Wenn Atmen gefährlich wird …
Autor:
Dr. Anton Hauleitner, BSc
Klinische Abteilung für Pneumologie
Universitätsklinikum Krems
Karl Landsteiner Privatuniversität für Gesundheitswissenschaften
E-Mail: anton.hauleitner@krems.lknoe.at
Sie sind bereits registriert?
Loggen Sie sich mit Ihrem Universimed-Benutzerkonto ein:
Sie sind noch nicht registriert?
Registrieren Sie sich jetzt kostenlos auf universimed.com und erhalten Sie Zugang zu allen Artikeln, bewerten Sie Inhalte und speichern Sie interessante Beiträge in Ihrem persönlichen Bereich
zum späteren Lesen. Ihre Registrierung ist für alle Unversimed-Portale gültig. (inkl. allgemeineplus.at & med-Diplom.at)
Dass Hämoptysen auch durch ungewöhliche Aktivitäten verursacht werden können, zeigt der folgende Fallbericht. Ein junger Patient wurde bewusstlos und mit Blutspuren vorgefunden und in die Notfallambulanz gebracht. Nachdem unterschiedliche Differenzialdiagnosen ausgeschlossen werden konnten, ergab sich eine unvermutete Genese seiner Symptomatik.
Keypoints
-
Forcierte Atemtechniken können zu relevanten Änderungen des intrathorakalen und transpulmonalen Druckes führen – mit Auswirkungen auf die Lungenkapillaren.
-
Die Genese von Hämoptysen ist vielseitig und insbesondere bei jungen Patienten ist eine genaue Anamnese erforderlich.
Aktive Hämoptysen stellen einen häufigen pneumologischen Notfall dar und bedürfen im Verlauf oft einer Bronchoskopie zur Blutstillung und Diagnostik. Es gibt eine Vielzahl an möglichen Genesen, wobei im klinischen Alltag vor allem Tumorerkrankungen, entzündliche Prozesse, Lungenembolien und Gefäßmalformationen häufige Ursachen darstellen. Eine äußerst seltene Ursache von Hämoptysen ist das Zerreißen von Kapillaren durch hohe transpulmonale Drücke bei extremen sportlichen Belastungen („exercise-induced pulmonary hemorrhage“).
Der folgende Fallbericht zeigt, dass diese pathophysiologischen Veränderungen und ihre Konsequenzen offenbar bereits mit einer forcierten Atemtechnik hervorgerufen werden können.
Fallbericht
Ein 25-jähriger männlicher Patient wurde mit der Rettung in der Notfallambulanz vorstellig. Der Bruder des Patienten alarmierte die Einsatzkräfte, nachdem er den Patienten bewusstlos und mit Blutspuren auf dem T-Shirt am Boden liegend vorgefunden hatte. Es waren keine blutenden Wunden am Thorax, im Gesicht oder an den Schleimhäuten erkennbar, weshalb als Ursprung für die Blutspuren in erster Linie Hämoptysen infrage kamen. Der junge Mann hatte keine Vorerkrankungen, keine Dauermedikation und eine unauffällige Familienanamnese. Er war körperlich fit und hatte einen sportlichen Körperbau.
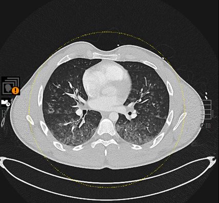
Mittels Pulmonalisangiografie-CT konnte eine Pulmonalembolie ausgeschlossen werden, dafür zeigten sich diffuse und ubiquitär verteilte alveoläre Konsolidierungen (Abb. 1). Eine ältere Bildgebung zum Vergleich lag nicht vor. In Anbetracht der bildmorphologischen Veränderungen wurde unter anderem die Verdachtsdiagnose einer Vaskulitis gestellt.
Laborserologisch zeigte sich ein unauffälliges Blut- bzw. Differenzialblutbild. Die Entzündungsparameter, Leber- und Nierenfunktionsparameter waren normwertig. Lediglich eine sehr milde Hypokaliämie (Kalium 3,3mmol/l) konnte gemessen werden. Die Arbeitshypothese einer Vaskulitis konnte im Verlauf nicht erhärtet werden. Vaskulitis-assoziierte Autoantikörper waren nicht nachweisbar, die Sonografie des Abdomens zeigte eine unauffällige Morphologie der dargestellten Organe und die erweiterte Harndiagnostik ergab einen unauffälligen Befund.
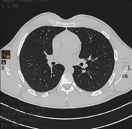
Während des stationären Aufenthaltes hatte der junge Patient keinen neuerlichen blutigen Auswurf. Vor einer geplanten Bronchoskopie mit Biopsie erfolgte eine neuerliche Thorax-CT, wobei sämtliche Konsolidierungen vollständig rückläufig waren (Abb. 2). Mögliche Differenzialdiagnosen waren an diesem Punkt entweder ausgeschlossen oder erschienen als sehr unwahrscheinlich. Es musste daher eine andere Genese geben.
Spezifische Anamnese
Nach einer neuerlichen genaueren Anamnese konnte erhoben werden, dass der Patient unmittelbar zuvor eine spezielle Atemübung durchgeführt hatte. Dabei handelte es sich um eine Hyperventilationsatmung, die von dem niederländischem Sportler Wim Hof definiert worden war und nach ihm benannt ist. Die Atemübung besteht aus:
-
30–40 tiefen und schnellen Atemzügen
-
gefolgt von maximaler Exspiration und Atmung anhalten
-
anschließender maximaler Inspiration und neuerlich Atmung anhalten
-
der Wiederholung dieses Zyklus 3- bis 4-mal
Bezugnehmend auf die Patientenanamnese wurde daher die Atemübung nach Wim Hof als wahrscheinlichste Ursache für die Hämoptysen angenommen. Diese Überlegung wurde insbesondere dadurch bestärkt, dass ein sehr ähnlicher Fall einige Monate zuvor bereits einmal beobachtet werden konnte. Dabei wurde ein 32-jähriger männlicher Patient von einem Primärversorgungskrankenhaus transferiert, ebenfalls aufgrund von blutigem Husten nach einer forcierten Hyperventilationsatemübung. Auch in diesem Fall bestanden keine Vorerkrankungen, keine Dauermedikation und eine unauffällige Familienanamnese. Auch dieser Patient präsentierte eine rasche projektionsradiografische restitutio ad integrum ohne spezielle Therapiemaßnahmen.
Pathophysiologische Hintergründe
Schematisch kann der Thorax als Ring und eine Halbkugel im gleichen Durchmesser sowie eine elastische Membran (Zwerchfell), die luftdicht zwischen Ring und Halbkugel eingelegt ist, dargestellt werden. Wenn sich der von außen einwirkende Druck nun erhöht, dann wird das eingeschlossene Luftvolumen kleiner und die Membran dehnt sich. Wenn die Druckwerte immer weiter ansteigen, kann die Membran sogar zerreißen.
Beim Tauchen gibt es folgende Situation: Wenn man ohne Tauchausrüstung abtaucht, wird der Druck von außen immer höher und gleichzeitig sinkt die Umgebungstemperatur. Dadurch sinkt das intrathorakale Luftvolumen immer mehr und das Zwerchfell beugt sich tief in den Thorax. Zusätzlich steigt das Blutvolumen der Lunge. Wenn schließlich die Dehnungskapazität der Lunge überschritten wird, kommt es zur Ruptur der Lungenkapillaren.
Diese Pathophysiologie kann nun auf unsere beiden Patienten und das forcierte Atemmanöver angewendet werden. Nach einer Hyperventilationsphase folgte eine maximale Exspiration. Dadurch reduzierte sich das intrathorakale Gasvolumen auf ein Minimum. Als die Inspiration durch das Anhalten der Atmung verzögert wurde, schloss sich die Glottis und der muskuläre Kompressionsdruck auf den Thorax wurde beendet. Dadurch entstand ein massiver Unterdruck im thorakalen Bereich. Bei diesem Unterdruck steigt das Blutvolumen der Lunge und die Lungenkapillaren reißen und verursachen Hämoptysen. Das gleiche Phänomen kann (in seltenen Fällen) bei extremen sportlichen Belastungen („exercise-induced pulmonary hemorrhage“) auftreten und ist auch im Tierbereich, vor allem bei Rennpferden, häufig dokumentiert.
Resümee
Forcierte Atemübungen erfreuen sich wachsender Beliebtheit, etwaige Risiken werden dabei jedoch kaum erwähnt oder beachtet. Wir konnten bereits zwei Patienten mit Hämoptysen auf Basis forcierter Atemübungen diagnostizieren. In beiden Fällen war differenzialdiagnostisch eine Vaskulitis zu erwägen, konnte aber ausgeschlossen werden. Beide Patienten wurden über die Folgen der Atemübungen aufgeklärt und stellten diese daraufhin ein.
Die Herleitung der zugrunde liegenden Pathophysiologie in den von uns beschriebenen Patientenfällen wurde dankenswerterweise durch den Input von Univ.-Prof. Dr. Horst Olschewski im Rahmen der Falldiskussion bei der Jahrestagung der ÖGP 2025 unterstützt.
Literatur:
● Citherlet T et al.: Acute effects of the Wim Hof breathing method on repeated sprint ability: a pilot study. Front Sports Act Living 2021; 3: 700757 ● Adir Y, Bove AA: Lung injury related to extreme environments. Eur Respir Rev 2014; 23(134): 416-26 ● Ghio AJ et al.: Exercise-induced pulmonary hemorrhage after running a marathon. Lung 2006; 184(6): 331-3
Das könnte Sie auch interessieren:
Etablierung einer interdisziplinären Dysphagiediagnostik
Die Betreuung von Menschen mit Schluckstörungen erfordert eine rasche, fundierte Diagnostik und ein Behandlungsteam aus Expert:innen unterschiedlicher Fachrichtungen. Das Kepler ...
Plötzlich Frühling: Die Pollensaison bleibt intensiv
Esche, Forsythien, Palmkätzchen und das Mastjahr bei den Birken: welche Pollenbelastungen aktuell zu erwarten sind und welche weiteren Faktoren die Symptome verschlimmern können.