werden kann (Abb. 2).
Abb. 2: 46-jähriger Patient mit einem symptomatischen Hallux rigidus mit Elevation des 1. Strahls und einer Gastrocnemius-Kontraktur: a) a/p-Röntgen (Rö) mit Gelenksspaltverschmälerung und Osteophyten, b) Laterales Röntgen zeigt eine Elevation des Metatarsale (MT) 1 (rot) in Relation zum MT 2 (gelb). Der operative Plan inkludierte eine endoskopische Gastrocnemius-Rezession, eine plantare flektierende und verkürzende plantare „Closing wedge“-Osteotomie des proximalen Metatarsale 1 sowie eine Cartiva®-Implantation, c) Intraoperatives laterales Rö zeigt die geplante plantare „Closing wedge“-Osteotomie, d) Resektion plantarer Kortex des MT1, e) Präparation und Implantation eines 10mm-Cartiva®-Implantates, f) intraoperatives a/p-Rö nach Osteosynthese mit winkelstabiler Platte und Cartiva®-Implantation, g), h) 2 Jahre postoperativ a/p- und laterales Rö. Eine Metallentfernung fand in der Zwischenzeit statt. Der Patient zeigt eine verbesserte plantarflektierte Position des MT1, ein kongruentes Gelenk mit guter Beweglichkeit und Schmerzfreiheit
Einen Überblick über die gängigsten Osteotomien finden Sie in Abbildung 3.
Abb. 3: Schematische Darstellung diverser gelenkserhaltender Osteotomien am ersten Strahl zur Hallux-rigidus-Behandlung
Klinische Studien sind aufgrund der Heterogenität und der vielen Modifikationen schwer zu vergleichen.4,24 Olof et al. untersuchten retrospektiv die Ergebnisse der Youngswick-Osteotomie bei 28 Patienten mit fortgeschrittenem HR. Nach einer Nachbeobachtungszeit von 5,7 Jahren berichteten 85% der Patienten ein zufriedenstellendes Ergebnis, wobei 75% dieser Patienten eine Verbesserung der Symptome um mehr als 90% bestätigten.25 Exzellente bis gute Patientenzufriedenheit wurde in einer Serie von 40 Patienten mit einer distalen MT1-verkürzenden „L-type“-Osteotomie mit einer Minimum-Nachuntersuchungszeit von 1 Jahr beschrieben. Die Beweglichkeit im GZGG verbesserte sich im Mittel um 42°.26
Die Transfermetatarsalgie ist jedoch eine bekannte Komplikation, die immer wieder als Langzeitfolge bei bis zu 15–25% der Patienten nach Umstellungsosteotomien des MT1 auftritt.27,28 Generell sollten stabile Osteosynthesen nach Umstellungsosteotomien verwendet werden, um eine rasche belastende Mobilisierung des Patienten zu ermöglichen, ohne die Knochenheilung zu kompromittieren.
Sind zentral bereits Knorpelschäden am Metatarsale vorhanden, so kann eine Hemi-Arthroplastik mit einem Cartiva®-Implantat (Fa. Stryker) durchgeführt werden (Abb. 2). Dieses zylinderförmige Implantat besteht aus Polyvinylalkohol (PVA). Es wird in das Metatarsaleköpfchen implantiert und dient als Platzhalter und neues Gleitlager.29
Eine prospektive, randomisierte „Non-inferiority“-Studie zeigte im direkten Vergleich zur MTP1-Arthrodese eine Konversionsrate zur Arthrodese bei 9% der Patienten innerhalb von 2 Jahren.30 Das Implantat ist bei ausgewählten Patienten eine gute Option zum Erhalt der Gelenksfunktion und zur Schmerzlinderung.
Literatur:
1 Cotterill JM: Stiffness of the great toe in adolescents. Br Med J 1887; 1: 1158 2 Shereff MJ, Baumhauer JF: Hallux rigidus and osteoarthrosis of the first metatarsophalangeal joint. J Bone Joint Surg Am 1998; 80: 898-908 3 Coughlin MJ, Shurnas PS: Hallux rigidus: demographics, etiology, and radiographic assessment. Foot Ankle Int 2003; 24: 731-43 4 Deland JT, Williams BR: Surgical management of hallux rigidus. J Am Acad Orthop Surg 2012; 20: 347-58 5 McMaster MJ: The pathogenesis of hallux rigidus. J Bone Joint Surg Br 1978; 60: 82-7 6 Shariff R, Myerson MS: The use of osteotomy in the management of hallux rigidus. Foot Ankle Clin 2015; 20: 493-502 7 Schuh R, Willegger M: Korrekturosteotomien – Vielleicht zu selten durchgeführt? Fuß & Sprunggelenk 2019; 17: 21-27 8 Maceira E, Monteagudo M: Functional hallux rigidus and the achilles-calcaneus-plantar system. Foot Ankle Clin 2014; 19: 669-99 9 Ho B, Baumhauer J: Hallux rigidus. EFORT Open Rev 2017; 2: 13-20 10 DuVries H: Surgery of the foot. St Louis: Mosby-Year Book. Inc: 1959 11 Walter R, Perera A: Open, arthroscopic, and percutaneous cheilectomy for hallux rigidus. Foot Ankle Clin 2015; 20: 421-31 12 Coughlin MJ, Shurnas PS: Hallux rigidus: grading and long-term results of operative treatment. JBJS 2003; 85: 2072-88 13 Schmid T, Younger A: First metatarsophalangeal joint degeneration: arthroscopic treatment. Foot Ankle Clin 2015; 20: 413-20 14 Cöster ME et al.: Patient-reported outcomes of joint-preserving surgery for moderate hallux rigidus: a 1-year follow-up of 296 patients from Swefoot. Acta Orthop 2020; 92: 109-13 15 Stevens R et al.: Comparison of complication and reoperation rates for minimally invasive versus open cheilectomy of the first metatarsophalangeal joint. Foot Ankle Int 2020; 41: 31-6 16 Teoh KH et al.: Clinical outcomes following minimally invasive dorsal cheilectomy for hallux rigidus. Foot Ankle Int 2019; 40: 195-201 17 Czerny K et al.: Arthroscopic accessibility of the first metatarsophalangeal joint for osteochondral defects of the metatarsal head by two-portal technique-comparing joint distraction and plantarflexion. Foot and Ankle Surgery 2022; 28: 1377-83 18 Bonney G, Macnab I: Hallux valgus and hallux rigidus: a critical survey of operative results. J Bone Joint Surg Br 1952; 34: 366-85 19 Moberg E: A simple operation for hallux rigidus. Clin Orthop Relat Res 1979; 142: 55-6 20 Kim PH-U et al.: Moberg osteotomy shifts contact pressure plantarly in the first metatarsophalangeal joint in a biomechanical model. Foot Ankle Int 2016; 37: 96-101 21 O’Malley MJ et al.: Treatment of advanced stages of hallux rigidus with cheilectomy and phalangeal osteotomy. JBJS 2013; 95: 606-10 22 Hunt KJ, Anderson RB: Biplanar proximal phalanx closing wedge osteotomy for hallux rigidus. Foot Ankle Int 2012; 33: 1043-50 23 Maes DJ et al.: Clinical and radiological outcomes of hallux rigidus treated with cheilectomy and a Moberg-Akin osteotomy. Foot Ankle Int 2020; 41: 294-302 24 Simpson GA et al.: Surgical strategies: hallux rigidus surgical techniques. Foot Ankle Int 2011; 32: 1175-86 25 Oloff LM, Jhala-Patel G: A retrospective analysis of joint salvage procedures for grades III and IV hallux rigidus. J Foot Ankle Surg 2008; 47: 230-6 26 Ceccarini P et al.: Outcome of distal first metatarsal osteotomy shortening in hallux rigidus grades II and III. Foot Ankle Int 2015; 36: 1469-74 27 Derner R et al.: A plantarflexory-shortening osteotomy for hallux rigidus: a retrospective analysis. J Foot Ankle Surg 2005; 44: 377-89 28 Dickerson JB et al.: Long-term follow-up of the Green-Watermann osteotomy for hallux limitus. J Am Podiatr Med Assoc 2002; 92: 543-54 29 Baumhauer JF et al.: Correlation of hallux rigidus grade with motion, VAS pain, intraoperative cartilage loss, and treatment success for first MTP joint arthrodesis and synthetic cartilage implant. Foot Ankle Int 2017; 38: 1175-82 30 Glazebrook M et al.: Midterm outcomes of a synthetic cartilage implant for the first metatarsophalangeal joint in advanced hallux rigidus. Foot Ankle Int 2019; 40: 374-83
Das könnte Sie auch interessieren:
Frühe Unterwassertherapie nach totaler Hüft- und Knieendoprothese
Eine frühzeitige Durchführung der Unterwassertherapie mit wasserdichtem Folienverband ab dem vierten postoperativen Tag ist im Allgemeinen sicher, wirksam und ohne Nebenwirkungen.
Aktuelles zur anteromedialen Knieinstabilität
Kombinierte Verletzungen des medialen Kollateral- (MCL) und des vorderen Kreuzbandes (VKB) zählen zu den häufigsten multiligamentären Knieverletzungen. Bei vermeintlich isolierten VKB- ...
Arthroskopische Behandlung von Glenoidrandfrakturen
In der Literatur werden die Begriffe knöcherne Bankart-Läsion und Glenoidrandfraktur häufig synonym verwendet, obwohl sie sich hinsichtlich Pathomechanismus und Therapie deutlich ...