Nicht immer Sublux: Syndesmosenverletzungen – ein Update
Autor:
Dr. Manfred Eppel
Universitätsklinik für Orthopädie und Traumatologie Paracelsus Medizinische Privatuniversität Salzburg
E-Mail: m.eppel@salk.at
„Bin mal wieder umgeknickt“: Sprunggelenkverletzungen, insbesondere Distorsionstraumen, zählen zu den häufigsten Verletzungen, ihre Schwere wird von den Betroffenen oft lange ignoriert. Nicht selten werden Syndesmosenverletzungen übersehen. Monate oder Jahre später kommen die Patienten mit persistierenden oder zunehmenden Beschwerden.
Keypoints
-
Reposition posteriores Fragment
-
Anatomische Reposition der Fibula
-
Stellschraube oder Suture-Button in Neutralstellung des Sprunggelenks
-
Anatomische Rekonstruktion der Syndesmose
-
Rekonstruktion Deltaband
Die Inzidenz von Verstauchungen des Sprunggelenks in der Bevölkerung ist sehr hoch. In mehreren Studien wurde nachgewiesen, dass Verletzungen der Sprunggelenkbänder mit etwa 25% die häufigsten Sportverletzungen darstellen. Darüber hinaus sind bis zu 80% aller Verstauchungen des Knöchels auf den seitlichen Bandkomplex zurückzuführen.1
Verletzung der Syndesmose treten bei bis zu 20% aller Knöchelverstauchungen auf und sind dabei der bedeutendste Faktor für persistierende Sprunggelenkbeschwerden Monate nach dem Trauma.2 Dabei sind sie aber als isolierte Syndesmosenverletzungen relativ selten und in der Regel mit anderen Läsionen der lateralen Knöchel kombiniert. Etwa 5% bedürfen einer operativen Versorgung.3
Eine Verletzung der Syndesmose – mit oder ohne Fraktur – ist klinisch nicht immer leicht zu erkennen und führt zu schlechten funktionellen Ergebnissen, wird sie nicht suffizient behandelt.
Bromfield wies 1773 als Erster auf die Notwendigkeit der syndesmotischen Aufhängung der Fibula zum freien Spiel des OSG im dorsoplantaren Bewegungsablauf hin.4
Diagnostik
Als klinische Tests haben der „External Rotation“-Test nach Frick und der Cotton-Test eine hohe Spezifität bei geringer Sensitivität.
Ein positiver Test zeigt sich bei Schmerzauslösung über der distalen Syndesmose, jedoch ohne Beweis der Syndesmoseninsuffizienz.
Mehrere Studien haben gezeigt, dass es schwierig ist, eine Syndesmosenverletzung mit Standardröntgen zu erkennen.5 Neben den klassischen Röntgenaufnahmen sind CT und MRT mittlerweile Standarduntersuchungen in der Abklärung von akuten und chronischen Syndesmosenläsionen, auch um Begleitverletzungen zu diagnostizieren.
Die Sprunggelenksarthroskopie zählt zum Goldstandard zur Evaluierung von intraartikulären Sprunggelenkspathologien unter dynamischer Untersuchung in der Hand des erfahrenen Arthroskopeurs. Die diagnostische Abklärung von Sprunggelenkinstabilitäten beinhaltet neben der Abklärung von osteochondralen Begleitverletzungen und des lateralen und medialen Bandapparates immer auch die Abklärung der Unversehrtheit des Syndesmosenkomplexes. Die Arthroskopie ermöglicht die Beurteilung der Syndesmosenweite durch Einbringen einer Shaverkanüle oder eines Trokars mit 3,5–4mm in den Syndesmosenspalt. Gelingt dies bei gleichzeitiger Außenrotation, zeigt dies eine sehr hohe Wahrscheinlichkeit der Ruptur sowohl des anterior-inferioren Tibiofibularligaments (AITFL) als auch des interossären Ligaments.6 Intraartikuläre Begleitpathologien, wie osteochondrale Läsionen, freie Gelenkkörper oder andere Bandläsionen können gleichzeitig adressiert werden.
Willenegger stellte 1961 fest, dass die posttraumatische Arthrose des Sprunggelenks fast immer auf eine Inkongruenz zwischen dem Sprunggelenk und dem Talus und nicht auf eine intraartikuläre Fraktur selbst zurückzuführen ist.7
Anatomie des distalen Syndesmosenkomplexes
Die syndesmotische Aufhängung der Fibula erfolgt durch 4 Bandstrukturen:8
Die Ligg. tibiofibulare anterius (AITFL) und posterius (PITFL) verlaufen im Winkel von 25–30° aufsteigend zur Tibia zur Gelenkebene des OSG. Die distalen Faserzüge sind schwächer als die proximalen Fasern. Das vordere Syndesmosenband ist schwächer als das hintere. Die hintere Syndesmose spielt die wichtigste Rolle und leistet 40–45% des Diastase-Widerstands, während das vordere Syndesmosenband/AITFL etwa 35% leistet.9
Das AITFL, mit einer Reißfestigkeit von 60–95kg (Länge 16mm, Breite 13–16mm) spannt in Plantarflexion und Eversion, das PITFL mit trapezoider Form wie das AITFL (12–16mm breit, 20mm lang) mit einer Reißfestigkeit bis 120kg hat eine maximale Spannung in Dorsalextension bzw. Neutralstellung.10
Das Lig. tibiofibulare interosseum (LTFI) ist ein kurzes, in seiner Stärke variierendes, kräftiges Band zwischen Tibia und Fibula und stellt die distale Verstärkung der Membrana interossea dar.6,8
Das Lig. tibiofibulare transversum, stärker als das Lig. tibiofibulare post., ventral-distal vor diesem verlaufend, stellt mit seiner querverlaufenden Bandstruktur den rückwertigen Anteil des Syndesmosenkomplexes dar.
Andere Arbeiten beschreiben das hintere inferiore tibiofibulare (PITFL) und transversale Band (TL), welches nicht immer abgrenzbar ist, als gemeinsame Struktur und damit stärksten Bandzügel des distalen Syndesmosenkomplexes.
Die Durchtrennung des Lig. tibiofibulare ant. führt zu einer Erweiterung der Incisura fibularis um 4–10mm bei Außenrotation der Fibula, die Durchtrennung des PITFL und Lig. interosseum nur zu einer geringfügigen Erweiterung der Syndesmose, die von AITFL und LTFI zur Syndesmosenerweiterung um 10mm. Laut Zwipp fielen von 100 Rupturen des ATFL 9,9 auf Bänder des USG und nur 0,8 auf das vordere Syndesmosenband.8
Verletzungsmechanismus
Typischerweise entstehen Syndesmosenverletzungen durch erzwungene Außenrotation des Talus bei gleichzeitiger Dorsalflexion sowie durch Inversion und gleichzeitige forcierte Außenrotation, insbesondere bei Kontaktsportarten, Eishockey, Skifahren etc., wo der Fuß in fixierter Stellung steht und dadurch die Gelenkgabel gesprengt wird.
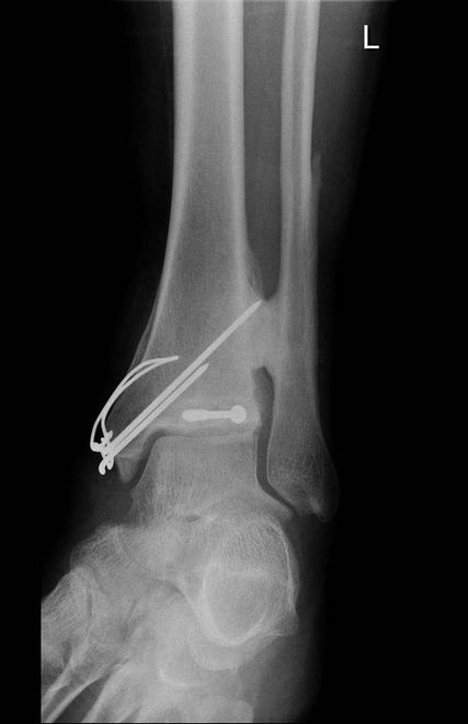
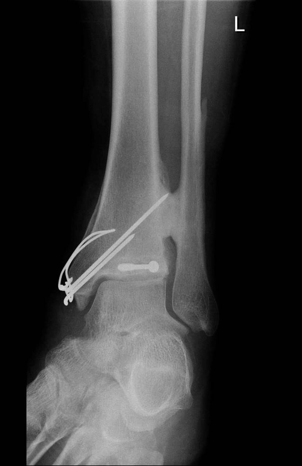
Deltabandverletzungen/Innenknöchelfrakturen sind verdächtig auf Syndesmosenläsionen. Bei bis zu 50% der Deltabandläsionen als Folge von Eversionsverletzungen liegen begleitend Syndesmosenverletzungen vor (Abb.1).11
Abb. 1: Erstdiagnose: undislozierte Innenknöchelfraktur. Intraoperativ: instabile Maisonneuve-Verletzung (= Innenknöchelfraktur + proximale Fibulafraktur), rupturiertes eingeschlagenes AITFL, Naht AITFL nach Stellschraubeneinbringung, Innenknöchel-Verschraubung
Klinik, klinische Diagnostik
Syndesmosenverletzungen werden häufig übersehen, bis zu 20 % werden bei erster Untersuchung in der Notaufnahme nicht erkannt.12
Abgesehen von instabilen Sprunggelenkfrakturen, die mit Syndesmosenverletzungen einhergehen, ist bei der isolierten Syndesmosenläsion klinisch eine regionale Schwellung mit lokalisiertem Druckschmerz über der vorderen Syndesmose erkennbar, wird aber oft als Sprunggelenkdistorsion missinterpretiert.
Folgende spezifische Stresstests wie u.a. zuvor angeführt geben Hinweise auf Syndesmosenverletzungen: Belastungstest bei Außenrotation, Cotton-Test, Dorsalflexions-Kompressionstest, Squeeze-Test, Fibulatranslationstest. Der Außenrotationstest zeigt eine gute Übereinstimmung.
Therapeutische Vorgehensweise
Grundsätzlich gilt: Isolierte Syndesmosenverletzungen sind relativ selten. Ziel der Behandlung einer Syndesmosenverletzung, entweder als alleiniger Brandverletzung oder in Begleitung von Frakturen, ist immer der Erhalt der Stabilität der Sprunggelenkgabel ohne pathologisches Spiel. Sämtliche dafür verantwortliche Stabilisatoren sind dabei diagnostisch abzuklären und therapeutisch zu berücksichtigen. Eine Überbehandlung instabiler Verletzungen ist wahrscheinlich besser als eine Unter- oder Nichtbehandlung, da der natürliche Verlauf einer unbehandelten syndesmotischen Instabilität im Laufe der Zeit mit einer schlechteren Prognose einhergeht.13
Mehrere Klassifikationen entsprechend dem Verletzungsausmaß liegen vor. Im Wesentlichen werden 3 Stufen, z.B. nach dem „West Point Ankle Grading“-System dargestellt und konservativer oder operativer Behandlung zugeordnet:
-
Grad I (Zerrung/Ruptur des AITFL ohne Instabilität): konservativ
-
Grad II (Ruptur des AITFL und Teilruptur des LTFI mit geringer Instabilität): konservativ oder operativ
-
Grad III (Komplettruptur aller Ligamente mit entsprechender Instabilität): operativ
Deltabandverletzungen/Innenknöchelfrakturen liegen zumindest partiell ab Grad II vor.14
Im ESSKA-AFAS-Konsensus 2016 wurde folgender Konsens bei akuten Läsionen nach Differenzierung in stabile und instabile Läsionen getroffen:15
-
Stabile Läsionen sind gekennzeichnet durch AITFL-Läsion mit oder ohne Läsion des IOL (interossäres tibiofibulares Ligament) mit erhaltenem Ligamentum deltoideum.
-
Instabile Läsionen sind in der Regel mit einer Läsion des Ligamentum deltoideum vergesellschaftet und werden in latente oder eindeutig instabile Läsionen unterteilt. Die latente Diastase kombiniert die AITFL-Ruptur mit oder ohne IOL und Deltabandriss. Bei der instabilen Diastase sind alle syndesmotischen Bänder und das Deltaband gerissen.
Die Definition der Stabilität ist für den Behandlungsalgorithmus von entscheidender Bedeutung!
Die OP-Technik zur Rekonstruktion der vorderen Syndesmose bei MaisonneuveFraktur folgt diesem Algorithmus:
-
Darstellung der vorderen Syndesmose (offen oder arthroskopisch)
-
Reposition der Fibula in Inzisur mit temporärer Fixation durch Bohrdraht in Neutralstellung des Sprunggelenks
-
Fixation der reponierten Fibula mit Stellschraube (30° in koronarer Ebene ansteigend, parallel zur Gelenkebene (ca. 2,5cm proximal)
-
Naht der vorderen Syndesmose (Direktnaht, Ankersysteme)
-
Naht des Innenbandes/Osteosynthese des Innenknöchels
Die Kontrolle der Reposition und Stabilisierung wird unter exakter Einstellung des Sprunggelenks unter Bildwandler durchgeführt. Die Einbringung der Stellschraube erfolgt bei in Reposition temporär mit Bohrdraht fixierter Fibula, um Fehlzentrierung zu vermeiden.16
Das gleiche Prozedere gilt bei der Anwendung von flexiblen Fixationssystemen. Repositionszangen sollten nicht verwendet werden, um eine Fehlreposition zu vermeiden. Mehrere Studien und Berichte haben eindeutig gezeigt, dass es möglich und sogar sehr wahrscheinlich ist, dass bei der Verwendung von Repositionsklemmen oder -zangen die Syndesmose überkomprimiert wird.17
Die Diskussion der Lage der „klassischen“ Stellschraube als 3,5-mm- (oder 4,5-mm-) Kortikalisschraube, vielen älteren Studien zufolge trikortikal als Goldstandardoder durch 4 Kortices eingebracht, ist nach wie vor in Diskussion und wird unter anderem von der Instabilität proximaler Fibulafrakturen abhängig gemacht. Die Höhe der Schraubenlage wird von 2cm bis 5cm oberhalb der Gelenklinie beschrieben. Die Autoren einer Metaanalyse kamen zum Schluss, dass bei supra- oder transsyndesmotischer Platzierung der Syndesmosenschraube kein Unterschied im Ergebnis vorliegt, vorausgesetzt, es kann das stabilste Konstrukt erzielt werden.18
Die klinischen Ergebnisse, vergleichend Suture-Button versus Stellschraube nach 2 und 5 Jahren, scheinen bei Patienten mit Suture-Button weniger Arthrosezeichen und weniger Komplikationen und Reoperationen zu zeigen.19
In der Metaanalyse zum biomechanischen Vergleich Stellschraube versus flexible Systeme zeigt die Schraubenfixierung eine höhere Festigkeit unter ähnlicher Belastung und Bewegung bis hin zum Versagen im Vergleich zu flexiblen Systemen. Die flexiblen Stabilisierungssysteme bieten als Vorteil ein gewisses Maß an Mikrobewegung und imitieren so die physiologische Mobilität, die für die Heilung der Bänder unterstützend sein kann. Weiters bieten sie auch ein wenig mehr Spielraum für Fehlpositionierungen des Implantats gegenüber Syndesmoseschrauben.20
Gardner et al. beschrieben 2006, dass die Syndesmosenstabilität durch die Fixierung des posterioren Keils effektiver erreicht werden kann als durch eine Syndesmosenschraube, und wurden von mehreren Autoren bestätigt.21
Als Qualitätskontrolle ist intraoperativ im Idealfall der 3D-Scan zu empfehlensowie postoperativ neben den Standardröntgenaufnahmen die CT-Kontrolle zur Beurteilung der Syndesmosenweite, der Positionierung der Fibula sowie der Stellschraube im Seitenvergleich.
Chronische Syndesmosen-Insuffizienz
Bei Sprunggelenkverletzungen ist Syndesmosenbeteiligung der bedeutendste Faktor für chronische Sprunggelenkbeschwerden 6 Monate nach Trauma (Abb. 3).22
Sehr selten bedarf es der Rekonstruktion der Syndesmose mit einem Sehnentransplantat. In der Regel kann eine Rekonstruktion durch vorhandenes Gewebematerial erfolgen, unter Stabilisierung mit einem dynamischen Fadensystem oder Stellschrauben. Die modifizierte Syndesmosenplastik nach Castaign, beschrieben von Grass et al.,23 stabilisiert entsprechend dem Verlauf der distalen Syndesmosenbänder, ist aber in der Technik anspruchsvoll. Zahlreiche Ankersysteme erleichtern hier die Stabilisierung der Sehnentransplantate zur Syndesmosenrekonstruktion. Unter Anwendung unterschiedlicher OP-Techniken, wie:
Abb. 4: Synostose: führt zu Bewegungseinschränkung ohne Nachweis einer Arthroseentwicklung
-
tibio-fibuläre Fusion
-
arthroskopisches Débridement
-
Débridement vs. Débridement + Stellschraube und Naht des AITFL
-
Rekonstruktion mit Periostlappen
-
Rekonstruktion mit Sehnentransplantat (Gracilis, Peroneus brevis etc.),
wurde an 17 Studien die Auswertung durchgeführt und über gute funktionelle Ergebnisse und niedrige Komplikationsraten berichtet.24 Die Korrektur einer fehlgestellten Fibula ist zwingend.
Als geeignetste Behandlung bei persistierender chronischer Syndesmoseninstabilität wurde die Anlage einer Synostose zur Stabilisierung des distalen Tibiofibulargelenks von der Gruppe um Bekerom et al. empfohlen; eine Arthroseentwicklung konnte daraus nicht nachgewiesen werden (Abb.4).25
Postoperative Nachbehandlungskonzepte
Needleman et al. schlugen vor, das Bein bis zur Entfernung der Schraube (4,5mm) 6–12 Wochen nicht zu belasten. Dies beruht auf dem Konzept, dass eine starre syndesmotische Fixierung die normale Fibulabewegung und die Verbreiterung des Gelenkspalts während der Knöchelbewegung verhindert.26
Riegels-Nielsen et al. wiesen darauf hin, dass eine vorzeitige Gewichtsbelastung dazu führen kann, dass sich die Syndesmoseschraube lockert oder bricht und dass die Verwendung von 3,5-mm-Schrauben und Schrauben, die 2 Tibiakortices durchdringen, ein höheres Bruchrisiko birgt.27
Moore und Hamid stellten jedoch fest, dass das Belassen der Syndesmoseschraube, selbst bei Schraubenbruch, das klinische Ergebnis nicht beeinflusst.28,29 Daher konnte die Belastung nach 6–10 Wochen ohne routinemäßige Schraubenentfernung zugelassen werden.
Aus der Erfahrung des Autors ergibt sich folgendes Bild: Tendenziell werden Syndesmosenschrauben nach 6–8 Wochen entfernt, teils belastet der Patient auch schon vor der Entfernung, sowohl im Gips als auch im Walker, ohne dass es in dieser Zeit zum Schraubenbruch kommt. Die Schraubenentfernung erfolgt ambulant. Selten treten im Zuge der Entfernung Wundheilungsprobleme auf. Suture-Button-Systeme verursachen teils Beschwerden durch die innenseitig liegenden Buttons oder Knoten der Fäden, wenn auf knotenlose Systeme verzichtet wurde. Dies führt entsprechend gar nicht so selten zum Wunsch der Entfernung oft Monate nach der Stabilisierung.
Zusammenfassung
Als Ziel von instabilen Syndesmosenverletzungen gilt die Wiederherstellung der anatomischen Rekonstruktion des distalen Syndesmosenkomplexes unter Beachtung folgender Punkte:
-
Reposition unter direkter Visualisierung des vorderen Syndesmosenbandes – das AITFL ist ein wichtiger Stabilisator betreffend Rotationsstabilität.
-
Abrissfragmente incl. Malleolus posterior (primäre Versorgung des hinteren Keils) sind anatomisch zu fixieren.
-
Die Verwendung von Repositionsklemmen oder -zangen sollte, wann immer möglich, vermieden werden.
-
Der posterolaterale Malleolus sollte direkt von posterior fixiert werden, wann immer dies möglich ist.
-
Tendenziell sind flexible dynamische Stabilisierungstechniken zu bevorzugen, unter Beachtung auch der Nachteile gegenüber Syndesmoseschrauben.
Literatur:
1 O‘Loughlin PF et al.: Ankle instability in sports. Phys Sportsmed 2009; 37(2): 93-103 2 Gerber JP et al.: Persistent disability associated with ankle sprains: a prospective examination of an athletic population. Foot Ankle Int 1998; 19: 653-60 3 Mulcahey MK et al.: The epidemiology of ankle injuries identified at the National Football League Combine, 2009–2015. Orthop J Sports Med 2018; 6(7): 2325967118786227 4 Bromfield W: Chirurgical observations and cases. Vol 2. Cadell, London 1773; S. 87 5 Edwards GS, DeLee JC: Ankle diastasis without fracture. Foot Ankle 1984; 4: 305-12 6 Guyton GP et al.: Arthroscopic correlates of subtile syndesmotic injury. Foot Ankle Int 2017; 38: 502-6 7 Willenegger H: Treatment of luxation fractures of the tibiotarsal joint according to biomechanical viewpoints. Helv Chir Acta 1961; 28: 225-39 8 Zwipp H: Chirurgie des Fußes. Springer Verlag 1994 9 Ogilvie-Harris DJ et al.: Disruption of the ankle syndesmosis: biomechanical study of the ligamentous restraints. Arthroscopy 1994; 10: 558-60 10 Lilyquist M et al.: Cadaveric analysis of the distal tibiofibular syndesmosis. Foot Ankle Int 2016; 37(8): 882-90 11 Tourné Y et al.: Diagnosis and treatment of tibiofibular syndesmosis lesions. Orthop Traumatol Surg Res 2019; 105: 275-86 12 Massri-Pugin J et al.: Role of the deltoid ligament in syndesmotic instability. Foot Ankle Int 2018; 39(5): 598-603 13 Vopat ML et al.: Current trends in the diagnosis and management of syndesmotic injury. Curr Rev Musculoskelet Med 2017; 10: 94-103 14 Kelikian HKS: Disorders of the ankle. W.B. Saunders Company, Philadelphia 1985 15 van Dijk CN et al.: Classification and diagnosis of acute isolated syndesmotic injuries: ESSKA-AFAS consensus and guidelines. Knee Surg Sports Traumatol Arthrosc 2016; 24: 1200-16 16 Kirschner P, Brünner M: Die Operation der Maisonneuve-Fraktur. Oper Orthop Traumatol 1999; 11: 11-18 17 Regauer M et al.: Evidence-based surgical treatment algorithm for unstable syndesmotic injuries. J Clin Med 2022; 11: 331 18 Schepers T et al.: Technical aspects of the syndesmotic screw and their effect on functional outcome following acute distal tibiofibular syndesmosis injury. Injury 2014; 45(4): 775-9 19 van den Bekerom MP et al.: Syndesmotic stabilization in pronation external rotation ankle fractures. Clin Orthop Relat Res 2010; 468(4): 991-5 20 Lee JS et al.: Biomechanical comparison of suture-button, bioabsorbable screw, and metal screw for ankle syndesmotic repair: a metaanalysis. Foot Ankle Surg 2019; 2020: 6-11 21 Gardner MJ et al.: Fixation of posterior malleolar fractures provides greater syndesmotic stability. Clin Orthop Relat Res 2006; 447: 165-71 22 Gerber JP et al.: Persistent disability associated with ankle sprains: a prospective examination of an athletic population. Foot Ankle Int 1998; 19: 653-60 23 Grass R et al.: Peroneus longus ligamentoplasty for chronic instability of the distal tibiofibular syndesmosis. Foot Ankle Int 2003; 24(5): 392-7 24 Krähenbühl N et al.: Surgical outcome in chronic syndesmotic injury: a systematic literature review. Foot Ankle Surg 2019; 25(5): 691-7 25 van den Bekerom MPJ et al.: Delayed operative treatment of syndesmotic instability. Current concepts review. Injury 2009; 40(11): 1137-42 26 Needleman RL et al.: Effect of the syndesmotic screw on ankle motion. Foot Ankle 1989; 10(1): 17-24 27 Riegels-Nielsen P et al.: The stability of the tibio-fibular syndesmosis following rigid internal fixation for type C malleolar fractures: an experimental and clinical study. Injury 1983; 14(4): 357-60 28 Moore JA et al.: Syndesmosis fixation: a comparison of three and four cortices of screw fixation without hardware removal. Foot Ankle Int 2006; 27(8): 567-72 29 Hamid N et al.: Outcome after fixation of ankle fractures with an injury to the syndesmosis: the effect of the syndesmosis screw. J Bone Joint Surg Br 2009; 91(8): 1069-73
Das könnte Sie auch interessieren:
Frühe Unterwassertherapie nach totaler Hüft- und Knieendoprothese
Eine frühzeitige Durchführung der Unterwassertherapie mit wasserdichtem Folienverband ab dem vierten postoperativen Tag ist im Allgemeinen sicher, wirksam und ohne Nebenwirkungen.
Aktuelles zur anteromedialen Knieinstabilität
Kombinierte Verletzungen des medialen Kollateral- (MCL) und des vorderen Kreuzbandes (VKB) zählen zu den häufigsten multiligamentären Knieverletzungen. Bei vermeintlich isolierten VKB- ...
Arthroskopische Behandlung von Glenoidrandfrakturen
In der Literatur werden die Begriffe knöcherne Bankart-Läsion und Glenoidrandfraktur häufig synonym verwendet, obwohl sie sich hinsichtlich Pathomechanismus und Therapie deutlich ...