Der maligne Querschnitt: Entscheidungsfindung und Akutversorgung
Autoren:
Doz. Dr.Lukas Leitner, PhD
Dr. Gerhard Bratschitsch
Prof. Dr. Andreas Leithner
Universitätsklinik für Orthopädie und Traumatologie, Medizinische Universität Graz
Korrespondierender Autor:
Dr. Gerhard Bratschitsch
Das Auftreten einer Myelonkompression aufgrund von Metastasen ist eine häufige Komplikation im Rahmen einer generalisierten Krebserkrankung (bis zu 15% der Patienten sind im Krankheitsverlauf betroffen) und stellt einen häufigen orthopädischen Notfall dar. Wurde die Wirbelsäulenmetastasierung nicht schon anhand der typischen „red flags“ frühzeitig erkannt, gelangt sie häufig akut im Rahmen der Fraktur eines Wirbelkörpers (seltener durch direkte Kompression aufgrund der Tumorausdehnung) zur klinischen Darstellung. In dieser Notfallsituation ist eine schnelle Entscheidungsfindung unter Einbeziehung der klinischen Gesamtsituation erforderlich, denn kommt es länger als 48 Stunden zu einer kompletten neurologischen Ausfallssymptomatik, ist eine Besserung nur noch sehr unwahrscheinlich.
Keypoints
Patienten mit metastatischer Wirbelsäulenerkrankung sollten über Anzeichen und Symptome einer durch Metastasen verursachten Rückenmarkskompression (MRMK) und das Vorgehen beim Auftreten einer solchen in Kenntnis gesetzt werden.
Bei spinalen Schmerzen
und „red flags“ für das Vorliegen einer spinalen Metastasierung, insbesondere bei bekannter Krebserkrankung, sollte binnen einer Woche eine MRT-Abklärung erfolgen.Beim Auftreten von Anzeichen einer MRMK sollte eine stationäre Aufnahme erfolgen und binnen 24 Stunden ein MRT der gesamten WS durchgeführt werden.
Die Anwendung von Scores
in der Therapieplanung bei WS-Metastasen hat orientierenden Charakter, eine Behandlung sollte immer
individuell und interdisziplinär erfolgen.
Prolongiert andauernde Rückenschmerzen ohne Besserungstendenz auf konservative Therapiemaßnahmen stellen bei 95% der Fälle mit durch Metastasen verursachter Rückenmarkskompression (MRMK) das erste unspezifische Symptom dar und präsentieren sich als ausgeprägter spinaler oder radikulärer Schmerz (VAS 8/10). Bei notfallmäßiger Vorstellung von MRMK bestehen oft bereits eine Kraftminderung und die Unfähigkeit, selbstständig zu gehen. Die maligne Grunderkrankung befindet sich in den meisten Fällen bereits in einem sehr fortgeschrittenen Stadium.1 Sogenannte „red flags“, also Symptome, die auf eine metastasierende MRMK hindeuten sind in Tabelle 1 zusammengefasst.2
Tab. 1: Zusammenfassung von Kriterien aus internationalen Guidelines betreffend „red flags“, hinweisend auf spinale Metastasierung (nach Verhagen et al. 2016)2
Vorgehen bei Akutvorstellung
Bei akuter Vorstellung einer MRMK sollte vordergründig ein möglichst vollständiger Überblick über das Erkrankungsstadium hergestellt werden (ergänzend zu evtl. bereits vorliegenden Befunden) und auf bereits vorliegende Symptome rasch reagiert werden. Das Vorgehen an unserer Klinik richtet sich dabei nach den Empfehlungen des National Institute for Health and Care Excellence (NICE), wobei kleinere Adaptierungen durchgeführt wurden. Folgende Punkte sind als Empfehlung angezeigt, um im Akutfall sozusagen NICE zu reagieren:3
-
Patienten mit WS-Schmerz hinweisend auf WS-Metastasen (siehe „red flags“, Tab.1) ohne akute neurologische Symptomatik oder Gefährdung diesbezüglich und mit realistischer OP-Option sollten möglichst rasch (binnen einer Woche) ein MRT der Gesamtwirbelsäule bekommen.
-
Patienten mit hohem Risiko für eine MRMK und bekannten Knochenmetastasen sollten über die Akutsymptomatik (Kribbelparästhesien, Beinschwäche, etc.) aufgeklärt sein und angewiesen werden, in solchen Fällen unverzüglich einen Arzt/eine Notaufnahme zu kontaktieren.
-
Eine MRMK ist ein Notfall und als solcher zu behandeln: MRT der Gesamtwirbelsäule binnen 24 Stunden und folgende Maßnahmen sind (möglichst in diesem Zeitintervall) indiziert:
-
stationäre Aufnahme, OP-Aufklärung bei Aufnahme, nüchtern belassen
-
relative oder absolute Bettruhe, Miederversorgung, Lagerung möglichst mittels Umlagerungshilfe (Rollboard)
-
bei fehlenden Kontraindikationen Verabreichung von 16mg Dexamethason i.v. unter PPI-Schutz4 (Rationale: abschwellende Therapie, Schmerzkontrolle)
-
adäquate Analgesie
-
sofern unbekannt, Primumsuche sowie radiologisches Staging, TU-Marker (inkl. Abklärung eines multiplen Myeloms), evtl. Gastro-/Koloskopie (Rationale: Z.B. bei Nierenzellkarzinom sollte eine präoperative Embolisation zur intraoperativen Blutungskontrolle in Erwägung gezogen werden; Staging nötig für Therapieentscheid, s.u.).
Therapieoptionen
Die infrage kommenden Behandlungsoptionen für Patienten mit akuter MRMK sind die chirurgische Versorgung (zumeist in Form einer Dekompression mit oder ohne Stabilisierung), Strahlentherapie und/oder Symptomkontrolle. Für die Entscheidung für eine konservative (Chemotherapie, Bestrahlung) bzw. chirurgische Therapie bestehen keine Algorithmen mit Evidenzgrad I zur Verfügung, jedoch prognostische Scores wie Tokuhashi (revised)5 und der „Modified Bauer Score“6, die eine chirurgische Therapieempfehlung erlauben (Tab.2).
Tab. 2: „Tokuhashi (revised) Score“5 und „Modified Bauer Score“6 dienen der präoperativen Prognoseabschätzung und Evaluierung und werden bei der chirurgischen Therapieempfehlung eingesetzt (WS = Wirbelsäule; ÜL = Überleben; OP = Operation; BSC = „best supportive care“)
Trotz der Möglichkeit, das endgültige Vorgehen anhand von Scores zu objektivieren, bleibt diese Entscheidung aufgrund ihres definitiven Charakters die schwierigste im Umgang mit akuter MRMK. Im Akutfall sind zuweilen nicht alle Informationen für eine vollständige Prognoseeinschätzung vorhanden; überdies hat sich seit der Scoreerstellung die Prognose mancher Tumorentitäten deutlich gebessert (z.B. ALK-Überexpression bei Adenokarzinom der Lunge – die Information darüber liegt jedoch im Akutfall selten vor). Die statistische Prognose einer Entität ist weiters für den Einzelfall schwer anwendbar. Bei vollständiger Querschnittsymptomatik über 48 Stunden ist eine gute Wiederherstellung der Motorfunktion jedenfalls unwahrscheinlich.4 In diesen Fällen sollte eine Bestrahlungseinzeldosis (8Gy) zur Schmerzlinderung in Erwägung gezogen werden.3
Eine Analyse von 1776 an unserer Klinik vorgestellten Fällen mit WS-Metastasen hat gezeigt, dass letztlich bei 12,2% der Fälle eine chirurgische Versorgung indiziert war (Daten noch nicht publiziert).
Ethische Überlegungen
Letztlich bleibt die Entscheidungsfindung einer ärztlichen respektive klinischen Abwägung (möglichst im Team) vorbehalten, zum Teil auch unter Einbeziehung des Patientenwunsches und der vorhandenen technischen Möglichkeiten. Die eigene Praxis hat gezeigt, dass selbst bei sehr fortgeschrittener Grunderkrankung häufig ein guter und früher neurologischer Behandlungserfolg (allerdings ein Surrogatparameter bei palliativer Krebserkrankung) zu erzielen ist. Eine Evidenz, ob ein solches „Hineinoperieren in den Erkrankungsprogress“, abgesehen vom schnellen chirurgischen Erfolgserlebnis, positive (oder möglicherweise sogar negative) Effekte auf harte Parameter wie das Gesamtüberleben hat, liegt noch nicht vor. Die wissenschaftliche Klärung dieser Fragestellung gestaltet sich naturgemäß schwierig:
-
Ein Ethik-Votum für prospektiv-randomisiertes Regime OP ja/nein ist kaum zu rechtfertigen.
-
Sehr inhomogene Fallpräsentationen, daher sind hohe Fallzahlen nötig, um einen Effekt zu zeigen.
-
Eine hohe Fallzahl erfordert lange Rekrutierungsphase mit möglicher Prognoseänderung einzelner Entitäten – fehlende Aktualität am Ende der Rekrutierungsphase.
Operation
Bei Patienten in guter Allgemeinverfassung und mit guter Prognose ist die Therapie der Wahl die chirurgische Dekompression (Abb.1) mit anschließender Strahlentherapie bei abgeheilten Verhältnissen. Eine chirurgische Intervention kann auch zur Diagnosefindung (Biopsie) und/oder Stabilisation einer instabilen (schmerzhaften) Fraktursituation angezeigt sein. In seltenen Fällen mit solitärer spinaler Metastase, gutem Gesundheitszustand und höherer Lebenserwartung ist eine En-bloc-Tumorresektion mit Stabilisierung als „kurativer Ansatz“ in Erwägung zu ziehen.7 Prognostisch günstige Faktoren bzgl. des Outcomes einer chirurgischen Intervention sind:5
-
histologisch multiples Myelom, Lymphom, Brust- oder Prostatakarzinom
-
gute motorische Funktion bei Vorstellung
-
guter Gesamtzustand
-
wenige Nebenerkrankungen
-
singuläre Metastase der Wirbelsäule
-
keine viszeralen Metastasen
langer Zeitraum seit primärer Diagnose
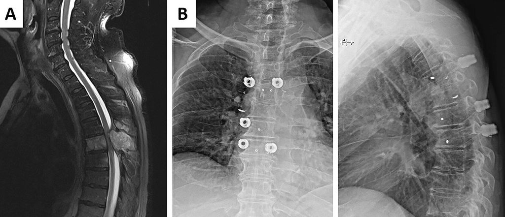
Abb. 1: A) MRT bei akuter Querschnittsymptomatik aufgrund einer Metastase eines Nierenzellkarzinoms (NCC) von BWK 5. Es zeigt sich eine absolute Spinalkanalstenose. B) Postoperative Röntgenaufnahmen a/p und seitlich. Die Versorgung erfolgte in Form einer Laminektomie sowie mit dorsaler Stabilisation (mit Carbonimplantaten, zur Reduktion der Streustrahlung bei späterer Strahlentherapie). 24 Stunden vor dem Eingriff wurde eine Embolisation zur Blutungsprophylaxe bei NCC durchgeführt (siehe Coil auf Höhe der Metastase BWK 5 rechts)
In Fällen mit singulärer Metastase der WS, in welchen eine Operation aufgrund oben genannter Befundkonstellation indiziert war, wurde die signifikante Überlegenheit eines chirurgischen Vorgehens hinsichtlich des neurologischen Outcomes im Vergleich zu alleiniger Strahlentherapie eindrucksvoll nachgewiesen.8
Strahlentherapie
Der Großteil der Patienten mit MRMK profitiert allerdings nicht von einer Operation. Diese Patienten sollten unverzüglich einer Strahlentherapie als definitiver Therapie zugeführt werden (möglichst binnen 24Stunden ab MRMK-Diagnosesicherung im MRT).4 Das Behandlungsziel ist primär Schmerzreduktion, Stabilisierung der Lokalsituation, bei Tumoren mit hoher Zellteilungsrate auch neurologische Besserung durch Tumornekrose. Die Prognose wird von den o.g. Faktoren determiniert, bei Patienten mit guter Prognose wird eine Bestrahlung über einen längeren Zeitraum (versus Einzelbestrahlung bei schlechter Prognose) empfohlen, da hier die Lokalrezidivrate nach einem Jahr niedriger ist.9
Fazit
Zielsetzung dieser Zusammenfassung ist es, einen Überblick über das Vorgehen im Akutfall bei MRMK zu ermöglichen und aktuell anwendbare Literaturreferenzen und Guidelines zusammenzufassen.
Unsere Erfahrung legt nahe, klinikintern eine SOP („standard operating procedure“) für die akute MRMK schriftlich festzulegen, welche den involvierten Mitarbeitern im Akutfall ein definiertes, begründbares Vorgehen ermöglicht.
Literatur:
1 Loblaw DA et al.: A population-based study of malignant spinal cord compression in Ontario. Clin Oncol (R Coll Radiol) 2003; 15(4): 211-7 2 Verhagen AP et al.: Red flags presented in current low back pain guidelines: a review. Eur Spine J 2016; 25(9): 2788-802 3 National Institute for Health and Care Excellence, 2008. Metastatic spinal cord compression: diagnosis and management of patients at risk of or with metastatic spinal cord compression. (CG75.) www.nice.org.uk/guidance/CG75/ [Letzter Zugriff am 12.01.2021] 4 Robson P: Metastatic spinal cord compression: a rare but important complication of cancer. Clin Med (Lond) 2014; 14(5): 542-5 5 Tokuhashi Y et al.: A revised scoring system for preoperative evaluation of metastatic spine tumor prognosis. Spine 2005; 30(19): 2186-91 6 Wibmer C et al: Survival analysis of 254 patients after manifestation of spinal metastases: evaluation of seven preoperative scoring systems. Spine 2011; 36(23): 1977-86 7 Delank KS et al.: The treatment of spinal metastases. Dtsch Arztebl Int 2011; 108(5): 71-9; quiz 80 8 Patchell RA et al.: Direct decompressive surgical resection in the treatment of spinal cord compression caused by metastatic cancer: a randomised trial. Lancet 2005; 366(9486): 643-8 9 Rades D et al.: Final results of a prospective study comparing the local control of short-course and long-course radiotherapy for metastatic spinal cord compression. Int J Radiat Oncol Biol Phys 2011; 79(2): 524-30
Das könnte Sie auch interessieren:
Frühe Unterwassertherapie nach totaler Hüft- und Knieendoprothese
Eine frühzeitige Durchführung der Unterwassertherapie mit wasserdichtem Folienverband ab dem vierten postoperativen Tag ist im Allgemeinen sicher, wirksam und ohne Nebenwirkungen.
Aktuelles zur anteromedialen Knieinstabilität
Kombinierte Verletzungen des medialen Kollateral- (MCL) und des vorderen Kreuzbandes (VKB) zählen zu den häufigsten multiligamentären Knieverletzungen. Bei vermeintlich isolierten VKB- ...
Arthroskopische Behandlung von Glenoidrandfrakturen
In der Literatur werden die Begriffe knöcherne Bankart-Läsion und Glenoidrandfraktur häufig synonym verwendet, obwohl sie sich hinsichtlich Pathomechanismus und Therapie deutlich ...