Behandlungskonzept der Lisfranc-Gelenksverletzungen
Autor:
Ass. Prof. Dr. Andreas Bölderl
Universitätsklinik für Orthopädie und Traumatologie, Innsbruck
E-Mail: andreas.boelderl@i-med.ac.at
Sie sind bereits registriert?
Loggen Sie sich mit Ihrem Universimed-Benutzerkonto ein:
Sie sind noch nicht registriert?
Registrieren Sie sich jetzt kostenlos auf universimed.com und erhalten Sie Zugang zu allen Artikeln, bewerten Sie Inhalte und speichern Sie interessante Beiträge in Ihrem persönlichen Bereich
zum späteren Lesen. Ihre Registrierung ist für alle Unversimed-Portale gültig. (inkl. allgemeineplus.at & med-Diplom.at)
Die Luxation beziehungsweise die Luxationsfraktur des Lisfranc-Gelenks ist eine seltene und daher auch häufig unerkannte Verletzung. Allein die Diagnostik stellt sich oftmals als schwierig dar, was nicht selten zu einem anfänglichen Übersehen der Verletzung und durch das späte Erkennen und die hieraus resultierende verspätete Behandlung zu einer erheblichen Langzeitmorbidität führt.
Keypoints
-
Die Verletzung des Lisfranc-Gelenkes ist eine seltene und daher auch häufig unerkannte Verletzung.
-
Eine umfangreiche klinische und bildgebende Abklärung (CT) der Verletzung ist zu postulieren, um das exakte, oftmals verdeckte Verletzungsausmaß zu erkennen.
-
Die Verwendung von winkelstabilen Plattensystemen in der temporären Fixation im Sinne eines Fixateur interne ist zur zusätzlichen Schonung der bereits geschädigten Gelenksflächen gegenüber der gelenksüberbrückenden Schraubenfixation zu empfehlen.
Ätiologie und Klassifikation
Luxationen und Luxationsfrakturen im Lisfranc-Gelenk entstehen meistens durch eine indirekte Gewalteinwirkung. Hierbei luxieren die Gelenke aufgrund des plantar stärker ausgebildeten Bandapparates am häufigsten nach dorsal.
Von Quénu und Küss sind 1909 drei Formen der Luxation beschrieben worden: Die homolaterale Luxation verschiebt die gesamte Gelenksreihe der fünf Metatarsalen nach lateral. In der isolierten Luxation weichen der erste und manchmal auch der zweite Zehenstrahl isoliert nach medial aus. In der divergierenden Luxation sind die übrigen vier Metatarsalen zusätzlich nach lateral verschoben.
Jeffreys hat 1963 nachgewiesen, dass bei fixiertem Vorfuß und forcierter Pronation am Rückfuß eine homolaterale Luxation erfolgt. In der forcierten Rückfußsupination entsteht die isolierte Luxation des ersten Zehenstrahles.
Wilson bestätigt 1972, dass die Stellung des Fußes während des Unfallereignisses Einfluss auf die Luxationsrichtung hat. Durch eine forcierte Vorfußpronation werden primär der erste Zehenstrahl und bei weiterer Gewalteinwirkung in gleicher Richtung auch die weiteren Zehenstrahlen nach dorsolateral luxiert. Unter Supination des Vorfußes erfolgt die Luxation in umgekehrter Reihenfolge. Auf Basis dieser Erkenntnisse führen Hardcastle und Myerson 1986 eine erweiterte Klassifikation der Luxationen und Luxationsfrakturen im Lisfranc-Gelenkes ein.
Durch direkte Gewalteinwirkung, etwa ein Überrolltrauma oder eine Quetschverletzung, entstehen meist unregelmäßige Frakturen und Luxationsformen. Hierbei liegen oft begleitend ligamentäre und knöcherne Verletzungen des angrenzenden Fußskeletts, etwa eine Luxation im Chopart-Gelenk, vor und sind entsprechend abzuklären. Auch das durch die direkte Gewalteinwirkung geschädigte Hautweichteilgewebe ist zu beurteilen und erfordert oftmals eine akute Versorgung der Verletzung, etwa bei einem drohenden Kompartment.
Diagnostik
Klinik
Neben der ausführlichen Anamnese des Unfallereignisses ist die klinische Untersuchung ein wesentlicher Bestandteil der Diagnosefindung. Die vom Patienten geschilderten Schmerzen und Funktionseinschränkungen, respektive das veränderte Gangbild und insbesondere auch die an der verletzten Extremität einseitige Fehlstellung der Fußform, lassen auf eine Verletzung im Lisfranc-Gelenk schließen. Die homolaterale Luxation zeigt klinisch das Bild eines Pes planovalgus, während die dorsale Luxation des Lisfranc-Gelenks sich in der Form eines Pes cavus präsentiert.
Begleitend finden sich oft Einblutungen an der Fußsohle wie auch eine auffallende Weichteilschwellung, bei welcher ein drohendes Kompartmentsyndrom abgeklärt werden muss.
Bildgebung
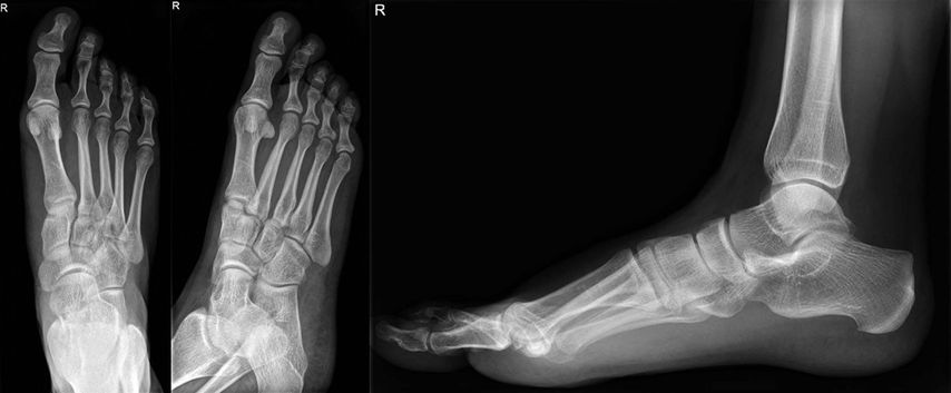
Die bildgebende Abklärung hat anfänglich durch nativradiologische Aufnahmen in seitlicher Projektion des gesamten Fußes, möglichst unter Belastung, sowie durch eine 45°-Schrägaufnahme des Mittelfußes und eine dorsoplantare Aufnahme mit 20°–30° nach kaudal gekippter Röhre zu erfolgen (Abb. 1).
Abb. 1: Bild einer möglichen Diastase zwischen der Basis des metatarsalen Gelenks II und des Os cuneiforme mediale, mögliche Ruptur des „Lisfranc-Ligaments“
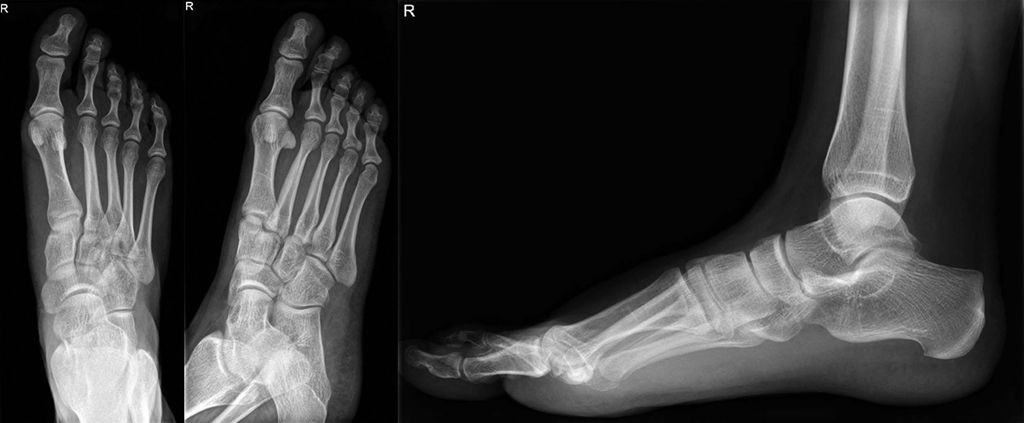
Häufig findet sich in der nativradiologischen Bildgebung kein absolut sicherer Hinweis auf eine Fraktur oder Luxation, da sich die knöchernen Strukturen in der Projektion überlagern. Hier sind entweder gehaltene Röntgenaufnahmen unter Bildwandler oder eine computertomografische Abklärung durchzuführen (Abb. 2).
Abb. 2: CT-verifizierte knöcherne Absprengungen und Subluxation zwischen dem Os cuneiforme mediale und dem metatarsalen Gelenk II des in Abbildung 1 im Nativröntgen dargestellten Fußes
Therapie
Bei isolierten Bandverletzungen oder Subluxationen im Lisfranc-Gelenk, die geschlossen anatomisch reponiert und in einer äußeren Fixation gehalten werden können, ist eine konservative Therapie gerechtfertigt. Ebenso sind undislozierte Frakturen durch eine Ruhigstellung im Unterschenkelgips oder durch entsprechende Orthese für 6Wochen unter Teilbelastung mit 15 kg zu behandeln. Bei leichteren Verletzungen kann auch eine funktionelle Behandlung im Gipsschuh oder mit entsprechender Orthese vorgenommen werden.
Ein operatives Vorgehen erfordern die nicht gedeckt zu reponierenden und vor allem nicht retinierbaren Frakturen oder Luxationen der Lisfranc’schen Gelenkslinie.
In der Versorgung von rezenten Luxationen und Luxationsfrakturen haben sich die gedeckte Reposition und die perkutane Stiftfixation als primäre Akutbehandlung bewährt, sofern eine definitive Versorgung nicht sofort durchgeführt werden kann. Oftmals ist zusätzlich zum Schutz der Weichteile die Anlage eines Fixateur externe notwendig, um einerseits die reponierten Gelenke bis zur definitiven Versorgung zusätzlich zu sichern und andererseits den Weichteilen durch die Ruhigstellung eine raschere Abschwellung zu ermöglichen.
Die alleinige Stiftfixation in der definitiven Versorgung hat sich, auch bei Verwendung von Gewindestiften, in der Ausbehandlung nicht bewährt, da es zu Auslockerungen der Implantate und somit zu einem Repositionsverlust der Gelenke kommt, was relativ rasch zu einer weiteren Gelenksschädigung im Sinne einer posttraumatischen Arthrose führt und somit das Operationsergebnis gefährdet.
Nach Abschwellung der Weichteile ist die definitive Versorgung der luxierten Gelenke und Frakturen in einem Zeitraum von zwei Wochen noch problemlos möglich.
Neben den üblichen Osteosyntheseverfahren der Frakturversorgung hat sich in der letzten Zeit zur Retention der reponierten Gelenke die temporäre Transfixation der Gelenke durch winkelstabile Plattensysteme durchgesetzt. Hierbei kann nach dem Prinzip des Fixateur interne das Gelenk in der Reposition gehalten werden, wobei häufig benachbart liegende Frakturen, etwa Schaftfrakturen der Zehenstrahlen, gleichzeitig durch das selbe Implantat fixiert werden können.
Durch die überbrückende Fixation entsteht kein weiterer Schaden an den Gelenksflächen, wie es etwa bei einer temporären Verschraubung des Gelenkes unumgänglich ist. Letztendlich ist auch das operative Einbringen der winkelstabilen Implantate wesentlich einfacher als die temporäre Verschraubung, welche eine exakte Positionierung der Schraube in der Gelenksachse erfordert, die hierbei durch die Gelenksflächen eingebracht werden muss.
Die operative Versorgung der Lisfranc- Luxationsfraktur erfolgt über einen oder zwei dorsal verlaufende Zugänge auf Höhe des tarsometatarsalen Überganges. Durch diesen Zugang kann auch gleichzeitig ein Kompartmentsyndrom entlastet werden (Abb. 3). Frakturen an den einzelnen Gelenksflächen werden anschließend reponiert und mit Schraubenosteosynthesen versorgt.
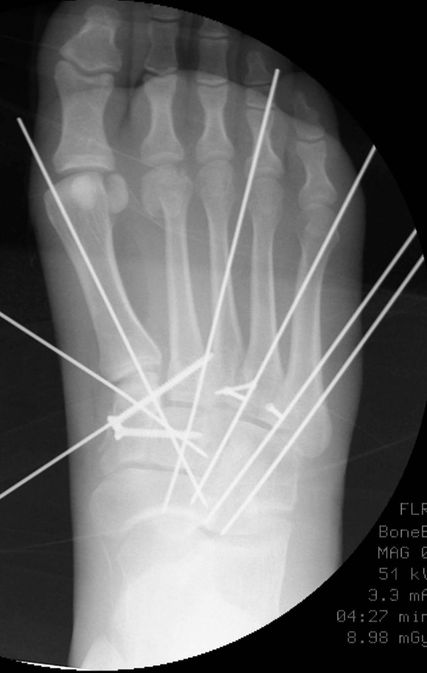
Die Reposition der Lisfranc-Luxation beginnt am zweiten Tarsometatarsalgelenk, welches in seiner anatomischen Form zwischen Os cuneiforme mediale und intermedium als auch an der Basis des Os metatarsale III geführt wird. Hierbei ist auch der Abstand zwischen Os cuneiforme mediale und dem Os metatarsale II wiederherzustellen, wobei eine Repositionszange in Zugrichtung des „Lisfranc-Ligaments“ aufgesetzt wird (Abb. 4). Anschließend werden nun der erste und der dritte Strahl reponiert und mit Kirschnerdrähten fixiert (Abb. 5).
Nun erfolgt die radiologische Überprüfung der Repositionsergebnisse unter Bildwandlerkontrolle, wobei sich unserer Erfahrung nach ein 3D-CT-Bildwandler bewährt hat. Meistens haben sich durch die Repositionsmanöver des I.–III. Tarsometatarsalgelenkes das IV. und V. Tarsometatarsalgelenk spontan mitreponiert; nur bei weiter bestehender Luxation ist eine offene Reposition durch einen zweiten Zugang notwendig. Auch hier werden die Gelenke mit Kirschnerdrähten in der Reposition gehalten. Anschließend erfolgt die temporäre Transfixation der Gelenke.
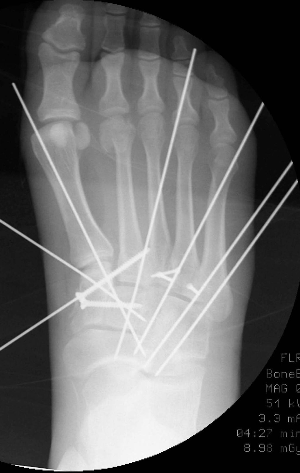
Die definitive Versorgung wird nun mit einer von medial durch das Os cuneiforme mediale schräg in die Basis des Os metatarsale II aufsteigenden Stellschraube zur Fixation des cuneimetatarsalen Gelenkes zwischen dem Os cuneiforme mediale und der Basis des Os metatarsale II begonnen (Abb. 6). Die Tarsometatarsalgelenke I–III werden anschließend mit winkelstabilen Plattensystemen im Sinne eines Fixateur interne überbrückt. Die Kirschnerdrähte werden entfernt, nur an den Tarsometatarsalgelenken IV und V können bei ausreichend stabil erscheinender Fixation der Tarsometatarsalgelenke I–III die Kirschnerdrähte belassen werden, da sich durch die Stabilisierung der Gelenke I–III üblicherweise eine ausreichende Stabilität im Lisfranc-Gelenk der Strahlen IV–V ergeben hat. Erscheint dies nicht ausreichend, etwa durch begleitende Frakturen, sind auch die Strahlen IV und V mit einer winkelstabilen Plattenosteosynthese zu versorgen (Abb. 7).
Anschließend erfolgt der Wundverschluss. Eine zusätzliche Fixation durch einen Fixateur externe ist nicht mehr notwendig (Abb. 8).
Nachbehandlung
Die Nachbehandlung erfolgt frühfunktionell mit 15–20 kg Teilbelastung für 6–12 Wochen im Unterschenkelgips oder in entsprechender Orthese beziehungsweise im Gipsschuh. Das transfixierende Osteosynthesematerial wird nach 8–12 Wochen entfernt und dem Patienten anschließend die Vollbelastung nach Wundheilung erlaubt.
Fazit
In unserem eigenen Patientenkollektiv hat sich in der klinischen Nachsorge bestätigt, dass Subluxationen und stabile Bandavulsionen des Lisfranc-Gelenks unter konservativer Behandlung in der Regel folgenlos ausheilen. Hingegen führen offensichtliche Gelenksstufen oder frakturbedingte Verkürzungen ohne rekonstruktiven Eingriff zur posttraumatischen Arthrose, oftmals begleitet durch eine Valgus- oder Varusfehlstellung des Rückfußes und/oder Abduktions-/Adduktionsfehlstellung des Vorfußes. Dies führt zu wesentlichen Funktionseinschränkungen des Fußes, was häufig sekundäre Korrektureingriffe erfordert.
Als Schlussfolgerung hieraus ist die Verletzung des Lisfranc-Gelenkes einer ausführlichen Diagnostik in der klinischen Untersuchung und auch der bildgebenden Abklärung zu unterziehen, um das exakte und oftmals verdeckte Verletzungsausmaß zu erkennen und erfolgreich zu behandeln.
Wir schließen uns den in der Literatur angegebenen Behandlungsalgorithmen seit mehreren Jahren an und können diese aufgrund der klinischen Ergebnisse bestätigen. Mit der Anwendung von winkelstabilen Plattensystemen im Sinne eines Fixateur interne zur transartikulären temporären Fixation ist es möglich, gegenüber der transartikulären Verschraubung die bereits unfallkausal geschädigten Gelenksflächen zu schonen.
Literatur:
• Frank D, Rammelt S: Arthrodese des Lisfranc-Gelenks. In: Rammelt S: Fuß- und Sprunggelenkchirurgie. Das Kursbuch. Schattauer Verlag 2015, S. 174-8 • Hansen ST: Arthrodesen der Fußwurzel. In: Wülker N et al.: Operationsatlas Fuß und Sprunggelenk. Thieme 2007; S. 136-40 • Jeffreys TE: Lisfranc’s fracture dislocation: a clinical and experimental study of tarso-metatarsal dislocations and fracture-dislocations. J Bone Joint Surg Br 1963; 45: 546-51 • Quénu E, Küss G: Études sur le luxations du métatarse (luxations métatarso-tarsiennes) du diastasis entre le 1 er et le 2 e métatarsien. Rev Chir 1909; 39: 281-336, 720-91, 1093-134 • Sangeorzan J: Cuneiform-metatarsal-arthrodesis. In: Johnsen KA: The foot and ankle. Lippincott 1997; S. 231-46 • Wilson DW: Injuries of the tarsometatarsal joints. J Bone Joint Surg Br 1972; 54: 677-86 • Zwipp H: Lisfranc-Luxationen/Luxationsfrakturen. In: Zwipp H: Chirurgie des Fußes. Springer Verlag 1994; Kap. 3.7, S. 147- 61
Das könnte Sie auch interessieren:
Frühe Unterwassertherapie nach totaler Hüft- und Knieendoprothese
Eine frühzeitige Durchführung der Unterwassertherapie mit wasserdichtem Folienverband ab dem vierten postoperativen Tag ist im Allgemeinen sicher, wirksam und ohne Nebenwirkungen.
Aktuelles zur anteromedialen Knieinstabilität
Kombinierte Verletzungen des medialen Kollateral- (MCL) und des vorderen Kreuzbandes (VKB) zählen zu den häufigsten multiligamentären Knieverletzungen. Bei vermeintlich isolierten VKB- ...
Arthroskopische Behandlung von Glenoidrandfrakturen
In der Literatur werden die Begriffe knöcherne Bankart-Läsion und Glenoidrandfraktur häufig synonym verwendet, obwohl sie sich hinsichtlich Pathomechanismus und Therapie deutlich ...