Eine neue Entität mit fraglicher Dignität
Institut für Pathologie, Forschungseinheit<br> Molekulare Lungen- und Pleurapathologie,<br> Medizinische Universität Graz<br> E-Mail: helmut.popper@medunigraz.at
Sie sind bereits registriert?
Loggen Sie sich mit Ihrem Universimed-Benutzerkonto ein:
Sie sind noch nicht registriert?
Registrieren Sie sich jetzt kostenlos auf universimed.com und erhalten Sie Zugang zu allen Artikeln, bewerten Sie Inhalte und speichern Sie interessante Beiträge in Ihrem persönlichen Bereich
zum späteren Lesen. Ihre Registrierung ist für alle Unversimed-Portale gültig. (inkl. allgemeineplus.at & med-Diplom.at)
Beim ziliären papillären mukonodulären Lungentumor handelt es sich um eine erstmals 2010 beschriebene, wahrscheinlich gering maligne Entität. Genetische Aberrationen wurden bislang u.a. in den Genen KRAS und BRAF beobachtet. Es herrscht noch Unklarheit über die genaue Prognose, Rezidivierung und Metastasenbildung können nicht ausgeschlossen werden.
Die Autoren Sato, Koike, Homma und Yokoyama beschrieben 2010 einen neuen, gering malignen Lungentumor.1 Weitere Beschreibungen folgten 2014, 2015 und 2016, alle bei asiatischen Patienten.2–5 Erst 2016 wurde dieser Tumor auch bei Patienten kaukasischer Ethnizität beschrieben.6 Mittlerweile sind elf Berichte veröffentlicht worden. In den meisten Fällen wurde ein benigner Verlauf berichtet. Allerdings fanden sich genetische Veränderungen mit Mutationen in den Genen KRAS, BRAF, p16 (INK4a) und AKT17–9 und auch anaplastische Lymphomkinase(ALK)-Translokationen10,11 (Tab. 1). Die klinischen Symptome sind uncharakteristisch und rar. Meist wirdder Tumor zufällig im Zuge einer hochauflösenden Computertomografie (HRCT) bemerkt und primär entweder für Metastasenoder ein primäres Lungenkarzinom gehalten.
Tab. 1:Aufstellung der bisher berichteten molekularen Veränderungen in ziliären papillären mukonodulären Lungentumoren. EGFR: „epidermal growth factor receptor“
Morphologie
Makroskopisch ist der Tumor dadurch charakterisiert, dass er gelegentlich in mehreren nodulären Strukturen wächst – daher resultiert zumeist auch der Metastasenverdacht im HRCT.
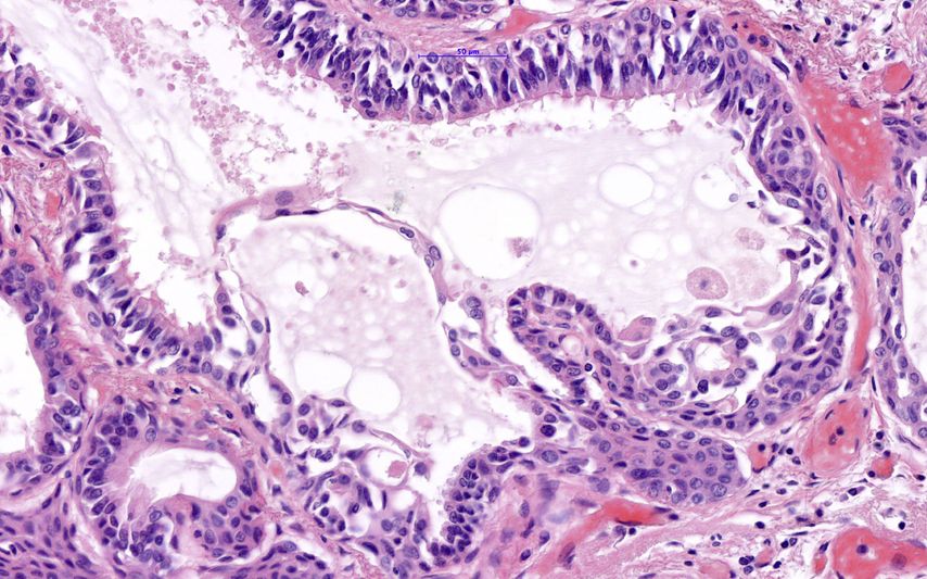
Histologisch zeigt der Tumor einen Mix aus verschiedenen Zellen: Es finden sich hochzylindrische Zellen mit Zilienbesatz (wie die normalen Zylinderepithelien), plattenepithelial differenzierte Zellen (wie eine Metaplasie mit/ohne Atypien), schleimproduzierende Becherzellen sowie Basalzellen. Die Tumorzellen exprimieren Keratin 5 (vorwiegend Basalzellen) und 7 (alle übrigen Zellen), sind teilweise positiv für den thyroidalen Transkriptionsfaktor 1 (TTF1), aber negativ für CDX2 – zeigen also keine intestinale Differenzierung. Auch eine Untersuchung auf den „hepatocyte nuclear factor 4 alpha“ (HNF4A) war negativ. Für die Becherzellen wurde eine positive Reaktion auf Mucin 5AC (MUC5AC) und MUC6 berichtet. Der Proliferationsindex Ki-67 war mit <5% sehr niedrig.
Im Laufe der eigenen pathologischen Tätigkeit wurden bislang vier derartige Tumoren als Konsultationsfälle zugesandt. Es handelte sich zumeist um Resektate aufgrund eines suspekten CT-Befundes. Die zusendenden Pathologen hatten diesen Tumor noch nie zu Gesicht bekommen. Wenn man allerdings einmal einen Fall gesehen hat, ist die Diagnose recht einfach.
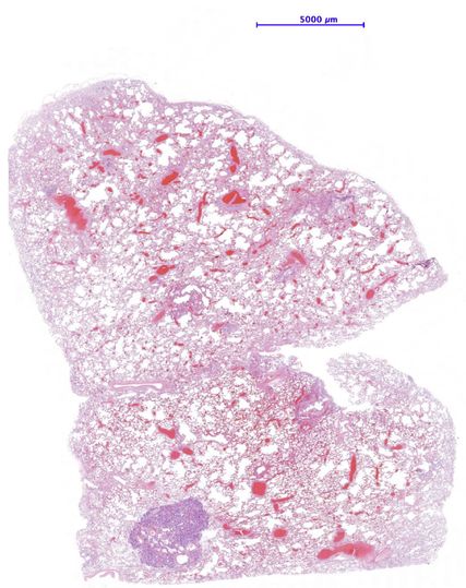
Abb. 1:Im Übersichtsbild kommt der kleine Knoten deutlich hervor. Maßstab 5000µm
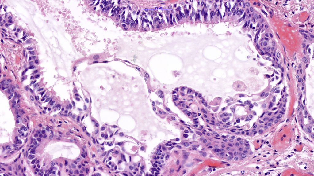
Abb. 2:Das Detailbild zeigt im Zentrum eine drüsenartige Struktur mit zilientragenden Zellen, daneben auch reichlich Schleim. Maßstab 50µm
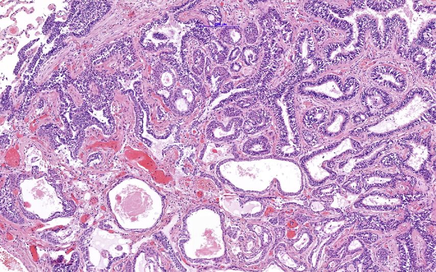
Abb. 3:Übersicht mit plattenepithelial differenzierten Zellen (oben) und Schleimproduktion/Freisetzung in der unteren Hälfte. Maßstab 200µm
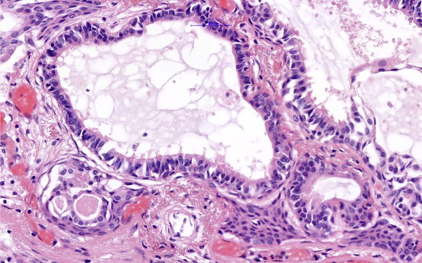
Abb. 4:Mischung verschiedener Zellen als Charakteristikum dieses Tumors: Zilienzellen, Becherzellen, Basalzellen, Plattenepithelzellen. Maßstab 50µm
Fazit
Der ziliäre papilläre mukonoduläre Tumor der Lunge ist eine neue Entität, der eine charakteristische Morphologie aufweist (Abb. 1–4). Aufgrund der bisherigen Berichte kann von einer geringen Malignität ausgegangen werden. Die molekularen Signaturen lassen aber die Möglichkeit einer Rezidivierung und eventuell sogar einer Metastasierung offen.Dementsprechend kann eine Prognose nicht mit Sicherheit abgegeben werden. Eine engmaschige Kontrolle in den ersten fünf Jahre nach Diagnose ist zu empfehlen.
Literatur:
1 Sato S et al.: Ciliated muconodular papillary tumour of the lung: a newly defined low-grade malignant tumour. Interact Cardiovasc Thorac Surg. 2010; 11(5): 685-7 2 Lau KW et al.: Ciliated muconodular papillary tumor: a solitary peripheral lung nodule in a teenage girl. Hum Pathol 2016; 49: 22-6 3 Ishikawa M et al.: Ciliated muconodular papillary tumor of the lung: report of five cases. J Surg Case Rep 2016; 2016(8): rjw144 4 Kamata T et al.: Ciliated muconodular papillary tumors of the lung: a clinicopathologic analysis of 10 cases. Am J Surg Pathol 2015; 39(6): 753-60 5 Chuang HW et al.: Ciliated muconodular papillary tumor of the lung: a newly defined peripheral pulmonary tumor with conspicuous mucin pool mimicking colloid adenocarcinoma: acase report and review of literature. Pathol Int 2014; 64(7): 352-7 6 Liu L et al.: Ciliated muconodular papillary tumors of the lung can occur in western patients and show mutations in BRAF and AKT1. Am J Surg Pathol 2016; 40(12): 1631-6 7 Kataoka T et al.: A molecular pathological study of four cases of ciliated muconodular papillary tumors of the lung. Pathol Int 2018; 68(6): 353-358 8 Kim L et al.: Ciliated muconodular papillary tumor of the lung harboring BRAF V600E mutation and p16(INK4a) overexpression without proliferative activity may represent an example of oncogene-induced senescence. J Thorac Dis 2017; 9(12): E1039-e44 9 Udo E et al.: Ciliated muconodular papillary tumors of the lung with KRAS/BRAF/AKT1 mutation. Diagn Pathol 2017; 12(1): 62 10 Jin Y et al.: Ciliated muconodular papillary tumor of the lung harboring ALK gene rearrangement: Case report and review of the literature. Pathol Int 2017; 67(3): 171-5 11 Taguchi R et al.: A case of anaplastic lymphoma kinase (ALK)-positive ciliated muconodular papillary tumor (CMPT) of the lung. Pathol Int 2017; 67(2): 99-104
Das könnte Sie auch interessieren:
Die Pathologie des Magenkarzinoms
Weltweit ist das Magenkarzinom der am fünfthäufigsten diagnostizierte maligne Tumor, mit einer verhältnismäßig hohen Sterblichkeit, bedingt vor allem durch das weit fortgeschrittene ...
„DNA mismatch repair“ und Mikrosatelliteninstabilität: Testmethoden
Der Verlust von „DNA mismatch repair“(MMR)-Proteinen führt zu einer Akkumulation von Mutationen im Genom, insbesondere in repetitiven DNA-Sequenzen, den sogenannten Mikrosatelliten. Der ...
The impact of inherited mutations in oncohaematology
Acquired mutations detection by the use of next-generation sequencing (NGS) is largely used in oncohaematology. Germline mutations have also shown to play a major role in this context ...