Ellbogentotalendoprothese bei Pseudoarthrose des distalen Humerus
Autoren:
Prof. Dr. Radek Hart, PhD, FRCS, MHA1, 2
Dr. Ramin Valipour1
1 Abteilung für Orthopädie und Traumatologie, Klinik Floridsdorf, Wien
2 Klinik für Unfallchirurgie, Masaryk-Universität, Brünn
E-Mail: radek.hart@gesundheitsverbund.at
Distale Humeruspseudoarthrosen werden in den meisten Fällen entweder durch Reosteosynthese oder mit Totalendoprothese versorgt. Beide Lösungen haben ihre Indikationen. Wir berichten über eine Fallserie von Patient*innen, die eine Totalendoprothese des Ellenbogengelenks erhielten.
Die Inzidenz distaler Humerusfrakturen, vor allem bei geriatrischen Patienten, nimmt zu. Dies liegt an der steigenden durchschnittlichen Lebenserwartung sowie der höheren Aktivität älterer Menschen. Dabei handelt es sich oft um komplexe Trümmerfrakturen, deren Behandlung weiterhin viele Hürden bereitstellt.
Heute gilt die Doppelplattenosteosynthese als Goldstandard, wobei die Plattenlage keinen wesentlichen Einfluss auf das Ergebnis hat (parallel vs. senkrecht/90-90).1,2 Trotz der klar etablierten Regeln zur Versorgung distaler Humerusfrakturen kommt es nach diesen Eingriffen häufig zu Komplikationen. Die wesentlichsten sind:
-
Osteosyntheseversagen und Pseudoarthrose
-
Ellenbogensteife
-
tiefe Infektion
Jede dieser drei Komplikationen stelltschon für sich allein ein großes Problem für die betroffenen Patient*innen dar. Immer wieder treten jedoch auch mehrere Komplikationen zeitgleich auf. Ursächlich hierfür sind unter anderem die schlechte Knochenqualität der älteren Patient*innen, ausgedehnte Trümmerzonen, Unterernährung, Begleiterkrankungen, Rauchen, Übergewicht, Stoffwechselerkrankungen (insbesondere Diabetes mellitus), suboptimale Osteosynthese sowie mangelnde Compliance der Patient*innen.3
Patient*innen mit einer distalen Humeruspseudoarthrose klagen über Schmerzen, Bewegungseinschränkungen und nicht selten auch über Instabilität.
Es gibt eine ganze Reihe möglicher Lösungen, jedoch sollten die Beweglichkeit des Gelenks und damit auch der Erhalt derSelbstversorgungsfähigkeit (vor allem im fortgeschrittenen Alter sehr wichtig) Priorität haben. Primär ist die Wiederherstellung der knöchernen Anatomie des distalen Humerus zu erreichen, weshalbimmer eine Reosteosynthese mittels Platten und gegebenenfalls Spongiosaplastik in Betracht zu ziehen ist.
1992 veröffentlichten Jupiter und Goodman ihre Dreifachplattentechnik für distale Humeruspseudoarthrosen bei älteren Patient*innen.4 Zwei Jahre später war Jupiter Koautor einer Studie, die sich auf Pseudoarthrosen nach intraartikulären Frakturen des distalen Humerus konzentrierte.5 Im Jahr 2003 war er abermals Koautor einer Publikation über instabile distale Humeruspseudoarthrose6 und2008 fasste er seine 30-jährige Erfahrung in deren Behandlung zusammen.7
Die distalen artikulären Fragmente sollten groß genug sein, um mit mindestens zwei bis drei Verriegelungsschrauben durch jede der Platten im Rahmen der Reosteosynthese fixiert werden zu können. Wenn bereits aus der bildgebenden Untersuchung oder intraoperativ ersichtlich ist, dass dies nicht möglich sein wird, ist eine Reosteosynthese nicht zielführend. In diesem Fall ist es wichtig, die Patient*innen bereits im Vorfeld auch auf die Implantation einer Totalendoprothese vorzubereiten.
Ziel unserer Arbeit war die prospektive, mittelfristige Nachbeobachtung von Patient*innen, deren distale Humeruspseudoarthrose mittels einer Totalendoprothese des Ellenbogens behandelt wurde.
Material und Methodik
Wir haben bei 9 Patient*innen mit Pseudoarthrose des distalen Humerus eine „semiconstrained“ Totalendoprothese des Ellenbogengelenks implantiert. Das Durchschnittsalter der operierten 4 Frauen und 5 Männer betrug 62 Jahre (31–87 Jahre). Alle Patient*innen wurden von erfahrenen orthopädischen Chirurgen operiert. Die durchschnittliche Zeit von der Verletzung bis zur Implantation der Endoprothese betrug 28 Monate (8–35 Monate). In 4 Fällen handelte es sich um eine extraartikuläre Fraktur Typ A nach AO, in 5Fällen um eine AO-Fraktur Typ C (in einem Fall um eine Hahn-Steinthal-Fraktur).
2 Patientinnen waren primär konservativ behandelt worden. Bei allen anderen Patient*innen war schon mindestens ein Osteosyntheseversuch durchgeführt worden (1–3 Voroperationen: 4-mal 1, 2-mal 2, 1-mal 3 vorangehende Operationen).
Bei 2 Männern bestand der Verdacht auf eine Gelenkinfektion, daher wurde ein zweizeitiges Vorgehen beschlossen. Im ersten Schritt wurden eine komplette Metallentfernung, Gewebeentnahme für Kultur und PCR-Untersuchung, radikales Debridement und Antibiotikabehandlung durchgeführt. Im zweiten Schritt (nach einem Intervall von 8 bzw. 11 Wochen) erfolgte bei negativen Abstrichergebnissen die Implantation einer Ellenbogenprothese.
Bei den beiden Patientinnen, die konservativ vorbehandelt worden waren, aber auch bei 4 anderen Patient*innen bestand eine Steife des Ellenbogengelenks:
-
in 2 Fällen eine sehr schwere Steife bis 30°: in 1 Fall Steife in voller Streckung (Abb.1), im zweiten Fall Steife in 70°–80° Flexion
-
schwerer Grad (30°–60°) in 2 Fällen
-
mittlerer Grad der Steife (60°–90°) ebenfalls in 2 Fällen
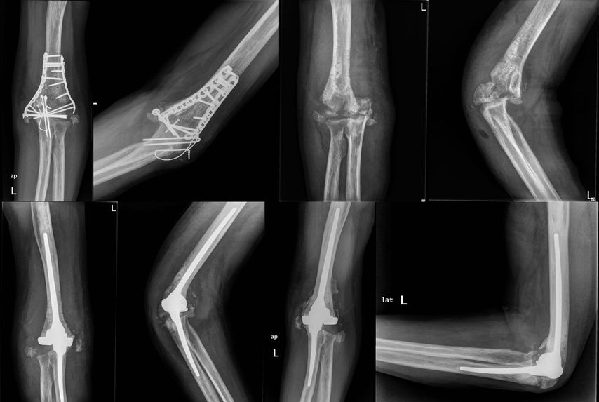
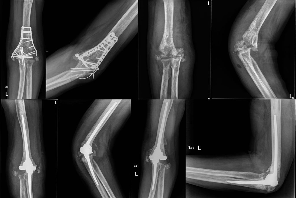
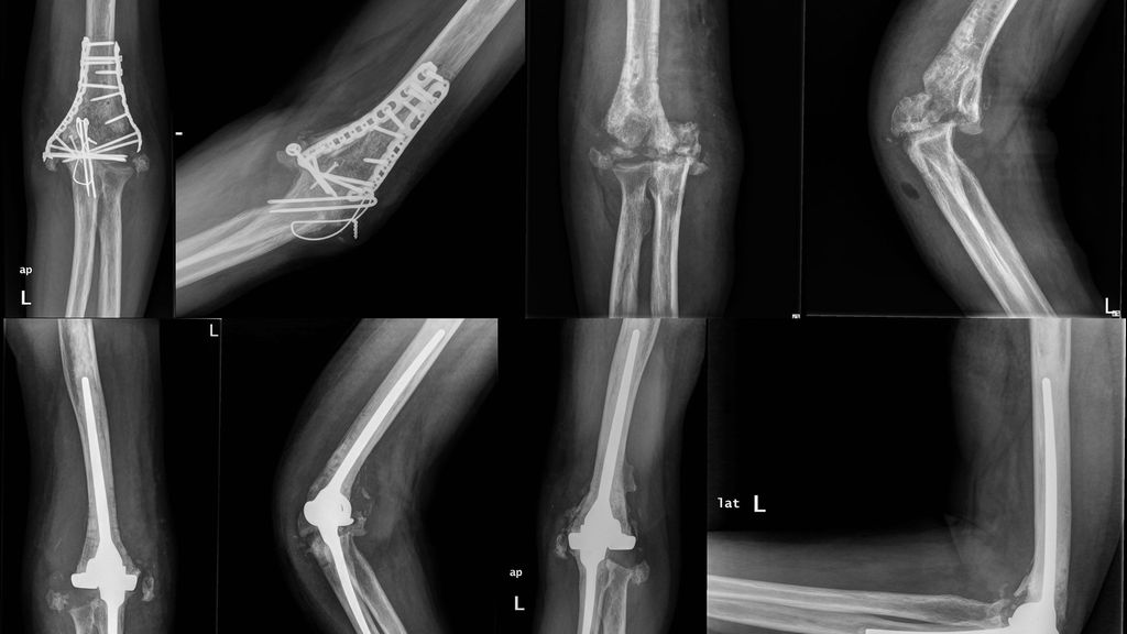
Abb. 1: Ein 42-jähriger männlicher Patient mit distaler Humeruspseudoarthrose und steifem Ellbogen in voller Streckung (a, b). Anamnestisch in dreimaligen Voreingriffen eine infektiöse Komplikation bekannt. Aufgrunddessen hier ein zweizeitiges Vorgehen. Im ersten Schritt die komplette Metallentfernung, Gewebeentnahme für Kultur und PCR-Untersuchung, radikales Debridement und ausgedehnte Arthrolyse (c, d). Bei nachgewiesener Infektionsfreiheit nun die Implantation einer Ellenbogenendoprothese (e, f). Röntgenkontrolle nach 6 Jahren (g, h)
Bei 3 Patient*innen (1 Frau, 2 Männer), die initial operativ behandelt worden waren, bestand eine Ellenbogeninstabilität.
4initial operierte Patient*innen kamen mit Osteosynthesematerial in situ zu uns, bei 3 Patient*innen war das Osteosynthesematerial bereits an der ursprünglichen Klinik entfernt worden. Alle Patienten klagten über Schmerzen.
Die Implantation der Endoprothese erfolgte unter Antibiose (6-mal einmalige Antibiotikagabe, 3-mal zweimalige Antibiose) in Seitenlage mit frei hängendem Unterarm. Es erfolgte ein ausreichend langer dorsaler Hautschnitt mittig. Der N. ulnaris wurde nur im Bereich der proximalen Ulna präpariert und im weiteren Verlauf geschont. Die Sehne des M. triceps brachii wurde freigelegt, dieser wurde unterminiert und mit einem Drain unterfahren. Somit gelang die Mobilisation nach medial und lateral. Wir machten den medialen Rand des M. triceps brachii frei. Somit gelang der Zugang zum distalen Humerus, um etwaige Fragmente, Kondylen sowie Seitenbänder und Adhäsionen zu entfernen. Damit schafften wir einen Zugang zur Gelenkfläche der proximalen Ulna. Etwaige Fragmente mit engem Nahebezug zu den neurovaskulären Strukturen ventral mussten äußerst vorsichtig geborgen werden. Bei gleichzeitiger Gelenksteife führten wir in dieser Phase eine komplette Arthrolyse des Ellenbogens durch, die meist aus einer ventralen Kapsulektomie und einer Fasziektomie des M. brachialis bestand. Zunächst führten wir eine proximale Ulnaresektion durch und präparierten eine Kavität für die Ulnakomponente. Danach folgte die Radiuskopfresektion. Anschließend frästen und/oder raspelten wir in den Humerusmarkraum. Es folgten die Implantation der Probekomponenten, Verknüpfung sowie Bewegungsamplitude. Nach der Vorbereitung mittels Blutsperre zementierten wir zunächst die ulnare Komponente. Der Zementierung der humeralen Komponente gilt besondereAufmerksamkeit, da teilweise die Rotationsunterstützung aufgrund der Entfernung der Trümmerzone fehlt. Ein zuverlässiger Verschluss der Humerusmarkhöhle nach proximal war aber in den meisten Fällen nicht möglich, da der Markraum nach proximal erneut an Durchmesser zunimmt. Die Markhöhle wurde sorgfältig mit gepulster Lavage gespült und anschließend mit einem Tupfer ausgiebig getrocknet. Um den Zement ideal einzubringen, mussten wir einen verengten Aufsatz an der Zementpistole verwenden (Standardaufsätze passen nicht durch den verengten Teil der Humerushöhle und die Zementfixierung des Schafts ist proximal davon ungenügend). Wir brachten den Zement nicht unmittelbar nach dem Mischen in die Markhöhle hinein. Wir mischten ihn etwa 30 Sekunden lang im Vakuum und warteten ab, bis er nicht mehr klebte oder anfing, an Konsistenz zuzunehmen (ähnlich der Konsistenz von Zahnpasta). Erst dann brachten wir den Zement in die Markhöhle und unmittelbar danach die humerale Komponente rotations- und höhenrichtig ein (da keine Orientierung des unteren Humerusendes vorliegt, hängt die Position der Komponente oft von der Erfahrung des Operateurs ab). Nach mehrmaligem Spülen und Blutstillen führten wir einen Redondrain ein, vernähten die seitlichen Intervalle des M. triceps brachii, dann das Unterhautgewebe und die Haut. Es erfolgte keine Verlagerung des N. ulnaris. Wir legten einen modifizierten Robert-Jones-Verband an.
Ab dem 1. postoperativen Tag begann jede/r Patient*in aktiv zu trainieren. Die Anlage eines Lymphtapes durch die Physiotherapie wurde als abschwellende Maßnahme durchgeführt. Mittels Skalenuskatheter konnte vor der aktiven Physiotherapie eine adäquate Analgesie durchgeführt werden.
Nach der Entlassung folgte für mindestens 3 Monate eine individuell geleitete intensive Physiotherapie.Die Patienten wurden nach 6 Wochen sowie nach 3, 6 und 12 Monaten, anschließend einmal jährlich nach der Operation untersucht. Die durchschnittliche Nachbeobachtungszeit betrug 7 Jahre (5–16 Jahre). Primär wurde der „Mayo Elbow Performance Score“ (MEPS) als klinischer Score herangezogen.
Ergebnisse
Der MEPS verbesserte sich von durchschnittlich 47 Punkten vor der Operation auf 88 Punkte postoperativ. Am deutlichsten verbesserte sich das Schmerzempfinden – von durchschnittlich 15 Punkten vor der Operation auf 37 Punkte nach der Operation. Auch die Funktion erfuhr eine deutliche Verbesserung – von durchschnittlich 11 Punkten vor der Operation auf 23 Punkte nach der Operation. Stabilität und Bewegungsumfang wurden durch die Implantation der Endoprothese nicht signifikant beeinflusst (Tab. 1). Die subjektive Zufriedenheit mit dem Ergebnis war hoch, 8 von 9 Patient*innen würden sich erneut operieren lassen.
In einem Fall (weiblich, 63 Jahre) entwickelte sich postoperativ ein Hämatom im Unterhautgewebe, welches operativ evakuiert und drainiert wurde. Andere chirurgische Komplikationen während der Operation oder postoperativ wurden nicht festgestellt.
Was die radiologischen Befunde betrifft, wurde in 3 Fällen ein nicht fortschreitender harter Rand von 1–2mm Breite rund um die Humeruskomponente in den Zonen 1–5 zwischen dem Zement und Knochen gefunden (ohne die subjektive Wahrnehmung des Zustands zu beeinträchtigen), ein Rand um die ulnare Komponente wurde in keinem Fall gefunden.
Diskussion
Die ersten Berichte über die Indikation zur Totalendoprothese bei distalen Humeruspseudoarthrosen stammen vom Hospital for Special Surgery in New York (erste Patient*innen im Jahr 1976). Figgie et al. veröffentlichten die Ergebnisse von 14 Patient*innen mit einer Nachbeobachtungszeit von mindestens 2 Jahren, bei denen in einem Fall eine Luxation, in einem Fall eine Lockerung der Humeruskomponente und in einem Fall eine tiefe Infektion auftrat.8 Seitdem hat sich nicht nur das Design von Implantaten deutlich verbessert, sondern es haben sich auch neue schonende chirurgische Zugänge entwickelt.9 Trotzdem haben Cil et al. aus Rochester 20 Jahre später noch nicht überzeugende Ergebnisse von 92 Patient*innen veröffentlicht. Es fanden sich in der Gruppe 32 Reoperationen: Lockerung einer oder beider Komponenten (12x), Bruch einer der Komponenten (5x), periprothetische Fraktur (4x) und Infektion (5x). Als häufigste Komplikationsrisikofaktoren wurden Alter unter 65 Jahren, mehrfache Voroperationen und eine Infektionsanamnese genannt.10 Vauclair et al. haben in der Literatur 5 Studien mit insgesamt 138 Patient*innen mit einem Durchschnittsalter von 65 Jahren gefunden und ausgewertet.11 Die durchschnittliche Zeit von der Verletzung bis zur Behandlung des Gelenks betrug in etwa 40 Monate. Der durchschnittliche Bewegungsumfang nach der Operation betrug gesamt 112°. Komplikationen wurden in 43% der Fälle beschrieben und 39 Ellenbogen mussten reoperiert werden. Von den 5 Studien sind jedoch zwei bereits oben erwähnt (Figgie et al. und Cil et al.) und eine von Rochester aus dem Jahr 1995 stellt die erste Erfahrung mit 39 Patient*innen dar, die anschließend in die Cil-Studie eingeschlossen wurden. Daher bleiben nur die Studie von LaPorte aus dem Jahr 2008 mit 12 Patient*innen12 und eine jüngere von Pogliacomi aus dem Jahr 2015 mit 20 Patient*innen13 übrig. Sogar Pogliacomi et al. berichten von einem hohen Prozentsatz an Komplikationen (30%) und bevorzugen die Implantation bei Patienten über 70 Jahren mit geringen funktionellen Anforderungen. Aus der obig genannten Literatur ist ersichtlich, dass die Anzahl der Arbeiten zu diesem Thema sehr gering ist.
Auch unsere Patientengruppe ist nicht allzu groß. Die Ergebnisse unserer Fälle wurden jedoch im mittelfristigen Zeitraum von mindestens 5 Jahren ausgewertet, was einige der oben genannten Arbeiten nicht erfüllen. Ein weiterer wichtiger Faktor, den andere Studien nicht berücksichtigen, ist die gleichzeitige Gelenksteife. 6 unserer Patient*innen wiesen eine Ellenbogensteife auf, davon waren 2 schweren Grades und 2 sehr schweren Grades. Wie aus unseren Ergebnissen hervorgeht, ist eine Steife des Ellenbogengelenks keine Kontraindikation für die Implantation der Totalendoprothese, sofern gleichzeitig die adäquate Arthrolyse durchgeführt wird. Im Vergleich zu den anderen Studien haben wir jedoch auch bei komplexen Fällen und bei jüngeren Männern keine wesentlichen Komplikationen beobachtet.
Aus den veröffentlichten Ergebnissen sowie aus unserer Erfahrung wird deutlich, dass die Lösung der distalen Humeruspseudoarthrose mit einer Totalendoprothese heikel zu betrachten ist. Die richtige Auswahl der Patienten (Compliance, keine lokale Infektion in der Anamnese, guter Allgemeinzustand), modernes hochwertiges Implantat, Erfahrung des Operateurs und eine adäquate Zementierungstechnik sind unerlässlich. Für den erfahrenen Operateur ist die Implantation einer Totalendoprothese bei distaler Humeruspseudoarthrose einfacher als die Rekonstruktion und anschließende Plattenosteosynthese. Bei der Endoprothese entfallen die meisten Schritte (Resektion der Pseudoarthrose, Reposition und temporäre Transfixation mit Bohrdrähten, stabile Plattenosteosynthese und Spongioplastik). Etwaiges Osteosynthesematerial muss zur Gänze entfernt werden, um die Entwicklung einer Infektion zu vermeiden. Wenn eine Infektion des OP-Gebietes suspiziert wird, kann ein α-Defensin-Test verwendet werden oder eine Probe des Gewebes an die Histologie geschickt werden, wo ein Histopathologe zelluläre Anzeichen einer akuten Entzündung innerhalb weniger Minuten bestätigen oder ausschließen kann. Sind diese Untersuchungen positiv, brechen wir die Erstimplantation ab. In dem Fall ist ein zweizeitiges Vorgehen empfehlenswert.Bereits vor der präoperativen CT-Untersuchung muss entschieden werden, wie viel Knochen reseziert wird. Reicht das Standardimplantat nicht aus, muss ein Revisionsimplantat verwendet werden. Entscheidend für das Langzeitergebnis der Ellenbogenendoprothese ist unter anderem die Rotationsstabilität der Humeruskomponente. Bei einigen Prothesen wird dies mit einem ventralen „Flansch“ behandelt, bei anderen mit einer kaudalen Verlängerung, welche die distale Resektionsfläche konturiert. Bei der Resektion eines größeren Teils des distalen Humerus entfällt diese zusätzliche Fixierung und die Rotationsstabilität wird dann vollständig vom Zementmantel und dem Profil des Schafts übernommen. Daher ist eine möglichst perfekte Zementierungstechnik äußerst wichtig.
Schlussfolgerungen
Distale Humeruspseudoarthrosen werden in den allermeisten Fällen entweder durch Reosteosynthese oder mit Totalendoprothese versorgt. Beide Lösungen haben ihre Indikationen und erfordern eine genaue präoperative Planung. Es kann vorkommen, dass die geplante Rekonstruktion und Osteosynthese intraoperativ auf die Implantation einer Endoprothese umgestellt werden muss. Daher ist es von Vorteil, wenn der Operateur mit beiden Arten von Operationsverfahren vertraut ist und entsprechend dem intraoperativen Befund reagieren kann. Wenn alle wesentlichen Voraussetzungen für die Implantation einer Totalendoprothese des Ellenbogengelenks, hauptsächlich die richtige Zementierungstechnik und vollständige Arthrolyse, erfüllt sind, sind die Ergebnisse moderner Implantate gut, insbesondere hinsichtlich Schmerzreduzierung und einer deutlichen Funktionsverbesserung der oberen Extremitäten. Daher ist die Totalendoprothetik bei Patient*innen mit schlechter Knochenqualität und distaler Humerusfragmentierung heute die Methode der ersten Wahl. Eine größere Anzahl von Patient*innen und eine längerfristige Nachbeobachtung sind erforderlich, um die guten mittelfristigen Ergebnisse zu bestätigen.
Literatur:
1 Lee SK et al.: A comparison between orthogonal and parallel plating methods for distal humerus fractures: a prospective randomized trial. Eur J Orthop Surg Traumatol 2014; 24: 1123-31 2 Yu X et al.: Orthogonal plating method versus parallel plating method in the treatment of distal humerus fractures: a systematic review and meta-analysis. Int J Surg 2019; 69: 49-60 3 Claessen FMAP et al.: Plate and screw fixation of bicolumnar distal humerus fractures: factors associated with loosening or breakage of implants or nonunion. J Hand Surg Am 2015; 40: 2045-51 4 Jupiter JB, Goodman LJ: The management of complex distal humerus nonunion in the elderly by elbow capsulectomy, triple plating, and ulnar nerve neurolysis. J Shoulder Elbow Surg 1992; 1: 37-46 5 McKee M et al.: Reconstruction after malunion and nonunion of intra-articular fractures of the distal humerus. J Bone Joint Surg Br 1994; 76: 614-21 6 Ring D et al.: Unstable nonunions of the distal part of the humerus. J Bone Joint Surg Am 2003; 85: 1040-6 7 Jupiter JB: The management of nonunion and malunion of the distal humerus: a 30-year experience. J Orthop Trauma 2008; 22: 742-50 8 Figgie MP et al.: Salvage of non-union of supracondylar fracture of the humerus by total elbow arthroplasty. J Bone Joint Surg Am 1989; 71: 1058-65 9 Bryan RS, Morrey BF: Extensive posterior exposure of the elbow. A triceps-sparing approach. Clin Orthop Relat Res 1982; 166: 188-92 10 Cil A et al.: Linked elbow replacement: a salvage procedure for distal humeral nonunion. J Bone Joint Surg Am 2008; 90: 1939-50 11 Vauclair F et al.: Distal humerus nonunion: evaluation and management. EFORT Open Rev 2020; 5(5): 289-98 12 LaPorte DM et al.: Distal humerus nonunion after failed internal fixation: reconstruction with total elbow arthroplasty. Am J Orthop 2008; 37: 531-4 13 Pogliacomi F et al.: Total elbow arthroplasty in distal humeral nonunion: clinical and radiographic evaluation after a minimum follow-up of three years. J Shoulder Elbow Surg 2015; 24: 1998-2007
Das könnte Sie auch interessieren:
Angeborene Fehlstellungen des Unterschenkels
Kongenitale Deformitäten des Unterschenkels gehören zu den seltenen, aber medizinisch bedeutenden und operativ herausfordernden Diagnosen der Kinderorthopädie. Eine differenzierte ...
Einzeitiger und mehrzeitiger septischer Endoprothesenwechsel
Die periprothetische Infektion (PPI) stellt eine der gefürchtetsten Komplikationen im Bereich der Orthopädie und Traumatologie dar. Sie ist verbunden mit hohen Morbiditäts- und ...
Hochgradige ACG-Luxationen – wann konservativ behandeln, wann nicht?
Verletzungen des Akromioklavikulargelenks (ACG) gehören zu den häufigsten Schulterverletzungen bei jungen und aktiven Menschen, insbesondere auch aufgrund der zunehmenden Beliebtheit von ...