Der proximale Humerusersatz bei malignen Knochentumoren
Autor:
Doz. Dr.Dietmar Dammerer, MSc, PhD
Universitätsklinik für Orthopädie und Traumatologie
Medizinische Universität Innsbruck
Sie sind bereits registriert?
Loggen Sie sich mit Ihrem Universimed-Benutzerkonto ein:
Sie sind noch nicht registriert?
Registrieren Sie sich jetzt kostenlos auf universimed.com und erhalten Sie Zugang zu allen Artikeln, bewerten Sie Inhalte und speichern Sie interessante Beiträge in Ihrem persönlichen Bereich
zum späteren Lesen. Ihre Registrierung ist für alle Unversimed-Portale gültig. (inkl. allgemeineplus.at & med-Diplom.at)
Der proximale Anteil des Humerus stellt eine Prädilektionsstelle für primär wie auch für sekundär maligne Knochentumoren dar.1–3 Die onkologisch-chirurgische Radikalität im Rahmen der Tumorresektion geht meist mit ausgeprägten Knochen- und Weichteildefekten einher, welche wiederum einer aufwendigen Rekonstruktion bedürfen. Der Einsatz von Megaprothesen stellt heutzutage die häufigste Rekonstruktionsmethode dar.4
Maligne Knochentumoren am Oberarm und Schultergelenk
Die operative Entfernung bzw. Stabilisierung des tumortragenden Knochens ist eine entscheidende Komponente im multimodalen Therapiekonzept von primären Knochentumoren und in der Therapie von Knochenmetastasen.4,5 Die chirurgische Radikalität unterscheidet sich jedoch in Anbetracht der vorliegenden Grunderkrankung entscheidend.
Der Einsatz von Megaprothesen in der orthopädisch-onkologischen Chirurgie stellt heutzutage die häufigste Rekonstruktionsmethode dar.4 Der Erhalt der Extremität hat sich insbesondere durch die Etablierung effektiver Chemotherapien und multimodaler Therapiekonzepter sowie durch die Zunahme an Behandlungen von Tumorpatienten an tertiären Tumorzentren gegenüber radikalen Operationsverfahren, wie z.B. der Amputation oder Exartikulation, durchgesetzt.4,5 Der Erhalt der oberen Extremität ist daher in der Mehrheit der Fälle möglich geworden und ablative Verfahren bleiben speziellen Indikationen und Ausnahmen vorbehalten.
Bei Infiltration des Gefäßnervenbündels ist ein Extremitätenerhalt aus onkologischen Gesichtspunkten nicht möglich.4–7 Der M. subscapularis schützt das Gefäßnervenbündel und kann somit in den meisten Fällen einen Erhalt der Extremität möglich machen,4 wobei eine Tumorinfiltration des Schultergelenks selbst oder der umgebenden Gelenkkapsel eine extraartikuläre Resektion notwendig macht. In einem solchen Fall wird das Glenohumeralgelenk geschlossen reseziert sowie eine Teilskapulektomie (ggf. totale Skapulektomie, Tikhoff-Linberg-Operation) durchgeführt. Infiltrationen der Thoraxwand sind selten und präsentieren sich klinisch als Verlust der Scapulaverschieblichkeit gegenüber der Thoraxwand.4 Das Präparat ist nach erfolgter Resektion zur weiteren Befundung an ein Institut für Pathologie zu delegieren. Ergänzenden rekonstruktiven Verfahren ist gegenüber mutilierenden Therapien, sofern es aus onkologischer Betrachtung verantwortbar ist, der Vorzug zu geben, um den Arm und die Hand als Greiforgan erhalten zu können.
Proximaler Humerusersatz
Der Literatur folgend sind die häufigsten Indikationen zur Resektion des proximalen Humerus primäre Knochentumoren wie das Osteosarkom, Ewingsarkom oder Chondrosarkom, gefolgt von Metastasen von soliden Tumoren oder Weichteilsarkomen mit Knochenaffektion.4–11
Nach erfolgter Tumorresektion sind meist umfassende rekonstruktive Verfahren notwendig.4,6,7 Nebst dem Einsatz von Tumorprothesen als Ersatz des Knochendefekts (Abb.1) kommen bei Kindern z.B. biologische Rekonstruktionen (z.B. gefäßgestielte Fibula oder bei kleineren Defekten Clavicula-pro-humero-Operation) zur Anwendung.5,7,9 Aus vorangegangenen Publikationen gehen jedoch hohe Komplikationsraten bei der Verwendung von Allografts oder Kompositallografts hervor, wodurch deren Verwendung zur Rekonstruktion nicht uneingeschränkt angeraten werden kann.6–10 Daher hat sich der Einsatz von modularen Prothesen zur Rekonstruktion knöcherner Defekte etabliert und durchgesetzt. Modulare Prothesensysteme (z.B. Mutars® der Fa. Implantcast, Buxtehude, Deutschland) bieten die Möglichkeit, Rekonstruktionslängen in 2cm-Schritten intraoperativ und individuell der Situation anpassen zu können (Abb.2).4 Am Schultergelenk und am proximalen Humerus haben diese Implantate einen geringeren Durchmesser, um eine Weichteildeckung zu erleichtern, und mithilfe eines z.B. Trevira-Anbindungsschlauches kann die Rotatorenmanschette refixiert werden.4–6
Abb. 1: Implantation eines proximalen Humerusersatzes. A) pathologische Fraktur bei Metastase eines Prostatakarzinoms; B) korrespondierende MRT-Bildgebung; C) anatomischer prox. Humerusersatz; D) Röntgenbild mit osteolytischer Raumforderung bei Chondrosarkom; E) korrespondierende MRT-Bildgebung G3; F) inverse Schulterprothese
Abb. 2: Tumorprothesensystem Mutars® der Fa. Implantcast: Darstellung der Systemmodularität (mit freundlicher Genehmigung der Fa. Implantcast)
Um eine möglichst zufriedenstellende Funktionalität erreichen zu können, sind eine kritische und präzise präoperative Planung der Resektion inklusive aktueller, lokaler Schnittbildgebung wie auch Staging-Untersuchungen essenziell.4–8 Wiederum ist zu erwähnen, dass einen wesentlichen Einfluss auf die Prothesenauswahl das Ausmaß des zu erwartenden Weichteildefektes, gleichwohl der Erhalt der Deltamuskelfunktion (N. axillaris) und die Möglichkeit der intraartikulären Resektion mit Refixation des Großteils der Rotatorenmanschette haben, wodurch zum Beispiel der Einsatz einer inversen Prothese ermöglicht wird, was einen funktionellen Vorteil gegenüber einer anatomischen Prothese bietet.11 In den meisten Fällen ist einer zementfreien Verankerung der Vorzug zu geben. Als Ausnahme sind jedoch Patienten mit reduzierter und eingeschränkter Lebenserwartung oder auch Patienten, die einer postoperativen Strahlentherapie zugeführt werden, anzuführen.4,7,9,11
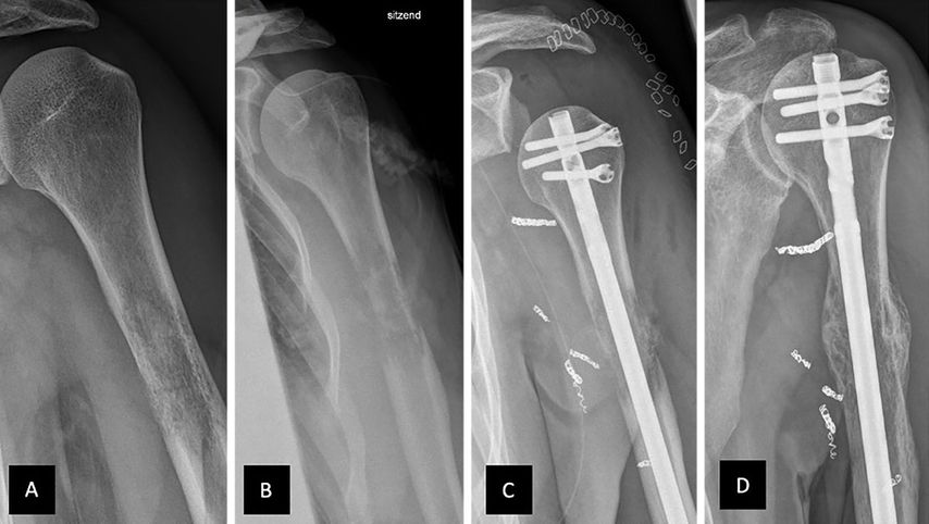
In der Metastasenchirurgie gelten in manchen Aspekten andere Voraussetzungen. Hierbei muss grundsätzlich zwischen einem palliativen und einem kurativen Setting unterschieden werden. Generell gilt neben der Tumorresektion als Zielsetzung die Verbesserung der Funktion und der Lebensqualität durch den chirurgischen Eingriff. Die Schmerzreduktion ist als obligat anzusehen. Osteosyntheseverfahren werden in der Behandlung von pathologischen Frakturen (Abb.3) eingesetzt, bieten jedoch bei destruiertem Humeruskopf meist keine ausreichende Stabilität, sodass eine modulare Prothese implantiert werden muss. Als Leitsatz in der Behandlung von Knochenmetastasen gilt, dass das Konstrukt der Versorgung den Patienten überleben sollte.
Abb. 3: Nagelosteosynthese bei Metastase eines Nierenzellkarzinoms. A,B) Metastase mit Destruktion der Kortikalis im Verlauf von ca. 4 Wochen; C) postoperatives Röntgenbild inkl. präoperativ eingebrachter Coils; D) 16 Wochen postoperativ bei Zustand nach Radiatio und guter Rekalzifizierung/Kallusbildung
Komplikationen
Als frühe postoperative Komplikationen sind oberflächliche und tiefe Wundinfekte sowie Implantatinfekte zu erwähnen.4,12,13 Lagerungsschäden der Nerven sind unbedingt zu vermeiden. Daher sollte besonderes Augenmerk darauf gelegt werden, dass es zu keiner Behinderung des venösen Abflusses (z.B. bei Flexionsstellung des Ellbogengelenks im Gilchrist-Verband) und dadurch zur Ausbildung eines stauungsbedingten Kompartmentsyndroms kommt. Nebst tiefen Implantatinfekten als später postoperativer Komplikation sind Materialversagen, -lockerung oder -bruch zu erwähnen.13 Diskonnektion und Bruch der modularen Steck-Konus-Verbindungen werden ebenso beschrieben.13 Bei unzureichender Stabilisierung des Schultergelenks (z.B. fehlender Rotatorenmanschette etc.) kann es zur Luxation, Kranialisierung des Armes und folglich einer Dislokation im Glenohumeral- bzw. im Neogelenk kommen.
Ergebnisse
Grundsätzlich muss zwischen onkologischem Outcome und dem funktionellen Ergebnis differenziert werden. Anhand mehrerer Studien konnte gezeigt werden, dass beim modularen proximalen Humerusersatz eine zufriedenstellende Funktionalität (Range of Motion, Patient Reported Outcome Measures, z.B. MSTS, DASH etc.) erzielt werden kann.4,12 Mit entscheidend sind die mögliche Refixation der Rotatorenmanschette, des M. deltoideus, M. pectoralis und gegebenenfalls des M. biceps humeri mit Rekonstruktion der Gelenkskapsel.4,12,13
Literatur:
1 Bielack S et al.: Osteosarcoma: the COSS experience. Cancer Treat Res 2019; 152: 289-308 2 Hage WD et al: Incidence, location, and diagnostic evaluation of metastatic bone disease. Orthop Clin North Am 2000; 31(4): 515-28 3 Schuck A et al.: Local therapy in localized Ewing tumors: results of 1058 patients treated in the CESS 81, CESS 86, and EICESS 92 trials. Int J Radiat Oncol Biol Phys 2003; 55(1): 168-77 4 Streitbürger A et al.: Proximaler Humerusersatz bei malignen Schultergelenktumoren. Oper Orthop Traumatol 2012; 24: 174-85 5 Gosheger G et al.: Endoprosthetic reconstruction in 250 patients with sarcoma. Clin Orthop Relat Res 2006; 450: 164-71 6 Gebhardt MC et al.: Osteoarticular allografts for reconstruction in the proximal part of the humerus after excision of a musculoskeletal tumor. J Bone Joint Surg Am 1990; 72(3): 334-45 7 Getty PJ et al.: Complications and functional outcomes of reconstruction with an osteoarticular allograft after intra-articular resection of the proximal aspect of the humerus. J Bone Joint Surg Am 1999; 81(8): 1138-46 8 Mankin HJ et al.: Long-term results of allograft replacement in the management of bone tumors. Clin Orthop Relat Res 1996; (324): 86-97 9 Potter BK et al.: Proximal humerus reconstruction for tumors. Clin Orthop Relat Res 2009; 467(4): 1035-41 10 Rödl RW et al.: Osteoarticular allograft in surgery for high-grade malignant tumours of bone. J Bone Joint Surg Br 2000; 82(7): 1006-10 11 Kassab M et al.: Twenty nine shoulder reconstructions after resection of the proximal humerus for neoplasm with a mean 7-year follow-up. Rev Chir Orthop Reparatrice Appar Mot 2005; 91(1): 15-23 12 Rödl RW et al.: Reconstruction of the proximal humerus after wide resection of tumours. J Bone Joint Surg Br 2002; 84(7): 1004-8 13 Hardes J et al.: Der Anbindungsschlauch zur Weichteilrekonstruktion nach Megaprothesenimplantation. Oper Orthop Traumatol 2012; 24: 227-34
Das könnte Sie auch interessieren:
Frühe Unterwassertherapie nach totaler Hüft- und Knieendoprothese
Eine frühzeitige Durchführung der Unterwassertherapie mit wasserdichtem Folienverband ab dem vierten postoperativen Tag ist im Allgemeinen sicher, wirksam und ohne Nebenwirkungen.
Aktuelles zur anteromedialen Knieinstabilität
Kombinierte Verletzungen des medialen Kollateral- (MCL) und des vorderen Kreuzbandes (VKB) zählen zu den häufigsten multiligamentären Knieverletzungen. Bei vermeintlich isolierten VKB- ...
Arthroskopische Behandlung von Glenoidrandfrakturen
In der Literatur werden die Begriffe knöcherne Bankart-Läsion und Glenoidrandfraktur häufig synonym verwendet, obwohl sie sich hinsichtlich Pathomechanismus und Therapie deutlich ...