
Kontroversen im Management geriatrischer Densfrakturen
Autoren:
Dr. Tim Egelseer-Bründl
Ass.-Prof. Priv.-Doz. Dr. Richard A. Lindtner, PhD
Universitätsklinik für Orthopädie und Traumatologie, Medizinische Universität Innsbruck
Korrespondierender Autor:
Dr. Tim Egelseer-Bründl
Geriatrische Densfrakturen sind häufige Wirbelsäulenverletzungen, deren Behandlung trotz zahlreicher Studien immer noch kontrovers diskutiert wird. Aufgrund der schlechten Knochenqualität und Multimorbidität vieler betroffener Patienten gestaltet sich die Therapie besonders herausfordernd. Dieser Artikel gibt einen kurzen Überblick über die aktuell wichtigsten Behandlungsstrategien und die Evidenz für bzw. gegen ein konservatives und chirurgisches Management von Typ-II-Densfrakturen. Eine patientenzentrierte Herangehensweise ist entscheidend, um die Funktion und das Überleben in dieser vulnerablen Population zu maximieren.
Keypoints
-
Geriatrische Densfrakturen stellen aufgrund von Knochenqualität und Multimorbidität eine komplexe Herausforderung dar.
-
Risikofaktoren für Pseudarthrose sind Alter, Frakturtyp (Typ II) und die Art der Behandlung.
-
Für die Stabilisierung und Vermeidung von Pseudarthrosen wird die posteriore C1/C2-Instrumentation nach Goel/Harms als empfehlenswert angesehen.
-
Die Therapieentscheidung sollte individuell getroffen werden, wobei potenzielle Risiken und Vorteile berücksichtigt werden müssen.
Mit zunehmendem Alter der Bevölkerung steigt die Inzidenz von Densfrakturen. In der Gruppe der Patienten über 65 Jahren stellt die Densfraktur die häufigste Form von Halswirbelsäulenfrakturen dar.1 Aufgrund der schlechteren Knochenqualität, der veränderten Biomechanik und der häufig hohen Komorbidität der Patienten ist die Behandlung dieser Verletzungen bei älteren Patienten besonders herausfordernd. Die Verletzung resultiert bei geriatrischen Patienten typischerweise aus Niedrigenergietraumata. Trotz der aktuellen Therapieoptionen ist die Sterblichkeitsrate geriatrischer Patienten mit Densfrakturen hoch, mit einer 1-Jahres-Gesamtmortalität von 16,7%.2 Ein Großteil der Morbidität von Densfrakturen wird auf die im Falle einer mobilen Pseudarthrose resultierende atlantoaxiale Instabilität zurückgeführt.3
Das am weitesten verbreitete Klassifizierungsschema für Densfrakturen von Anderson und D’Alonzo von 1974 teilt die Frakturen basierend auf ihrer anatomischen Lage ein. Typ I bezeichnet Avulsionsfrakturen der Densspitze, Typ II eine durch die Basis des Dens axis verlaufende Fraktur und Typ III einen in den Wirbelkörper reichenden Frakturverlauf mit Involvierung der superioren Gelenkfläche(n) von C2.4 Nach Grauer et al. können Typ-II-Frakturen entsprechend ihrem Frakturverlauf in der Sagittalebene weiter unterteilt werden in Typ IIa (horizontaler Frakturverlauf), Typ IIb (von anterior/superior nach posterior/inferior) und Typ IIc (Verlauf von anterior/inferior nach posterior/superior).5
In der Literatur wird die Therapie von Densfrakturen (operativ oder konservativ) kontrovers diskutiert. Neuere Studien legen nahe, dass chirurgische Eingriffe die Sterblichkeitsrate (zumindest bis zu einer gewissen Altersgrenze) senken und die gesundheitsbezogene Lebensqualität verbessern können. Eine sorgfältige Abwägung der verfügbaren Behandlungsoptionen sowie der individuellen Komorbiditäten und Ziele der Patienten ist entscheidend, um optimale Ergebnisse zu erzielen und die Sterblichkeitsrate zu senken.1,6
Im Folgenden werden die verschiedenen Behandlungsoptionen und Patientenüberlegungen für die klinische Entscheidungsfindung bezüglich der idealen Therapie bei geriatrischen Typ-II-Densfrakturen, die die mit Abstand häufigste Densfraktur darstellt, auf der Grundlage aktueller Erkenntnisse diskutiert.
Therapie
In der Literatur bleibt die konservative Therapie mit einer starren Zervikalorthese die vorherrschende Methode für Typ-I-Densfrakturen. Dies gilt ebenso für die große Mehrheit der Typ-III-Densfrakturen mit Ausnahme der seltenen deutlich dislozierten bzw. instabilen Frakturformen. Für Typ-II-Frakturen gibt es in der Literatur hingegen keinen eindeutigen Konsens über die optimale Behandlung. Die anatomisch bedingte schlechte Blutversorgung der Densbasis begünstigt die Entwicklung einer Pseudarthrose. Die neuere Literatur gibt eine Reduktion der Sterblichkeitsrate sowie einen Anstieg der knöchernen Heilungsrate und der Lebensqualität bei einer chirurgischen im Vergleich zu einer konservativen Behandlung an.7,8 Die Studien sind jedoch oft durch Selektionsbias beeinträchtigt und auf chirurgisch-orientierte Behandlungsansätze beschränkt, was die Interpretation und Verallgemeinerung ihrer Ergebnisse erschwert.
Es ist wichtig, klare Behandlungsziele für geriatrische Patienten festzulegen. Während früher ausschließlich die radiologische Knochenheilung als Erfolg angesehen wurde, kann heute auch eine stabile fibröse Pseudarthrose („straffe Pseudarthrose“) ohne neurologische Defizite als Erfolg gesehen werden, sofern der Patient beschwerdefrei bzw. -arm ist. Studien zeigen keine klaren Vorteile einer knöchernen Heilung gegenüber einer stabilen Pseudarthrose bei geriatrischen Densfrakturen und eine beträchtliche Anzahl von Patienten entwickelt unwissentlich eine asymptomatische straffe Pseudarthrose. In dieser Altersgruppe könnte ein stabiles Konstrukt (knöchern oder fibrös) das ideale Gleichgewicht zwischen den Erwartungen und langfristiger Funktionalität darstellen.6
Konservative vs. operative Therapie der Typ-II-Densfraktur
Bezüglich der Behandlung von Typ-II-Densfrakturen besteht in der Literatur trotz diverser Algorithmen weiterhin Uneinigkeit. Angesichts der Bedeutung einer mobilen Pseudarthrose für die Morbidität stellt diese einen wichtigen Faktor in den Therapieentscheidungen dar. Hauptrisikofaktoren für die Entwicklung einer Pseudarthrose sind das Alter, der Frakturtyp (Typ II) sowie die konservative Therapie.9
Abb. 1: Postoperative CT-Kontrolle nach Densverschraubung bei Densfraktur Typ IIb
Das chirurgische Management zielt darauf ab, das Risiko einer mobilen Pseudarthrose mit atlantoaxialer Instabilität bzw. sekundärer Dislokation und Fehlstellung zu minimieren sowie eine Besserung der Lebensqualität und Linderung der körperlichen Beschwerden zu erreichen. Eine Studie von Leister et al. ergab, dass eine posteriore Stabilisierung im Vergleich zur konservativen Therapie das Risiko einer Pseudarthrose signifikant verringert, während bei Patienten mit anteriorer Densverschraubung kein Unterschied festgestellt wurde.9
Schoenfeld et al. beobachteten, dass chirurgisch behandelte Patienten im Alter von 65 bis 74 Jahren eine geringere Sterblichkeitsrate aufwiesen, während bei älteren Patienten über 85 Jahren eine erhöhte Sterblichkeit festgestellt wurde.10 Eine Metaanalyse bestätigte diese Ergebnisse und zeigte einen Mortalitätsvorteil nur bei Patienten unter 70 Jahren.11 Obwohl Studien darauf hindeuten, dass chirurgische Eingriffe bei älteren Patienten mit einem höheren Risiko für stationäre Komplikationen (Pneumonie, Atemnotsyndrom, Ulzera) und längere Krankenhausaufenthalte verbunden war, ergab sich eine niedrigere 90-Tage-Wiederaufnahmerate, was auf bessere Behandlungsergebnisse und weniger Komplikationen zurückgeführt wurde.8,12–14
Die Langzeitstudie von Rizvi et al. über einen Zeitraum von 8 Jahren mit 282 Patienten ergab, dass die primäre konservative Behandlung von Typ-II-Densfrakturen bei geriatrischen Patienten als sicher und praktikabel angesehen werden kann. Die Studie zeigte, dass über 85% der konservativ behandelten Patienten keine weiteren Eingriffe benötigten und keine signifikanten Unterschiede in Beschwerden oder Pseudarthroseraten zwischen konservativer und operativer Therapie bestehen. Allerdings ergibt sich durch den Tod von 125 Patienten im Studienzeitraum ein gewisser Selektionsbias.15
In der Literatur wurden verschiedene Frakturmerkmale (z.B. Versatz von >5mm, Verkippung von >10° oder Frakturspalt von >2mm) als Kriterien für die Indikation einer operativen Intervention angegeben. Dennoch fehlt es an definitiven Schwellenwerten bzw. Kriterien für eine OP-Indikationsstellung in diesem Zusammenhang.6
Optionen der konservativen Therapie
Die Halo-Weste gilt zwar als die effektivste Methode zur externen Immobilisierung, jedoch sind die damit verbundenen Komplikationen bei geriatrischen Patienten erheblich. Daher wird ihre Anwendung bei dieser Patientengruppe als obsolet angesehen.16
Starre Zervikalorthesen sind eine weniger invasive Alternative mit weniger Risiken, bieten aber einen geringeren Grad an Immobilisierung. Aufgrund der geringeren Einschränkung der atlantoaxialen Bewegung besteht ein erhöhtes Risiko für eine Pseudarthrose von Typ-II-Densfrakturen. Weitere Komplikationen bei geriatrischen Patienten sind u.a. Druckgeschwüre, Dysphagie, Dyspnoe, Delir und mangelnde Compliance.17
Diese Risiken warfen die Frage auf, ob weiche Orthesen eine ausreichende Stabilisierung bei Densfrakturen bieten können. Einzelne Studien deuten darauf hin, dass sowohl starre als auch weiche Zervikalorthesen ähnliche Ergebnisse bei der Behandlung von Densfrakturen erzielen, einschließlich einer vergleichbaren Pseudarthroserate.18
Regelmäßige nativradiologische Kontrollen der Frakturstellung sind erforderlich, um Patienten mit zunehmender Frakturdislokation bzw. antlantoaxialer Instabilität unter konservativer Therapie zu identifizieren. Neurologische Ausfälle infolge einer frakturbedingten Myelonbedrängung sind aufgrund des relativ weiten Spinalkanals auf Höhe des 2. Halswirbelkörpers zwar selten, können jedoch immer wieder beobachtet werden.3,19,20
Optionen der operativen Therapie
Die posteriore C1/C2-Instrumentation nach Goel/Harms wird international mittlerweile zur Stabilisierung dislozierter geriatrischer Densfrakturen bevorzugt, da sie biomechanisch eine höhere Stabilität gegenüber der anterioren Densverschraubung aufweist. Dies ist v.a. bei transdentalen Luxationsfrakturen sowie Ankylose der subaxialen HWS vorteilhaft. Diese posteriore Fixierung bietet eine zuverlässige Möglichkeit zur Stabilisierung von Densfrakturen und sehr hohe knöcherne Heilungsraten, geht jedoch mit einer zumindest 50%igen Reduktion der Seitrotation einher. Weitere Nachteile sind die intraoperativ erforderliche Bauchlagerung, der höhere Blutverlust (Blutung aus dem epiduralen bzw. periradikulären Venenplexus bei der Platzierung der C1-Schrauben) und die längere OP-Dauer. Zudem können atypische Verläufe der A. vertebralis die Platzierung der C2- und C1-Schrauben sehr risikoreich oder gar unmöglich machen. In diesen Fällen muss eine Modifikation der Stabilisierungstechnik vorgenommen werden (z.B. Platzierung von kurzen Isthmus- oder Laminaschrauben statt C2-Pedikelschrauben) oder ein anteriores Verfahren gewählt werden.
Alternative, jedoch weniger verbreitete Stabilisierungsmethoden von posterior sind die klassische transartikuläre Verschraubung C1/C2 nach Magerl mit C1/2-Fusion nach Gallie oder eine isolierte perkutane Verschraubung ohne zusätzliche Spondylodese C1/C2. Auch für diese Techniken ist eine sorgfältige präoperative Analyse der Anatomie des C1/C2-Komplexes sowie der A. vertebralis anhand multiplanarer CT-Reformationen unerlässlich.21
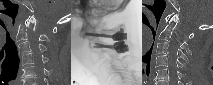
Abb. 2: Dislozierte Densfraktur mit inkomplettem Querschnittssyndrom (A); intraoperatives Bild der C1/2-Stabilisierung (B); postoperative CT-Kontrolle(C)
Die anteriore Densverschraubung ermöglicht den Erhalt der atlantoaxialen Bewegung und hat zusätzlich Vorteile wie eine intraoperative Lagerung in Rückenlage, kürzere Operationszeit und geringeren Blutverlust. Einige Frakturmorphologien (Typ IIc nach Grauer, Trümmerzonen) sowie Körperhabitus (kurzer Hals, Fassthorax sowie zervikale oder thorakale Kyphose) können die Anwendung der anterioren Fixierung jedoch einschränken oder unmöglich machen. Bei älteren Patienten wird die Effektivität der anterioren Fixierung von einer Reihe von Autoren infrage gestellt, da sie mit einer relativ hohen Rate an Komplikationen wie Pseudarthrose, mechanischen Komplikationen und Dysphagie verbunden ist.22 Insbesondere letztere wird bei hochbetagten Patienten ungleich häufiger beobachtet und kann Aspirationspneumonien und die Notwendigkeit einer Ernährung über eine transnasale Magensonde bzw. PEG-Sonde zur Folge haben. Die anteriore Densverschraubung erlaubt es zwar, eine C1/C2-Fixation zu vermeiden, was für jüngere Patienten ohne erhöhtes Sterberisiko sowie mit guter Knochenqualität relevant ist, jedoch zeigen mehrere Studien, dass dieses Stabilisierungsverfahren in einem geriatrischen Patientenkollektiv mit mehr Komplikationen und Revisionseingriffen verbunden ist. Studien in einer geriatrischen Population ergaben, dass Patienten, die sich einer Densverschraubung unterzogen, im Vergleich zur posterioren Stabilisierung ein höheres Risiko für Pseudarthrosen (25,5% gegenüber 3,5%) und Revisionseingriffe (23,4% gegenüber 10,5%) hatten.23
Conclusio
Geriatrische Typ-II-Densfrakturen werden aufgrund der alternden Bevölkerung immer häufiger. Die Behandlung dieser Frakturen erfordert eine sorgfältige Abwägung von konservativen und chirurgischen Optionen. Im klinischen Alltag stellt die individuelle Abschätzung des zu erwartenden Nutzens bzw. der möglichen Komplikationen einer operativen bzw. konservativen Therapie häufig die größte Herausforderung dar.
Es ist wichtig, realistische Erwartungen zu setzen und altersgerechte Ziele anzustreben. Anstatt einer knöchernen Heilung kann eine stabile Pseudarthrose ein akzeptables Ziel sein, insbesondere angesichts der Risiken und der Mortalität einer Operation bei Hochrisikopatienten. Bei hochbetagten geriatrischen Patienten mit vielen Begleiterkrankungen ist i.d.R. ein konservativer Therapieversuch zu bevorzugen. Die Wahl zwischen einer konservativen und chirurgischen Behandlung sollte individuell erfolgen, wobei die langfristigen Ziele des Patienten berücksichtigt werden sollten. Wenn eine Operation erforderlich ist, wird international mittlerweile mehrheitlich ein posteriorer Zugang (C1/C2-Instrumentation nach Goel/Harms) bevorzugt, während eine anteriore Densverschraubung bei geeigneten Frakturmustern (Typ IIa/b nach Grauer; keine höhergradige Ankylose der subaxialen HWS) in Betracht gezogen werden kann.
Literatur:
1 Wagner SC et al.: J Orthop Trauma 2017; 31(Suppl 4): S44-8 2 Charles YP et al.: Arch Orthop Trauma Surg 2019; 139(1): 43-51 3 Joestl J et al.: J Bone Surg Am 2016; 98(3): 193-8 4 Anderson LD, D’Alonzo RT: J Bone Joint Surg Am 1974; 56(8): 1663-74 5 Grauer JN et al.: Spine J 2005; 5(2): 123-9 6 Goh BC et al.: J Am Acad Orthop Surg 2024; 32(3): e84-94 7 Smith JS et al.: Spine 2013; 38(26): 2240-6 8 Vaccaro AR et al.: J Bone Joint Surg Am 2013; 95(8): 729-35 9 Leister I et al.: Spine 2023; 48(3): 164-71 10 Schoenfeld AJ et al.: Spine 2011; 36(11): 879-85 11 Fan L et al.: Medicine 2019; 98(44): e10281 12 Chapman J et al.: Spine 2013; 38(13): 1089-104 13 Dhall SS et al.: Neurosurgery 2017; 80(6): 854-62 14 von Glinski A et al.: Spine 2021; 46(15): 1039-47 15 Rizvi SAM et al.: Spine J 2021; 21(4): 627-37 16 Tashjian RZ et al.: J Trauma 2006; 60(1): 199-203 17 Sime D et al.: ANZ J Surg 2014; 84(5): 320-5 18 Coleman N et al.: Geriatr Orthop Surg Rehabil 2022; 13: 21514593211070263 19 Harrop JS et al.: Neurosurg Focus 2000; 8(6): e4 20 Kepler CK et al.: Spine J 2014; 14(6): 903-8 21 Chang MC et al.: World Neurosurg 2022; 164: e1107-14 22 Dailey AT et al.: J Neurosurg Spine 2010; 12(1): 1-8 23 Shousha M et al.: Eur Spine J 2019; online ahead of print
Das könnte Sie auch interessieren:
Angeborene Fehlstellungen des Unterschenkels
Kongenitale Deformitäten des Unterschenkels gehören zu den seltenen, aber medizinisch bedeutenden und operativ herausfordernden Diagnosen der Kinderorthopädie. Eine differenzierte ...
Einzeitiger und mehrzeitiger septischer Endoprothesenwechsel
Die periprothetische Infektion (PPI) stellt eine der gefürchtetsten Komplikationen im Bereich der Orthopädie und Traumatologie dar. Sie ist verbunden mit hohen Morbiditäts- und ...
Hochgradige ACG-Luxationen – wann konservativ behandeln, wann nicht?
Verletzungen des Akromioklavikulargelenks (ACG) gehören zu den häufigsten Schulterverletzungen bei jungen und aktiven Menschen, insbesondere auch aufgrund der zunehmenden Beliebtheit von ...