Achskorrektur bei VKB-(Re-)Rupturen
Autor:innen:
Celia Trauttmansdorff
Priv.-Doz. Dr. Markus Schreiner
Priv.-Doz. Dr. Ulrich Koller, MSc
Universitätsklinik für Orthopädie und Unfallchirurgie, Medizinische Universität Wien
Korrespondierender Autor:
Priv.-Doz. Dr. Markus Schreiner
Sie sind bereits registriert?
Loggen Sie sich mit Ihrem Universimed-Benutzerkonto ein:
Sie sind noch nicht registriert?
Registrieren Sie sich jetzt kostenlos auf universimed.com und erhalten Sie Zugang zu allen Artikeln, bewerten Sie Inhalte und speichern Sie interessante Beiträge in Ihrem persönlichen Bereich
zum späteren Lesen. Ihre Registrierung ist für alle Unversimed-Portale gültig. (inkl. allgemeineplus.at & med-Diplom.at)
Knöcherne Achsfehlstellungen der unteren Extremität beeinflussen die Biomechanik des Kniegelenks maßgeblich und stellen relevante Risikofaktoren für Rupturen des vorderen Kreuzbandes (VKB) sowie für das Versagen von VKB-Rekonstruktionen dar. Insbesondere im Revisionssetting rücken sagittale und koronare Fehlstellungen zunehmend in den Fokus der differenzierten Therapieplanung.
Keypoints
-
Knöcherne Achsfehlstellungen der unteren Extremität stellen relevante biomechanische Risikofaktoren für VKB-Rupturen und insbesondere für Transplantatversagen dar.
-
Achskorrekturen sind bei primärer VKB-Rekonstruktion nur in selektierten Fällen indiziert, während sie im Revisionssetting mittlerweile eine zentrale Rolle in der Therapiestrategie einnehmen.
-
Ein erhöhter posteriorer tibialer Slope, eine klinisch relevante Varusfehlstellung sowie kombinierte sagittale und koronare Deformitäten sind die wichtigsten Indikationen für eine begleitende Korrekturosteotomie.
-
Trotz zunehmender Evidenz fehlen bislang einheitliche Grenzwerte und standardisierte Entscheidungsalgorithmen, sodass die Indikationsstellung weiterhin individuell erfolgen sollte.
Einführung
Trotz standardisierter Operationsverfahren und kontinuierlicher Weiterentwicklung chirurgischer Techniken stellt die erneute Ruptur nach VKB-Rekonstruktion eine relevante klinische Problematik dar. Insbesondere vor dem Hintergrund, dass VKB-Rekonstruktionen im Revisionssetting im Vergleich zu primären Rekonstruktionen mit einer erhöhten Komplexität des operativen Eingriffs, geringerer subjektiver Zufriedenheit und schlechteren klinischen Ergebnissen in Verbindung gebracht werden.1–3 Zahlreiche wissenschaftliche Arbeiten zeigen, dass das Risiko einer VKB-Reruptur multifaktoriell bedingt ist.
Neben chirurgischen, patientenabhängigen und rehabilitativen Faktoren gewinnen knöcherne Achsfehlstellungen der unteren Extremität als biomechanische Einflussgrößen zunehmend an Bedeutung und werfen die Frage nach der Indikation von Achskorrekturen im Rahmen der VKB-Rekonstruktion und -Revision auf.4–7
Risikofaktoren
Tibialer Slope
In der Sagittalebene wird der posteriore tibiale Slope, der die Dorsalinklination des Tibiaplateaus beschreibt, als relevanter Risikofaktor diskutiert. Der tibiale Slope erzeugt bei axialer Belastung oder Aktivierung des Quadrizepsmuskels eine anterior gerichtete Scherkomponente und nimmt damit Einfluss auf die anteriore Translation der Tibia. Biomechanische und klinische Studien zeigen, dass es mit steigendem tibialem Slope zu einer signifikanten Erhöhung der anterioren tibialen Translation und höheren Kräften im VKB als primärem Stabilisator gegen die anteriore tibiale Translation kommt.8–13 Darüber hinaus wird ein steiler werdender tibialer Slope mit einer erhöhten Inzidenz von Rerupturen nach VKB-Rekonstruktion assoziiert.5,6,14–20 Als physiologisch gelten Werte zwischen 7° und 13°.8,9
An dieser Stelle ist jedoch wichtig, zu erwähnen, dass es in der Literatur zu einer erheblichen Variabilität an beschriebenen Slope-Werten kommt, weil es an einer Standardisierung der radiologischen Messmethoden, Referenzachsen und Bildgebungsverfahren fehlt. Messungen anhand der proximalen anatomischen Tibiaachse ergeben im Vergleich zur mechanischen Tibiaachse signifikant höhere Werte.21–24 Zur Verbesserung der Vergleichbarkeit bestehender und zukünftiger Daten wäre eine Vereinheitlichung der Messmethoden wünschenswert. Für eine valide Messung sollte auf einer streng seitlichen Röntgenaufnahme der Winkel zwischen einer tangential zur medialen Tibiaplateaufläche verlaufenden Linie und der proximalen anatomischen Tibiaachse bestimmt werden. Dabei ist es entscheidend, dass die Aufnahme mindestens 15cm der proximalen Tibia umfasst, da kürzere Darstellungen zu einer systematischen Überschätzung des tibialen Slopes führen können.8,9,23,25
Achsenfehlstellungen
Auch Achsfehlstellungen in der Koronarebene werden als potenzielle Risikofaktoren für (Re-)Rupturen des VKB diskutiert. Varusfehlstellungen können nach Noyes et al. in Primary-, Double- und Triple-Varus eingeteilt werden.26 Der Primary-Varus, der ausschließlich auf dem knöchernen tibiofemoralen Alignment beruht, ist allein nicht mit einer signifikanten Erhöhung der VKB-Spannung assoziiert. Entwickelt sich zusätzlich eine Insuffizienz der lateralen Bandstrukturen mit vermehrter lateraler Gelenköffnung (Varus-Thrust), spricht man von einem Double-Varus; kommt es zusätzlich infolge einer Insuffizienz der posterolateralen Bandstrukturen zu einer Außenrotation der Tibia und einem Genu recurvatum, liegt ein Triple-Varus vor. Bei Patienten mit einem Double- oder Triple-Varus zeigen sich erhöhte Kräfte, die auf das VKB einwirken. Die Belastung auf das VKB steigt also bei zunehmender Varusfehlstellung und kann auch zum Versagen einer VKB-Rekonstruktion beitragen.26,27
Indikationen der Achskorrektur bei primärer VKB-Läsion
Die Analyse und Beachtung von koronaren Achsfehlstellungen sowie dem posterioren tibialen Slope sind auch im primären Setting wesentlich. Aufgrund der zusätzlichen Morbidität, möglicher Komplikationen und der generell guten Ergebnisse bei primärer VKB-Rekonstruktion fehlt derzeit noch ein evidenzbasierter Konsens für die Indikationsstellung zur gleichzeitigen Korrektur dieser Fehlstellungen bei primären VKB-Rekonstruktionen.23,28–30
In ausgewählten Fällen kann bei sehr hohem tibialem Slope (≥15–17°) oder schon erfolgreicher Behandlung einer kontralateralen VKB-Reruptur mittels „anterior closing wedge high tibial osteotomy“ (ACWHTO) eine additive Slope-reduzierende Osteotomie schon bei primärer VKB-Rekonstruktion erwogen werden. Obwohl diese Konstellationen selten sind, zeigen begrenzte Daten niedrige Transplantatversagensraten und geringe Komplikationen. Aufgrund der insgesamt eingeschränkten Evidenz sollte die Indikation individuell abgewogen werden.23,31
Ein Spezialfall ergibt sich bei VKB-Rupturen bei Patienten im Kindesalter mit offenen Wachstumsfugen. Hier ist die Hemiepiphyseodese ein etabliertes, weniger invasives Verfahren zur Korrektur klinisch relevanter Fehlstellungen und kann im Einzelfall mit einer primären VKB-Rekonstruktion kombiniert werden. Aktuelle Studien zeigen eine sichere Durchführbarkeit, zuverlässige Achskorrektur sowie Komplikations- und Transplantatversagensraten vergleichbar mit isolierten Hemiepiphyseodeseverfahren, ohne die Ergebnisse der VKB-Rekonstruktionen negativ zu beeinflussen. Zugleich können potenziell ungünstige biomechanische Belastungen des VKB-Transplantats reduziert werden.32–34
Indikationen der Achskorrektur im Revisionsfall
Im Revisionsfall wird die Indikation zur Achskorrektur aufgrund der wesentlich besseren Datenlage deutlich großzügiger gestellt als bei der primären VKB-Rekonstruktion. Die „high tibial osteotomy“ (HTO) ist eine etablierte Operationsmethode für aus der proximalen Tibia resultierende Achsfehlstellungen zur Entlastung eines degenerativ geschädigten Kompartiments oder von Rekonstruktionen. Zunehmend zeigen auch Studien bei VKB-Rekonstruktion im Revisionsfall in Kombination mit HTO gute klinische Ergebnisse.30,35–37 Insbesondere im Revisionsfall ist eine differenzierte Ursachenanalyse unerlässlich, da Traumata und technische Fehler – allen voran eine fehlerhafte Tunnelpositionierung – weiterhin die häufigsten Ursachen eines Transplantatversagens darstellen und vor einer Achskorrektur berücksichtigt werden müssen.4,38 Die Indikationsstellung und Auswahl der spezifischen Technik richten sich dabei nach der individuellen Pathoanatomie.
Slope-Korrektur
Zur Reduktion des tibialen Slopes wird die ACWHTO angewendet.29 Mehrere Studien berichten über günstige postoperative Ergebnisse mit einer reduzierten Transplantatversagensrate sowie einer verminderten Krafteinwirkung auf das VKB nach ACWHTO.29,31,39–42 Auch konnte gezeigt werden, dass durch dieses Verfahren die anteriore tibiale Translation reduziert werden kann.41,43
Allerdings fehlt bisher ein einheitlicher Grenzwert des tibialen Slopes, der im Revisionssetting einer VKB-Rekonstruktion eine absolute Indikation zur operativen Korrektur darstellt.23 In der Literatur wird ein tibialer Slope ≥12° am häufigsten als Indikation für eine Slope-reduzierende Osteotomie genannt.28,29,43 Dracic et al. empfehlen dagegen bereits ab einem tibialen Slope von 10,1° eine solche Osteotomie, da dieser Cut-off in ihrer Studie mit einer 11-fach erhöhten Rerupturrate und einer Spezifität von 98% zur Vorhersage eines Transplantatversagens assoziiert war.44
Zu berücksichtigende Faktoren
Bei der Indikationsstellung und Planung einer Slope-Korrektur im Revisionssetting sollten andere Ursachen des Transplantatversagens ausgeschlossen und weitere patientenspezifische Faktoren berücksichtigt werden.23 So kann die Indikation insbesondere bei Patienten mit vermehrter anteriorer tibialer Translation (>5mm), mehrfacher vorausgegangener VKB-Rekonstruktion und/oder einer Insuffizienz des posterioren medialen Meniskushorns verstärkt gegeben sein.45 Dagegen ist bei vorbestehender Hyperextension Zurückhaltung geboten, da eine Slope-Reduktion die Hyperextension weiter verstärken und dadurch die Belastung des VKB-Transplantats erhöhen kann.12,45 Ein postoperativer Zielwert von etwa 5–7° wird empfohlen, wobei das Ausmaß der Korrektur individuell anhand des präoperativen tibialen Slopes, der Hyperextension und der Patellahöhe festzulegen ist.23 Hinsichtlich der Operationstechnik kann die ACWHTO supra-, trans-, oder infratuberkulär erfolgen. Bisher existiert hier keine klare Empfehlung hinsichtlich einer bestimmten Technik und sie sollte anhand der anatomischen Gegebenheiten und der operativen Erfahrung ausgewählt werden.23,39 Der längere Keil bei distaler Ausleitung der Osteotomie limitiert jedoch bei der infratuberkulären Osteotomie die Korrektur großer Fehlstellungen, wohingegen supratuberkuläre Osteotomien die Patellahöhe beeinflussen. Ebenso besteht noch kein unumstrittener Konsens, ob die Slope-Korrektur einzeitig mit der VKB-Rekonstruktion oder zweizeitig durchgeführt werden sollte.36
Varuskorrektur
Die exakte präoperative Analyse der Fehlstellung ist die Voraussetzung einer adäquaten Therapieplanung. Ziel ist dabei die Korrektur am Ort der Fehlstellung unter Vermeidung einer Überkorrektur mit resultierendem unphysiologischem medialem proximalem Tibiawinkel (MPTA) oder lateralem distalem Femurwinkel (LDFA). Sollte die Fehlstellung aus der proximalen Tibia resultieren, kommt überwiegend eine „medial open wedge high tibial osteotomy“ (MOWHTO) zur Anwendung, während bei femoraler Fehlstellung typischerweise eine „lateral closing wedge distal femoral osteotomy“ (LCWDFO) erfolgt.
Im Zusammenhang mit VKB-Rekonstruktionen besteht bislang nur eine begrenzte Evidenz für die Kombination einer Varuskorrektur mittels distaler Femurosteotomie (DFO) mit einer gleichzeitigen VKB-Rekonstruktion. Demgegenüber haben sich valgisierende hohe tibiale Osteotomien (HTO) in Kombination mit VKB-Rekonstruktionen in mehreren Studien bereits als erfolgreiche Verfahren erwiesen.26,30,35,46–48
Die Indikationsstellung ist dabei abhängig vom Ausmaß der Fehlstellung sowie von begleitenden Pathologien. In der Literatur gelten insbesondere Patienten mit Double- oder Triple-Varus und/oder medial betonter Gonarthrose als geeignet für eine VKB-Rekonstruktions-Revision in Kombination mit einer HTO.26,30,45,49 Da ein isolierter Primary-Varus ohne dynamische Instabilität nicht zu einer signifikanten Mehrbelastung des VKB führt, stellt er keine eigenständige Indikation zur Achskorrektur im Revisionsfall dar.27 Darüber hinaus ist zu berücksichtigen, dass Varusfehlstellungen einen wesentlichen Risikofaktor für die Entwicklung und Progression einer medialen Chondropathie darstellen und bei VKB-Revisionen in bis zu 46% der Fälle mit begleitenden Meniskus- und Knorpelschäden assoziiert sind.50–52 Das gleichzeitige Vorliegen einer medialen Chondropathie bei varischem, VKB-insuffizientem Knie wird daher als zusätzlicher Indikationsfaktor für eine operative Achskorrektur gewertet(Abb. 1 + 2).50
Abb. 1: 13-jähriger männlicher Fußballspieler mit VKB-Ruptur rechts (A), Valgusfehlstellung von 9° rechts aus dem distalen Femur (LDFA = 81°), proximaler Tibia (MPTA = 91°), Valgus von 5° Grad links primär aus dem distalen Femur (LDFA 84°) (C). Erfolgte Hemiepiphyseodese am medialen distalen Femur und an der medialen proximalen Tibia rechts sowie VKB-Plastik (4-Strang-Semitendinosus-Graft) (B). Korrekturerfolg vier Monate postoperativ (D)
Abb. 2: 33-jährige ehemalige Leichtathletin mit einer primären VKB-Ruptur (A), deutliche Chondropathie im medialen Kompartiment, Varusfehlstellung von 9° primär aus dem distalen Femur resultierend (LDFA 92° [C]), behandelt mit einer einzeitigen CW-DFO und VKB-Plastik (4-Strang-Semitendinosus-Graft)
Kombinierte Korrektur koronarer und sagittaler Fehlstellung
Ein kombiniertes Korrekturverfahren der koronaren und sagittalen Fehlstellung ist insbesondere bei Patienten mit klinisch relevanter Varusfehlstellung und gleichzeitig erhöhtem tibialem Slope (≥12°) im Revisionssetting der VKB-Rekonstruktion indiziert.
Eine biomechanische Studie zeigt, dass eine isolierte Varuskorrektur zu einer Zunahme der anterioren tibialen Translation und damit zu einer erhöhten funktionellen Instabilität führen kann, während eine zusätzliche Slope-Reduktion diese Effekte signifikant reduziert.50 Zudem ist zu berücksichtigen, dass mediale „Open wegde“-HTO (OW-HTO) den tibialen Slope tendenziell erhöhen; eine Metaanalyse zeigte postoperativ einen im Mittel um 2,02° erhöhten tibialen Slope im Vergleich zum präoperativen Ausgangswert.53 Da ein erhöhter tibialer Slope mit einem signifikant gesteigerten Risiko für eine Reruptur bzw. für Transplantatversagen assoziiert ist, wird bei gleichzeitig steilem tibialem Slope von einer isolierten koronaren Korrektur abgeraten.54
Entsprechend konnte gezeigt werden, dass die kombinierte Korrektur von Varus und tibialem Slope unter axialer Belastung zu einer deutlichen Reduktion der VKB-Transplantatkräfte – in experimentellen Modellen um bis zu 58% – führt.35 In Revisionssituationen mit varischer Beinachse und gleichzeitig steilem tibialem Slope stellt daher eine biplanare Osteotomie mit kombinierter Varus- und Slope-Korrektur, ergänzt durch eine simultane oder zweizeitige VKB-Rekonstruktion, die biomechanisch sinnvollste Strategie dar.23,50 Der Einsatz patientenspezifischer Instrumente (PSI) kann dabei die Präzision der kombinierten Varus- und Slope-Korrektur erhöhen und ist eine sinnvolle Unterstützung der präoperativen Planung sowie der intraoperativen Umsetzung (Abb. 3).
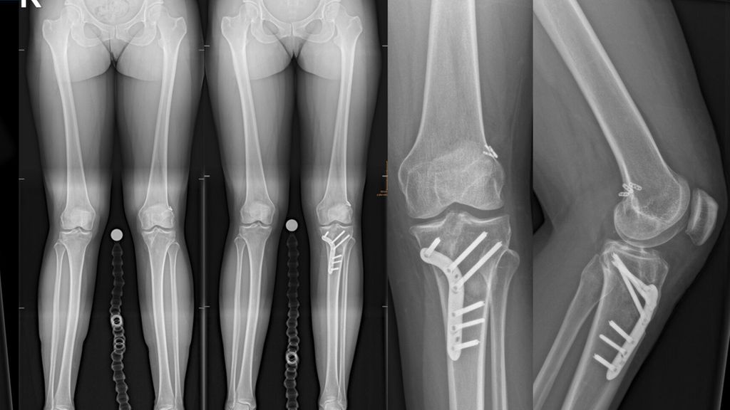
Abb. 3: 33-jährige weibliche Patientin mit zweifacher VKB-Reruptur (A) mit einem erhöhten tibialen Slope von 15° (B) und einer Valgusfehlstellung von 3° (C), behandelt mit einer einzeitigen Revision mitipsilateralem Quadricepssehnengraft und einer varisierenden Slope-reduzierenden HTO (D, E, F)
Fazit
Knöcherne Achsfehlstellungen der unteren Extremität sollten bei der Beurteilung und Behandlung von VKB-Rupturen konsequent berücksichtigt werden, da sie die biomechanische Belastung des VKB und des Transplantats wesentlich beeinflussen können. Trotz zunehmender biomechanischer und klinischer Evidenz fehlt bislang ein einheitlicher Konsens hinsichtlich klar definierter Grenzwerte sowie standardisierter Entscheidungsalgorithmen. Aus diesem Grund sollte die Indikationsstellung zur Achskorrektur weiterhin individuell und unter Berücksichtigung der jeweiligen Pathoanatomie erfolgen. Zukünftige Studien mit standardisierten und einheitlichen Messmethoden sind wünschenswert, um belastbare Entscheidungs- und Behandlungsalgorithmen ableiten zu können.
Literatur:
1 Gifstad T et al.: Inferior results after revision ACL reconstructions: a comparison with primary ACL reconstructions. Knee Surg Sports Traumatol Arthrosc 2013; 21(9): 2011-8 2 Grassi A et al.: Does revision ACL reconstruction measure up to primary surgery? A meta-analysis comparing patientreported and clinicianreported outcomes, and radiographic results. Br J Sports Med 2016; 50(12): 716-24 3 Wright RW et al.: Outcome of revi-sion anterior cruciate ligament reconstruction: a systematic review. J Bone Joint Surg Am 2012; 94(6): 531-6 4 Shen X et al.: A systematic review of risk factors for anterior cruciate ligament reconstruction failure. Int J Sports Med 2021; 42(8): 682-93 5 Zhao D et al.: Risk factors for revision or rerupture after anterior cruciate ligament reconstruction: a systematic review and meta-analysis. Am J Sports Med 2023; 51(11): 3053-75 6 Mitchell JJ et al.: Primary versus revision anterior cruciate ligament reconstruction: patient demographics, radiographic findings, and associated lesions. Arthroscopy 2018; 34(3): 695-703 7 Cronström A et al.: Return to sports: A risky business? A systematic review with meta-analysis of risk factors for graft rupture following ACL reconstruction. Sports Med Auckl NZ 2023; 53(1): 91-110 8 Feucht MJ et al.: The role of the tibial slope in sustaining and treating anterior cruciate ligament injuries. Knee Surg Sports Traumatol Arthrosc 2013; 21(1): 134-45 9 Dejour H, Bonnin M: Tibial translation after anterior cruciate ligament rupture. Two radiological tests compared. J Bone Joint Surg Br 1994; 76(5): 745-9 10 Marouane H et al.: Steeper posterior tibial slope markedly increases ACL force in both active gait and passive knee joint under compression. J Biomech 2014; 47(6): 1353-9 11 Pearce SL et al.: Biomechanical analysis of tibial motion and ACL graft forces after ACLR with and without LET at varying tibial slopes. Am J Sports Med 2023; 51(10): 2583-8 12 Bernhardson AS et al.: Tibial slope and its effect on force in anterior cruciate ligament grafts: anterior cruciate ligament force increases linearly as posterior tibial slope increases. Am J Sports Med 2019; 47(2): 296-302 13 McLean SG et al.: The relationship between anterior tibial acceleration, tibial slope, and ACL strain during a simulated jump landing task. J Bone Joint Surg Am 2011; 93(14): 1310-7 14 Webb JM et al.: Posterior tibial slope and further anterior cruciate ligament injuries in the anterior cruciate ligamentreconstructed pa-tient. Am J Sports Med 2013; 41(12): 2800-4 15 Ni QK et al.: Steep posterior tibial slope and excessive anterior tibial translation are predictive risk factors of primary anterior cruciate ligament reconstruction failure: a case-control study with prospectively collected data. Am J Sports Med 2020; 48(12): 2954-61 16 Souvik P et al.: High posterior tibial slope increases graft failure risk but does not impair functional outcomes after primary ACL reconstruction. Knee Surg Sports Traumatol Arthrosc 2025; doi: 10.1002/ksa.70154 17 Duerr R et al.: Elevated posterior tibial slope is associated with anterior cruciate ligament reconstruction failures: a systematic review and metaanalysis. Arthroscopy 2023; 39(5): 1299-1309.e6 18 Dean RS et al.: Posterior tibial slope in patients with torn ACL reconstruction grafts compared with primary tear or native ACL: a systematic review and meta-analysis. Orthop J Sports Med 2022; 10(4): 23259671221079380 19 Li Y et al.: Are failures of anterior cruciate ligament reconstruction associated with steep posterior tibial slopes? A case control study. Chin Med J (Engl) 2014; 127(14): 2649-53 20 Moran TE et al.: Combined tibial deflexion osteotomy and anterior cruciate ligament reconstruction improves knee function and stability: a systematic review. J ISAKOS 2024; 9(4): 709-16 21 Yoo JH et al.: Anatomical references to assess the posterior tibial slope in total knee arthroplasty: a comparison of 5 anatomical axes. J Arthroplasty 2008; 23(4): 586-92 22 Tanel L et al.: Assessing tibial slope measurements: a study of methodological consistency and correlation with ACL rupture. Orthop Traumatol Surg Res 2025; 104330 23 Wackerle AM et al.: Assessment and surgical correction of posterior tibial slope in revision anterior cruciate ligament surgery: an international expert delphi consensus statement. J ISAKOS 2025; 13: 100900 24 Dean RS et al.: Posterior tibial slope measurements using the anatomic axis are significantly increased compared with those that use the mechanical axis. Arthroscopy 2021; 37(1): 243-9 25 Faschingbauer M et al.: Can the tibial slope be measured on lateral knee radiographs? Knee Surg Sports Traumatol Arthrosc 2014; 22(12): 31637 26 Noyes FR et al.: High tibial osteotomy and ligament reconstruction for varus angulated anterior cruciate ligamentdeficient knees. Am J Sports Med 2000; 28(3): 282-96 27 van de Pol GJ et al.: Varus alignment leads to increased forces in the anterior cruciate ligament. Am J Sports Med 2009; 37(3): 481-7 28 Tollefson LV et al.: Slope-reducing proximal tibial osteotomy improves outcomes in anterior cruciate ligament reconstruction patients with elevated posterior tibial slope, especially revisions and posterior tibial slope ≥12. Arthroscopy 2025; 41(8): 3184-95 29 Vivekanantha P et al.: The commonest indication for performing a slope-reducing osteotomy with an anterior cruciate ligament reconstruction is graft failure with a posterior tibial slope of 12° or greater: a systematic review of indications, techniques, and outcomes. Arthroscopy 2025; 41(10): 4346-4356.e4 30 Stride D et al.: Indications and outcomes of simultaneous high tibial osteotomy and ACL reconstruction. Knee Surg Sports Traumatol Arthrosc 2019; 27(4): 1320-31 31 Wang D et al.: Effect of slope-reducing tibial osteotomy with primary anterior cruciate ligament reconstruction on clinical and radio-logical results in patients with a steep posterior tibial slope and excessive anterior tibial subluxation: propensity score matching with a minimum 2-year follow-up. Am J Sports Med 2025; 53(6): 1381-91 32 Fabricant PD et al.: Simultaneous anterior cruciate ligament reconstruction and implantmediated guided growth to correct genu valgum in skeletally immature patients. J ISAKOS 2023; 8(3): 184-8 33 O’Brien AO et al.: Concomitant anterior cruciate ligament reconstruction and temporary hemiepiphysiodesis in the skeletally immature: a combined technique. J Pediatr Orthop 2019; 39(7): e500-5 34 Ellsworth BK et al.: Use of implant-mediated guided growth with tension band plate in skeletally immature patients with knee patholgy: a retrospective review. HSS J 2022; 18(3): 399-407 35 Marriott K et al.: Five-year changes in gait biomechanics after concomitant high tibial osteotomy and ACL reconstruction in patients with medial knee osteoarthritis. Am J Sports Med 2015; 43(9): 2277-85 36 Zaffagnini S et al.: Combined ACL reconstruction and closing-wedge HTO for varus angulated ACL-deficient knees. Knee Surg Sports Traumatol Arthrosc 2013; 21(4): 934-41 37 Trojani C et al.: Anterior cruciate ligament reconstruction combined with valgus high tibial osteotomy allows return to sports. Orthop Traumatol Surg Res 2014; 100(2): 209-12 38 Vermeijden HD et al.: Trauma and femoral tunnel position are the most common failure modes of anterior cruciate ligament reconstruction: a systematic review. Knee Surg Sports Traumatol Arthrosc 2020; 28(11): 3666-75 39 Rozinthe A et al.: Tibial slope correction combined with second revision ACLR grants good clinical outcomes and prevents graft rupture at 7-15-year follow-up. Knee Surg Sports Traumatol Arthrosc 2022; 30(7): 2336-41 40 Wang D et al.: Slopereducing tibial osteotomy combined with primary or revision ACL reconstruction improves knee stability and subjective function in patients with steep posterior tibial slope: a systematic review and metaanalysis. Int J Surg 2025; 112(1):1855-64 41 Imhoff FB et al.: Slopereducing tibial osteotomy decreases ACL-graft forces and anterior tibial translation under axial load. Knee Surg Sports Traumatol Arthrosc 2019; 27(10): 3381-9 42 Sonnery-Cottet B et al.: Proximal tibial anterior closing wedge osteotomy in repeat revision of anterior cruciate ligament reconstruction. Am J Sports Med 2014; 42(8): 1873-80 43 Vivacqua T et al.: Closing-wedge posterior tibial slope-reducing osteotomy in complex revision ACL reconstruction. Orthop J Sports Med 2023; 11(1): 23259671221144786 44 Dracic A et al.: Cut-off value for the posterior tibial slope indicating the risk for retear of the anterior cruciate ligament. Knee Surg Sports Traumatol Arthrosc 2025; 33(8): 2896-904 45 Condello V et al.: Management of anterior cruciate ligament revision in adults: the 2022 ESSKA consensus: part II-surgical strategy. Knee Surg Sports Traumatol Arthrosc 2023; 31(11): 4652-61 46 Williams RJ et al.: The shortterm outcome of surgical treatment for painful varus arthritis in association with chronic ACL defi-ciency. J Knee Surg 2003 J; 16(1): 9-16 47 Mehl J et al.: ACL deficiency and varus osteoarthritis: high tibial osteotomy alone or combined with ACL reconstruc-tion? Arch Orthop Trauma Surg 2017; 137(2): 233-40 48 Zaffagnini S et al.: Combined ACL reconstruction and closing-wedge HTO for varus angulated ACL-deficient knees. Knee Surg Sports Traumatol Arthrosc 2013; 21(4): 934-41 49 Kim SJ et al.: Is correctional osteotomy crucial in primary varus knees undergoing anterior cruciate ligament reconstruction? Clin Orthop 2011; 469(5): 1421-6 50 Imhoff FB et al.: Effect of slope and varus correction high tibial osteotomy in the ACL-deficient and ACL-reconstructed knee on kinematics and ACL graft force: A biomechanical analysis. Am J Sports Med 2021; 49(2): 410-6 51 Won HH et al.: Coronal limb alignment and indications for high tibial osteotomy in patients undergoing revision ACL reconstruction. Clin Orthop 2013; 471(11): 3504-11 52 Chen JL et al.: Differences in mechanisms of failure, intraoperative findings, and surgical characteristics between single- and multiple-revision ACL reconstructions: a MARS cohort study. Am J Sports Med 2010; 41(7): 1571-8 53 Nha KW et al.: Change in posterior tibial slope after open-wedge and closed-wedge high tibial osteotomy: A meta-analysis. Am J Sports Med 2016; 44(11): 3006-13 54 Dean CS et al.: Clinical outcomes of high tibial osteotomy for knee instability: A systematic review. Orthop J Sports Med 2016; 4(3): 2325967116633419
Das könnte Sie auch interessieren:
Elektive Hüft-TEP bei Adipositas Grad III
Übergewichtige Patient:innen leiden früher als normalgewichtige Personen an einer Hüft- oder Kniearthrose. Allerdings sieht die aktuelle S3-Leitlinie zur Behandlung der Coxarthrose in ...
Evidenz zur medialen Meniskusrefixation
Mediale Meniskusläsionen gehören zu den häufigsten Ursachen für belastungsabhängige Knieschmerzen und Funktionsverlust. In den vergangenen zwei Jahrzehnten hat sich ein deutlicher ...
Die anatomische Rekonstruktion der Rotatorenmanschette
Trotz moderner arthroskopischer Verfahren sind in der Literatur teils hohe Rerupturraten nach Rotatorenmanschettenrekonstruktionen beschrieben. Dies wirft die Frage auf, ob im Zuge ...