
Kurzschäfte in der Revisionschirurgie
Autoren:
Priv.-Doz. DDr. Christoph Böhler
Univ.-Prof. Dr. Reinhard Windhager
Klinische Abteilung für Orthopädie, Universitätsklinik für Orthopädie und Unfallchirurgie, Medizinische Universität Wien
Korrespondierender Autor:
Priv.-Doz. DDr. Christoph Böhler
Kurzschäfte bieten eine Reihe von Vorteilen und stellen an vielen Abteilungen mittlerweile die Standardversorgung in der Primärendoprothetik dar. Unter gewissen Bedingungen ist ihr Einsatz auch in der Revisionsendoprothetik im Sinne eines Downsizing möglich. Im folgenden Übersichtsartikel sollen die Voraussetzungen und Techniken zur Verwendung von Kurzschäften in Revisionschirurgie näher beschrieben werden.
Keypoints
-
Kurzschäfte können unter gewissen Voraussetzungen bei Schaftrevisionen im Sinne eines Downsizing angewandt werden.
-
Vorteile sind die schonendere und knochensparendere Implantation sowie die einfachere Revidierbarkeit im Falle einer Rerevision.
-
Am besten eignen sich Kurzschäfte, die einem „Fit and Fill“-Prinzip folgen und einen kurzen Stiel haben, der eine metadiaphysäre Verankerung ermöglicht.
Die Anzahl primärer Implantationen von Hüfttotalendoprothesen (HTEP) nimmt kontinuierlich zu und damit verbunden steigt unweigerlich auch die Zahl an Hüftrevisionen. Sieht man sich die Prognosen für HTEP-Revisionen in den nächsten 10 Jahren an, so wird ein Anstieg von bis zu 70% erwartet. Einer rezenten Übersichtsarbeit zufolge ist nach einer Wechseloperation das Risiko für eine neuerliche Revision etwa 5-mal so hoch wie nach einer Primärimplantation. Darüber hinaus werden bei immer jüngeren Patient:innen Hüftprothesen implantiert, daher wird ebenfalls die Zahl derer steigen, bei denen im Laufe des Lebens mehr als eine Revisionsoperation notwendig ist. Somit sind wir in Zukunft nicht nur mit einer steigenden Anzahl an Revisionen, sondern auch an Rerevisionen konfrontiert. Vor diesem Hintergrund ist es entscheidend, bei Revisionsoperationen vorausschauend etwaige Rückzugsmöglichkeiten bzw. Verankerungsmöglichkeiten im Falle einer neuerlichen Revision im Hinterkopf zu behalten.
Laut Zahlen des deutschen Endoprothesenregisters (EPRD) ist bei über 50% der Hüftrevisionen ein Schaftwechsel notwendig. Revisionsschäfte zeichnen sich typischerweise dadurch aus, dass sie eine zunehmend distalere, diaphysäre Verankerung ermöglichen. Jedoch erlauben neuere Schaftdesigns unter gewissen Voraussetzungen ein sogenanntes Downsizing, sprich die Verwendung eines kürzeren zementfreien Schafts, der sich proximaler verankert als der zuvor implantierte Schaft. Damit verbunden ergeben sich einige Vorteile wie die schonendere und knochensparende Implantation, eventuell ein Knochenaufbau bzw. -umbau im Bereich der Metaphyse, aber auch eine einfachere Revidierbarkeit und die Möglichkeit einer diaphysären Verankerung im neuerlichen Revisionsfall.
Schonende Explantationstechnik
Eine der Grundvoraussetzungen für die Verwendung von Kurzschäften als Revisionsimplantat ist eine schonende Explantation des liegenden Implantats, um eine proximale metaphysäre Verankerung zu erlauben. Ist eine Rekonstruktion mit einem Kurzschaft geplant, sollten prinzipiell endofemorale Techniken zur Schaftexplantation verwendet werden. Begrenzte unilaterale Osteotomien, das sogenannte „Schlitzen“, der (zumeist anterioren) Corticalis, um eine Explantation eines Schafts zu erleichtern oder überhaupt erst zu ermöglichen, stellen jedoch keine Kontraindikation für ein Downsizing dar. Nach Anwendung von transfemoralen Techniken, wie der von Wagner von lateral oder von Paprosky von dorsal beschriebenen erweiterten Trochanterosteotomien (Extended Trochanteric Osteotomy, ETO), ist eine Rekonstruktion mit einem Kurzschaft nicht möglich.
Defektklassifikation und Verankerungstechniken
In der Revisionschirurgie ist eine exakte Planung der Operation für den Erfolg entscheidend. Für die femorale Rekonstruktion bedeutet das, sich ein genaues Bild von der vorhandenen Knochenqualität und den Verankerungsmöglichkeiten vor, aber vor allem nach der Explantation zu machen. Hier empfehlen sich ein möglichst standardisiertes Vorgehen und eine Klassifikation der vorliegenden Defekte. Im Bereich des Femurs hat sich, ähnlich wie bei acetabulären Defekten, die Paprosky-Klassifikation international am meisten durchgesetzt. Die Klassifikation gibt auch eine Therapieempfehlung, jedoch haben sich seit der Publikation im Jahr 2002 die Revisionsimplantate entscheidend weiterentwickelt. In weiterer Folge sollen die Klassifikation und die entsprechenden Standardversorgungsstrategien kurz erläutert werden:
Typ-I-Defekte beschreiben einen minimalen metaphysären Defekt und eine vollständig intakte Diaphyse. Typische Beispiele für diesen Defekttyp sind Revisionen nach einem Hüftoberflächenersatz. Hier können sämtliche Primärimplantate inklusive Kurzschäften verwendet werden.
Bei Typ-II-Defekten ist die Metaphyse schwer beschädigt, die Diaphyse jedoch nur minimal geschädigt. An unserer Abteilung werden solche Defekte standardmäßig mit einer primären Geradschaftprothese versorgt.
Typ-III-Defekte werden nochmals in IIIA und IIIB unterteilt. Bei beiden Defekten ist sowohl eine meta- als auch eine diaphysäre Schädigung vorhanden, wobei der Unterschied darin besteht, dass bei IIIA mehr als 4cm vom Isthmus noch intakt sind und bei III-B-Defekten weniger. Dementsprechend unterscheidet sich auch die Versorgungsstrategie. Während bei III-A-Defekten unserer Meinung nach mehrheitlich noch Revisionsvarianten von Monoblock-Geradschäften mit metadiaphysärer Verankerung verwendet werden können, sind bei III-B-Defekten modulare konische Schäfte mit diaphysärer Verankerung das Mittel der Wahl.
Im Falle eines Typ-IV-Defekts liegt ein massiver metadiaphysärer Defekt vor, der Isthmus ist nicht mehr vorhanden. Hier ist eine Rekonstruktion schwierig und mit einer hohen Versagensrate vergesellschaftet. (Teil-)zementierte modulare Schäfte oder zementierte Revisionsschäfte (Taper-Design) in Kombination mit Impaction-Grafting oder Tumorprothesen bzw. Durchsteckprothesen können zur Versorgung herangezogen werden.
Voraussetzungen für Downsizing und Schaftdesigns
Anhand der Klassifikation und der Rekonstruktionsempfehlungen ist ersichtlich, dass mit zunehmendem Defekt bzw. bei jeder neuerlichen Revision eine distalere Verankerung angestrebt wird. Jedoch ist die Verwendung von zementfreien Kurzschaftimplantaten unter gewissen Bedingungen bei Defekten von Typ I bis Typ IIIA möglich. Entscheidend sind ein annähernd intakter Calcar, eine knöcherne Abstützung im proximalen Lateralbereich der Metaphyse und weiter distal metadiaphysär, um eine Dreipunktfixierung zu ermöglichen und somit eine Rotationsstabilität zu gewährleisten. Darüber hinaus sollten keine ausgeprägten Corticalisdefekte im Bereich der Metaphyse vorhanden sein, der Defekt sollte also „contained“ sein.
Die Voraussetzungen sind eng mit dem Design der am Markt erhältlichen Kurzschäfte verbunden. Innerhalb der letzten 10 bis 15 Jahre wurde eine Reihe von zementfreien Kurzschäften vorgestellt, die sich für ein Downsizing eignen. Gemeinsam ist diesen Schäften einerseits, dass es sich dabei um Kurzschäfte mit einem kurzen Stiel, der eine metadiaphysäre Verankerung ermöglicht, handelt. Andererseits haben sie darüber hinaus ein Triple-Taper-Design, welches die primäre axiale und die Rotationsstabilität erhöht. Ebenso folgen sie einem „Fit and Fill“-Prinzip und sind beschichtet, um eine Osteointegration und Langzeitstabilität zu ermöglichen. Das Implantat, das an unserer Abteilung verwendet wird, besitzt zusätzlich einen Kragen, welcher die Primärstabilität erhöht.
Sind die Voraussetzungen erfüllt, ergeben sich einige Vorteile für ein Downsizing: Zuallererst muss die knochensparendere Implantation angeführt werden; es ist kein distales Aufbohren zur Verankerung notwendig, somit ist auch das intraoperative Risiko für Fissuren oder Frakturen geringer. Prinzipiell sind Kurzschäfte aufgrund ihrer Implantationstechnik weichteilschonender und mit geringerem Blutverlust einzubringen. Ebenso wird nach Implantation aufgrund der physiologischeren Krafteinleitung ein Bone-Remodeling im Bereich der Metaphyse diskutiert. Im Hinblick auf Rerevisionen werden einerseits die einfachere Explantation des Kurzschafts und andererseits die besseren Verankerungsmöglichkeiten angeführt. Es muss jedoch klargestellt werden, dass dies teilweise nur theoretische Vorteile sind und wissenschaftliche Belege aufgrund mangelnder Studien noch ausständig sind.
Ergebnisse und Fallbeispiele
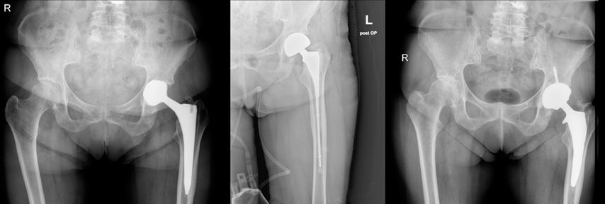
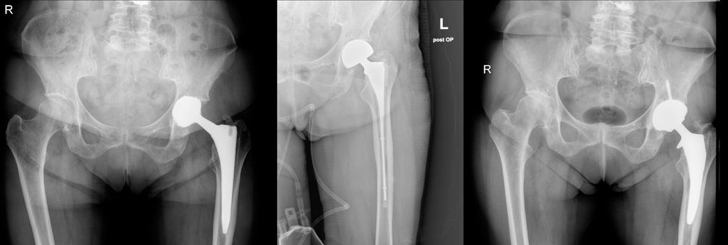
An unserer Abteilung wurde in den letzten 4 Jahren in 13 Fällen ein Downsizing durchgeführt. Gründe für die Revision waren 6 aseptische Lockerungen und 7 periprothetische Infektionen. Es bestanden Typ-II- und Typ-III-Defekte. Abbildung 1 und 2 zeigen zwei Fallbeispiele mit unterschiedlichen Defekttypen. Von den 13 Fällen musste einer aufgrund eines Frühinfektes revidiert werden. Es traten innerhalb von 4 Jahren keine schaftbezogenen Komplikationen auf.
Abb. 1: Downsizing nach 2-zeitigem Wechsel bei periprothetischer Infektion und Typ-II-Defekt nach Paprosky
Abb. 2: Downsizing nach aseptischer Lockerung bei einem Typ-III-A-Defekt nach Paprosky
Obwohl die Kohorte sehr klein ist und keine größeren Analysen ermöglicht, sind die ersten Ergebnisse dennoch vielversprechend, sodass wir in Fällen, die die zuvor beschriebenen Kriterien erfüllen, ein Downsizing anstreben. Sollte sich intraoperativ zeigen, dass keine ausreichende Primärstabilität erzielt werden kann, ist ein Wechsel auf ein distaler verankerndes Implantat in der Regel problemlos möglich und sollte unbedingt durchgeführt werden.
In der Literatur finden sich zum jetzigen Zeitpunkt kaum Daten zum Thema Kurzschäfte in der Hüftrevision. Neben einzelnen Case Reports wurde 2022 eine kleine Fallserie aus Deutschland publiziert. Hier wurden 6 Patient:innen nachuntersucht, bei denen ein Downsizing durchgeführt wurde. Schaftassoziierte Komplikationen traten nicht auf, ebenso wenig waren Revisionsoperationen in dieser Fallserie notwendig. Eine rezente chinesische Studie konnte zeigen, dass es ein Jahr postoperativ nach Verwendung von proximal verankernden Schäften in der Revision zu einem Knochenumbau in den Gruen-Zonen 1 und 7 mit einer signifikanten Zunahme der Knochendichte kam.
Zusammenfassung
Prognosen zeigen einen eindeutigen Anstieg an Hüftrevisionen und vor allem Rerevisionen innerhalb des nächsten Jahrzehnts. Ein Trend, der uns wohl darüber hinaus noch länger begleiten wird. Vor diesem Hintergrund ist es entscheidend, im Zuge einer Revision Rückzugsmöglichkeiten für den Fall einer neuerlich notwendigen Operation miteinzukalkulieren. Bei Schaftrevisionen zeigen erste kleine Fallserien, dass Kurzschäfte unter gewissen Bedingungen eine sichere Alternative darstellen können und den Vorteil einer schonenderen und knochensparenden Implantation mit sich bringen.
Literatur:
bei den Verfassern
Das könnte Sie auch interessieren:
Angeborene Fehlstellungen des Unterschenkels
Kongenitale Deformitäten des Unterschenkels gehören zu den seltenen, aber medizinisch bedeutenden und operativ herausfordernden Diagnosen der Kinderorthopädie. Eine differenzierte ...
Einzeitiger und mehrzeitiger septischer Endoprothesenwechsel
Die periprothetische Infektion (PPI) stellt eine der gefürchtetsten Komplikationen im Bereich der Orthopädie und Traumatologie dar. Sie ist verbunden mit hohen Morbiditäts- und ...
Hochgradige ACG-Luxationen – wann konservativ behandeln, wann nicht?
Verletzungen des Akromioklavikulargelenks (ACG) gehören zu den häufigsten Schulterverletzungen bei jungen und aktiven Menschen, insbesondere auch aufgrund der zunehmenden Beliebtheit von ...