Einfache und minimalinvasive Operationen beim diabetischen Malum perforans
Autor:
Univ.-Doz. Dr. Ernst Orthner
Fussklinik Oberösterreich, Wels
E-Mail: orthner@moderne-medizin.at
Sie sind bereits registriert?
Loggen Sie sich mit Ihrem Universimed-Benutzerkonto ein:
Sie sind noch nicht registriert?
Registrieren Sie sich jetzt kostenlos auf universimed.com und erhalten Sie Zugang zu allen Artikeln, bewerten Sie Inhalte und speichern Sie interessante Beiträge in Ihrem persönlichen Bereich
zum späteren Lesen. Ihre Registrierung ist für alle Unversimed-Portale gültig. (inkl. allgemeineplus.at & med-Diplom.at)
Dass Diabetes wohl ein typisches Problem des 21. Jahrhunderts ist, ist hinlänglich bekannt. Die Pharmaindustrie hat dem durch die Entwicklung neuer Medikamente bereits Rechnung getragen, die internistischen Probleme der Diabetiker werden auch von speziell ausgebildeten Diabetologen erfolgreich behandelt. Der diabetische Fuß führt aber nach wie vor ein Stiefkind-Dasein. Dass zur erfolgreichen Behandlung eines diabetischen Fußproblems nicht immer aufwendige und risikoreiche Komplexrekonstruktionen notwendig sind, soll im folgenden Artikel an einigen Beispielen dargestellt werden.
Zur Pathobiomechnik der Fußulzera
Das Auftreten eines diabetischen Fußulkus ist immer die Folge des Zusammenwirkens mehrerer Faktoren:
-
die sehr häufig feststellbare Polyneuropathie
-
eingeschränkte Gelenksbeweglichkeit durch die Proteinglukolisierung an Gelenken, Sehnen und Weichteilen
-
verändertes Gangbild mit abnormer plantarer Druckverteilung und veränderten Scherkräften
-
sich daraus entwickelnde Hyperkeratosen (Schwielen)
-
infolge der Schwielenbildung Verlust der protektiven Eigenschaften
-
durch die Schwiele selbst Auslösung eines lokalen Drucks, der schließlich für die Läsion verantwortlich ist
Eine vaskuläre Problematik liegt zwar ebenfalls immer wieder vor, das klassische makroangiopathische Verteilungsmuster wie bei der PAVK des Rauchers ist aber nicht typisch für Diabetiker. Diesbezüglich verweise ich auf den Artikel von Dr. Thümmler in diesem Heft. Der Mär, dass eine Durchblutungsstörung im Regelfall die Ursache des Malum perforans ist, muss allerdings massiv widersprochen werden.
Diagnostik
Zur erfolgreichen Behandlung eines Malum perforans ist neben einer Verbesserung der Gelenksbeweglichkeit (Achillessehnenverlängerung bei eingeschränkter Dorsalextension) die Korrektur extrinsischer und intrinsischer Faktoren notwendig.
Dass bei einem Malum perforans ein konservativer Therapieversuch – solange der Fuß infektfrei ist – gestartet werden soll, ist unbestritten. Führen allerdings die externen Maßnahmen innerhalb von einigen Wochen nicht zu einer wesentlichen Verbesserung, sollte mit dem nächsten Schritt nicht zu lange zugewartet werden. Wenn die externe Druckreduktion (Schuhzurichtung, Total-Contact-Cast) nicht ausreicht, muss man interne druckreduzierende Maßnahmen, also eine Operation, andenken.
Als Erstes sollte nach dem Auslöser des Malum perforans gesucht werden. Ist es die verkürzte Achillessehne mit massiver Vorfußüberlastung und starken Scherbelastungen? Ist es ein Hallux limitus mit einem gestörten Abrollverhalten der Großzehe? Ist es eine Flexionskontraktur der Kleinzehen mit darauf aufpfropfender Hammerzehenbildung und erhöhter Druckbelastung unter dem Köpfchen des angrenzenden Mittelfußknochens? Liegen radiologisch sichtbare Veränderungen vor, die zur Fehlbelastung führten? Hat sich die Fußstatik verändert und damit die Druckverteilung verschlechtert?
Nur die direkte persönliche Untersuchung – welche zumeist mit dem Basisröntgen unter Belastung auskommt – mit Beurteilung der Gelenksfunktion, der Schwielen, des Gangbildes, der Pulse, der Hauttemperatur, Abstrichentnahme etc. ist hier zielführend. Dass das keine Aufgabe für einen fußchirurgisch Unerfahrenen darstellt, muss nicht extra betont werden Dieser Fragestellung kann sich nicht der jüngste Assistent einer großen orthopädischen oder unfallchirurgischen Abteilung annehmen, sondern nur ein erfahrener Fußchirurg, am besten jemand, der sich auf die Problematik des diabetischen Fußes spezialisiert hat.
Therapie
Als Malum perforans wird eine chronische Wunde, ein Geschwür (Ulkus), häufig unter einer Hornschwiele, an mechanisch belasteten Stellen der Fußsohle oder der Zehen, das aufgrund verminderter Empfindlichkeit gegenüber Berührungen und Druck an den Füßen entsteht, bezeichnet (Definition Wikipedia).
Zur Therapie stehen nicht nur die Möglichkeiten der klassischen Osteosynthese oder der externen Fixation zur Verfügung, sondern insbesonders beim Malum perforans die Möglichkeiten der minimalinvasiven Therapie, wobei diese vielfältig sind. Die Kombination der Miniinzisionen und der selektiven Druckentlastung durch Osteotomien, gemeinsam mit intensiver Spülung bei der Operation, hat sich dabei sehr bewährt. Eine kurzfristige Gipsfixation mit Erlaubnis der Belastung ist dabei oft von Vorteil. Ich möchte hier einige instruktive Beispiele anführen:
Eingeschränkte Dorsalextension aufgrund einer Achillessehnenverkürzung mit Malum perforans im Vorfußbereich
Hier bietet sich der sogenannte Gastroc-Slide als einfache Möglichkeit an. Die Durchtrennung des Sehnenspiegels des Soleus am Übergang zum Gastrocnemius kann entweder minimalinvasiv oder mit einem kleinen Schnitt durchgeführt werden. Man benötigt keine postoperative Gipsfixation, lässt den Patienten sofort belastend mobilisieren und er ist in kurzer Zeit wieder mobil.
Hallux limitus mit der typischen Wunde unter dem Köpfchen MT1
Hier besteht die Möglichkeit der minimalinvasiv durchgeführten Operation nach Valenti, in welcher etwa 50–60% des Köpfchens des 1. Mittelfußknochens (MFK) und etwa gleich viel von der Basis des Grundgliedes entfernt werden, wodurch die Zehe praktisch auf den Mittelfußknochen hinaufklappt. Dadurch wird die Druckbelastung im Großzehenbereich massiv reduziert, und es ist überraschend, wie rasch derartige Operationen zum Erfolg führen.
Große Zehe in Hyperextensionsstellung
Besteht das Gegenteil und steht die große Zehe in einer Hyperextensionsstellung, so tritt das typische Malum perforans ebenfalls unter dem Köpfchen des 1. MFK auf. Die perkutane Strecksehnenverlängerung mit gleichzeitiger mechanischer Arthrolyse des Gelenkes ± Transfixation für 4 Wochen mit einem 2-mm-Bohrdraht und Gipsfixation führt sehr oft in kurzer Zeit zum Erfolg.
Krallenzehe mit Endgliedulkus
Diesbezüglich verweise ich auf den Artikel über die minimalinvasive Tenotomie von Dr. Engels in dieser Ausgabe.
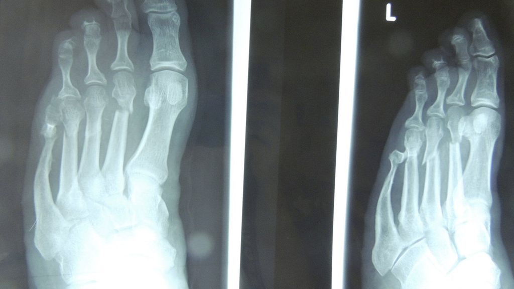
Malum perforans unter den Köpfchen MT2–5
Hier haben die minimalinvasive Vorfußchirurgie im Sinn von verkürzenden elevierenden Metatarsale-Osteotomien (DMMO) und auch Zehenosteotomien samt Tenotomien sowie das minimalinvasive Abtragen von Exostosen eine große Bedeutung erlangt (Abb. 1,2).
Abb. 1: Malum perforans mit Knochenkontakt (a), minimalinvasive Chevron-/Akin(MICA)-Osteotomie (b), 2 Wochen postoperativ (c), nach 4 Wochen abgeheilt, kein Rezidiv (d), postoperatives Röntgen, 2 Wochen Gips mit Belastung (e)
Abb. 2: Malum perforans nach 18-monatiger Therapie (a), postoperatives Röntgen nach Osteotomie (b), 6 Wochen postoperativ, Narbe 1 cm (c, d)
Große Exostosen
Auch die Abtragung großer Exostosen ist möglich (Abb.3). Dieser Fall zeigt, dass selbst in extrem schwierigen Situationen noch vieles verbessert werden kann.
Abb. 3: Präoperativ: massive Verschwielung und Infekt (a), Röntgen präoperativ: St. p. subtotaler Amputation mit massiver Schwiele (b), MICA-Abtragung, 2 Inzisionen à 1 cm (c), OP-Ende (d), 6 Wochen postoperativ (e), Ergebnis (f)
Eigene Erfahrungen
Bereits 2016 haben wir mit der minimalinvasiven Therapie des Malum perforans am Fuß begonnen, sodass wir inzwischen über Ergebnisse aus 8 Jahren berichten können. Aufgrund der Inhomogenität der einzelnen Fälle können nur eine allgemeine Richtlinie und Erfahrungen mitgeteilt werden: Druckspitzen, die an gewissen Zonen des Fußes zum Malum perforans führen, beseitigt man dadurch, dass man entweder den prominenten Knochen abträgt oder durch eine Osteotomie entlastet, im konkreten Fall zumeist des Köpfchens des MFK. Ob diese Osteotomien durchbauen oder nicht, ist aufgrund der Schmerzfreiheit der diabetischen Füße von sehr untergeordneter Bedeutung. Ein großer Fehler ist es, die Ulzera erst dann entlastend zu behandeln, wenn sie abgeheilt sind, da dies ohne Operation praktisch nie erfolgen wird. Schwere, tiefe Infektionen müssen ausgeschlossen bzw. zumindest suffizient antibiotisch und immobilisierend anbehandelt werden. Dann aber ist es ohne Weiteres möglich, bei einem floriden Ulkus, welches keine hochresistente Keimbesiedelung haben sollte, minimalinvasiv eine entlastende Operation durchzuführen. Durch die minimalinvasive Therapie konnte die Indikation auch auf deutlich schlechter vaskularisierte Füße erweitert werden. Nur PAVK Stadium 4 ist eine Kontraindikation.
Ob das von Dr. Thümmler in diesem Heft präsentierte Verfahren uns bei der Gefäßversorgung des Fußes zusätzlich helfen kann, kann noch nicht beantwortet werden. Die ersten vorliegenden Daten sind allerdings diesbezüglich sehr ermutigend. Viele Amputationen könnten so verhindert werden.
Wir haben im Zeitraum 2016–2018 20 Patienten mit diabetischen Ulzera minimalinvasiv behandelt und sie nach 23–36 Monaten nachuntersucht. Die Verlaufsdaten entnehmen Sie bitte der Tabelle 1. In der inzwischen 8-jährigen Nachbeobachtungszeit kam es bei 3 Patienten zu einem Rezidiv, welches nochmals minimalinvasiv korrigiert wurde. Bei keinem der 20 Patienten musste inzwischen amputiert werden.
Die Ergebnisse zeigen uns, dass mit sehr wenig Aufwand sehr viel erreicht werden kann. Dies braucht aber die Hand eines erfahrenen Fußchirurgen und insbesondere auch ein Team, bestehend aus einem orthopädischen Schuhmacher, Wundpflegepersonal, einem Internist, Fußchirurgen, Radiologen – und einem Abteilungsleiters, der Verständnis für die zeitaufwendige Problematik des diabetischen Fußes hat.
Literatur:
beim Verfasser
Das könnte Sie auch interessieren:
Frühe Unterwassertherapie nach totaler Hüft- und Knieendoprothese
Eine frühzeitige Durchführung der Unterwassertherapie mit wasserdichtem Folienverband ab dem vierten postoperativen Tag ist im Allgemeinen sicher, wirksam und ohne Nebenwirkungen.
Aktuelles zur anteromedialen Knieinstabilität
Kombinierte Verletzungen des medialen Kollateral- (MCL) und des vorderen Kreuzbandes (VKB) zählen zu den häufigsten multiligamentären Knieverletzungen. Bei vermeintlich isolierten VKB- ...
Arthroskopische Behandlung von Glenoidrandfrakturen
In der Literatur werden die Begriffe knöcherne Bankart-Läsion und Glenoidrandfraktur häufig synonym verwendet, obwohl sie sich hinsichtlich Pathomechanismus und Therapie deutlich ...