Traitement de la diverticulite sigmoïdienne – directives actualisées
Auteur:
Prof. Dr méd. Robert Rosenberg
Klinik für Chirurgie & Viszeralchirurgie
Kantonsspital Baselland
Liestal
E-mail: robert.rosenberg@ksbl.ch
Vielen Dank für Ihr Interesse!
Einige Inhalte sind aufgrund rechtlicher Bestimmungen nur für registrierte Nutzer bzw. medizinisches Fachpersonal zugänglich.
Sie sind bereits registriert?
Loggen Sie sich mit Ihrem Universimed-Benutzerkonto ein:
Sie sind noch nicht registriert?
Registrieren Sie sich jetzt kostenlos auf universimed.com und erhalten Sie Zugang zu allen Artikeln, bewerten Sie Inhalte und speichern Sie interessante Beiträge in Ihrem persönlichen Bereich
zum späteren Lesen. Ihre Registrierung ist für alle Unversimed-Portale gültig. (inkl. allgemeineplus.at & med-Diplom.at)
La diverticulite sigmoïdienne est l’une des pathologies viscérales les plus fréquentes. Les hospitalisations sont en augmentation dans le monde entier, avec une prévalence croissante. On a longtemps pensé qu’il s’agissait d’une maladie liée à l’âge, mais des données récentes montrent que l’incidence de la maladie augmente de manière significative chez les moins de 50 ans. Le traitement de la diverticulite sigmoïdienne a considérablement évolué au cours des dernières années. Les recommandations thérapeutiques actuelles peuvent être consultées dans la directive S3 publiée l’année dernière.1 La particularité de cette directive est que des gastroentérologues ainsi que des chirurgiens viscéraux y ont participé, et que les sociétés spécialisées européennes comme internationales l’ont très rapidement approuvée.
Keypoints
-
La diverticulite simple aiguë sans facteur de risque fait l’objet d’une thérapie conservatrice. Cela peut se faire en ambulatoire, sous la surveillance d’un médecin de famille et sans antibiothérapie. Une diverticulite simple traitée avec succès ne constitue pas une indication d’une opération.
-
Une diverticulite aiguë avec micro-abcès de type 2a (≤3cm) doit faire l’objet d’une hospitalisation et d’une antibiothérapie. Après un traitement réussi, il n’y a pas d’indication d’une opération impérative. En revanche, les patients présentant un macro-abcès de type 2b (>3cm) doivent subir un drainage percutané de l’abcès et être opérés dans l’intervalle sans inflammation.
-
La perforation libre avec péritonite de type 2c constitue une indication d’une opération d’urgence.
-
En cas de forme chronique récidivante de type 3b, l’indication d’une opération doit être posée après une détermination minutieuse du rapport bénéfice-risque en fonction des symptômes individuels. Dans les études, la qualité de vie après résection sigmoïdienne est significativement meilleure qu’après une thérapie conservatrice à long terme.
-
L’opération est si possible mini-invasive – réalisée par laparoscopie ou robot-assistée.
La diverticulite simple aiguë sans facteur de risque fait l’objet d’une thérapie conservatrice. Cela peut se faire en ambulatoire, sous la surveillance d’un médecin de famille et sans antibiothérapie. Une diverticulite simple traitée avec succès ne constitue pas une indication d’une opération.
Une diverticulite aiguë avec micro-abcès de type 2a (≤3cm) doit faire l’objet d’une hospitalisation et d’une antibiothérapie. Après un traitement réussi, il n’y a pas d’indication d’une opération impérative. En revanche, les patients présentant un macro-abcès de type 2b (>3cm) doivent subir un drainage percutané de l’abcès et être opérés dans l’intervalle sans inflammation. La perforation libre avec péritonite de type 2c constitue une indication d’une opération d’urgence.
En cas de forme chronique récidivante de type 3b, l’indication d’une opération doit être posée après une détermination minutieuse du rapport bénéfice-risque en fonction des symptômes individuels. Dans les études, la qualité de vie après résection sigmoïdienne est significativement meilleure qu’après une thérapie conservatrice à long terme.
L’opération est si possible mini-invasive – réalisée par laparoscopie ou robot-assistée.
Diagnostic
Les symptômes typiques de la diverticulite sigmoïdienne sont des douleurs soudaines avec défense abdominale du côté gauche ainsi que des paramètres inflammatoires élevés (CRP/leucocytose), éventuellement de la fièvre. Cependant, aucun type de maladie ne peut être défini avec suffisamment de certitude sur la seule base du tableau clinique et des résultats de laboratoire. Les techniques d’imagerie telles que l’échographie et la tomodensitométrie sont décisives. La sévérité de la maladie pouvant être très variable, la directive exige la confirmation du diagnostic et la classification de la maladie. La radiographie conventionnelle sous forme de lavement avec produit de contraste du côlon ne joue aucun rôle dans le diagnostic. La coloscopie ne présente aucun intérêt en cas d’inflammation aiguë. En raison du profil de risque et à titre préventif, une coloscopie totale élective doit toutefois être effectuée 6 semaines après la disparition des symptômes de la diverticulite.
Classification
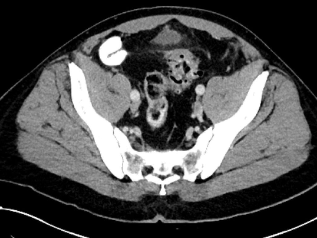
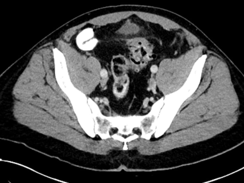
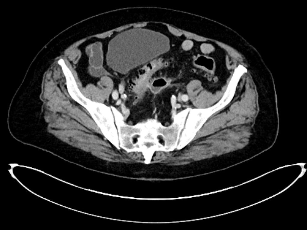
Pour la classification de la diverticulite sigmoïdienne, la «Classification of Diverticular Disease» (CDD) s’est imposée (Tab. 1). Celle-ci a pour but de recueillir les différentes évolutions indépendamment d’une opération ainsi que de stratifier les différents pronostics et options thérapeutiques lors du premier diagnostic ou en cas de récidive. Une distinction est faite entre les formes suivantes:
-
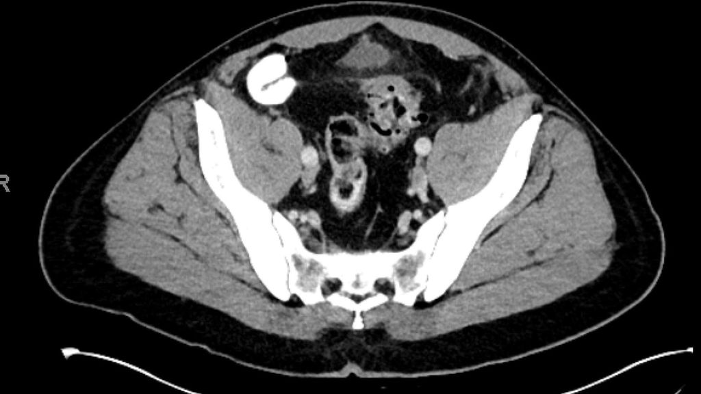
maladie diverticulaire/diverticulite simple aiguë (type 1a–b) (Fig. 1),
-
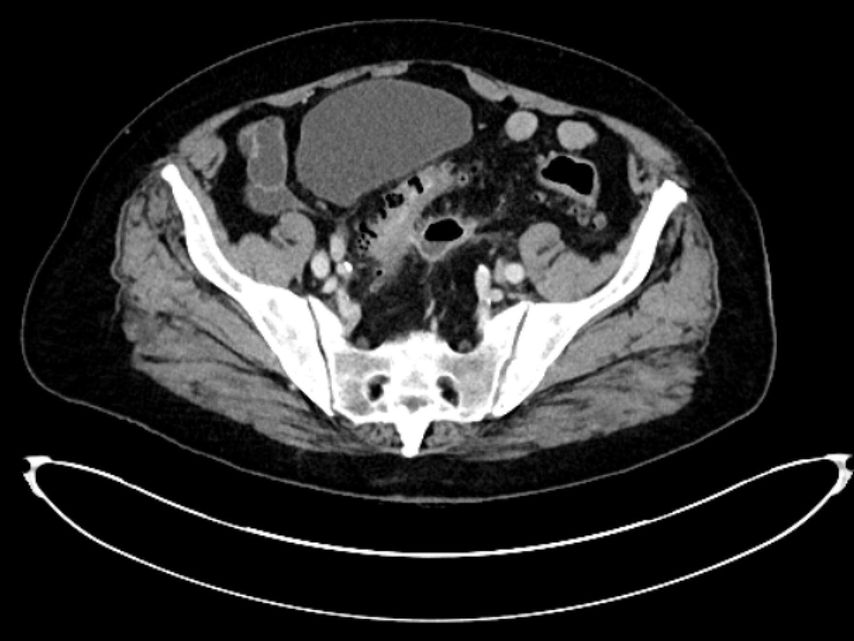
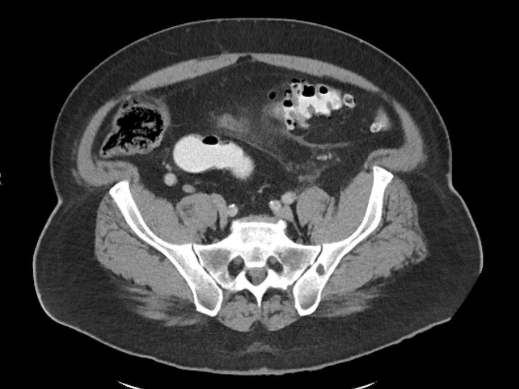
diverticulite compliquée aiguë (type 2a–c) (Fig. 2 et 3) et
-
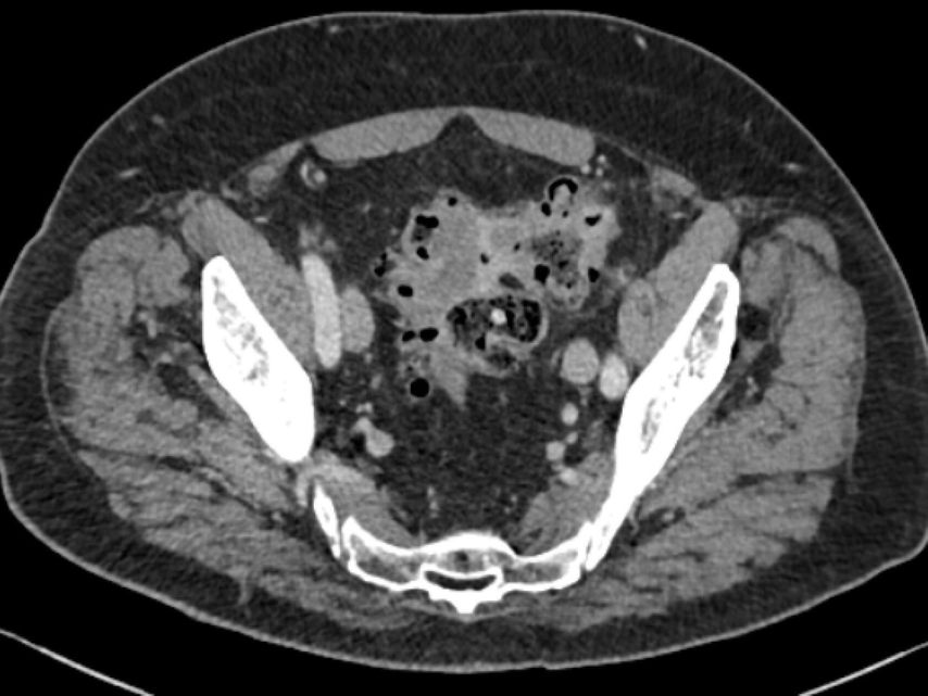
maladie diverticulaire chronique (maladie diverticulaire symptomatique récidivante ou persistante; type 3a–c) (Fig.4).
Tab. 1: Classification de la maladie diverticulaire selon la CDD (Classification of Diverticular Disease) (adaptée selon Leifeld et al., 2022)1
Traitement
Le traitement de la diverticulite simple aiguë est avant tout une thérapie conservatrice. Il est établi que les formes d’évolution simple ont un bon pronostic et ne nécessitent généralement aucune opération. En outre, les évolutions simples de la maladie (absence de signes de maladie sévère, absence de facteurs de risque) peuvent être traitées en ambulatoire si la qualité de la prise en charge est assurée et si un suivi médical étroit de l’évolution est possible. Les patients présentant des formes compliquées et ceux à risque doivent être hospitalisés.
Diverticulite simple (type 1)
Dans le cadre de la thérapie conservatrice, l’accent est mis sur l’indication d’une antibiothérapie. Alors que les antibiotiques étaient généreusement administrés à chaque suspicion de maladie diverticulaire aiguë par le passé, les recommandations ont radicalement changé suite aux résultats de grandes études. Pour les formes simples de maladie diverticulaire sans indicateur de risque particulier, le traitement par des antibiotiques systémiques pendant plus d’une semaine n’a montré aucun avantage. Cela signifie qu’en cas de diverticulite simple aiguë, en l’absence d’indicateurs de risque et sous réserve d’un contrôle clinique étroit, il est possible de renoncer à une antibiothérapie. Les facteurs de risque pour lesquels une antibiothérapie doit être administrée sont décrits dans le tableau 2.
Après une thérapie conservatrice réussie, il ne faut pas pratiquer de résection sigmoïdienne élective chez un patient ne présentant aucun symptôme, indépendamment de ses antécédents médicaux. Après l’échec d’une thérapie conservatrice (symptômes persistants au sens d’une «smoldering diverticulitis»), une résection sigmoïdienne élective peut permettre d’améliorer la qualité de vie.
Diverticulite compliquée (type 2)
La diverticulite compliquée aiguë de type 2 distingue, avec les types 2a et 2b, la perforation couverte avec micro-abcès (≤3cm) et macro-abcès (>3cm). Le type 2c désigne la perforation libre avec péritonite purulente ou fécale. La diverticulite compliquée aiguë nécessite une hospitalisation et doit être traitée par une antibiothérapie. Si l’apport en liquides est insuffisant, il convient de substituer les liquides par voie parentérale. Un apport alimentaire adapté à la situation peut être mis en place. Contrairement au macro-abcès de type 2b, le micro-abcès de type 2a n’est pas accessible au drainage interventionnel. Si le traitement est efficace, il n’y a pas forcément d’indication d’une opération élective. Il convient de noter que le risque de récidive est corrélé à la taille de l’abcès. Les abcès rétropéritonéaux ou péricoliques (>3cm) peuvent faire l’objet d’un drainage interventionnel. Après une thérapie conservatrice ou interventionnelle réussie de la diverticulite, une opération peut être proposée dans l’intervalle sans inflammation, après environ 6 semaines.
La perforation libre de type 2c constitue une situation d’urgence et il convient d’opérer dès que le diagnostic est posé. Il y a urgence, car l’absence de nettoyage du foyer est associée à une létalité de 40 à 85% en cas de sepsis abdominal.3 Il faut viser une résection rectosigmoïdienne avec anastomose, avec ou sans iléostomie de protection. Selon la situation, une résection avec discontinuité selon Hartmann peut être réalisée en alternative.4
Diverticulite chronique récidivante
La diverticulite chronique récidivante de type 3b est pertinente dans la pratique clinique quotidienne. Elle se caractérise par des inflammations récurrentes et intermittentes des diverticules. Contrairement à ce que l’on pensait auparavant, les évolutions des poussées récurrentes ne sont pas plus intenses ou plus à risque. Le risque de perforation est considéré comme le plus élevé lors de la première poussée et diminue ensuite. Les intervalles entre les poussées inflammatoires ne peuvent pas être prédits.5 L’indication d’une opération et d’un nettoyage du foyer ne dépend plus du nombre de poussées inflammatoires antérieures. Les éléments essentiels pour la décision sont plutôt la dégradation de la qualité de vie due aux poussées inflammatoires ainsi que la détermination du rapport bénéfice-risque d’une opération. Une opération élective par intervalles se basant uniquement sur le nombre de poussées inflammatoires antérieures n’est pas considérée comme justifiée.
Des études récemment publiées ont pu mettre en évidence une amélioration significative de la qualité de vie après une résection sigmoïdienne élective par rapport à la thérapie conservatrice. De 2014 à 2018, une étude multicentrique finlandaise a évalué la résection sigmoïdienne élective par rapport à la thérapie conservatrice chez des patients atteints de diverticulite récidivante, compliquée ou persistante.6 85patients ont été inclus et réévalués après deux ans. Après deux ans, le score GIQLI pour la qualité de vie était significativement plus élevé chez les patients opérés que chez ceux sous thérapie conservatrice. 61% et 20% des patients sous thérapie conservatrice ont respectivement subi de nouvelles poussées inflammatoires et ont tout de même été opérés dans les deux ans. Les auteurs concluent que la résection sigmoïdienne élective est efficace pour prévenir de nouvelles poussées inflammatoires et qu’elle améliore significativement la qualité de vie.6 Une étude multicentrique néerlandaise est arrivée à la même conclusion.7
La méthode chirurgicale privilégiée de nos jours par les médecins expérimentés est la résection sigmoïdienne mini-invasive, qui peut être réalisée par laparoscopie ou être robot-assistée.8
Littérature:
1 Leifeld L et al.: Z Gastroenterol 2022; 60: 613-88 2 Humes DJ et al.: Dig Dis 2012; 30: 6-11 3 EmmanuelK et al.: World J Surg 2005; 29: 3-9 4 Lambrichts DP et al.: Int J Colorectal Dis 2020; 35: 1371-86 5 Holmer C et al.: Langenbecks Arch Surg 2011; 396: 825-32 6 Santos A et al.: JAMA Surg 2023; 158: 593-601 7 Lambrichts DPV et al.: Br J Surg 2019; 106: 458-66 8 Giuliani G et al.: Int J Colorectal Dis 2022; 37: 101-9
Das könnte Sie auch interessieren:
«Grâce à la Young Oncology Academy, j’ai pu me constituer un réseau»
La Young Oncology Academy (Academy) du Swiss Cancer Institute est un programme de promotion et de mentorat pour les jeunes oncologues. Le programme s’adresse aux médecins-assistants qui ...
«Ce serait bien d’établir un lien»
Le cancer du poumon de Michael Emmenegger-Müller a changé sa vie, mais pas sa motivation à s’engager pour les autres. Il a fondé l’organisation «Leben mit Lungenkrebs» (Vivre avec le ...
Anticorps bispécifiques dans les lymphomes indolents et agressifs
Les anticorps bispécifiques ont acquis une place de choix dans le traitement des lymphomes indolents et agressifs. Initialement, des études ont été menées sur les anticorps bispécifiques ...