Hüftgelenksnahe Frakturen
Ursachen und Ätiologie
Tab. 1: Ätiologie hüftgelenksnaher Frakturen
Ursachen sind in erster Linie altersbedingte Faktoren wie die Osteoporose, bei der aufgrund der Abnahme des Mineralsalzgehaltes und konsekutiv der Knochendichte das Frakturrisiko vor allem im hüftgelenksnahen Bereich und an der Wirbelsäule steigt. Begünstigt werden diese Frakturen zudem durch eine gewisse altersbedingte, teils auch durch neurologische Grunderkrankungen erhöhte Sturzneigung. So können häusliche "Stolperfallen" wie ein umgeschlagener Teppich weitreichende Konsequenzen haben. Ein weiterer Faktor ist die altersbedingt meist zunehmende Varisierung des Schenkelhalses mit Reduktion des sogenannten CCD-Winkels, die sich biomechanisch durch eine vermehrte Belastung des Calcars bemerkbar macht. Eine Spitzenbelastung oder eine Überbelastung über längere Zeit (Fatigue) kann dann in einer Schenkelhalsfraktur münden. Diese primär durch die Osteoporose induzierten Frakturtypen (Insuffizienzfrakturen, "fragility fractures") werden in Zukunft aufgrund der zu erwartenden demografischen Entwicklung an Bedeutung zunehmen. Dies zeigt bereits eine Studie von Brozek et al. (Calcified Tissue International 2014), für die von Juli 2008 bis Dezember 2010 insgesamt 31 668 Patienten über 50 Jahre mit hüftnahen Oberschenkelfrakturen in Österreich analysiert wurden, was auf die hohe Relevanz dieser Verletzung hindeutet.
Die den Frakturen zugrunde liegenden ätiologischen Faktoren wurden von der Arbeitsgemeinschaft der Wissenschaftlichen Medizinischen Fachgesellschaften (AWMF) in ihrer S2e-Leitlinie für die "Schenkelhalsfraktur des Erwachsenen" von 2015 basierend auf deren Evidenz aufgelistet (Tab. 1).
Sturz- und Frakturprävention
Ausgehend von dieser Evidenzlage können prinzipiell medikamentöse und nicht medikamentöse Strategien zur Prävention abgeleitet werden. In der AWMF-Leitlinie werden als nicht medikamentöse Maßnahmen lediglich Hüftprotektoren bei einer ausgewählten Population mit einer Empfehlung von 1A ausgewiesen. Dennoch kann und sollte ein individueller Maßnahmenkatalog zur Prävention erstellt werden. Dieser berücksichtigt unter anderem das soziale Umfeld, die Wohnungsverhältnisse, die derzeitige Medikation sowie den Mobilitätsstatus. Mithilfe dieser Informationen können ggf. Anpassungen, etwa durch Reduktion der "Stolperfallen", zur Sturzprävention vorgenommen werden.
Als medikamentöse Basismaßnahme bei Osteoporose empfiehlt der Dachverband der Deutschsprachigen Wissenschaftlichen Osteologischen Gesellschaften e. V. in seinen Leitlinien von 2017 die Gabe von ausreichenden Mengen Kalzium und Vitamin D mit einer Evidenz von 1. Die häufig auch begleitend auftretende Sarkopenie ist mit Vitamin D suffizient zu behandeln.
Therapie
Bei bereits eingetretener Indikatorfraktur (Fraktur an einer für Osteoporose typischen Stelle, z.B. an distalem Radius, an der Wirbelsäule [Kompressionsbruch] oder am hüftgelenknahen Oberschenkel ohne adäquates Trauma) sowie einer in der Knochendichte ausgewiesenen Osteopenie (T-Score von –1,0 bis –2,5) sollte eine antiresorptive Therapie mittels eines Bisphosphonats eingeleitet werden. Ohne vorliegende Fraktur wird diese nur in bestimmten Fällen bei Verdacht auf ein erhöhtes Frakturrisiko (FRAX oder TBS) oder bei einer durch die Knochendichtemessung nachgewiesenen Osteoporose (T-Wert von ≤–2,5) empfohlen.
Klinik der hüftgelenksnahen Fraktur
Schmerzen werden in erster Linie in der Inguinalregion und am Trochanter major mit Ausstrahlung in das Kniegelenk beschrieben. Das Bewegungsausmaß, besonders die Rotation, ist schmerzbedingt meist nicht zu prüfen. Nahezu pathognomonisch für eine dislozierte Schenkelhalsfraktur ist das außenrotierte und verkürzte Bein. Bei der pertrochantären Fraktur kann es ebenfalls eine Verkürzung bzw. Außenrotation geben, wenn auch milder ausgeprägt. Die Patienten sind in der Regel nicht mehr gehfähig und können das betroffene Bein nicht gestreckt von der Unterlage heben und halten. Die Ausnahme hiervon ist die eingestauchte Schenkelhalsfraktur (dem Frakturtyp der Klassifikation Garden 1 [2] und Pauwels 1 entsprechend), die zwar Schmerzen verursacht, aber nicht immer die Gehfähigkeit beeinträchtigt.
Differenzialdiagnostisch ist an einen oberen oder unteren Schambeinastbruch (keine Verkürzung oder Außenrotation), an eine Acetabulumfraktur, an Luxationen bei liegender TEP (Narbe?!) oder an eine diaphysäre oder eine periprothetische Fraktur zu denken. Selten können auch Insertionstendinopathien, eine ausgeprägte Bursitis trochanterica (GTPS: "greater trochanteric pain syndrome"), eine aktivierte Coxarthrose oder eine Coxitis die Klinik vortäuschen und sollten daher der Vollständigkeit halber differenzialdiagnostisch bei negativem Röntgenbefund erwogen werden.
Diagnostik
Der Schmerz in Kombination mit der aufgehobenen oder eingeschränkten Gehfähigkeit ist in der Regel wegweisend. Eine nativradiologische Abklärung der Hüfte in zwei Ebenen sowie die Anfertigung einer Beckenübersicht ist für die Basisdiagnostik meist ausreichend. Bei entsprechender Klinik, aber vermeintlich negativem Röntgen kann ergänzend eine Schnittbilddiagnostik (Magnetresonanztomografie oder Computertomografie – je nach Fragestellung und Verfügbarkeit) durchgeführt werden.
Die Schenkelhalsfraktur wird nach biomechanischen Gesichtspunkten (Klassifikation nach Pauwels; Winkel der Fraktur auf die Horizontale) und nach dem Risiko einer Perfusionsstörung des Oberschenkelkopfes (Einteilung nach Garden; Trabekelverlauf/eingestaucht, disloziert) eingeteilt. Je nach Lokalisation (subkapital, transzervikal) und Dislokation der Fraktur gibt es auch noch die Einteilung entsprechend der Arbeitsgemeinschaft für Osteosynthesefragen (AO).
Erstversorgung
Bei entsprechend hinweisender Klinik sollte bereits initial eine ausreichende Schmerztherapie eingeleitet werden. Zu empfehlen ist hierbei die Gabe von Substanzen, die keinen unmittelbaren Einfluss auf die Thrombozytenfunktion und die Blutgerinnung haben. Dies ist relevant, da so die intrahospitale anästhesiologische und in weiterer Folge möglicherweise notwendige operative Versorgung nicht unnötig verzögert werden. Geeignete Medikamente sind Metamizol, Paracetamol und/oder ein Opiat/Opioid als Infusion (Venflon an der kontralateralen Seite), sofern Allergien oder etwaige Kontraindikationen für diese Medikamente ausgeschlossen werden konnten.
Das betroffene Bein sollte in einer Schaumstoffschiene (wenn vorhanden) oder zumindest stabil gelagert werden. Eine Extension vor Ort hat keine ausreichende Evidenz und sollte so wie der Repositionsversuch nicht durchgeführt werden. Nach entsprechender Schmerzreduktion sollte der rasche und schonende Transport mit der Rettung in ein orthopädisches/traumatologisches Zentrum erfolgen. Die Erhebung der Sturzanamnese sowie begleitender Umstände kann, falls möglich, ebenfalls wertvolle Zusatzinformationen für die weitere Behandlung bringen (z.B. synkopal gestürzt, was eine weitere internistische Abklärung zur Folge haben sollte; Ausmaß des Traumas sowie mögliche Begleitverletzungen). Alle relevanten medizinischen Unterlagen sollten (trotz ELGA) dem Patienten mitgegeben werden, um einen raschen Überblick und mögliche entscheidungsrelevante Informationen ohne lange Verzögerung zur Verfügung zu haben (z.B. Medikamente/Hypokoagulation, maligne Vorerkrankungen, eventuell vorhandene Erwachsenenvertretung etc.).
Definitive Versorgung
Eingestauchte Frakturen mit zumindest partiell erhaltener Gehfähigkeit können als stabil bezeichnet und in weiterer Folge konservativ behandelt werden. Eine schmerzadaptierte Belastung unter Zuhilfenahme von zwei Unterarmstützkrücken (anfangs entlastend, dann Teilbelastung je nach Schmerzen) ist in diesen Fällen ausreichend. Aufgrund der in bis zu 50 % der Fälle eintretenden sekundären Dislokation sollte allerdings zumindest eine Röntgenverlaufskontrolle nach einer Woche durchgeführt werden. Nehmen die Schmerzen zu oder wird die Gehfähigkeit beeinträchtigt, ist eine solche ggf. auch früher vorzunehmen. Im Einzelfall kann auch über eine prophylaktische Verschraubung oder osteosynthetische Versorgung nachgedacht werden, um eine sekundäre Dislokation zu verhindern.
Dislozierte Schenkelhalsfrakturen werden in aller Regel operativ versorgt. Hierbei sollte ein Algorithmus angewandt werden, der sich am Frakturtyp (impaktiert, disloziert, Lokalisation, Frakturalter), am Aktivitätsgrad und am biologischen Alter des Patienten sowie an der Knochenqualität und einer eventuell zusätzlich vorhandenen Coxarthrose orientiert. Grundsätzlich kann bei der operativen Versorgung der Schenkelhalsfraktur zwischen gelenkserhaltenden Verfahren (direkte Verschraubung [3–4 kanülierte, meist 7,0er-Schrauben oder dynamische Hüftschraube, DHS]) und gelenksersetzenden (endoprothetischen) Verfahren (Teil- oder Hemiprothese oder Totalendoprothese) unterschieden werden.
Per- und subtrochantäre Frakturen werden nahezu ausschließlich osteosynthetisch versorgt. Eine konservative Therapie ist aufgrund der fehlenden Mobilisierbarkeit dieser Patienten nur zulässig, wenn eine Operation nicht möglich ist. Eine Extensionsbehandlung, wie sie früher auch bei Schenkelhalsfrakturen durchgeführt wurde, ist nur in Ausnahmesituationen oder zur temporären Überbrückung bis zur definitiven Versorgung zulässig. Wegen der langen Immobilisation und der Verfügbarkeit neuerer Verfahren wird sie zunehmend verlassen, obwohl Böhler sie mitunter zur Schmerzreduktion propagiert hatte.
Zum Unterschied von Schenkelhalsfrakturen, die nicht zuletzt aufgrund ihres Frakturverlaufs ein nicht unerhebliches Risiko für eine spätere Hüftkopfnekrose mit sich bringen, werden per- und subtrochantäre Frakturen gelenkserhaltend mit dem Gleitnagelprinzip (intramedullärer Kraftträger und Schenkelhalsschraube) versorgt. Nahezu unverschobene pertrochantäre Frakturen können ggf. auch mit einer DHS versorgt werden.
Besonderheiten
Rezente Studien zeigen ein verbessertes Outcome, besonders im Hinblick auf die Mortalität nach hüftnahen Oberschenkelbrüchen, wenn betroffene Patienten innerhalb von 24 bis 48 Stunden versorgt werden. Eine rasche Einleitung der Rettungskette mit Transport in ein orthopädisch-traumatologisches Zentrum ohne zeitliche Verzögerung kann daher den Verlauf positiv beeinflussen.
Das Ziel der Nachbehandlung sollte die möglichst frühzeitige Mobilisation sein. Bevor der Patient definitiv in die häusliche Pflege entlassen wird, ist die Fortsetzung der Maßnahmen (Gangschule, Sturzprophylaxe) in einer Kurzzeitpflege, Remobilisationsstation oder Akutgeriatrie ratsam.
Abb. 1: Zonen der hüftnahen Oberschenkelfrakturen: mediale und laterale Schenkelhalsfrakturen (rosa Zone), pertrochantäre Frakturen (blaue Zone) und subtrochantäre Brüche (blau-weiße Zone)
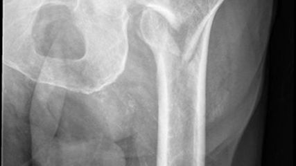
Abb. 2: Mediale und laterale Schenkelhalsfraktur
Abb. 3: Pertrochantäre Fraktur
Literatur:
bei den Verfassern
Das könnte Sie auch interessieren:
Gerichtsmedizin am Limit – welche Folgen drohen?
Überalterung, Nachwuchsmangel, finanzielle Engpässe: Die Gerichtsmedizin steht aktuell vor massiven Herausforderungen. Mit schwerwiegenden Konsequenzen: Verbrechen könnten dadurch ...
Mediation als zusätzliche Dienstleistung bei Gruppenpraxisgründung
Ärztinnen und Ärzte, die vor der Gründung einer Gruppenpraxis stehen, sind mit zahlreichen Fragen zum Procedere konfrontiert. Soll die Rechtsform eine OG oder eine GmbH sein? Was muss im ...
Neue AHA/ACC-Leitlinie zur Lungenembolie
Die American Heart Association (AHA) und das American College of Cardiology (ACC) veröffentlichten kürzlich erstmals eine Leitlinie zur Lungenembolie, die ein präzises fünfstufiges ...