
Die konservative Therapie der stabilen isolierten Außenknöchelfraktur als Goldstandard: aktuelle Erkenntnisse
Autor:
Dr. Wolfgang Schönthaler
AUVA-Unfallkrankenhaus Klagenfurt
E-Mail: w.schoenthaler@outlook.com
Stabile Frakturen des oberen Sprunggelenkes können konservativ behandelt werden und zeigen dabei sehr gute Langzeitergebnisse. Während Bi- und Trimalleolarfrakturen eine Domäne der operativen Therapie sind, gilt es bei isolierten Außenknöchelfrakturen, die Stabilität des Sprunggelenkes zu prüfen. Entscheidend hierfür ist die Integrität der medialen Säule, welche einfach durch Röntgenaufnahmen unter Belastung geprüft werden kann. Zeigen sich hierbei stabile Verhältnisse, ist die konservative Behandlung der Goldstandard.
Brüche des oberen Sprunggelenkes sind häufig und haben eine Inzidenz von 120–190/100000. Entscheidend für ein gutes funktionelles Outcome ist die Heilung der Malleolengabel mit zentrierter Stellung des Sprungbeines. Bi- und trimalleoläre Frakuren sind instabil und sollten operiert werden. 60% der Frakturen betreffen nur den Außenknöchel. Viele dieser Frakturen sind stabil, werden aber nicht als solche erkannt und unnötigerweise operiert. Die Komplikationsrate bei einer Osteosynthese des Außenknöchels ist mit 20% jedoch hoch. Vor allem Verletzungen des Nervus peroneus superficialis, Infektionen und störendes Osteosynthesematerial werden häufig beobachtet. Die Stabilität des Sprunggelenkes bei Außenknöchelfrakturen ist abhängig von der Integrität des Ligamentum deltoideum, welches bei axialer Belastung zu einer kongruenten Stellung des Sprungbeins in der Sprunggelenksgabel führt. Durch einfache diagnostische Mittel können stabile Frakturen identifiziert und konservativ behandelt werden.
Die Stabilität des oberen Sprunggelenks wird durch die knöchernen Komponenten und den umliegenden Bandapparat gewährleistet. Die knöcherne Führung erfolgt durch die Malleolengabel, welche das Sprungbein von kranial sowie medial und lateral umfasst. Ein weiterer wichtiger Stabilisator ist die Syndesmose mit dem Ligamentum tibiofibularis anterius und posterius sowie der Membrana interosseae. Eine Ruptur von zwei dieser Komponenten kann zu einer mechanischen Insuffizienz führen. Neben dem lateralen Bandkomplex (Lig. talofibulare anterius, Lig. talofibulare posterius und Lig. calcaneofibulare) ist vor allem das mediale Deltaband (Lig. tibiotalare anterius und posterius) mit seinem oberflächlichen und tiefen Anteil von entscheidender Bedeutung hinsichtlich der Stabilität. Bei intaktem Deltaband führt die axiale Belastung zu einer zentrierten Stellung des Sprungbeines zwischen den Malleolen, was eine konservative Behandlung ermöglicht.
Bei der klinischen Untersuchung kann man bei medialen Begleitverletzungen als ersten Indikator Hämatome, Schwellungen und Druckschmerz im Bereich des Innenknöchels finden. Diese klinischen Zeichen geben allerdings keine Auskunft darüber, ob nur der oberflächliche oder auch der für die Stabilität entscheidende tiefe Anteil des Deltabandes verletzt ist.
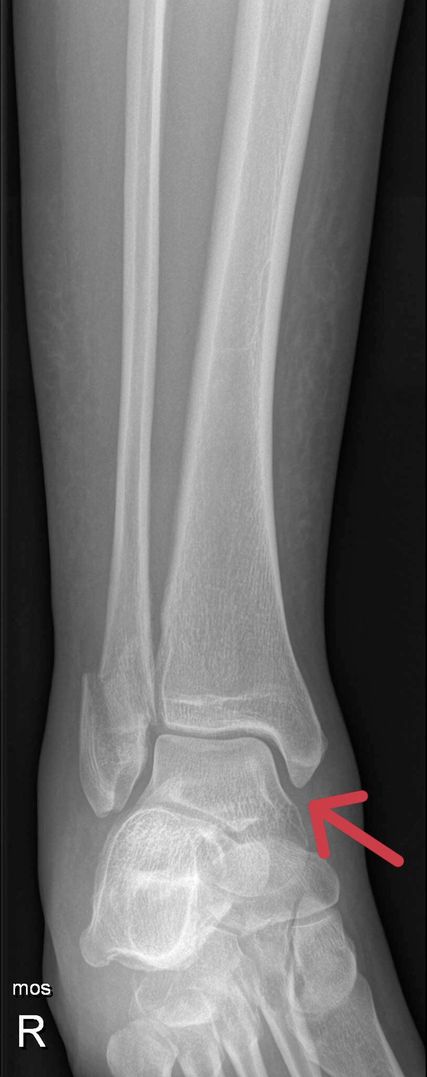
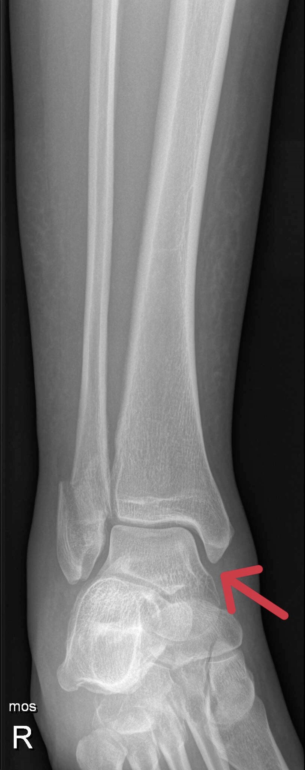
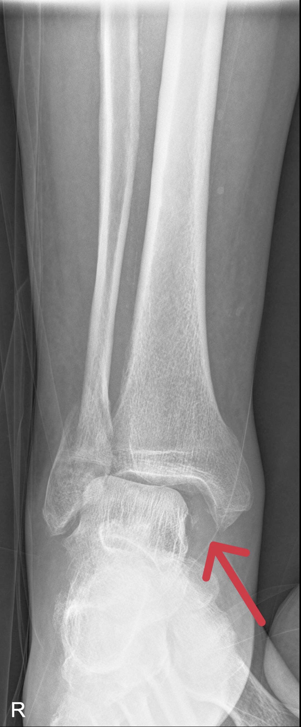
Als Standarddiagnostik erfolgt eine Röntgenaufnahme des Sprunggelenkes in zwei Ebenen. Die a.p-Aufnahme wird in 15–20° Innenrotation des Unterschenkels (Mortise-View) durchgeführt. Zur Beurteilung der Integrität des Deltabandes ist der Abstand zwischen Sprungbein und der lateralen Kortikalis des Innenknöchels („medial clear space“, MCS), entscheidend. Bei Werten <4mm ist das Deltaband intakt und die Fraktur stabil. Ist der MCS größer als 4mm oder gibt es klinische Zeichen einer Deltabandverletzung, muss weitere Diagnostik zur Feststellung der Stabilität durchgeführt werden.
Die Beurteilung des MCS in sogenannten „Stresstests“ mit forcierter Außenrotation des oberen Sprunggelenkes ist schwer objektivierbar und die Tests werden von Patienten nicht gut toleriert. Beim „Gravity-Stresstest“ wird ein Röntgen des Sprunggelenkes bei seitlich liegendem Patienten unter Einfluss der Schwerkraft durchgeführt, wobei die resultierende Außenrotation bei gerissenem Deltaband zu einer Erweiterung des MCS führt. Die Einführung der beiden Tests führten zu einer Reduktion der operativen Versorgtung von Außenknöchelfrakturen. Einige Studien haben jedoch gezeigt, dass ein Großteil der in den „Stresstests“ als instabil klassifizierten Frakturen unter physiologischer Belastung stabil ist. Bis zu 90% der Patienten mit einem positiven Befund im „Stresstest“ zeigen in der MRT-Untersuchung nur eine Teilruptur des Deltabandes.
Eine weitere Möglichkeit ist die Röntgenaufnahme im Stehen unter Vollbelastung nach 5–10 Tagen. Zeigt sich hierbei ein unauffälliger MCS, werden in der Literatur gute klinische Ergebnisse bei konservativer Behandlung beschrieben. Dawe et. al stellten fest, dass der „Gravity-Stresstest“ bei Außenknöchelfrakturen signifikant häufiger positiv ausfällt als der Röntgenbelastungstest (45% vs. 3,7%). Dementsprechend höher war die Anzahl der operierten Patienten und der damit verbundenen Komplikationen. In der Studie von Holmes et. al wurden bei 51 Patienten mit einem MCS <7mm (∅ 4,42mm) im „Gravity-Stresstest“ normale Werte in der Röntgenuntersuchung in Vollbelastung beobachtet. Diese Patienten wurden konservativ behandelt und zeigten gute klinische und radiologische Resultate. 90–98% der isolierten Außenknöchelfrakturen können trotz positiver „Stresstests“ oder klinischer Zeichen einer Instabilität bei negativem Röntgenbelastungstest konservativ mit gutem Outcome behandelt werden.
Während das MRT wegen des großen zeitlichen und finanziellen Aufwands nicht praktikabel erscheint, zeigt sich der Ultraschall in neuen Übersichtsarbeiten ebenso als vielversprechendes Diagnostiktool mit einer Sensitivität zur Identifikation einer Deltabandruptur von bis zu 100%. Eine CT-Untersuchung kann zum Ausschluss von knöchernen Begleitverletzungen wie einem hinteren Keil oder zum Nachweis einer kongruenten Stellung des Außenknöchels in der Inzisur der Tibia durchgeführt werden.
Eine Dislokation der Außenknöchelfraktur scheint wenig Einfluss auf das funktionelle Outcome zu haben. Es hat sich gezeigt, dass stabile Frakturen bis zu einer Verschiebung von 5mm konservativ mit gutem Outcome versorgt werden können.
Außenknöchelfrakturen werden primär mit einem Unterschenkelgips, Schonung und Hochlagerung des betroffenen Beines behandelt. Nach dem Abschwellen und dem Rückgang der Schmerzen sollte am 5.–10. Tag ein Belastungstest zum Ausschluss einer Instabilität durchgeführt werden. Bei stabilen Verhältnissen kann der Patient mit einem Gips oder einer Orthese, die die Außenrotation hemmt (Weber A) ruhiggestellt werden und darf voll belasten.
Zusammenfassend ist zu sagen, dass für die Wahl der Therapie die Stabilität des Sprunggelenkes entscheidend ist. Diese kann zuverlässig und einfach mit einem Röntgenbelastungstest erhoben werden. Stabile Frakturen zeigen bei funktionell-konservativer Behandlung gute Ergebnisse.
Literatur:
● Black JDJ et al.: Ultrasonography for the diagnosis of deltoid injury in supination external rotation ankle fractures - a scoping review. Foot Edinb Scotl 2022; 51: 101897 ● Dawe EJC et al.: The effect of different methods of stability assessment on fixation rate and complications in supination external rotation (SER) 2/4 ankle fractures. Foot Ankle Surg 2015; 21(2): 86-90 ● de Krom MA et al.: Diagnostic tools to evaluate ankle instability caused by a deltoid ligament rupture in patients with supination-external rotation ankle fractures: a systematic review and meta-analysis. Injury 2022; 53(2): 724-31 ● Gougoulias N et al.: Supination-external rotation ankle fractures: stability a key issue. Clin Orthop 2010; 468(1): 243-51 ● Holmes JR et al.: A novel algorithm for isolated Weber B ankle fractures: a retrospective review of 51 nonsurgically treated patients. J Am Acad Orthop Surg 2016; 24(9): 645-52 ● Koval KJ et al.: Does a positive ankle stress test indicate the need for operative treatment after lateral malleolus fracture? A preliminary report. J Orthop Trauma 2007; 21(7): 449-55 ● Sanders DW et al.: Operative versus nonoperative treatment of unstable lateral malleolar fractures: arandomized multicenter trial. J Orthop Trauma 2012; 26(3): 129-34 ● van Leeuwen C et al.: The diagnosis and treatment of isolated type B fibular fractures: results of a nationwide survey. Injury 2019; 50(2): 579-89 ● van Leeuwen C et al.: The additional value of gravity stress radiographs in predicting deep deltoid ligament integrity in supination external rotation ankle fractures. Eur J Trauma Emerg Surg 2019; 45(4): 727-35 ● van Leeuwen C et al.: The additional value of weight-bearing and gravity stress ankle radiographs in determining stability of isolated type B ankle fractures. Eur J Trauma Emerg Surg 2022; 48(3): 2287-96 ● van Leeuwen C et al.: Fibular displacement does not predict instability in type B ankle fractures. Arch Orthop Trauma Surg 2022; 142(11): 3285-91
Das könnte Sie auch interessieren:
Angeborene Fehlstellungen des Unterschenkels
Kongenitale Deformitäten des Unterschenkels gehören zu den seltenen, aber medizinisch bedeutenden und operativ herausfordernden Diagnosen der Kinderorthopädie. Eine differenzierte ...
Korrektur assoziierter Gelenkspathologien beim kongenitalen Femurdefekt
Der kongenitale Femurdefekt ist eine der spannendsten und komplexesten angeborenen Fehlbildungen in der Kinderorthopädie und in der klinischen Präsentation sehr vielgestaltig. Während ...
Hochgradige ACG-Luxationen – wann konservativ behandeln, wann nicht?
Verletzungen des Akromioklavikulargelenks (ACG) gehören zu den häufigsten Schulterverletzungen bei jungen und aktiven Menschen, insbesondere auch aufgrund der zunehmenden Beliebtheit von ...