Alles rund um die Hirnvenensinusthrombose
Autor*innen:
Dr. med. Paola Palazzo1
Dr. med. Kateryna Antonenko2
Dr. med. Arsany Hakim3
Prof. Dr. med. Mirjam R. Heldner2
1 Department of Clinical Neurosciences, Neurology Service, Stroke Centre, Lausanne University Hospital, Lausanne
2 Department of Neurology, Inselspital, Bern University Hospital, University of Bern
3 Institute of Diagnostic and Interventional Neuroradiology, Inselspital, Bern
University Hospital, University of Bern
Korrespondierende Autorin:
Dr. med. Paola Palazzo1
E-Mail: paola.palazzo@chuv.ch
Vielen Dank für Ihr Interesse!
Einige Inhalte sind aufgrund rechtlicher Bestimmungen nur für registrierte Nutzer bzw. medizinisches Fachpersonal zugänglich.
Sie sind bereits registriert?
Loggen Sie sich mit Ihrem Universimed-Benutzerkonto ein:
Sie sind noch nicht registriert?
Registrieren Sie sich jetzt kostenlos auf universimed.com und erhalten Sie Zugang zu allen Artikeln, bewerten Sie Inhalte und speichern Sie interessante Beiträge in Ihrem persönlichen Bereich
zum späteren Lesen. Ihre Registrierung ist für alle Unversimed-Portale gültig. (inkl. allgemeineplus.at & med-Diplom.at)
Besteht ein Ungleichgewicht zwischen prothrombotischen und thrombolytischen Prozessen, so kann es zur Bildung und Ausbreitung von Thromben in den zerebralen Venenstrukturen kommen. Das klinische Bild ähnelt in solchen Fällen zahlreichen anderen neurologischen Erkrankungen. Umso wichtiger ist eine ausführliche Diagnostik. Alles, was Sie darüber hinaus noch über Hirnvenensinusthrombosen wissen müssen, haben wir in diesem Übersichtsartikel für Sie zusammengefasst.
Keypoints
-
Die Hirnvenensinusthrombose ist eine seltene, aber unterschätzte Erkrankung.
-
Um die Prognose zu verbessern, sind eine sofortige Diagnose und eine ätiologische Abklärung unerlässlich.
-
Sobald die Diagnose bestätigt ist, muss eine therapeutische Antikoagulation eingeleitet werden. Eine ergänzende gezielte Behandlung der Ursache ist ebenfalls wichtig.
-
Eine langfristige Nachsorge wird empfohlen, um das Risiko für ein intra- und extrakranielles Rezidiv zu verringern.
Die Hirnvenensinusthrombose ist eine seltene, immer noch unterschätzte Form der zerebrovaskulären Erkrankung mit unterschiedlichen klinischen Erscheinungsformen. Sie wurde erstmals zu Beginn des 19. Jahrhunderts erkannt (Ribes 1825) und galt lange Zeit als infektiöse Erkrankung, die hauptsächlich den Sinus sagittalis superior betrifft, bilaterale oder wechselnde fokal-neurologische Defizite, epileptische Anfälle und Koma verursacht und häufig zum Tod führt. Damals wurde die Hirnvenensinusthrombose in der Regel bei selektionierten schweren Fällen in der Autopsie diagnostiziert und wies in der Regel hämorrhagische Läsionen auf, was als Kontraindikation für die Verwendung einer therapeutischen Antikoagulation galt (Barnett und Hyland 1953, Kalbag RM 1967).
Mit der Einführung der zerebralen Katheterangiografie in der zweiten Hälfte des 20. Jahrhunderts begann der verbreitete Einsatz von bildgebenden Verfahren, welche eine frühzeitige Diagnose einer Hirnvenensinusthrombose und ein besseres Verständnis dieser Krankheit ermöglichten.
Die Inzidenz von Hirnvenensinusthrombosen ist höher als bisher angenommen und wird auf etwa 1,3 bis 1,8 pro 100000 pro Jahr geschätzt (Coutinho, Zuurbier et al. 2012, Devasagayam, Wyatt et al. 2016, Kristoffersen, Harper et al. 2020). Bei Neugeborenen ist die Inzidenz höher, aber pädiatrische Hirnvenensinusthrombosen sind nicht Gegenstand dieses Übersichtsartikels. Die Inzidenz von Hirnvenensinusthrombosen bei Erwachsenen ist bei Frauen zwei- bis dreimal so hoch wie bei Männern und bei Patient*innen im Alter von 20 bis 50 Jahren am höchsten (Ferro, Canhão et al. 2004, Coutinho, Zuurbier et al. 2012).
Physiopathologie
Die Hirnvenensinusthrombose umfasst die durale Sinusthrombose und den Verschluss der kortikalen oder tiefen Venen. Am häufigsten haben venöse Gerinnsel ihren Ursprung in einem duralen Sinus und weiten sich auf kortikale Venen aus. Es können jedoch auch eine isolierte Thrombose kortikaler Venen (Abb. 1) sowie eine Thrombose in tiefen Venenstrukturen auftreten (Abb. 2).
Abb. 1: Eine 36-jährige Patientin stellte sich mit einem rechtsseitigen Hemisyndrom vor. Zweieinhalb Stunden nach Symptombeginn wurde eine MRT durchgeführt. Die kontrastverstärkte MR-Venografie (a) zeigte einen Füllungsdefekt in den kortikalen Venen auf der linken Seite (rote Pfeile). Die gekrümmte MPR der 3D-T2-SPACE-Sequenz (b) zeigt eine erweiterte kortikale Vene (rote Pfeile, im Vergleich zur normalen kontralateralen Vene, grüner Pfeil) und einen fehlenden «flow void». Die DWI (c) zeigt eine Diffusionseinschränkung aufgrund eines vasogenen Ödems (die ADC zeigte zunächst keine Hypointensität, nicht gezeigt). Die SWI (d) zeigte eine venöse Stauung im linken Frontallappen (oranger Kreis). Später entwickelte die Patientin in dieser Region ein intraparenchymales Hämatom (roter Kreis), wie auf der drei Tage später durchgeführten SWI zu sehen ist (e)
Abb. 2: Ein 44-jähriger Patient mit einer Covid-19-Infektion stellte sich mit Kopfschmerzen, Desorientierung und Schläfrigkeit vor. Die anfänglich durchgeführte CT (a) zeigte einen hyperdensen Sinus sagittalis superior (roter Kreis) und hyperdense innere Hirnvenen (rote Pfeile). Die MRT wurde 6 Stunden später durchgeführt, und in der koronaren FLAIR (b) wurden bilaterale Thalamusläsionen (orangefarbene Kreise) aufgrund eines vasogenen Ödems festgestellt, das auf dem ersten CT nicht zu sehen war. Die MR-Venografie (c) zeigte eine ausgedehnte Thrombose des oberflächlichen und tiefen Venensystems
Hirnvenensinusthrombosen werden durch ein systemisches oder lokales Ungleichgewicht der prothrombotischen und thrombolytischen Prozesse verursacht, die zur Bildung und Ausbreitung von Thromben in den zerebralen Venenstrukturen führen.
Zwei wichtige pathophysiologische Mechanismen tragen zum klinischen Erscheinungsbild der Hirnvenensinusthrombose bei (Stam 2005, Piazza 2012, Coutinho 2015). Erstens kann die Hirnvenensinusthrombose zu einem erhöhten venösen und kapillaren Druck führen. Die Anatomie des zerebralen venösen Systems verfügt oft über genügend Kollateralkreisläufe, um solche Druckänderungen auszugleichen (Gotoh, Ohmoto et al. 1993). Wenn jedoch die Rekrutierung von Kollateralwegen unzureichend gelingt, führt der progressive Anstieg des lokalen Venendrucks zu einer Abnahme der zerebralen Perfusion, was zu ischämischen Verletzungen und zytotoxischem Ödem führt. Zweitens verursacht ein hoher Venen- und Kapillardruck auch eine Störung der Blut-Hirn-Schranke mit einem vasogenen Ödem und einer Venen- und Kapillarruptur, die zu einer Parenchymblutung führt (Abb. 1). Der Verschluss der Hirnsinushöhlen blockiert auch den Transport des Liquors aus dem Subarachnoidalraum durch die Pacchioni-Granulationen in das venöse System. Die verminderte Liquorabsorption führt zu einer intrakraniellen Hypertonie, die die venöse und kapilläre Hypertonie verschlimmert und zu Parenchymblutungen sowie zur Bildung eines vasogenen und zytotoxischen Ödems beiträgt.
Risikofaktoren
Die Risikofaktoren für Hirnvenensinusthrombosen sowie für Venenthrombosen im Allgemeinen sind klassischerweise mit der Virchow-Trias von Blutstau, Veränderungen der Gefässwand und Veränderungen der Blutzusammensetzung verbunden. Dazu gehören genetische und erworbene hyperkoagulable Zustände, lokale Ursachen, Schwangerschaft und Wochenbett, Medikamente, Infektionen und andere systemische Erkrankungen (Ferro, Canhão et al. 2004, Dentali, Poli et al. 2012, Coutinho 2015, Silvis, Middeldorp et al. 2016). Einige dieser Risikofaktoren, wie z.B. Thrombophilien, sind Risikofaktoren für venöse Thromboembolien im Allgemeinen, während andere, wie z.B. ein Kopftrauma und lokale Infektionen (Abb. 3), spezifisch für Hirnvenensinusthrombosen sind. Diese Faktoren können bereits vor dem Auftreten einer Hirnvenensinus- thrombose bekannterweise vorhanden sein oder durch die Untersuchung der Ätiologie einer Hirnvenensinusthrombose aufgedeckt werden. Die Risikofaktoren für Hirnvenensinusthrombosen sind in Tabelle 1 zusammengefasst. Bei etwa 85% der Patient*innen mit Hirnvenensinusthrombose wird mindestens ein Risikofaktor festgestellt (Ferro, Canhão et al. 2004, Dentali, Poli et al. 2012).
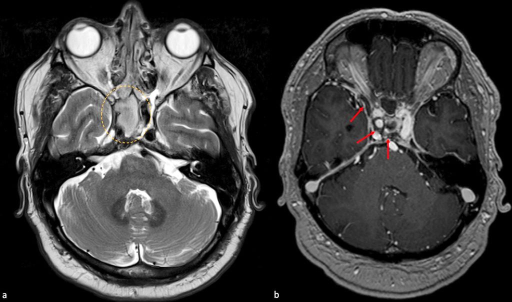
Abb. 3: 61-jähriger männlicher Patient mit Sinus-cavernosus-Thrombose. Der Patient stellte sich mit Kopfschmerzen, tränenden Augen und erhöhten infektiösen Parametern vor. Es wurde eine MRT durchgeführt, die eine Sinusitis zeigte (oranger Kreis in a). Die kontrastmittelverstärkte T1-Aufnahme (b) zeigte Füllungsdefekte im Sinus cavernosus sowie im Sinus sphenoparietalis (rote Pfeile)
Kürzlich wurde die seltene Assoziation von Hirnvenensinusthrombosen mit den beiden adenoviralen Vektorimpfstoffen gegen Covid-19 (1 Fall pro 100000 Impflinge für den ChAdOx1 nCoV-19-Impfstoff [AstraZeneca] und 1 pro 1000000 für den Ad26.COV2.S-Impfstoff [Johnson & Johnson/Janssen]) beschrieben. Dies hauptsächlich bei Frauen, begleitet von einer immunthrombotischen Thrombozytopenie, die durch plättchenaktivierende Antikörper gegen den Plättchenfaktor 4 vermittelt wird (Greinacher, Thiele et al. 2021, Sánchez van Kammen, Aguiar de Sousa et al. 2021). Darüber hinaus wurden Hirnvenensinusthrombosen bei 0,02% der Patient*innen mit einer Covid-19-Infektion festgestellt (Siegler, Cardona et al. 2021) (Abb .2).
Diagnose
Die Diagnose einer Hirnvenensinusthrombose basiert in der Regel auf dem klinischen Verdacht und der Bestätigung durch die zerebrale Bildgebung. Die Hirnvenensinusthrombose weist ein breites Spektrum an Anzeichen, Symptomen und Erscheinungsformen auf und ähnelt damit zahlreichen anderen neurologischen Erkrankungen. Die Symptome hängen mit zwei Mechanismen zusammen: einerseits mit einem erhöhten intrakraniellen Druck und andererseits mit Parenchymläsionen. Viele Patient*innen weisen klinische Befunde auf, die auf beide Mechanismen zurückzuführen sind, entweder bei der Vorstellung oder im Verlauf der Erkrankung.
Das häufigste, aber am wenigsten spezifische Symptom sind starke Kopfschmerzen, die bei etwa 90% der erwachsenen Patient*innen auftreten und in der Regel auf einen Anstieg des intrakraniellen Drucks zurückzuführen sind (Bousser, Chiras et al. 1985, Ferro, Correia et al. 2001, Ferro, Canhão et al. 2004, Stam 2005). Der Kopfschmerz ist in der Regel diffus und nimmt über einige Tage allmählich zu, kann sich aber auch als Donnerschlagkopfschmerz, der eine Subarachnoidalblutung imitiert (de Bruijn, Stam et al. 1996), oder als migräniform präsentieren (Cumurciuc, Crassard et al. 2005). Der Kopfschmerz kann mit Zeichen einer intrakraniellen Hypertension, einem Papillenödem, Erbrechen und einer Fazialisparese einhergehen.
Fokal-neurologische Defizite, typischerweise Hemiparese und Aphasie, entwickeln sich bei der Hälfte der Patient*innen mit Hirnvenensinusthrombose. Epileptische Anfälle treten bei bis zu 40% der Patient*innen auf, das ist ein weitaus höherer Prozentsatz als bei Patient*innen mit arteriellem Schlaganfall (Bousser, Chiras et al. 1985, Ferro, Correia et al. 2001, Ferro, Canhão et al. 2004). Die epileptischen Anfälle sind bei 50% der Patient*innen fokal, können sich aber zu einem Status epilepticus ausweiten.
Eine Hirnvenensinusthrombose kann sich auch als diffuse, subakute Enzephalopathie mit Verwirrung, Bewusstseinsstörung, Verhaltensauffälligkeiten und Mutismus präsentieren, die z.B. auf bilaterale Thalamusläsionen infolge einer Thrombose des tiefen Venensystems zurückzuführen ist (Abb. 2).
Ein seltenes, aber typisches klinisches Bild ist die Assoziation einer ipsilateralen Ptosis, Chemosis, Ophthalmoplegie, von sensorischen Defiziten des ophthalmischen und maxillären Astes des 5. Hirnnervs und Kopfschmerzen, die mit einer Thrombose des Sinus cavernosus einhergehen (Abb. 3).
Das klinische Bild wird durch das Alter der Patientin/des Patienten, die Zeit zwischen dem Auftreten der Erkrankung und der Aufnahme ins Spital, die Lokalisation der Hirnvenensinusthrombose und durch das Vorhandensein von Parenchymläsionen beeinflusst.
Bei Patient*innen mit Verdacht auf eine Hirnvenensinusthrombose sollte sofort eine Magnetresonanztomografie mit venösen Sequenzen oder, falls nicht verfügbar oder kontraindiziert, eine computertomografische Venografie durchgeführt werden (Saposnik, Barinagarrementeria et al. 2011, Ferro, Bousser et al. 2017). Eine Computertomografie ohne Kontrastmittel ist häufig normal, kann aber in 30% der Hirnvenensinusthrombosefälle Befunde zeigen, die auf eine Hirnvenensinusthrombose hindeuten, z.B. eine Hyperdensität einer kortikalen oder tiefen Vene (Abb. 2) oder eines Duralsinus («dense vein sign»/«dense clot sign» beziehungsweise «cord sign») (Abb.4), eine ischämische Läsion, die sich in einem venösen Territorium befindet (insbesondere mit einer hämorrhagischen Komponente) oder in unmittelbarer Nähe eines venösen Sinus liegt, oder, seltener, eine Subarachnoidalblutung (Abb. 5), die in der Konvexität lokalisiert ist (Saposnik, Barinagarrementeria et al. 2011). Die kontrastverstärkte Computertomografie mit venöser Phase zeigt einen Füllungsdefekt innerhalb der Vene oder des Sinus (Abb. 4) («empty delta sign») (Abb. 5). Die Kernspintomografie ist nicht nur hilfreich bei der Visualisierung des Gefässverschlusses, sondern auch bei der Erkennung von Thromben mit der Möglichkeit der Einschätzung des Thrombusalters (Abb. 6), der Visualisierung von parenchymatösen Läsionen mit höherer Genauigkeit als die Computertomografie (Abb. 2), der Erkennung eines erhöhten Hirndrucks, der Erkennung von Kollateralen und Rekanalisation, mit der Fähigkeit, verschiedene Pathologien mit ähnlicher klinischer Präsentation zu differenzieren, ohne den Einsatz ionisierender Strahlung. Die Kernspintomografie kann auch ohne Kontrastmittelanwendung durchgeführt werden (Abb. 7), wenn ein Kontrastmittel kontraindiziert oder unerwünscht ist, wie z.B. in der Schwangerschaft oder bei Niereninsuffizienz.
Abb. 4: 54 Jahre alter Patient mit Kopfschmerzen. Die sagittale Rekonstruktion des nativen CT (a) zeigt einen hyperdensen hinteren Teil des Sinus sagittalis superior («cord sign») sowie des Sinuskonfluenz (orange Pfeile) im Vergleich zur normalen Dichte des vorderen Teils des Sinus sagittalis superior (grüne Pfeile). Die CT-Venografie (b) zeigt einen Füllungsdefekt (rote Pfeile)
Abb. 5: Eine 68-jährige Patientin stellte sich mit zwei seriellen, fokal eingeleiteten sekundär generalisierten epileptischen Anfällen vor. Das native CT (a) zeigt ein «dens clot sign» (oranger Kreis) im Sinus sagittalis superior. Nach KM-Gabe (b) zeigt sich ein Füllungsdefekt («empty delta sign», roter Kreis). Es findet sich auch eine subarachnoidale Blutung auf der rechten Seite (rote Pfeile)
Abb. 6: Eine 30-jährige Patientin stellte sich mit Kopfschmerzen vor. Die MR-Venografie (a) zeigte eine Thrombose im linken Sinus transversus, Sinus sigmoideus und in der Vena jugularis (rote Pfeile). Der Thrombus (orange Kreise) ist leicht T1-hyperintens (b) und leicht T2-hypointens (c), was auf das Vorhandensein von Methämoglobin in der subakuten Phase zurückzuführen ist
Abb. 7: Ein 28-jähriger Patient mit Kopfschmerzen und Druckgefühl auf dem linken Ohr. Kein «flow void» in der sagittalen T2 SPACE (a) mit Darstellung eines intravaskulären Thrombus (oranger Kreis) im Sinus transversus. Der Fluss ist in der nativen MR-Venografie (b) in den betroffenen Segmenten (Sinus transversus und Sinus sigmoideus) nicht vorhanden (rote Pfeile)
Was Labortests betrifft, so sollte bei Patient*innen mit Verdacht auf eine Hirnvenensinusthrombose ein D-Dimer-Wert gemessen werden, um Patient*innen mit geringer Wahrscheinlichkeit für eine Hirnvenensinusthrombose zu identifizieren. Bei Patient*innen mit isolierten Kopfschmerzen und bei subakuter Symptomdauer (d.h. >1 Woche) (Saposnik, Barinagarrementeria et al. 2011, Ferro, Bousser et al. 2017) ist die Sensitivität für eine Hirnvenensinusthrombose allerdings maximal moderat. Wenn ein starker klinischer Verdacht auf eine Hirnvenensinusthrombose besteht, sollte ein normaler D-Dimer-Spiegel weitere Untersuchungen nicht ausschliessen, da auch in dieser Situation die Sensitivität für eine Hirnvenensinusthrombose nicht 100% ist (Kosinski, Mull et al. 2004, Saposnik, Barinagarrementeria et al. 2011). Darüber hinaus werden routinemässige Labortests und Gerinnungsuntersuchungen sowie eine vollständige Anamnese empfohlen, um die Suche der Ätiologie der Hirnvenensinusthrombose zu unterstützen.
Behandlung
Bei Patient*innen mit sub-/akuter Hirnvenensinusthrombose wird zu Beginn Heparin in therapeutischer Dosierung empfohlen, auch bei Patient*innen mit einer intrazerebralen Stauungsblutung (Saposnik, Barinagarrementeria et al. 2011, Ferro, Bousser et al. 2017). Gemäss den europäischen Leitlinien sollte hierbei niedermolekulares Heparin (LMWH) unfraktioniertem Heparin vorgezogen werden, ausser bei Patient*innen mit einer Kontraindikation für LMWH (z.B. Niereninsuffizienz) oder in Situationen, in denen eine schnelle Umkehrung der gerinnungshemmenden Wirkung erforderlich ist (z.B. bei Patient*innen, die sich einem neurochirurgischen Eingriff unterziehen müssen) (Ferro, Bousser et al. 2017).
Kommt es trotz therapeutischer Antikoagulation zu einer klinischen Verschlechterung, kann eine endovaskuläre Behandlung in Betracht gezogen werden (Saposnik, Barinagarrementeria et al. 2011). Darüber hinaus wird bei Patient*innen mit einer neurologischen Verschlechterung aufgrund eines schweren Masseneffekts und einer drohenden Hernie die Evaluation einer dekompressiven Operation empfohlen (Saposnik, Barinagarrementeria et al. 2011, Ferro, Bousser et al. 2017).
Die Therapie der Hirnvenensinusthrombose umfasst auch die Behandlung von Grunderkrankungen (d.h. Antibiotika und ggf. chirurgische Drainage bei Infektionen, spezifische Behandlung von Autoimmunerkrankungen usw.) sowie die Kontrolle von Kopfschmerzen. Bei Vorliegen eines epileptischen Anfalls wird eine anfallsunterdrückende Behandlung empfohlen, um wiederkehrende epileptische Anfälle zu verhindern. Östrogenhaltige hormonelle Verhütungsmittel und Hormonersatztherapie müssen gestoppt werden.
Wenn sich der Zustand der Patient*innen verbessert oder stabilisiert, wird die therapeutische Heparinbehandlung durch orale Antikoagulanzien (Vitamin-K-Antagonisten oder direkte orale Antikoagulanzien) für einen variablen Zeitraum (3–12 Monate) nach der Hirnvenensinusthrombose ersetzt, zur Verhinderung des Wiederauftretens von Hirnvenensinusthrombosen und von anderen venösen thromboembolischen Ereignissen. Patient*innen mit rezidivierenden venösen Thrombosen oder mit einer begleitenden prothrombotischen Erkrankung mit hohem Thromboserisiko benötigen möglicherweise eine dauerhafte therapeutische Antikoagulation.
Prognose
Bei optimaler Behandlung ist die Prognose der Hirnvenensinusthrombose auch in anfänglich schweren Fällen oft günstig. Dennoch sterben etwa 15% der Patient*innen mit Hirnvenensinusthrombose oder werden nach einer Hirnvenensinusthrombose pflegebedürftig (Ferro, Canhão et al. 2004, Dentali, Gianni et al. 2006). Der Tod ist hauptsächlich auf eine Herniation und auf zugrunde liegende Erkrankungen zurückzuführen. Zu den Prädiktoren für die Sterblichkeit gehören Malignität, Koma bei Spitaleintritt, eine tiefe Venenthrombose, mentale Auffälligkeiten bei Spitaleintritt, männliches Geschlecht und eine intrakranielle Blutung bei Spitaleintritt (Ferro, Bacelar-Nicolau et al. 2009). Es wurde ein klarer Trend zu einer sinkenden Sterblichkeit im Laufe der Zeit beobachtet, was wahrscheinlich auf Fortschritte in der Behandlung, eine Verschiebung der Risikofaktoren und die Identifizierung auch weniger schwerer Fälle zurückzuführen ist (Coutinho, Zuurbier et al. 2014).
Nach einer ersten Hirnvenensinus- thrombose wird das Risiko für venöse thrombotische Ereignisse auf 2–3% für eine neue Hirnvenensinusthrombose und auf 3–8% für extrakranielle Ereignisse geschätzt (Ferro, Canhão et al. 2004, Gosk-Bierska, Wysokinski et al. 2006, Martinelli, Bucciarelli et al. 2010, Palazzo, Agius et al. 2017). Zu den Faktoren, die mit dem Rezidivrisiko assoziiert sind, gehören frühere Venenthrombosen, Krebs, bösartige Hämopathien oder eine JAK2-Mutation, männliches Geschlecht und eine unbestimmte Ätiologie der Hirnvenensinus- thrombose.
Patient*innen, deren Hirnvenensinus- thrombose durch Hormonpräparate begünstigt wird, scheinen ein geringeres Risiko für neue venöse thrombotische Ereignisse nach Absetzen des Östrogens zu haben als Patient*innen mit anderen Risikofaktoren oder als Patient*innen, deren Ätiologie der Hirnvenensinusthrombose nicht erkannt wurde.
Literatur:
1 Dentali F et al.: Long-term outcomes of patients with cerebral vein thrombosis: a multicenter study. J Thromb Haemost 2012; 10(7): 1297-302 2 Ferro JM et al.: Prognosis of cerebral vein and dural sinus thrombosis: results of the International Study on Cerebral Vein and Dural Sinus Thrombosis (ISCVT). Stroke 2004; 35(3): 664-70 3 Saposnik G et al.: Diagnosis and management of cerebral venous thrombosis: a statement for healthcare professionals from the American Heart Association/American Stroke Association. Stroke 2011; 42(4): 1158-92 4 Silvis SM et al.: Risk factors for cerebral venous thrombosis. Semin Thromb Hemost 2016; 42(6): 622-31
Weitere Literatur bei den Verfassern
Das könnte Sie auch interessieren:
Historische Momente aus Wiener urologischen Abteilungen
Der 51. Österreichische Urologenkongress in der Messe Wien vom 22. bis 25.5.2025, veranstaltet zusammen mit der bayrischen Schwestergesellschaft, fokussierte nicht nur wichtige ...
Zytoreduktive Nephrektomie im Jahr 2025 – ein evidenzfreier Raum?
Die zytoreduktive Nephrektomie (CN) ist heutzutage weiterhin ein fester Bestandteil der Therapie des metastasierten Nierenzellkarzinoms (mRCC). Doch ob und wann ein Patient einer CN ...
Blasenerhalt trotz BCG-Versagen bei High-Risk-Tumoren: intravesikale Strategien heute und morgen
Standard bei BCG-Versagen beim nichtmuskelinvasiven Blasenkarzinom ist die radikale Zystektomie. Alternativen mit Gemcitabin oder Mitomycin sind onkologisch unterlegen. Neue Ansätze wie ...