Primäre versus sekundäre Frakturendoprothetik am Kniegelenk
Autoren:
Dr. Martin Etschmaier1
Dr. Angelika Schwarz1
Priv.-Doz. Dr. Maximilian Zacherl, MA1
MR Dr. Michael Plecko1
Univ.-Prof. Dr. Christian Kammerlander2
1 Abteilung für Orthopädie und Traumatologie, AUVA-Unfallkrankenhaus Steiermark, Graz
2 Ärztlicher Direktor, AUVA-Unfallkrankenhaus Steiermark, Graz und Kalwang
Korrespondierender Autor:
Dr. Martin Etschmaier
E-Mail: martin.etschmaier@auva.at
Vielen Dank für Ihr Interesse!
Einige Inhalte sind aufgrund rechtlicher Bestimmungen nur für registrierte Nutzer bzw. medizinisches Fachpersonal zugänglich.
Sie sind bereits registriert?
Loggen Sie sich mit Ihrem Universimed-Benutzerkonto ein:
Sie sind noch nicht registriert?
Registrieren Sie sich jetzt kostenlos auf universimed.com und erhalten Sie Zugang zu allen Artikeln, bewerten Sie Inhalte und speichern Sie interessante Beiträge in Ihrem persönlichen Bereich
zum späteren Lesen. Ihre Registrierung ist für alle Unversimed-Portale gültig. (inkl. allgemeineplus.at & med-Diplom.at)
Komplexe Frakturen im Bereich des Kniegelenks stellen insbesondere bei schlechter Knochenqualität erschwert therapierbare Verletzungsmuster dar. Trotz stetiger Verbesserung der Implantate und Optimierung der OP-Techniken ist das Management dieser Situationen komplex und wird in der Literatur teils kontrovers diskutiert.2,8,18
Keypoints
-
Die primäre Versorgung mittels ORIF bedingt eine Verlängerung der summarischen Dauer des Krankenhausaufenthalts und macht die Entlastung des betroffenen Beins notwendig.
-
Dies führt zu einer Erhöhung der Rate an Komplikationen, wie zum Beispiel thromboembolischen Ereignissen und nosokomialen Infektionen.
-
Die primäre Prothesenversorgung ermöglicht eine frühzeitige Vollbelastung und vermeidet die Risiken eines sekundären Eingriffs.
-
Langzeitergebnisse und große Patientenkollektive gibt es noch nicht.
Bei hochgradigen Abnützungserscheinungen des Kniegelenks stellt die Implantation einer Kniegelenkstotalendoprothese die Therapie der Wahl dar. Dies ist durch zahlreiche Studien mit guten kurz- und längerfristigen Ergebnissen untermauert.14 Somit hat diese therapeutische Option mittlerweile einen entsprechend wichtigen Stellenwert in der Orthopädie erlangt.
Die endoprothetische Versorgung spielt in Industrienationen eine bedeutende Rolle, vor allem dort, wo der Anteil älterer Bevölkerungsschichten kontinuierlich zunimmt. Die Zahl der implantierten Kniegelenksprothesen hat in den letzten Jahren in den meisten europäischen Ländern rapide zugenommen. Beispielsweise stieg im Vereinigten Königreich die Rate an Knieprothesen seit 2000 um 112%.15
Neben der Hauptindikation der primären Arthrose gewinnt die Frakturtotalendoprothetik zunehmend an Bedeutung. Für kniegelenksnahe Frakturen gibt es allerdings nur wenig Literatur, die sich mit der Thematik der primären Prothetik beschäftigt.1,2,4,6,8,16,17 Für Patienten mit vorbestehender Arthrose werden in der Fraktursituation hingegen gute Ergebnisse berichtet.16,18
Kniegelenksnahe Frakturen zählen allgemein zu einem seltenen Verletzungsbild, weisen jedoch bei älteren Patienten eine steigende Inzidenz auf.3 Das zugrundeliegende Trauma ist meistens niedrigenergetisch und die Patienten weisen größtenteils eine vorbestehende Osteoporose sowie eine Vielzahl an zusätzlichen Nebenerkrankungen auf. Auch die Frakturmuster sind bei schlechter Knochenqualität meistens sehr komplex und beinhalten oftmals große Defekte der Knochensubstanz und/oder der Gelenksflächen.16
Aufgrund des Vorliegens multipler Risikofaktoren, wie Alter, Begleiterkrankungen und Osteoporose, in Kombination mit einer komplexen Frakturkonstellation wird bei 30–79% der Fälle ein Repositionsverlust beschrieben. Dieser geht häufig mit einem Funktionsverlust und der Notwendigkeit eines Revisionseingriffes einher. Weiters stellt das durchzuführende Nachbehandlungsschema bei diesem schwierigen Patientenkollektiv mit oftmals kognitiver und/oder körperlicher Beeinträchtigung eine entsprechende Problematik dar.16
Die Hauptvorteile der primären Endoprothetik liegen darin, die Gelenksfunktion zu erhalten und den Patienten eine sofortige Wiederaufnahme der Vollbelastung zu ermöglichen. Wie auch in der Schulter- und Ellbogenchirurgie durch gute und zufriedenstellende Daten untermauert,7,12,13 gewinnt der Gelenksersatz mittels primärer Frakturprothetik auch am Knie zunehmend an Bedeutung. Vielversprechende Resultate wurden in der rezenten Literatur berichtet,1,2,4,6,8,16,17 wenngleich Vergleichsergebnisse, Level-1-Studien, langfristige Beobachtungszeiträume und große Fallzahlen bis dato fehlen.
Material und Methoden
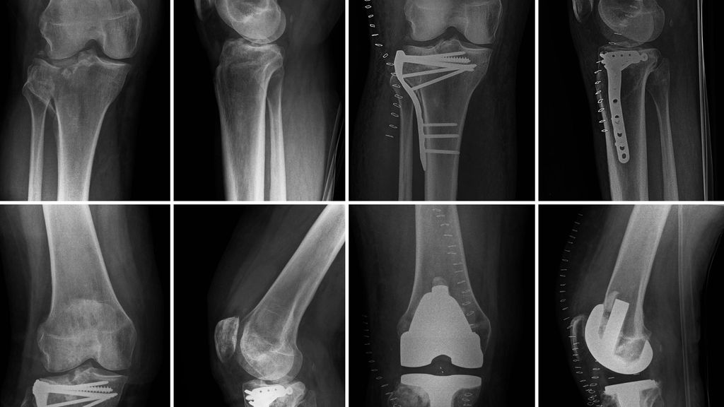
Abb. 1: a, b) 74-jährige Patientin mit Fraktur des lateralen Tibiakondyls und subkapitaler Fibulafraktur, c, d) postoperative Kontrolle nach Implantation einer primären Knieendoprothese 10 Tage posttraumatisch
In einer retrospektiven Single-Center-Studie wurden alle Knie-TEP-Implantationen unserer Klinik im Zeitraum von 2006–2017 mit einem Mindest-Follow-up von 2 Jahren nachuntersucht und analysiert. Es wurden 15 Frakturprothesen am Kniegelenk ausgehoben, von denen 12 Patienten für die Studienuntersuchung rekrutiert werden konnten.
Das Ziel der Studie war ein Vergleich von primärer und sekundärer Frakturprothetik, wofür zwei Studiengruppen gebildet wurden:
-
Gruppe 1 – primäre Frakturprothesen
-
Gruppe 2 – sekundäre Frakturprothesen
Als primäre Versorgung innerhalb der Gruppe 1 wurde ein Zeitraum zwischen dem Unfallereignis und der operativen Versorgung mittels Totalendoprothese von maximal zehn Tagen festgelegt. Gruppe 2 wurde primär mit einem osteosynthetischen Verfahren und sekundär mittels Implantation einer Totalendoprothese versorgt; eine Zeitspanne von mindestens 8 Wochen wurde definiert. Drei Patienten konnten nicht erreicht und daher nicht eingeschlossen werden. Das funktionelle Outcome wurde mittels Range of Motion (ROM) evaluiert und statistisch interpretiert. Zudem wurde die Dauer der Hospitalisation aus sozioökonomischer Sicht interpretiert (Abb. 1, 2).
Abb. 2: a, b) 62-jähriger Patient mit Fraktur des lateralen Tibiakondyls, c, d) Zustand nach Osteosynthese, e, f) Einsinken des lateralen Tibiaplateaus sechs Wochen postoperativ, g, h) postoperative Kontrolle nach Implantation einer sekundären Knieendoprothese 6 Monate posttraumatisch
Ergebnisse
Gruppe 1 beinhaltet zwei distale Femurfrakturen und zwei proximale Tibiafrakturen. Es wurden zwei gekoppelte und zwei teilgekoppelte Prothesen implantiert.
Gruppe 2 besteht aus einer Femurfraktur und sieben Tibiafrakturen. In dieser Gruppe wurden eine gekoppelte, fünf teilgekoppelte und zwei kreuzbanderhaltende Prothesen implantiert.
Das mittlere Follow-up betrug in Gruppe 1 61 Monate (SD: 39,3), in Gruppe 2 54 Monate (SD: 40,7). Die operative Revision in Gruppe 2 erfolgte nach durchschnittlich 24 Wochen (SD: 23,1).
Nach primärer Frakturendoprothetik wurden keine gravierenden Komplikationen erhoben. In der Gruppe der Sekundärendoprothesen musste eine gravierende Komplikation objektiviert werden (p=0,481). Bei einer zum Zeitpunkt der Erstoperation 55-jährigen Patientin kam es zu folgendem postoperativen Verlauf: Nach initialer Osteosynthese wurde aufgrund einer sekundären Dislokation und Nachsinterns die Indikation zur sekundären Frakturprothetik vier Monate nach Erstoperation gestellt. Postoperativ entwickelte sich ein Weichteilhämatom, welches operativ ausgeräumt wurde. Aufgrund eines Low-Grade-Infekts wurde vier Jahre nach Erstimplantation vorerst ein Spacer implantiert. Nach Abklingen der Infektsituation erfolgte nach drei Monaten die Definitivversorgung mittels Arthrodesenagels.
In der frühen postoperativen Phase zeigte sich in der Gruppe 1 zum Zeitpunkt der Nahtentfernung nach Prothesenimplantation ein Extensionsdefizit von durchschnittlich 8,7° (SD: 4,78) im Vergleich zu 6,8° (SD: 5,9) in Gruppe 2 (p=0,523). Die Flexion in Gruppe 1 betrug frühfunktionell durchschnittlich 64° (SD: 4,8) im Vergleich zu 86° (SD: 19,5) in Gruppe2 (p=0,049).
Im Langzeitoutcome fand sich jedoch kein statistisch signifikanter Unterschied zwischen den beiden Gruppen im Bewegungsumfang des Kniegelenks. Ebenso zeigte sich kein signifikanter Unterschied in Bezug auf die postoperative stationäre Aufenthaltsdauer unmittelbar nach dem prothetischen Eingriff. Konsekutiv fiel die summarische Dauer des Krankenhausaufenthaltes bei den Patienten mit erst sekundärer Frakturendoprothese jedoch signifikant höher aus (Tab.1).
Diskussion
Die Literaturrecherche ergab nur wenige Artikel, die sich mit diesem Themengebiet beschäftigen.1,2,4,6,8,10,16–18 Wie auch in unserer Studie wurde meist nur ein kleines Patientenkollektiv untersucht und die Frakturtypen wurden nicht weiter differenziert. Ebenso wurden in den Arbeiten viele unterschiedliche Zielparameter deklariert, was einen Vergleich der Ergebnisse untereinander deutlich erschwert.
Als postoperatives Behandlungsziel sollte bei komplexen Patientenfällen generell ein stabiles und funktionsfähiges Gelenk angestrebt werden. Anhand der oben genannten Literaturdaten können vier Hauptindikationen zur Frakturtotalendoprothese unter Einhaltung der Prinzipien der (Revisions-)Prothetik definiert werden:
-
Ältere Patienten mit vorbestehender (symptomatischer) Arthrose im Endstadium
-
Ältere Patienten mit schwerer artikulärer und metaphysärer Destruktion
-
Pathologische Frakturen des distalen Femurs und/oder der proximalen Tibia
-
Hochgradige Osteoporose und/oder vollständige Zerstörung des distalen Femurs und/oder der proximalen Tibia
Pasurka et al. konnten bei der retrospektiven Nachuntersuchung von 16 Patienten nach primärer Prothesenversorgung eine raschere Mobilisationsfähigkeit und einen größeren Bewegungsumfang feststellen.9
Eine Multi-Center-Studie, durchgeführt von der französischen Hip and Knee Society, berichtete von 26 Patienten, die nach kniegelenksnaher Fraktur mit einer primären totalen Knieendoprothese versorgt wurden. Postoperativ konnte eine gute ROM wiederhergestellt werden, der Parker-Score reduzierte sich im Durchschnitt jedoch um 1,7 Punkte. Sechs Patienten erlitten eine generelle und vier Patienten eine lokale prothesenassoziierte Komplikation.8
Tapper et al. untersuchen 22 Patienten nach primärer Implantation einer Knieprothese bei Tibiaplateaufraktur. 14 von 17 Patienten waren mit dem postoperativen Ergebnis zufrieden und elf von 17 zeigten eine ähnliche oder bessere Beweglichkeit als vor dem Trauma.17
Zu ähnlichen Ergebnissen kamen auch Abdelbadie et al. Die Autoren analysierten in einem Zeitraum von viereinhalb Jahren 22 primäre Knieprothesen. Die Gruppe konnte ebenfalls eine niedrigere Komplikationsrate im Vergleich zu den osteosynthetisch versorgten Patienten feststellen.1
In einer prospektiven Studie an 27 Patienten mit intra- oder periartikulären Kniegelenksfrakturen und primärer Prothesenversorgung zeigten alle eine volle Streckung und eine durchschnittliche Flexion im Knie von 110°. Ein Patient wurde zu „débridement, antibiotics and implant retention“ (DAIR) stationär aufgenommen, aber eine Revision der Prothesen war nicht notwendig.4
Sarzaeem et al. publizierten 2016 ihre Daten zu den 30 von ihnen mit primärer Totalendoprothese versorgten Patienten. Sie berichteten von signifikant verbesserten Tegner-Scores sowie einer Zunahme der Flexion sogar über das Niveau der unverletzten Gegenseite hinaus.11
Eine Analyse des dänischen Knieprothesenregisters untersuchte die Daten von 1421 Knieprothesen nach posttraumatischer Osteoarthrose zwischen 1997 und 2013. Diese wiesen in den ersten fünf Jahren eine erhöhte Revisionsrate im Vergleich zu Prothesen nach degenerativen Osteoarthrosen auf. Nach fünf Jahren zeigten sich jedoch keine weiteren Unterschiede. Revisionen aufgrund von Instabilität traten in der Frakturgruppe häufiger auf.5
Schlussfolgerung
Die primäre Frakturendoprothetik am Kniegelenk bietet im längerfristigen Follow-up bei nicht erhöhter Komplikationsrate funktionell gleichwertige Ergebnisse wie die sekundäre Frakturendoprothetik. Ebenso wurde den Patienten nach primärer Versorgung generell eine schmerzabhängige Vollbelastung erlaubt. Dies reduziert unter anderem das Risiko für thromboembolische Ereignisse sowie nosokomiale Infektionen und erlaubt eine frühzeitige aktive Mobilisation und Wiedereingliederung in den Alltag.
Aufgrund dieser Vorteile sollte bei schlechter Knochenqualität und hoher Komplexität der Fraktur der primäre endoprothetische Ersatz bei kniegelenksnahen Frakturen in Betracht gezogen werden. Schließlich kann die primäre Endoprothetik in einem fallbezogenen und patientenspezifischen Ansatz eine wertvolle Option sein.
Literatur:
1 Abdelbadie A et al.: Primary total knee arthroplasty: a viable surgical option for complex tibial plateau fractures in elderly. J Knee Surg 2020; 33(5): 496-503 2 Chen F et al.: Primary total knee arthroplasty for distal femur fractures: a systematic review of indications, implants, techniques, and results. Am J Orthop (Belle Mead NJ) 2017; 46(3): E163-71 3 Court-Brown CM, Caesar B: Epidemiology of adult fractures: a review. Injury 2006; 37: 691-7 4 Ebied A et al.: Medium term results of total knee arthroplasty as a primary treatment for knee fractures. SICOT J 2018; 4: 6 5 El-Galaly A et al.: Increased risk of early and medium-term revision after post-fracture total knee arthroplasty. Acta Orthop 2017; 88: 263-8 6 Haufe T et al.: The role of a primary arthroplasty in the treatment of proximal tibia fractures in orthogeriatric patients. Biomed Res Int 2016; 6047876: 1-5 7 McKee MD et al.: A multicenter, prospective, randomized, controlled trial of open reduction-internal fixation versus total elbow arthroplasty for displaced intra-articular distal humeral fractures in elderly patients. J Shoulder Elbow Surg 2009; 18(1): 3-12 8 Parratte S et al.: Primary total knee arthroplasty for acute fracture around the knee. Orthop Traumatol Surg Res 2018; 104(1S): S71-80 9 Pasurka M et al.: Osteosynthesis or arthroplasty of fractures near the knee joint in geriatric patients – a clinical-economical comparison. Z Orthop Unfall 2020; 158: 283-90 10 Saleh KJ et al.: Total knee arthroplasty after open reduction and internal fixation of fractures of the tibial plateau. J Bone Joint Surg Am 2001; 83(8): 1144-8 11 Sarzaeem MM et al.: Acute primary total knee arthroplasty for proximal tibial fractures in elderly. Arch Bone Jt Surg 2017; 5(5): 302-7 12 Schwarz AM et al.: Effectiveness of reverse total shoulder arthroplasty for primary and secondary fracture care: mid-term outcomes in a single-centre experience. BMC Musculoskelet Disord 2021; 22(1): 48 13 Seitz WH et al.: Failure of the hinge mechanism in total elbow arthroplasty. J Shoulder Elbow Surg 2010; 19(3): 368-75 14 Shan L et al.: Intermediate and long-term quality of life after total knee replacement. J Bone Joint Surg Am 2015; 97(2): 156-68 15 Straw R, Moran C: Hip and knee replacement. Practitioner 2010: 96-7 16 Tampere T et al.: Knee arthroplasty for acute fractures around the knee. EFORT Open Rev 2020; 5(19): 713-23 17 Tapper V et al.: Knee joint replacement as primary treatment for proximal tibial fractures: analysis of clinical results of twenty-two patients with mean follow-up of nineteen months. Int Orthop 2020; 44(1): 85-93 18 Wang W et al.: Primary total knee arthroplasty for complex supracondylar femoral fractures in patients with knee arthritis. Medicine (Baltimore) 2018; 97(40): e12700
Das könnte Sie auch interessieren:
Angeborene Fehlstellungen des Unterschenkels
Kongenitale Deformitäten des Unterschenkels gehören zu den seltenen, aber medizinisch bedeutenden und operativ herausfordernden Diagnosen der Kinderorthopädie. Eine differenzierte ...
Einzeitiger und mehrzeitiger septischer Endoprothesenwechsel
Die periprothetische Infektion (PPI) stellt eine der gefürchtetsten Komplikationen im Bereich der Orthopädie und Traumatologie dar. Sie ist verbunden mit hohen Morbiditäts- und ...
Hochgradige ACG-Luxationen – wann konservativ behandeln, wann nicht?
Verletzungen des Akromioklavikulargelenks (ACG) gehören zu den häufigsten Schulterverletzungen bei jungen und aktiven Menschen, insbesondere auch aufgrund der zunehmenden Beliebtheit von ...