Osteogenesis imperfecta und andere seltene Erkrankungen mit Frakturrisiko
Autor:innen:
Dr. Benjamin Kraler1,2
Dr. Gabriel T. Mindler1,2
Dr. Adalbert Raimann2,3
Prim. a.o. Univ.-Prof. Dr. Catharina Chiari, MSc1,2
1 Abteilung für Kinderorthopädie und Fußchirurgie, Orthopädisches Spital Speising, Wien
2 Vienna Bone and Growth Center, Wien
3Klinische Abteilung für Pädiatrische Pulmologie, Allergologie und Endokrinologie, Universitätsklinik für Kinder- und Jugendheilkunde, Medizinische Universität Wien
Korrespondierender Autor:
Dr. Benjamin Kraler
E-Mail: benjamin.kraler@oss.at
Orthopäd:innen und Unfallchirurg:innen sind häufig die erste ärztliche Anlaufstelle bei Auftreten von Frakturen im Kindesalter. Frakturen der unteren Extremitäten ohne adäquates Trauma sollten weiter abgeklärt werden. Neben Osteogenesis imperfecta können differenzialdiagnostisch auch nichtakzidentelle Frakturen durch Gewalteinwirkung, idiopathische juvenile Osteoporose oder andere seltene Erkrankungen zu Grunde liegen.
Keypoints
-
Unterschiedliche, zum Teil sehr seltene Knochenerkrankungen können ursächlich für eine erhöhte Frakturneigung im Kindesalter sein.
-
Häufige oder atypische kindliche Frakturen und besonders kindliche Wirbelkörperfrakturen sollten nach primärer Versorgung weiterführend abgeklärt werden.
-
Die Betreuung von Betroffenen mit Osteogenesis imperfecta ist je nach Schweregrad eine Herausforderung und bedarf eines multidisziplinären Settings.
-
Vor geplanten orthopädischen Operationen bei Erkrankungen mit erhöhter Frakturneigung sollte eine endokrinologische/multidisziplinäre Vorbesprechung bzw. OP-Freigabe erfolgen.
Osteogenesis imperfecta
Osteogenesis imperfecta (OI, „Glasknochenerkrankung“, ORPHA:666) umfasst eine heterogene Gruppe von genetisch bedingten Erkrankungen, die zu Bindegewebsstörungen, fragilem Knochen und erhöhter Frakturneigung führen. Betroffen ist ein Kind pro 12000–15000 Geburten.1
Die häufigste Ursache der OI stellen Mutationen in den Kollagen-Typ-I-Genen (COL1A1/2) dar, die abhängig von der Lokalisation zu qualitativen oder quantitativen Veränderungen des Kollagens führen.2,3
Das große Spektrum der Erkrankung reicht von milden Formen mit leicht erhöhter Frakturrate bis hin zu intrauterinen Frakturen und perinatalem Tod. Die klassische Klassifikation der OI erfolgte 1979 nach Sillence:
-
Typ I stellt die häufigste und mildeste Form dar, die Betroffenen sind gehfähig, weisen blaue Skleren und in der Regel keine oder nur geringgradige knöcherne Deformitäten auf.
-
Typ II umfasst per definitionem alle perinatal letalen Verläufe, die aufgrund multipler Frakturen und kardiopulmonaler Komplikationen nicht mit dem Leben vereinbar sind.
-
Typ III ist die schwerwiegendste mit dem Leben vereinbare Form. Die Betroffenen zeigen eine hohe Frakturrate, ausgeprägte Deformitäten an den Extremitäten und der Wirbelsäule und sind häufig an einen Rollstuhl gebunden.
-
Typ IV zeichnet sich durch einen relativ variablen Verlauf aus, ist durch die Abwesenheit blauer Skleren definiert und liegt im Schweregrad zwischen Typ I und III.
Im Laufe der Zeit wurde die historische Sillence-Klassifikation erweitert (Typ V: hypertropher Frakturkallus, Synostosen, Radiusköpfchenluxationen) und neben den oben erwähnten OI-Formen um eine Vielzahl seltenerer genetischer Ursachen ergänzt.3
Diagnostik und Differenzialdiagnosen
Eine erste Verdachtsdiagnose einer OI kann aus der Familien- und Frakturanamnese gestellt werden. Neben Frakturen kann auch die klinische Präsentation (Phänotyp) richtungsweisend sein. Dazu zählen blaue Skleren, Hyperlaxizität, Gelenkluxationen, Zahnprobleme, Kleinwuchs, reduziertes Hörvermögen und andere.
Die radiologischen Besonderheiten beinhalten mehr oder weniger deformierte und schmale lange Röhrenknochen, Veränderungen der Mineralisation, Wirbelkörperkompressionsfrakturen und Avulsionsfrakturen (Olecranon und Patella).
Die Frakturanamnese ist auch Teil der Definition der kindlichen Osteoporose (nach der International Society for Clinical Densitometry):
-
reduzierte Knochendichte mit Z-Score ≤ –2 Standardabweichungen mit relevanter Frakturanamnese oder
-
atraumatische Wirbelkörperkompressionsfrakturen im lateralen Wirbelsäulenröntgen.
Z-Scores sind alters- und geschlechtsabhängig, müssen im Kindes- und Jugendalter körperlängenkorrigiert werden („height-adjusted Z-Score“, HAZ) und können bei OI auch normal sein.4 Eine genetische Analyse kann die Diagnose sichern.
Differenzialdiagnostisch muss bei Auftreten von Frakturen im nicht gehfähigen Alter immer auch an nichtakzidentelle Frakturen durch Gewalteinwirkung gedacht werden. Dabei sind radiologisch häufiger metaphysäre Frakturen oder Rippenfrakturen ersichtlich.
Die bei OI auftretende Hyperlaxizität kann auch bei Bindegewebsstörungen wie dem Ehlers-Danlos-Syndrom vorhanden sein, Letzteres zeigt jedoch meist keine deutlich erhöhte Frakturrate im Vergleich zu gesunden Kindern.5
Als zusätzliche Differenzialdiagnose kann bei Wirbelkörperfrakturen und Knochenschmerzen eine juvenile idiopathische Osteoporose vorliegen, wobei diese Ausschlussdiagnose durch verbesserte Diagnostik immer seltener gestellt wird. Sekundäre Formen der Osteoporose wie glukokortikoidinduzierte Osteoporose, Malabsorptionen, Leukämien oder Immobilität zählen ebenso zu den Differenzialdiagnosen der OI. Rachitische Krankheitsbilder können in ihrer maximalen Ausprägung ebenfalls zu Deformitäten führen, wobei nur bei Säuglingen und Kleinkindern Frakturen beobachtet werden.
Auch andere seltene Knochenerkrankungen können mit erhöhter Frakturneigung einhergehen. Die Hypophosphatasie (ORPHA:436) ist eine seltene genetische Stoffwechselerkrankung, die durch inaktivierende Mutationen in der alkalischen Phosphatase (ALP) verursacht wird. Je nach Ausprägung kann es dabei zu Deformitäten, starker Frakturhäufung sowie der Entstehung von atypischen Frakturen kommen.Osteopetrosen (ORPHA:2781), eine weitere Gruppe seltener Knochenerkrankungen, sind im Gegensatz zur OI mit einer erhöhten Knochendichte assoziiert, können jedoch ebenfalls mit Frakturneigung einhergehen.
Im kinderorthopädischen Spektrum sind auch andere seltene Erkrankungen mit krankheitsspezifischer Frakturneigung zu versorgen. Ein Beispiel dafür ist die Neurofibromatose Typ 1 (NF1, ORPHA:636), bei der Kinder eine typische Deformität, Pseudarthrose oder Fraktur des Unterschenkels entwickeln können. Obwohl Veränderungen der Knochendichte beschrieben wurden, liegt eine generell erhöhte Frakturneigung bei dieser Krankheitsgruppe nach aktuellem Wissensstand nicht vor.
Des Weiteren ist im Übergang zum Jugendalter bei Pseudofrakturen an weitere seltene Erkrankungen wie die X-chromosomal vererbte Hypophosphatämie (XLH, ORPHA:89936) oder auch an die zuvor erwähnte Hypophosphatasie zu denken.
Multidisziplinäre Therapie der OI
Die Therapie der OI ist abhängig vom Schweregrad und benötigt ein multidisziplinäres Setting. Im Vordergrund stehen die Behandlung und Prävention von Deformitäten und Frakturen bei größtmöglichem Erhalt der Funktion.
Konservativ
Bei neu aufgetretenen Frakturen ist, abhängig vom Alter des Patienten sowie von der Frakturlokalisation und -dislokation, eine konservative Therapie mit Gipsruhigstellung möglich. Dies geschieht häufig in lokalen unfallchirurgischen Ambulanzen. Dabei sollte der Zeitraum der Ruhigstellung nicht länger als üblich gewählt werden.6 Bei langer Immobilisierung wird eine Zunahme der inaktivitätsbedingten Osteoporose befürchtet.
Operativ
Bei der operativen Therapie stellt die intramedulläre Stabilisierung den Goldstandard dar. Diese kann bei akuten Frakturen durchgeführt werden oder im Rahmen einer elektiven Operation mit Osteotomien und Korrektur der Deformität, meist an spezialisierten kinderorthopädischen Abteilungen.
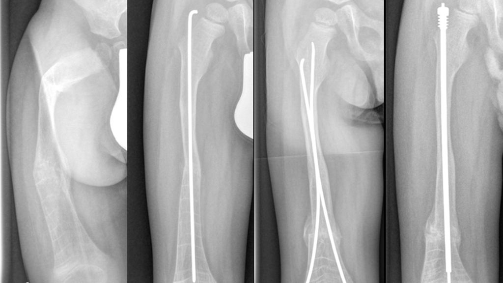
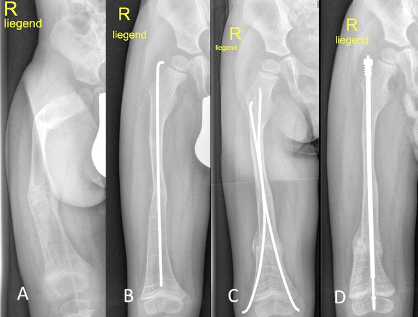
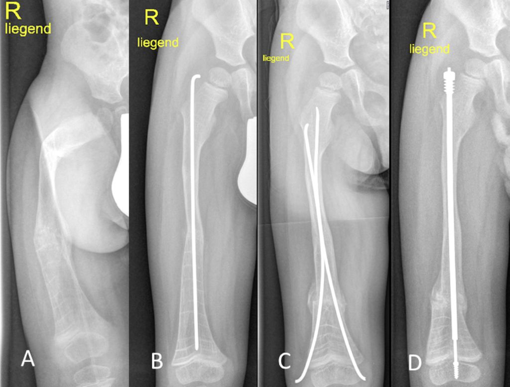
Während bei Kleinkindern aufgrund des geringen intramedullären Durchmessers häufig nur ein Bohrdraht zur Schienung eingebracht wird, können bei größeren Kindern mitwachsende intramedulläre Nägel verwendet werden (Teleskopnagel, wie zum Beispiel Fassier-Duval-Nagel, Abb. 1). Diese ermöglichen eine langstreckige Stabilisierung von der proximalen zur distalen Tibiaepiphyse sowie vom Trochanter major bis zur distalen Femurepiphyse. Das Einbringen intramedullärer Implantate kann durch ausgeprägte Deformitäten, kurze Extremitäten und iatrogene Frakturen kompliziert werden. Plattenosteosynthesen sind aufgrund des hohen Risikos für an die Platte angrenzende Frakturen als Alleinversorgung zu vermeiden.
Abb. 1: A) 2 Jahre alter Knabe, OI 3 mit hoher Frakturrate und Procurvatum/Varus/Maltorsionsdeformität Femur rechts, B) Erstkorrektur mit Bohrdraht nach Doppelosteotomie, C) Akutfraktur unfallchirurgisch extern mit retrograden ESINS versorgt, D) geplanter Umstieg von ESINS auf Fassier-Duval-Teleskopnagel mit erneuter Osteotomie im Alter von 4 Jahren
Auf Fixateur-externe-Behandlung sollte bei OI verzichtet werden, da die eingebrachten Pins eine Sollbruchstelle darstellen können und auch beim Fixateur externe angrenzende Frakturen auftreten können.
Komplikationen der Teleskopnägel beinhalten unter anderem eine ungenügende Verankerung in der Epiphyse mit Dislokation des Nagels, Frakturen mit Biegung des Nagels, blockierte Verlängerungsmechanismen und Frakturen proximal des Nagels im Bereich des Schenkelhalses.
Medikamentös
Die medikamentöse Therapie der OI basiert häufig auf der Verabreichung von Bisphosphonaten, im Kindesalter meist in intravenöser Form. Diese Substanzgruppe reduziert die Osteoklastenaktivität und hemmt damit die Knochenresorption. Die Indikation zur Bisphosphonattherapie bei OI wird in der Regel bei Auftreten von Wirbelkörperkompressionsfrakturen und/oder zwei weiteren Frakturen der Röhrenknochen gestellt. Neben einer Steigerung der Knochenmasse, die sich radiologisch in Form von „Zebralinien“ zeigt, weisen Bisphosphonate auch eine analgetische Wirkung auf. Potenzielle Nebenwirkungen der Bisphosphonattherapie beinhalten Elektrolytverschiebungen (Hypokalzämie), Übelkeit und grippeähnliche Symptome vor allem bei der Erstverabreichung.
Abb. 2: Das VBGC (Vienna Bone and Growth Center) bemüht sich um ein multidisziplinäres Setting zur Betreuung und Behandlung von Kindern, Jugendlichen und Erwachsenen mit seltenen Knochenerkrankungen
Vor Therapiebeginn ist auf einen suffizienten 25OH-Vitamin-D-Spiegel zu achten. Der zusätzliche analgetische Effekt von Bisphosphonaten ist in Anbetracht der zum Teil chronischen Schmerzproblematik der betroffenen Kinder ein wichtiger Therapiepfeiler. Die Dauer der Therapie mit Bisphosphonaten wird kontrovers diskutiert, da bei Langzeittherapie atypische Frakturen beschrieben wurden.7 Zu erwähnen ist, dass es unter laufender Bisphosphonattherapie zu einer verzögerten Heilung von Osteotomien kommen kann,8,9 weshalb vor geplanten Eingriffen mit Osteotomien die endokrinologische Freigabe erfolgen sollte. In unserem Zentrum (Vienna Bone and Growth Center, VBGC, Abb. 2) wird dieses Konzept der präoperativen endokrinologisch-multidisziplinären Freigabe für mehrere seltene Knochenerkrankungen (wie XLH, HPP, OI, Rachitisformen) angewandt und als „bone clearance“ bezeichnet.
Physiotherapie und Ergotherapie
Nicht nur in der Nachbehandlung, sondern auch in der Prävention von Frakturen bei Kindern mit OI spielt die Physiotherapie eine wichtige Rolle. Bei Kindern mit schwerwiegender OI gilt es, die Sitz- oder Stehfähigkeit zu erreichen oder möglichst lange zu erhalten. Die Stehfähigkeit ermöglicht bei den Transfers aus dem Rollstuhl die Gewichtsübernahme und reduziert damit auch die inaktivitätsbedingte Osteoporose.
Bei Frakturen an der oberen Extremität kann durch die Ergotherapie die Schienenversorgung durchgeführt werden und die die Beweglichkeit und Funktion können damit erhalten werden.
Weitere Maßnahmen
Psychologische Betreuung der betroffenen Familien ist aufgrund der häufigen Frakturen und Krankenhausaufenthalte besonders wichtig.
Die Versorgung mit Hilfsmitteln wie Orthesen und auch die Rollstuhlversorgung sollten durch die behandelnde Kinderorthopädie indiziert werden, deren Anpassung sollte in enger Absprache mit der Orthopädietechnik durchgeführt werden.
Aufgrund der geringeren Aktivität und Neigung zu Adipositas sollte bereits früh eine Ernährungsberatung erfolgen.
Vor elektiven orthopädischen Eingriffen sollte aufgrund der häufigen Zahnprobleme (Dentinogenesis imperfecta) mit Infektionsneigung eine zahnärztliche Beurteilung in die Wege geleitet werden.
Im Idealfall ermöglicht eine altersadaptierte und krankheitsspezifische Gruppenrehabilitation für Kinder und Jugendliche mit OI eine optimierte Mobilisierung, Auseinandersetzung mit der Erkrankung im familiären Setting und Erhöhung der Lebensqualität. Diese Kleingruppen-Reha wird im VBGC in Kooperation mit Reha Kokon (Bad Erlach) organisiert.
Die für viele Zentren größte organisatorische Herausforderung stellt in weiterer Folge die Transition, also die multidisziplinäre Betreuung über das Kindes- und Jugendalter hinaus, dar.
Conclusio
Frakturen sind in der Versorgung von seltenen Knochenerkrankungen eine häufige Problematik. Sie sollten im Hinblick auf eine zugrunde liegende Erkrankung sorgfältig abgeklärt, optimal unfallchirurgisch/orthopädisch versorgt und multidisziplinär betreut werden.
Literatur:
1 Harrington J et al.: Update on the evaluation and treatment of osteogenesis imperfecta. Pediatr Clin North Am 2014; 61(6): 1243-57 2 Bodian DL et al.: Mutation and polymorphism spectrum in osteogenesis imperfecta type II: implications for genotype-phenotype relation- ships. Hum Mol Genet 2009; 18(3): 463-71 3 Van Dijk FS, Sillence DO: Osteogenesis imperfecta: Clinical diagnosis, nomenclature and severity assessment. Am J Med Genet A 2014; 164A(6): 1470-81 4 Mindler GT et al.: Osteogenesis imperfecta. Orthopädie 2022; 51: 595-606 5 Rolfes MC et al.: Fracture incidence in Ehlers-Danlos syndrome - a population-based case-control study. Child Abuse Negl 2019; 91: 95-101 6 Monti E et al: Current and emerging treatments for the management of osteogenesis imperfecta. Ther Clin Risk Manag 2010; 6: 367-81 7 Nicolaou N et al.: Changing pattern of femoral fractures in osteogenesis imperfecta with prolonged use of bisphosphonates. J Child Orthop 2012; 6(1): 21-7 8 Munns CF et al.: Delayed osteotomy but not fracture healing in pediatric osteogenesis imperfecta patients receiving pamidronate. J Bone Miner Res 2004; 19(11): 1779-86 9 Roberts TT et al.: Orthopaedic considerations for the adult with osteogenesis imperfecta. J Am Acad Orthop Surg 2016; 24(5): 298-308
Das könnte Sie auch interessieren:
Frühe Unterwassertherapie nach totaler Hüft- und Knieendoprothese
Eine frühzeitige Durchführung der Unterwassertherapie mit wasserdichtem Folienverband ab dem vierten postoperativen Tag ist im Allgemeinen sicher, wirksam und ohne Nebenwirkungen.
Aktuelles zur anteromedialen Knieinstabilität
Kombinierte Verletzungen des medialen Kollateral- (MCL) und des vorderen Kreuzbandes (VKB) zählen zu den häufigsten multiligamentären Knieverletzungen. Bei vermeintlich isolierten VKB- ...
Arthroskopische Behandlung von Glenoidrandfrakturen
In der Literatur werden die Begriffe knöcherne Bankart-Läsion und Glenoidrandfraktur häufig synonym verwendet, obwohl sie sich hinsichtlich Pathomechanismus und Therapie deutlich ...