
Kindliche Kreuzbandverletzungen
Autoren:
Dr. Christoph Stotter, PhD1
Dr. Philippe Reuter,2
Prof. Dr. Peter Angele3
1 Abteilung für Orthopädie und Traumatologie
Landesklinikum Baden-Mödling
2 arthromed+ Praxisgemeinschaft, Brunn am Gebirge
3 sporthopaedicum Regensburg
Korrespondierender Autor:
Dr. Christoph Stotter, PhD
Verletzungen des vorderen Kreuzbandes (VKB) stellen bei heranwachsenden Patienten eine besondere Herausforderung dar. Während VKB-Rupturen lange Zeit als seltene Verletzungen bei jüngeren Patienten gesehen wurden, führte die vermehrte Sportteilnahme, zusammen mit einem steigenden Bewusstsein für Kniebinnenverletzungen und verbesserten, leicht verfügbaren und weniger invasiven diagnostischen Methoden, zu einer Zunahme von Kreuzbandverletzungen bei Kindern und Jugendlichen. Die optimale Therapie kindlicher VKB-Rupturen ist weiterhin Gegenstand der Diskussion. Die Folgeschäden, wie Meniskus- und Knorpelverletzungen, bei verbleibender Instabilität stehen einer potenziellen iatrogenen Schädigung bei operativer Versorgung gegenüber. Moderne Techniken erlauben eine Wiederherstellung der Stabilität und die Reduktion von Sekundärschäden unter Schonung der Epiphysenfuge.
Keypoints
-
Mit speziellen Präventionsprogrammen lässt sich eine Reduktion von VKB-Rupturen um bis zu 50% erreichen.
-
Unter 12 Jahren sind tibiale, knöcherne Kreuzbandausrisse häufig, während mit zunehmender Skelettreife ligamentäre Verletzungen zunehmen.
-
Durch eine operative Versorgung lassen sich exzellente Ergebnisse mit guter Kniestabilität und hoher Sportrückkehrrate erreichen.
Epidemiologie
Die Inzidenz von VKB-Rupturen steigt in den letzten Jahrzehnten kontinuierlich an.1 Neben einer Zunahme des leistungsorientierten Sports werden auch risikoreiche Sportarten im Kindesalter attraktiver. Vor allem Ballsportarten gehen mit einem erhöhten Verletzungsrisiko einher und während eines Wettkampfspiels ist das Risiko mehr als doppelt so hoch wie im Training.2 Zusätzlich haben sich die diagnostischen Verfahren weiterentwickelt und durch die bessere Verfügbarkeit werden Kniebinnenverletzungen häufiger diagnostiziert. Im kindlichen Leistungssport sind Meniskus- und Kreuzbandverletzungen bereits die häufigsten Sportverletzungen geworden.3 Zu den Faktoren, die zu einer signifikant höheren Inzidenz an VKB-Rupturen bei Mädchen führen, zählen neben hormonellen und neuromuskulären Unterschieden eine generelle Hyperlaxizität, ein höherer Q-Winkel und ein geringerer Banddurchmesser.4
Die Häufigkeit von Kreuzbandrupturen steigt mit zunehmendem Alter und die Verletzungsform verändert sich mit der Skelettreifung.5 Während bei Kindern unter 12 Jahren knöcherne tibiale Ausrissfrakturen des VKB häufig sind, kommt es mit zunehmender Skelettreife vermehrt zu ligamentären Rupturen. Der besorgniserregende Anstieg an VKB-Rupturen bei Kindern und Jugendlichen führte auch zu einem starken Anstieg an VKB-Rekonstruktionen in diesen Altersgruppen.6,7
Im Unterschied zum Erwachsenen sind beim Kind Verletzungen durch Gegnerkontakt häufiger als Nichtkontakt-Verletzungen.8 Die typischen Verletzungsmechanismen sind ein Valgus-Innenrotationstrauma und eine Hyperextension mit gleichzeitiger Innenrotation.9
Prävention
Aufgrund der stark steigenden Inzidenz von VKB-Rupturen bei Kindern und Jugendlichen sind Präventionsprogramme von besonderer Bedeutung. Einige Präventionsprogramme wurden speziell für Kinder angepasst („FIFA 11+ for Kids“) und führen zu einer Reduktion des allgemeinen Verletzungsrisikos und speziell des Risikos, eine VKB-Ruptur zu erleiden.10,11
Diagnostik
Nach der Verletzung kommt es in der Regel rasch zu einer Schwellung und zu einem Gelenkerguss. Schmerzen können initial bestehen oder in den Tagen nach der Verletzung zunehmen. Generell berichten Kinder seltener über ein subjektives Instabilitätsgefühl als Erwachsene.
Bei entsprechender Anamnese erfolgt initial eine nativradiologische Abklärung zum Ausschluss einer kniegelenksnahen Fraktur und einer tibialen Avulsionsfraktur.
Die Stabilitätsüberprüfung unterscheidet sich nicht von der beim erwachsenen Patienten. Die wichtigsten klinischen Tests sind der Lachman-Test, Pivot-Shift sowie die vordere und hintere Schublade, auch in Innen- und Außenrotation. Zusätzlich sind periphere Instabilitäten und Begleitverletzungen, wie Meniskusrupturen, zu beurteilen. Die Untersuchung erfolgt immer im Vergleich zur unverletzten Gegenseite.
Durch die Kombination mehrerer klinischer Tests zeigt die klinische Untersuchung für VKB-Rupturen eine Sensitivität von 81%, eine Spezifität von 90%, einen positiven prädiktiven Wert von 50% und einen negativen prädiktiven Wert von etwa 98%.12 In der präoperativen Narkoseuntersuchung zeigen die klinischen Tests eine deutlich höhere Sensitivität im Vergleich zur Untersuchung beim wachen Patienten.
Zusätzlich erfolgt eine klinische Beurteilung der Beinlänge und -achse, um vorbestehende Achsabweichungen zu identifizieren. Die körperliche Entwicklung wird anhand der Tanner-Stadien beurteilt.
Besteht der klinische Verdacht auf eine Ruptur des VKB mit oder ohne Begleitverletzungen, ist eine Magnetresonanztomografie (MRT) indiziert. Diese sollte zeitnahe durchgeführt werden und hat eine Sensitivität von 95% und eine Spezifität von 88%.13 Eine qualitativ hochwertige MRT ist auch wichtig, um die Rupturform zu beurteilen und häufige Begleitverletzungen, wie Meniskus- und Knorpelläsionen, zu erkennen.
Tibiale Ausrissfrakturen lassen sich gut im seitlichen Nativröntgen beurteilen, wobei bei unauffälligem Röntgen rein knorpelige VKB-Avulsionen nicht ausschließbar sind. In diesen Fällen ist ebenfalls eine weitere Abklärung mittels MRT unerlässlich. Zur genauen Beurteilung der knöchernen Fragmente und bei suspizierten Frakturen des Tibiaplateaus sowie zur präoperativen Planung ist eine Computertomografie durchzuführen.
Zusätzlich sollten präoperativ bei Patienten mit VKB-Ruptur eine Beurteilung der Skelettreife erfolgen und eine Ganzbeinstandaufnahme durchgeführt werden, um etwaige Längenunterschiede und Achsabweichungen zu erkennen.
Klassifikation
Rupturen des VKB lassen sich anhand der Rupturlokalisation bezogen auf den tibialen Stumpf in fünf Kategorien einteilen:14 Typ-1- und Typ-2-Verletzungen entsprechen proximalen Rupturen, Typ-3-Verletzungen sind sogenannte „Midsubstance“Rupturen und Typ-4- und Typ-5-Rupturen sind distale Rupturen bzw. distale Avulsionsverletzungen.
Typ-1- und Typ-5-Verletzungen können auch als knöcherne Avulsionverletzungen auftreten, wobei die distalen knöchernen Ausrissfrakturen häufiger sind. Dabei kommt es bei Kindern mit noch unreifem Skelett noch vor einer Ruptur des VKB zu einer Avulsion der noch nicht vollständig ossifizierten Eminentia intercondylaris. Die Einteilung der tibialen VKB-Ausrissfrakturen erfolgt anhand des Dislokationsgrads nach Meyers-McKeever (Abb. 1).
Abb. 1: Klassifikation der Eminentiafrakturen nach Meyers und McKeever: a) Grad 1 = keine oder minimale Dislokation des Fragments; b) Grad 2 = Dislokation des Fragments ventral; c) Grad 3 = vollständige Dislokation; d) Grad 4 = vollständig disloziertes, in sich frakturiertes Fragment (aus Stotter und Reuter 2022, mod. nach Meyers und McKeever)44
Die Verletzungsschwere einer Kreuzbandruptur lässt sich anhand der Begleitverletzungen abschätzen und einteilen (z.B. „anterior cruciate ligament injury severity scale“).15
Therapie
In der Vergangenheit galt die konservative Behandlung als Standardtherapie für VKB-Rupturen im Kindes- und Jugendalter.16 In der aktuellen Literatur wird die operative Versorgung jedoch bevorzugt, da bei konservativer Behandlung meistens Instabilitäten verbleiben und die Gefahr von sekundären Meniskus- und Knorpelschäden hoch ist.17,18 Durch eine operative Behandlung können sowohl die Stabilität und die Kniefunktion als auch die Sportrückkehr signifikant verbessert werden.19,20
Auch die Verletzung der Wachstumsfuge und die damit verbundene Gefahr eines vorzeitigen Fugenschlusses mit resultierenden Wachstumsstörungen bei epiphysenfugenkreuzender Versorgung wurden relativiert.21 Relevante Wachstumsstörungen mit einer Beinlängendifferenz von mehr als 1cm oder Achsenabweichungen von mehr als 3° kommen nach operativer Versorgung selten vor und sind meistens auf eine fugenüberbrückende Transplantatfixation zurückzuführen.22
Bei den tibialen Ausrissfrakturen ist das Therapieziel die anatomische knöcherne Heilung des Fragments, um eine VKB-Instabilität zu vermeiden. Undislozierte (Grad 1) und wenig dislozierte Verletzungen (Grad 2) ohne Begleitverletzungen lassen sich konservativ behandeln. Alle vollständig dislozierten Frakturen (Grad 3 und 4) sowie Grad-2-Verletzungen mit unzufriedenstellender Reposition im Adoleszenzalter zeigen bei konservativer Versorgung eine erhöhte Laxizität in der ap-Ebene und bei Rotation und sollten operativ versorgt werden.23,24 Auch bei undislozierten Frakturen mit operationspflichtigen Begleitverletzungen besteht die Indikation zur operativen Versorgung.
Konservative Therapie
Bei Partialrupturen mit intaktem synovialem Schlauch und intrasynovialen Rupturen des VKB erfolgt nach Ausschluss von Begleitverletzungen primär eine konservative Therapie mit VKB-Orthese für 6 Wochen und Teilbelastung für 2 Wochen unter physiotherapeutischer Begleitung.15,25 Konservativ behandelte Patienten müssen konsequent nachverfolgt werden; bei verbleibender Instabilität erfolgt die sekundäre VKB-Rekonstruktion.
Die konservative Behandlung von tibialen Ausrissfrakturen erfolgt in einer Oberschenkelgipshülse (Abb. 2). Die Ruhigstellung erfolgt in Überstreckung oder leichter Flexion und die Reposition wird initial und nach Belastungsaufbau nach etwa 1 Woche radiologisch überprüft. Bei sekundärer Dislokation wird die Indikation zur Operation gestellt.
Abb. 2: McKeever-Grad-2-Verletzung bei einer 7-jährigen Patientin mit konservativer Behandlung (a); Repositionsbilder in der Oberschenkelgipshülse in leichter Hyperextension (b), korrekte Reposition im CT (c); Ausheilungsbilder nach Wachstumsabschluss zeigen ein intraossäres Ganglion bei regulärem Verlauf des vorderen Kreuzbandes (d,e)
Operative Therapie
Bei der operativen Versorgung von VKB-Rupturen im Kindes- und Jugendalter sind die bei Erwachsenen routinemäßig eingesetzten Techniken nicht uneingeschränkt anwendbar. Das Knochenalter und das zu erwartende verbleibende Wachstum sind präoperativ jedenfalls zu erfassen, um potenzielle Wachstumsstörungen abschätzen zu können. Zusätzlich erfolgt eine Beurteilung der Beinachsen und des posterioren tibialen Slopes, um vorbestehende Deformitäten zu erkennen. Zur Rekonstruktion des VKB beim Kind und Jugendlichen sind unzählige OP-Techniken beschrieben. Grundsätzlich lassen sich fugenschonende von fugenkreuzenden Techniken unterscheiden.26 Es existieren sowohl rein epiphysäre als auch (partiell) transepiphysäre und extraanatomische Techniken. Bei femoralen Ausrissen (Typ-1-Rupturen) mit guter Qualität des VKB-Stumpfes kann grundsätzlich eine proximale Refixation durchgeführt werden. Aufgrund der deutlich erhöhten Versagensrate im Vergleich zur Rekonstruktion beim adoleszenten Patienten kann diese Technik aktuell jedoch nicht empfohlen werden.27–29
Zu den fugenschonenden Techniken zählt die ursprünglich von MacIntosh und Darby beschriebene und von Micheli und Kocher modizifierte Technik.30,31 Dabei erfolgt eine kombinierte intra- und extraartikuläre Rekonstruktion mit autologem, distal gestieltem Tractus-iliotibialis-Transplantat. Die Verankerung erfolgt femoral an der „Over the top“-Position und tibial mit „Over the front“-Positionierung mit einer Nut in der anteromedialen Tibiaepiphyse distal der Epiphysenfuge.31 Diese Technik kann bei sehr jungen Patienten angewandt werden, bei denen wegen einer zu kleinen Epiphyse keine rein epiphysäre Technik möglich ist. Trotz der nichtanatomischen Rekonstruktion lassen sich gute funktionelle Ergebnisse und eine niedrige Rerupturrate erreichen.31–33
Die rein epiphysären Techniken erlauben eine anatomische Rekonstruktion, ohne die Wachstumsfuge zu kreuzen, und sind für junge Patienten, bei denen noch ein relevantes Knochenwachstun zu erwarten ist, geeignet. Die Rekonstruktion erfolgt typischerweise in der „All inside“-Technik und erfordert eine exakte Bestimmung der Transplantatlänge während der Präparation. Die Anlage der Bohrkanäle erfolgt unter Durchleuchtung, da aufgrund des tangentialen Verlaufs zur Wachstumsfuge die Gefahr einer Verletzung mit resultierenden Wachstumsstörungen bei falscher Durchführung groß ist.34
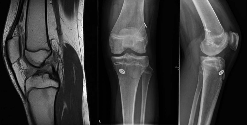
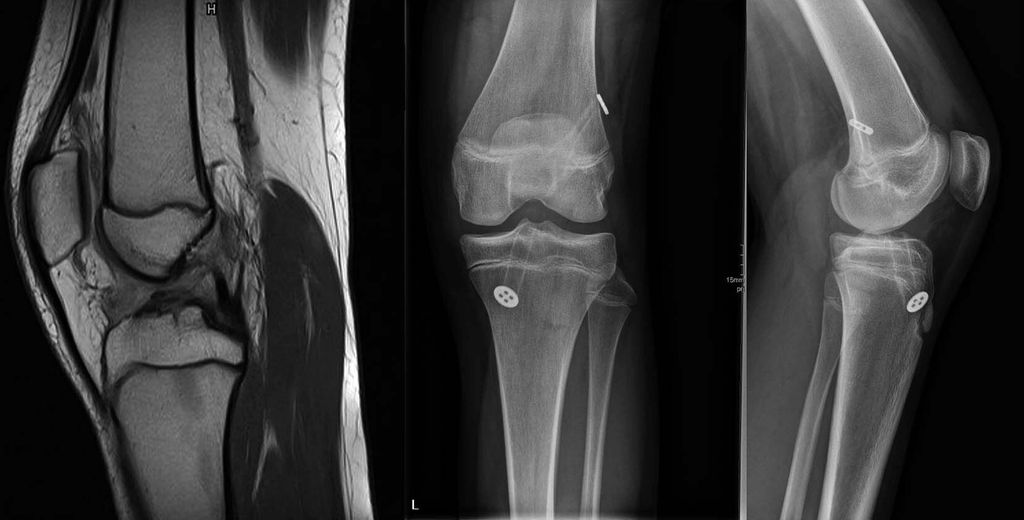
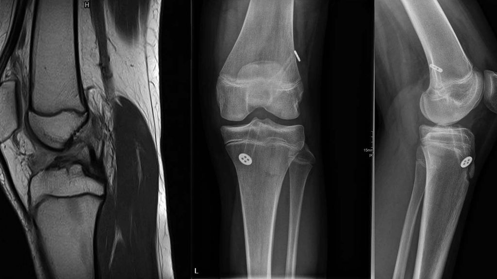
Bei den fugenkreuzenden Techniken können beide oder nur ein Kanal transepiphysär angelegt werden. Eine Verletzung der Tuberositas tibiae soll jedenfalls vermieden werden und die Epiphysenfugen sollten nicht mit Knochenblöcken oder Implantaten überbrückt werden. Bei jugendlichen Patienten kurz vor dem Wachstumsabschluss stellt die transepiphysäre VKB-Rekonstruktion ein reproduzierbares und verlässliches Verfahren dar (Abb. 3).
Abb. 3: MRT einer 13-jährigen Fußballerin mit VKB-Ruptur und postoperative Röntgenbilder nach Rekonstruktion mit autologer 4-fach-Semitendinosussehne und extrakortikaler Fixation (aus Reuter und Stotter 2022)45
Während die autologe Semitendinosussehne weiterhin das am meisten verwendete Transplantat ist, stellt die Quadrizepssehne vor allem bei medialen Begleitverletzungen und valgischer Beinachse eine gute Alternative mit einer niedrigen Rerupturrate und einer hohen Return-to-sport-Rate dar.35 Die Patellarsehne als „Bone-tendon-bone“-Transplantat sowie Allografts sollten bei Kindern und Jugendlichen aufgrund deutlich schlechterer klinischer Ergebnisse und höherer Rerupturraten nicht als Transplantat gewählt werden.27
Bei Patienten mit einem erhöhten Rerupturrisiko wird zunehmend eine additive extraartikuläre anterolaterale Stabilisierung (Rekonstruktion des anterolateralen Ligaments bzw. laterale extraartikuläre Tenodese) empfohlen.27
Bei der operativen Versorgung der McKeever-Verletzungen stellt die arthroskopische Versorgung heute den Goldstandard dar. Abhängig von der Fragmentgröße und -form stehen mehrere Fixationsmethoden zur Verfügung, die arthroskopisch, arthroskopisch assistiert oder auch offen durchgeführt werden können. Bei der arthroskopischen Reposition mit transossärer Auszugsnaht mit resorbierbarem Nahtmaterial ist ein Zweiteingriff zur Materialentfernung nicht erforderlich und die Schädigung der Wachstumsfuge ist minimal (Abb. 4).
Abb. 4: Schematische Darstellung und arthroskopische Bilder bei McKeever-Verletzung: Nach Reinigung des Frakturbetts und Reposition des Fragments erfolgt eine zweifache transossäre Auszugsnaht mit resorbierbarem Nahtmaterial (mod. nach Stotter und Reuter 2022)44
Begleitverletzungen
Begleitende Meniskusverletzungen kommen bei bis zur Hälfte der Patienten mit VKB-Ruptur vor, wobei der laterale Meniskus häufiger betroffen ist als der mediale.36 Die Indikation zum Meniskuserhalt sollte bei Kindern und Jugendlichen aufgrund der deutlich besseren Heilungschancen, vor allem bei begleitender VKB-Rekonstruktion, großzügig gestellt werden.37,38
Es stehen unterschiedliche arthroskopische Nahttechniken zur Verfügung, die entsprechend der Rupturlokalisation und -form Anwendung finden (Abb. 5). Läsionen der medialen Meniskusrampe, die häufig mit Rupturen des VKB assoziiert sind, lassen sich durch direkte Visualisierung mittels Gillquist-Manöver darstellen und gegebenenfalls über ein zusätzliches posteromediales Portal versorgen (Abb. 5).39 Rupturen der posterioren Meniskuswurzel können zu einer Extrusion des Meniskus mit entsprechendem Funktionsverlust führen.40 Die Versorgung kann mit All-inside-Nahtsystemen oder transossären Auszugsnähten erfolgen. Bei instabilen Meniskusrissen in der Zone 3 (weiß-weiße Zone) können auch im Kindesalter Teilresektionen notwendig werden.
Abb. 5: Arthroskopische Bilder einer basisnahen Vertikalruptur am Außenmeniskushinterhorn bei einem 14-jährigen Patienten mit VKB-Ruptur, Refixation mit 2 All-inside-Nähten (links); MRT und arthroskopische Bilder einer medialen Rampenläsion, assoziiert mit einer VKB-Ruptur bei einem 16-jährigen Patienten, die Naht erfolgt über ein posteromediales Portal (aus Reuter und Stotter 2022)45
Nachbehandlung
Die Nachbehandlung erfolgt phasenorientiert unter physiotherapeutischer Anleitung.41 Die Rückkehr zum Sport auf demselben Leistungsniveau wie vor der Verletzung ist bei Kindern und Jugendlichen hoch. Allerdings sind auch die Rerupturraten signifikant höher. Daher sollte der Wiedereinstieg in den Vereinssport frühestens nach 9 Monaten erfolgen und davor sollte eine Return-to-play-Testung durchgeführt werden.22 Eine langfristige Betreuung und Patientenschulung bis zum Wachstumsabschluss ist angeraten.
Ergebnisse
Durch eine operative Behandlung lassen sich bei Kreuzbandverletzungen im Kindes- und Jugendalter eine ausgezeichnete Kniegelenkstabilität und eine exzellente Kniefunktion erreichen. In einer Übersichtsarbeit zeigten sich signifikant bessere Ergebnisse als bei konservativer Therapie.19 Die schlechtere Prognose bei konservativer Therapie ist unter anderem durch die vermehrte Aktivität und geringe Compliance der Patienten erklärbar. Zusätzlich wird eine verbleibende Instabilität initial oft nicht als problematisch wahrgenommen.43 In der Folge zeigt sich eine erhöhte Rate an sekundären Meniskus- und Knorpelschäden mit teils früher Entwicklung einer posteromedialen Gonarthrose.
Die Prognose der tibialen VKB-Ausrissfrakturen ist bei korrekter Versorgung gut, aber stark von Begleitverletzungen abhängig. Relevante Wachstumsstörungen, die eine Achskorrektur erforderlich machen, sind selten.24
Literatur:
1 Duart J et al.: Pediatric anterior cruciate ligament tears and associated lesions: Epidemiology, diagnostic process, and imaging. J Child Orthop 2023; 17(1): 4-11 2 Gornitzky AL et al.: Sport-specific yearly risk and incidence of anterior cruciate ligament tears in high school athletes: a systematic review and meta-analysis. Am J Sports Med 2016; 44(10): 2716-23 3 Yang BW et al.: Outcomes of meniscus repair in children and adolescents. Curr Rev Musculoskelet Med 2019; 12(2): 233-8 4 Shea KG et al.: Youth sports anterior cruciate ligament and knee injury epidemiology: who is getting injured? In what sports? When? Clin Sports Med 2011; 30(4): 691-706 5 Shea KG et al.: Anterior cruciate ligament injury in pediatric and adolescent soccer players: an analysis of insurance data. J Pediatr Orthop 2004; 24(6): 623-8 6 Dodwell ER et al.: 20 years of pediatric anterior cruciate ligament reconstruction in New York State. Am J Sports Med 2014; 42(3): 675-80 7 Tepolt FA et al.: Trends in pediatric ACL reconstruction from the PHIS database. J Pediatr Orthop 2018; 38(9): e490-4 8 Heath EL et al.: 5-year survival of pediatric anterior cruciate ligament reconstruction with living donor hamstring tendon grafts. Am J Sports Med 2019; 47(1): 41-51 9 Price MJ et al.: Nonmodifiable risk factors for anterior cruciate ligament injury. Curr Opin Pediatr 2017; 29(1): 55-64 10 Rössler R et al.: A multinational cluster randomised controlled trial to assess the efficacy of ’11+ Kids’: a warm-up programme to prevent injuries in children’s football. Sports Med 2017; 6: 1493-504 11 Yang J et al.: Effects of the „FIFA11+ Kids“ program on injury prevention in children: a systematic review and meta-analysis. Int J Environ Res Public Health 2022; 19(19): 12044 12 Kocher MS et al.: Diagnostic performance of clinical examination and selective magnetic resonance imaging in the evaluation of intraarticular knee disorders in children and adolescents. Am J Sports Med 2001; 29(3): 292-6 13 Lee K et al.: Anterior cruciate ligament tears: MR imaging-based diagnosis in a pediatric population. Radiology 1999; 213(3): 697-704 14 van der List JP et al.: The locations of anterior cruciate ligament tears in pediatric and adolescent patients: a magnetic resonance study. J Pediatr Orthop 2019; 39(9): 441-8 15 Seil R et al.: The anterior cruciate ligament injury severity scale (ACLISS) is an effective tool to document and categorize the magnitude of associated tissue damage in knees after primary ACL injury and reconstruction. Knee Surg Sports Traumatol Arthrosc 2023; online ahead of print 16 Engebretsen L et al.: Poor results of anterior cruciate ligament repair in adolescence. Acta Orthop Scand 1988; 59(6): 684-6 17 Dunn KL et al.: Operative versus delayed or nonoperative treatment of anterior cruciate ligament injuries in pediatric patients. J Athl Train 2016; 51(5): 425-7 18 Ekas GR et al.: Knee pathology in young adults after pediatric anterior cruciate ligament injury. Am J Sports Med 2019; 47(7): 1557-66 19 Preiss A et al.: Die vordere Kreuzbandruptur im Wachstumsalter – operativ oder konservativ? Unfallchirurg 2012; 115(9): 848-54 20 Ramski DE et al.: Anterior cruciate ligament tears in children and adolescents: a metaanalysis of nonoperative versus operative treatment. Am J Sports Med 2014; 42(11): 2769-76 21 Stadelmaier DM et al.: The effect of drilling and soft tissue grafting across open growth plates. A histologic study. Am J Sports Med 1995; 23(4):431-5 22 Fury MS et al.: Assessment of skeletal maturity and postoperative growth disturbance after anterior cruciate ligament reconstruction in skeletally immature patients: a systematic review. Am J Sports Med 2022; 50(5): 1430-41 23 Furlan D et al.: Pediatric tibial eminence fractures: arthroscopic treatment using K-wire. Scand J Surg 2010; 99(1): 38-44 24 Gans I et al.: Treatment and management outcomes of tibial eminence fractures in pediatric patients: a systematic review. Am J Sports Med 2014; 42(7): 1743-50 25 Guzzanti V: The natural history and treatment of rupture of the anterior cruciate ligament in children and adolescents. J Bone Joint Surg Br 2003; 85(4): 618-9 26 Tang C et al.: Surgical techniques in the management of pediatric anterior cruciate ligament tears: current concepts. J Child Orthop 2023; 17(1): 12-21 27 Marx RG et al.: Graft choices for paediatric anterior cruciate ligament reconstruction: state of the art. J ISAKOS 2023; S2059-7754(23)00001-9 28 Gagliardi AG et al.: ACL repair with suture ligament augmentation is associated with a high failure rate among adolescent patients. Am J Sports Med 2019; 47(3): 560-6 29 Vermeijden HD et al.: Role of age on success of arthroscopic primary repair of proximal anterior cruciate ligament tears. Arthroscopy 2021; 37(4): 1194-201 30 MacIntosh DL, Darby TA: Lateral substitution reconstruction [abstract]. In: Proceedings and reports of universities, colleges, councils and associations. J Bone Joint Surg Br 1976; 58: 142 31 Kocher MS et al.: Physeal sparing reconstruction of the anterior cruciate ligament in skeletally immature prepubescent children and adolescents. J Bone Joint Surg Am 2005; 87(11): 2371-9 32 Kocher MS et al.: Outcomes of physeal-sparing ACL reconstruction with iliotibial band autograft in skeletally immature prepubescent children. J Bone Joint Surg Am 2018; 100(13): 1087-94 33 Nagai K et al.: Over-the-top ACL reconstruction restores anterior and rotatory knee laxity in skeletally immature individuals and revision settings. Knee Surg Sports Traumatol Arthrosc 2020; 28(2): 538-43 34 DeFrancesco CJ et al.: Challenges in the management of anterior cruciate ligament ruptures in skeletally immature. J Am Acad Orthop Surg 2018; 67: 391-402 35 Zakharia A et al.: Quadriceps tendon autograft for pediatric anterior cruciate ligament reconstruction results in promising postoperative function and rates of return to sports: a systematic review. Knee Surg Sports Traumatol Arthrosc 2022; 30(11): 3659-72 36 Perkins CA et al.: Rates of concomitant meniscal tears in pediatric patients with anterior cruciate ligament injuries increase with age and body mass index. Orthop Sports Med. 2021; 9(3): 2325967120986565 37 Arnoczky SP, Warren RF: Microvasculature of the human meniscus. Am J Sports Med 1982; 10(2): 90-5 38 Kocher MS et al.: Meniscal disorders: normal, discoid, and cysts. Orthop Clin North Am 2003; 34(3): 329-40 39 Sonnery-Cottet B et al.: Hidden lesions of the posterior horn of the medial meniscus: a systematic arthroscopic exploration of the concealed portion of the knee. Am J Sports Med 2014; 42(4): 921-6 40 LaPrade CM et al.: Meniscal root tears: a classification system based on tear morphology. Am J Sports Med 2014; 43(2): 363-9 41 Yellin JL et al.: Cruciate ligament tears in children. JBJS Rev 2016; 4: 1-15 42 Hansson F et al.: Long-term evaluation of pediatric ACL reconstruction: high risk of further surgery but a restrictive postoperative management was related to a lower revision rate. Arch Orthop Trauma Surg 2021; 142(8): 1951-61 43 Dingel A et al.: Pediatric ACL tears : natural history. J Pediatr Orthop 2019; 39: 47-9 44 Stotter C, Reuter P: Epiphysäre Frakturen der proximalen Tibia beim Kind. In: Engelhardt M, Raschke M (eds): Orthopädie und Unfallchirurgie. Springer Reference Medizin. Springer, Berlin, Heidelberg 2022 45 Reuter P, Stotter C: Knieband- und Kniebinnenverletzungen beim Kind. In: Engelhardt M, Raschke M (eds): Orthopädie und Unfallchirurgie. Springer Reference Medizin. Springer, Berlin, Heidelberg 2022
Das könnte Sie auch interessieren:
Angeborene Fehlstellungen des Unterschenkels
Kongenitale Deformitäten des Unterschenkels gehören zu den seltenen, aber medizinisch bedeutenden und operativ herausfordernden Diagnosen der Kinderorthopädie. Eine differenzierte ...
Korrektur assoziierter Gelenkspathologien beim kongenitalen Femurdefekt
Der kongenitale Femurdefekt ist eine der spannendsten und komplexesten angeborenen Fehlbildungen in der Kinderorthopädie und in der klinischen Präsentation sehr vielgestaltig. Während ...
Hochgradige ACG-Luxationen – wann konservativ behandeln, wann nicht?
Verletzungen des Akromioklavikulargelenks (ACG) gehören zu den häufigsten Schulterverletzungen bei jungen und aktiven Menschen, insbesondere auch aufgrund der zunehmenden Beliebtheit von ...