Es ist nicht alles Hallux: der Vorfußschmerz und seine Differenzialdiagnose
Autor:
Dr. Alexander Schwertner
Klinik Diakonissen, Linz
MOVE Praxisgemeinschaft, Puchenau
E-Mail: ordination@drschwertner.at
Sie sind bereits registriert?
Loggen Sie sich mit Ihrem Universimed-Benutzerkonto ein:
Sie sind noch nicht registriert?
Registrieren Sie sich jetzt kostenlos auf universimed.com und erhalten Sie Zugang zu allen Artikeln, bewerten Sie Inhalte und speichern Sie interessante Beiträge in Ihrem persönlichen Bereich
zum späteren Lesen. Ihre Registrierung ist für alle Unversimed-Portale gültig. (inkl. allgemeineplus.at & med-Diplom.at)
Nicht nur die mehr als 150 beschriebenen Operationstechniken der Halluxchirurgie, sondern auch die doch gar nicht so unwesentliche Komplikationsrate und teilweise Unzufriedenheit bei Patienten nach dieser Operation bestätigen den hohen Stellenwert der Schmerzen am Vorfuß, einerseits in medizinischer, andererseits auch in wirtschaftlicher Hinsicht. Daher ist es erforderlich, andere mögliche Erkrankungen, die zu Schmerzen im Vorfuß führen können, auch in Betracht zu ziehen, um durch eine adäquate Diagnose und entsprechende Behandlung die Komplikationsrate zu reduzieren, aber vor allem die Zufriedenheit der operierten Patienten zu erhöhen.
In vielen Fällen führt ein berichteter Schmerz am Vorfuß zur Durchführung einer Hallux-Operation, obwohl die Hallux-valgus-Fehlstellung, die Arthrose am Großzehengrundgelenk oder der Intermetatarsalwinkel nur ganz minimal ausgeprägt sind. In den meist vorgelegten Röntgenbildern bei der Begutachtung zeigt sich eine zumindest minimale bis mäßige Hallux-valgus-Fehlstellung, die für viele, ohne exakte Anamneseerhebung und ausführliche klinische Untersuchung, die Indikation zur Hallux-Operation ergeben. Die in der Literatur angeführten Komplikationsraten der distalen, diaphysären und proximalen Osteotomien gehen deutlich in den zweistelligen Bereich und bestätigen somit auch diese Vermutung.
Metatarsalgie
Als Differenzialdiagnose ist die sogenannte Metatarsalgie zu diskutieren. Hierbei handelt es sich um eine mechanische Pathogenese, die zur Überbelastung der Metatarsalia führen kann. Die Ursache dafür liegt oft in der bestehenden Instabilität am TMT-I-Gelenk, die auch die entsprechende Hallux-valgus-Fehlstellung bedingt. Dadurch werden die Druckmomente meist auf den 2. Strahl verlagert, der von Grund auf, gemeinsam mit dem 3. Strahl, die stabile Säule des Fußes bildet (am TMT-II- und -III-Gelenk besteht das geringste Bewegungsausmaß in der Lisfranc’schen Gelenkreihe, zwischen 1,8° und 4,2°). Klinisch zeigt sich dies durch die vermehrte Beschwielung unter dem 2. und teilweise 3. Mittelfußköpfchen. Wir sprechen hier auch von der sogenannten Transfermetatarsalgie.
Als weitere Ursache für die vermehrte Druckbelastung am Vorfuß kann die Verkürzung der Wadenmuskulatur im Sinne einer „Achillessehnenverkürzung“ bestehen. Dabei kommt es beim Abrollmechanismus aufgrund der geminderten Dorsalextension zu einer frühzeitigen Belastung am Vorfuß und somit zu erhöhten Druckkomponenten.
Es müssen auch die Steilstellung der Metatarsalia beim Hohlfuß sowie eine Rückbildung des Fettkörpers am Zehenballen im fortgeschrittenen Alter oder ossäre Destruktionen bei vorliegenden rheumatoiden oder vaskulären Erkrankungen als mögliche Ursachen angeführt werden.
Bei der Anamneseerhebung und klinischen Untersuchung wird vor allem über Belastungsschmerzen am Vorfuß berichtet. Klinisch besteht meist eine ausgeprägte Hypermobilität in TMT I mit plantarer Beschwielung unter dem Kopf des 2. und 3. Mittelfußknochens.
Ermüdungsbruch
Von traumatologischer Seite muss an den Ermüdungsbruch bei dauerhafter Überbelastung des Knochens gedacht werden. Dies tritt hauptsächlich bei sportlich aktiven Patienten auf oder bei Menschen im mittleren Lebensalter, die ihre früher gewohnte sportliche Aktivität wieder aufnehmen. Zusätzlich kann es im Rahmen der natürlichen Knochendichteminderungen im Alter oder durch die Einnahme von Medikamenten im Rahmen von tumorösen Erkrankungen zum Ermüdungsbruch kommen.
Plantarer Kapselriss
Auch darf als Ursache für Beschwerden am Vorfuß der plantare Kapselriss an den Grundgelenken der Zehen bei vermehrter Belastung nicht vergessen werden.
Anamnestisch und klinisch zeigt sich hier ein abruptes Auftreten von Beschwerden im Bereich des Fußballens, einhergehend mit einer diffusen Weichteilschwellung.
Aseptische Knochennekrose
Auch die aseptische Knochennekrose, am häufigsten bestehend am Kopf des 2.Mittelfußknochens, selten auch am 3.Mittelfußknochen, im Sinne eines Morbus Köhler-Freiberg, muss man bedenken.
Die Durchblutungsstörung am Kopf des Mittelfußknochens tritt hauptsächlich im jugendlichen Alter auf, wobei – bei nicht durchgeführter Therapie – eine Verformung des Köpfchens und daraus resultierend sekundäre Arthrosen entstehen können.
Klinisch bietet sich hier meist nur ein relativ geringes Beschwerdebild, wobei Deformitäten oft von dorsal getastet werden können.
Als weitere Differenzialdiagnosen sind noch Erkrankungen des Nervensystems, wie das Morton-Neurom und vor allem das vordere und hintere Tarsaltunnelsyndrom zu bedenken.
Morton-Neuralgie
Bei der Morton-Neuralgie wird die Neuritis, die durch eine Fehlbelastung zu einer mechanischen Reizung des intermetatarsalen Nervs führt und noch keine wesentliche Verdickung des Nervs zeigt, vom Neurom unterschieden, wobei es hier durch die kontinuierlich und lang andauernde Einengung des Nervs zwischen den beiden Metatarsalköpfchen und dem Ligamentum intermetatarsale zu einer deutlichen Auftreibung des Nervs kommt.
Hier wird bei der Anamneseerhebung von Beschwerden in engem Schuhwerk berichtet, als Schmerzcharakter wird oft ein elektrisierender Schmerz (Nervenschmerz), der meist in die 3. und 4. Zehe ausstrahlt, angegeben. Die klinische Begutachtung zeigt häufig einen Druckschmerz bei querer Kompression zwischen dem 3. und 4. Kopf des Mittelfußknochens, im Sinne eines positiven Mulder-Zeichens.
Tarsaltunnelsyndrom
Das Tarsaltunnelsyndrom ist ein Nervenengpasssyndrom, das einerseits den Nervus peroneus profundus (vorderes Tarsaltunnelsyndrom) und andererseits den Nervus tibialis (hinteres Tarsaltunnelsyndrom) betreffen kann.
Anamnestisch wird hier meist von zunehmenden Beschwerden im Bereich des Fußballens nach längerer Belastung sowie von ausgeprägten Ruhebeschwerden in diesem Bereich berichtet. Klinisch bietet sich ein positives Hoffmann-Tinel-Zeichen hinter dem Innenknöchel und am Sprunggelenk streckseitig. Im fortgeschrittenen Stadium kommt es auch zu einer Atrophie des plantaren Fettkörpers am Fußballen.
Die exakte Diagnosestellung wird oft durch die mangelhaft durchgeführte neurologische Begutachtung erschwert. Es muss ein exakter elektroneurografischer Befund mit Ableitungen des Nervus peroneus, des Nervus tibialis, des Nervus peroneus profundus, des Nervus plantaris medialis und des Nervus suralis durchgeführt werden. Zusätzlich soll eine elektromyografische Befundung des Musculus tibialis anterior, des Musculus extensor digitorum brevis, des Musculus gastrocnemius caput laterale und des Musculus abductor hallucis erfolgen, um die klinische Verdachtsdiagnose zu bestätigen.
Da sich die Beschwerden des Tarsaltunnelsyndroms in der täglichen Praxis häufen, soll anhand eines Fallberichtes die Wichtigkeit der exakten Anamneseerhebung und der genauen klinischen Untersuchung dargestellt werden.
Fallbericht
Eine 47-jährige Patientin kommt wegen Beschwerden im Bereich des Vorfußes zur Begutachtung. In der Anamnese wird über Beschwerden bei Belastung berichtet, wobei hier die Beschwerdesymptomatik hauptsächlich medialseits am Kopf des Metatarsale I angeführt wird, zusätzlich würden jedoch auch Schmerzen plantarseits im Bereich des gesamten Fußballens auftreten. Diese werden jedoch nicht bei Belastung, sondern vor allem in Ruhe wahrgenommen.
Die klinische Untersuchung ergibt eine diskrete Hallux-valgus-Fehlstellung bei Belastung mit mäßigen Druckschmerzen medialseits am Kopf des Metatarsale I, freiem Bewegungsausmaß am Großzehengrundgelenk und ausgeprägter Hypermobilität im TMT I. Weiters zeigen sich eine plantare Beschwielung unter dem Kopf des 2. Mittelfußknochens und ein hoch positives Hoffmann-Tinel-Zeichen hinter dem Innenknöchel.
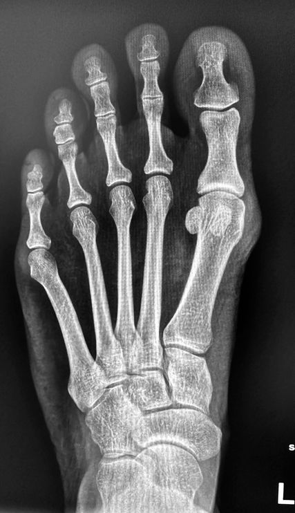
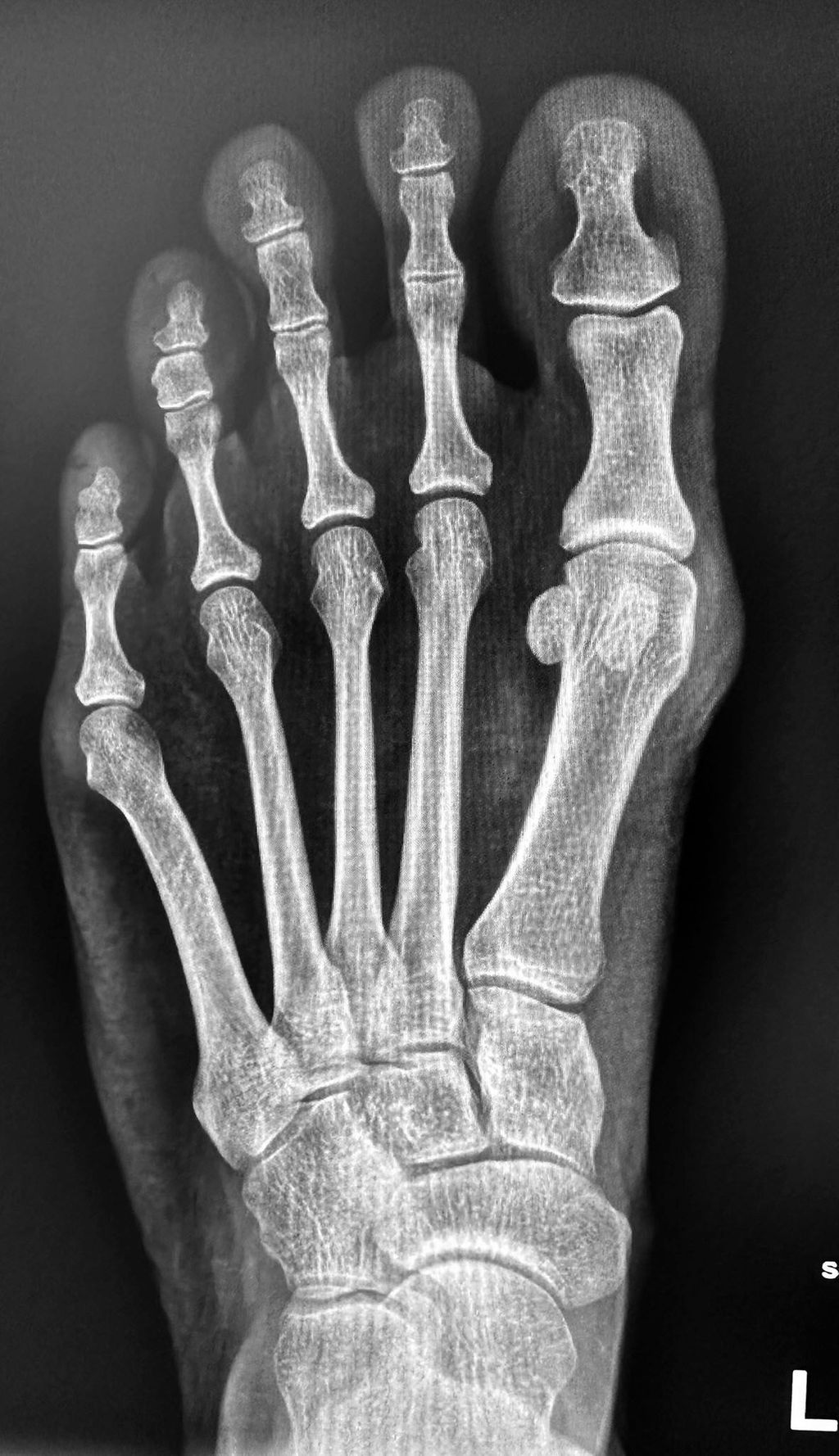
Das Röntgen (Abb. 1) zeigt eine leichte Hallux-valgus-Fehlstellung mit Lateralisation des Sesambeinkomplexes sowie leicht erhöhtem Intermetatarsalwinkel; das Weichteil zeigt eine leichte Schwellneigung am Kopf des Metatarsale I.
Die ergänzende neurologische Begutachtung ergibt in der Nervenleitgeschwindigkeit eine axonal demyelinisierende Neuropathie des Nervus peroneus profundus als Ausdruck eines vorderen Tarsaltunnelsyndroms sowie eine axonal demyelinisierende Neuropathie des Nervus plantaris medialis sensorisch als Ausdruck eines hinteren Tarsaltunnelsyndroms. Die elektromyografische Begutachtung zeigt eine hochgradig peripher-neurogene Schädigung im Musculus extensor digitorum brevis als Ausdruck eines hochgradigen vorderen Tarsaltunnelsyndroms und eine hochgradig peripher-neurogene Schädigung im Musculus abductor hallucis als Ausdruck eines hochgradigen hinteren Tarsaltunnelsyndroms.
Mit der Patientin wird die Dekompression des vorderen und hinteren Tarsaltunnels besprochen, bzgl. minimaler Hallux- valgus-Fehlstellung wird vorerst keinerlei operative Therapie vereinbart.
Der intraoperative Befund bietet eine doch deutliche Abflachung des Nervus tibialis in dem Bereich, wo die Arteria tibialis posterior Richtung plantar den Nerv kreuzt (Abb. 2). Aus diesem Grund wird hier auch immer ein Mucosapatch zwischen Arterie und Nerv eingebracht (Abb. 3). Im Bereich des Nervus peroneus profundus (Abb. 4) zeigt ein relativ instabiles TN-Gelenk eine doch deutliche knöcherne Auftreibung (Abb. 5), die bei Plantarflexion auch die Ursache für die Nervenkompression sein muss. Aus diesem Grund wird der überstehende Knochen abgemeißelt (Abb. 6 und 7).
Postoperativ zeigt sich nun eine vollkommene Beschwerdefreiheit. Durch die Einleitung von physikalischen Maßnahmen und Stabilisierung der medialen Säule bereitet auch die minimale Hallux-valgus-Fehlstellung keine Beschwerden mehr.
Fazit
Zusammenfassend kann gesagt werden, dass Schmerzen am Vorfuß nicht immer auf Halluxprobleme zurückzuführen sind, sondern verschiedene Differenzialdiagnosen bedacht werden müssen, diese jedoch einer gründlichen Anamneseerhebung und einer entsprechenden klinischen Begutachtung bedürfen, um die exakte Diagnose und somit auch die korrekte Indikation zur Operation stellen zu können, damit eine erfolgreiche Genesung erreicht werden kann.
Literatur:
beim Verfasser
Das könnte Sie auch interessieren:
Frühe Unterwassertherapie nach totaler Hüft- und Knieendoprothese
Eine frühzeitige Durchführung der Unterwassertherapie mit wasserdichtem Folienverband ab dem vierten postoperativen Tag ist im Allgemeinen sicher, wirksam und ohne Nebenwirkungen.
Aktuelles zur anteromedialen Knieinstabilität
Kombinierte Verletzungen des medialen Kollateral- (MCL) und des vorderen Kreuzbandes (VKB) zählen zu den häufigsten multiligamentären Knieverletzungen. Bei vermeintlich isolierten VKB- ...
Arthroskopische Behandlung von Glenoidrandfrakturen
In der Literatur werden die Begriffe knöcherne Bankart-Läsion und Glenoidrandfraktur häufig synonym verwendet, obwohl sie sich hinsichtlich Pathomechanismus und Therapie deutlich ...