Die Cerclage: Fallbeispiele aus dem klinischen Alltag
Autorinnen:
Dr.med. Julia Zepf
Dr.med. Ladina Rüegg
Prof. Dr.med. Nicole Ochsenbein-Kölble
Klinik für Gynäkologie und Geburtshilfe
Universitätsspital Zürich
Korrespondierende Autorin:
Dr.med. Julia Zepf
E-Mail: julia.zepf@usz.ch
Weltweit stellt die Frühgeburtlichkeit auch heute noch einen der Hauptgründe der perinatalen Morbidität und Mortalität dar, wobei jährlich schätzungsweise 15 Millionen Kinder davon betroffen sind.1 Um eine verfrühte Geburt zu verhindern, kann in manchen Fällen eine Cerclage eingesetzt werden.
Keypoints
-
Patientinnen mit Status nach Spätabort oder Frühgeburt sollten frühzeitig an ein Zentrumsspital überwiesen werden, sodass die Durchführung einer Cerclage besprochen und je nach Wunsch der Patientin rechtzeitig geplant werden kann.
-
Eine prolabierende Fruchtblase stellt eine infektiologische Hochrisikosituation dar. Der Gesundheitszustand der Patientin kann sich schlagartig ändern. Eine engmaschige Überwachung ist deshalb sinnvoll.
Die Frühgeburt wird definiert als Geburt vor der 37. Schwangerschaftswoche (SSW), wovon in Deutschland im Jahr 2020 rund 8% der Neugeborenen betroffen waren.2 In etwa zwei Drittel aller Fälle sind vorzeitige Kontraktionen mit oder ohne Blasensprung Ursache einer Frühgeburt, wobei unterschiedliche Ursachen (z.B. bakterielle Infektionen, deziduale Blutungen, vaskuläre Erkrankungen, gestörte maternofetale Immuntoleranz, «funktioneller Progesteronentzug» oder Überdehnung des Myometriums) zu Kontraktionen führen können.3 Im Gegensatz dazu ist ein Drittel aller Frühgeburten aufgrund maternaler oder fetaler Probleme medizinisch indiziert. Es gibt unterschiedliche präventive wie auch therapeutische Möglichkeiten, die darauf abzielen eine Frühgeburt zu verhindern, wie beispielsweise die Applikation von Progesteron, die Behandlung von Infekten oder auch die Durchführung einer Cerclage.
Eine Cerclage kann entweder primär/sekundär prophylaktisch oder auch notfallmässig durchgeführt werden mit dem Ziel zu verhindern, dass sich der Muttermund zu früh bzw. weiter eröffnet. Sie kann alleine oder auch in Kombination mit einem totalen Muttermundverschluss (TMMV) durchgeführt werden.3
Indikation für eine prophylaktische Cerclage stellt eine belastende Anamnese (Status nach ≥1 Frühgeburt oder Spätabort) mit oder ohne erneute Zervixverkürzung dar. Idealerweise soll sie ab dem frühen 2. Trimester durchgeführt werden und so eine erneute frühzeitige Eröffnung des Muttermundes verhindern. Beim TMMV wird der Muttermund zusätzlich komplett verschlossen, mit dem Ziel, die «Eintrittspforte» für aufsteigende Infekte zu verschliessen. Dies birgt jedoch auch das Risiko des Keimeinschlusses, weshalb vor Durchführung unbedingt eine mikrobielle Diagnostik wie auch eine perioperative Antibiotikagabe erfolgen sollten.3 Im Gegensatz zur prophylaktischen Cerclage kann eine Notfallcerclage bei ≥1cm eröffnetem Muttermund oder prolabierender Fruchtblase durchgeführt werden. Hierbei sollten Frauen perioperativ ebenfalls Antibiotika erhalten.3 Beste Evidenz hat hierbei eine prophylaktische Cerclage bei belastender Anamnese mit sonografisch erneut verkürzter Zervix <25mm.4
Zur Vollständigkeit ist abschliessend die abdominale Cerclage zu nennen, welche für Frauen mit vorangegangener Frühgeburt <28. SSW, trotz Anlage einer prophylaktischen Cerclage, eine Option darstellt.3
Die nachfolgenden zwei Fallbeispiele aus der Praxis sollen die unterschiedlichen Cerclageindikationen genauer veranschaulichen.
Fallbeispiel 1: die prophylaktische Cerclage
Zuweisung einer 38-Jährigen (VIII Gravida I Para) bei 12+0 SSW aufgrund Status nach septischem Spätabort durch Escherichia coli mit Curettage in der 20. SSW ein Jahr zuvor. Die weitere Anamnese zeigte mehrere Frühaborte sowie eine laparoskopische Salpingektomie rechts aufgrund einer Extrauteringravidität bei ansonsten fehlenden maternalen Grunderkrankungen. Die vorliegende Schwangerschaft war spontan eingetreten und der Frühultraschall zeigte sich unauffällig. Die Durchführung einer Pränataldiagnostik wurde seitens der Patientin nicht gewünscht.
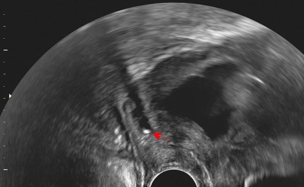
Abb. 1: Transvaginaler Ultraschall: liegende Cerclage (roter Pfeil) mit TMMV
Aufgrund der Vorgeschichte wurde mit der Patientin die Durchführung einer prophylaktischen Cerclage besprochen, welche von der Patientin gewünscht wurde. In der Voruntersuchung zeigten sich im Ultraschall eine tiefsitzende Hinterwandplazenta sowie Escherichia coli im Vaginalabstrich. Man entschied sich aufgrund der tiefsitzenden Plazenta für initial regelmässige sonografische Verlaufskontrollen zur zeitgerechten Indikation der Cerclagedurchführung. Zudem erfolgte eine Behandlung des Vaginalinfektes mit Ceftriaxon (intravenös) aufgrund der Vorgeschichte. Im weiteren Verlauf erfolgte die problemlose Durchführung der primären Cerclage (Abb.1) inklusive TMMV bei 17+2 SSW, nachdem sich die Plazenta nun 28mm vom inneren Muttermund entfernt zeigte bei einer Zervixlänge von 39mm.
Der weitere Schwangerschaftsverlauf gestaltete sich problemlos mit Entbindung am Termin mittels sekundärer Sectio caesarea. Zwei Jahre später wurde die Patientin erneut schwanger. Nach unauffälligem Ersttrimestertest erfolgte in der 16. SSW erneut die Durchführung einer Cerclage mit TMMV. Erfreulicherweise zeigte sich auch diesmal im Anschluss ein unauffälliger Schwangerschaftsverlauf mit Entbindung durch primäre Resectio caesarea am Termin.
Fallbeispiel 2: die Notfallcerclage
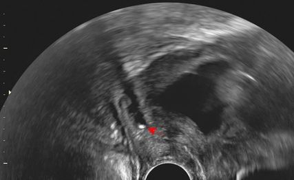
Abb. 2: Transvaginaler Ultraschall bei 17+4 SSW: prolabierende Fruchtblase mit Sludge
Notfallmässige Zuweisung einer 40-Jährigen (III Gravida I Para) bei 17+4 SSW aufgrund übermenstruationsstarker Blutung und prolabierender Fruchtblase (Abb.2). Die Schwangerschaft war durch eine intrauterine Insemination entstanden und bereits durch eine Imminensblutung in der Frühschwangerschaft kompliziert worden. Die Durchführung einer Pränataldiagnostik wurde von der Patientin nicht gewünscht. Die weitere Anamnese zeigte eine Vaginalgeburt am Termin fünf Jahre zuvor sowie einen Frühabort mit anschliessender Curettage zwei Jahre zuvor.
Bei Eintritt präsentierte sich die Patientin in hämodynamisch stabilem Allgemeinzustand. Die Blutung zeigte sich bereits regredient. Es folgten der sonografische Nachweis eines vitalen Fetus mit prolabierender Fruchtblase sowie die Darstellung eines retroplazentaren Hämatoms, danach die stationäre Aufnahme, die vaginale Abstrichentnahme sowie der Beginn einer antibiotischen Therapie mit Ceftriaxon (intravenös). Nachdem sich die Blutung im Verlauf weiter regredient zeigte, wurde auf Wunsch der Patientin bei 18+0 SSW eine sekundäre Cerclage durchgeführt. Im Anschluss erfolgte die weitere stationäre Überwachung der Patientin für insgesamt eine Woche. In diesem Zeitraum kam es zu intermittierend vaginalem Blutabgang ohne Nachweis von Kontraktionen. Am Tag des geplanten Austrittes präsentierte sich die Patientin plötzlich in reduziertem Allgemeinzustand mit Schüttelfrost und Fieber bis 39,9°C sowie einer menstruationsstarken vaginalen Blutung. Sonografisch zeigte sich ein avitaler Fetus. Aufgrund der Befunde erfolgte die Verlegung der Patientin in den Gebärsaal, mit anschliessender Lösung der Cerclage und Beginn der Wehenunterstützung mittels Oxytocin. Selben Tages kam es zur Geburt des leblosen Kindes.
Zuvor abgenommene Blutkulturen zeigten ein Wachstum von multiresistenten Escherichia-coli-Bakterien und die Plazentahistologie bestätigte den Verdacht einer akuten Chorioamnionitis. Die Patientin konnte fünf Tage postpartal in gebessertem Allgemeinzustand unter Fortführung einer resistenzgerechten antibiotischen Therapie nach Hause entlassen werden.
Literatur:
1 Inder TE et al.: Defining the neurologic consequences of preterm birth. N Engl J Med 2023; 389(5): 441-53 2 Institut für Qualitätssicherung und Transparenz im Gesundheitswesen (QTIG) (Hg.): Bundesauswertung zum Erfassungsjahr 2020 – Geburtshilfe – Qualitätsindikatoren und Kennzahlen. QTIG 2021; https://iqtig.org/downloads/auswertung/2020/16n1gebh/QSKH_16n1-GEBH_2020_BUAW_V01_2021-08-10.pdf ; zuletzt aufgerufen am 26.9.2023 3 AWMF: S2k-Leitlinie zur Prävention und Therapie der Frühgeburt. AWMF 2022; https://register.awmf.org/assets/guidelines/ 015-025l_S2k_Praevention-Therapie-Fruehgeburt_2022- 09.pdf ; zuletzt aufgerufen am 26.9.2023 4 Winkler A, Gasser S: Cerclage. Obsgyn-Wiki des Luzerner Kantonsspitals 2020; https://www.obsgyn-wiki.ch/geburtszentrum/fachliche-weisungen/cerclage/cerclage ; zuletzt aufgerufen am 12.10.2023
Das könnte Sie auch interessieren:
Menopause: Rettung oder Gefahr bei Endometriose?
Die Endometriose wird klassischerweise als östrogenabhängige Erkrankung des reproduktiven Alters betrachtet. Die weitverbreitete Annahme, dass sie mit Eintritt der Menopause verschwindet ...
Resilienz in den Wechseljahren: Strategien gegen Stimmungsschwankungen
Stimmungsschwankungen gehören zu den häufigsten und zugleich am meisten unterschätzten Symptomen der menopausalen Transition. Neben pharmakologischen Therapien gewinnen daher zunehmend ...
MHT: Hormone erhöhen Sterblichkeit und Krebsrisiko nicht
Bei nahezu jeder zweiten Frau wirkt sich die Perimenopause negativ auf Psyche, Schlafqualität und nicht zuletzt die Arbeitsleistung aus. Aktuelle Daten aus Dänemark bestärken die ...