
Knieluxation: ein sporttraumatologischer Notfall
Autoren:
Dr.Michael R. Jesenko, MBA, MPH
Dr. Gustav Timmel
Dr. Stefan Rabel
Dr.Nicolas Haffner, MBA
Abteilung für
Orthopädie und Traumatologie, Klinik Floridsdorf, Wien
Korrespondierender Autor:
Dr.Michael R. Jesenko, MBA, MPH
Die Knieluxation stellt mit einer Inzidenz von ca. 0,02% eine sehr seltene Verletzung dar. Sie macht damit lediglich 0,2–0,3% aller Luxationen aus. Da in knapp 50% der Fälle Spontanrepositionen bei Erstbegutachtung vorliegen, kann man annehmen, dass die Dunkelziffer dieser Verletzung doch etwas höher liegt. Die im Rahmen des Unfalls stattgehabte (Sub)Luxation des Kniegelenkes und der damit verbundene Stress auf die neurovaskulären Strukturen aufgrund der multiligamentären Instabilität führen bei knapp 20% zu begleitenden Gefäß- und Nervenverletzungen. Das frühzeitige Erkennen und die zeitnahe Versorgung der begleitenden Gefäß- und Nervenverletzungen sind prognostisch entscheidend für das Outcome dieser Verletzung.1–3
Keypoints
Bei Verletzungen von zwei der vier Hauptsäulen immer an eine mögliche stattgefundene Knieluxation denken (50 % Spontanreposition).
Knieluxationen ab einer KD II nach Schenck sollten operativ versorgt werden.
Der Gefäßstatus sollte immer mittels Doppler-Sonografie (CBI / ABI) erhoben und im Zweifel mittels CTA kontrolliert werden.
Überprüfung der neurologischen Beteiligung, insbesondere des N. peroneus.
In erster Linie steht die Reposition, gefolgt von der Ruhigstellung (Gips/Fixateur externe) und der operativen Versorgung.
Ursache
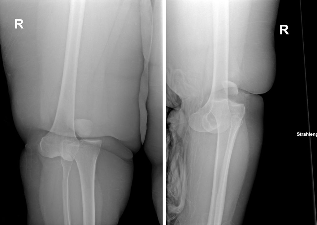
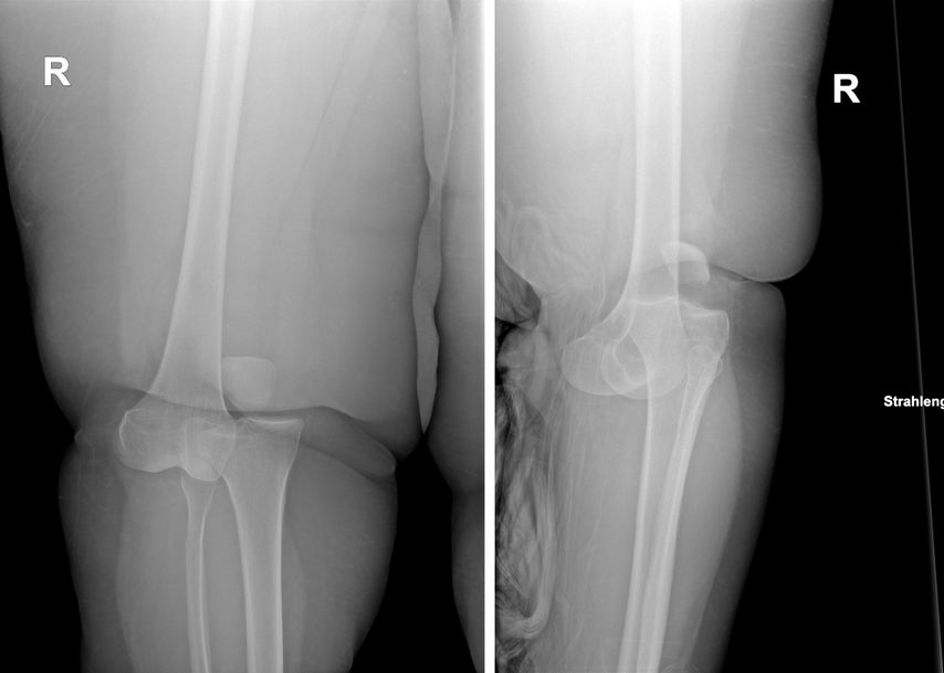
Knieluxationen sind häufig Folge von Hochrasanztraumata mit direktem Anprall gegen das Knie, wie sie z.B. im Rahmen von „dashboard injuries“ bei Verkehrsunfällen, bei Stürzen aus großer Höhe oder bei Sportverletzungen mit enormer Krafteinwirkung vorkommen. Aufgrund des höheren Risikoprofils sind bei diesen Verletzungen vor allem junge Männer im Alter von 18–25 Jahren betroffen. Das Verhältnis zwischen Männern und Frauen in dieser Gruppe beträgt 4:1. Demgegenüber stehen sog. „Ultra low energy“- oder „Ultra low velocity“-Traumata, bei denen stark übergewichtige Patienten eine Kniegelenksluxation erleiden (Abb.1). So reichen aufgrund der Adipositas bereits Bagatelltraumata im Alltag aus, schwerwiegende Verletzungen des Kapsel-Band-Apparates des Kniegelenks zu verursachen.4
Abb. 1: Röntgenbild einer anterolateralen Knieluxation bei einem „Ultra low energy“-Trauma; links die a.p. Aufnahme, rechts die sagittale Aufnahme
Anatomie
Das Kniegelenk ist ein Drehscharniergelenk, welches aus den tibiofemoralen, patellofemoralen und tibiofibularen Anteilen besteht. Der Bewegungsumfang in der Sagittalebene liegt normalerweise zwischen 0° und 135°, wobei eine geringe Überstreckbarkeit vor allem bei Frauen durchaus gegeben sein kann. Zusätzlich ermöglicht das Knie eine Rotation um eine tibiale Längsachse zwischen 8° und 12° während der Flexions- und Extensionsbewegung.
Das Kniegelenk wird primär durch seinen zentralen Pfeiler mit vorderem und hinterem Kreuzband (VKB, HKB) und die peripheren Strukturen gesichert. Die Kreuzbänder haben eine stabilisierende Wirkung: einerseits gegen Rotation, aber viel mehr noch gegen translatorische Kräfte in anteriorer und posteriorer Richtung. Der periphere Bandapparat ist der primäre Stabilisator gegen Varus- und Valgusstress sowie gegen Innen- und Außenrotation. Die posteromedialen Strukturen werden in das oberflächliche (sMCL) und tiefe (dMCL) mediale Seitenband, das dorsomediale Schrägband („posterior oblique ligament“, POL) und die posteromediale Gelenkskapsel unterteilt. Das laterale Seitenband (LCL) und die Strukturen des posterolateralen Winkels sind wichtige Stabilisatoren gegen varisierende Kräfte. Der posterolaterale Winkel („posterolateral corner“, PLC) besteht aus der Sehne des M. popliteus, dem Lig. popliteofibulare (LPF) und der Sehne des M. biceps femoris. Der Tractus iliotibialis, die anterolaterale Gelenkskapsel mit dem anterolateralen Ligament (ALL) sowie die anteromediale Gelenkskapsel haben eine zusätzliche, den zentralen Pfeiler unterstützende, stabilisierende Wirkung gegen die anteriore und posteriore tibiale Translation. Die Mensici fungieren als Stoßdämpfer bei axialer Belastung und versuchen gleichzeitig, die Inkongruenz vor allem im Hinblick auf die laterale tibiofemorale Gelenksfläche auszugleichen.5
Eine ligamentäre Insuffizienz durch die Verletzung der statischen Stabilisatoren führt zu einem erhöhten Anspruch an die dynamischen Stabilisatoren. Ist die Kompensation nicht ausreichend, resultiert ein pathologisches Gangbild mit erhöhtem Stress für das Kniegelenk. Dies kann sowohl die Heilung kompromittieren als auch zu schwerwiegenden Folgeschäden am Kniegelenk führen. Für die Therapie der multiligamentären Knieverletzung ist es essenziell, das Zusammenspiel der statischen und dynamischen Stabilisatoren zu beachten. Eine rechtzeitige chirurgische Intervention ist meist bedeutend für ein gutes Langzeitergebnis.
Die Arteria poplitea ist die wichtigste arterielle Blutversorgung des Kniegelenks und der übrigen unteren Extremität. Sie entspringt aus der Arteria femoralis und kommt nach dem Durchtritt durch den Hiatus adductorius (Adduktorenkanal) im dorsalen medialen Kniegelenksbereich zu liegen. Sie gibt zahlreiche Äste sowohl auf Höhe als auch ober- und unterhalb des Kniegelenksspaltes ab. Diese wiederum speisen mehrere Gefäßnetze (z.B. Rete articulare genus, Rete patellaris). Knapp unterhalb des Kniegelenkes teilt sich die Arteria poplitea an der sog. Trifurkation in ihre Endäste, nämlich die A. tibialis anterior und posterior sowie die A. fibularis (peronealis).6
Bei Kniegelenksluxationen steigt das Risiko für eine Gefäßverletzung proportional zur Unfallenergie auf bis zu 65% an. Die posteriore Luxation birgt ein höheres Risiko für eine Komplettruptur, wohingegen die anteriore Luxation in bis zu 15% der Fälle zu einer Intimaläsion führt. Letztere kann über eine graduelle Thrombose im weiteren Verlauf einen kompletten Gefäßverschluss verursachen. Ein initial positiver Fußpuls schließt daher einen Gefäßschaden nicht aus, weshalb der Gefäßstatus innerhalb der ersten 24 Stunden alle 4–6 Stunden überprüft werden sollte.
Bei bis zu 9% kommt es zur Zerreißung der Vena poplitea. Mögliche Folgen sind Ödem, Thrombophlebitis und Lungenembolie.
Der Nervus peroneus (N. fibularis communis) ist bei Knieluxationen der am häufigsten betroffene Nerv (in bis zu 35% der Fälle) und die entsprechende Parese oder Paralyse bildet sich nur bei 40% der Betroffenen vollständig zurück. Er entspringt neben dem N. tibialis aus dem N. ischiadicus und zieht entlang seiner Leitstruktur, des Musculus biceps femoris, zum lateralen Kniegelenksbereich, wo er sich in Höhe des Wadenbeinkopfes in seine Endäste, den N. fibularis profundus und superficialis, aufteilt. Bei Schädigungen kommt es je nach Ausprägung zu einem sensiblen Verlust im Bereich des lateralen Unterschenkels, des Fußrückens und des Areals zwischen 1. und 2. Zehe sowie zu motorischen Ausfällen, welche die Fußhebung und Zehenstreckung betreffen. Die damit verbundene Gangstörung wird als sog. Steppergang bezeichnet.7
Klassifikation
Es gibt unterschiedliche Klassifikationen der Kniegelenksluxation, welche sich in erster Linie an dem anatomischen Verletzungsmuster sowie an der Luxationsrichtung orientieren. Die von Kennedy 1963 entwickelte Klassifikation unterteilt die Knieluxation in 5 Typen, basierend auf der Luxationsrichtung der Tibia im Vergleich zum Femur:5
-
Anteriore Luxation: mit bis zu 50% die häufigste Luxation; entsteht aufgrund einer Hyperextension und führt meist zu Verletzungen des N. peroneus, der Kreuzbänder und der dorsalen Kapsel; Intimaläsionen der A. poplitea in bis zu 15% der Fälle
-
Posteriore Luxation: tritt bei ca. einem Drittel der Fälle auf und resultiert meist aus „dashboard injuries“ bei flektiertem Kniegelenk; HKB-Läsion; höchste Chance für eine vaskuläre Beteiligung
-
Laterale Luxation: bei ca. 10% der Fälle und seitlicher Krafteinwirkung von medial; meist mit Ruptur der Kreuzbänder verbunden
-
Mediale Luxation: bei ca. 3% der Fälle und seitlicher Krafteinwirkung von lateral; meist mit Ruptur des HKB und einer „posterior corner lesion“ verbunden
Rotierende Luxation: bei ca. 4% der Fälle; meist nach posterolateral und kaum zu reponieren
Da es bei der Kennedy-Klassifikation keine genaueren Angaben zu ligamentären Verletzungen gibt und die Luxationsrichtung bei knapp 50% Spontanrepositionen nicht immer eruierbar ist, wurde die Schenck-Klassifikation entwickelt (Tab.1). Diese basiert auf dem anatomischen Verletzungsmuster der zentralen und peripheren Kapselbandstrukturen. Die Abkürzung „KD“ steht dabei für Kniedislokation. Mit zunehmendem Schweregrad der Verletzung steigt auch der Klassifikationsgrad.
Untersuchungsablauf
An erster Stelle sollte eine genaue Anamneseerhebung stehen. Eine möglichst detailgetreue Schilderung des Unfallherganges, sofern möglich, kann wichtige Hinweise zur weiteren Diagnosefindung ans Licht bringen. Oftmals wird eine Knieluxation schon am Unfallort durch qualifizierte Ersthelfer vermutet und entsprechend dem Verdacht und der damit verbundenen Verletzungsschwere als Schockraumfall avisiert. (Vor jeglicher Extremitätenversorgung sollte entsprechend den Guidelines des ATLS die kardiorespiratorische Stabilität des Patienten sichergestellt werden.)
Als Nächstes erfolgt die äußerliche Inspektion des schmerzhaften Kniegelenks. Je nach Weichteilmantel kann sich hierbei eine noch bestehende Luxations- oder Subluxationsstellung zeigen. Schwellungen, Hämatome sowie begleitende Hautverletzungen können weitere Rückschlüsse auf den Verletzungshergang geben. Das sog. „dimple sign“ beschreibt eine tastbare Schwellung im medialen Gelenksbereich, die wiederum einen Hinweis auf eine Dislokation des medialen Femurkondyls durch die Gelenkskapsel darstellt. Diese ist in der Regel primär nicht reponibel und sollte daher mittels Arthrotomie versorgt werden.2
Nach der Inspektion stellt die Palpation die zweite wesentliche Säule der physikalischen Krankenuntersuchung dar. Hierbei gilt besonderes Augenmerk den Fußpulsen, welche vergleichend mit der Gegenseite palpiert werden. Weiters sollte noch vor einer etwaigen apparativen Logendruckmessung auch die Palpation der Unterschenkelkompartimente erfolgen, um so einen groben Eindruck über die Schwellung sowie über ein etwaiges Kompartimentsyndrom zu gewinnen.
Bei wachen, ansprechbaren Patienten sollte unbedingt ein grober neurologischer Status erhoben werden, wobei neben den sensiblen auch die motorischen Qualitäten geprüft werden sollten, sofern dies aufgrund der Dislokation und der Schmerzen möglich ist.
Jede Reposition sollte nach initialen Bildern in 2 Ebenen (grobe Dislokationsrichtung gebend), dann unter Durchleuchtung versucht werden. Nach einer erfolgreichen Reposition sind eine neuerliche Kontrolle und Dokumentation des Gefäß- und Nervenstatus notwendig.
Anschließend sollte die radiologische Bildgebung erfolgen. Nach dem Nativröntgen sollten notfallmäßig zumindest eine dopplersonografische Untersuchung der Gefäße inklusive crurobrachialer Indexmessung (CBI/ABI) und in weiterer Folge eine CT und CT-Angiografie erfolgen.7
Mittels Doppler-Sonografie bzw. Knöchel-Arm-Index (ABI) kann relativ einfach die arterielle Versorgung des Unterschenkels nachgewiesen werden. Teilweise wird sogar davon ausgegangen, dass man mit einem ABI von über 0,90 alle operationswürdigen arteriellen Verletzungen ausschließen kann.8 Aufgrund der Schmerzen ist diese Untersuchung jedoch oft nur eingeschränkt möglich. Die Indikation zur CT-Angiografie sollte relativ großzügig gestellt und bei einem Verdacht auf eine Gefäßbeteiligung immer durchgeführt werden, zumal initiale Intimaläsionen ohne anfänglichen Durchblutungsstopp in der ABI-Messung unerkannt bleiben können (Abb.2).6
Für die Abklärung der Weichteile und der ligamentären Verletzungen sollte im weiteren Verlauf je nach Verfügbarkeit auch eine MRT durchgeführt werden.6
Abb. 2: Ablauf der Gefäßdiagnostik nach stattgefundener oder vermuteter Knieluxation (nach Shafizadeh et al. 2017)6
Therapie
Die Therapie der Knieluxation richtet sich nach dem Schweregrad der begleitenden Verletzungen. Konservative Therapien können meist nur bei geringen Schädigungen im Sinne einer KD I durchgeführt werden. Ab einem Verletzungsgrad von KD II wäre eine operative Versorgung anzustreben, um das klinische Outcome zu verbessern. Bei offenen, gefäßlimitierenden oder nicht reponierbaren Verletzungen ist eine sofortige operative Sanierung indiziert. Zu beachten ist, dass es in der Akutphase durch eine Arthroskopie zu hohen Druckverhältnissen und einem möglichen Kompartimentsyndrom kommen kann. Die weitere operative Versorgung sollte zeitnah innerhalb der ersten 2–3 Wochen erfolgen.6,9–11
Nach primärer Reposition sollte die Retention im Gipsverband oder mittels eines Fixateur externe erzielt werden. Besteht zusätzlich eine Nerven- oder eine nicht zwingend zu behandelnde Gefäßläsion, wird im Allgemeinen eher zu einem Fixateur externe geraten, um den verletzten Strukturen mehr Ruhe zu geben.
In der Regel wird bei multiligamentären Kniegelenksverletzungen zweizeitig vorgegangen. Hierbei werden primär, innerhalb von 2 Wochen, der mediale und der laterale Bandkomplex (periphere Pfeiler) und sekundär nach ca. 6–8 Wochen das VKB und HKB mittels Auto- oder Allograft rekonstruiert (Abb.3, 4).12
In einem systematischen Review konnte gezeigt werden, dass Patienten mit autologer Sehnenrekonstruktion im Vergleich zur Sehnenrefixation bessere Ergebnisse erzielen.13 Insbesondere Refixationen des medialen Seitenbandes zeigten ein schlechteres Outcome als Rekonstruktionen. Auch hinsichtlich der Reoperationsrate respektive Versagerquote konnte Stannard in einer prospektiven Studie mit 57 Patienten zeigen, dass Rekonstruktionen, auch bei Verletzungen der posterolateralen Ecke (PLC), eine geringere Versagerquote (9%) im Vergleich zu Refixationen (37%) haben.14
Aufgrund neuer chirurgischer Techniken und Implantate erfährt die Sehnenrefixation eine Renaissance. Durch zusätzliche Augmentation der Refixationen mit einem Fiber-Tape („ligament bracing“) kann die Primärstabilität erhöht werden. Das Fiber-Tape fungiert als eine Art Sicherheitsgurt, bis das native Band wieder ossär integriert ist. Frosch et al.konnten mit einer primären Refixation und zusätzlichem „ligament bracing“ ähnlich gute Ergebnisse wie bei einer Rekonstruktion erzielen.15
Je nach Verletzungsgrad und Verletzungslokalisation muss individuell entschieden werden, ob eine Refixation mit Augmentation möglich oder eine Rekonstruktion notwendig ist. Für eine Rekonstruktion stehen die üblichen Sehnen (Hamstrings, BTB, Quadrizepssehne) zur Verfügung. Da allerdings aufgrund der multiligamentären Verletzungen mehrere Transplantate benötigt werden, gilt heutzutage die Versorgung mit Allografts als weitläufig akzeptiert.
Literatur:
1 Malik SS, MacDonald PB: The irreducible knee dislocation. J Knee Surg 2020; 33(4): 328-34 2 Lachman JR et al.: Traumatic knee dislocations: evaluation, management, and surgical treatment. Orthop Clin North Am 2015; 46(4): 479-93 3 Gottlieb M et al.: Evaluation and management of knee dislocation in the emergency department. J Emerg Med 2019; S0736-4679(19)30826-1; online ahead of print 4 Carr JB et al.: Knee dislocation in the morbidly obese patient. J Knee Surg 2016; 29(4): 278-86 5 McKee L et al.: Current concepts in acute knee dislocation: the missed diagnosis? Open Orthop J 2014; 8: 162-7 6 Shafizadeh S et al.: Behandlung der akuten Kniegelenksluxation. Trauma und Berufskrankheit 2017; 19: 1-8 7 Fanelli GC: Timing of repair or reconstruction after knee dislocation. J Knee Surg 2020; 33(4): 335-8 8 Mills WJ et al.: The value of the ankle-brachial index for diagnosing arterial injury after knee dislocation: a prospective study. J Trauma 2004; 56(6): 1261-5 9 Lobenhoffer P: [Complex instability of the anterior knee]. Der Orthopade 2002; 31(8): 770-7 10 Richter M et al.: Comparison of surgical repair or reconstruction of the cruciate ligaments versus nonsurgical treatment in patients with traumatic knee dislocations. Am J Sports Med 2002; 30(5): 718-27 11 Ríos A et al.: Results after treatment of traumatic knee dislocations: a report of 26 cases. J Trauma 2003; 55(3): 489-94 12 Yastrebov O, Lobenhoffer P: [Treatment of isolated and multiple ligament injuries of the knee: anatomy, biomechanics, diagnosis, indications for repair, surgery]. Der Orthopade 2009; 38(6): 563-80 13 Levy BA et al.: Decision making in the multiligament-injured knee: an evidence-based systematic review. Arthroscopy 2009; 25(4): 430-8 14 Stannard JP et al.: The posterolateral corner of the knee: repair versus reconstruction. Am J Sports Med 2005; 33(6): 881-8 15 Frosch KH et al.: Primary ligament sutures as a treatment option of knee dislocations: a meta-analysis. Knee Surg Sports Traumatol Arthrosc 2013; 21(7): 1502-9
Das könnte Sie auch interessieren:
Angeborene Fehlstellungen des Unterschenkels
Kongenitale Deformitäten des Unterschenkels gehören zu den seltenen, aber medizinisch bedeutenden und operativ herausfordernden Diagnosen der Kinderorthopädie. Eine differenzierte ...
Einzeitiger und mehrzeitiger septischer Endoprothesenwechsel
Die periprothetische Infektion (PPI) stellt eine der gefürchtetsten Komplikationen im Bereich der Orthopädie und Traumatologie dar. Sie ist verbunden mit hohen Morbiditäts- und ...
Hochgradige ACG-Luxationen – wann konservativ behandeln, wann nicht?
Verletzungen des Akromioklavikulargelenks (ACG) gehören zu den häufigsten Schulterverletzungen bei jungen und aktiven Menschen, insbesondere auch aufgrund der zunehmenden Beliebtheit von ...