Migrationsanalyse von HTEP mittels EBRA: „old but still gold“
Autoren:
Priv.-Doz. Dr. Dietmar Dammerer, MSc, PhD
Philipp Blum
Universitätsklinik für Orthopädie und Traumatologie, Medizinische Universität Innsbruck
Korrespondierender Autor:
Priv.-Doz. Dr. Dietmar Dammerer, MSc, PhD
Sie sind bereits registriert?
Loggen Sie sich mit Ihrem Universimed-Benutzerkonto ein:
Sie sind noch nicht registriert?
Registrieren Sie sich jetzt kostenlos auf universimed.com und erhalten Sie Zugang zu allen Artikeln, bewerten Sie Inhalte und speichern Sie interessante Beiträge in Ihrem persönlichen Bereich
zum späteren Lesen. Ihre Registrierung ist für alle Unversimed-Portale gültig. (inkl. allgemeineplus.at & med-Diplom.at)
Die Implantation zementfreier Hüfttotalendoprothesen (HTEP) gilt als einer der erfolgreichsten orthopädischen Eingriffe.1 Demgegenüber steht als häufigste Indikation zur Revisionsoperation die aseptische Lockerung einer Prothesenkomponente.2,3 Zur Beurteilung einer vorzeitigen Migration bzw. Lockerung der entsprechenden Prothesenkomponente hat sich die Einzelbild-Röntgenanalyse (EBRA) als ein in der Handhabung schlüssiges, validiertes und vor allem für den Patienten Röntgenstrahlen-reduziertes Verfahren erwiesen.4
Keypoints
-
Die Einzelbild-Röntgenanalyse (EBRA) ist seit über 20 Jahren sowohl in klinischer als auch wissenschaftlicher Anwendung. Zahlreiche Publikationen zeigen die Anwendungshäufigkeit dieser etablierten Software.
-
Mittels EBRA kann sowohl das Migrationsverhalten von Pfannen als auch das von Schäften objektiviert werden. Auch der Polyethylenabrieb kann mit EBRA bestimmt werden.
-
Die Migrationsanalyse wird anhand von 2D-Standard-Hüftübersichtsröntgenbildern durchgeführt, weshalb sich EBRA-Cup und EBRA-FCA auch für retrospektive Studien eignen.
-
Die Genauigkeit der EBRA-Software ist mit ca. 1 mm (95% KI) angegeben, wodurch die Methode als valide Migrationsanalyse zu werten ist.
Die objektive Analyse des Migrationsverhaltens der Acetabulum- sowie der Femurkomponente nimmt in Bezug auf die prognostizierte Standzeit und das Langzeitüberleben der Hüftendoprothese eine gewichtige Rolle ein. In mehreren Publikationen gelang es, einen Zusammenhang zwischen der detektierten Prothesenmigration im Knochen und einer späteren klinisch manifesten Lockerung aufzuzeigen.6–8 Die bereits vor über 20 Jahren an der Universität Innsbruck entwickelte Einzelbild-Röntgenanalyse, kurz EBRA, gestattet es, die Implantatmigration anhand standardisierter Beckenübersichtsröntgen zu ermitteln.5,9 Entsprechend der zu vermessenden HTEP-Komponente steht hierzu ein eigenes EBRA-Modul zur Verfügung, in welches die Röntgenaufnahmen in digitaler Form eingespielt und zur weiteren Analyse bearbeitet werden können.
Migrationsparameter
Eine Migration von Implantaten im Becken erfolgt immer dreidimensional. Mit EBRA kann über die Migration entlang der z-Achse keine Aussage getroffen werden.5,10 Die Gesamtmigration in der durch die x- und y-Achse gebildete Frontalebene kann durch den Lehrsatz von Pythagoras berechnet werden.5,10 Das dreidimensionale Migrationsverhalten von Prothesenkomponenten kann durch 6 Freiheitsgrade beschrieben werden.5,10
Die wesentliche Grundlage für die Genauigkeit der EBRA-Messungen an der Pfanne sind Hüftübersichtsröntgen, die hinsichtlich Beckenrotation um die Transversal- oder Longitudinalachse sowie Vergrößerung vergleichbar sind.5 EBRA erfordert ein Minimum von 4 Röntgenbildern, wodurch eine ausreichende Anzahl an Bildpaaren erreicht wird.
EBRA-Cup und EBRA-FCA
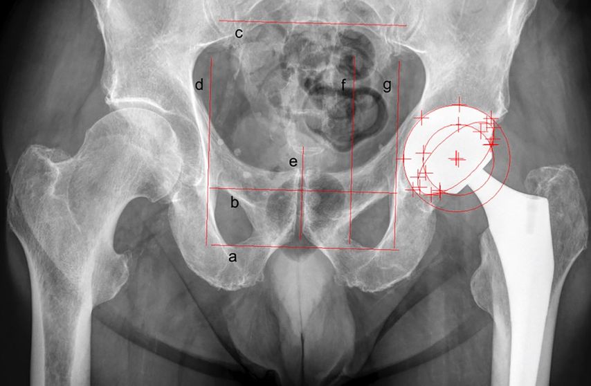
EBRA-Cup ermöglicht es, die Migration der Pfanne sowohl in Längs- (Kranial-/Kaudalwanderung) als auch in Querrichtung (Medial-/Lateralwanderung) zu messen.10 Hierzu werden je drei Tangenten in horizontaler und vertikaler Ausrichtung an bestimmte knöcherne Strukturen des Beckens im Röntgenbild angelegt (Abb.1). Während sich die Basislinie dabei an den Foramina obturatoria oder den kaudalen Konturen des Beckens (Tuber ischiadicum) orientiert, kann die mittlere horizontale Linie tangential am oberen Rand des Os pubis oder alternativ an den Foramina obturatoria eingezeichnet werden. Die obere Tangente soll einem der Foramina sacralia aufliegen. Im Gegensatz hierzu werden die beiden lateralen vertikalen Tangenten an den Foramina obturatoria oder am äußersten Punkt der jeweiligen Linea iliopectinea angelegt. Zuletzt markiert die vertikale Foramenlinie die Seite der zu vermessenden Pfanne. Eine weitere kürzere vertikale Linie kennzeichnet die Symphyse (Symphysenlinie).
Für die Analyse einer Bilderserie ist die konstante Beibehaltung der gleichen Referenzpunkte unabdingbar. Zusätzlich wird die äußere Kontur der Pfanne mit mehreren Punkten markiert. Die Messgenauigkeit von EBRA-Cup beträgt gemäß Krismer et al. 0,8mm in horizontaler und 1mm in longitudinaler Richtung bei einem Konfidenzintervall (KI) von 95%.5
Anzumerken ist, dass eine Beurteilung der Migration entlang der Sagittalachse (Ventral-/Dorsalwanderung) nur mithilfe der Röntgen-Stereophotogrammetric Analysis (RSA) möglich ist.10
Neben der beschriebenen translatorischen Migration kann sich eine lockere Pfanne ebenso in ihrem bindegewebigen Bett drehen.10 Dieser rotatorischen Komponente wird durch die zusätzliche Bestimmung der Anteversion und Inklination Rechnung getragen.10 Die Markierung der Projektion des Kontrastringes (bei zementierten Pfannen) oder der Pfanneneingangsebene ermöglicht es, eine Änderung der genannten Parameter im zeitlichen Verlauf zu detektieren und in die Beurteilung der Stabilität des Implantates miteinzubeziehen.5,10
Im Vergleich zu EBRA-Cup bietet EBRA-FCA (Femoral Component Analysis) die Möglichkeit, die Migration des Schaftes in longitudinaler Richtung (Absinken des Schaftes, „subsidence“) zu erheben.9,10 Aufgrund der Anatomie des Femurschaftes stellt dies den wesentlichen Migrationsparameter des Schaftes dar.10 Hierfür ist zunächst die Bestimmung der Schaftachse erforderlich. Anschließend erfolgt die Markierung von Prothesenkopf, Prothesenschulter, Trochanter major und minor sowie der Femurkontur mit weiteren Referenzpunkten (Abb.2).9
Neben der „subsidence“ kann auch eine Achsenabweichung zwischen Femur- und Schaftachse (Varus-/Valgusausrichtung) detektiert werden, wobei sich die Ermittlung der Angulationsbewegung aufgrund der möglichen lokalen postoperativen Hyper- oder Hypotrophie der Kortikalis schwierig gestaltet.10 EBRA-FCA bestimmt die Schaftsubsidence mit einer Genauigkeit von ±1,5mm (95% KI).9
Beide Programme nutzen einen Algorithmus, mit dessen Hilfe die Komparabilität der Röntgenbilder sichergestellt wird. Während der Algorithmus bei EBRA-Cup auf dem Vergleich der Distanzen zwischen den Tangenten beruht, werden bei EBRA-FCA die gesamte Prothesenlänge sowie die Distanz zwischen Hüftkopfzentrum und Schaftachse als Vergleichsparameter herangezogen.10 Der Einfluss von Beckenrotation und Bildvergrößerung wird hierdurch reduziert und es werden lediglich vergleichbare Röntgenbilder in die Analyse eingeschlossen.
Abrieb
Der Verschleiß von Polyethylen (PE) bleibt ein häufiger Grund für eine Revision nach HTEP-Implantation.11,12 Die Ergebnisse verschiedener Endoprothesenregister zeigen, dass bei etwa 10–20% der Hüftpfannen ein PE-Liner aufgrund von Verschleiß ausgetauscht werden muss.13,14 Der PE-Verschleiß in einer gut fixierten, nicht zementierten Pfanne wird häufig durch den Wechsel des PE-Liners und des Femurkopfes behandelt.11 Der PE-Abrieb selbst kann dabei in Röntgenbildern auf mehreren Wegen bestimmt werden. Mittels EBRA kann der Abstand des Kopfzentrums vom Pfannenzentrum oder die Bewegung des Kopfzentrums in Relation zur Pfanne in konsekutiven Röntgenaufnahmen bestimmt werden.10 Dadurch kann unter Anwendung eines Koordinatensystems der Migrationsvektor sowohl in longitudinaler als auch in transversaler Richtung gegliedert werden. Als Limitation ist zu nennen, dass EBRA keine Volumetrie erlaubt und somit keine 3D-Abbriebsbestimmung zulässt; dies ist jedoch mit RSA möglich.10
Abb. 1: Migrationsanalyse der Pfanne mit EBRA-Cup im Standard-Hüftübersichtsröntgen: a) Basislinie, b) mittlere Linie, c) obere Linie, d) linke Linie, e) Symphysenlinie, f) Foramenlinie, g) rechte Linie
Messgenauigkeit im Vergleich
In der Literatur sind zahlreiche weitere Messmethoden beschrieben.15–17 Die RSA gilt aufgrund ihrer Genauigkeit unverändert als Goldstandard der Migrationsbestimmung von Pfanne und Schaft.17 Hierbei werden zu jedem Messzeitpunkt zwei Röntgenaufnahmen aus unterschiedlichen Winkeln benötigt, die unter Verwendung eines Kallibrierungskäfigs angefertigt werden.17 Die Verwendung einer speziellen Software ermöglicht im Anschluss die dreidimensionale Auswertung der Röntgenaufnahmen sowie die Migrationsbestimmung des Implantats. Im Vergleich beträgt die Messabweichung von EBRA-Cup und der RSA 0,4 ± 0,3mm.18 In der rezenten Studie von Abrahams et al. konnte die gute Übereinstimmung von EBRA-Cup und RSA bei der Ermittlung einer Pfannenmigration von >1mm nach 2 Jahren mit einer Sensitivität von 100% und einer Spezifität von 87% bestätigt werden.4 EBRA-FCA detektiert gegenüber der RSA eine Schaftsubsidence von mehr als 1mm mit einer Sensitivität von 78% und einer Spezifität von 100%.9 Allerdings setzt die RSA die perioperative Implantation von Marker-Kugeln aus Tantal voraus, weshalb diese Messmethode mit einem deutlich erhöhten Aufwand verbunden ist, nur innerhalb eines prospektiven Studiendesigns anwendbar ist und somit für den klinischen Alltag eher ungeeignet erscheint.
Weitere Methoden nach Nunn und Sutherland, die der Beurteilung der acetabulären Komponente dienen, beruhen auf der manuellen Messung der Abstände zwischen Implantat und bestimmten Knochenstrukturen.15,16 Beide Varianten berücksichtigen mögliche Unterschiede in der Aufnahmetechnik nicht, sodass die Genauigkeit mit ±3mm bzw. ±2mm geringer als bei EBRA-Cup ist.15,16
In Bezug auf die Migration des Schaftes wiesen einfache manuelle Messmethoden in Abhängigkeit der genutzten Strukturen im Vergleich zur RSA eine Messgenauigkeit zwischen 3,9mm und 12,3mm auf.19 Diese manuellen Methoden sind jedoch nicht mehr up to date und wurden durch oben genannte Methoden nahezu ersetzt.
Studienlage
Im Rahmen unserer Recherche zur Erstellung des vorliegenden Artikels haben wir eine ausführliche Literaturrecherche über PubMed durchgeführt. Zum aktuellen Zeitpunkt konnten wir über 100 wissenschaftliche Beiträge zum Thema EBRA auf PubMed finden.
Im Zuge unserer wissenschaftlichen Arbeiten haben wir mit unserer Studiengruppe rezent das Migrationsverhalten zweier zementfreier Pfannen (Pinnacle, DePuy Synthes, Raynham, Massachusetts, USA, und Trident PSL, Stryker, Kalamazoo, Michigan, USA) analysiert.20,21 Auch ist es uns gelungen, mithilfe von EBRA-Cup das Migrationsverhalten einer Pfannendachschale bzw. Acetabulumrekonstruktionspfanne (GAP 2, Stryker Orthopaedics, Kalamazoo, Michigan, USA) zu untersuchen.22 Zuletzt konnte unsere Studiengruppe in einer rezent publizierten Arbeit den Abrieb zweier sehr häufig verwendeter Pfannen-Polyethylene vergleichen und den unterschiedlichen „Einschleif-Effekt“ sowie auch eine wesentliche Differenz in der Herstellung des PEs und dem daraus resultierenden Abrieb bestimmen.23
Abb. 2: Migrationsanalyse des Schaftes mit EBRA-FCA: a) Markierung des Prothesenkopfes, b) Schaftachse, c) Prothesenschulter, d) Tangente am Trochanter major, e) Tangenten am Trochanter minor, f) Tangente an der Prothesenspitze, g) Markierung der Femurkontur
Conclusio
Sowohl EBRA-CUP als auch EBRA-FCA sind in der Handhabung schlüssige, validierte und vor allem für den Patienten Röntgenstrahlen-reduzierte Verfahren. Unter Beachtung etablierter Grenzwerte können insbesondere neue Implantate analysiert und anhand der Kurzzeitergebnisse ein prädiktiver Wert bzgl. Prognose späterer Revisionen getroffen werden. Die Indikation zur Revision muss jedoch nebst radiologischen Kriterien stets auch auf Basis der klinischen Symptomatik gestellt werden.
Literatur:
1 Świtoń A et al.: Activity and quality of life after total hip arthroplasty. Ortop Traumatol Rehabil 2017; 195: 441-50 2 Sadoghi P et al.: Revision surgery after total joint arthroplasty: a complication-based analysis using worldwide arthroplasty registers. J Arthroplasty 2013; 288: 1329-32 3 Ulrich SD et al.: Total hip arthroplasties: what are the reasons for revision? Int Orthop 2008; 32(5): 597-604 4 Abrahams JM et al.: Accuracy of EBRA-cup measurements after reconstruction of severe acetabular defects at revision THR. J Orthop Res 2020; 38(7): 1497-505 5 Krismer M et al.: EBRA: a method to measure migration of acetabular components. J Biomech 1995; 28(10): 1225-36 6 Krismer M et al.: Early migration predicts late aseptic failure of hip sockets. J Bone Joint Surg Br 1996; 78(3): 422-6 7 Nieuwenhuijse MJ et al.: Good diagnostic performance of early migration as a predictor of late aseptic loosening of acetabular cups: results from ten years of follow-up with Roentgen stereophotogrammetric analysis (RSA). J Bone Joint Surg Am 2012; 94(10): 874-80 8 Krismer M et al.: The prediction of failure of the stem in THR by measurement of early migration using EBRA-FCA. Einzel-Bild-Roentgen-Analyse-femoral component analysis. J Bone Joint Surg Br 1999; 81(2): 273-80 9 Biedermann R et al.: Accuracy of EBRA-FCA in the measurement of migration of femoral components of total hip replacement. Einzel-Bild-Röntgen-Analyse-femoral component analysis. J Bone Joint Surg Br 1999; 81(2): 266-72 10 Krismer M et al.: [Single-image roentgen analysis for the measurement of hip endoprosthesis migration]. Orthopade 1997; 26(3): 229-36 11 Petis SM et al.: Polyethylene liner and femoral head exchange in total hip arthroplasty: factors associated with long-term success and failure. J Bone Joint Surg Am 2019; 101(5): 421-8 12 Adelani MA et al.: Revision total hip arthroplasty with retained acetabular component. J Bone Joint Surg Am 2014; 96(12): 1015-20 13 Oberaigner WLH et al.: Prothesenregister Tirol. Bericht über die Operationsjahre 2011–2013 und Revisionsstatistik der Operationsjahre 2004–2012. Innsbruck Tirol Kliniken Institut für klinische Epidemiologie 2015 14 Grimberg A et al.: Endoprothesenregister Deutschland: Jahresbericht 2015. EPRD Deutsche Endoprothesenregister GmbH Berlin 2015 15 Nunn D et al.: The measurement of migration of the acetabular component of hip prostheses. J Bone Joint Surg Br 1989; 71(4): 629-31 16 Sutherland CJ, Bresina SJ: Measurement of acetabular component migration using two-dimensional radiography. J Arthroplasty 1992; 7 Suppl: 377-9 17 Selvik G: Roentgen stereophotogrammetry. A method for the study of the kinematics of the skeletal system. Acta Orthop Scand 1989; 232: 1-51 18 Ilchmann T et al.: Measurement accuracy in acetabular cup migration. A comparison of four radiologic methods versus roentgen stereophotogrammetric analysis. J Arthroplasty 1992; 7(2): 121-7 19 Malchau H et al.: Accuracy of migration analysis in hip arthroplasty. Digitized and conventional radiography, compared to radiostereometry in 51 patients. Acta Orthop Scand 1995; 66(5): 418-24 20 Dammerer D et al.: Two-year radiologic assessment of the Pinnacle cup-a migration analysis with EBRA. Arch Orthop Trauma Surg 2021; 141(1): 149-54 21 Dammerer D et al.: Good mid-term results with the trident peripheral self-locking cup: a clinical evaluation and migration measurement with EBRA. Arch Orthop Trauma Surg 2021; 141, 327-32 22 Dammerer D et al.: Outcome and EBRA migration analysis of a reconstruction cage in acetabular revision arthroplasty: a clinical and radiological study. Arch Orthop Trauma Surg 2021; 141(3): 509-16 23 Dammerer D et al.: Different wear in two highly cross-linked polyethylene liners in THA: wear analysis with EBRA. Arch Orthop Trauma Surg 2021; online ahead of print
Das könnte Sie auch interessieren:
Frühe Unterwassertherapie nach totaler Hüft- und Knieendoprothese
Eine frühzeitige Durchführung der Unterwassertherapie mit wasserdichtem Folienverband ab dem vierten postoperativen Tag ist im Allgemeinen sicher, wirksam und ohne Nebenwirkungen.
Aktuelles zur anteromedialen Knieinstabilität
Kombinierte Verletzungen des medialen Kollateral- (MCL) und des vorderen Kreuzbandes (VKB) zählen zu den häufigsten multiligamentären Knieverletzungen. Bei vermeintlich isolierten VKB- ...
Arthroskopische Behandlung von Glenoidrandfrakturen
In der Literatur werden die Begriffe knöcherne Bankart-Läsion und Glenoidrandfraktur häufig synonym verwendet, obwohl sie sich hinsichtlich Pathomechanismus und Therapie deutlich ...