Stellenwert der kardialen Bildgebung bei Kardiomyopathien
Autoren:
OA Dr. Martin Altersberger1
Ass. Dr. Andreas Krumphuber1
OA Dr. Balaz Kiss1
OA Dr. Gernot Bankl1
Prim. Univ.-Doz. Dr. Michael Schocke2
Prim. Priv.-Doz. DDr. Johannes Siebermair1
1 Abteilung für Kardiologie, Nephrologie und Intensivmedizin
Pyhrn-Eisenwurzen Klinikum Steyr
2 Abteilung für Radiologie
Pyhrn-Eisenwurzen Klinikum Steyr
E-Mail: martin.altersberger@ooeg.at
Vielen Dank für Ihr Interesse!
Einige Inhalte sind aufgrund rechtlicher Bestimmungen nur für registrierte Nutzer bzw. medizinisches Fachpersonal zugänglich.
Sie sind bereits registriert?
Loggen Sie sich mit Ihrem Universimed-Benutzerkonto ein:
Sie sind noch nicht registriert?
Registrieren Sie sich jetzt kostenlos auf universimed.com und erhalten Sie Zugang zu allen Artikeln, bewerten Sie Inhalte und speichern Sie interessante Beiträge in Ihrem persönlichen Bereich
zum späteren Lesen. Ihre Registrierung ist für alle Unversimed-Portale gültig. (inkl. allgemeineplus.at & med-Diplom.at)
In einem Beitrag aus Österreich am diesjährigen europäischen Kongress für Kardiologie (ESC) wurde über das große diagnostische Potenzial der modernen kardialen Bildgebung und die Umsetzung der Leitlinien in der täglichen Praxis diskutiert. Die kardiale Magnetresonanztomografie (MRT) rückt bei der Diagnostik von Herzerkrankungen mehr und mehr in den Mittelpunkt – nicht nur diagnostisch, sondern auch prognostisch.
Die moderne Echokardiografie bietet die Möglichkeit einer hämodynamischen Evaluation in Ruhe wie auch bei „point-of-care“-Belastung. „Strain imaging“ und „myocardial work“ können neben bekannten Parametern, wie der Ejektionsfraktion (EF) und der Myokardmasse, ergänzend zur Diagnostik von Herzerkrankungen beitragen.
Keypoints
-
Die Echokardiografie bietet viele Zusatzinformationen und hilft beim Screening und der Differenzierung von Kardiomyopathien (CMP).
-
Moderne Messparameter wie „strain imaging“ geben diagnostische und prognostische Information.
-
Das Herz-MRT kann die Myokardbeschaffenheit beschreiben.
-
„Strain“ im Echo und „late gadolinium enhancement“ (LGE) im MRT korrelieren sehr gut miteinander.
ESC-Leitlinie zu Kardiomyopathien
Im Jahr 2023 gab es die sehr große Neuerung, dass ESC-Leitlinien zur Kardiomyopathie (CMP) publiziert wurden.1 Darin wird zwischen der phänotypischen Ausprägung der Hypertrophie und Dilatation differenziert. Dabei wurde auch zusammengefasst, dass es CMP geben kann, die weder dilatiert noch hypertrophiert sind (nichtdilatierte linksventrikuläre CMP; NDLVC).1 In der konkreten Situation widmen wir uns den CMP, die einen hypertrophen Phänotyp, rein bezogen auf die Myokardwandverdickung, nicht auf die Myokardbeschaffenheit, aufweisen.1
Kardiale Bildgebung bei CMP
Die moderne Echokardiografie
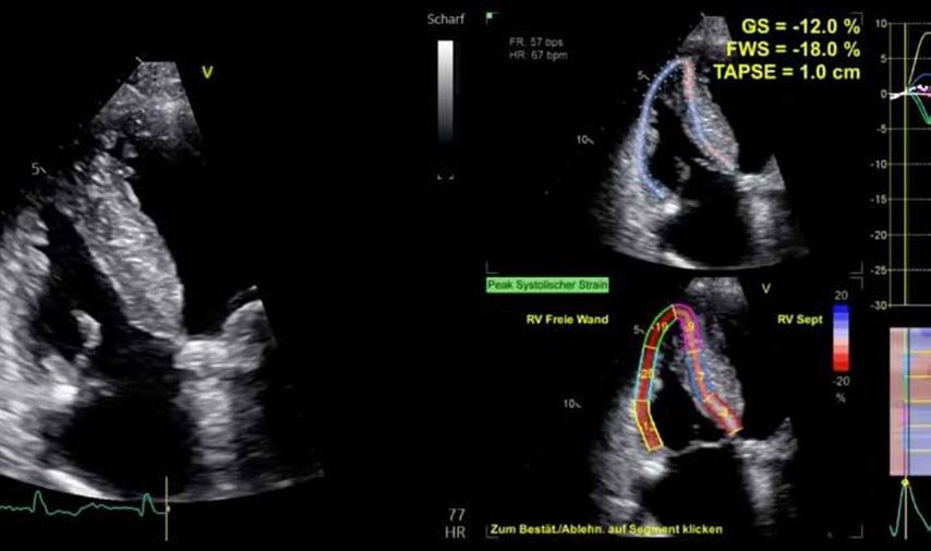
Im Echolabor des Pyhrn-Eisenwurzen Klinikums Steyr wird jede Form der Myokardwandverdickung mittels einer vollständigen Standardechokardiografie untersucht.2 Dabei wird auch ein Fokus auf die kontrastmittelunterstützte Sonografie gelegt, um die tatsächliche Dicke des Myokards zu vermessen.3 Die Verdickung sollte optimalerweise mittels 3D-LV-Massenmessung erfolgen. Die Messung im 2D-Bild ist dahingehend unterlegen. Ebenso wird jede Myokardwandverdickung mittels 2D-„strain imaging“ in der transthorakalen Echokardiografie (TTE) untersucht.4–6 Der „strain“ ist eine Messung der longitudinalen Funktion des Herzens (Video 1).
Video 1: Übersicht über „strain imaging basics“ → http://bit.ly/47oxxgr
Für eine noch genauere Evaluation bezogen auf die Leistung des Herzens kann die myokardiale Arbeit gemessen werden. Dabei wird während der Untersuchung, wenn von apikal geschallt wird, der Blutdruck vom Assistenzpersonal bei jeder Untersuchung, bei der eine dahingehende klinische Fragestellung besteht, gemessen.7
Bei der hypertrophen CMP gibt es die Besonderheit, dass versucht werden muss, einen Ausflusstraktgradienten (LVOTO) zu messen, da dieser für die Prognose und Therapie relevant ist.1 Eine neue Therapie der hypertrophen obstruktiven CMP (HOCMP) sind kardiale Myosininhibitoren. Diese können zu einem „reverse remodeling“ des Herzens führen und Parameter, wie den „strain“, neben der Reduktion des Ausflusstraktgradienten unter Therapie deutlich verbessern.1,8,9
Die Herz-MRT
Die Herz-MRT ist mittlerweile fixer Bestandteil der kardialen Leitlinien. Die Verteilung des späten Anflutens von Kontrastmittel (LGE) kann mitunter nahezu pathognomonische Muster detektieren. Zusätzlich kann die Myokardbeschaffenheit gemessen werden. Dies wird über das sogenannte „mapping“ durchgeführt. Dabei können verlängerte oder verkürzte Zeiten (zum Beispiel T1-„mapping“) für gewisse Erkrankungen hinweisend sein. Als Beispiel sei hier der Morbus Fabry mit reduzierten T1-Zeiten bei Myokardwandverdickung mit vor allem lateral betroffenen Segmenten erwähnt.
Weitere Parameter, neben den Standardparametern, die wir aus der Echokardiografie kennen (Myokardmasse, EF, LV-Dimensionen), inkludieren die Messung des Extrazellulärvolumens (ECV) und den 4D-Fluss bei Klappenvitien.5 Das MRT stellt den Goldstandard für die Messung der ventrikulären Volumina und Myokardmasse dar. Ebenso stellt der Nachweis eines ausgedehnten LGE einen weiteren Faktor für eine Entscheidung zur Implantation eines implantierbaren Kardioverterdefibrillators dar.1
Patientenfälle
In der Theorie ist mit der modernen Bildgebung viel möglich. Wie dies nun in der klinischen Realität aussieht, wird konkret in vier Patient:innenfällen mit Myokardwandverdickung und einer Diagnostik mittels moderner Bildgebung diskutiert.
1. Fall: HCMP vs. HOCMP, männlich 52a
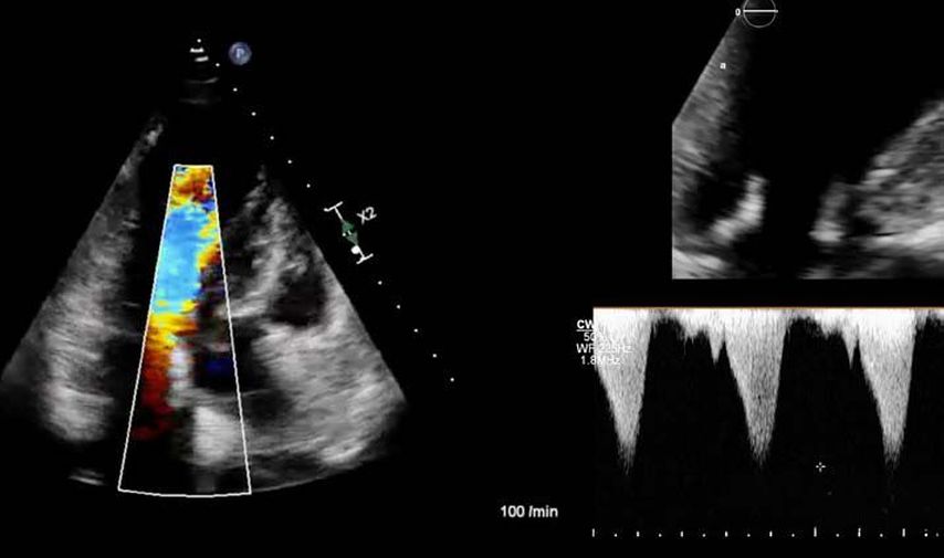
Der erste Fall beschäftigt sich mit einem Patienten mit einer hypertrophen Kardiomyopathie (HCMP). Er gibt eine deutliche Belastungsdyspnoe sowie einen ausgeprägten Leistungsknick an. Es wurde infolgedessen eine Untersuchung mittels standardisierter Echokardiografie inklusive „strain imaging“ durchgeführt. Der globale longitudinale „strain“ (GLS) mit –16% in Ruhe war gering reduziert. Es konnte kein relevanter LVOT-Gradient in Ruhe nachgewiesen werden. In der Belastungssituation (Handgrip, Valsalva, Kniebeugen und als Vorbereitung zur Untersuchung ein ausgiebiges Frühstück und Kaffee sowie ein am Vorabend konsumiertes Bier) konnte bei Kniebeugen mit einer Herzfrequenz von 126/min ein Spitzengradient bis 52mmHg dargestellt werden. Somit ergibt sich die Diagnose einer HOCMP mit einem belastungsinduzierten Gradienten. Bei bereits bestehender und ausgereizter Therapie unter Betablocker besteht die Indikation zur Therapie mittels des kardialen Myosininhibitors Mavacamten (Klasse-IIa-Empfehlung laut ESC).1 Darunter verbesserte sich die klinische Situation des Patienten deutlich, der Patient konnte uneingeschränkt Sport ausüben. Über die Zeit kam es zu einer geringen Reduktion der LV-Masse und einer geringen Zunahme des LV-„strain“. Die Belastungssituation zeigte durchwegs normale „strain“-Werte mit –20% (mit regionaler Reduktion bei Myokardwandverdickung im Sinne einer Hypertrophie). Die myokardiale Arbeit beim konkreten Patientenfall ist ebenso in Ruhe im grenzwertigen und unter Belastung im guten Normalbereich.6,8,9 Der Patient ist derzeit unter 5mg Mavacamten einmal täglich optimal eingestellt. Die EF in Ruhe ist konstant bei 50–55%. In Video 2 werden unterschiedliche Gradienten dargestellt, um eine HOCMP mit LVOTO von z.B. einer Mitralklappeninsuffizienz zu unterscheiden.Die Verdachtsdiagnose wurde mithilfe der Echokardiografie gestellt und durch das septal betonte „patchy“ LGE im MRT bestätigt.1,5
2. Fall: restriktive CMP bei Amyloidose durch LA-„strain“, männlich, 78a
Die Paradedisziplin, die den „strain“ als Untersuchung in aller Munde gebracht hat, ist die Diagnostik der Amyloidose. Typisch (aber nicht pathognomonisch) ist dabei das „apical sparing“. In Video 3 ist ein Patient mit einer typischen ATTR-Amyloidose im „bullseye display“ des „strain“ im 17-Segmentmodell des LV zu sehen. Ebenso werden andere Zeichen in der Echokardiografie der Amyloidose präsentiert. Im konkreten Fall wurde die Sinnhaftigkeit, fast Notwendigkeit, der atrialen Bildgebung besprochen. Das Vollbild der Amyloidose zeigt eine deutliche Myokardwandverdickung des LV, in der frühen Phase kann diese jedoch noch fehlen. Als erstes Zeichen kann eine Veränderung des „strain“, insbesondere das linke Atrium (LA) betreffend, vorliegen.10 Somit ist in Summe festzuhalten, dass die Messung der longitudinalen Funktion des linken Atriums für eine Früherkennung erhöhter Füllungsdrücke dienlich sein kann, analog dem HbA1c für erhöhte Füllungsdrücke. Besonders bei einem LA-„strain“ in der Reservoirphase von unter 20% sollte man das Vorliegen einer möglichen beginnenden Form einer restriktiven Kardiomyopathie in Erwägung ziehen.1,10 Im MRT sind deutlich verlängerte T1-Zeiten ein Hinweis für das Vorliegen einer Amyloidose(neben dem generalisierten kreisrunden LGE (abhängig von der Aufzeichnungsphase und der Messung des erhöhten Extrazellulärvolumens).1
Video 3: Echokardiografie & Amyloidose → https://bit.ly/3WDIftg
3., 4. & 5. Fall: andere Formen der Myokardwandverdickung, männlich, 44a & 32a, und weiblich, 72a
Andere Formen der Myokardwandverdickung, die mit „strain“ und MRT gut dargestellt werden können, sind einerseits die Differenzierung der Auswirkung der arteriellen Hypertonie (weiblich, 72a) bei Vorliegen einer Herzinsuffizienz mit normaler EF, einem GLS von –15,4%, einem LA-„strain“, in Reservoirphase 25% bei gering verlängerten T1-Zeiten im MRT. Andererseits kann Steroidabusus (männlich, 44a) zu einem reduzierten „strain“ mit gering verlängerten T1-Zeiten und einer Normalisierung der bildgebenden Befunde nach 2 Jahren nach Absetzen führen bzw. eine Mitochondriopathie (männlich, 32a) zu einer unklaren Myokardverdickung mit diffus reduziertem „strain“ und reduzierter LV-Funktion.4,11,12
Zusammenfassung
Für die Diagnose und Prognoseevaluierung von kardialen Erkrankungen ist die multimodale Bildgebung ein essenzieller Bestandteil. Eine singuläre Bildgebung alleine ist oft nicht ausreichend, um alle Fragestellungen abzudecken. Dahingehend ist eine Kooperation der einzelnen Fächer der Kardiologie und fächerübergreifend (u.a. CMP-Spezialist, Bildgebungsspezialist, Nuklearmediziner, Radiologen) essenziell, insbesondere da auch Mitbeteiligungen anderer Organsysteme vorliegen können. Die Diagnostik wird komplexer, wir detektieren Krankheiten immer früher und es ist und bleibt spannend, wo die Reise hingehen wird.1,5,13
Literatur:
1 Arbelo E et al.: 2023 ESC Guidelines for the management of cardiomyopathies: Developed by the task force on the management of cardiomyopathies of the European Society of Cardiology (ESC). Eur Heart J 2023; 44(37): 3503-26 2 Mitchell C et al.: Guidelines for performing a comprehensive transthoracic echocardiographic examination in adults: Recommendations from the American Society of Echocardiography. Journal of the American Society of Echocardiography [Internet] 2019; 32(1): 1-64 Available from: http://dx.doi.org/10.1016/j.echo.2018.06.004 3 Hampson R et al.: Contrast echocardiography: a practical guideline from the British Society of Echocardiography. Echo Res Pract 2023; 10(1): 23 4 Tadic M, Cuspidi C: Left ventricular strain and arterial hypertension: Is longitudinal strain ready for primetime? J Clin Hypertens 2020; 22(4): 683-5 5 Cardim N et al.: Role of multimodality cardiac imaging in the management of patients with hypertrophic cardiomyopathy: an expert consensus of the European Association of Cardiovascular Imaging Endorsed by the Saudi Heart Association [Internet]. Available from: https://academic.oup.com/ehjcimaging/article/16/3/280/2399949 6 Tower-Rader A et al.: Prognostic value of global longitudinal strain in hypertrophic cardiomyopathy: A systematic review of existing literature. JACC Cardiovasc Imaging 2019; 12(10): 1930-42 7 Fan J et al.: The value of myocardial work in patients with left ventricular hypertrophy. International Journal of Cardiovascular Imaging 2023; 39(6): 1105-13 8 Desai MY et al.: Serial changes in ventricular strain in symptomatic obstructive hypertrophic cardiomyopathy treated with mavacamten: Insights from the VALOR-HCM trial. Circ Cardiovasc Imaging 2024; 17(9): e017185 9 Desai MY et al.: Mavacamten-associated temporal changes in left atrial function in obstructive HCM: Insights from the VALOR-HCM trial. JACC Cardiovasc Imaging 2025; 18(3): 251-62 10 Rausch K et al.: Left atrial strain imaging differentiates cardiac amyloidosis and hypertensive heart disease. Int J Cardiovasc Imaging 2021; 37(1): 81-90 11 Inoue K et al.: Determinants of left atrial reservoir and pump strain and use of atrial strain for evaluation of left ventricular filling pressure. Eur Heart J Cardiovasc Imaging 2022; 23(1): 61-70 12 Smiseth OA et al.: Myocardial strain imaging: Theory, current practice, and the future. JACC Cardiovasc Imaging 2024; 18(3): 340-81 13 Thomas JD et al.: Clinical applications of strain echocardiography: A clinical consensus statement from the American Society of Echocardiography developed in collaboration with the European Association of Cardiovascular Imaging of the European Society of Cardiology. Journal of the American Society of Echocardiography 2025; S0894-7317(25)00395-5
Das könnte Sie auch interessieren:
ESC-Guideline zur Behandlung von Herzvitien bei Erwachsenen
Kinder, die mit kongenitalen Herzvitien geboren werden, erreichen mittlerweile zu mehr 90% das Erwachsenenalter. Mit dem Update ihrer Leitlinie zum Management kongenitaler Vitien bei ...
ESC gibt umfassende Empfehlung für den Sport
Seit wenigen Tagen ist die erste Leitlinie der ESC zu den Themen Sportkardiologie und Training für Patienten mit kardiovaskulären Erkrankungen verfügbar. Sie empfiehlt Training für ...
A paradigm shift in lipid management – „the sooner, the lower, the better“
The 2025 Focused Update of the 2019 ESC/EAS Guidelines for the management of dyslipidaemias marks a significant evolution in cardiovascular (CV) risk prevention, and it delivers nothing ...