
Zervixlängenmessung: wie und wann?
Autorin:
Dr.med. Silke Michaelis, FRCOG
Klinik für Geburtshilfe
Universitätsspital Zürich
E-Mail: silke.michaelis@usz.ch
Vielen Dank für Ihr Interesse!
Einige Inhalte sind aufgrund rechtlicher Bestimmungen nur für registrierte Nutzer bzw. medizinisches Fachpersonal zugänglich.
Sie sind bereits registriert?
Loggen Sie sich mit Ihrem Universimed-Benutzerkonto ein:
Sie sind noch nicht registriert?
Registrieren Sie sich jetzt kostenlos auf universimed.com und erhalten Sie Zugang zu allen Artikeln, bewerten Sie Inhalte und speichern Sie interessante Beiträge in Ihrem persönlichen Bereich
zum späteren Lesen. Ihre Registrierung ist für alle Unversimed-Portale gültig. (inkl. allgemeineplus.at & med-Diplom.at)
Frühgeburtlichkeit, per WHO definiert als eine Geburt zwischen 20+0 bis 36+6 Schwangerschaftswochen, ist mit einer erhöhten kindlichen Mortalität und Morbidität verbunden.1 In der Schweiz liegt die Frühgeburtenrate bei etwa 7%. 75 bis 80 Prozent aller Frühgeburten erfolgen spontan.2 Die sonografische Messung der Zervixlänge (ZXL) im 2. Trimenon ist ein wesentlicher Bestandteil der Einschätzung des Risikos für eine Frühgeburt und findet als Screeningmethode breite Anwendung.3
Keypoints
-
Die sonografische Messung der ZXL ist objektiv, standardisiert und reproduzierbar.
-
Die Messung der ZXL hat einen festen Bestandteil in der Erfassung des Frühgeburtsrisikos bei symptomatischen und asymptomatischen Schwangeren sowie in der Therapieplanung.
-
Bei Schwangeren mit belasteter Anamnese sowie bei Zwillingsgraviden sollten serielle Messungen der ZXL ab16 SSW erfolgen.
-
Bei asymptomatischen Frauen gilt der Cut-off von 25mm zwischen 18 und 24 SSW.
-
Die Bestimmung der ZXL im 1. Trimenon hat sich zur Identifizierung von Risikoschwangeren nicht durchgesetzt.
-
Goldstandard ist die transvaginale Sonografie (TVS).
-
Wenn bei guter Sicht die ZXL in der transabdominalen Sonografie lang ist, kann auf eine TVS verzichtet werden.
-
Die Zervixlängenmessung findetzur Vorhersage des spontanenEinsetzens von Wehen und vor Geburtseinleitung in Terminnähe ebenfalls Anwendung.
Hintergrund
Seit den 1960er-Jahren ist die Korrelation zwischen einer vorzeitigen Verkürzung und Eröffnung der Zervix und dem Risiko einer Frühgeburt etabliert.4
1979 erfolgte erstmals die Beschreibung der sonografischen Darstellung der Cervix uteri mittels transabdominalen Ultraschalls.5 Iams und Kollegen führten 1996 in einer prospektiven Multicenterstudie bei 2900 Patientinnen transvaginale sonografische Messungen der ZXL mit 24 und 28 Schwangerschaftswochen (SSW) durch.6 Sie waren die Ersten, welche zeigen konnten, dass eine Verkürzung der sonografisch gemessenen ZXL mit einem höheren Risiko für eine Frühgeburt assoziiert ist. In einer grossen prospektiven, 2006 publizierten Multicenterstudie führten To et al. bei 39000 Einlingsschwangerschaften vaginale ZXL-Messungen zwischen 22 und 24 SSW durch.7 Die durchschnittliche ZXL lag in dieser Studie bei 36mm, bei 1% der Frauen betrug die ZXL 15mm und weniger. Die ZXL zeigten eine Normalverteilung.
Zervixlängenmessung: wie?
Methoden
Die Länge der Cervix uteri kann sonografisch und digital erfasst werden.
Die digitale Untersuchung ist eine subjektive Untersuchung. Die Verkürzung der Zervix geht in der Regel vom inneren Muttermund (MM) aus. Die akkurate Länge der Zervix sowie Veränderungen am inneren Muttermund können über diese Methode nicht erfasst werden.8
Sonografisch stehen drei Methoden zur Verfügung, welche es ermöglichen, die genaue Anatomie der Cervix uteri zu visualisieren und damit zu erfassen.
Die Messungen können transabdominal (TAS), transvaginal (TVS) und transperineal (TPS) erfolgen.8
Die Reproduzierbarkeit einer Messmethode mit geringer Inter- und Intraobserver-Variabilität ist für eine Screeningmethode eine unabdingbare Voraussetzung.
Die TAS ist mit einer kürzeren Untersuchungszeit verbunden und ist angenehmer für die Schwangere. Der wesentliche Nachteil liegt in der Distanz zwischen Probe und Zervix, der falschen Elongation der Zervix durch die volle Harnblase und/oder den Druck über die Probe sowie in Schallschatten durch fetale Strukturen bzw. hohen mütterlichen BMI. Für eine TAS gelten andere, höhere Normwerte für die ZXL.3 Es ist jedoch vertretbar, bei einer langen mittels TAS gut sichtbaren gemessenen Zervix auf eine transvaginale Messung zu verzichten.9
Die TV-Sonografie erlaubt die genauste Darstellbarkeit der Cervix uteri. Sie wird in den randomisierten Studien als Methode eingesetzt und somit in nationalen und internationalen Leitlinien als Methode der Wahl empfohlen.3,9
Die TPS ist in der Darstellbarkeit der ZXL der TVS gleichzusetzen und kommt besonders beim vorzeitigen Blasensprung oder in anderenmedizinischen Indikationen zum Einsatz.10,11
Messtechnik
Die Zervixlängenmessung erfolgt standardisiert und ist somit reproduzierbar (siehe Tab. 1).8,12
-
Die mütterliche Harnblase sollte leer sein.
Eine volle Harnblase kann zu einer fälschlichen Elongation der ZXL führen. Ausserdem kann es durch den Druck zu einer Maskierung eines Trichters kommen.
-
Eine longitudinale Darstellung der Zervix sollte erfolgen.
Die Zervix hat entlang ihrer Längsachse gemessen zu werden. Diese stimmt nicht immer mit der Längsachse der Schwangeren überein. Hierzu wird die Vaginalsonde zunächst mit leichtem Druck im vorderen Scheidengewölbe platziert, um zur longitudinalen Darstellung des Zervikalkanals (ZK) zurückgezogen zu werden. Der ZK enthält Mukus, welcher nicht mit einem Trichter verwechselt werden sollte. Dies erfolgt am besten durch die Identifikation der fetalen Membranen. Bei einer Trichterbildung prolabieren diese in den ZK. Im Normalfall liegen sie dem inneren MM an.
-
Der Zervikalkanal und die zervikale Mukosa müssen identifiziert werden.
Der Isthmus sollte nicht in die Messung der ZXL miteinbezogen werden. Hierzu eignet sich die Darstellung der hypoechogenen zervikalen Mukosa. Das Ende der Mukosa stellt den inneren MM dar. Der äussere MM ist der Punkt, an dem die vordere und hintere MM-Lippe zusammenkommen (Abb.1).
-
Korrekte Vergrösserung des Bildes
Zur genauen Darstellung der Zervixmorphologie und ihrer Strukturen hat das Bild 50 bis 75% des Bildschirms auszumachen (Abb.1).
-
Der Druck auf die Zervix durch die Sonde sollte möglichst gering gehalten werden.
Durch übermässigen Druck kann die Zervix länger erscheinen und es kann zu einer Verschleierung eines Trichters kommen. Der initial ausgeübte Druck sollte somit zur optimalen Darstellung des ZK reduziert werden. Die vordere und die hintere MM-Lippe sollten gleich breit sein.
-
Die Untersuchungsdauer beträgt 3 bis 5 Minuten.
Die ZXL kann im Laufe einer Untersuchung (z.B. während einer Kontraktion) in ihrer Länge variieren, da sie eine dynamische Struktur ist. Mindestens drei Messungen sollten erfolgen und die kürzeste Messung sollte zum Einsatz kommen.
-
Korrekte Platzierung der Messkreuze
Die Messung der ZXL erfolgt durch die Platzierung der Messkreuze am inneren und am äusseren MM. Gemessen wird in einer geraden Linie zwischen beiden Messpunkten und – trotz Krümmung der Zervix – nicht in zwei Segmenten. Die Zervix ist in 51% der Fälle bei einer Länge >25mm gekrümmt und immer gerade, wenn die ZXL <16mm beträgt. Insofern ist eine gerade Zervix immer verkürzt. Bei der Bildung eines Trichters wird das Messkreuz an die Spitze des Trichters gesetzt. Der Trichter selbst wird nicht gemessen (Abb.2).
-
Identifizierung und Beschreibung von Zusatzbefunden
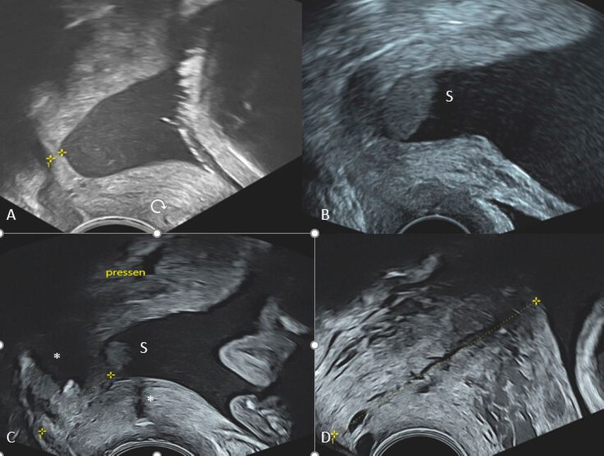
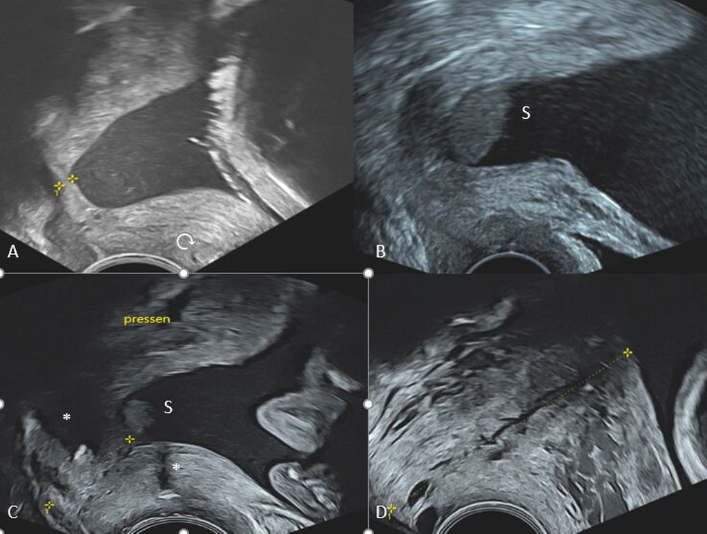
Bei einer Vorwölbung der Fruchtblase in den ZK kommt es zu einer sogenannten Trichterbildung. Jene ändert sich mit zunehmender Verstreichung der Zervix in seinem Aspekt von Y-, V- zu U-förmig. Findet sich eine Trichterbildung, wird die Restzervix gemessen. Weiterhin kann es zu sogenanntem Sludge kommen (Abb.2). Dieser beinhaltet Eiter, mikrobielle Bestandteile oder feste Partikel wie Vernix und ist mit einer intraamnialen Infektion vergesellschaftet.
Myome, Membranseparation, Plazentationsstörungen, Placenta praevia und Vasa praevia oder aber ein Cerclagefaden können ebenfalls zur Darstellung kommen (Abb.2).
Abb. 2: U-förmiger Trichter (A), Sludge mit Zervixverkürzung (B), Sludge, Trichter und Cerclagefaden * (C),PAS: Placenta-accreta-Spektrum mit verstärkter Vaskularisation (D). S: Sludge, * Cerclagefaden
Normwerte
Die ZXL wird zwischen 14 und 28 SSW als stabil angesehen und nimmt danach graduell ab.13
Die per TVS gemessene durchschnittliche ZXL beträgt bei Einlingen vor 22 SSW über 40mm, zwischen 22 und 32 SSW 40mm und nach 32 SSW 35mm.9 Bei Afrikanerinnen, Asiatinnen und zarten Frauen scheint die ZXL im 2. Trimenon kürzer zu sein.3
Eine TVS-gemessene ZXL von ≤25mm wird laut internationalem Konsens unter 34+0 SSW als verkürzt angesehen.3,9 Diese Grenze ist jedoch arbiträr und kann im Grunde nicht für den gesamten Zeitraum bis 34+0 SSW gelten.13
Bei asymptomatischen Zwillingsschwangerschaften wird der Cut-off bei einer ZXL von 25mm zwischen 20bis 24 SSW gelegt.14
Bei Drillingsschwangerschaften und Mehrlingen in grösserer Zahl hat sich diese Methode als Screening zur Vorhersage einer Frühgeburt nicht bewährt.15
Zervixlängenmessung: wann?
Die Messung der ZXL findet als generelle Screeningmethode bei asymptomatischen Frauen im 2. Trimenon zur Vorhersage der Frühgeburtlichkeit breite Anwendung.3,16 In der AWMF-Leitlinie aus dem Jahr 2022 wird das allgemeine Screening im Gegensatz zu den im gleichen Jahr erschienenen ISUOG-Leitlinien nicht empfohlen.3,9
Sie kann als universelle Untersuchung aller asymptomatischen Einlingsschwangeren ohne belastete Anamnese zwischen 18 bis 24 SSW eingesetzt werden.3,16 Es gilt ein Cut-off von 25mm.
Bei symptomatischen Schwangeren und bei Schwangeren mit Risikofaktoren wird die TVS der ZXL in das therapeutische Konzept miteinbezogen.3,9
Bei Einlingsschwangeren mit mindestens einem Spätabort oder einer Frühgeburt in der Anamnese wird ein Screening ab 16 SSW mit einer Messung der ZXL alle 2 Wochen empfohlen.3,9
Bei asymptomatischen Frauen mit Zwillingsschwangerschaften wird von der AWMF eine serielle TVS-Messung der ZXL ab 16 SSW empfohlen.9
Bei symptomatischen Frauen mit vorzeitigen Wehen zwischen 22 und 34 SSW sollte eine TVS-(oder TPS-)Messung der ZXL erfolgen.3,9
Die Messung der ZXL vor 14 SSW kann zurzeit nicht als Screening empfohlen werden.3,8,9
Die Messung der ZXL findet auch zur Beurteilung der Zervix in Terminnähe und bei Terminüberschreitung Anwendung.17,18
Zusammenfassung
Die sonografische Zervixlängenmessung findet bei Einlings- und Zwillingsschwangerschaften breite Anwendung in der Vorhersage der Frühgeburtlichkeit. Sie hat in der Therapieplanung einen festen Platz eingenommen. Die genauste Darstellbarkeit der ZXL erlaubt die TVS, die Messtechnik ist standardisiert.
Literatur:
1 WHO: recommended definitions, terminology and format for statistical tables related to the perinatal period and use of a new certificate for cause of perinatal deaths. Acta Obstet Gynecol Scand 1977; 56(3): 247-53 2 Goldberg RL: The management of preterm labor. Obstet Gynecol 2002; 100(5 Pt1): 1020-37 3 Coutinho CM et al.: ISUOG Practice Guidelines: role of ultrasound in the prediction of spontaneous preterm birth. Ultrasound Obstet Gynecol 2022; 60(3): 435-56 4 Sonek J, Shellhaas C: Cervical sonography: a review. Ultrasound Obstet Gynecol 1998; 11(1): 71-8 5 Sarti DA et al.: Ultrasonic visualization of a dilated cervix during pregnancy. Raiology 1979; 130(2): 417-20 6 Iams JD et al.: The length of the cervix and the risk of spontaneous premature delivery. National Institute of Child Health and Human Development Maternal Fetal Medicine Unit Network. N Engl J Med 1996; 334(9): 567-72 7 To MS et al.: Prediction of patient-specific risk of early preterm delivery using maternal history and sonographic measurement of cervical length: a population-based prospective study. Ultrasound Obstet Gynecol 2006; 27(4): 362-7 8 Kagan KO, Sonek J: How to measure cervical length. Ultrasound Obstet Gynecol 2015; 45(3): 358-62 9 AWMF: S2k-Leitlinie zur Prävention und Therapie der Frühgeburt. AWMF 2022; https://register.awmf.org/assets/guidelines/015-025l_S2k_Praevention-Therapie-Fruehgeburt_2022-09.pdf ; zuletzt aufgerufen am 13.11.2023 10 Meijer-Hoogeeveen M et al.: Transperineal versus transvaginal sonographic cervical length measurement in second- and third-trimester pregnancies. Ultrasound Obstet Gynecol 2008; 32(5): 657-62 11 Krief D et al.: Transperineal ultrasound in routine uterine cervix measchurement. Arch Gynecol Obstet 2023; 307(2): 387-93 12 The Fetal Medicine Foundation: Education. Cervical assessment. Internet based course; https://www.fetalmedicine.org/education/cervical-assessment 13 Salomon LJ et al.: Reference range for cervical length throughout pregnancy: non-parametric LMS-based model applied to a large sample. Ultrasound Obstet Gynecol 2009; 33(4): 459-64 14 Conde-Agudelo A et al.: Transvaginal sonographic cervical length for the prediction of spontaneous preterm birth in twin pregnancies: a systematic review and metaanalysis. Am J Obstet Gynecol 2010; 203(2): 128.e1-12 15 Fichera A et al.: Cervical-length measurement in mid-gestation to predict spontaneous preterm birth in asymptomatic triplet pregnancy. Ultrasound Obstet Gynecol 2018; 51(5): 614-20 16 Werner EF et al.: Universal cervical-length screening to prevent preterm birth: a cost-effectiveness analysis. Ultrasound Obstet Gynecol 2011; 38(1): 32-7 17 Pandis GK et al.: Preinduction sonographic measurement of cervical length in the prediction of successful induction of labor. Ultrasound Obstet Gynecol 2001; 18(6): 623-8 18 Saccone G et al.: Transvaginal ultrasound cervical length for prediction of spontaneous labour at term: a systematic review and meta-analysis. BJOG 2016; 123(1): 16-22
Das könnte Sie auch interessieren:
ACR/EULAR-Klassifikationskriterien 2023: Auswirkungen auf die Praxis
Im Jahr 2023 wurden erstmals vom American College of Rheumatology (ACR) und von der European Alliance of Associations for Rheumatology (EULAR) gemeinsam neue Klassifikationskriterien für ...
Das Bulboklitoralorgan in der gynäkologischen Praxis
Wohl kein anderes menschliches Organsystem kann auf eine ebenso spannende wie auch verstörende Geschichte zurückblicken wie die Vulva mit ihrer Hauptakteurin, dem Bulboklitoralorgan, das ...
Alternativen zur klassischen Hormonersatztherapie
Im Zusammenhang mit dem Thema „Menopausebeschwerden“ steht auch die Phytotherapie hoch im Kurs. Doch ist die Einnahme von Pflanzenextrakten immer sinnvoll? Diese und weitere Fragen ...