Status quo in der Behandlung des leichten Schädel-Hirn-Traumas unter antithrombotischer Therapie
Autor*innen:
Dr. Barbara Sebek
Dr. David Grabler
Assoc. Prof. PD Dr. Dietmar Dammerer, MSc, PhD
Klinische Abteilung für Orthopädie und Traumatologie, Universitätsklinikum Krems
Korrespondierender Autor:
Assoc. Prof. PD Dr. Dietmar Dammerer, MSc, PhD
E-Mail: dietmar.dammerer@krems.lknoe.at
Vielen Dank für Ihr Interesse!
Einige Inhalte sind aufgrund rechtlicher Bestimmungen nur für registrierte Nutzer bzw. medizinisches Fachpersonal zugänglich.
Sie sind bereits registriert?
Loggen Sie sich mit Ihrem Universimed-Benutzerkonto ein:
Sie sind noch nicht registriert?
Registrieren Sie sich jetzt kostenlos auf universimed.com und erhalten Sie Zugang zu allen Artikeln, bewerten Sie Inhalte und speichern Sie interessante Beiträge in Ihrem persönlichen Bereich
zum späteren Lesen. Ihre Registrierung ist für alle Unversimed-Portale gültig. (inkl. allgemeineplus.at & med-Diplom.at)
Die „Commotio cerebri“ ist in der unfallchirurgischen/traumatologischen Notfallambulanz eine sehr häufige Diagnose. Obwohl Therapiealgorithmen vorliegen, herrscht in der Versorgung dieser Patient*innen häufig Uneinigkeit und selbst innerhalb von Österreich gibt es regionale Unterschiede in Abklärung, Therapie und Nachbehandlung.
Keypoints
-
Jährlich kommt es bei ca. 300–400/100000 Einwohnern zu einem Schädel-Hirn-Trauma.
-
Die intrakranielle Hämorrhagie ist eine gefürchtete Komplikation des leichten Schädel-Hirn-Traumas.
-
Verzögerte intrakranielle Hämorrhagien, Mortalität und Outcome im Vergleich zur Art der oralen Antikoagulation, allem voran die noch weniger erforschten DOAK, und die Notwendigkeit einer CCT-Kontrolle sind zu diskutieren.
In Deutschland kommt es jährlich bei ca. 300–400/100000 Einwohnern zu einem Schädel-Hirn-Trauma (SHT). Die Kosten werden mit rund 2,8 Milliarden Euro pro Jahr geschätzt. Daten aus Österreich liegen hierzu nicht vor. 91% erleiden ein leichtes SHT, definiert mit einem Wert auf der GlasgowComa Scale von 13–15. Betroffen sind hiervon vor allem Kinder unter 16 Jahren sowie ältere Menschen, wobei die häufigste Ursache ein Sturz ist: Bei Patient*innen über 75 Jahren wird ein Sturz als Ursache in bis zu 87% angegeben.1,2
Die Zahl der Patient*innen unter begleitender antithrombotischer Therapie steigt aufgrund der zunehmenden Lebenserwartung und entsprechender internistischer Begleiterkrankungen.3 In Kombination mit der altersbedingt erhöhten Fallneigung führt dies zu einer immer größer werdenden Anzahl an Patient*innen mit leichtem SHT unter oraler Antikoagulation, welches einer Spitalsbehandlung bedarf.
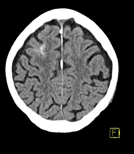
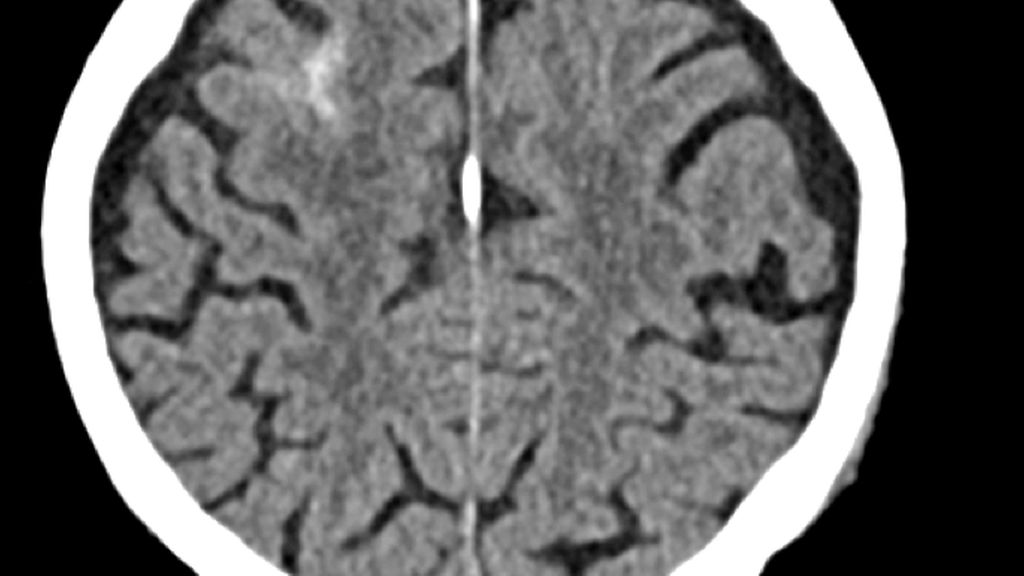
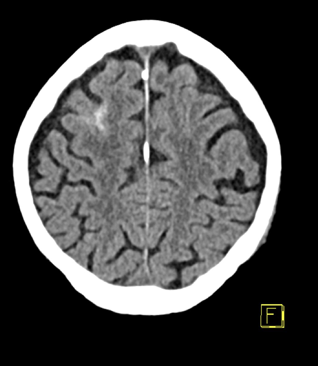
Abb. 1: 88-jähriger männlicher Patient erleidet unter der Einnahme von Rivaroxaban (Xarelto®) im Rahmen eines häuslichen Sturzes eine Subarachnoidalblutung rechts frontal
Dieser epidemiologische Hintergrund spiegelt sich im klinischen Alltag wider. Die Behandlung von Patient*innen mit leichtem SHT unter laufender oraler Antikoagulation ist eine alltägliche Situation für jede Traumatologin und jeden Traumatologen in der Notfallambulanz. Die intrakranielle Hämorrhagie stellt dabei eine gefürchtete Folge dar (Abb.1). Das erhöhte Risiko für intrakranielle Blutungen bei Vitamin-K-Antagonisten (VKA) wurde bereits vor Langem nachgewiesen, durch die Einführung der direkten oralen Antikoagulanzien (DOAK) geraten die VKA jedoch immer mehr in den Hintergrund.4,5
Fehlende Leitlinien – optimale Patientenversorgung?
Obwohl Therapiealgorithmen aus anderen Ländern vorliegen, wie z.B. die Scandinavian Guidelines6, herrscht in der Versorgung dieser Patient*innen häufig Uneinigkeit.7 Klare, evidenzbasierte und vor allem aktuelle Diagnostik- und Therapiealgorithmen fehlen und selbst innerhalb von Österreich gibt es regionale Unterschiede in Abklärung, Therapie und Nachbehandlung. Eine 2015 publizierte AWMF-Leitlinie zum Thema SHT im Erwachsenenalter ist laut Homepage derzeit in Bearbeitung.2 Wiegele et al. veröffentlichten 2019 ein Konsensus-Statement, welches einen übersichtlichen und praktikablen Leitfaden zur Versorgung dieser Patientengruppe darstellt.7 Gleichzeitig wird jedoch das mangelnde Vorhandensein von evidenzbasierter Literatur, die für klare Therapieempfehlungen notwendig ist, aufgezeigt und die Notwendigkeit zur Durchführung von randomisierten kontrollierten Studien betont.7
Diskussion der aktuellen Studienlage
Im Rahmen unserer Recherchen und der Erstellung eines Literaturreviews wurden die momentane Studienlage und dazu aktuelle Studien ab 2019 (Konsensus-Paper von Wiegele et al.7) eingeschlossen. Wie so oft findet man in der Literatur sehr unterschiedliche Ergebnisse. Anlass zu Diskussionen bieten vor allem die Themen verzögerte intrakranielle Hämorrhagien, Mortalität und Outcome bei den verschiedenen Arten der oralen Antikoagulation (ganz besonders im Hinblick auf die noch weniger erforschten DOAK) und die Notwendigkeit der Kontrollcomputertomografie. So zeigte die Studie von Cheng et al. keine Unterschiede in der frühen Mortalität sowie der Notwendigkeit einer neurochirurgischen Intervention und eines stationären Aufenthalts bei Patient*innen, die Thrombozytenaggregationshemmer einnahmen, im Vergleich zu Patient*innen ohne antithrombotische Therapie.8 Fiorelli et al. konnten ein leicht erhöhtes Risiko für Patient*innen unter Thrombozytenaggregationshemmern detektieren.9
Ferner veröffentlichten Santing et al., dass das Risiko für ein nachteiliges Outcome bei Patient*innen mit SHT unter DOAK und Thrombozytenaggregationshemmern gleich groß ist, Patient*innen mit der Einnahme von VKA jedoch ein höheres Risiko für ein schlechteres Outcome aufweisen.10 Liu et al. wiederum konnten keinen Unterschied im Outcome und in der Mortalität zwischen der Patientengruppe unter VKA und der unter DOAK detektieren.11
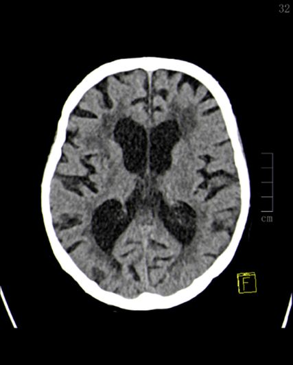
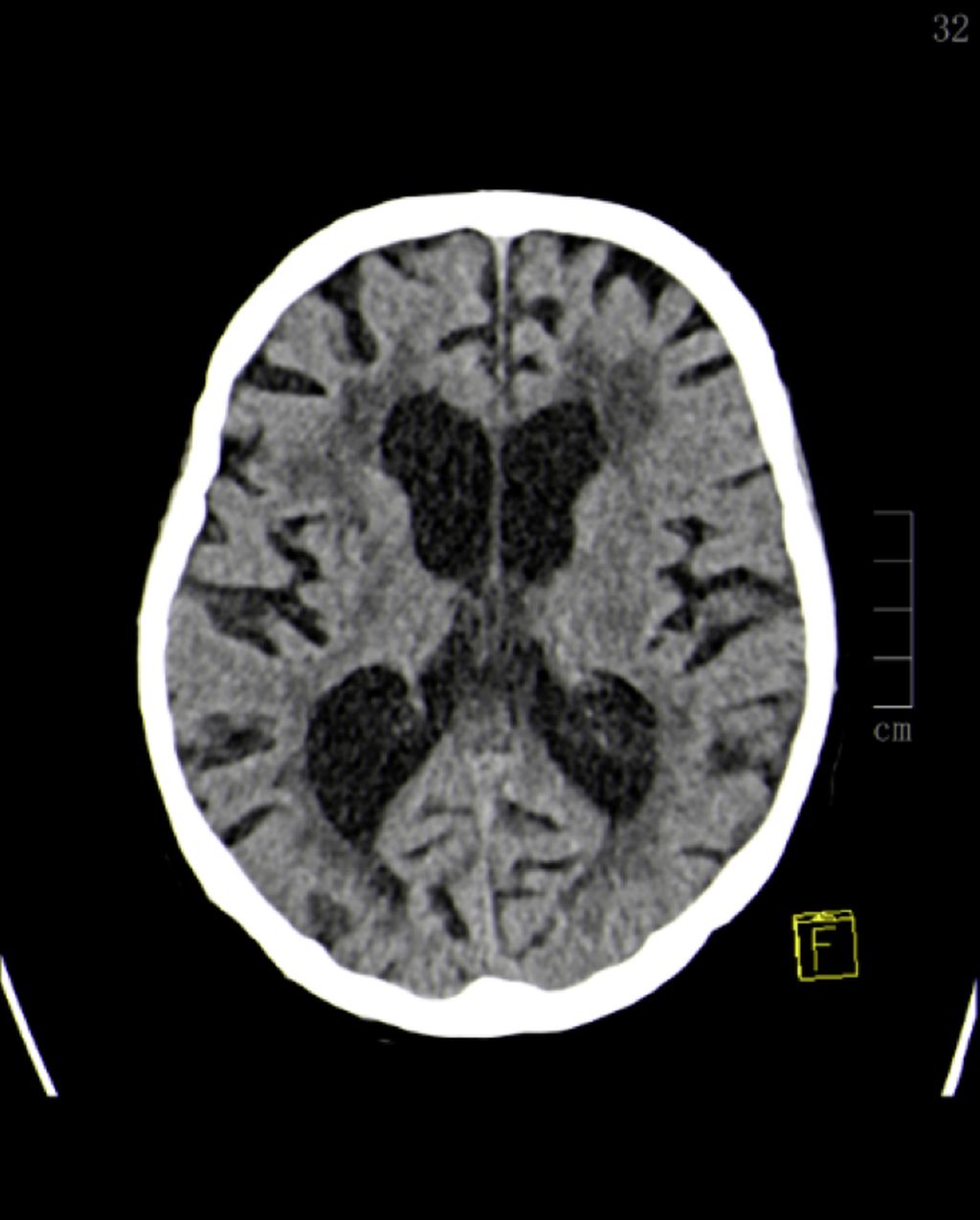
Abb. 2: Unauffälliges CCT einer 82-jährigen Patientin mit einer Schädelprellung unter der Einnahme von Edoxaban (Lixiana®)
Bemerkenswert ist, dass bei der oben erwähnten Patientengruppe in der Diagnostik nahezu ausnahmslos an der kranialen Computertomografie (CCT) (Abb.2) festgehalten wird. Diese radiologische Abklärung ist aus Sicht der aktuellen Literatur zu hinterfragen und zu reevaluieren.9,12 Selbst Colas et al. stellten in ihrer Arbeit die Frage nach dem Benefit einer standardisierten Computertomografie bei Patient*innen mit leichtem SHT, da sie ein gleiches Outcome bei Patient*innen mit und ohne eine in der CCT detektierte intrakranielle Blutung und Einnahme einer antithrombotischen Therapie feststellten.13
In der Zusammenschau vertraten die Publikationen die breite Meinung, dass man mehr prospektive Studien benötige, um diesbezüglich eine evidente Aussage treffen zu können.9,12
Was ist die gelebte Praxis und wie wird sie in Zukunft aussehen?
Im persönlichen Austausch mit Kolleg*innen der einzelnen Bundesländer ist ein teils erheblicher Unterschied aufgefallen: In manchen Krankenhäusern wird routinemäßig jeder Patient mit Thrombozytenaggregationshemmung und unauffälliger CCT nur ambulant betreut. In manch anderen Spitälern wird selbst bei initial unauffälliger CCT immer nach 24 Stunden eine Kontroll-CCT durchgeführt.
Dass dieses Thema in den letzten Jahren immer präsenter wird, wurde bereits im Vorjahr von Antoni in einem Artikel über die Zukunft der Versorgung dieser Patientengruppe aufgezeigt.14 In Zeiten von immer knapper werdenden personellen und auch finanziellen Ressourcen, Operationssaalsperren und langen Wartelisten für Operationen nach der Covid-19-Pandemie stellt sich besonders durch diese unterschiedlichen Versorgungsstrategien immer mehr die Frage der Optimierung der Patientenversorgung hinsichtlich des Patientenwohls, aber auch der Ökonomie. Die Durchführung von prospektiven Studien als Grundlage für eine österreichweite aktuelle Leitlinie sollte das Ziel für uns und vor allem für unsere Patient*innen sein. Um einen besseren Überblick über die gelebte Praxis in Österreich zu erhalten, planen wir, eine von uns erstellte Online-Umfrage an alle orthopädisch-traumatologischen Abteilungen Österreichs zu versenden. So können abteilungsinterne Standards bezüglich Diagnostik, Therapie und Nachbehandlung abgefragt und anschließend regionale Unterschiede aufgezeigt werden.
Literatur:
1 Rickels E et al.: Head injury in Germany: a population-based prospective study on epidemiology, causes, treatment and outcome of all degrees of head-injury severity in two distinct areas. Brain Inj 2010; 24(12): 1491-504 2 S2e-Leitlinie Schädel-Hirn-Trauma im Erwachsenenalter. Registernummer 008-001; www.awmf.org 3 Mega JL, Simon T: Pharmacology of antithrombotic drugs: an assessment of oral antiplatelet and anticoagulant treatments. Lancet 2015; 386(9990): 281-91 4 Nishijima DK et al.: Immediate and delayed traumatic intracranial hemorrhage in patients with head trauma and preinjury warfarin or clopidogrel use. Ann Emerg Med 2012; 59(6): 460-8.e1-7 5 Ruff CT et al.: Comparison of the efficacy and safety of new oral anticoagulants with warfarin in patients with atrial fibrillation: a meta-analysis of randomised trials. Lancet 2014; 383(9921): 955-62 6 Undén L et al.: Validation of the Scandinavian guidelines for initial management of minimal, mild and moderate traumatic brain injury in adults. BMC Med 2015; 13: 292 7 Wiegele M et al.: Diagnostic and therapeutic approach in adult patients with traumatic brain injury receiving oral anticoagulant therapy: an Austrian interdisciplinary consensus statement. Crit Care 2019; 23(1): 62 8 Cheng L et al.: The impact of preinjury use of antiplatelet drugs on outcomes of traumatic brain injury: a systematic review and meta-analysis. Front Neurol 2022; 13: 724641 9 Fiorelli EM et al.: Incremental risk of intracranial hemorrhage after mild traumatic brain injury in patients on antiplatelet therapy: systematic review and meta-analysis. J Emerg Med 2020; 59(6): 843-55 10 Santing JAL et al.: Mild traumatic brain injury in elderly patients receiving direct oral anticoagulants: a systematic review and meta-analysis. J Neurotrauma 2022; 39(7-8):458-72 11 Liu Y-L et al.: Outcomes of elderly patients with traumatic brain injury associated with the pre-injury antithrombotic prophylaxis type - a systematic review and meta-analysis. Eur Rev Med Pharmacol Sci 2022; 26(12): 4380-91 12 Fuller G et al.: Risk of significant traumatic brain injury in adults with minor head injury taking direct oral anticoagulants: a cohort study and updated meta-analysis. Emerg Med J 2020; 37(11): 666-73 13 Colas L et al.: Limited benefit of systematic head CT for mild traumatic brain injury in patients under antithrombotic therapy. J Neuroradiol 2023; 50(1): 30-5 14 Antoni A: Die Zukunft der Schädel-Hirn-Trauma-Versorgung in Österreich. JATROS Orthopädie & Traumatologie Rheumatologie 2022; 5: 30-1
Das könnte Sie auch interessieren:
Angeborene Fehlstellungen des Unterschenkels
Kongenitale Deformitäten des Unterschenkels gehören zu den seltenen, aber medizinisch bedeutenden und operativ herausfordernden Diagnosen der Kinderorthopädie. Eine differenzierte ...
Einzeitiger und mehrzeitiger septischer Endoprothesenwechsel
Die periprothetische Infektion (PPI) stellt eine der gefürchtetsten Komplikationen im Bereich der Orthopädie und Traumatologie dar. Sie ist verbunden mit hohen Morbiditäts- und ...
Hochgradige ACG-Luxationen – wann konservativ behandeln, wann nicht?
Verletzungen des Akromioklavikulargelenks (ACG) gehören zu den häufigsten Schulterverletzungen bei jungen und aktiven Menschen, insbesondere auch aufgrund der zunehmenden Beliebtheit von ...