Behandlung von Typ-II-Densfrakturen des alten Menschen
Autor*innen:
cand. med. Katja Zaiser
Dr. Clemens Lang
Dr. Leonhard-Valentin Muresan
ao. Prof. Dr. Mehdi Mousavi
Abteilung Orthopädie und Traumatologie, Klinik Donaustadt, Wien
Vielen Dank für Ihr Interesse!
Einige Inhalte sind aufgrund rechtlicher Bestimmungen nur für registrierte Nutzer bzw. medizinisches Fachpersonal zugänglich.
Sie sind bereits registriert?
Loggen Sie sich mit Ihrem Universimed-Benutzerkonto ein:
Sie sind noch nicht registriert?
Registrieren Sie sich jetzt kostenlos auf universimed.com und erhalten Sie Zugang zu allen Artikeln, bewerten Sie Inhalte und speichern Sie interessante Beiträge in Ihrem persönlichen Bereich
zum späteren Lesen. Ihre Registrierung ist für alle Unversimed-Portale gültig. (inkl. allgemeineplus.at & med-Diplom.at)
Der am häufigsten vorkommende Typ einer Densfraktur ist Typ II nach Anderson. Es gibt nach wie vor Kontroversen bezüglich der richtigen Behandlungsstrategie bei diesem Typ, da eine konservative Therapie eine hohe Wahrscheinlichkeit für die Entwicklung einer Pseudoarthrose mit sich bringt. Doch geht eine Pseudoarthrose bei älteren Menschen tatsächlich mit vermehrten Schmerzen und einer Funktionseinschränkung einher und sollte sie daher ein Grund für eine Operation sein?
Keypoints
-
Densfrakturen haben von allen HWS-Frakturen die höchste Prävalenz. Typ II kommt am häufigsten vor.
-
Typ-II-Frakturen weisen im Allgemeinen und vor allem bei konservativer Therapie eine hohe Pseudoarthroserate auf.
-
Die Mehrheit aller Pseudoarthrosen ist straff.
-
Ältere Patienten mit einer Typ-II-Fraktur können mit gutem Outcome konservativ therapiert werden.
Epidemiologie
Von allen Halswirbelsäulen(HWS)-Frakturen haben Densfrakturen in der Gesamtbevölkerung mit 18% die höchste Prävalenz. Bei den über 80-Jährigen steigt diese sogar auf über 50%.1 Die Inzidenz von Densfrakturen zeigt einen biphasischen Verlauf, der erste Gipfel befindet sich im Alter von 20–30 Jahren, der zweite bei 70–80 Jahren.2 Es ist die häufigste Verletzung der HWS in der älteren Generation. Erklärbar wird dies durch die steifere untere HWS bei älteren Menschen, wodurch die obere HWS anfälliger für knöcherne und ligamentäre Verletzungen ist. Außerdem zeigt sich eine geringere Knochendichte im Alter. Ursache für Densfrakturen bei älteren Patienten sind daher oft Bagatelltraumen.2 Bei jüngeren Erwachsenen resultieren Densfrakturen hingegen aus Hochrasanztraumen.3 Der häufigste Unfallmechanismus ist die Hyperextension.3
Das Risiko für die Entwicklung einer Pseudoarthrose ist vor allem bei Typ-II-Frakturen mit 5–30%4 bzw. 52%5 hoch. Bei konservativer Therapie steigt es sogar auf 50–85%.6 Das Risiko für eine Pseudoarthrose steigt auch mit dem Alter.7,8
Mortalität
Betrachtet man alle Densfrakturtypen, zeigt sich eine 1-Jahres-Mortalität von 16,7%.7 Die Mortalitätsrate der Typ-II-Frakturen beträgt 12–18%.5,9–11 Getrennt nach den zwei Behandlungsmöglichkeiten schwankt sie zwischen 10,3% und 20% bei operativ versorgten Patienten und zwischen 6% und 26% für konservativ Behandelte.9,10,12 In der vorhandenen Literatur zeigen sich Kontroversen hinsichtlich der Mortalität im Vergleich zwischen konservativer und operativer Therapie. In vielen Studien ist die Mortalität in der konservativen Gruppe höher,9,13 in anderen aber zeigt sie sich umgekehrt in der operativen Gruppe höher12 oder in beiden Behandlungsgruppen vergleichbar.7,10
Unterteilt man die Patienten in Altersgruppen, zeigt sich vor allem im Alter von 65–74 Jahren eine höhere Überlebensrate, wenn operativ versorgt wird. Am geringsten ist der Unterschied bei den 75–84-Jährigen. Patienten über 85 Jahre könnten sogar eine erhöhte Sterblichkeit aufweisen, wenn operativ behandelt wird.13
Einteilung
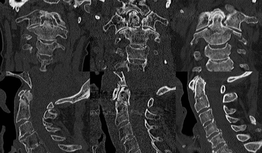
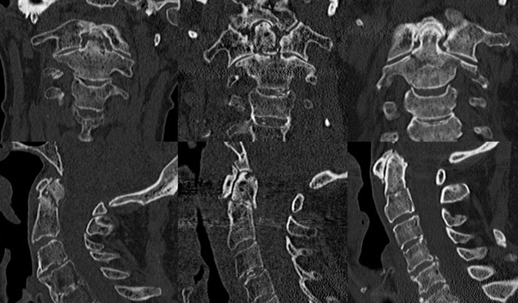
Densfrakturen können nach Anderson und D’Alonzo in 3 Typen eingeteilt werden (Abb. 1):14
-
Typ-I-Frakturen, welche nur die Spitze des Dens axis betreffen,
-
Typ-II-Frakturen,
-
Typ-III-Frakturen, bei denen der Corpus von C2 mitbetroffen ist.
Abb. 1: CT-Bilder a.p. (obere Reihe) und seitlich (untere Reihe) von Typ-I- (links), Typ-II- (Mitte) und Typ-III-Frakturen (rechts)
Typ-II-Frakturen können nach Grauer et al. weiter unterteilt werden in Typ IIa (quer verlaufend), Typ IIb (von anterior superior nach posterior inferior verlaufend) und Typ IIc (von anterior inferior nach posterior superior verlaufend).15
Typ-II-Frakturen sind die häufigsten Densfrakturen der älteren Bevölkerung.2,7,16 Sie machen über 50% aller Densfrakturen aus. Typ-III-Frakturen bilden fast zur Gänze den restlichen Teil, Typ-I-Frakturen sind selten.2
Die biomechanische Studie an Kadavern von McCabe et al. deutet darauf hin, dass Densfrakturen aufgrund von Niedrigenergietraumata durch Bänder und umliegende Weichteile mitstabilisiert werden.17 Dies ist oft bei älteren Personen der Fall, wohingegen den Densfrakturen durch Hochrasanztraumata, wie sie bei jüngeren Patienten häufiger vorkommen, diese Stabilisierung fehlt. Ausgehend von diesen beiden Verletzungsmustern könnten auch unterschiedliche Behandlungsalgorithmen erforderlich sein.18
Diagnostik
Zur Diagnostik einer Densfraktur gehört unbedingt die klinische Untersuchung. Patienten präsentieren sich meist mit Nackenbeschwerden und Einschränkung der Kopfbeweglichkeit. Vor allem ältere Patienten berichten von Stürzen aus dem Stand und weisen zusätzlich oft Prellmarken an Kopf oder Gesicht auf. Neurologische Ausfälle sind selten. Zur Standarddiagnostik zählt außerdem das Röntgen in a.p., seitlicher und transoraler Densaufnahme.19 Bei Patienten über 65 Jahre, Patienten mit Parästhesien oder nach gefährlichen Traumata, wie z.B. nach Sturz aus über 1m Höhe, axialer Stauchung des Kopfes oder Autounfall mit hoher Geschwindigkeit, wird die Durchführung einer Computertomografie empfohlen.20
Therapie
Das Heilungspotenzial von Typ-II-Frakturen ist begrenzt, da diese durch die Densbasis verlaufen, die eine schlechtere Blutversorgung und eine weniger solide Knochenqualität aufweist.21 Typ-II-Frakturen weisen daher, vor allem nach konservativer Therapie, eine hohe Pseudoarthroserate auf.4,6
Risikofaktoren für die Entwicklung einer Pseudoarthrose sind: konservative Therapie, Alter über 65 Jahre, eine Dens-Dislokation von über 4–6mm und eine Verkippung von mehr als 10°.22,23 Doch trotz Pseudoarthrose kann bei älteren Personen ein gutes klinisches Outcome erzielt werden.24
In der Literatur werden verschiedene Behandlungsalgorithmen vorgeschlagen. Ein allgemeiner Konsens besteht bei Typ-I- und Typ-III-Frakturen, die zum größten Teil konservativ behandelt werden können.7 Bei Typ-II-Frakturen besteht jedoch nach wie vor Unklarheit. Zum einen wird vorgeschlagen, stabile Typ-II-Frakturen konservativ zu behandeln und instabile zu operieren.7,25 Zum anderen, dass alle Typ-II-Frakturen, auch bei älteren Patienten,26 operiert werden sollten, wenn es der Allgemeinzustand des Patienten zulässt, um die Fusionsrate zu verbessern.9 Möglicherweise ist eine konservative Therapie aber trotzdem vor allem bei älteren Patienten zu bevorzugen, da sie weit weniger Risiken birgt und trotz Pseudoarthrose zu einem annehmbaren klinischen Ergebnis für die Patienten führt.7,23,27 Hierzu sind in Zukunft noch weitere Studien erforderlich.
Konservative Behandlung
Eine konservative Behandlung erfolgt im Allgemeinen mittels Schanzkrawatte für 8–12 Wochen.5,16 Diese kann halbstarr oder hart sein, wobei die harten Schanzkrawatten keinen Vorteil für die Frakturheilung bieten.19 Auch in statistischen Analysen aus dem Donauspital zeigt sich kein Unterschied hinsichtlich der Pseudoarthroserate zwischen einer harten und einer weichen Schanzkrawatte.
Eine weitere Möglichkeit, die aber aufgrund von Komplikationen vor allem bei älteren Patienten immer mehr an Bedeutung verliert, ist die Behandlung mit einem Halofixateur. Ein Halofixateur ist die rigideste Form einer externen Fixierung.28 Es zeigt sich jedoch eine hohe Mortalität von 40%23 bis 42%29 bei älteren Patienten. Diese Behandlungsmethode ist daher insbesondere bei älteren Menschen als obsolet zu bezeichnen.
Zu den Vorteilen einer konservativen Therapie mit Schanzkrawatte gehören ein weniger invasiver Eingriff und ein folglich kürzerer Krankenhausaufenthalt.16 Ein Nachteil ist die im Vergleich zur operativen Therapie erhöhte Pseudoarthroserate bei Typ-II-Frakturen.9
Operative Behandlung
Eine operative Versorgung kann von ventral oder von dorsal erfolgen. Von ventral geschieht dies mithilfe von ein oder zwei Schrauben.26
Von dorsal kann eine C1-C2-Fusion erreicht werden durch:
-
transartikuläre Schrauben über beide Massae laterales von C1 und C2 (nach Magerl und Seeman 1987)30
-
Cerclagen (Gallie 1939, Brooks und Jenkins 1978)31
-
polyaxiale Schrauben in C1 und C2, welche durch ein Stabsystem verbunden werden (ursprünglich nach Goel und Laheri 199432 und dann modifiziert durch Harms und Melcher 200133).26,34
Die bevorzugte operative Versorgung von Typ-II-Densfrakturen ist die ventrale Verschraubung, da diese die Beweglichkeit des atlantoaxialen Gelenks erhält und der Zugang im Vergleich zu dorsalen Methoden relativ atraumatisch ist.35 Bei anteriorer Verschraubung zeigt sich eine Fusionsrate zwischen 88% und 100%.36 Es gibt noch Kontroversen, ob eine anteriore Verschraubung mit einer oder zwei Schrauben zu besseren Ergebnissen führt. Einerseits wird eine höhere Stabilität bei Verwendung von 2 Schrauben beschrieben,37 andererseits aber zeigt sich in der vorhandenen Literatur allgemein die Tendenz dahingehend, dass beide Methoden gleiche Stabilität erzielen.38,39 Auch die Fusionsraten scheinen in beiden Gruppen nicht signifikant unterschiedlich zu sein.40 Doch vor allem bei älteren Patienten kann es zum Versagen dieser Methode kommen. Risikofaktoren für eine anteriore Verschraubung scheinen eine schlechte Knochenqualität und eine vorbestehende atlantoodontoideale Arthrose zu sein.7,16,41 Außerdem ist eine ventrale Verschraubung schwer möglich bei Typ-IIc-Frakturen und bei speziellen anatomischen Gegebenheiten des Halses und der vorderen Thoraxwand.26,36,41
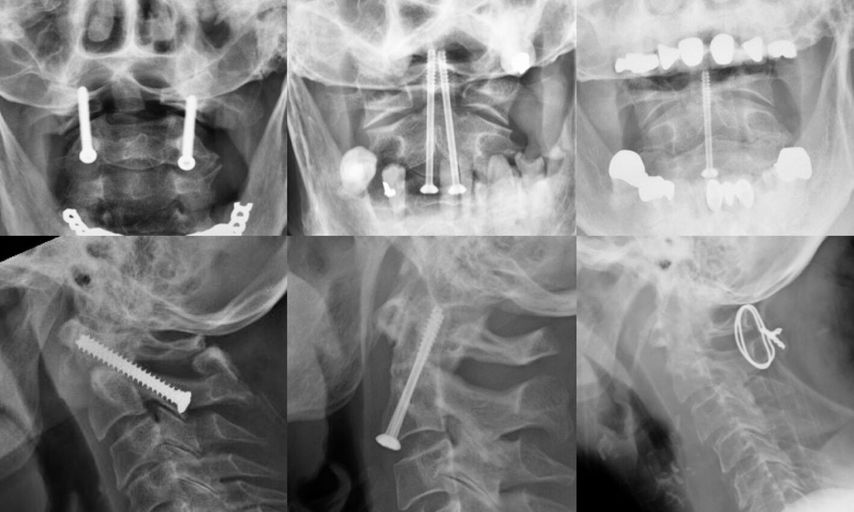
Die posteriore atlantoaxiale Fusion ist zwar invasiver, liefert jedoch bessere chirurgische Ergebnisse hinsichtlich der Frakturheilung und der Notwendigkeit von Revisionen bei höherer Primärstabilität.42 Bei geriatrischen Patienten über 75 Jahre36 wird bei Entscheidung zur Operation eine C1-C2-Arthrodese von dorsal empfohlen.26 Von den posterioren Fusionen am häufigsten durchgeführt werden die 2-Schrauben-Technik nach Magerl und Seeman und die 4-Schrauben-Technik nach Goel und Laheri bzw. Harms und Melcher. Beide erreichen hohe Fusionsraten und gute Stabilität. Zusätzlich zu den Verschraubungen kann auch eine Cerclage nach Gallie/Brooks angelegt werden, um die Stabilität noch zu verbessern (Abb. 2).34
Abb. 2: Post-OP-Röntgenbilder a.p. (obere Reihe) und seitlich (untere Reihe); transartikuläre Verschraubung nach Magerl (links), ventrale Verschraubung mit 2 Schrauben (Mitte) und mit 1 Schraube (rechts oben), Cerclage (rechts unten)
Outcome
Bezüglich Schmerzen und funktionellem Outcome bestehen Kontroversen zwischen konservativer und operativer Methode. Einerseits wird der „Neck Disability Index“ (NDI) in der operativen Gruppe nach 6 und 12 Monaten als signifikant besser beschrieben.9 Andererseits wird beschrieben, dass Schmerzen anhand analoger Schmerzskalen, des „VAS Score for neck pain“, Auswertungen des EQ-5D und NDI sowohl nach konservativer als auch operativer Behandlung ähnlich sind.7,12 Eine konservative Therapie mit einer harten Schanzkrawatte führt im NDI und in der „modified Rankin Scale“ (mRS) zu guten Ergebnissen.5
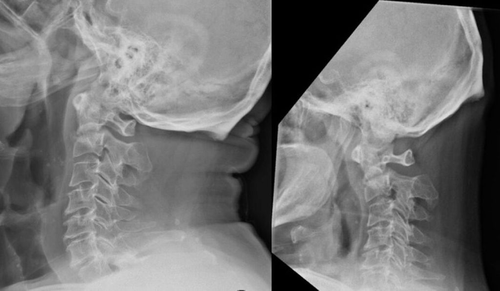
Außerdem bringt eine straffe Pseudoarthrose nach Typ-II-Fraktur keine vermehrten Schmerzen oder funktionellen Einschränkungen mit sich. Weder im NDI noch in der mRS oder der „Smiley Webster Pain Scale“ (SWPS) zeigt sich ein Unterschied zwischen straffer Pseudoarthrose und knöchern durchbauter Densfraktur.5 Eine straffe Pseudoarthrose kann ebenso wie eine knöcherne Durchbauung eine ausreichende Stabilität erzielen, was gut mit einer Funktionsaufnahme im CT überprüft werden kann (Abb. 3).5
Abb. 3: Röntgen einer straffen Pseudoarthrose: Reklination (links) und Inklination (rechts)
Zusammenfassung
Es gibt weiterhin Kontroversen um die Behandlung von Typ-II-Frakturen. Allgemein kann aber gesagt werden, dass älteren Patienten gut konservativ behandelt werden können. Sie berichten trotz der hohen Pseudoarthroserate nicht über vermehrte Schmerzen und zeigen eine gute Funktionalität. Eine operative Versorgung stellt bei älteren Personen mit schlechter Knochenqualität außerdem eine Schwierigkeit dar, da sich eine ventrale Verschraubung schlecht oder manchmal gar nicht im Knochen fixieren lässt. Eine dorsale Fusion wiederum zieht eine Einschränkung der Kopfbeweglichkeit nach sich und ist mit höherer Zugangsmorbidität behaftet. Auch was die Mortalität betrifft, gibt es keine klaren Tendenzen zu einer bestimmten Behandlungsmodalität. Auch in Auswertungen der Daten des Donauspitals zeigt sich kein statistisch signifikanter Hinweis dafür, dass eine konservative Therapie eine höhere Sterblichkeit nach sich zieht.
Literatur:
1 von Glinski A et al.: Risk factors associated with 90-day readmissions following odontoid fractures: a nationwide readmissions database study. Spine 2021; 46(15): 1039-47 2 Robinson AL et al.: C2 fracture subtypes, incidence, and treatment allocation change with age: a retrospective cohort study of 233 consecutive cases. Biomed Res Int 2017; 2017: 8321680 3 AlEissa SI et al.: The incidence of odontoid fractures following trauma in a major trauma center, aretrospective study. J Craniovertebral Junction Spine 2020; 11(2): 71-4 4 Joestl J et al.: Management and outcome of dens fracture nonunions in geriatric patients. JBone Joint Surg Am 2016; 98(3): 193-8 5 Lofrese G et al.: Type II odontoid fracture in elderly patients treated conservatively: is fracture healing the goal? Eur Spine J 2019; 28(5): 1064-71 6 Hong J et al.: A cohort study of the natural history of odontoid pseudoarthrosis managed nonoperatively in elderly patients. World Neurosurg 2018; 114: e1007-15 7 Charles YP et al.: Mortality, complication, and fusion rates of patients with odontoid fracture: the impact of age and comorbidities in 204 cases. Arch Orthop Trauma Surg 2019: 139(1): 43-51 8 Tian NF et al.: Pooled analysis of non-union, re-operation, infection, and approach related complications after anterior odontoid screw fixation. PloS One 2014; 9(7): e103065 9 Vaccaro AR et al.: Functional and quality-of-life outcomes in geriatric patients with type-II dens fracture. J Bone Joint Surg Am 2013; 95(8): 729-35 10 Dhallet SS et al.: Morbidity and mortality associated with surgery of traumatic C2 fractures in octogenarians. Neurosurgery 2017; 80(6): 854-62 11 Smith JS et al.: Effect of type II odontoid fracture nonunion on outcome among elderly patients treated without surgery: based on the AOSpine North America geriatric odontoid fracture study. Spine 2013; 38(26): 2240-6 12 Molinari WJ et al.: Functional outcomes, morbidity, mortality, and fracture healing in 58 consecutive patients with geriatric odontoid fracture treated with cervical collar or posterior fusion. Glob. Spine J 2013; 3(1): 21-32 13 Schoenfeld AJ et al.: Type II odontoid fractures of the cervical spine: do treatment type and medical comorbidities affect mortality in elderly patients? Spine 2011; 36(11): 879-85 14 Anderson LD, D’Alonzo RT: Fractures of the odontoid process of the axis. J Bone Joint Surg Am 1974; 56(8): 1663-74 15 Grauer JN et al.: Proposal of a modified, treatment-oriented classification of odontoid fractures. Spine J 2005; 5(2): 123-9 16 Sarode DP, Demetriades AK: Surgical versus nonsurgical management for type II odontoid fractures in the elderly population: a systematic review. Spine J 2018; 18(10): 1921-33 17 McCabeet CMJ al.: The effect of soft-tissue restraints after type II odontoid fractures in the elderly: a biomechanical study. Spine 2012; 37(12): 1030-5 18 Robinson Y et al.: Systematic review on surgical and nonsurgical treatment of type II odontoid fractures in the elderly. BioMed Res Int 2014; 2014: 231948 19 Osterhoff G et al.: Geriatric odontoid fractures: treatment algorithms of the German Society for Orthopaedics and Trauma based on expert consensus and a systematic review. Glob Spine J 2023: 13(1 suppl): 13-21 20 Stiell IG et al.: The Canadian C-spine rule for radiography in alert and stable trauma patients. JAMA 2001; 286(15): 1841-8 21 Chapman J et al.: The AOSpine North America Geriatric Odontoid Fracture Mortality Study: a retrospective review of mortality outcomes for operative versus nonoperative treatment of 322 patients with long-term follow-up. Spine 2013; 38(13): 1098-104 22 Palet D et al.: Type II odontoid fractures in the elderly: an evidence-based narrative review of management. Eur Spine J 2011; 20(2): 195-204 23 Delcourt T et al.: Management of upper cervical spine fractures in elderly patients: current trends and outcomes. Injury 2015; 46(Suppl 1): 24-7 24 Iyeret S al.: Management of odontoid fractures in the elderly: a review of the literature and an evidence-based treatment algorithm. Neurosurgery 2018; 82(4): 419-30 25 Osterhoff G et al.: Recommendations for diagnosis and treatment of odontoid fractures in geriatric patients. Z Orthopadie Unfallchirurgie 2020; 158(6): 647-56 26 Wagner SC et al.: Controversies in the management of geriatric odontoid fractures. J Orthop Trauma 2017; 31(Suppl 4): 44-8 27 Hanigan WC et al.: Odontoid fractures in elderly patients. JNeurosurg 1993; 78(1): 32-5 28 Isidroet S al.: Outcomes of halo immobilization for cervical spine fractures. Glob Spine J 2019; 9(5): 521-6 29 Tashjian RZ et al.: Halo-vest immobilization increases early morbidity and mortality in elderly odontoid fractures. J Trauma 2006; 60(1): 199-203 30 Magerl F, Seemann PS: Stable posterior fusion of the atlas and axis by transarticular screw fixation. In Kehr P, Weidner A (eds): Cervical Spine I; Wien: Springer, 1987, 322-7 31 Brooks AL, Jenkins EB: Atlanto-axial arthrodesis by the wedge compression method. J Bone Joint Surg Am 1978; 60(3): 279-84 32 Goel A, Laheri V: Plate and screw fixation for atlanto-axial subluxation. Acta Neurochir 1994; 129(1-2): 47-53 33 Harms J, Melcher RP: Posterior C1-C2 fusion with polyaxial screw and rod fixation. Spine 2001; 26(22): 2467-71 34 Vergara P et al.: C1-C2 posterior fixation: are 4 screws better than 2? Neurosurgery 2012; 71 (1 Suppl Operative): 86-95 35 Guo Q et al.: Comparison of atlantoaxial rotation and functional outcomes of two nonfusion techniques in the treatment of Anderson-D’Alonzo Type II odontoid fractures. Spine 2016; 41(12): e751-8 36 Konieczny MR et al.: Treatment of dens fractures with anterior screw fixation. JBJS Essent Surg Tech 2014: 4(2): e9 37 Dailey AT et al.: Anterior fixation of odontoid fractures in an elderly population. J Neurosurg Spine 2010; 12(1): 1-8 38 Feng G et al.: One-screw fixation provides similar stability to that of two-screw fixation for type II dens fractures. Clin Orthop 2012; 470(7): 2021-8 39 Sasso R et al.: Biomechanics of odontoid fracture fixation. Comparison of the one- and two-screw technique. Spine 1993; 18(14): 1950-3 40 Jenkins JD et al.: A clinical comparison of one- and two-screw odontoid fixation. JNeurosurg 1998; 89(3): 366-70 41 Osti M et al.: Analysis of failure following anterior screw fixation of Type II odontoid fractures in geriatric patients. Eur Spine J 2011; 20(11): 1915-20 42 Shousha M et al.: Surgical treatment of type II odontoid fractures in elderly patients: a comparison of anterior odontoid screw fixation and posterior atlantoaxial fusion using the Magerl-Gallie technique. Eur Spine J 2019; doi: 10.1007/s00586-019-05946-x
Das könnte Sie auch interessieren:
Angeborene Fehlstellungen des Unterschenkels
Kongenitale Deformitäten des Unterschenkels gehören zu den seltenen, aber medizinisch bedeutenden und operativ herausfordernden Diagnosen der Kinderorthopädie. Eine differenzierte ...
Einzeitiger und mehrzeitiger septischer Endoprothesenwechsel
Die periprothetische Infektion (PPI) stellt eine der gefürchtetsten Komplikationen im Bereich der Orthopädie und Traumatologie dar. Sie ist verbunden mit hohen Morbiditäts- und ...
Hochgradige ACG-Luxationen – wann konservativ behandeln, wann nicht?
Verletzungen des Akromioklavikulargelenks (ACG) gehören zu den häufigsten Schulterverletzungen bei jungen und aktiven Menschen, insbesondere auch aufgrund der zunehmenden Beliebtheit von ...